p16基因在鼻咽癌中缺失和表达改变的研究——p16基因在鼻咽癌中的改变系列研究(Ⅰ)
作者:卓缨 曹亚
单位:湖南医科大学肿瘤研究所分子生物室(长沙市,410078)
关键词:p16基因;表达下调;缺失
New Page 1
【摘要】目的:探讨p16基因是否在鼻咽癌活检组织中存在高频的失活,以确定该基因在鼻咽癌发病过程中所起的作用。方法:首先利用免疫组化的方法检测了14例鼻咽癌活检组织中p16基因的表达状况。并用比较多重PCR-Southern杂交的方法检测了这14例鼻咽癌活检组织中p16基因外显子1α和外显子2可能的缺失,以了解导致p16基因表达下调的机制。结果:在14例鼻咽癌活检组织中有12例(~85%)缺乏p16蛋白的表达,但其中只有2例鼻咽癌活检组织存在外显子2的缺失。结论:以上的数据显示p16基因在鼻咽癌中存在高频率的失活,提示该基因在鼻咽癌发病过程中具有一定的作用,同时,上述结果也提示p16基因的缺失并不是鼻咽癌中造成p16基因表达下调的主要原因。
, http://www.100md.com
中图分类号:R739.63R730.231; 文献标识码:A 文章编号:1000-467X(1999)04-0368-04
Down-expression and deletion of the p16 gene in nasopharyngeal carcinoma: Serial research on alterations of the p16 gene in nasopharyngeal carcinoma (Ⅰ)
ZHUO Ying,CAO Ya
Cancer Research Institute of Hunan Medical University, Changsha 410078, P. R. China
【Abstract】Objectives: To investigate whether inactivation of the p16 gene is frequent in nasopharyngeal carcinoma (NPC) biopsies, and to determine that the p16 gene takes part in nasapharyngeal carcinogenesis. Methods: In the present study, the expression of p16 gene in 14 NPC biopsies was detected by immunohistochemistry, and the possible deletion of p16 gene exon 1α and exon 2 was also detected in these 14 NPC biopsies by comparative multiplex PCR-Southern blotting to understand the mechanism of p16 gene down-regulation. Results:It was found that 12/14 (~85%) NPC biopsies had no detectable p16 protein, but only 2/14 (~14%) biopsies showed deletion in exon. 2. Conclusion: These data suggests that the p16 gene is frequently inactivated in NPC and it may play a role in NPC carcinogenesis. It also suggests that there may be some other genetic alterations besides deletion accounting for the p16 gene down-regulation.
, 百拇医药
Key words:p16 gene;Down-regulation;Deletion
p16基因是定位于染色体9q21的一种周期素依赖性激酶抑制子(cyclin-dependent kinase inhibitor, CKI),它所编码的p16蛋白与CDK4或CDK6结合并抑制这两种酶的活性,从而导致细胞停滞在G1期。p16蛋白行使这一功能的区域为4个锚蛋白重复序列(ankyrin repeating sequences)[1]。作为一种新的抑瘤基因,p16基因在多种肿瘤中存在高频率多种形式的改变。外显子2的纯合性缺失是最常见的p16基因失活的方式,而p16基因的突变则主要发生于编码4个锚蛋白重复序列的外显子1α和外显子2。另外,p16基因启动子和外显子1α内CpG岛的高度甲基化能阻断p16基因的表达[2]。
鼻咽癌是我国南方及东南亚一带高发的恶性肿瘤。已有报道在鼻咽癌活检组织中存在高频率9p21-22区域的杂合性或纯合性缺失,并且在鼻咽癌细胞系和异体移植瘤中存在p16基因的表达下调[3,4]。在本研究中,为了确定p16基因在鼻咽癌发病过程中可能的作用,我们对p16基因在鼻咽癌活检组织中的表达状况和缺失进行了进一步的研究。
, 百拇医药
1 材料与方法
1.1 材料
鼻咽癌活检组织及相应配对血标本14对由湘雅医院和湖南省肿瘤医院头颈科提供,所有患者均未经过化疗或放疗。鼻咽癌活检组织病理诊断均为低分化鳞癌。宫颈癌石蜡刀片3例由湖南省肿瘤医院病理科提供,病理诊断均为高~中分化鳞癌。
1.2 免疫组化
5μm厚的石蜡切片脱蜡入水后与1∶40稀释的兔抗人p16多克隆抗体p16c-20(美国SantaCruz公司)在4℃孵育过夜。再用ABC法进行检测。最后以苏木素复染。
1.3 比较多重PCR-Southern杂交
活检组织和配对血标本DNA的抽提按标准方法进行[5]。比较多重PCR按以下程序进行:0.6μg基因组DNA,5μl缓冲液,200 μmol dNTP, 30 pmol Txcol/co2, 30 pmol p16eol/eco2或p16 eo3/eo4(引物序列及扩增片段见表1),在97℃变性5分钟,然后加入1μ1 TaqDNA聚合酶(1.5 U/μl,华美公司)。扩增条件为:外显子1α,95℃50秒,56℃50秒,72℃50秒,24个循环。外显子2,95℃50秒,58℃50秒,72℃50秒,24个循环。反应产物用双蒸水1∶10稀释,凝胶电脉后转移至尼龙膜上分别与[α-32P] dCTP(亚辉公司)标记的全长p16 cDNA探针和Tx探针进行杂交,其中Tx基因的扩增产物作为内对照。杂交后洗膜,放射自显影。杂交信号进行密度扫描。
, 百拇医药
表1 p16基因和内对照Tx基因PCR扩增引物序列表
名称
序列
靶序列
产物大小
p16e01
GAAGAAAGAGGAGGGGCTG(19mer)
p16 exon1α
~350bp
p16e02
GCGCTACCTGATTCCAATTC(20mer)
, 百拇医药
p16e03
CATTCTGTTCTCTCTGGCAG(20mer)
p16 exon2
347bp
p16e04
CTCAGATCATCAGTCCTCAC(20mer)
Txc01
CCTGTGGTTTCTCCTTTTCC(20mer)
内对照
188bp
Txc02
, 百拇医药
GAAGGCTTGTGGGTTTGAGG(20mer)
2 结果
2.1 鼻咽癌活检组织中p16基因表达的改变
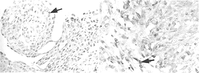
我们首先利用免疫组化的方法检测了14例鼻咽癌活检组织中p16基因表达的改变。作为阳性对照的3例宫颈癌样本都显示明显的核阳性,即p16基因正常表达(图1a)。而在14例鼻咽癌活检组织中只有2例在癌细胞及作为内对照的癌旁上皮细胞内存在明显的核阳性(图1b)。在另外12例鼻咽癌活检组织中,只在癌旁上皮细胞中存在核阳性信号,鼻咽癌细胞中未见核阳性(图1c和1d),这些数据显示这12例(~85%)鼻咽癌活检组织中p16蛋白的表达缺失。

, http://www.100md.com
图1 免疫组化检测鼻咽癌中p16蛋白的表达.
a).作为阳性对照的宫颈癌(×200) b).无p16外显子2缺失的19号样本,在鼻咽癌细胞中有明显的核着色(如箭头所示,×400)。
c).有p16外显子2缺失的5号样本,只在癌旁上皮细胞中有明显的核阳性(如箭头所示),但在鼻咽细胞中没有核着色(×400)。
d).无p16外显子2缺失的11号样本,与5号样本一样p16蛋白表达下调(×400)。
2.2 鼻咽癌中p16基因的缺失情况
为了进一步对引起p16基因表达改变的可能机制进行研究,利用比较多重PCR-Southern杂交的方法,对上述14例鼻咽癌活检组织中p16基因外显子1α和外显子2可能的缺失进行了检测。14例鼻咽癌活检组织中不存在p16外显子1α的缺失。图2显示所有的活检组织和配对血标本都有外显子1α和内对照Tx基因的扩增产物,且这些扩增产物的信号经密度扫描没有差别。
, http://www.100md.com
图2 比较多重PCR-Southern杂交检测p16基因外显子1α的缺失
a).比较多重PCR的凝胶电泳结果(B:配对外周血;T:肿瘤).b).PCR产物进行Southern杂交的结果。
14例鼻咽癌活检组织中有2例(~14%)存在p16基因外显子2的缺失。图3显示5号配对样本中,内对照Tx基因扩增产物的信号在鼻咽癌活检组织和配对血标本中均存在,但p16基因外显子2的扩增产物信号只在血标本中存在,在癌组织中没有,提示5号配对样本的癌组织中p16基因外显子2为纯合性缺失。而在4号配对样本中,同样内对照Tx基因扩增产物的信号在癌组织和配对血标本中均存在,且信号强弱无差别,但比较外显子2的信号强度,癌组织中的明显弱于血标本中的,提示在4号癌组织中也存在p16基因外显子2的缺失,可能由于癌旁非肿瘤组织的污染导致仍有少量扩增产物的产生。
, 百拇医药
图3 比较多重PCR-Southern杂交检测p16基因外显子2的缺失
a).比较多重PCR的凝胶电泳结果(B:配对外周血;T:肿瘤).b).PCR产物进行Southern杂交的结果,5号和4号样本存在缺失。
2.3 p16基因表达改变和p16基因外显子2缺失的关系
两者间关系如下:a.在4号和5号癌组织样本中检测到了p16基因外显子2的缺失,同时p16蛋白表达也缺失。b.在10例鼻咽癌活检组织中虽没有检测到p16基因外显子2的缺失,但p16蛋白表达缺失。c.在6号和19号鼻咽癌活检组织中p16基因外显子2无缺失,并且p16蛋白表达正常(见表2)。
N:正常:D缺失:+:表达正常:-:表达下调;
表2 p16基因缺失与蛋白表达改变的关系
, http://www.100md.com
样本号
DNA
蛋白表达
外显子1α
外显子2
2
N
N
-
4
N
D
-
5
, 百拇医药
N
D
-
6
N
N
+
11
N
N
-
13
N
N
, 百拇医药
-
14
N
N
-
15
N
N
-
16
N
N
-
19
, 百拇医药
N
N
+
20
N
N
-
21
N
N
-
22
N
N
, 百拇医药
-
25
N
N
-
3 讨论
p16基因是一个在多种肿瘤中失活的抑瘤基因。而抑瘤基因的失活最终常常表现为它所编码蛋白表达和结构的改变。因此,我们首先检测了鼻咽癌中p16基因表达的改变,从而确定p16基因在鼻咽癌活检组织中的改变频率。对于免疫组化结果的判断,我们参考了Geradts等人的报道[6]。他同时利用免疫组化和Western杂交的方法检测了多种肿瘤中p16基因表达的改变。由于p16蛋白是定位于核内的抑瘤蛋白,因此,在实验中他发现只有用免疫组化的方法检测呈核阳性的样本,Western检测才有p16蛋白的存在,而仅仅是浆阳性的样本Western检测不到p16蛋白的表达。因此,他们推测只有核阳性才能显示p16蛋白的表达,而浆阳性是由于p16多克隆抗体非特异性染色造成的。根据他们的这一结果,在实验中我们认为核染色为特异性信号,而浆染色是非特异染色。实验中发现在14例鼻咽癌活检组织中有12例未检测到核阳性,即缺乏p16蛋白的表达,说明p16基因在鼻咽癌活检组织中失活的频率很高,很可能是在鼻咽癌发病过程中起一定作用的抑瘤基因。
, 百拇医药
p16基因表达调控的机制是非常复杂的。为了进一步了解导致p16基因表达高频率改变的机制,对上述14例鼻咽癌活检组织中p16基因外显子1α和外显子2的缺失情况进行了研究。考虑到加样误差和假阳性,我们采用比较多重PCR的方法进行检测,选择配对血标本作为正常对照,并以在鼻咽癌中尚无报道有缺失和突变的Tx基因的引物Txcol/co2作为内对照[7,8]。另外,为了减少癌旁非肿瘤组织的污染,PCR扩增只进行24个循环,在达到平台期前结束。虽然纯合性缺失是p16基因最为常见的改变形式,但在14例鼻咽癌活检组织中只有2例存在外显子2的缺失,缺失率远远低于p16基因表达下调的频率,提示可能还存在其它的机制导致p16基因的表达下调。虽然先前的研究已证实在鼻咽癌中没有检测到p16基因编码区的突变,但非编码区的突变或小片段缺失也可能阻断p16基因的转录或缩短p16蛋白的半衰期。Shapiro等曾报道在非小细胞肺癌细胞系中由于p16基因第2个内含子剪接供体位点的突变导致p16蛋白半衰期明显缩短[9]。p16基因启动子区域和外显子1αCpG岛的甲基化也可以阻断p16基因的转录。Lo等人曾在22%香港鼻咽癌患者中检测到p16基因的高度甲基化[10]。另外EB病毒与鼻咽癌的发病有密切的关系,有报道它所编码的瘤蛋白EBNA-2和EBNA-LP能反式活化周期素D的表达,改变细胞周期的分布[11]。p16蛋白的作用与周期素D相拮抗,是否EB病毒也会影响p16基因的表达是一个值得进一步探讨的问题。
, 百拇医药
要获得p16基因在鼻咽癌发病过程中起作用的直接证据。我们将通过基因转染的技术上调鼻咽癌细胞系中p16基因的表达,观察其对鼻咽癌细胞恶性表型逆转的作用来进一步证实。
致谢:感谢姚开泰教授和李桂源教授在本文完成过程中给予的支持和帮助。
[编者按:该系列研究(Ⅱ)将于本刊下期发表]
基金项目:国家杰出青年科学家基金(批准号:39525022)和中华医学基金(CMB)(批准号:90-529)资助。
参考文献
1 Serrano M, Hannon GJ, Beach D. A new regulatory motifin cell-cycle control causing specific inhibition of cyclin D/CDK4 [J]. Nature, 1993 366:704~707.
, 百拇医药
2 Okamoto A, Demetrick DJ, Spillare EA, et al. Mutation sand altered expression of p16INK4 in human cancer [J]. Proc Natl Acad Sci USA, 1994,91:11045~11049.
3 Huang DP, Lo KW, van Hasselt CA, et al. A region of hemozygous deletion on chromosome 9p21-22 in primary nasopharyngeal carcinoma [J]. Cancer Res, 1994,54:4003~4006.
4 Sun Y, Hideshetm A, Lanier AE, et al. No point muation but decreased expression of the p16/MTS1 tumor suppressor gene in nasopharyngeal carcinomas [J]. Oncogene, 1995,10:785~788.
, 百拇医药
5 Sambrook J, Fritsch EF and Maniatis T. Molecular clonini: a laboratory manual [A]. 2nd ed., Cold Spring Harbor Laboratory Press [M]. 1989:463~465.
6 Geradts J, Kratzke RA, Niehans GA, et al. Immunohistochemical detection of the cyclindependent kinase inhibitor 2/multiple tumor suppressor gene 1(CDKN2/MST1) product P16INK4A in archival human solid tumors: correlation with retinoblastoma protein expression [J]. Cancer Res, 1995,55:6006~6011.
, http://www.100md.com
7 Cao Y, Sun Y, Poirier S, et al. Isolation and partial characterization of atransformation-associated sequence from human nasopharyngeal carcinoma [J]. Mol Carcinog, 1991,4:297~307.
8 邓锡云,曹亚,胡维新,等.鼻咽癌转化基因2.8kbEcoRI片段在鼻咽癌中不存在点突变[J].湖南医科大学学报,1997,22:102~104.
9 Shapiro GI, Park JE, Edwards CD, et al. Multiple medhanisms of p16IN4A inactivation in non-small cell lung cancer cell lines [J]. Cancer Res,1995,55:5200~6209.
10 Lo KW, Cheung ST, Leung SF, et al. Hypermethylation of the p16 gene in nasopharyngeal carcinoma [J]. Cancer Res,1996,56:2721~2725.
11 Jansen-Durr P. How viral oncogenes make the cell cycle [J]. Trends Genet, 1996,12:270~275.
收稿日期:1999-04-08;修回日期:1999-05-12, 百拇医药
单位:湖南医科大学肿瘤研究所分子生物室(长沙市,410078)
关键词:p16基因;表达下调;缺失
New Page 1
【摘要】目的:探讨p16基因是否在鼻咽癌活检组织中存在高频的失活,以确定该基因在鼻咽癌发病过程中所起的作用。方法:首先利用免疫组化的方法检测了14例鼻咽癌活检组织中p16基因的表达状况。并用比较多重PCR-Southern杂交的方法检测了这14例鼻咽癌活检组织中p16基因外显子1α和外显子2可能的缺失,以了解导致p16基因表达下调的机制。结果:在14例鼻咽癌活检组织中有12例(~85%)缺乏p16蛋白的表达,但其中只有2例鼻咽癌活检组织存在外显子2的缺失。结论:以上的数据显示p16基因在鼻咽癌中存在高频率的失活,提示该基因在鼻咽癌发病过程中具有一定的作用,同时,上述结果也提示p16基因的缺失并不是鼻咽癌中造成p16基因表达下调的主要原因。
, http://www.100md.com
中图分类号:R739.63R730.231; 文献标识码:A 文章编号:1000-467X(1999)04-0368-04
Down-expression and deletion of the p16 gene in nasopharyngeal carcinoma: Serial research on alterations of the p16 gene in nasopharyngeal carcinoma (Ⅰ)
ZHUO Ying,CAO Ya
Cancer Research Institute of Hunan Medical University, Changsha 410078, P. R. China
【Abstract】Objectives: To investigate whether inactivation of the p16 gene is frequent in nasopharyngeal carcinoma (NPC) biopsies, and to determine that the p16 gene takes part in nasapharyngeal carcinogenesis. Methods: In the present study, the expression of p16 gene in 14 NPC biopsies was detected by immunohistochemistry, and the possible deletion of p16 gene exon 1α and exon 2 was also detected in these 14 NPC biopsies by comparative multiplex PCR-Southern blotting to understand the mechanism of p16 gene down-regulation. Results:It was found that 12/14 (~85%) NPC biopsies had no detectable p16 protein, but only 2/14 (~14%) biopsies showed deletion in exon. 2. Conclusion: These data suggests that the p16 gene is frequently inactivated in NPC and it may play a role in NPC carcinogenesis. It also suggests that there may be some other genetic alterations besides deletion accounting for the p16 gene down-regulation.
, 百拇医药
Key words:p16 gene;Down-regulation;Deletion
p16基因是定位于染色体9q21的一种周期素依赖性激酶抑制子(cyclin-dependent kinase inhibitor, CKI),它所编码的p16蛋白与CDK4或CDK6结合并抑制这两种酶的活性,从而导致细胞停滞在G1期。p16蛋白行使这一功能的区域为4个锚蛋白重复序列(ankyrin repeating sequences)[1]。作为一种新的抑瘤基因,p16基因在多种肿瘤中存在高频率多种形式的改变。外显子2的纯合性缺失是最常见的p16基因失活的方式,而p16基因的突变则主要发生于编码4个锚蛋白重复序列的外显子1α和外显子2。另外,p16基因启动子和外显子1α内CpG岛的高度甲基化能阻断p16基因的表达[2]。
鼻咽癌是我国南方及东南亚一带高发的恶性肿瘤。已有报道在鼻咽癌活检组织中存在高频率9p21-22区域的杂合性或纯合性缺失,并且在鼻咽癌细胞系和异体移植瘤中存在p16基因的表达下调[3,4]。在本研究中,为了确定p16基因在鼻咽癌发病过程中可能的作用,我们对p16基因在鼻咽癌活检组织中的表达状况和缺失进行了进一步的研究。
, 百拇医药
1 材料与方法
1.1 材料
鼻咽癌活检组织及相应配对血标本14对由湘雅医院和湖南省肿瘤医院头颈科提供,所有患者均未经过化疗或放疗。鼻咽癌活检组织病理诊断均为低分化鳞癌。宫颈癌石蜡刀片3例由湖南省肿瘤医院病理科提供,病理诊断均为高~中分化鳞癌。
1.2 免疫组化
5μm厚的石蜡切片脱蜡入水后与1∶40稀释的兔抗人p16多克隆抗体p16c-20(美国SantaCruz公司)在4℃孵育过夜。再用ABC法进行检测。最后以苏木素复染。
1.3 比较多重PCR-Southern杂交
活检组织和配对血标本DNA的抽提按标准方法进行[5]。比较多重PCR按以下程序进行:0.6μg基因组DNA,5μl缓冲液,200 μmol dNTP, 30 pmol Txcol/co2, 30 pmol p16eol/eco2或p16 eo3/eo4(引物序列及扩增片段见表1),在97℃变性5分钟,然后加入1μ1 TaqDNA聚合酶(1.5 U/μl,华美公司)。扩增条件为:外显子1α,95℃50秒,56℃50秒,72℃50秒,24个循环。外显子2,95℃50秒,58℃50秒,72℃50秒,24个循环。反应产物用双蒸水1∶10稀释,凝胶电脉后转移至尼龙膜上分别与[α-32P] dCTP(亚辉公司)标记的全长p16 cDNA探针和Tx探针进行杂交,其中Tx基因的扩增产物作为内对照。杂交后洗膜,放射自显影。杂交信号进行密度扫描。
, 百拇医药
表1 p16基因和内对照Tx基因PCR扩增引物序列表
名称
序列
靶序列
产物大小
p16e01
GAAGAAAGAGGAGGGGCTG(19mer)
p16 exon1α
~350bp
p16e02
GCGCTACCTGATTCCAATTC(20mer)
, 百拇医药
p16e03
CATTCTGTTCTCTCTGGCAG(20mer)
p16 exon2
347bp
p16e04
CTCAGATCATCAGTCCTCAC(20mer)
Txc01
CCTGTGGTTTCTCCTTTTCC(20mer)
内对照
188bp
Txc02
, 百拇医药
GAAGGCTTGTGGGTTTGAGG(20mer)
2 结果
2.1 鼻咽癌活检组织中p16基因表达的改变
我们首先利用免疫组化的方法检测了14例鼻咽癌活检组织中p16基因表达的改变。作为阳性对照的3例宫颈癌样本都显示明显的核阳性,即p16基因正常表达(图1a)。而在14例鼻咽癌活检组织中只有2例在癌细胞及作为内对照的癌旁上皮细胞内存在明显的核阳性(图1b)。在另外12例鼻咽癌活检组织中,只在癌旁上皮细胞中存在核阳性信号,鼻咽癌细胞中未见核阳性(图1c和1d),这些数据显示这12例(~85%)鼻咽癌活检组织中p16蛋白的表达缺失。
, http://www.100md.com
图1 免疫组化检测鼻咽癌中p16蛋白的表达.
a).作为阳性对照的宫颈癌(×200) b).无p16外显子2缺失的19号样本,在鼻咽癌细胞中有明显的核着色(如箭头所示,×400)。
c).有p16外显子2缺失的5号样本,只在癌旁上皮细胞中有明显的核阳性(如箭头所示),但在鼻咽细胞中没有核着色(×400)。
d).无p16外显子2缺失的11号样本,与5号样本一样p16蛋白表达下调(×400)。
2.2 鼻咽癌中p16基因的缺失情况
为了进一步对引起p16基因表达改变的可能机制进行研究,利用比较多重PCR-Southern杂交的方法,对上述14例鼻咽癌活检组织中p16基因外显子1α和外显子2可能的缺失进行了检测。14例鼻咽癌活检组织中不存在p16外显子1α的缺失。图2显示所有的活检组织和配对血标本都有外显子1α和内对照Tx基因的扩增产物,且这些扩增产物的信号经密度扫描没有差别。
, http://www.100md.com
图2 比较多重PCR-Southern杂交检测p16基因外显子1α的缺失
a).比较多重PCR的凝胶电泳结果(B:配对外周血;T:肿瘤).b).PCR产物进行Southern杂交的结果。
14例鼻咽癌活检组织中有2例(~14%)存在p16基因外显子2的缺失。图3显示5号配对样本中,内对照Tx基因扩增产物的信号在鼻咽癌活检组织和配对血标本中均存在,但p16基因外显子2的扩增产物信号只在血标本中存在,在癌组织中没有,提示5号配对样本的癌组织中p16基因外显子2为纯合性缺失。而在4号配对样本中,同样内对照Tx基因扩增产物的信号在癌组织和配对血标本中均存在,且信号强弱无差别,但比较外显子2的信号强度,癌组织中的明显弱于血标本中的,提示在4号癌组织中也存在p16基因外显子2的缺失,可能由于癌旁非肿瘤组织的污染导致仍有少量扩增产物的产生。
, 百拇医药
图3 比较多重PCR-Southern杂交检测p16基因外显子2的缺失
a).比较多重PCR的凝胶电泳结果(B:配对外周血;T:肿瘤).b).PCR产物进行Southern杂交的结果,5号和4号样本存在缺失。
2.3 p16基因表达改变和p16基因外显子2缺失的关系
两者间关系如下:a.在4号和5号癌组织样本中检测到了p16基因外显子2的缺失,同时p16蛋白表达也缺失。b.在10例鼻咽癌活检组织中虽没有检测到p16基因外显子2的缺失,但p16蛋白表达缺失。c.在6号和19号鼻咽癌活检组织中p16基因外显子2无缺失,并且p16蛋白表达正常(见表2)。
N:正常:D缺失:+:表达正常:-:表达下调;
表2 p16基因缺失与蛋白表达改变的关系
, http://www.100md.com
样本号
DNA
蛋白表达
外显子1α
外显子2
2
N
N
-
4
N
D
-
5
, 百拇医药
N
D
-
6
N
N
+
11
N
N
-
13
N
N
, 百拇医药
-
14
N
N
-
15
N
N
-
16
N
N
-
19
, 百拇医药
N
N
+
20
N
N
-
21
N
N
-
22
N
N
, 百拇医药
-
25
N
N
-
3 讨论
p16基因是一个在多种肿瘤中失活的抑瘤基因。而抑瘤基因的失活最终常常表现为它所编码蛋白表达和结构的改变。因此,我们首先检测了鼻咽癌中p16基因表达的改变,从而确定p16基因在鼻咽癌活检组织中的改变频率。对于免疫组化结果的判断,我们参考了Geradts等人的报道[6]。他同时利用免疫组化和Western杂交的方法检测了多种肿瘤中p16基因表达的改变。由于p16蛋白是定位于核内的抑瘤蛋白,因此,在实验中他发现只有用免疫组化的方法检测呈核阳性的样本,Western检测才有p16蛋白的存在,而仅仅是浆阳性的样本Western检测不到p16蛋白的表达。因此,他们推测只有核阳性才能显示p16蛋白的表达,而浆阳性是由于p16多克隆抗体非特异性染色造成的。根据他们的这一结果,在实验中我们认为核染色为特异性信号,而浆染色是非特异染色。实验中发现在14例鼻咽癌活检组织中有12例未检测到核阳性,即缺乏p16蛋白的表达,说明p16基因在鼻咽癌活检组织中失活的频率很高,很可能是在鼻咽癌发病过程中起一定作用的抑瘤基因。
, 百拇医药
p16基因表达调控的机制是非常复杂的。为了进一步了解导致p16基因表达高频率改变的机制,对上述14例鼻咽癌活检组织中p16基因外显子1α和外显子2的缺失情况进行了研究。考虑到加样误差和假阳性,我们采用比较多重PCR的方法进行检测,选择配对血标本作为正常对照,并以在鼻咽癌中尚无报道有缺失和突变的Tx基因的引物Txcol/co2作为内对照[7,8]。另外,为了减少癌旁非肿瘤组织的污染,PCR扩增只进行24个循环,在达到平台期前结束。虽然纯合性缺失是p16基因最为常见的改变形式,但在14例鼻咽癌活检组织中只有2例存在外显子2的缺失,缺失率远远低于p16基因表达下调的频率,提示可能还存在其它的机制导致p16基因的表达下调。虽然先前的研究已证实在鼻咽癌中没有检测到p16基因编码区的突变,但非编码区的突变或小片段缺失也可能阻断p16基因的转录或缩短p16蛋白的半衰期。Shapiro等曾报道在非小细胞肺癌细胞系中由于p16基因第2个内含子剪接供体位点的突变导致p16蛋白半衰期明显缩短[9]。p16基因启动子区域和外显子1αCpG岛的甲基化也可以阻断p16基因的转录。Lo等人曾在22%香港鼻咽癌患者中检测到p16基因的高度甲基化[10]。另外EB病毒与鼻咽癌的发病有密切的关系,有报道它所编码的瘤蛋白EBNA-2和EBNA-LP能反式活化周期素D的表达,改变细胞周期的分布[11]。p16蛋白的作用与周期素D相拮抗,是否EB病毒也会影响p16基因的表达是一个值得进一步探讨的问题。
, 百拇医药
要获得p16基因在鼻咽癌发病过程中起作用的直接证据。我们将通过基因转染的技术上调鼻咽癌细胞系中p16基因的表达,观察其对鼻咽癌细胞恶性表型逆转的作用来进一步证实。
致谢:感谢姚开泰教授和李桂源教授在本文完成过程中给予的支持和帮助。
[编者按:该系列研究(Ⅱ)将于本刊下期发表]
基金项目:国家杰出青年科学家基金(批准号:39525022)和中华医学基金(CMB)(批准号:90-529)资助。
参考文献
1 Serrano M, Hannon GJ, Beach D. A new regulatory motifin cell-cycle control causing specific inhibition of cyclin D/CDK4 [J]. Nature, 1993 366:704~707.
, 百拇医药
2 Okamoto A, Demetrick DJ, Spillare EA, et al. Mutation sand altered expression of p16INK4 in human cancer [J]. Proc Natl Acad Sci USA, 1994,91:11045~11049.
3 Huang DP, Lo KW, van Hasselt CA, et al. A region of hemozygous deletion on chromosome 9p21-22 in primary nasopharyngeal carcinoma [J]. Cancer Res, 1994,54:4003~4006.
4 Sun Y, Hideshetm A, Lanier AE, et al. No point muation but decreased expression of the p16/MTS1 tumor suppressor gene in nasopharyngeal carcinomas [J]. Oncogene, 1995,10:785~788.
, 百拇医药
5 Sambrook J, Fritsch EF and Maniatis T. Molecular clonini: a laboratory manual [A]. 2nd ed., Cold Spring Harbor Laboratory Press [M]. 1989:463~465.
6 Geradts J, Kratzke RA, Niehans GA, et al. Immunohistochemical detection of the cyclindependent kinase inhibitor 2/multiple tumor suppressor gene 1(CDKN2/MST1) product P16INK4A in archival human solid tumors: correlation with retinoblastoma protein expression [J]. Cancer Res, 1995,55:6006~6011.
, http://www.100md.com
7 Cao Y, Sun Y, Poirier S, et al. Isolation and partial characterization of atransformation-associated sequence from human nasopharyngeal carcinoma [J]. Mol Carcinog, 1991,4:297~307.
8 邓锡云,曹亚,胡维新,等.鼻咽癌转化基因2.8kbEcoRI片段在鼻咽癌中不存在点突变[J].湖南医科大学学报,1997,22:102~104.
9 Shapiro GI, Park JE, Edwards CD, et al. Multiple medhanisms of p16IN4A inactivation in non-small cell lung cancer cell lines [J]. Cancer Res,1995,55:5200~6209.
10 Lo KW, Cheung ST, Leung SF, et al. Hypermethylation of the p16 gene in nasopharyngeal carcinoma [J]. Cancer Res,1996,56:2721~2725.
11 Jansen-Durr P. How viral oncogenes make the cell cycle [J]. Trends Genet, 1996,12:270~275.
收稿日期:1999-04-08;修回日期:1999-05-12, 百拇医药