肝双期增强螺旋CT最佳参数设置
作者:钟锐 郑庆生 李立 陈林 卓水清
单位:中山医科大学肿瘤防治中心(广州,510060)
关键词:肝肿瘤;X线断层摄影;计算机
癌症990445
中图分类号:R730.44 文献标识码:B
文章编号:1000-467X(1999)04-0485-02
螺旋CT全肝动脉期、门脉期动态扫描,对肝细胞肝癌有较高的鉴别诊断价值。普通CT机作常规增强扫描,由于扫描和成像速度慢,所获取图像多为门脉相或肝实质相,不能充分反映肝细胞癌血供特点,不利于病灶性质的鉴别。近年来,我们对154例原发性肝细胞性肝癌作双期增强扫描,探讨获得最佳的动脉期、门脉期显像参数,现将资料完整的病例统计分析如下。
, 百拇医药
1 材料和方法
1.1 病例资料
154例原发性肝癌患者(均经手术病理及临床诊断证实),男124例,女28例,年龄27~82岁,中位年龄51.6岁。多发性肝癌36例,AFP阳性者113例,肿瘤直径1.0~5.0cm,平均2.8cm。
1.2 CT机及造影剂
CT机为以色列生产的ElscintCT-TWINFLASH双螺旋扫描机;注射器为美国生产的MEDRAD-MCT310-2型微机控制可编程全自动压力注射器;造影剂用浓度为300mgI/ml的非离子型欧乃派克,或浓度为300mgI/ml的显影葡胺。
1.3 方法
常规消毒,在8号针头穿刺肘前静脉后,用高压注射器以2~3ml/秒的速度注入造影剂70~80ml。距开始注射造影剂15秒、25秒、35秒时嘱患者憋气,作整个肝脏动脉期螺旋扫描;稍后作75秒、90秒、100秒门脉期重复扫描,球管以1周/秒的速度绕床转动,进床速度为15mm/秒,层距10mm、层厚11mm(或进床速度12mm/秒,层距8mm,层厚8.8mm)连续横断面重建,重建矩阵512×512,球管电压120KV,266mAS,一般10~15秒可扫完整个肝脏。
, 百拇医药
测量主动脉、病灶(多发病灶测量最大的两个病灶)实体及邻近肝组织的最大CT值。以0.5cm2范围的光标,测量同一病灶三个不同点,取其平均值作为肿瘤实体CT值。
2 结果
动脉期以门脉主干显示欠清楚,肝实质呈较低密度为标志。肝门脉期以门静脉主干或分支显示清晰,肝内密度达到峰值为标准。
2.1 CT表现
动脉期,原发性肝细胞癌以肝内动脉供血为主,在肝肿瘤实体部分强化明显,表现为轻度或中等高密度影,少数病灶呈显著高密度。门脉期,肝内实质密度迅速增加,而肝癌密度开始下降,肿瘤呈低密度影。
2.2 CT值的差值
肝双期增强扫描主动脉、肝实质、肝细胞癌CT值峰值范围及肝细胞癌与正常肝实质密度峰值范围平均值之差值,CT值的差值以动脉期25秒最高,门脉期90秒最低(见表1)。
, http://www.100md.com
表1 动脉期、门脉期主动脉、肝实质、肿瘤实体及差值大小比较 项目
动脉期
门脉期
扫描时间(秒)
15
25
35
75
90
100
例数(例)
42
68
, http://www.100md.com
44
45
57
52
主动脉(HU)
80~150
160~230
180~200
100~130
85~100
80~90
肝实质(HU)
50~58
, http://www.100md.com
50~68
80~110
85~110
80~95
70~90
肝癌实体(HU)
55~68
65~95
70~95
80~100
65~80
60~80
差值
, 百拇医药
6.2
17.8
0.8
-5.4
-15.7
-11
2.3 图像质量
以肿瘤强化程度及诊断准确性作统计,得出图像质量满意度,动脉期25秒满意度最高88.2%,门脉期90秒最高91%(见表2)。表2 动脉期、门脉期满意度(百分比)比较 项目
动脉期
门脉期
扫描时间(秒)
, 百拇医药
15
25
35
75
90
100
满意度(%)
38
(16/42)
88.2
(60/68)
63.6
(28/44)
, http://www.100md.com
57.8
(26/45)
91
(52/57)
77
(40/52)
3 讨论
造影剂经肘前静脉注入体内后,经血液循环,约15秒后循环至肝动脉,25秒至门静脉。正常肝组织与病变有不同的血供和造影剂弥散速度:原发性肝细胞癌绝大多数以肝内动脉供血,而肝实质80%左右为门静脉供血。因此,动脉期小肝癌往往表现为高密度,病灶强化较明显;门脉期,肝癌常常表现为低密度,正常肝组织密度上升,达到峰值,病灶与正常肝组织间密度差异增大。
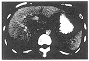
根据统计资料,动脉期15秒造影剂已到达肝内动脉,而主动脉密度150HU以下,由于造影剂浓度低,肿瘤实体强化欠佳,与邻近正常肝组织平均差值仅为6.2;而35秒,正常肝实质、肿瘤实体都显著增强,密度平均差值0.8,肿瘤边缘边界欠清,无法了解肿瘤侵犯邻近组织情况,此时已到肝实质相或门脉相早期。25秒,主动脉密度达到峰值195~230HU,在肝门区几乎可显示肝动脉肝内分支,肿瘤实体明显强化65~95HU,而正常肝组织强化不明显,对比度增加,差值最大达17.8,充分体现肝癌血管丰富,获得较纯的肝动脉相图像(见图1)。
, 百拇医药
图1 开始注射造影剂25秒后肿瘤明显强化
门脉期75秒,肿瘤实体造影剂潴留仍较高,密度80~100HU,肝实质密度也达85~110HU,是门脉期充盈高峰期,因而,两者密度平均差值最高-5.4。而100秒,尽管肝癌实体密度降低,但肝正常组织密度也继续减低,密度平均差值为-11。90秒,肝实质密度仍维持较高水平,此时肿瘤实体密度迅速减低,密度平均差值最低为-15.7(见图2)。
图2 自注射造影剂90秒后肿瘤实体呈低密度
尽管不同机器、不同注射方法、不同的注射速度、用量,其参数设置都不同。对154例肝肿瘤患者所作双期增强扫描,本科几位医师以肿瘤强化率及诊断准确性作统计,动脉期25秒满意度最高88.2%,门脉期90秒最高91%。因而,根据所得的资料分析认为25秒动脉期、90秒门脉期为最佳参数。
由于此方法操作简便,诊断率高,安全系数高,剂量适中病人大多数能承受,因而对可疑肝肿瘤患者都作肝双期螺旋扫描作为常规的CT检查手段。
参考文献
1 韩希年,王俭,刘光华,郝楠馨,张庆.螺旋CT肝脏肿瘤早期增强扫描[J].实用放射学杂志,1998,5:14~5.
2 言伟强,李常茂,范承经,唐绍心.肝肿瘤的双期动态CT诊断[J].实用放射学杂志.1998,9:14~9.
收稿日期:1999-02-04;修回日期:1999-03-19, http://www.100md.com
单位:中山医科大学肿瘤防治中心(广州,510060)
关键词:肝肿瘤;X线断层摄影;计算机
癌症990445
中图分类号:R730.44 文献标识码:B
文章编号:1000-467X(1999)04-0485-02
螺旋CT全肝动脉期、门脉期动态扫描,对肝细胞肝癌有较高的鉴别诊断价值。普通CT机作常规增强扫描,由于扫描和成像速度慢,所获取图像多为门脉相或肝实质相,不能充分反映肝细胞癌血供特点,不利于病灶性质的鉴别。近年来,我们对154例原发性肝细胞性肝癌作双期增强扫描,探讨获得最佳的动脉期、门脉期显像参数,现将资料完整的病例统计分析如下。
, 百拇医药
1 材料和方法
1.1 病例资料
154例原发性肝癌患者(均经手术病理及临床诊断证实),男124例,女28例,年龄27~82岁,中位年龄51.6岁。多发性肝癌36例,AFP阳性者113例,肿瘤直径1.0~5.0cm,平均2.8cm。
1.2 CT机及造影剂
CT机为以色列生产的ElscintCT-TWINFLASH双螺旋扫描机;注射器为美国生产的MEDRAD-MCT310-2型微机控制可编程全自动压力注射器;造影剂用浓度为300mgI/ml的非离子型欧乃派克,或浓度为300mgI/ml的显影葡胺。
1.3 方法
常规消毒,在8号针头穿刺肘前静脉后,用高压注射器以2~3ml/秒的速度注入造影剂70~80ml。距开始注射造影剂15秒、25秒、35秒时嘱患者憋气,作整个肝脏动脉期螺旋扫描;稍后作75秒、90秒、100秒门脉期重复扫描,球管以1周/秒的速度绕床转动,进床速度为15mm/秒,层距10mm、层厚11mm(或进床速度12mm/秒,层距8mm,层厚8.8mm)连续横断面重建,重建矩阵512×512,球管电压120KV,266mAS,一般10~15秒可扫完整个肝脏。
, 百拇医药
测量主动脉、病灶(多发病灶测量最大的两个病灶)实体及邻近肝组织的最大CT值。以0.5cm2范围的光标,测量同一病灶三个不同点,取其平均值作为肿瘤实体CT值。
2 结果
动脉期以门脉主干显示欠清楚,肝实质呈较低密度为标志。肝门脉期以门静脉主干或分支显示清晰,肝内密度达到峰值为标准。
2.1 CT表现
动脉期,原发性肝细胞癌以肝内动脉供血为主,在肝肿瘤实体部分强化明显,表现为轻度或中等高密度影,少数病灶呈显著高密度。门脉期,肝内实质密度迅速增加,而肝癌密度开始下降,肿瘤呈低密度影。
2.2 CT值的差值
肝双期增强扫描主动脉、肝实质、肝细胞癌CT值峰值范围及肝细胞癌与正常肝实质密度峰值范围平均值之差值,CT值的差值以动脉期25秒最高,门脉期90秒最低(见表1)。
, http://www.100md.com
表1 动脉期、门脉期主动脉、肝实质、肿瘤实体及差值大小比较 项目
动脉期
门脉期
扫描时间(秒)
15
25
35
75
90
100
例数(例)
42
68
, http://www.100md.com
44
45
57
52
主动脉(HU)
80~150
160~230
180~200
100~130
85~100
80~90
肝实质(HU)
50~58
, http://www.100md.com
50~68
80~110
85~110
80~95
70~90
肝癌实体(HU)
55~68
65~95
70~95
80~100
65~80
60~80
差值
, 百拇医药
6.2
17.8
0.8
-5.4
-15.7
-11
2.3 图像质量
以肿瘤强化程度及诊断准确性作统计,得出图像质量满意度,动脉期25秒满意度最高88.2%,门脉期90秒最高91%(见表2)。表2 动脉期、门脉期满意度(百分比)比较 项目
动脉期
门脉期
扫描时间(秒)
, 百拇医药
15
25
35
75
90
100
满意度(%)
38
(16/42)
88.2
(60/68)
63.6
(28/44)
, http://www.100md.com
57.8
(26/45)
91
(52/57)
77
(40/52)
3 讨论
造影剂经肘前静脉注入体内后,经血液循环,约15秒后循环至肝动脉,25秒至门静脉。正常肝组织与病变有不同的血供和造影剂弥散速度:原发性肝细胞癌绝大多数以肝内动脉供血,而肝实质80%左右为门静脉供血。因此,动脉期小肝癌往往表现为高密度,病灶强化较明显;门脉期,肝癌常常表现为低密度,正常肝组织密度上升,达到峰值,病灶与正常肝组织间密度差异增大。
根据统计资料,动脉期15秒造影剂已到达肝内动脉,而主动脉密度150HU以下,由于造影剂浓度低,肿瘤实体强化欠佳,与邻近正常肝组织平均差值仅为6.2;而35秒,正常肝实质、肿瘤实体都显著增强,密度平均差值0.8,肿瘤边缘边界欠清,无法了解肿瘤侵犯邻近组织情况,此时已到肝实质相或门脉相早期。25秒,主动脉密度达到峰值195~230HU,在肝门区几乎可显示肝动脉肝内分支,肿瘤实体明显强化65~95HU,而正常肝组织强化不明显,对比度增加,差值最大达17.8,充分体现肝癌血管丰富,获得较纯的肝动脉相图像(见图1)。
, 百拇医药
图1 开始注射造影剂25秒后肿瘤明显强化
门脉期75秒,肿瘤实体造影剂潴留仍较高,密度80~100HU,肝实质密度也达85~110HU,是门脉期充盈高峰期,因而,两者密度平均差值最高-5.4。而100秒,尽管肝癌实体密度降低,但肝正常组织密度也继续减低,密度平均差值为-11。90秒,肝实质密度仍维持较高水平,此时肿瘤实体密度迅速减低,密度平均差值最低为-15.7(见图2)。
图2 自注射造影剂90秒后肿瘤实体呈低密度
尽管不同机器、不同注射方法、不同的注射速度、用量,其参数设置都不同。对154例肝肿瘤患者所作双期增强扫描,本科几位医师以肿瘤强化率及诊断准确性作统计,动脉期25秒满意度最高88.2%,门脉期90秒最高91%。因而,根据所得的资料分析认为25秒动脉期、90秒门脉期为最佳参数。
由于此方法操作简便,诊断率高,安全系数高,剂量适中病人大多数能承受,因而对可疑肝肿瘤患者都作肝双期螺旋扫描作为常规的CT检查手段。
参考文献
1 韩希年,王俭,刘光华,郝楠馨,张庆.螺旋CT肝脏肿瘤早期增强扫描[J].实用放射学杂志,1998,5:14~5.
2 言伟强,李常茂,范承经,唐绍心.肝肿瘤的双期动态CT诊断[J].实用放射学杂志.1998,9:14~9.
收稿日期:1999-02-04;修回日期:1999-03-19, http://www.100md.com