腹膜后原发性肿瘤和肿瘤样病变的超声诊断
作者:朱强 严昆 孟焱 陈敏华 陈素珍
单位:北京医科大学临床肿瘤学院、北京市肿瘤防治研究所,(北京,100036)
关键词:超声诊断;腹膜后疾病;腹膜后肿瘤
癌症990425
【摘要】目的:评价超声诊断对腹膜后原发性肿瘤(RPT)和肿瘤样病变(RTLD)的定位和良恶性鉴别能力。资料和方法:本文共收集150例(共157个病灶)腹部肿物患者(用于定位分析),其中80例(共87个病灶)为RPT和RTLD病人(用于定性分析)。男性93例,女性57例,平均年龄48岁。全部病例均获病理学证实。结果:超声定位准确性达88.54%(139/157),敏感性达90.80%(79/87),特异性达85.71%(60/70)。80例RPT和RTLD病人中,61例(76.25%)可正确鉴别良恶性。内部异质性、边界清晰与不清晰、外形规则与不规则、以及移动性,这些超声征象对于良恶性鉴别较有意义(P<0.05)。结论:超声对于RPT和RTLD的发现和定位是很好的影像诊断方法;进行超声影像的综合分析,能对大多数病人做出良恶性的鉴别诊断。
, 百拇医药
中图分类号:R445.1 文献标识码:A 文章编号:1000-467X(1999)04-0437-03
Sonographical localization and differentiation of retroperitoneal primary tumor and tumor-like disease
ZHU Qiang1, YAN Kun2, MENG Yan3, et al.
Departments of Diagnostic Radiology1 and Ultrasonography2,Beijing Medical University School of Oncology,Beijing 100036, P.R.China Division of Ultrasonography3,Beijing Fuxing Hospital,Beijing 100045, P.R.China
, 百拇医药
【Abstract】 Objective:To investigate the capacity of localization of retroperitoneal primary tumor (RPT)and tumor-like disease(RTLD)and differentiation of malignant from benign disorders using transabdominal ultrasonography (US). Methods:A total of 150 patients (93 males and 57 females)with suspicion of abdominal mass having 157 foci were collected for localization data.Of 150 cases,80 with RPT or RTLD having 87 foci were analyzed on differential diagnosis.Pathological diagnoses were obtained in all cases. Results:In the localization,an accuracy of 88.54% (139/157),a sensitivity of 90.80% (79/87),and a specificity of 85.71% (60/70)were obtained,respectively.The successful rate of differentiation between benign and malignant lesions were 76.25% (61/80).Some useful sonographical features for differential diagnosis were intrinsic homogeneous or heterogeneous texture,well-defined or unclear margin,regular or irregular configuration,and mobility of the lesion (P<0.05). Conclusion:US is a better imaging modality of the localization of RPT and RTLD and the differentiation if considered comprehensively.
, 百拇医药
Key words:Ultrasonography; Retroperitoneal diseases; Retroperitoneal neoplasms
腹膜后间隙可发生原发性肿瘤(RPT)和肿瘤样病变(RTLD),由于它们均起源于软组织,故病理种类繁多[1]。本文通过一组病例的分析与总结,以探讨超声诊断对其定位和鉴别良恶性病变的能力。
1 资料和方法
1.1 一般临床资料
共收集1984年9月至1997年6月期间经我院临床疑诊、超声检查发现的腹部肿物患者150例(共157个病灶,用于定位分析),男性93例,女性57例,年龄11至77岁,平均48岁。所有病人都获得病理学诊断,44例恶性和45例良性病变行手术切除,13例恶性病变行剖腹探查术并活检,余27例恶性和21例良性病变行超声引导穿刺活检。其中80例RPT和RTLD(共87个病灶,用于定性分析),包括恶性肿瘤43例,即脂肪肉瘤11例,恶性纤维组织细胞瘤(MFH)6例,平滑肌肉瘤、神经纤维肉瘤、神经内分泌癌各3例,纤维肉瘤、恶性血管外皮细胞瘤、恶性副神经节瘤、恶性畸胎瘤、恶性间皮瘤、滑膜肉瘤各2例,横纹肌肉瘤、神经母细胞瘤、脊索瘤、粘液癌、穿刺活检仅能诊断为恶性肿瘤各1例;良性病变37例,即神经纤维瘤16例,神经鞘瘤8例,畸胎瘤3例,副神经节瘤2例,纤维瘤、血管瘤、淋巴管瘤、神经节细胞瘤、内源性囊肿、假性动脉瘤、异物肉芽肿、穿刺活检后不能确定神经纤维瘤或平滑肌瘤各1例。另外70例中,胰体尾癌31例,肾上腺腺瘤8例,肾上腺腺癌4例,十二指肠平滑肌瘤3例,十二指肠腺癌2例,肾癌14例,大网膜或肠系膜肿瘤8例。
, 百拇医药
1.2 检查方法
检查的步骤一般分为三步:(1)发现病变并予以定位(即是否位于腹膜后区)。后者主要依据肿物与毗邻脏器(胰腺、肾脏、腹膜后大血管等)的关系进行判断。另外在实时和呼吸运动的条件下,观察肿物的移动性,从而判断其来源(腹膜后或肠系膜等)。(2)良恶性鉴别诊断。主要依靠声像图特征,尤其是病变内部回声、边界轮廓、移动性等征象。(3)预测一些常见肿瘤的病理类型(另文发表)。使用仪器为Acuson128XP/10m和AlokaSSD650型,探头频率3.5MHz~5.0MHz。病人常规取仰卧位。
2 结果
2.1 定位诊断
超声定位的准确性达88.54%(139/157病灶),敏感性达90.80%(79/87),特异性达85.71%(60/70)。8个腹膜后病灶分别被误认为来自胰腺和右肝者各2个,左肾、左肾上腺、十二指肠降段及卵巢者各1个(假阴性);而10个非RPT,即胰腺5个、十二指肠2个及肾上腺3个肿瘤被误判为RPT(假阳性)。
, 百拇医药
2.2 鉴别诊断
80例RPT和RTLD病人中,良性组最大径2.4cm~20.2cm,平均9.8cm;恶性组3.5cm~30.0cm,平均11.8cm。正确鉴别良恶性的有61例(76.25%)(图1~3);另14例(17.50%)不能明确鉴别,包括神经鞘瘤2例,神经纤维瘤5例,脂肪肉瘤4例,副神经节瘤、恶性副神经节瘤、平滑肌肉瘤各1例;其余5例(6.25%)定性错误,包括3例良性病变(血管瘤、异物肉芽肿、假性动脉瘤各1例)和2例恶性肿瘤(恶性神经鞘瘤、滑膜肉瘤各1例)。


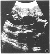
图1 右上腹斜切面。右肾(箭头)内侧见一肿物。其回声均匀,边界清晰且较规则,随呼吸可上下移动。术后病理证实为腹膜后节神经瘤。
, 百拇医药
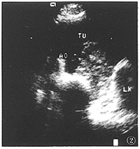
图2 上腹横切面。肿块(TU)位于腹主动脉(AO)和左肾(LK)之间。内部回声不均,边界不清楚和不规则,无移动性,AO被包绕。超声引导下活检诊断为神经内分泌癌。
图3 腹部横切面。腹主动脉(AO)前方巨大肿块。内部不均质,边界模糊呈浸润状,位置固定,部分包绕AO,压迫双侧输尿管(U)致使扩张。开腹探查活检证实为腹膜后MFH。
2.3 超声表现以及良恶性病灶之间的差异
通过回顾性分析,获得本组RPT和RTLD的超声表现,多数病变表现为低回声、内部不均质、后方回声无改变、边界清晰但不规则、推压周围脏器或解剖结构、随呼吸的移动性消失(此征象观察到48例51个病灶),而对邻近脏器或结构的包绕较少发生(见表1)。经χ2检验,在良恶性病变之间具有显著性差异(P<0.05)的征象是:内部异质性(P=0.010286)、边界清晰程度(P=0.014260)边界规则程度(P=0.010494)以及移动性(P=0.013849)。
, http://www.100md.com
表1 80例RPT和RTLD87个病灶的超声表现
恶性(n=44)
良性(n=43)
回声类型
低
39(88.64%)
33(76.74%)
高
3
3
等
1
, 百拇医药 4
囊性
1
3
不均质性
有
39(88.64%)
27(62.79%)
否
5
16
后方回声
增加
, http://www.100md.com 8
7
减低
4
1
不变
32(72.73%)
35(81.40%)
边缘征象
清晰
24(54.55%)
35(81.40%)
不清
, http://www.100md.com
20
8
规则
9(20.45)
21(48.84%)
不规
35
22
推压
34(77.27%)
39(90.70%)
包绕
6(13.64%)
, http://www.100md.com
1(2.33%)
移动性
(n=25)
(n=26)
有
1
8
否
24(96.00%)
18(69.23%)
3 讨论
腹膜后原发性肿瘤并不常见,上海市1988年的发病率为0.3/10万~0.8/10万[2],然而随着现代影像学技术的发展,RPT和RTLD会逐渐多见。而超声诊断,无论是在普查中还是在治疗前的详细检查中,通常是首选的方法。
, 百拇医药
3.1 关于超声定位诊断
病人在初诊时,常常因病灶已较大而很容易被发现,本组的发现率达100%。超声对病变定位的准确性、敏感性及特异性都很高,本文均在85%以上,敏感性略高于特异性。定位的主要根据有两点:(1)RPT和RTLD(73/87病灶,83.91%)常常推压邻近的腹膜后实质脏器和解剖结构,并且紧邻后腹壁,包括脊柱和肌肉。另一个判断肿物来源于腹膜后的特征是包绕征象,特别是对于腹主动脉、下腔静脉和输尿管的包绕,本组发现7个病灶(8.05%)有此征象。Didier等[3]报道了2例下腔静脉的肿瘤(平滑肌肉瘤及免疫母细胞瘤),在静脉腔内形成瘤栓。但笔者尚未发现此类病人。(2)呼吸时肿物的移动性减弱或消失现象(42/51,82.35%),这是由于其深在腹膜后区,位置较为固定以及周围粘连或侵犯之故。然而少数病灶可以没有上述推压现象(14/87,16.09%)或有良好的移动性(9/51,17.65%),这可能与它们瘤体较小、离腹膜后器官较远、向腹侧生长趋势或相对良性的生长方式有关。有8个病灶被误判为腹膜后毗邻器官的肿瘤,因其与这些器官的关系很密切且无明显分界,故难以确定其真正的来源(假阴性)。回顾性分析中,判为胰腺肿块的2个病灶因未见胆胰管扩张,从而可以除外来源于胰腺[4];但另6个却仍然难以定位。有些学者认为,腹部血管造影可以发现病灶的滋养血管,从而对判定肿瘤的来源有帮助[5,6]。误诊为RPT者中,5个胰体尾癌和2个十二指肠腺癌同样是由于肿瘤明显外侵,导致边界以及与周围器官、解剖结构关系不清所致,3个肾上腺腺瘤主要是径线较大(>10cm),而且位置偏低,故引起错判(假阳性)。
, 百拇医药
3.2 关于良恶性病变的鉴别诊断
本组61例(76.25%)RPT和RTLD病人依靠超声检查可以做出正确的鉴别诊断。本文结果显示,有些征象对于鉴别诊断是非常有帮助的(P<0.05),即内部不均质或异质性,边界清晰与不清晰,外形规则与不规则,以及移动性减弱或消失。包绕征象虽然无统计学上的差异(P<0.058504),而且发生率并不高(恶/良,13.64%/2.33%),但在MFH(4/6例)、神经内分泌癌(2/3)及假性动脉瘤(1/1)中相对较多见,故笔者认为这点仍有助于这些疾病的鉴别(图2~3)。其它征象,如回声类型、后方回声变化、推压等在良恶性病变之间有较大程度的重叠。部分病例定性仍有困难,14例(17.50%)病人中,由于没有边缘特征(12/14),不能评估是否向周围浸润,从而难以定性。另外5例(6.25%)诊断错误,其中3例良性病变表现为边界不清(3/3),动脉可疑受侵(2/3)及内部回声显著不均(3/3);而2例恶性者则呈边缘光滑(2/2),回声均匀(1/2)及无回声(1/2)。所以当病变特征不典型时,则只能做出定位诊断。
, 百拇医药
总之,超声诊断对RPT和RTLD的定位是一种很好的影像学检查方法。尽管前瞻性良恶性鉴别诊断的成功率不是非常高,但是通过综合观察分析一些超声影像特征,对于大多数病变的定性仍有可能。
参考文献
1 Silverberg SG, ed.Principles and Practice of Surgical Pathology[M] .Vol.2.ed 2.New York:Churchill Livingstone,1990:991.
2 汤钊猷主编.现代肿瘤学[M].第一版.上海:上海医科大学出版社,1993:867.
3 Didier D,Racle A,Etievent JP,et al.Tumor thrombus of inferior vena cava secondary to malignant abdominal neoplasms:US and CT evaluation [J] .Radiology,1987,162(1):83~89.
, 百拇医药
4 Malthouse SR,Robinson L,Rankin SC,et al.Ultrasonic and computed tomographic appearances of paraganglioma simulating pancreatic mass [J] .Clinical Radiol,1992,45(4):271~272.
5 Nolsoe CP,Jensen LT,Torp-Pedersen S,et al.Nine pheochromocytomas in the same patient.Final mapping with ultrasound and angiography [J] .Acta Radiol,1988,29(5):515~518.
6 Maeshima S,Nakamura H,Nishikawa M,et al.Retroperitoneal schwannomas simulating adrenal tumors [J] .Clin Imaging,1992,16(2):121~124.
收稿日期:1998-08-10;修回日期:1998-11-17, 百拇医药
单位:北京医科大学临床肿瘤学院、北京市肿瘤防治研究所,(北京,100036)
关键词:超声诊断;腹膜后疾病;腹膜后肿瘤
癌症990425
【摘要】目的:评价超声诊断对腹膜后原发性肿瘤(RPT)和肿瘤样病变(RTLD)的定位和良恶性鉴别能力。资料和方法:本文共收集150例(共157个病灶)腹部肿物患者(用于定位分析),其中80例(共87个病灶)为RPT和RTLD病人(用于定性分析)。男性93例,女性57例,平均年龄48岁。全部病例均获病理学证实。结果:超声定位准确性达88.54%(139/157),敏感性达90.80%(79/87),特异性达85.71%(60/70)。80例RPT和RTLD病人中,61例(76.25%)可正确鉴别良恶性。内部异质性、边界清晰与不清晰、外形规则与不规则、以及移动性,这些超声征象对于良恶性鉴别较有意义(P<0.05)。结论:超声对于RPT和RTLD的发现和定位是很好的影像诊断方法;进行超声影像的综合分析,能对大多数病人做出良恶性的鉴别诊断。
, 百拇医药
中图分类号:R445.1 文献标识码:A 文章编号:1000-467X(1999)04-0437-03
Sonographical localization and differentiation of retroperitoneal primary tumor and tumor-like disease
ZHU Qiang1, YAN Kun2, MENG Yan3, et al.
Departments of Diagnostic Radiology1 and Ultrasonography2,Beijing Medical University School of Oncology,Beijing 100036, P.R.China Division of Ultrasonography3,Beijing Fuxing Hospital,Beijing 100045, P.R.China
, 百拇医药
【Abstract】 Objective:To investigate the capacity of localization of retroperitoneal primary tumor (RPT)and tumor-like disease(RTLD)and differentiation of malignant from benign disorders using transabdominal ultrasonography (US). Methods:A total of 150 patients (93 males and 57 females)with suspicion of abdominal mass having 157 foci were collected for localization data.Of 150 cases,80 with RPT or RTLD having 87 foci were analyzed on differential diagnosis.Pathological diagnoses were obtained in all cases. Results:In the localization,an accuracy of 88.54% (139/157),a sensitivity of 90.80% (79/87),and a specificity of 85.71% (60/70)were obtained,respectively.The successful rate of differentiation between benign and malignant lesions were 76.25% (61/80).Some useful sonographical features for differential diagnosis were intrinsic homogeneous or heterogeneous texture,well-defined or unclear margin,regular or irregular configuration,and mobility of the lesion (P<0.05). Conclusion:US is a better imaging modality of the localization of RPT and RTLD and the differentiation if considered comprehensively.
, 百拇医药
Key words:Ultrasonography; Retroperitoneal diseases; Retroperitoneal neoplasms
腹膜后间隙可发生原发性肿瘤(RPT)和肿瘤样病变(RTLD),由于它们均起源于软组织,故病理种类繁多[1]。本文通过一组病例的分析与总结,以探讨超声诊断对其定位和鉴别良恶性病变的能力。
1 资料和方法
1.1 一般临床资料
共收集1984年9月至1997年6月期间经我院临床疑诊、超声检查发现的腹部肿物患者150例(共157个病灶,用于定位分析),男性93例,女性57例,年龄11至77岁,平均48岁。所有病人都获得病理学诊断,44例恶性和45例良性病变行手术切除,13例恶性病变行剖腹探查术并活检,余27例恶性和21例良性病变行超声引导穿刺活检。其中80例RPT和RTLD(共87个病灶,用于定性分析),包括恶性肿瘤43例,即脂肪肉瘤11例,恶性纤维组织细胞瘤(MFH)6例,平滑肌肉瘤、神经纤维肉瘤、神经内分泌癌各3例,纤维肉瘤、恶性血管外皮细胞瘤、恶性副神经节瘤、恶性畸胎瘤、恶性间皮瘤、滑膜肉瘤各2例,横纹肌肉瘤、神经母细胞瘤、脊索瘤、粘液癌、穿刺活检仅能诊断为恶性肿瘤各1例;良性病变37例,即神经纤维瘤16例,神经鞘瘤8例,畸胎瘤3例,副神经节瘤2例,纤维瘤、血管瘤、淋巴管瘤、神经节细胞瘤、内源性囊肿、假性动脉瘤、异物肉芽肿、穿刺活检后不能确定神经纤维瘤或平滑肌瘤各1例。另外70例中,胰体尾癌31例,肾上腺腺瘤8例,肾上腺腺癌4例,十二指肠平滑肌瘤3例,十二指肠腺癌2例,肾癌14例,大网膜或肠系膜肿瘤8例。
, 百拇医药
1.2 检查方法
检查的步骤一般分为三步:(1)发现病变并予以定位(即是否位于腹膜后区)。后者主要依据肿物与毗邻脏器(胰腺、肾脏、腹膜后大血管等)的关系进行判断。另外在实时和呼吸运动的条件下,观察肿物的移动性,从而判断其来源(腹膜后或肠系膜等)。(2)良恶性鉴别诊断。主要依靠声像图特征,尤其是病变内部回声、边界轮廓、移动性等征象。(3)预测一些常见肿瘤的病理类型(另文发表)。使用仪器为Acuson128XP/10m和AlokaSSD650型,探头频率3.5MHz~5.0MHz。病人常规取仰卧位。
2 结果
2.1 定位诊断
超声定位的准确性达88.54%(139/157病灶),敏感性达90.80%(79/87),特异性达85.71%(60/70)。8个腹膜后病灶分别被误认为来自胰腺和右肝者各2个,左肾、左肾上腺、十二指肠降段及卵巢者各1个(假阴性);而10个非RPT,即胰腺5个、十二指肠2个及肾上腺3个肿瘤被误判为RPT(假阳性)。
, 百拇医药
2.2 鉴别诊断
80例RPT和RTLD病人中,良性组最大径2.4cm~20.2cm,平均9.8cm;恶性组3.5cm~30.0cm,平均11.8cm。正确鉴别良恶性的有61例(76.25%)(图1~3);另14例(17.50%)不能明确鉴别,包括神经鞘瘤2例,神经纤维瘤5例,脂肪肉瘤4例,副神经节瘤、恶性副神经节瘤、平滑肌肉瘤各1例;其余5例(6.25%)定性错误,包括3例良性病变(血管瘤、异物肉芽肿、假性动脉瘤各1例)和2例恶性肿瘤(恶性神经鞘瘤、滑膜肉瘤各1例)。
图1 右上腹斜切面。右肾(箭头)内侧见一肿物。其回声均匀,边界清晰且较规则,随呼吸可上下移动。术后病理证实为腹膜后节神经瘤。
, 百拇医药
图2 上腹横切面。肿块(TU)位于腹主动脉(AO)和左肾(LK)之间。内部回声不均,边界不清楚和不规则,无移动性,AO被包绕。超声引导下活检诊断为神经内分泌癌。
图3 腹部横切面。腹主动脉(AO)前方巨大肿块。内部不均质,边界模糊呈浸润状,位置固定,部分包绕AO,压迫双侧输尿管(U)致使扩张。开腹探查活检证实为腹膜后MFH。
2.3 超声表现以及良恶性病灶之间的差异
通过回顾性分析,获得本组RPT和RTLD的超声表现,多数病变表现为低回声、内部不均质、后方回声无改变、边界清晰但不规则、推压周围脏器或解剖结构、随呼吸的移动性消失(此征象观察到48例51个病灶),而对邻近脏器或结构的包绕较少发生(见表1)。经χ2检验,在良恶性病变之间具有显著性差异(P<0.05)的征象是:内部异质性(P=0.010286)、边界清晰程度(P=0.014260)边界规则程度(P=0.010494)以及移动性(P=0.013849)。
, http://www.100md.com
表1 80例RPT和RTLD87个病灶的超声表现
恶性(n=44)
良性(n=43)
回声类型
低
39(88.64%)
33(76.74%)
高
3
3
等
1
, 百拇医药 4
囊性
1
3
不均质性
有
39(88.64%)
27(62.79%)
否
5
16
后方回声
增加
, http://www.100md.com 8
7
减低
4
1
不变
32(72.73%)
35(81.40%)
边缘征象
清晰
24(54.55%)
35(81.40%)
不清
, http://www.100md.com
20
8
规则
9(20.45)
21(48.84%)
不规
35
22
推压
34(77.27%)
39(90.70%)
包绕
6(13.64%)
, http://www.100md.com
1(2.33%)
移动性
(n=25)
(n=26)
有
1
8
否
24(96.00%)
18(69.23%)
3 讨论
腹膜后原发性肿瘤并不常见,上海市1988年的发病率为0.3/10万~0.8/10万[2],然而随着现代影像学技术的发展,RPT和RTLD会逐渐多见。而超声诊断,无论是在普查中还是在治疗前的详细检查中,通常是首选的方法。
, 百拇医药
3.1 关于超声定位诊断
病人在初诊时,常常因病灶已较大而很容易被发现,本组的发现率达100%。超声对病变定位的准确性、敏感性及特异性都很高,本文均在85%以上,敏感性略高于特异性。定位的主要根据有两点:(1)RPT和RTLD(73/87病灶,83.91%)常常推压邻近的腹膜后实质脏器和解剖结构,并且紧邻后腹壁,包括脊柱和肌肉。另一个判断肿物来源于腹膜后的特征是包绕征象,特别是对于腹主动脉、下腔静脉和输尿管的包绕,本组发现7个病灶(8.05%)有此征象。Didier等[3]报道了2例下腔静脉的肿瘤(平滑肌肉瘤及免疫母细胞瘤),在静脉腔内形成瘤栓。但笔者尚未发现此类病人。(2)呼吸时肿物的移动性减弱或消失现象(42/51,82.35%),这是由于其深在腹膜后区,位置较为固定以及周围粘连或侵犯之故。然而少数病灶可以没有上述推压现象(14/87,16.09%)或有良好的移动性(9/51,17.65%),这可能与它们瘤体较小、离腹膜后器官较远、向腹侧生长趋势或相对良性的生长方式有关。有8个病灶被误判为腹膜后毗邻器官的肿瘤,因其与这些器官的关系很密切且无明显分界,故难以确定其真正的来源(假阴性)。回顾性分析中,判为胰腺肿块的2个病灶因未见胆胰管扩张,从而可以除外来源于胰腺[4];但另6个却仍然难以定位。有些学者认为,腹部血管造影可以发现病灶的滋养血管,从而对判定肿瘤的来源有帮助[5,6]。误诊为RPT者中,5个胰体尾癌和2个十二指肠腺癌同样是由于肿瘤明显外侵,导致边界以及与周围器官、解剖结构关系不清所致,3个肾上腺腺瘤主要是径线较大(>10cm),而且位置偏低,故引起错判(假阳性)。
, 百拇医药
3.2 关于良恶性病变的鉴别诊断
本组61例(76.25%)RPT和RTLD病人依靠超声检查可以做出正确的鉴别诊断。本文结果显示,有些征象对于鉴别诊断是非常有帮助的(P<0.05),即内部不均质或异质性,边界清晰与不清晰,外形规则与不规则,以及移动性减弱或消失。包绕征象虽然无统计学上的差异(P<0.058504),而且发生率并不高(恶/良,13.64%/2.33%),但在MFH(4/6例)、神经内分泌癌(2/3)及假性动脉瘤(1/1)中相对较多见,故笔者认为这点仍有助于这些疾病的鉴别(图2~3)。其它征象,如回声类型、后方回声变化、推压等在良恶性病变之间有较大程度的重叠。部分病例定性仍有困难,14例(17.50%)病人中,由于没有边缘特征(12/14),不能评估是否向周围浸润,从而难以定性。另外5例(6.25%)诊断错误,其中3例良性病变表现为边界不清(3/3),动脉可疑受侵(2/3)及内部回声显著不均(3/3);而2例恶性者则呈边缘光滑(2/2),回声均匀(1/2)及无回声(1/2)。所以当病变特征不典型时,则只能做出定位诊断。
, 百拇医药
总之,超声诊断对RPT和RTLD的定位是一种很好的影像学检查方法。尽管前瞻性良恶性鉴别诊断的成功率不是非常高,但是通过综合观察分析一些超声影像特征,对于大多数病变的定性仍有可能。
参考文献
1 Silverberg SG, ed.Principles and Practice of Surgical Pathology[M] .Vol.2.ed 2.New York:Churchill Livingstone,1990:991.
2 汤钊猷主编.现代肿瘤学[M].第一版.上海:上海医科大学出版社,1993:867.
3 Didier D,Racle A,Etievent JP,et al.Tumor thrombus of inferior vena cava secondary to malignant abdominal neoplasms:US and CT evaluation [J] .Radiology,1987,162(1):83~89.
, 百拇医药
4 Malthouse SR,Robinson L,Rankin SC,et al.Ultrasonic and computed tomographic appearances of paraganglioma simulating pancreatic mass [J] .Clinical Radiol,1992,45(4):271~272.
5 Nolsoe CP,Jensen LT,Torp-Pedersen S,et al.Nine pheochromocytomas in the same patient.Final mapping with ultrasound and angiography [J] .Acta Radiol,1988,29(5):515~518.
6 Maeshima S,Nakamura H,Nishikawa M,et al.Retroperitoneal schwannomas simulating adrenal tumors [J] .Clin Imaging,1992,16(2):121~124.
收稿日期:1998-08-10;修回日期:1998-11-17, 百拇医药