鼻咽癌放射治疗后鼻腔粘连防治探讨
作者:周永 唐安洲 李杰恩 曾钢 兰新海
单位:广西医科大学一附院耳鼻喉科(南宁,530027)
关键词:鼻咽肿瘤;放射疗法;鼻腔粘连
癌症990426
【摘要】目的:研究鼻咽癌放疗后鼻腔粘连的发病情况及其影响因素和治疗方法。方法:临床治疗28例鼻咽癌放疗后鼻腔粘连病例,并随机抽取123例鼻咽癌放疗后患者的鼻咽轴位CT,统计鼻腔粘连的发病情况。结果:CT资料显示鼻腔粘连发生率为28.5%,其中94%的病人发生在放疗后6个月内,女性、接受鼻咽腔内照射以及放疗前鼻咽肿瘤浸润程度广泛的病人,容易发生鼻腔粘连。经治疗后的鼻腔粘连病例,鼻腔再通气效果良好。结论:鼻咽癌放疗后的鼻腔粘连有较高的发生率,多于放疗后6个月内形成;它与性别、鼻咽腔内照射、鼻咽肿瘤的浸润程度等有密切的关系;鼻内窥镜手术是治疗鼻腔粘连的最佳方法。
, http://www.100md.com
中图分类号:R739.63 文献标识码:A 文章编号:1000-467X(1999)04-0440-03
Nasal adhesion after radiotherapy in the patients with nasopharyngeal carcinoma
ZHOU Yong, TANG An-zhou, LI Jie-en,et al.
Department of Otolaryngology,First Affiliated Hospital,Guangxi Medical University,Nanning 530027, P.R.China
【Abstract】 Objectives:To study the incidence,affecting factors and treatment apporach of nasal adhesion after radiotherapy in the patients with nasopharyngeal carcinoma (NPC). Methods:Twenty-eight cases with nasal adhesion after radiotherapy were treated by operation through palate or endoscopic surgery.In the other group,the CT scanning of 123 patients with NPC before and after radiotherpay was observed and the incidence of nasal adhesion after radiotherapy was analyzed.Results:CT scanning group showed that the incidence of nasal adhesion was 28.5% ,and nasal adhesion were formed within 6 months after radiotherapy in 94% patients.Among these patients,in females,with nasopharynx received intracavitary irradiation and their nasopharygeal tumor infiltrated extensively were easier to develop nasal adhesions. By removing adhesive tissue,nasal ventilation in the most patients was recovered.Conclusions:Nasal adhesion is a common complication after radiotherapy in patients with NPC.The formation of nasal adhesion is within 6 months in the most patients and relates to female, nasopharyngeal intracavitary irradiation, and extensiveness of nasopharyngeal tumor infiltration.Endoscopic surgery is the best way to treat nasal adhesion.
, 百拇医药
Key words:Nasopharyngeal neoplasms; Radiotherapy; Nasal adhesion
在鼻咽癌(NPC)放射治疗后随访的病人中,常可发现鼻腔粘连并发症。然而,有关放疗后鼻腔粘连的发病情况及其预防治疗的报道甚少。我们治疗了28例因NPC放疗后鼻腔粘连的病人,并回顾性的观察了123例鼻咽癌放疗前后鼻咽CT片,以了解NPC放疗后鼻腔粘连的发生时期和发生率;现报告如下。
1 临床资料与方法
1.1 临床治疗组
1994年5月~1998年5月在我科治疗的28例NPC放疗后鼻腔粘连的病例,男12例,女16例,年龄24~68岁,平均40岁。诊断为鼻腔粘连并接受治疗的时间放疗后3~6个月,平均为4个月。经治病例均接受了常规的外照射治疗(剂量为70~78Gy),其中21例在常规放疗结束后,进行了1~3次经鼻腔插管鼻咽腔内放射治疗,每次腔内放射剂量为600~800cGy;仅7例行单纯外照射治疗。病人以持续性鼻塞、流涕、嗅觉减退或丧失为主诉,前鼻镜或鼻内窥镜检查发现鼻腔后份粘膜肿胀,鼻甲与鼻中隔相贴,探针不能通过。轴位CT证实鼻腔粘连并可确定粘连的范围。术后鼻腔粘连物均经病理证实为以肉芽及纤维结缔组织增生为主的病理组织改变。
, 百拇医药
1.2 CT观察组
随机抽取1994年2月~1998年4月间经病理证实并接受放射治疗的123例鼻咽癌病人放疗前后的轴位鼻咽CT片。每例包括放疗前和放疗结束至放疗后不同时期的3~7次CT资料。放疗后观察时间为3月~36月,平均11.2月(中位数10月)。在所观察的患者中,男82例,女41例。年龄16~76岁,平均43.8岁。为了解鼻咽肿瘤浸润程度对鼻腔粘连的影响,按照杨广夫等[1]的标准对放疗前鼻咽肿瘤浸润程度进行CT分期。具体CT的T分期标准为:T1期:仅鼻咽腔壁侵犯。T2期:鼻咽腔周侵犯,病变从粘膜层侵犯咽周间隙,但不累及咽间隙深层组织,如翼外肌或颈动脉鞘。T3期:超腔咽旁深层间隙侵犯,肿瘤累及翼外肌或颈动脉鞘,椎前肌群等。T4期,邻近器官侵犯,包括鼻腔、口咽,破坏颅底等。
1.3 治疗方法
28例均采用以清除粘连组织、改善鼻腔通气为目的手术治疗,其中4例采用腭间径路行鼻腔后鼻孔成形术;另24例在鼻内窥镜下行鼻腔后鼻孔成形术,部分病例还采用了微波凝固或YAG激光气化技术。术后均于鼻腔留置硅胶扩张管,置管时间1~3个月。
, 百拇医药
2 结果
2.1 临床治疗组
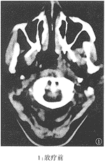
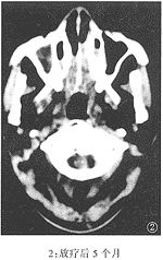
本组病例经随访观察3月~35月,平均17月(中位数15月)。除2例再粘连外,均取得了良好的通气效果。该组的CT显示:鼻腔粘连的部位多在鼻腔后份,表现为鼻甲与鼻中隔之间的空隙消失,为条索状致密阴影所填充,往往可在多个层面特别是在鼻腔的上部层面上可以观察到。治疗前后鼻甲与鼻中隔间的空隙恢复见图1、2、3。


附图 鼻腔粘连前后及手术治疗后的鼻腔CT表现
2.2 CT观察组
, http://www.100md.com
根据鼻腔粘连的CT特征,规定在2个层面以上见鼻甲和鼻中隔间出现条索状致密影,并在放疗后2次以上的CT片中对比证实,为CT所见的鼻腔粘连,在观察的123例病人的CT中,发现鼻腔粘连者35例,总粘连发生率为28.5%。其中82例男性病人中,18例发生粘连,男性粘连发生率22.0%,41例女性患者中,17例发生粘连,粘连发生率41.5%。男女性患者鼻腔粘连的发生率,差异有显著性意义(t检验,P<0.05)。另外,为比较放疗前鼻咽肿瘤浸润程度与鼻腔粘连发生率的关系,将CT分期各T期的鼻腔粘连的发生情况列于表1。可以看出鼻腔粘连的发生与CT分期有一定关系。
表1 观察组CT分期与鼻腔粘连 CT分期
例数
粘连例数
粘连发生率(%)
T1
, http://www.100md.com
14
1
7.1
T2
28
8
28.6
T3
51
14
27.5
T4
30
12
, 百拇医药
40
35例粘连患者的发生时间均在放射后8个月以内。其中9例在2个月内粘连,仅占25.7%;28例在4个月内发生,占发生的80%;6个月内发生粘连33例,占总发生的94%。
3 讨论
临床诊断鼻腔粘连不难,凡NPC放疗后有持续性鼻塞并伴流涕、嗅觉减退或丧失者,经鼻镜检查发现下、中鼻甲与鼻中隔相贴,用血管收缩剂不能分开,探针不能通过,粘连即可确诊。通过对经治疗的28例鼻腔粘连病例的鼻咽轴位CT的观察,发现鼻腔粘连的轴位CT有以下特点:鼻甲与鼻中隔之间的空隙消失,被条索状致密影代替;这条索状致密影往往可在多个层面特别是在鼻腔顶部的层面上观察到,而肿胀的鼻甲组织的密度较为均匀且以鼻腔下部为主,可以与因放疗引起的鼻腔粘膜肿胀及鼻腔分泌物相区别。与粘连前的CT片比较,也有助于CT上对该病的诊断。
经随机抽取123例NPC放疗后的CT观察发现,鼻腔粘连的发生率达到28.5%,表明鼻腔粘连已成为NPC放疗后常见并发症之一。鼻腔粘连使鼻腔功能出现严重的障碍,是影响NPC放疗后病人生存质量的因素之一。随着NPC放疗方法的改进、5年生存率的提高,病人对生存质量的要求会越来越高,研究放疗后鼻腔粘连的发病机理及其防治,对提高放疗后病人的生存质量有重要意义。
, http://www.100md.com
NPC的常规外照射不只限于鼻咽部肿瘤的部位,而涉及到鼻腔后1/3,如果加前鼻野照射还涉及鼻腔的中前部,但其剂量仅有10~20Gy。因此临床观察到的鼻腔粘连多为后份及后鼻孔。有报道称,当放疗量达到40Gy时便可出现鼻粘膜充血、肿胀、糜烂出血及白膜的形成,导致鼻甲与鼻中隔紧密相贴[2],并在6个月内发生组织结构变化及功能障碍[3]。如果在这一过程中没有得到及时而适当的鼻腔处理,鼻腔粘连就可能形成。对本组观察发现,CT组中94%的鼻腔粘连发生在放疗后6个月内;同样,临床治疗组的全部病例也均在6个月内发生粘连。表明NPC放疗后6个月内的这段时间是发生鼻腔粘连的重要时期。因此,对放疗后病人,特别是放疗的后半年内的病人进行随访对预防粘连十分重要。一经发现鼻腔粘膜肿胀、鼻甲与鼻中隔紧密相贴时,应给予足够的重视,及时处理,有望防止鼻腔粘连的发生。
我们观察发现女性、放疗前鼻咽肿瘤浸润程度广泛的病人以及接受鼻咽腔内照射的病人,容易发生鼻腔粘连。我们以CT分期来表明NPC局部肿瘤浸润程度,CT的T分期程度高,肿瘤局部侵犯的范围广,经放疗后组织渗出反应加重,发生鼻腔粘连的可能性也随之增加;鼻咽腔内照射由于后鼻孔区局部放疗量极高[4],并且由于经鼻腔置管容易造成鼻腔粘膜的机械性损伤,更易发生粘连。因此,为避免放疗后鼻腔粘连,应合理设计NPC的照射野和照射剂量,严格掌握鼻咽腔内照射的适应证并注意与外照射之剂量配置。同时,应加强执行操作的医技人员的技术培训,使其熟悉鼻腔的解剖结构,减少不必要的鼻腔损伤。
, 百拇医药
鼻腔粘连的位置绝大多数位于鼻腔后份或后鼻孔,给治疗带来了困难。在引进鼻内窥镜手术以前,最常用的方法是腭间径路切除粘连组织,然后置管以防止粘连的再形成。本组中有4例用此法治疗,虽然取得了良好的效果,但需在全麻下进行,且手术损伤大,出血多,增加了手术的危险及病人的痛苦,恢复过程也较长。引进鼻内窥镜后,我们采用局麻或局麻加强化麻醉在鼻内窥镜下,切除粘连组织并鼻腔放置硅胶管,经治的24例病人,效果良好,此法组织损伤少,视野清晰,减少了手术中的危险,减轻了病人的痛苦,是我们的目前的常规手术治疗方法。值得提出的是,不管哪种方法,在切除粘连组织鼻腔置管后,要有足够的置管时间,一般不能少于一个月。拔管后尚需作短期的鼻腔清理,防止再粘连的发生。
参考文献
1 杨广夫,王泽忠,刘继汉,等.鼻咽CT表现与肿瘤分期[J].中国医学影像技术,1995,11(1):6.
2 谷铣之,殷蔚伯,刘泰福,等.肿瘤放射治疗学[M].北京:北京医科大学.中国协和医科大学联合出版社,第一版,1993:471.
, http://www.100md.com
3 Young YH , Lin KL,Ko JY .Otitis media with effusion in patients with nasopharyngeal carcinoma postirradiation[J] .
4 Arch Otolaryngol Head Neck Surg,1995,121(7):765~768.
5 赵森.鼻咽癌腔内大剂量后装治疗的几点体会[J].癌症,1995,4(3):127.
收稿日期:1998-09-23;修回日期:1998-12-18, 百拇医药
单位:广西医科大学一附院耳鼻喉科(南宁,530027)
关键词:鼻咽肿瘤;放射疗法;鼻腔粘连
癌症990426
【摘要】目的:研究鼻咽癌放疗后鼻腔粘连的发病情况及其影响因素和治疗方法。方法:临床治疗28例鼻咽癌放疗后鼻腔粘连病例,并随机抽取123例鼻咽癌放疗后患者的鼻咽轴位CT,统计鼻腔粘连的发病情况。结果:CT资料显示鼻腔粘连发生率为28.5%,其中94%的病人发生在放疗后6个月内,女性、接受鼻咽腔内照射以及放疗前鼻咽肿瘤浸润程度广泛的病人,容易发生鼻腔粘连。经治疗后的鼻腔粘连病例,鼻腔再通气效果良好。结论:鼻咽癌放疗后的鼻腔粘连有较高的发生率,多于放疗后6个月内形成;它与性别、鼻咽腔内照射、鼻咽肿瘤的浸润程度等有密切的关系;鼻内窥镜手术是治疗鼻腔粘连的最佳方法。
, http://www.100md.com
中图分类号:R739.63 文献标识码:A 文章编号:1000-467X(1999)04-0440-03
Nasal adhesion after radiotherapy in the patients with nasopharyngeal carcinoma
ZHOU Yong, TANG An-zhou, LI Jie-en,et al.
Department of Otolaryngology,First Affiliated Hospital,Guangxi Medical University,Nanning 530027, P.R.China
【Abstract】 Objectives:To study the incidence,affecting factors and treatment apporach of nasal adhesion after radiotherapy in the patients with nasopharyngeal carcinoma (NPC). Methods:Twenty-eight cases with nasal adhesion after radiotherapy were treated by operation through palate or endoscopic surgery.In the other group,the CT scanning of 123 patients with NPC before and after radiotherpay was observed and the incidence of nasal adhesion after radiotherapy was analyzed.Results:CT scanning group showed that the incidence of nasal adhesion was 28.5% ,and nasal adhesion were formed within 6 months after radiotherapy in 94% patients.Among these patients,in females,with nasopharynx received intracavitary irradiation and their nasopharygeal tumor infiltrated extensively were easier to develop nasal adhesions. By removing adhesive tissue,nasal ventilation in the most patients was recovered.Conclusions:Nasal adhesion is a common complication after radiotherapy in patients with NPC.The formation of nasal adhesion is within 6 months in the most patients and relates to female, nasopharyngeal intracavitary irradiation, and extensiveness of nasopharyngeal tumor infiltration.Endoscopic surgery is the best way to treat nasal adhesion.
, 百拇医药
Key words:Nasopharyngeal neoplasms; Radiotherapy; Nasal adhesion
在鼻咽癌(NPC)放射治疗后随访的病人中,常可发现鼻腔粘连并发症。然而,有关放疗后鼻腔粘连的发病情况及其预防治疗的报道甚少。我们治疗了28例因NPC放疗后鼻腔粘连的病人,并回顾性的观察了123例鼻咽癌放疗前后鼻咽CT片,以了解NPC放疗后鼻腔粘连的发生时期和发生率;现报告如下。
1 临床资料与方法
1.1 临床治疗组
1994年5月~1998年5月在我科治疗的28例NPC放疗后鼻腔粘连的病例,男12例,女16例,年龄24~68岁,平均40岁。诊断为鼻腔粘连并接受治疗的时间放疗后3~6个月,平均为4个月。经治病例均接受了常规的外照射治疗(剂量为70~78Gy),其中21例在常规放疗结束后,进行了1~3次经鼻腔插管鼻咽腔内放射治疗,每次腔内放射剂量为600~800cGy;仅7例行单纯外照射治疗。病人以持续性鼻塞、流涕、嗅觉减退或丧失为主诉,前鼻镜或鼻内窥镜检查发现鼻腔后份粘膜肿胀,鼻甲与鼻中隔相贴,探针不能通过。轴位CT证实鼻腔粘连并可确定粘连的范围。术后鼻腔粘连物均经病理证实为以肉芽及纤维结缔组织增生为主的病理组织改变。
, 百拇医药
1.2 CT观察组
随机抽取1994年2月~1998年4月间经病理证实并接受放射治疗的123例鼻咽癌病人放疗前后的轴位鼻咽CT片。每例包括放疗前和放疗结束至放疗后不同时期的3~7次CT资料。放疗后观察时间为3月~36月,平均11.2月(中位数10月)。在所观察的患者中,男82例,女41例。年龄16~76岁,平均43.8岁。为了解鼻咽肿瘤浸润程度对鼻腔粘连的影响,按照杨广夫等[1]的标准对放疗前鼻咽肿瘤浸润程度进行CT分期。具体CT的T分期标准为:T1期:仅鼻咽腔壁侵犯。T2期:鼻咽腔周侵犯,病变从粘膜层侵犯咽周间隙,但不累及咽间隙深层组织,如翼外肌或颈动脉鞘。T3期:超腔咽旁深层间隙侵犯,肿瘤累及翼外肌或颈动脉鞘,椎前肌群等。T4期,邻近器官侵犯,包括鼻腔、口咽,破坏颅底等。
1.3 治疗方法
28例均采用以清除粘连组织、改善鼻腔通气为目的手术治疗,其中4例采用腭间径路行鼻腔后鼻孔成形术;另24例在鼻内窥镜下行鼻腔后鼻孔成形术,部分病例还采用了微波凝固或YAG激光气化技术。术后均于鼻腔留置硅胶扩张管,置管时间1~3个月。
, 百拇医药
2 结果
2.1 临床治疗组
本组病例经随访观察3月~35月,平均17月(中位数15月)。除2例再粘连外,均取得了良好的通气效果。该组的CT显示:鼻腔粘连的部位多在鼻腔后份,表现为鼻甲与鼻中隔之间的空隙消失,为条索状致密阴影所填充,往往可在多个层面特别是在鼻腔的上部层面上可以观察到。治疗前后鼻甲与鼻中隔间的空隙恢复见图1、2、3。
附图 鼻腔粘连前后及手术治疗后的鼻腔CT表现
2.2 CT观察组
, http://www.100md.com
根据鼻腔粘连的CT特征,规定在2个层面以上见鼻甲和鼻中隔间出现条索状致密影,并在放疗后2次以上的CT片中对比证实,为CT所见的鼻腔粘连,在观察的123例病人的CT中,发现鼻腔粘连者35例,总粘连发生率为28.5%。其中82例男性病人中,18例发生粘连,男性粘连发生率22.0%,41例女性患者中,17例发生粘连,粘连发生率41.5%。男女性患者鼻腔粘连的发生率,差异有显著性意义(t检验,P<0.05)。另外,为比较放疗前鼻咽肿瘤浸润程度与鼻腔粘连发生率的关系,将CT分期各T期的鼻腔粘连的发生情况列于表1。可以看出鼻腔粘连的发生与CT分期有一定关系。
表1 观察组CT分期与鼻腔粘连 CT分期
例数
粘连例数
粘连发生率(%)
T1
, http://www.100md.com
14
1
7.1
T2
28
8
28.6
T3
51
14
27.5
T4
30
12
, 百拇医药
40
35例粘连患者的发生时间均在放射后8个月以内。其中9例在2个月内粘连,仅占25.7%;28例在4个月内发生,占发生的80%;6个月内发生粘连33例,占总发生的94%。
3 讨论
临床诊断鼻腔粘连不难,凡NPC放疗后有持续性鼻塞并伴流涕、嗅觉减退或丧失者,经鼻镜检查发现下、中鼻甲与鼻中隔相贴,用血管收缩剂不能分开,探针不能通过,粘连即可确诊。通过对经治疗的28例鼻腔粘连病例的鼻咽轴位CT的观察,发现鼻腔粘连的轴位CT有以下特点:鼻甲与鼻中隔之间的空隙消失,被条索状致密影代替;这条索状致密影往往可在多个层面特别是在鼻腔顶部的层面上观察到,而肿胀的鼻甲组织的密度较为均匀且以鼻腔下部为主,可以与因放疗引起的鼻腔粘膜肿胀及鼻腔分泌物相区别。与粘连前的CT片比较,也有助于CT上对该病的诊断。
经随机抽取123例NPC放疗后的CT观察发现,鼻腔粘连的发生率达到28.5%,表明鼻腔粘连已成为NPC放疗后常见并发症之一。鼻腔粘连使鼻腔功能出现严重的障碍,是影响NPC放疗后病人生存质量的因素之一。随着NPC放疗方法的改进、5年生存率的提高,病人对生存质量的要求会越来越高,研究放疗后鼻腔粘连的发病机理及其防治,对提高放疗后病人的生存质量有重要意义。
, http://www.100md.com
NPC的常规外照射不只限于鼻咽部肿瘤的部位,而涉及到鼻腔后1/3,如果加前鼻野照射还涉及鼻腔的中前部,但其剂量仅有10~20Gy。因此临床观察到的鼻腔粘连多为后份及后鼻孔。有报道称,当放疗量达到40Gy时便可出现鼻粘膜充血、肿胀、糜烂出血及白膜的形成,导致鼻甲与鼻中隔紧密相贴[2],并在6个月内发生组织结构变化及功能障碍[3]。如果在这一过程中没有得到及时而适当的鼻腔处理,鼻腔粘连就可能形成。对本组观察发现,CT组中94%的鼻腔粘连发生在放疗后6个月内;同样,临床治疗组的全部病例也均在6个月内发生粘连。表明NPC放疗后6个月内的这段时间是发生鼻腔粘连的重要时期。因此,对放疗后病人,特别是放疗的后半年内的病人进行随访对预防粘连十分重要。一经发现鼻腔粘膜肿胀、鼻甲与鼻中隔紧密相贴时,应给予足够的重视,及时处理,有望防止鼻腔粘连的发生。
我们观察发现女性、放疗前鼻咽肿瘤浸润程度广泛的病人以及接受鼻咽腔内照射的病人,容易发生鼻腔粘连。我们以CT分期来表明NPC局部肿瘤浸润程度,CT的T分期程度高,肿瘤局部侵犯的范围广,经放疗后组织渗出反应加重,发生鼻腔粘连的可能性也随之增加;鼻咽腔内照射由于后鼻孔区局部放疗量极高[4],并且由于经鼻腔置管容易造成鼻腔粘膜的机械性损伤,更易发生粘连。因此,为避免放疗后鼻腔粘连,应合理设计NPC的照射野和照射剂量,严格掌握鼻咽腔内照射的适应证并注意与外照射之剂量配置。同时,应加强执行操作的医技人员的技术培训,使其熟悉鼻腔的解剖结构,减少不必要的鼻腔损伤。
, 百拇医药
鼻腔粘连的位置绝大多数位于鼻腔后份或后鼻孔,给治疗带来了困难。在引进鼻内窥镜手术以前,最常用的方法是腭间径路切除粘连组织,然后置管以防止粘连的再形成。本组中有4例用此法治疗,虽然取得了良好的效果,但需在全麻下进行,且手术损伤大,出血多,增加了手术的危险及病人的痛苦,恢复过程也较长。引进鼻内窥镜后,我们采用局麻或局麻加强化麻醉在鼻内窥镜下,切除粘连组织并鼻腔放置硅胶管,经治的24例病人,效果良好,此法组织损伤少,视野清晰,减少了手术中的危险,减轻了病人的痛苦,是我们的目前的常规手术治疗方法。值得提出的是,不管哪种方法,在切除粘连组织鼻腔置管后,要有足够的置管时间,一般不能少于一个月。拔管后尚需作短期的鼻腔清理,防止再粘连的发生。
参考文献
1 杨广夫,王泽忠,刘继汉,等.鼻咽CT表现与肿瘤分期[J].中国医学影像技术,1995,11(1):6.
2 谷铣之,殷蔚伯,刘泰福,等.肿瘤放射治疗学[M].北京:北京医科大学.中国协和医科大学联合出版社,第一版,1993:471.
, http://www.100md.com
3 Young YH , Lin KL,Ko JY .Otitis media with effusion in patients with nasopharyngeal carcinoma postirradiation[J] .
4 Arch Otolaryngol Head Neck Surg,1995,121(7):765~768.
5 赵森.鼻咽癌腔内大剂量后装治疗的几点体会[J].癌症,1995,4(3):127.
收稿日期:1998-09-23;修回日期:1998-12-18, 百拇医药