角化棘皮瘤细胞凋亡和bcl-2、bax表达及其相互关系
作者:李利 王琳 成娘 杜晓萍 杨毅 周光平
单位:李利 王琳 成娘 杜晓萍 杨毅 周光平(华西医科大学附属第一医院皮肤性病科,成都 610041)
关键词:角化棘皮瘤;凋亡;bcl-2;bax;TUNEL;免疫组织化学
临床与实验病理学杂志990403摘要 目的:探讨角化棘皮瘤(keratoacanthoma, KA)在细胞凋亡方面的生物学特点。方法:用末端脱氧核苷酰转移酶(TdT)介导的d-UTP生物素缺口末端标记技术(TUNEL),原位检测20例角化棘皮瘤中凋亡细胞;应用免疫组织化学技术检测皮损部位bax和bcl-2基因产物的表达。结果:KA中80%(16/20)瘤中心出现凋亡细胞。30%(6/20)肿瘤边缘bcl-2呈弱阳性染色。全部病例bax染色阳性。细胞凋亡指数与bax表达强度显著正相关(r=0.680,P=0.001),与bcl-2表达强度显著负相关(r=-0.618,P=0.004)。结论:细胞凋亡为角化棘皮瘤的典型生物学特征,可能在KA的自然消退中发挥重要作用。
, 百拇医药
分类号 R758.53;R392.3 文献标识码 A
文章编号 1001-7399(1999)04-0290-03
Study on the expression of apoptosis、bcl-2 and bax and their relationship in keratoacanthoma
Li Li, Wang Lin, △Cheng Niang et al
(Dept of Dermatovenereol, △Dept of Pathol, First Affiliated Hospital of West China University of Medical Sciences, Chengdu 610041)
, 百拇医药
ABSTRACT Purpose To explore the characteristic of apoptosis in keratoacanthoma (KA). Methods In situ method of terminal deoxytransferade (TdT)-mediated dUTP-biotin nick and labelling staining (TUNEL) was used to identify programmed cell death in 20 KAs. These cases also were examined with immunohistochemical technique for the expression of two protooncogenes, bcl-2 and bax, recently recognized to be involved in apoptosis. Results There were 80%(16/20) apoptosis cells in the center of the tumor. Positive staining with bcl-2 antibody appeared in 30%(6/20) of KAs. All cases expressed bax. There was a significant negative correlation between apoptosis index (AI) and the intensity of in situ expression of bcl-2 (r=-0.618,P=0.001), but a significant positive correlation between AI and the intensity of in situ expression of bax (r=0.680,P=0.004). The weak negative correlation was found between the intensity expression of bcl-2 and that of bax but of no statistical significance (r=-0.364,P>0.05). Conclusion It is suggested that cell apoptosis be a biologic characteristic of KA and may play an important role in spontaneous regression of KA.
, 百拇医药
KEY WORDS keratoacanthoma; apoptosis; bcl-2;bax; TUNEL; immunohistochemistry
角化棘皮瘤(keratoacanthoma, KA)是来源于棘细胞的肿瘤。多数皮损在半年内可自行消退。自行消退的机制不明。近年对生长缓慢、有自然消退倾向的肿瘤如鲍温病和基底细胞癌研究提示细胞凋亡可能起一定作用。细胞凋亡在KA中的状况尚未见报道。Fujimmoto等〔1〕发现凋亡促进基因bax (bcl-2-associated X protein)在KA中表达。为了探讨细胞凋亡是否在其自然消退中发挥作用,作者采用末端脱氧核苷酰转移酶(TdT)介导的d-UTP生物素缺口末端标记技术(TUNEL),检测了KA的细胞凋亡状况。同时观察了与凋亡相关bax和bcl-2基因产物的表达。
1 材料与方法
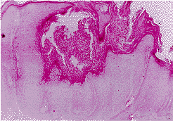
1.1 组织标本 病例选自我院1990~1998年资料完整的KA共20例,男14例,女6例,年龄48~83岁,平均68岁。病程1~30月,平均8月。单发型14例,多发型(2个以上)6例。按文献〔2〕方法作组织学分期:增生期6例,成熟期12例,消退期2例(图1~3)。均发生在头面和手背等暴露部位。全部病例取活检前均未接受过特殊治疗。病理切片均经皮肤病理医师再次确诊。石蜡包埋组织标本,行3 μm厚连续切片,1张常规HE染色,2张TUNEL法染色,4张作免疫组化研究。
, 百拇医药
图1 增生期角化棘皮瘤.HE×25
图2 成熟期角化棘皮瘤.HE×30
图3 消退期角化棘皮瘤.HE×100
1.2 方法
1.2.1 原位末端标记 TUNEL法染色主要步骤按TUNEL原位末端标记试剂盒(In Situ Cell Death Detection Kit, AP Cat No 1684809, Boehringer Mannheim公司)说明进行。NBT/BCIP显色,核固红复染,甘油明胶封片。阳性对照为正常扁桃体组织,空白对照为不加dUTP,只加TdT的组织切片。
, 百拇医药
1.2.2 免疫组化染色 采用标准的S-P法。试剂盒购自Zymed公司。bcl-2抗体(Santa Cruze公司)和bax多克隆抗体(Dako公司)工作浓度分别为1∶50和1∶100。载片经APES处理。主要操作步骤:常规脱蜡水化,滴加第一抗体bcl-2或bax,37℃,1 h。滴加生物素标记的二抗,37℃,30 min。滴加三抗(过氧化酶标记的链亲合素),37℃,30 min后DAB显色,苏木素复染封片。以上各步间均用0.01 mol.L-1 PBS(pH 7.4)洗3次,每次5 min。阳性对照:bcl-2用肺癌转移的淋巴结,bax为正常皮肤;空白对照以PBS代替一抗,余同前。
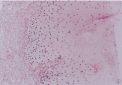
1.3 结果判断 (1)TUNEL法:阳性的细胞形态特征包括:核固缩呈圆形或椭圆形深紫蓝色团块;染色质沿核膜形成新月状、半月状或环状,核质内空泡形成。选瘤块中凋亡细胞和凋亡小体数较多的高倍视野5个,每个视野计数100个细胞中凋亡细胞和凋亡小体数,取5个视野的平均值为凋亡指数(Apoptosis index, AI),用半定量表示:凋亡指数<5%为阴性(-),5%~30%为弱阳性(+),31%~50%为中度阳性(
),>50%为强阳性(
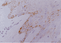
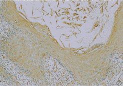
)。(2)免疫组化法:bcl-2阳性反应定位于胞浆,呈黄色或棕黄色颗粒。bax阳性反应为细胞浆内及核膜呈淡黄色或棕黄色。以bcl-2和bax阳性染色强度及(或)阳性细胞数分为四级:阴性(-):无任何瘤细胞着色;弱阳性(+):仅有20%以下瘤细胞着色;中度阳性(
):有25%~50%瘤细胞着色;强阳性(
):有50%以上瘤细胞着色。
, 百拇医药
1.4 统计学方法 数据采用SPSS软件进行等级相关性分析。
2 结果
2.1 TUNEL法 KA中80%(16/20)患者AI>5%,其中+及
各1例,
14例。80.33%(5/6)增生期KA即有凋亡现象,平均凋亡指数(43.33%)低于成熟KA(67.64%),但无显著性意义(P>0.05)。凋亡细胞在KA紧邻角栓的肿瘤区呈巢状分布,多数为圆形或椭圆形深紫蓝色团块(图4,5)。
图4 凋亡细胞在KA紧邻角栓的肿瘤区呈巢状分布.TUNEL×150
, 百拇医药
图5 凋亡细胞为圆形或椭圆形深紫蓝色团块.TUNEL×500
2.2 免疫组化法 bcl-2:仅有30%(6/20)的病例与正常皮肤交界处的瘤细胞为阳性染色(图6)。远离肿瘤的正常皮肤基底细胞胞浆呈黄色或棕黄色颗粒可作内对照。bax:全部病例呈阳性染色(图7)。染色强度频数分布见表1。
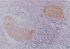
图6 与正常皮肤交界处的瘤细胞胞浆bcl-2呈现黄色或棕黄色颗粒.S-P×750
图7 bax 表达于胞浆、胞膜和核膜呈棕黄色。S-P×200
, 百拇医药 图8 bcl-2阳性对照呈黄色或棕黄色颗粒。S-P×250
表1 角化棘皮瘤AI、bcl-2及bax染色强度频数(例数) 染色强度
AI
bcl-2
bax
-
4
14
0
+
1
4
, 百拇医药
2
1
2
5
14
0
13
合计
20
20
20
, http://www.100md.com
2.3 相关性分析 AI与bcl-2表达显著负相关(r=-0.618,P=0.004),与bax表达显著正相关(r=0.680,P=0.001)。bcl-2表达与bax表达负相关(r=-0.364),但无显著性意义(P=0.115)。
3 讨论
KA是好发于中老年皮肤暴露部位的丘疹、斑块或结节,中心可见火山口样角栓。常在2~3月内迅速生长,多数皮损1年内自然消退。男性好发。本组病人均发生在受日光照射的头面部,男女之比为7∶3。KA病因不明,众多学者对其自然消退的生物学进行了研究。Stephenson等〔3〕观察到炎性KA真皮组织有更多的Langerhan细胞浸润,因而认为与Langerhan细胞有关。Kerschmann等〔4〕通过与鳞状细胞癌p53表达和增殖指数比较,认为KA的自然消退与凋亡有关。细胞凋亡是一种受遗传控制的单个细胞主动自杀过程,是机体维持稳态的基础,也是肿瘤性疾病发生发展的重要因素。恶性度高、预后差的恶性黑素瘤凋亡细胞明显低于恶性度低、进展慢的基底细胞癌。肿瘤放疗、化疗后的疗效也与凋亡细胞的增加显著相关〔5〕。KA发展到一定时期即停止,罕见转移,属良性肿瘤性增生。本研究采用TUNEL法直接观察KA瘤细胞凋亡的形态学特征,发现80%KA(16/20)有细胞凋亡现象,70%(14/20)呈强阳性反应,表明凋亡为KA典型生物学特征。凋亡细胞分布于肿块中心的瘤细胞,多数为核固缩呈圆形或椭圆形深紫蓝色团块;少数细胞核染色质沿核膜形成环状,核质内有空泡形成。表明KA是从肿块的中心开始凋亡。5例增生期KA即有凋亡现象,但平均凋亡指数低于成熟期KA,提示从KA早期,增生和凋亡即同时存在,在KA的成熟期,增生逐渐降低,凋亡占优势,最终导致KA的自然消退。
, 百拇医药
bcl-2是凋亡抑制原癌基因,其编码蛋白具有抑制细胞凋亡作用,但不影响细胞增殖。bax与bcl-2是同源基因,作用为促进细胞凋亡。野生型p53基因是一种抑癌基因,可诱导bax基因表达,抑制bcl-2基因表达〔6〕。细胞内bax和bcl-2基因产物共同构成了细胞内的微调变阻器(preset rheostat within cells)调节细胞凋亡。如一个细胞内bcl-2蛋白占优势,它结合掉所有的bax,余下的bcl-2相互接成bcl-2-bcl-2对,使细胞得以生存。反之,细胞则死亡〔7〕。本组病例中,bax占绝对优势,全部病例均为阳性表达,且以肿瘤中心最强,仅6例肿瘤边缘bcl-2呈阳性表达。与凋亡细胞分布吻合。相关性检验进一步表明瘤细胞凋亡与bax蛋白表达呈显著正相关,与bcl-2蛋白表达呈显著负相关。
综上所述,本研究结果显示KA包块中心有明显细胞凋亡的形态学特征,在增生期即开始出现凋亡,成熟期更明显,并受到bcl-2和bax基因的调控。以上结果表明细胞凋亡是KA重要的生物学行为,可能与KA极少发生转移有关,并且在KA的自然消退中起重要作用。
, 百拇医药
作者简介:李 利,女,40岁,硕士,讲师。研究方向:光线性皮肤病
周光平,男,57岁,教授。研究方向:临床皮肤病理
参考文献
1,Fujimoto W, Arata J. Expression of the bcl-2 homologue bax in normal human skin, psoriasis vulgaris and non-melanoma skin cancers. Eur J Dermatol, 1998;8:256~260
2,李成明,单伟化.角化棘皮瘤.国外医学皮肤病学分册,1995;21:99~100
3,Stephenson TJ, Nichols CE, Cotton DWK. Keratoacanthomas contain a higher density of Langerhans cell than well differentiated squamous cell carcinomas. J Pathol, 1987;152:238~242
, 百拇医药
4,Kerschmann RL, McCalmont TH, Leboit PE. p53 oncoprotein expression and proliferation index in keratoacanthoma and squamous cell carcinoma. Arch Dermatopathol, 1994;130:181~186
5,Harima Y, Oka A, Nagata K et al. Bax and Bcl-2 expression predict response to radiotherapy in human cervical cancer. Gan To Kagaku Ryoho, 1998;25:1273~1277
6,Miyashita T, Krajewski S, Krajewska M, et al. Tumor suppressor p53 is a regulator of bcl-2 and bax gene expression in vitro and in vivo. Oncogene, 1994;9:1799~1802
7,Barinage M. Cell suicide: by ice, not fire. Science, 1994;263:754~756
收稿日期:1999-03-17, http://www.100md.com
单位:李利 王琳 成娘 杜晓萍 杨毅 周光平(华西医科大学附属第一医院皮肤性病科,成都 610041)
关键词:角化棘皮瘤;凋亡;bcl-2;bax;TUNEL;免疫组织化学
临床与实验病理学杂志990403摘要 目的:探讨角化棘皮瘤(keratoacanthoma, KA)在细胞凋亡方面的生物学特点。方法:用末端脱氧核苷酰转移酶(TdT)介导的d-UTP生物素缺口末端标记技术(TUNEL),原位检测20例角化棘皮瘤中凋亡细胞;应用免疫组织化学技术检测皮损部位bax和bcl-2基因产物的表达。结果:KA中80%(16/20)瘤中心出现凋亡细胞。30%(6/20)肿瘤边缘bcl-2呈弱阳性染色。全部病例bax染色阳性。细胞凋亡指数与bax表达强度显著正相关(r=0.680,P=0.001),与bcl-2表达强度显著负相关(r=-0.618,P=0.004)。结论:细胞凋亡为角化棘皮瘤的典型生物学特征,可能在KA的自然消退中发挥重要作用。
, 百拇医药
分类号 R758.53;R392.3 文献标识码 A
文章编号 1001-7399(1999)04-0290-03
Study on the expression of apoptosis、bcl-2 and bax and their relationship in keratoacanthoma
Li Li, Wang Lin, △Cheng Niang et al
(Dept of Dermatovenereol, △Dept of Pathol, First Affiliated Hospital of West China University of Medical Sciences, Chengdu 610041)
, 百拇医药
ABSTRACT Purpose To explore the characteristic of apoptosis in keratoacanthoma (KA). Methods In situ method of terminal deoxytransferade (TdT)-mediated dUTP-biotin nick and labelling staining (TUNEL) was used to identify programmed cell death in 20 KAs. These cases also were examined with immunohistochemical technique for the expression of two protooncogenes, bcl-2 and bax, recently recognized to be involved in apoptosis. Results There were 80%(16/20) apoptosis cells in the center of the tumor. Positive staining with bcl-2 antibody appeared in 30%(6/20) of KAs. All cases expressed bax. There was a significant negative correlation between apoptosis index (AI) and the intensity of in situ expression of bcl-2 (r=-0.618,P=0.001), but a significant positive correlation between AI and the intensity of in situ expression of bax (r=0.680,P=0.004). The weak negative correlation was found between the intensity expression of bcl-2 and that of bax but of no statistical significance (r=-0.364,P>0.05). Conclusion It is suggested that cell apoptosis be a biologic characteristic of KA and may play an important role in spontaneous regression of KA.
, 百拇医药
KEY WORDS keratoacanthoma; apoptosis; bcl-2;bax; TUNEL; immunohistochemistry
角化棘皮瘤(keratoacanthoma, KA)是来源于棘细胞的肿瘤。多数皮损在半年内可自行消退。自行消退的机制不明。近年对生长缓慢、有自然消退倾向的肿瘤如鲍温病和基底细胞癌研究提示细胞凋亡可能起一定作用。细胞凋亡在KA中的状况尚未见报道。Fujimmoto等〔1〕发现凋亡促进基因bax (bcl-2-associated X protein)在KA中表达。为了探讨细胞凋亡是否在其自然消退中发挥作用,作者采用末端脱氧核苷酰转移酶(TdT)介导的d-UTP生物素缺口末端标记技术(TUNEL),检测了KA的细胞凋亡状况。同时观察了与凋亡相关bax和bcl-2基因产物的表达。
1 材料与方法
1.1 组织标本 病例选自我院1990~1998年资料完整的KA共20例,男14例,女6例,年龄48~83岁,平均68岁。病程1~30月,平均8月。单发型14例,多发型(2个以上)6例。按文献〔2〕方法作组织学分期:增生期6例,成熟期12例,消退期2例(图1~3)。均发生在头面和手背等暴露部位。全部病例取活检前均未接受过特殊治疗。病理切片均经皮肤病理医师再次确诊。石蜡包埋组织标本,行3 μm厚连续切片,1张常规HE染色,2张TUNEL法染色,4张作免疫组化研究。
, 百拇医药
图1 增生期角化棘皮瘤.HE×25
图2 成熟期角化棘皮瘤.HE×30
图3 消退期角化棘皮瘤.HE×100
1.2 方法
1.2.1 原位末端标记 TUNEL法染色主要步骤按TUNEL原位末端标记试剂盒(In Situ Cell Death Detection Kit, AP Cat No 1684809, Boehringer Mannheim公司)说明进行。NBT/BCIP显色,核固红复染,甘油明胶封片。阳性对照为正常扁桃体组织,空白对照为不加dUTP,只加TdT的组织切片。
, 百拇医药
1.2.2 免疫组化染色 采用标准的S-P法。试剂盒购自Zymed公司。bcl-2抗体(Santa Cruze公司)和bax多克隆抗体(Dako公司)工作浓度分别为1∶50和1∶100。载片经APES处理。主要操作步骤:常规脱蜡水化,滴加第一抗体bcl-2或bax,37℃,1 h。滴加生物素标记的二抗,37℃,30 min。滴加三抗(过氧化酶标记的链亲合素),37℃,30 min后DAB显色,苏木素复染封片。以上各步间均用0.01 mol.L-1 PBS(pH 7.4)洗3次,每次5 min。阳性对照:bcl-2用肺癌转移的淋巴结,bax为正常皮肤;空白对照以PBS代替一抗,余同前。
1.3 结果判断 (1)TUNEL法:阳性的细胞形态特征包括:核固缩呈圆形或椭圆形深紫蓝色团块;染色质沿核膜形成新月状、半月状或环状,核质内空泡形成。选瘤块中凋亡细胞和凋亡小体数较多的高倍视野5个,每个视野计数100个细胞中凋亡细胞和凋亡小体数,取5个视野的平均值为凋亡指数(Apoptosis index, AI),用半定量表示:凋亡指数<5%为阴性(-),5%~30%为弱阳性(+),31%~50%为中度阳性(
, 百拇医药
1.4 统计学方法 数据采用SPSS软件进行等级相关性分析。
2 结果
2.1 TUNEL法 KA中80%(16/20)患者AI>5%,其中+及
图4 凋亡细胞在KA紧邻角栓的肿瘤区呈巢状分布.TUNEL×150
, 百拇医药
图5 凋亡细胞为圆形或椭圆形深紫蓝色团块.TUNEL×500
2.2 免疫组化法 bcl-2:仅有30%(6/20)的病例与正常皮肤交界处的瘤细胞为阳性染色(图6)。远离肿瘤的正常皮肤基底细胞胞浆呈黄色或棕黄色颗粒可作内对照。bax:全部病例呈阳性染色(图7)。染色强度频数分布见表1。
图6 与正常皮肤交界处的瘤细胞胞浆bcl-2呈现黄色或棕黄色颗粒.S-P×750
图7 bax 表达于胞浆、胞膜和核膜呈棕黄色。S-P×200
, 百拇医药 图8 bcl-2阳性对照呈黄色或棕黄色颗粒。S-P×250
表1 角化棘皮瘤AI、bcl-2及bax染色强度频数(例数) 染色强度
AI
bcl-2
bax
-
4
14
0
+
1
4
, 百拇医药
2
1
2
5
14
0
13
合计
20
20
20
, http://www.100md.com
2.3 相关性分析 AI与bcl-2表达显著负相关(r=-0.618,P=0.004),与bax表达显著正相关(r=0.680,P=0.001)。bcl-2表达与bax表达负相关(r=-0.364),但无显著性意义(P=0.115)。
3 讨论
KA是好发于中老年皮肤暴露部位的丘疹、斑块或结节,中心可见火山口样角栓。常在2~3月内迅速生长,多数皮损1年内自然消退。男性好发。本组病人均发生在受日光照射的头面部,男女之比为7∶3。KA病因不明,众多学者对其自然消退的生物学进行了研究。Stephenson等〔3〕观察到炎性KA真皮组织有更多的Langerhan细胞浸润,因而认为与Langerhan细胞有关。Kerschmann等〔4〕通过与鳞状细胞癌p53表达和增殖指数比较,认为KA的自然消退与凋亡有关。细胞凋亡是一种受遗传控制的单个细胞主动自杀过程,是机体维持稳态的基础,也是肿瘤性疾病发生发展的重要因素。恶性度高、预后差的恶性黑素瘤凋亡细胞明显低于恶性度低、进展慢的基底细胞癌。肿瘤放疗、化疗后的疗效也与凋亡细胞的增加显著相关〔5〕。KA发展到一定时期即停止,罕见转移,属良性肿瘤性增生。本研究采用TUNEL法直接观察KA瘤细胞凋亡的形态学特征,发现80%KA(16/20)有细胞凋亡现象,70%(14/20)呈强阳性反应,表明凋亡为KA典型生物学特征。凋亡细胞分布于肿块中心的瘤细胞,多数为核固缩呈圆形或椭圆形深紫蓝色团块;少数细胞核染色质沿核膜形成环状,核质内有空泡形成。表明KA是从肿块的中心开始凋亡。5例增生期KA即有凋亡现象,但平均凋亡指数低于成熟期KA,提示从KA早期,增生和凋亡即同时存在,在KA的成熟期,增生逐渐降低,凋亡占优势,最终导致KA的自然消退。
, 百拇医药
bcl-2是凋亡抑制原癌基因,其编码蛋白具有抑制细胞凋亡作用,但不影响细胞增殖。bax与bcl-2是同源基因,作用为促进细胞凋亡。野生型p53基因是一种抑癌基因,可诱导bax基因表达,抑制bcl-2基因表达〔6〕。细胞内bax和bcl-2基因产物共同构成了细胞内的微调变阻器(preset rheostat within cells)调节细胞凋亡。如一个细胞内bcl-2蛋白占优势,它结合掉所有的bax,余下的bcl-2相互接成bcl-2-bcl-2对,使细胞得以生存。反之,细胞则死亡〔7〕。本组病例中,bax占绝对优势,全部病例均为阳性表达,且以肿瘤中心最强,仅6例肿瘤边缘bcl-2呈阳性表达。与凋亡细胞分布吻合。相关性检验进一步表明瘤细胞凋亡与bax蛋白表达呈显著正相关,与bcl-2蛋白表达呈显著负相关。
综上所述,本研究结果显示KA包块中心有明显细胞凋亡的形态学特征,在增生期即开始出现凋亡,成熟期更明显,并受到bcl-2和bax基因的调控。以上结果表明细胞凋亡是KA重要的生物学行为,可能与KA极少发生转移有关,并且在KA的自然消退中起重要作用。
, 百拇医药
作者简介:李 利,女,40岁,硕士,讲师。研究方向:光线性皮肤病
周光平,男,57岁,教授。研究方向:临床皮肤病理
参考文献
1,Fujimoto W, Arata J. Expression of the bcl-2 homologue bax in normal human skin, psoriasis vulgaris and non-melanoma skin cancers. Eur J Dermatol, 1998;8:256~260
2,李成明,单伟化.角化棘皮瘤.国外医学皮肤病学分册,1995;21:99~100
3,Stephenson TJ, Nichols CE, Cotton DWK. Keratoacanthomas contain a higher density of Langerhans cell than well differentiated squamous cell carcinomas. J Pathol, 1987;152:238~242
, 百拇医药
4,Kerschmann RL, McCalmont TH, Leboit PE. p53 oncoprotein expression and proliferation index in keratoacanthoma and squamous cell carcinoma. Arch Dermatopathol, 1994;130:181~186
5,Harima Y, Oka A, Nagata K et al. Bax and Bcl-2 expression predict response to radiotherapy in human cervical cancer. Gan To Kagaku Ryoho, 1998;25:1273~1277
6,Miyashita T, Krajewski S, Krajewska M, et al. Tumor suppressor p53 is a regulator of bcl-2 and bax gene expression in vitro and in vivo. Oncogene, 1994;9:1799~1802
7,Barinage M. Cell suicide: by ice, not fire. Science, 1994;263:754~756
收稿日期:1999-03-17, http://www.100md.com