非霍奇金淋巴瘤bcl-2/IgH基因重排及在微小残留病变检测中的应用
作者:蒋一强 陈燕 李慧玉
单位:蒋一强 陈燕 广西医科大学一附院病理科(南宁,530021);李慧玉 同济医科大学附属协和医院血研所(武汉,430022)
关键词:非霍奇金淋巴瘤;bc1-2基因;基因重排;微小残留病变
癌症990413
【摘要】目的:探索bc1-2基因重排在非霍奇金淋巴瘤(NHL)的发生及演变中的作用,以bc1-2/IgH重排为克隆标志,建立敏感的检测淋巴瘤微小残留病变的方法。方法:多聚酶链反应(PCR)检测bcl-2/IgH基因重排,系列稀释试验检测该方法的灵敏度。结果:9种恶性淋巴瘤细胞系中,Su-DHL-4,Su-DHL-6有bc1-2/IgH基因重排,系列稀释试验检测该方法的灵敏度为1∶105。29例NHL石蜡包埋的组织标本中,共检出6例有bc1-2基因重排,其中滤泡型NHL(F-NHL)4例(36.4%),弥漫型NHL(D-NHL)2例(18.2%),全部在B细胞性NHL中检出。16例F-NHL患者中,4例外周血和骨髓中同时检出bc1-2/IgH基因重排,化疗达CR后依然存在。结论:bc1-2基因重排主要与低度恶性的B细胞性淋巴瘤有关,重排方式以bc1-2(MBR)/IgH为主。bc1-2基因重排的检测为滤泡性淋巴瘤微小残留病变的检测提供了一个快速、敏感、特异的方法,对疾病的分期、疗效和预后的评估有一定的临床价值。
, http://www.100md.com
中图分类号:R733.3 文献标识码:A 文章编号:1000-467X(1999)04-0400-04
Analysis and usefulness of bcl-2/IgH gene rearrangement in non-Hodgkin's lymphoma
JIANG Yi-qiang1, CHEN Yan2, LI Hui-yu2
1.The First Affiliated Hospital,Guangxi Medical University, Nanning 530021, China
2.Institute of Hematology, Union Hospital, Tongji Medical University,Wuhan 430022,P.R.China
, 百拇医药
【Abstract】 Objectives:To elucidate the role and the significance of bcl-2/IgH gene rearrangement in tumorigenesis, development and therapy of non-Hodgkin's lymphoma(NHL),and to establish a sensitive method to detect minimal residual disease (MRD) in NHL.Methods:Using polymerase chain reaction (PCR) to detect bcl-2 gene rearrangement and using serial dilution method to define the sensitivity of PCR.Results:Among the 9 different lymphoma cell lines, bc1-2 gene rearrangements were shownin Su-DHL-4 and Su-DHL-6, the sensitivity of PCR was 1∶105. In paraffinembeded tissue specimens of 29 cases with NHL, in 6 cases bcl-2/IgH rearrangement was demonstrated including 4 out of 11 cases of follicular NHL(F-NHL) and 2 of 11 cases of diffuse NHL (D-NHL).These PCR positive cases were B-cell NHL. In bone marrow and peripheral blood samples of 16 patients with F-NHL,4 cases were PCR positive at initial diagnosis and after complete remission (CR). Conclusion:Bcl-2/IgH gene rearrangement are mainly associated with low-grade B-cell NHL.The maina pattern of bcl-2 rearrangement is MBR-IgH.Detection of bcl-2 rearrangement by PCR provides a sensitive and specific assay of MRD.It helps improve staging of disease, stratification and evaluation of treatment.
, 百拇医药
Key words:Non-Hodgkin's lymphoma;Bcl-2 gene;Gene rearrangement;Minimal residual disease
Bc1-2/IgH重排是人恶性淋巴瘤最常见的染色体异常,重排时,位于18号染色体q21区的凋亡抑制基因bcl-2主要在两个热点区断裂:(1)主要断裂区(MBR):约占60%~70%,位于bc1-2基因3’端最后一个外显子150bp范围的非翻译区内。(2)次要断裂簇区(MCR):约占20%~30%,位于bcl-2基因3’端的30kb远的500bp范围内;位于14号染色体的免疫球蛋白重链(IgH)基因的断裂点则相对恒定,主要在J区。重排后并不改变bc1-2基因的编码序列及转录方向,在IgH基因高效启动子等元件的调控下表达高水平的bc1-2蛋白,抑制淋巴细胞凋亡,与淋巴瘤的发生和演变有密切关系[1];以bc1-2/IgH基因重排为克隆标志开展微小残留病变的检测,可以对疾病的病程和预后等进行评估[2]。
, 百拇医药
1 材料与方法
1.1 研究对象
1.1.1 细胞系:9种恶性淋巴瘤细胞系分别为Su-DHL-1,Su-DHL-4,Su-DHL-6,Su-DHL-8,Su-DHL-9,Su-DHL-10,SB,8392,Daudi。由美国国立癌症研究所提供,均为B细胞性非霍奇金淋巴瘤(NHL)细胞。
1.1.2 石蜡包埋组织:29例NHL石蜡标本为门诊及住院患者淋巴结活检存档标本,男21例,女8例;滤泡型NHL(F-NHL)11例,弥漫型18例(D-NHL);免疫学分型B细胞性22例,T细胞性7例。
1.1.3 骨髓和外周血标本:16例F-NHL化疗前及化疗完全缓解(CR)后分别同时取骨髓和外周血,其中男11例,女5例;化疗前骨髓细胞形态学检查有骨髓浸润者4例。
, 百拇医药 1.2 DNA抽提
细胞系,骨髓和外周血标本用常规酚抽提法提取基因组DNA;石蜡包埋组织,切取5μm厚石蜡包埋组织4~6片置于Ep管中,加1mlSTE缓冲液(100mmol/LNaC1,10mmol/LTris·HC1,1mmol/LEDTA),72℃水浴,插入吸入滤纸条,将浮蜡及STE吸净,如此重复多次直至石蜡除净,将组织研磨成悬液后,加1ml消化液(15mmol/L柠檬酸钠·H2O,150mmol/LNaCl,1%SDS,100μg/ml蛋白酶K),37℃水浴过夜,然后用常规酚抽提法提取基因组DNA。
1.3 Bcl-2/IgH基因重排检测
引物序列,PCR扩增方法及产物鉴定参见我们以前报道的方法[3]。
2 结果
, 百拇医药
2.1 9种细胞系PCR扩增结果及PCR灵敏度检测
9种细胞系中,Su-DHL-4和Su-DHL-6扩增出约230bp的产物(图1),提示有重排发生,bcl-2基因断裂点在MBR,余下7种细胞系未检出此重排。将有bc1-2重排的SU-DHL-6细胞和无重排的Daudi细胞分别调成浓度为1×107/ml的细胞悬液,然后以1∶1,1∶10,1∶102,1∶103,1∶104,1∶105,1∶106,1107的比例混合两种细胞,然后抽提DNA进行PCR扩增,发现在1∶105稀释度时仍可见较弱的扩增条带,说明该方法的灵敏度为1∶105,即可在105个正常细胞中检出1个
肿瘤细胞(图2)。
, http://www.100md.com
图1 9种恶性淋巴瘤细胞系bcl-2基因重排.
M:Marker(pBR322/HinfI),A:Su-4,B:Su-DHL-6
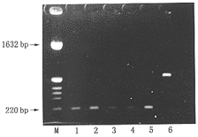
图2 PCR灵敏度检测.M:Marker,1~6泳道稀释度
依次为:1∶1,1∶10,1∶102,1∶103,1∶104、1∶105
2.2 29例NHL石蜡标本的检测
29例NHL中共检出6例bc1-2基因重排(见表1),全部发生于B细胞性NHL,F-NHL和D-NHLbc1-2基因重排率分别为36.4%和18.2%,bc1-2基因断裂点均在MBR(图3)。
, http://www.100md.com
表1 29例NHLbcl-2基因重排 分型
例数
bcl-2/IgH基因重排
MBR
MCR
滤泡型淋巴瘤
小裂细胞型
6
2
1
混合细胞型
2
1
, 百拇医药
0
大裂细胞型
3
0
0
弥漫型B细胞NHL
11
2
0
弥漫型T细胞NHL
7
0
0
, http://www.100md.com 合计
29
5
1
图3 NHL石蜡包埋标本PCR扩增结果,1~5泳道为
MRB/IgH重排,第6泳道为MCR/IgH重排.M:Marker
2.3 16例F-NHL检测
全部16例患者中,4例在化疗前的骨髓和外周血标本中同时检测到bc1-2/IgH基因重排(图4),bc1-2基因的断裂点均位于MBR;4例阳性病例中临床分期Ⅱ期1例,Ⅲ期2例,Ⅳ期1例,4例有骨髓浸犯的病例中仅1例有bc1-2/IgH基因重排。对4例有重排的患者进行监测,4例均接受大剂量联合化疗,其中1例用CHOP方案,另3例接受CHOP-Bleo方案化疗,经4个疗程化疗后达完全缓解,骨髓细胞形态正常,但在4例患者的外周血和骨髓标本中均扩增出阳性条带,说明仍残留有肿瘤细
, 百拇医药
胞。
图4 16例F-NHL患者PCR扩增结果
M:Marker,1~4泳道为MBR/IgH重排
3 讨论
bc1-2/IgH基因重排时,两个基因的断裂位点恒定,因此特别适用于灵敏度高,特异性强的PCR方法进行检测。我们应用PCR技术对9种细胞系、29例NHL的石蜡包埋组织和16例滤泡型NHL的骨髓和外周血进行检测,共发现12例有bc1-2/IgH基因重排。其中11例bc1-2基因断裂点位于MBR,仅1例发生于MCR,说明bc1-2/IgH的主要重要排方式为MBR/IgH[2]。
29例NHL石蜡包埋组织中共检出6例有bc1-2基因重排,全部在22例B细胞性NHL中检出,其中F-NHL4例(36.4%),D-NHL2例(18.2%);7例T细胞NHL未检出重排,提示bc1-2基因重排主要与低度恶性的滤泡型NHL有关,与高度恶性NHL和T细胞NHL无关[4]。在F-NHL各亚型中,bc1-2基因重排主要发生于小裂细胞性(3例)和混合细胞性(1例)NHL中,大细胞性中未检测到重排,推测bc1-2基因重排在大细胞性F-NHL的发生中所起作用较小[5]。
, 百拇医药
应用系列稀释试验证明PCR技术检测bc1-2基因重排的灵敏度为1∶105,较细胞形态学(1/100),细胞遗传学(5/100),Southern blot等[5]方法提高了1000位以上,是一种敏感度很高的方法;对16例F-NHL患者进行检测,4例在治疗达CR前后均同时在外周血和骨髓中检测到了肿瘤细胞,说明临床达CR,细胞形态学不能检测到肿瘤细胞时,该方法仍能有效检测到残存的微量肿瘤细胞,同时也表明大剂量化疗并不能完全清除骨髓和外周血中的阳性淋巴细胞克隆[7]。在Ⅱ、Ⅲ期患者的骨髓和外周血中检出有bc1-2/IgH重排,说明淋巴瘤的骨髓侵犯可发生于疾病进展的临床各期,其临床分期宜相应提前,部分学者认为应为临床Ⅳ期[8],但是否加大化疗剂量和疗程仍有争议,有报道长期CR的患者PCR检测可持续阳性,但MRD的存在是肿瘤复发的根源,Gribben等[9]对134例CR后进行自体骨髓移植(ABMT)的NHL患者不同时点542份骨髓标本进行检测,发现PCR阴性者ABMT后无病存活期显著长于PCR检测阳性者,后者ABMT后复发率是前者的48倍。因此,对PCR检测阳性的病例进行严密的追踪监测,对评估预后,确定化疗时机和方案有十分重要的意义。
, 百拇医药
参考文献
1 Strasser A, Huang DC,Vaux DL. The role of the bcl-2/ced-9 gene family in cancer and general implications of detects in cell death control for tumorigenesis and resistance to chemotherapy [J] .Biochem Biophys Acta,1997,1333:F151~178.
2 Cotter FE.The role of the bcl-2 gene in lymphma [J] . Br J Haematol,1990;75:449~453.
3 Xiang ZF,Chen Y,Li HY,et al. The expression and rearrangement of bcl-2 gene in chronic lymphocytic leukemia [J]. 中国实验血液学杂志,1998,6:45.
, 百拇医药
4 Berinstein NL, Jamal HH, Kuzniar B, et al. Sensitive and reproducible detection of occult disease in patients with follicular lymphoma by PCR amplification of t(14; 18) both pre-and post-treatment [J].Leukemia,1993,7:113~119.
5 Mitanis,Aoki N,Mizutani S, et al. bc1-2 gene rearrangement analysis of Japanese follicular lymphomas by polymerase chain reaction in formalin-fixed,paraffin embeded tissue specimens [J].Jpn J Cancer Res,1993,84:37~41.
, 百拇医药
6 Campana D, Pui CH. Detection of minimal residual disease in acute leukemia:mathodologic advances and clinical significance [J].Blood,1995,85:1416~1434.
7 Yuan R, Dowling P, Zucca E, et al. Detection of bcl-2/JH rearrangement in follicular and diffuse lymphoma:concordant results of peripheral blood and bone marrow analysis at diagnosis [J]. Br J Cancer,1993,67:922~925.
8 Gribben JG,Freedman AS, Woo SD, et al.All advanced stage non-Hodgkin’ s lymphomas with a polymerase chain reaction amplifiable breakpoint of bcl-2 have residual cells containing the bcl-2 rearrangement at evaluation and after treatment [J]. Blood,1991,78:3275~3280.
9 Gribben JG, Neuberg D, Freedman AS, et al. Detection by polymerase chain reaction of residual cells with the bcl-2 translocations is associated with increased risk of relapse after autologous bone marrow transplantation for B-cell lymphoma [J] . Blood,1993,8:3449~3457.
收稿日期:1998-09-30;修回日期:1998-12-09, 百拇医药
单位:蒋一强 陈燕 广西医科大学一附院病理科(南宁,530021);李慧玉 同济医科大学附属协和医院血研所(武汉,430022)
关键词:非霍奇金淋巴瘤;bc1-2基因;基因重排;微小残留病变
癌症990413
【摘要】目的:探索bc1-2基因重排在非霍奇金淋巴瘤(NHL)的发生及演变中的作用,以bc1-2/IgH重排为克隆标志,建立敏感的检测淋巴瘤微小残留病变的方法。方法:多聚酶链反应(PCR)检测bcl-2/IgH基因重排,系列稀释试验检测该方法的灵敏度。结果:9种恶性淋巴瘤细胞系中,Su-DHL-4,Su-DHL-6有bc1-2/IgH基因重排,系列稀释试验检测该方法的灵敏度为1∶105。29例NHL石蜡包埋的组织标本中,共检出6例有bc1-2基因重排,其中滤泡型NHL(F-NHL)4例(36.4%),弥漫型NHL(D-NHL)2例(18.2%),全部在B细胞性NHL中检出。16例F-NHL患者中,4例外周血和骨髓中同时检出bc1-2/IgH基因重排,化疗达CR后依然存在。结论:bc1-2基因重排主要与低度恶性的B细胞性淋巴瘤有关,重排方式以bc1-2(MBR)/IgH为主。bc1-2基因重排的检测为滤泡性淋巴瘤微小残留病变的检测提供了一个快速、敏感、特异的方法,对疾病的分期、疗效和预后的评估有一定的临床价值。
, http://www.100md.com
中图分类号:R733.3 文献标识码:A 文章编号:1000-467X(1999)04-0400-04
Analysis and usefulness of bcl-2/IgH gene rearrangement in non-Hodgkin's lymphoma
JIANG Yi-qiang1, CHEN Yan2, LI Hui-yu2
1.The First Affiliated Hospital,Guangxi Medical University, Nanning 530021, China
2.Institute of Hematology, Union Hospital, Tongji Medical University,Wuhan 430022,P.R.China
, 百拇医药
【Abstract】 Objectives:To elucidate the role and the significance of bcl-2/IgH gene rearrangement in tumorigenesis, development and therapy of non-Hodgkin's lymphoma(NHL),and to establish a sensitive method to detect minimal residual disease (MRD) in NHL.Methods:Using polymerase chain reaction (PCR) to detect bcl-2 gene rearrangement and using serial dilution method to define the sensitivity of PCR.Results:Among the 9 different lymphoma cell lines, bc1-2 gene rearrangements were shownin Su-DHL-4 and Su-DHL-6, the sensitivity of PCR was 1∶105. In paraffinembeded tissue specimens of 29 cases with NHL, in 6 cases bcl-2/IgH rearrangement was demonstrated including 4 out of 11 cases of follicular NHL(F-NHL) and 2 of 11 cases of diffuse NHL (D-NHL).These PCR positive cases were B-cell NHL. In bone marrow and peripheral blood samples of 16 patients with F-NHL,4 cases were PCR positive at initial diagnosis and after complete remission (CR). Conclusion:Bcl-2/IgH gene rearrangement are mainly associated with low-grade B-cell NHL.The maina pattern of bcl-2 rearrangement is MBR-IgH.Detection of bcl-2 rearrangement by PCR provides a sensitive and specific assay of MRD.It helps improve staging of disease, stratification and evaluation of treatment.
, 百拇医药
Key words:Non-Hodgkin's lymphoma;Bcl-2 gene;Gene rearrangement;Minimal residual disease
Bc1-2/IgH重排是人恶性淋巴瘤最常见的染色体异常,重排时,位于18号染色体q21区的凋亡抑制基因bcl-2主要在两个热点区断裂:(1)主要断裂区(MBR):约占60%~70%,位于bc1-2基因3’端最后一个外显子150bp范围的非翻译区内。(2)次要断裂簇区(MCR):约占20%~30%,位于bcl-2基因3’端的30kb远的500bp范围内;位于14号染色体的免疫球蛋白重链(IgH)基因的断裂点则相对恒定,主要在J区。重排后并不改变bc1-2基因的编码序列及转录方向,在IgH基因高效启动子等元件的调控下表达高水平的bc1-2蛋白,抑制淋巴细胞凋亡,与淋巴瘤的发生和演变有密切关系[1];以bc1-2/IgH基因重排为克隆标志开展微小残留病变的检测,可以对疾病的病程和预后等进行评估[2]。
, 百拇医药
1 材料与方法
1.1 研究对象
1.1.1 细胞系:9种恶性淋巴瘤细胞系分别为Su-DHL-1,Su-DHL-4,Su-DHL-6,Su-DHL-8,Su-DHL-9,Su-DHL-10,SB,8392,Daudi。由美国国立癌症研究所提供,均为B细胞性非霍奇金淋巴瘤(NHL)细胞。
1.1.2 石蜡包埋组织:29例NHL石蜡标本为门诊及住院患者淋巴结活检存档标本,男21例,女8例;滤泡型NHL(F-NHL)11例,弥漫型18例(D-NHL);免疫学分型B细胞性22例,T细胞性7例。
1.1.3 骨髓和外周血标本:16例F-NHL化疗前及化疗完全缓解(CR)后分别同时取骨髓和外周血,其中男11例,女5例;化疗前骨髓细胞形态学检查有骨髓浸润者4例。
, 百拇医药 1.2 DNA抽提
细胞系,骨髓和外周血标本用常规酚抽提法提取基因组DNA;石蜡包埋组织,切取5μm厚石蜡包埋组织4~6片置于Ep管中,加1mlSTE缓冲液(100mmol/LNaC1,10mmol/LTris·HC1,1mmol/LEDTA),72℃水浴,插入吸入滤纸条,将浮蜡及STE吸净,如此重复多次直至石蜡除净,将组织研磨成悬液后,加1ml消化液(15mmol/L柠檬酸钠·H2O,150mmol/LNaCl,1%SDS,100μg/ml蛋白酶K),37℃水浴过夜,然后用常规酚抽提法提取基因组DNA。
1.3 Bcl-2/IgH基因重排检测
引物序列,PCR扩增方法及产物鉴定参见我们以前报道的方法[3]。
2 结果
, 百拇医药
2.1 9种细胞系PCR扩增结果及PCR灵敏度检测
9种细胞系中,Su-DHL-4和Su-DHL-6扩增出约230bp的产物(图1),提示有重排发生,bcl-2基因断裂点在MBR,余下7种细胞系未检出此重排。将有bc1-2重排的SU-DHL-6细胞和无重排的Daudi细胞分别调成浓度为1×107/ml的细胞悬液,然后以1∶1,1∶10,1∶102,1∶103,1∶104,1∶105,1∶106,1107的比例混合两种细胞,然后抽提DNA进行PCR扩增,发现在1∶105稀释度时仍可见较弱的扩增条带,说明该方法的灵敏度为1∶105,即可在105个正常细胞中检出1个
肿瘤细胞(图2)。
, http://www.100md.com
图1 9种恶性淋巴瘤细胞系bcl-2基因重排.
M:Marker(pBR322/HinfI),A:Su-4,B:Su-DHL-6
图2 PCR灵敏度检测.M:Marker,1~6泳道稀释度
依次为:1∶1,1∶10,1∶102,1∶103,1∶104、1∶105
2.2 29例NHL石蜡标本的检测
29例NHL中共检出6例bc1-2基因重排(见表1),全部发生于B细胞性NHL,F-NHL和D-NHLbc1-2基因重排率分别为36.4%和18.2%,bc1-2基因断裂点均在MBR(图3)。
, http://www.100md.com
表1 29例NHLbcl-2基因重排 分型
例数
bcl-2/IgH基因重排
MBR
MCR
滤泡型淋巴瘤
小裂细胞型
6
2
1
混合细胞型
2
1
, 百拇医药
0
大裂细胞型
3
0
0
弥漫型B细胞NHL
11
2
0
弥漫型T细胞NHL
7
0
0
, http://www.100md.com 合计
29
5
1
图3 NHL石蜡包埋标本PCR扩增结果,1~5泳道为
MRB/IgH重排,第6泳道为MCR/IgH重排.M:Marker
2.3 16例F-NHL检测
全部16例患者中,4例在化疗前的骨髓和外周血标本中同时检测到bc1-2/IgH基因重排(图4),bc1-2基因的断裂点均位于MBR;4例阳性病例中临床分期Ⅱ期1例,Ⅲ期2例,Ⅳ期1例,4例有骨髓浸犯的病例中仅1例有bc1-2/IgH基因重排。对4例有重排的患者进行监测,4例均接受大剂量联合化疗,其中1例用CHOP方案,另3例接受CHOP-Bleo方案化疗,经4个疗程化疗后达完全缓解,骨髓细胞形态正常,但在4例患者的外周血和骨髓标本中均扩增出阳性条带,说明仍残留有肿瘤细
, 百拇医药
胞。
图4 16例F-NHL患者PCR扩增结果
M:Marker,1~4泳道为MBR/IgH重排
3 讨论
bc1-2/IgH基因重排时,两个基因的断裂位点恒定,因此特别适用于灵敏度高,特异性强的PCR方法进行检测。我们应用PCR技术对9种细胞系、29例NHL的石蜡包埋组织和16例滤泡型NHL的骨髓和外周血进行检测,共发现12例有bc1-2/IgH基因重排。其中11例bc1-2基因断裂点位于MBR,仅1例发生于MCR,说明bc1-2/IgH的主要重要排方式为MBR/IgH[2]。
29例NHL石蜡包埋组织中共检出6例有bc1-2基因重排,全部在22例B细胞性NHL中检出,其中F-NHL4例(36.4%),D-NHL2例(18.2%);7例T细胞NHL未检出重排,提示bc1-2基因重排主要与低度恶性的滤泡型NHL有关,与高度恶性NHL和T细胞NHL无关[4]。在F-NHL各亚型中,bc1-2基因重排主要发生于小裂细胞性(3例)和混合细胞性(1例)NHL中,大细胞性中未检测到重排,推测bc1-2基因重排在大细胞性F-NHL的发生中所起作用较小[5]。
, 百拇医药
应用系列稀释试验证明PCR技术检测bc1-2基因重排的灵敏度为1∶105,较细胞形态学(1/100),细胞遗传学(5/100),Southern blot等[5]方法提高了1000位以上,是一种敏感度很高的方法;对16例F-NHL患者进行检测,4例在治疗达CR前后均同时在外周血和骨髓中检测到了肿瘤细胞,说明临床达CR,细胞形态学不能检测到肿瘤细胞时,该方法仍能有效检测到残存的微量肿瘤细胞,同时也表明大剂量化疗并不能完全清除骨髓和外周血中的阳性淋巴细胞克隆[7]。在Ⅱ、Ⅲ期患者的骨髓和外周血中检出有bc1-2/IgH重排,说明淋巴瘤的骨髓侵犯可发生于疾病进展的临床各期,其临床分期宜相应提前,部分学者认为应为临床Ⅳ期[8],但是否加大化疗剂量和疗程仍有争议,有报道长期CR的患者PCR检测可持续阳性,但MRD的存在是肿瘤复发的根源,Gribben等[9]对134例CR后进行自体骨髓移植(ABMT)的NHL患者不同时点542份骨髓标本进行检测,发现PCR阴性者ABMT后无病存活期显著长于PCR检测阳性者,后者ABMT后复发率是前者的48倍。因此,对PCR检测阳性的病例进行严密的追踪监测,对评估预后,确定化疗时机和方案有十分重要的意义。
, 百拇医药
参考文献
1 Strasser A, Huang DC,Vaux DL. The role of the bcl-2/ced-9 gene family in cancer and general implications of detects in cell death control for tumorigenesis and resistance to chemotherapy [J] .Biochem Biophys Acta,1997,1333:F151~178.
2 Cotter FE.The role of the bcl-2 gene in lymphma [J] . Br J Haematol,1990;75:449~453.
3 Xiang ZF,Chen Y,Li HY,et al. The expression and rearrangement of bcl-2 gene in chronic lymphocytic leukemia [J]. 中国实验血液学杂志,1998,6:45.
, 百拇医药
4 Berinstein NL, Jamal HH, Kuzniar B, et al. Sensitive and reproducible detection of occult disease in patients with follicular lymphoma by PCR amplification of t(14; 18) both pre-and post-treatment [J].Leukemia,1993,7:113~119.
5 Mitanis,Aoki N,Mizutani S, et al. bc1-2 gene rearrangement analysis of Japanese follicular lymphomas by polymerase chain reaction in formalin-fixed,paraffin embeded tissue specimens [J].Jpn J Cancer Res,1993,84:37~41.
, 百拇医药
6 Campana D, Pui CH. Detection of minimal residual disease in acute leukemia:mathodologic advances and clinical significance [J].Blood,1995,85:1416~1434.
7 Yuan R, Dowling P, Zucca E, et al. Detection of bcl-2/JH rearrangement in follicular and diffuse lymphoma:concordant results of peripheral blood and bone marrow analysis at diagnosis [J]. Br J Cancer,1993,67:922~925.
8 Gribben JG,Freedman AS, Woo SD, et al.All advanced stage non-Hodgkin’ s lymphomas with a polymerase chain reaction amplifiable breakpoint of bcl-2 have residual cells containing the bcl-2 rearrangement at evaluation and after treatment [J]. Blood,1991,78:3275~3280.
9 Gribben JG, Neuberg D, Freedman AS, et al. Detection by polymerase chain reaction of residual cells with the bcl-2 translocations is associated with increased risk of relapse after autologous bone marrow transplantation for B-cell lymphoma [J] . Blood,1993,8:3449~3457.
收稿日期:1998-09-30;修回日期:1998-12-09, 百拇医药