P53、bcl-2和ki-67蛋白表达与涎腺腺样囊性癌关系
作者:陈建钢 铁朝荣 李清 李辉菶
单位:430071武汉,湖北医科大学附二医院口腔科
关键词:腺样囊性癌;癌基因;抑癌基因;细胞凋亡;免疫组化
临床口腔医学杂志990406 提 要 目的 探讨P53. bcl-2和ki-67在腺样囊性癌(ACC)中的表达及临床意义。方法 应用免疫组化方法,观察20例ACC石蜡包埋组织P53、 bcl-2和ki-67蛋白表达,结果 P53、 bcl-2和ki-67的阳性表达率分别为50%、70%和80%,P53.和ki-67阳性率在不同ACC组织亚型中存有差异(P<0.05),bcl-2阴性表达者3年死亡率高于阳性表达患者(P<0.01),ki-67和bcl-2阳性表达与淋巴结转移有显著性关系(P<0.01)。结论 P53、 bcl-2和ki-67蛋白表达在ACC中起有一定作用,三者间可能有协同关系;P53表达受ACC组织分型及细胞分化程度影响;bcl-2蛋白检测有助于临床预后评估;ki-67蛋白与细胞恶性程度及淋巴结转移有明显相关性。
, 百拇医药
P53、 bcl-2和ki-67 Expressions in adenoid cystic carcinoma and their clinic significances.
Chen Jiangang, Tie Zhaorong, Li Qing et al.
Department of Stomotology, 2nd Affiliated Hospital, Hubei Medical University, Wuhan,430071.
Abstract Objective To observe the expressions of P53、 bcl-2、ki-67 in Adenoid Cystic Carcinoma (ACC).Methods20 cases of ACC were reviewed.P53、 bcl-2、ki-67 proteins were detected by immunohisto chemistry. ResultsResults show the positive rates of P53、 bcl-2、ki-67 were 50%, 70%and 80%. There were significant differences for P53 and ki-67 positive rates in different types of ACC. 3-Years death rate of bcl-2 negative staining was higher than those of positive rate. ki-67 and bcl-2 proteins were related with lymph node metastasis (P<0.01). Conclution The study indicates P53、bcl-2 and ki-67 play roles in ACC. They are co-operative factors in ACC. P53 expxession is affected by ACC cell types and differenciation. Analysis of bcl-2 expression is useful for ACC prognosis. ki-67 expression is link with lymph node metastasis and proliferating protential.
, http://www.100md.com
Key words Adenoid Cystic Carcinoma Oncogene tumour-suppressor gene apoptosis immunohistochemistry.
分子生物学研究揭示,肿瘤的发生是多因素协同作用的结果。癌基因突变和过量表达、细胞凋亡(Apoptosis)的抑制和细胞增殖活性的增强,在涎腺肿瘤中均起有重要作用〔1、2〕。腺样囊性癌(Adenoid Cystic Carcinoma, ACC)是较为常见的涎腺恶性肿瘤,其早期浸润性强,转移率高,预后较差。本实验采用免疫组化方法,检测20例ACC石蜡包埋组织P53、bcl-2和ki-67表达,并探讨其与ACC亚型、淋巴结转移和预后的关系,为该类肿瘤的早期诊断和预后评估提供一定实验依据。
材料与方法
① 组织来源:20例ACC石蜡包埋标本,取自湖北医科大学病理解剖教研室和湖北医科大学口腔医学院1990~1995手术切除组织。术前未行放、化疗,男性12例,女性8例,年龄38~68岁,平均年龄53岁。参照WHO标准,两位高年资病理医师再次确诊并分型(实性型和腺样—管状型)。
, http://www.100md.com
② 免疫组化:P53、bcl-2和ki-67抗体及试剂盒均购自福建迈新生物技术开发公司,阳性对照亦由该公司提供,PBS替代一抗作阴性对照,取正常涎腺组织为正常对照。
③ 结果判断:随机选择4个视野(40×),每个视野均观察100细胞中的阳性细胞数,取4个视野的阳性细胞百分率为显色指数,显色指数小于5%为阴性(-),5~50%为弱阳性(+),大于50%为强阳性(++)。
④ 统计学方法:四格表精确概率分析和x2检验。
结 果
ki-67和P53为胞核着色,bcl-2为胞浆着色,染色均呈棕黄色或棕竭色,20例ACC中,P53阳性率为70%(14/20)。其中+:6例,++:8例;bcl-2阳性率80%(16/20),+:6,++:10,ki-67阳性率 50%(10/20),+:7,++:3。P53、bcl-2和ki-67同时阳性者7例均为阴性者2例,P53和bcl-2同时阳性5例,bcl-2和ki-67阳性3例,P53和bcl-2单项阳性分别为2例和1例(图1,2,3)。


, http://www.100md.com
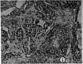
图1 ACC中P53蛋白表达(++),胞核出现棕色颗粒状物(SP法,40×10)
图2 bcl-2在ACC中表达(++),胞浆见棕色颗粒物质(SP法,20×10)
图3 ki-67在ACC中表达(++),胞核出现棕色染色(SP法,40×10)
P53、bcl-2和ki-67与ACC亚型、淋巴转移和预后关系(表1)
表1 三种蛋白表达与ACC亚型、淋巴结转移及预后关系
例数
P53
bcl-2
ki-67
, http://www.100md.com
阳性
阴性
阳性
阴性
阳性
阴性
实性型
12
11
1
10
2
9
3
, http://www.100md.com
腺样—管状型
8
3
5
6
2
1
7
淋巴结转移
9
7
2
5
4
, 百拇医药
8
1
<3年死亡率
7
5
2
3
4
6
1
P53和ki-67在ACC不同亚型之间的阳性表达率,均有显著性差异(P<0.05),但bc-2阳性率两亚型间比较无明显差异(P>0.05),P53阳性率与有无淋巴结转移无明显关系(P>0.05),但bcl-2和ki-67阳性率,则分别显示出显著性或高度显著性差异(P<0.05和P<0.01)。20例患者中,3年死亡率为35%(7/20),P53和ki-67蛋白性表达对生存期无明显影响(P>0.05),但bcl-2表达与3年死亡率有明显关系,bcl-2阴性患者死亡率明显高于阳性患者(P<0.01)。9例淋巴结转移组织中,P53、bcl-2和ki-67两种及全部阳性者7例,单独阳性或阴性2例,两者比较无显著性差异(P>0.05),7例3年死亡病例中,两种和全部阳性者6例,单独阳性或阴性1例,两者间比较亦无差异(P>0.05)。讨 论
, 百拇医药
1. 本文20例ACC组织中,P53阳性率为70%(14/20),且多数呈++染色,在不同ACC亚型中,实性型P53阳性率明显高于腺样一管状型(P<0.05),前者恶性程度更高,复发和死亡率亦高于后者,由此可见,P53表达,与ACC发生和组织分型有密切关系。有关P53蛋白在临床预后中的作用,虽3年死亡病例中P53阳性患者死亡率高于阴性患者,但两者间无显著性差异(P<0.05);同时,P53表达率在有无淋巴组织转移患者中亦无差异(P>0.05),提示P53表达率升高可能是ACC发生过程中的早期改变之一。
2. bcl-2基因发现于滤泡型B细胞淋巴病,其致瘤性并非促进细胞增殖,而是抑制细胞凋亡(Apoptosis)的结果,故被认为是一种细胞凋亡抑制基因。bcl-2表达产物位于细胞线粒体膜、内质网及核膜,其表达水平升高,可明显延长细胞生长期〔5〕,现已证实多种人类恶性肿瘤中存在bcl-2表达,后者还可作为判断肿瘤预后的一项指标,即bcl-2阳性率越高(>30%),恶性程度越低,生存率越高。本文20例病例中,bcl-2检出率高达80%,其中以强阳性反应为主,且不受组织亚型影响,说明bcl-2在ACC发生中起有重要作用。在3年死亡率中bcl-2阳性患者明显低于阴性患者,此结果与多数文献报导相一致〔6〕,提示bcl-2可作为评估ACC预后的参考依据。
, 百拇医药
3. ki-67抗原是细胞核基质的一部分,能较准确地反映细胞增殖程度〔7〕。本实验中ki-67表达率为50%(10/20),ACC亚型中的实性型明显高于腺样—管状型,表明细胞分化程度越差,ki-67表达越高,后者可成为评定细胞恶性程度的重要参数。关于ki-67与ACC淋巴结转移和生存率关系,文献报导不多,本文结果证实ki-67表达与淋巴结转移有明显关系(P<0.05),而与3年死亡率无关(P>0.05),提示ki-67可作为判断肿瘤浸润性行为指标,但对临床预后无直接指导意义。
4. 肿瘤发生的多基因学说认为,单一癌基因活化,只能引起细胞增殖和永生化,至少两个或两个以上癌基因共同才能引起肿瘤发生〔8、9〕,本文病例中,P53、bcl-2和Ki-67两种或两种以上阳性率高达75%(15/20),与单独阳性或阴性患者比较有显著性差异(P>0.01),提示ACC发生过程中,三种癌基因间有一定协同作用。有学者分析〔10〕P53基因突变,可促使细胞由G1期进入S期,恰好与ki-67的增殖作用同步,此“共震效应”进一步加速细胞繁殖;同时,突变后的P53对bcl-2调节功能减弱,细胞凋亡减少,细胞堆积而致肿瘤发生。然而,三种癌基因的协同作用与ACC中淋巴结转移和3年生存率关系,并无明显相关性(P>0.05),即两种或两种以上阳性率患者,其淋巴结转移和3年死亡率并不高于单项阳性或阴性患者。由于病例所限,此项课题尚需进一步探讨。
, 百拇医药
参考文献
1 Field JK. Oncogene and tumour suppressor gene in squamous cell carcinoma of the head and neck. Eur J Cancer, 1993;28B:67-81
2 蒋书勤、候兰艳、孙保存等.诞腺良性多形性腺瘤和恶性多形性腺瘤中C—erb_2和bcl_2蛋白的表达及意义,中国肿瘤临床,1998;225:354—356.
3 Eiki Sa kai. Most human squamous cell carcinoma in the oral cavity contain mutated P53 tumour suppressor gene. Oncogene, 1992;7:133_134
4 陈建钢、范崇德、李清等。涎腺肿瘤与癌基因c-myc、抑癌基因P53和人类乳头状病毒感染的关系.现代口腔医学杂志, 1998;12:12—14
, 百拇医药
5 Tsujimoto Y, Ikegaki N, Croce CM et al. Characterization of the protein product of bcl-2, the gene involved in human follicular lymphoma. Oncogene, 1994, 124:1~2
6 Nakanishi H, Ohsawa M, Naka et al. Immunohistochemical detection of blc-2 and P53 proteins and apoptosis in soft tissue sarcoma: their correlations with prognosis. Oncology, 1997;54:238~239
7 Yang L, Hashimura K, Qinc et al. Immunoreactivity of proliferatimg cell nuclear antigen in salivary gland tumours:an assessment of growth protential. Virchows Archiv A Pathol Anat, 1993,422:481
8 彭歆,俞光岩,高岩等.金属硫因蛋白。增殖细胞核抗原和肿瘤抑制基因P53在涎腺腺样囊性癌表达的研究,现代口腔医学杂志,1998,12:241—247
9 朱珍道,郭旦敏,胡空等.bcl-2、P53和C—erb_2基因在卵巢癌中的表达,河南肿瘤学杂志,1998,11:261~262
10 王晋芬,张建中,赵小麟等.bcl-2癌基因蛋白在滤泡性淋巴瘤中的表达及意义,中华病理学杂志,1996,25:149~150。
(收稿:1999—04—28), 百拇医药
单位:430071武汉,湖北医科大学附二医院口腔科
关键词:腺样囊性癌;癌基因;抑癌基因;细胞凋亡;免疫组化
临床口腔医学杂志990406 提 要 目的 探讨P53. bcl-2和ki-67在腺样囊性癌(ACC)中的表达及临床意义。方法 应用免疫组化方法,观察20例ACC石蜡包埋组织P53、 bcl-2和ki-67蛋白表达,结果 P53、 bcl-2和ki-67的阳性表达率分别为50%、70%和80%,P53.和ki-67阳性率在不同ACC组织亚型中存有差异(P<0.05),bcl-2阴性表达者3年死亡率高于阳性表达患者(P<0.01),ki-67和bcl-2阳性表达与淋巴结转移有显著性关系(P<0.01)。结论 P53、 bcl-2和ki-67蛋白表达在ACC中起有一定作用,三者间可能有协同关系;P53表达受ACC组织分型及细胞分化程度影响;bcl-2蛋白检测有助于临床预后评估;ki-67蛋白与细胞恶性程度及淋巴结转移有明显相关性。
, 百拇医药
P53、 bcl-2和ki-67 Expressions in adenoid cystic carcinoma and their clinic significances.
Chen Jiangang, Tie Zhaorong, Li Qing et al.
Department of Stomotology, 2nd Affiliated Hospital, Hubei Medical University, Wuhan,430071.
Abstract Objective To observe the expressions of P53、 bcl-2、ki-67 in Adenoid Cystic Carcinoma (ACC).Methods20 cases of ACC were reviewed.P53、 bcl-2、ki-67 proteins were detected by immunohisto chemistry. ResultsResults show the positive rates of P53、 bcl-2、ki-67 were 50%, 70%and 80%. There were significant differences for P53 and ki-67 positive rates in different types of ACC. 3-Years death rate of bcl-2 negative staining was higher than those of positive rate. ki-67 and bcl-2 proteins were related with lymph node metastasis (P<0.01). Conclution The study indicates P53、bcl-2 and ki-67 play roles in ACC. They are co-operative factors in ACC. P53 expxession is affected by ACC cell types and differenciation. Analysis of bcl-2 expression is useful for ACC prognosis. ki-67 expression is link with lymph node metastasis and proliferating protential.
, http://www.100md.com
Key words Adenoid Cystic Carcinoma Oncogene tumour-suppressor gene apoptosis immunohistochemistry.
分子生物学研究揭示,肿瘤的发生是多因素协同作用的结果。癌基因突变和过量表达、细胞凋亡(Apoptosis)的抑制和细胞增殖活性的增强,在涎腺肿瘤中均起有重要作用〔1、2〕。腺样囊性癌(Adenoid Cystic Carcinoma, ACC)是较为常见的涎腺恶性肿瘤,其早期浸润性强,转移率高,预后较差。本实验采用免疫组化方法,检测20例ACC石蜡包埋组织P53、bcl-2和ki-67表达,并探讨其与ACC亚型、淋巴结转移和预后的关系,为该类肿瘤的早期诊断和预后评估提供一定实验依据。
材料与方法
① 组织来源:20例ACC石蜡包埋标本,取自湖北医科大学病理解剖教研室和湖北医科大学口腔医学院1990~1995手术切除组织。术前未行放、化疗,男性12例,女性8例,年龄38~68岁,平均年龄53岁。参照WHO标准,两位高年资病理医师再次确诊并分型(实性型和腺样—管状型)。
, http://www.100md.com
② 免疫组化:P53、bcl-2和ki-67抗体及试剂盒均购自福建迈新生物技术开发公司,阳性对照亦由该公司提供,PBS替代一抗作阴性对照,取正常涎腺组织为正常对照。
③ 结果判断:随机选择4个视野(40×),每个视野均观察100细胞中的阳性细胞数,取4个视野的阳性细胞百分率为显色指数,显色指数小于5%为阴性(-),5~50%为弱阳性(+),大于50%为强阳性(++)。
④ 统计学方法:四格表精确概率分析和x2检验。
结 果
ki-67和P53为胞核着色,bcl-2为胞浆着色,染色均呈棕黄色或棕竭色,20例ACC中,P53阳性率为70%(14/20)。其中+:6例,++:8例;bcl-2阳性率80%(16/20),+:6,++:10,ki-67阳性率 50%(10/20),+:7,++:3。P53、bcl-2和ki-67同时阳性者7例均为阴性者2例,P53和bcl-2同时阳性5例,bcl-2和ki-67阳性3例,P53和bcl-2单项阳性分别为2例和1例(图1,2,3)。
, http://www.100md.com
图1 ACC中P53蛋白表达(++),胞核出现棕色颗粒状物(SP法,40×10)
图2 bcl-2在ACC中表达(++),胞浆见棕色颗粒物质(SP法,20×10)
图3 ki-67在ACC中表达(++),胞核出现棕色染色(SP法,40×10)
P53、bcl-2和ki-67与ACC亚型、淋巴转移和预后关系(表1)
表1 三种蛋白表达与ACC亚型、淋巴结转移及预后关系
例数
P53
bcl-2
ki-67
, http://www.100md.com
阳性
阴性
阳性
阴性
阳性
阴性
实性型
12
11
1
10
2
9
3
, http://www.100md.com
腺样—管状型
8
3
5
6
2
1
7
淋巴结转移
9
7
2
5
4
, 百拇医药
8
1
<3年死亡率
7
5
2
3
4
6
1
P53和ki-67在ACC不同亚型之间的阳性表达率,均有显著性差异(P<0.05),但bc-2阳性率两亚型间比较无明显差异(P>0.05),P53阳性率与有无淋巴结转移无明显关系(P>0.05),但bcl-2和ki-67阳性率,则分别显示出显著性或高度显著性差异(P<0.05和P<0.01)。20例患者中,3年死亡率为35%(7/20),P53和ki-67蛋白性表达对生存期无明显影响(P>0.05),但bcl-2表达与3年死亡率有明显关系,bcl-2阴性患者死亡率明显高于阳性患者(P<0.01)。9例淋巴结转移组织中,P53、bcl-2和ki-67两种及全部阳性者7例,单独阳性或阴性2例,两者比较无显著性差异(P>0.05),7例3年死亡病例中,两种和全部阳性者6例,单独阳性或阴性1例,两者间比较亦无差异(P>0.05)。讨 论
, 百拇医药
1. 本文20例ACC组织中,P53阳性率为70%(14/20),且多数呈++染色,在不同ACC亚型中,实性型P53阳性率明显高于腺样一管状型(P<0.05),前者恶性程度更高,复发和死亡率亦高于后者,由此可见,P53表达,与ACC发生和组织分型有密切关系。有关P53蛋白在临床预后中的作用,虽3年死亡病例中P53阳性患者死亡率高于阴性患者,但两者间无显著性差异(P<0.05);同时,P53表达率在有无淋巴组织转移患者中亦无差异(P>0.05),提示P53表达率升高可能是ACC发生过程中的早期改变之一。
2. bcl-2基因发现于滤泡型B细胞淋巴病,其致瘤性并非促进细胞增殖,而是抑制细胞凋亡(Apoptosis)的结果,故被认为是一种细胞凋亡抑制基因。bcl-2表达产物位于细胞线粒体膜、内质网及核膜,其表达水平升高,可明显延长细胞生长期〔5〕,现已证实多种人类恶性肿瘤中存在bcl-2表达,后者还可作为判断肿瘤预后的一项指标,即bcl-2阳性率越高(>30%),恶性程度越低,生存率越高。本文20例病例中,bcl-2检出率高达80%,其中以强阳性反应为主,且不受组织亚型影响,说明bcl-2在ACC发生中起有重要作用。在3年死亡率中bcl-2阳性患者明显低于阴性患者,此结果与多数文献报导相一致〔6〕,提示bcl-2可作为评估ACC预后的参考依据。
, 百拇医药
3. ki-67抗原是细胞核基质的一部分,能较准确地反映细胞增殖程度〔7〕。本实验中ki-67表达率为50%(10/20),ACC亚型中的实性型明显高于腺样—管状型,表明细胞分化程度越差,ki-67表达越高,后者可成为评定细胞恶性程度的重要参数。关于ki-67与ACC淋巴结转移和生存率关系,文献报导不多,本文结果证实ki-67表达与淋巴结转移有明显关系(P<0.05),而与3年死亡率无关(P>0.05),提示ki-67可作为判断肿瘤浸润性行为指标,但对临床预后无直接指导意义。
4. 肿瘤发生的多基因学说认为,单一癌基因活化,只能引起细胞增殖和永生化,至少两个或两个以上癌基因共同才能引起肿瘤发生〔8、9〕,本文病例中,P53、bcl-2和Ki-67两种或两种以上阳性率高达75%(15/20),与单独阳性或阴性患者比较有显著性差异(P>0.01),提示ACC发生过程中,三种癌基因间有一定协同作用。有学者分析〔10〕P53基因突变,可促使细胞由G1期进入S期,恰好与ki-67的增殖作用同步,此“共震效应”进一步加速细胞繁殖;同时,突变后的P53对bcl-2调节功能减弱,细胞凋亡减少,细胞堆积而致肿瘤发生。然而,三种癌基因的协同作用与ACC中淋巴结转移和3年生存率关系,并无明显相关性(P>0.05),即两种或两种以上阳性率患者,其淋巴结转移和3年死亡率并不高于单项阳性或阴性患者。由于病例所限,此项课题尚需进一步探讨。
, 百拇医药
参考文献
1 Field JK. Oncogene and tumour suppressor gene in squamous cell carcinoma of the head and neck. Eur J Cancer, 1993;28B:67-81
2 蒋书勤、候兰艳、孙保存等.诞腺良性多形性腺瘤和恶性多形性腺瘤中C—erb_2和bcl_2蛋白的表达及意义,中国肿瘤临床,1998;225:354—356.
3 Eiki Sa kai. Most human squamous cell carcinoma in the oral cavity contain mutated P53 tumour suppressor gene. Oncogene, 1992;7:133_134
4 陈建钢、范崇德、李清等。涎腺肿瘤与癌基因c-myc、抑癌基因P53和人类乳头状病毒感染的关系.现代口腔医学杂志, 1998;12:12—14
, 百拇医药
5 Tsujimoto Y, Ikegaki N, Croce CM et al. Characterization of the protein product of bcl-2, the gene involved in human follicular lymphoma. Oncogene, 1994, 124:1~2
6 Nakanishi H, Ohsawa M, Naka et al. Immunohistochemical detection of blc-2 and P53 proteins and apoptosis in soft tissue sarcoma: their correlations with prognosis. Oncology, 1997;54:238~239
7 Yang L, Hashimura K, Qinc et al. Immunoreactivity of proliferatimg cell nuclear antigen in salivary gland tumours:an assessment of growth protential. Virchows Archiv A Pathol Anat, 1993,422:481
8 彭歆,俞光岩,高岩等.金属硫因蛋白。增殖细胞核抗原和肿瘤抑制基因P53在涎腺腺样囊性癌表达的研究,现代口腔医学杂志,1998,12:241—247
9 朱珍道,郭旦敏,胡空等.bcl-2、P53和C—erb_2基因在卵巢癌中的表达,河南肿瘤学杂志,1998,11:261~262
10 王晋芬,张建中,赵小麟等.bcl-2癌基因蛋白在滤泡性淋巴瘤中的表达及意义,中华病理学杂志,1996,25:149~150。
(收稿:1999—04—28), 百拇医药