重型丙型肝炎肝外组织丙型肝炎病毒感染状态免疫组化研究
作者:严福明 郝飞 顾长海 赵利斌 陈安慎 赵西平 郝连杰
单位:
关键词:肝炎病毒,丙型;抗原表达;免疫组织化学
中华传染病杂志990404 【摘要】 目的 探讨丙型肝炎患者肝外组织丙型肝炎病毒(HCV)感染状态、致病性及其意义。方法 采用免疫组化法检测9例重型丙型肝炎患者肾、心、胰腺和肠等肝外组织内HCV多种抗原表达,并观察各组织病理改变。结果 9例中6例(66.7%)在肝外组织检出HCV抗原。抗原定位于细胞浆内,呈均质型、包涵体型和膜下型。组织内抗原表达阳性细胞数量较少,不同组织间阳性细胞种类、数量和分布略有差异。病理学观察未发现细胞内HCV抗原阳性表达与组织病变有明确相关性。结论 HCV可以感染肝外组织,但未显示显著致病性。作为致病因子的HCV持续存在肝外多种脏器细胞内,在丙型肝炎慢性化和干扰素治疗后病情复发中可能起重要作用。
, 百拇医药
Immunohistochemical study on the state of extrahepatic hepatitis C virus infection in severe hepatitis C
YAN Fuming, HAO Fei, GU Changhai, et al.
Department of Infectious Diseases, The 161st Central Hospital of Chinese PLA, Wuhan 430010
【Abstract】 Objective To explore the state of extrahepatic hepatitis C virus (HCV) infection, viral pathogenicity and its significance in hepatitis C patients.Methods Immunohistochemical assay was used to examine the expression of various HCV antigens in the kidney, heart, pancreas and intestine from 9 severe hepatitis C patients. Relationship between the expression of HCV antigens and tissue lesions was evaluated.Results HCV antigens in extrahepatic tissues were detected in 6 of 9 (66.7%) hepatitis C patients and the expression of HCV antigens was observed only within cytoplasm in the style of homogenous, inclusion and submembrane distribution. The amount of positive-staining cells was less in the tissue and there were a few differences of kind, amount and distribution of HCV antigens-positive-staining cells among different extrahepatic tissues. There was no relationship between the expression of HCV antigens and tissue lesion.Conclusions These results show that HCV exists in different extrahepatic tissues, but do not bring out obvious cell injury. As a etiologic agent, the persistence of HCV in extrahepatic tissues may take an important role in the relapse as well as the chronicity of hepatitis C after discontinuation of interferon therapy.
, 百拇医药
【Key words】 Hepatitis C virus Antigen expression Immunohistochemistry
现已证实外周血单个核细胞(PBMC)为丙型肝炎病毒(HCV)肝外复制部位之一,其与HCV致病机制及感染慢性化等可能有密切关系[1,2]。但对其它肝外组织研究甚少。我们采用免疫组化法研究了9例重型丙型肝炎患者肾、心、胰腺和肠等脏器内HCV多种抗原表达情况,并观察各组织病理改变,旨在探讨不同肝外组织内HCV感染状态、致病性及其意义。
材料和方法
一、研究对象和标本来源
9例重型肝炎患者,男8例,女1例,年龄25~48岁,系第三军医大学西南医院传染科1986~1994年收治并经尸体解剖(尸解)病理诊断证实的病例。按1995年全国传染病与寄生虫病学术会议修订的诊断标准[3],计慢性重型肝炎6例,亚急性重型肝炎3例。9例经血清学(抗-HCV)、肝组织内HCV RNA和抗原检测证实为HCV感染者;均合并HBV感染。主要因肝性脑病(4例)、消化道大出血(4例)和肝肾综合征(1例)死亡。患者肾、心、胰腺和肠(5例)等共32份标本取自尸解组织存档石蜡块(由第三军医大学病理解剖教研室提供)。
, http://www.100md.com
二、实验方法
采用链霉菌亲生物素蛋白-过氧化物酶连接法(S-P法)检测组织内HCV NS3、NS5和CP10。主要试剂有抗-HCV CP10单克隆抗体(McAb),合成肽CP10偶联牛血清白蛋白免疫小鼠制备,由第三军医大学西南医院全军传染病中心提供;抗-HCV NS3和抗-HCV NS5 McAb,重组抗原免疫小鼠制备,由北京医科大学肝病研究所提供;S-P法试剂盒及3,3-二氨基苯联胺(DAB)显色试剂盒,为福州迈新生物技术开发公司产品,进口分装,即用型。特异性确证实验设:(1) 阳性对照;(2) 阴性对照(10份狂犬病尸解肝外组织,10份肝组织HCV抗原阴性患者肝外组织);(3) 第一抗体和试剂替代对照。
结果
一、肝外组织内HCV多种抗原检出情况
9例中6例(66.7%)涉及21份(65.6%,21/32)肝外组织在细胞内检出HCV多种抗原(见表1)。同一患者不同肝外组织内抗原检出有良好的平行性。
, 百拇医药
表1 4种肝外组织内HCV多种抗原检出情况 组织
例数
NS3(+)
NS5(+)
CP10(+)
肾
9
6
5
4
心
9
5
, 百拇医药
4
4
胰
9
6
6
5
肠
5
3
2
0
肝
9
, http://www.100md.com
8
7
7
注:肝外和肝组织内HCV NS3、NS5和CP10抗原的检出呈显著或非常显著一致性(χ2=4.185~9.835和χ2=4.0598~7.2566,P<0.05);
实验中阳性对照为阳性结果;阴性组织对照和多种替代对照为阴性结果;分别采用三种McAb对同一肝外组织重复检测的结果亦完全一致。故本实验结果具有特异性、可靠性和敏感性。
二、肝外组织内HCV抗原表达
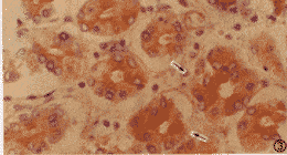
HCV NS3、NS5和CP10抗原阳性颗粒呈棕黄色、密集,定于肝外组织细胞浆内,呈均质型,包函体型和膜下型,未见核型。肾脏的肾小管上皮细胞、间质细胞(图1)和肾小球细胞内存在HCV抗原,以前两种细胞内常见,后者偶可见到。肾皮质内表达阳性细胞数量较髓质多。胰腺的腺泡细胞和腺导管上皮细胞(图2),肠道的肠腺上皮细胞(图3)和心脏的心肌细胞(图4)内也可检出HCV抗原。
, http://www.100md.com
图1 HCV NS3阳性表达位于肾间质细胞浆内,呈棕黄色(↑指),均质型;点状分布;S-P法(DAB染色—下同)×400
图2 HCV NS5阳性表达位于胰腺导管上皮细胞浆内(↑指);数个以上阳性细胞聚集;S-P法×400
图3 HCV CP10阳性表达位于肠腺上皮细胞浆内(↑指);阳性细胞呈不规则小片状;S-P法×400
图4 HCV NS5阳性表达位于心肌细胞浆内(↑指),呈包函体型;点状分布;S-P法×400
肝外脏器内抗原表达阳性细胞数量较相应肝组织(阳性肝细胞数量<1%)有较明显偏少;不同脏器间亦有一定差异,如心脏内较肠道、肾脏和胰腺偏少等。阳性细胞常以单个或数个聚集呈小灶状散在于组织内,多见于心脏和肾脏;也可数个以上聚集成不规则小片状,多见于胰腺和肠道。抗原表达阳性细胞的形态和大小与表达阴性细胞类似,未见特殊病变。
, http://www.100md.com
三、组织病理学观察结果
6例肝外组织HCV抗原检测阳性患者中,3例肾小球缺血、肾小管变性坏死,3例肠粘膜下弥漫性淤血,胰腺局限性出血坏死和间质慢性炎症、心间质出血各1例。3例检测阴性患者中,心间质片状出血、肾小管变性坏死和间质慢性炎症、胰腺急性炎症和肠粘膜下弥漫性淤血各1例。抗原检测阳性和阴性患者肝外组织病理改变较为一致;未发现细胞内HCV抗原阳性表达与组织病变有明确相关性。
讨论
近年来,有学者在丙型肝炎患者肾小球血管系膜和血管系膜旁细胞,胃粘膜细胞内检出HCV抗原[4,5]。由于报道少,涉及脏器局限,未能就肝外组织内HCV感染状态得出明确结论。本研究证实肾脏、心脏、胰腺和肠道的多种组织细胞内存在HCV NS3、NS5和CP10抗原阳性信号。我们和其他作者的研究表明:丙型肝炎患者肝外组织存在HCV感染。本研究同时还发现:肝外组织内抗原表达阳性细胞数量偏少,不同组织间阳性细胞种类、数量和分布亦有差异,可能提示肝外脏器HCV感染程度轻,各组织的感染状态也可能不尽相同。NS3、NS5和CP10等为HCV复制中的重要蛋白表达,但病毒能否在肝外组织内增殖复制,有待检测细胞内HCV RNA负链证实。
, 百拇医药
在膜增生性肾小球肾炎,混合冷丙种球蛋白血症的HCV感染患者,肾脏和皮肤等组织的损伤与小血管及其壁内HCV蛋白及特异性免疫复合物的沉积直接相关[5,6]。本研究中抗原检测阳性和阴性患者均存在程度不同的胃肠道功能衰竭、肝肾综合征和肝性脑病,肝外组织的变性坏死、炎症和出血等非特异性病变也较为一致,考虑为重型肝炎所致的多脏器组织损伤;同时,病理学观察未发现细胞内HCV抗原阳性表达与组织病变有明确相关性,提示细胞内存在的HCV可能并无显著致病性,肝外组织HCV感染属“伴随”状态。其意义可能在于储存病毒;使HCV更难以被机体和抗病毒治疗清除;为肝组织的反复感染提供病毒来源[2];作为致病因子的HCV持续存在肝外组织内,还可能致某些被感染细胞如淋巴细胞等的功能障碍[7],进而在干扰素治疗后病情复发和丙型肝炎慢性化中起重要作用,但其确切机制有待深入研究。
本课题受全军医药卫生科研基金资助(编号:98D066)
, 百拇医药
参考文献
1 Bronowicki JP, Loriot MA, Thiers V, et al. Hepatitis C virus persistence in human hematopoietic cells injected into SCID mice. Hepatology, 1998,28:211-218.
2 田德英,宋佩辉,王卫华,等.原位杂交法检测外周血单个核细胞中HCV RNA.中华传染病杂志,1998,16:140-143.
3 病毒性肝炎防治方案(试行).中华传染病杂志,1995,13:241-247.
4 Sansonno D, Gesualdo L, Manno C, et al. Hepatitis C virus-rela-ted proteins in kidney tissue from hepatitis C virus infected patients with cryoglobulinemic membranoproliferative glomerulonephritis. Hepato-logy, 1997,25:1237-1244.
, 百拇医药
5 袁光辉,罗朝霞,黄其通,等.丙型肝炎患者胃粘膜细胞中HCV NS3、NS5抗原定位研究.中华传染病杂志,1998,16:148-150.
6 Sansonno D,Cornacchiulo V, Iacobelli AR, et al. Localization of hepatitis C virus antigens in liver and skin tissues of chronic hepatitis C virus-infected patients with mixed cryoglobulinemia. Hepato-logy, 1995,21:305-312.
7 Moldvay J, Deny P, Pol S, et al. Detection of hepatitis C virus RNA in peripheral blood mononuclear cells of infected patients by in situ hybridization. Blood, 1994,83:269-273.
(收稿:1998-12-02 修回:1999-04-26), 百拇医药
单位:
关键词:肝炎病毒,丙型;抗原表达;免疫组织化学
中华传染病杂志990404 【摘要】 目的 探讨丙型肝炎患者肝外组织丙型肝炎病毒(HCV)感染状态、致病性及其意义。方法 采用免疫组化法检测9例重型丙型肝炎患者肾、心、胰腺和肠等肝外组织内HCV多种抗原表达,并观察各组织病理改变。结果 9例中6例(66.7%)在肝外组织检出HCV抗原。抗原定位于细胞浆内,呈均质型、包涵体型和膜下型。组织内抗原表达阳性细胞数量较少,不同组织间阳性细胞种类、数量和分布略有差异。病理学观察未发现细胞内HCV抗原阳性表达与组织病变有明确相关性。结论 HCV可以感染肝外组织,但未显示显著致病性。作为致病因子的HCV持续存在肝外多种脏器细胞内,在丙型肝炎慢性化和干扰素治疗后病情复发中可能起重要作用。
, 百拇医药
Immunohistochemical study on the state of extrahepatic hepatitis C virus infection in severe hepatitis C
YAN Fuming, HAO Fei, GU Changhai, et al.
Department of Infectious Diseases, The 161st Central Hospital of Chinese PLA, Wuhan 430010
【Abstract】 Objective To explore the state of extrahepatic hepatitis C virus (HCV) infection, viral pathogenicity and its significance in hepatitis C patients.Methods Immunohistochemical assay was used to examine the expression of various HCV antigens in the kidney, heart, pancreas and intestine from 9 severe hepatitis C patients. Relationship between the expression of HCV antigens and tissue lesions was evaluated.Results HCV antigens in extrahepatic tissues were detected in 6 of 9 (66.7%) hepatitis C patients and the expression of HCV antigens was observed only within cytoplasm in the style of homogenous, inclusion and submembrane distribution. The amount of positive-staining cells was less in the tissue and there were a few differences of kind, amount and distribution of HCV antigens-positive-staining cells among different extrahepatic tissues. There was no relationship between the expression of HCV antigens and tissue lesion.Conclusions These results show that HCV exists in different extrahepatic tissues, but do not bring out obvious cell injury. As a etiologic agent, the persistence of HCV in extrahepatic tissues may take an important role in the relapse as well as the chronicity of hepatitis C after discontinuation of interferon therapy.
, 百拇医药
【Key words】 Hepatitis C virus Antigen expression Immunohistochemistry
现已证实外周血单个核细胞(PBMC)为丙型肝炎病毒(HCV)肝外复制部位之一,其与HCV致病机制及感染慢性化等可能有密切关系[1,2]。但对其它肝外组织研究甚少。我们采用免疫组化法研究了9例重型丙型肝炎患者肾、心、胰腺和肠等脏器内HCV多种抗原表达情况,并观察各组织病理改变,旨在探讨不同肝外组织内HCV感染状态、致病性及其意义。
材料和方法
一、研究对象和标本来源
9例重型肝炎患者,男8例,女1例,年龄25~48岁,系第三军医大学西南医院传染科1986~1994年收治并经尸体解剖(尸解)病理诊断证实的病例。按1995年全国传染病与寄生虫病学术会议修订的诊断标准[3],计慢性重型肝炎6例,亚急性重型肝炎3例。9例经血清学(抗-HCV)、肝组织内HCV RNA和抗原检测证实为HCV感染者;均合并HBV感染。主要因肝性脑病(4例)、消化道大出血(4例)和肝肾综合征(1例)死亡。患者肾、心、胰腺和肠(5例)等共32份标本取自尸解组织存档石蜡块(由第三军医大学病理解剖教研室提供)。
, http://www.100md.com
二、实验方法
采用链霉菌亲生物素蛋白-过氧化物酶连接法(S-P法)检测组织内HCV NS3、NS5和CP10。主要试剂有抗-HCV CP10单克隆抗体(McAb),合成肽CP10偶联牛血清白蛋白免疫小鼠制备,由第三军医大学西南医院全军传染病中心提供;抗-HCV NS3和抗-HCV NS5 McAb,重组抗原免疫小鼠制备,由北京医科大学肝病研究所提供;S-P法试剂盒及3,3-二氨基苯联胺(DAB)显色试剂盒,为福州迈新生物技术开发公司产品,进口分装,即用型。特异性确证实验设:(1) 阳性对照;(2) 阴性对照(10份狂犬病尸解肝外组织,10份肝组织HCV抗原阴性患者肝外组织);(3) 第一抗体和试剂替代对照。
结果
一、肝外组织内HCV多种抗原检出情况
9例中6例(66.7%)涉及21份(65.6%,21/32)肝外组织在细胞内检出HCV多种抗原(见表1)。同一患者不同肝外组织内抗原检出有良好的平行性。
, 百拇医药
表1 4种肝外组织内HCV多种抗原检出情况 组织
例数
NS3(+)
NS5(+)
CP10(+)
肾
9
6
5
4
心
9
5
, 百拇医药
4
4
胰
9
6
6
5
肠
5
3
2
0
肝
9
, http://www.100md.com
8
7
7
注:肝外和肝组织内HCV NS3、NS5和CP10抗原的检出呈显著或非常显著一致性(χ2=4.185~9.835和χ2=4.0598~7.2566,P<0.05);
实验中阳性对照为阳性结果;阴性组织对照和多种替代对照为阴性结果;分别采用三种McAb对同一肝外组织重复检测的结果亦完全一致。故本实验结果具有特异性、可靠性和敏感性。
二、肝外组织内HCV抗原表达
HCV NS3、NS5和CP10抗原阳性颗粒呈棕黄色、密集,定于肝外组织细胞浆内,呈均质型,包函体型和膜下型,未见核型。肾脏的肾小管上皮细胞、间质细胞(图1)和肾小球细胞内存在HCV抗原,以前两种细胞内常见,后者偶可见到。肾皮质内表达阳性细胞数量较髓质多。胰腺的腺泡细胞和腺导管上皮细胞(图2),肠道的肠腺上皮细胞(图3)和心脏的心肌细胞(图4)内也可检出HCV抗原。
, http://www.100md.com
图1 HCV NS3阳性表达位于肾间质细胞浆内,呈棕黄色(↑指),均质型;点状分布;S-P法(DAB染色—下同)×400
图2 HCV NS5阳性表达位于胰腺导管上皮细胞浆内(↑指);数个以上阳性细胞聚集;S-P法×400
图3 HCV CP10阳性表达位于肠腺上皮细胞浆内(↑指);阳性细胞呈不规则小片状;S-P法×400
图4 HCV NS5阳性表达位于心肌细胞浆内(↑指),呈包函体型;点状分布;S-P法×400
肝外脏器内抗原表达阳性细胞数量较相应肝组织(阳性肝细胞数量<1%)有较明显偏少;不同脏器间亦有一定差异,如心脏内较肠道、肾脏和胰腺偏少等。阳性细胞常以单个或数个聚集呈小灶状散在于组织内,多见于心脏和肾脏;也可数个以上聚集成不规则小片状,多见于胰腺和肠道。抗原表达阳性细胞的形态和大小与表达阴性细胞类似,未见特殊病变。
, http://www.100md.com
三、组织病理学观察结果
6例肝外组织HCV抗原检测阳性患者中,3例肾小球缺血、肾小管变性坏死,3例肠粘膜下弥漫性淤血,胰腺局限性出血坏死和间质慢性炎症、心间质出血各1例。3例检测阴性患者中,心间质片状出血、肾小管变性坏死和间质慢性炎症、胰腺急性炎症和肠粘膜下弥漫性淤血各1例。抗原检测阳性和阴性患者肝外组织病理改变较为一致;未发现细胞内HCV抗原阳性表达与组织病变有明确相关性。
讨论
近年来,有学者在丙型肝炎患者肾小球血管系膜和血管系膜旁细胞,胃粘膜细胞内检出HCV抗原[4,5]。由于报道少,涉及脏器局限,未能就肝外组织内HCV感染状态得出明确结论。本研究证实肾脏、心脏、胰腺和肠道的多种组织细胞内存在HCV NS3、NS5和CP10抗原阳性信号。我们和其他作者的研究表明:丙型肝炎患者肝外组织存在HCV感染。本研究同时还发现:肝外组织内抗原表达阳性细胞数量偏少,不同组织间阳性细胞种类、数量和分布亦有差异,可能提示肝外脏器HCV感染程度轻,各组织的感染状态也可能不尽相同。NS3、NS5和CP10等为HCV复制中的重要蛋白表达,但病毒能否在肝外组织内增殖复制,有待检测细胞内HCV RNA负链证实。
, 百拇医药
在膜增生性肾小球肾炎,混合冷丙种球蛋白血症的HCV感染患者,肾脏和皮肤等组织的损伤与小血管及其壁内HCV蛋白及特异性免疫复合物的沉积直接相关[5,6]。本研究中抗原检测阳性和阴性患者均存在程度不同的胃肠道功能衰竭、肝肾综合征和肝性脑病,肝外组织的变性坏死、炎症和出血等非特异性病变也较为一致,考虑为重型肝炎所致的多脏器组织损伤;同时,病理学观察未发现细胞内HCV抗原阳性表达与组织病变有明确相关性,提示细胞内存在的HCV可能并无显著致病性,肝外组织HCV感染属“伴随”状态。其意义可能在于储存病毒;使HCV更难以被机体和抗病毒治疗清除;为肝组织的反复感染提供病毒来源[2];作为致病因子的HCV持续存在肝外组织内,还可能致某些被感染细胞如淋巴细胞等的功能障碍[7],进而在干扰素治疗后病情复发和丙型肝炎慢性化中起重要作用,但其确切机制有待深入研究。
本课题受全军医药卫生科研基金资助(编号:98D066)
, 百拇医药
参考文献
1 Bronowicki JP, Loriot MA, Thiers V, et al. Hepatitis C virus persistence in human hematopoietic cells injected into SCID mice. Hepatology, 1998,28:211-218.
2 田德英,宋佩辉,王卫华,等.原位杂交法检测外周血单个核细胞中HCV RNA.中华传染病杂志,1998,16:140-143.
3 病毒性肝炎防治方案(试行).中华传染病杂志,1995,13:241-247.
4 Sansonno D, Gesualdo L, Manno C, et al. Hepatitis C virus-rela-ted proteins in kidney tissue from hepatitis C virus infected patients with cryoglobulinemic membranoproliferative glomerulonephritis. Hepato-logy, 1997,25:1237-1244.
, 百拇医药
5 袁光辉,罗朝霞,黄其通,等.丙型肝炎患者胃粘膜细胞中HCV NS3、NS5抗原定位研究.中华传染病杂志,1998,16:148-150.
6 Sansonno D,Cornacchiulo V, Iacobelli AR, et al. Localization of hepatitis C virus antigens in liver and skin tissues of chronic hepatitis C virus-infected patients with mixed cryoglobulinemia. Hepato-logy, 1995,21:305-312.
7 Moldvay J, Deny P, Pol S, et al. Detection of hepatitis C virus RNA in peripheral blood mononuclear cells of infected patients by in situ hybridization. Blood, 1994,83:269-273.
(收稿:1998-12-02 修回:1999-04-26), 百拇医药