端粒酶蛋白催化亚基(hTRT)mRNA在口腔鳞癌形成过程中的表达
作者:张铃 张伟国 刘正
单位:200011 上海第二医科大学口腔医学院
关键词:端粒酶;hTRT基因;癌前病变;鳞癌
华西口腔学杂志990404 摘要 目的:观察端粒酶催化蛋白基因hTRT在口腔粘膜恶性转化不同阶段中的表达,探讨其与口腔粘膜细胞恶性程度的关系。方法:用原位杂交技术检测82例标本,其中正常口腔粘膜7例、上皮单纯性增生7例、上皮异常增生30例、原位癌8例、口腔粘膜鳞癌30例。结果:正常口腔粘膜、上皮单纯性增生组织中hTRT的mRNA表达较弱,阳性信号仅局限于上皮基底层及副基底层间,阳性率21.4%(3/14);上皮异常增生中hTRT mRNA阳性表达见于多层上皮细胞,并随细胞异形性增高而表达增强,阳性率46.7%(14/30);口腔粘膜鳞癌组织中hTRT的mRNA有较强阳性表达,阳性率81.6%(31/38)。结论:端粒酶hTRT基因的表达与口腔粘膜细胞的恶性程度密切相关,端粒酶的重新激活在口腔鳞癌的形成过程中起了关键性作用。
, http://www.100md.com
Telomerase hTRT mRNA Expression in Oral Squamous Cell Carcinogenesis
Zhang Ling, Zhang Weiguo, Liu Zheng
School of Stomatology, Shanghai Second Medical University
Abstract
Objective: To investigate the relationship between telomerase hTRT gene expression and malignant development of oral mucosa epithlium. Methods: 82 cases were detected by in situ hybridization technique for hTRT gene, including 7 cases of normal oral mucosa, 7 cases of hyperplasia lesions, 30 cases of oral precancerous lesions (dysplasia lesion), 8 cases of oral mucosa carcinoma in situ and 30 cases of oral squamous cell carcinomas. Results: ①Weaker expression of hTRT mRNA was observed in normal oral mucosa and hyperplasia lesions. Positive cells were present in basal layer and parabasal layer, and hTRT positivity was 21.4% (3 of 14). ②The expression of hTRT mRNA in the precancerous lesions was gradually strong associated with phenotypic progression and the degree of dysplasia. Positive cell extended to multi-layered epithelium, and hTRT positivity was 46.7% (14 of 30). ③Strong hTRT mRNA expression was observed in squamous cell carcinoma, and the positivity was 81.6% (31 of 38). Conclusion: Telomerase hTRT gene expression is closely related to the malignant degree of oral mucosa, the reactivated telo-merase may play a crucial role in the progression of oral cancer.
, 百拇医药
Key words: telomerase hTRT gene precancerous lesion squamous cell carcinoma
口腔粘膜癌前病变在人群中有较高的发病率,尤其是老年人,对其恶变倾向进行客观的预测将有助于加强对高危患者的有效监控。近年研究结果发现:端粒酶活化是细胞癌变及癌演进过程中普遍而特异的标志。1997年,Cech和Veinberg等分离克隆出了端粒酶的催化蛋白基因,命名为hTRT/hEST2(human telomerase reverse transcriptase/human ever shorter telomere)[1]。迄今为止,hTRT基因编码的端粒酶蛋白亚基成分是与端粒酶活性关系最为密切的核心单位。端粒酶hTRT基因的表达与细胞端粒酶活性一致[2]。研究hTRT基因在口腔癌前不同阶段及鳞癌中的表达,可为早期评估口腔粘膜癌前病变恶变倾向提供客观的指标。
, http://www.100md.com 1 材料和方法
1.1 标本
取自上海第二医科大学附属第九人民医院口腔病理科1997~1998年收集的存档蜡块共82例,经重新切片及病理诊断,其中正常粘膜7例、单纯性增生7例、上皮异常增生30例、原位癌8例、鳞癌30例,所有组织均经10%中性福尔马林固定,常规石蜡包埋,制成4~5 μm厚的切片。
1.2 原位杂交
切片经68℃烘烤2 h,二甲苯、酒精梯度水化,蛋白酶K(100 μg/ml)消化,37℃15 min,4%多聚甲醛固定10 min,PBS缓冲液洗涤5 min 3次,95%乙醇脱水自然风干,每片滴加20 μl经80℃变性的杂交液(北京中山公司提供),加盖封口膜,置于50%甲酰胺2×SSC的湿盒中,于37℃孵育20 h。在50℃的2×SSC中洗涤5 min 3次,PBS冲洗后,滴加ABC过氧化物酶复合物,室温1 h,DAB-H2O2显色,苏木素复染。脱水封固,常规设立阴性、阳性对照。
, 百拇医药
1.3 结果判定
以细胞浆出现棕色颗粒为标准。染色强度分4个等级。阴性(-):肿瘤细胞或上皮细胞不显色或背景深染色不清晰;弱阳性(+):25%~50%肿瘤细胞显色或上皮细胞仅基底层出现阳性信号;中度阳性(
):50%~75%肿瘤细胞显色或上皮细胞基底层以上也出现阳性信号;强阳性(
):大于75%肿瘤细胞显色。所得数据采用χ2检验进行统计学处理。
2 结 果
2.1 正常对照组中hTRT mRNA的表达
以正常粘膜、上皮单纯性增生组织作为对照组,14例标本中11例hTRT mRNA表达阴性,仅有3例在粘膜基底层及副基底层出现较弱的hTRT的mRNA信号(图1),阳性率为21.4%(表1)。
, http://www.100md.com
图1 正常组织中hTRT表达 阳性细胞(↑)主要位于基底一副基底-副基底层原位杂交 ×224
表1 hTRT mRNA在口腔粘膜、上皮单纯性增生组织中的表达 病理分类
n
hTRTmRNA
染色强度
+
%
-
+

, http://www.100md.com
正常口腔粘膜
7
1
14.3
6
1
-
-
上皮单纯性增生
7
2
28.6
5
2
, 百拇医药
-
-
合计
14
3
21.4
11
3
-
-
2.2 癌前病变中hTRT mRNA的表达
30例标本中14例hTRT mRNA表达阳性,阳性率46.7%(表2)。随着异常增生程度的增加,hTRT的mRNA阳性信号逐渐增强,范围由基底层向多层上皮细胞扩展(图2)。以重度非典型增生阶段hTRT mRNA表达程度最强。
, 百拇医药
图2 粘膜重度异常增生组织中hTRT表达阳性染色(↑)见于多层上皮细胞原位杂交 ×224
表2 hTRT mRNA在口腔粘膜癌前病变中的表达 癌前病变
病理分类
n
hTRT mRNA
染色强度
+
%
-
+

, 百拇医药
轻度
11
3
27.3
8
2
1
-
中度
10
5
50.0
5
2
, 百拇医药
3
-
重度
9
6
66.7
3
1
5
-
合计
30
14
46.7
, 百拇医药
16
5
9
-
2.3 鳞癌组织中hTRT mRNA的表达
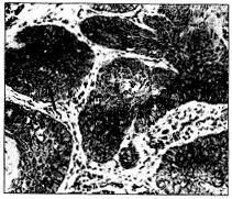
38例标本中31例hTRT mRNA表达阳性,阳性率81.6%(表3)。大多数肿瘤细胞呈片状弥漫性中度到强度阳性,杂交信号位于胞浆内。分化较好的鳞癌组织,阳性细胞局限在癌巢外围增殖活跃的区域,呈单层或数层。分化较差的鳞癌组织,阳性细胞遍布整个癌巢(图3)。
图3 口腔粘膜鳞癌组织中hTRT表达 阳性细胞(↑)遍布癌巢 原位杂交 ×224
表3 hTRT mRNA在口腔粘膜各级鳞癌中的表达 病理分类
, 百拇医药
n
hTRT mRNA
染色强度
+
%
-
+

原位癌
8
7
87.5
, http://www.100md.com
1
-
3
4
Ⅰ~Ⅱ
10
9
90.0
1
1
3
5
Ⅱ~Ⅲ
10
, 百拇医药
7
70.0
3
2
1
4
Ⅲ
10
8
80.0
2
2
3
3
, http://www.100md.com
合计
38
31
81.6
7
5
10
16
2.4 统计分析结果
在良性增生、癌前病变、鳞癌组织中,端粒酶hTRT mRNA的表达具有显著性差异(P<0.05),hTRT mRNA检出率呈明显递增趋势。在重度非典型阶段hTRT mRNA表达开始明显增强。但是,hTRT的表达与肿瘤的分级无显著性差异(P>0.05)。3 讨 论
, http://www.100md.com
端粒酶是一种特殊的具有逆转录酶活性的核酸蛋白,是RNA及蛋白质组成的多亚基复合体。近年研究结果表明:大约80%~90%人类肿瘤及各种体外培养的细胞株都可有端粒酶活性表达,端粒酶可以催化染色体末端端粒的合成,保持染色体的稳定性,使细胞具有持续分裂的潜能。正常情况下,体细胞不表达端粒酶活性,细胞会随着分裂而进入衰老,只有少数干细胞和生殖细胞保留了一定的端粒酶活性而维持其增殖潜能[5,6]。因此,端粒酶活化是细胞保持持续分裂增殖的基础,与细胞的异常增殖密切相关。近年来,人们研究发现:端粒酶的重新激活是肿瘤发生学上的一个共同途径[7]。但是,不同组织来源的肿瘤端粒酶在肿瘤形成过程中的激活阶段不同。肝癌、胃肠部肿瘤、鼠皮肤癌等端粒酶的激活在癌前病变阶段即可检出[8,9]。1997年Cech和Veinberg等分离克隆出了端粒酶的催化蛋白基因,命名为hTRT/hEST2(hTERT),hTRT编码具逆转录活性的催化蛋白单位。体外实验证实其基因的表达与细胞的端粒酶活性的表达完全一致[2],在原发性肿瘤、癌细胞系以及端粒酶阳性表达的组织中,hTRT mRNA均有较高的表达。端粒酶阴性组织中则检测不到hTRTmRNA的表达。细胞的永生及肿瘤演进过程中端粒酶的激活需要诱导hTRT的mRNA表达来实现,hTRT序列的突变、反义hTRT的导入,均可降低端粒酶的活性,使永生的细胞发生分化和凋亡,而hTRT导入正常细胞则可激活端粒酶,延长正常细胞的寿命[10]。所以,hTRT基因的表达与端粒酶的活性有着极为密切的关系。
, http://www.100md.com
本实验用原位杂交技术对82例口腔粘膜恶性转化不同阶段的组织标本行端粒酶hTRT mRNA表达的检测,结果显示:正常口腔粘膜及良性增生组织中hTRT mRNA基本不表达,仅少数基底-副基底干细胞有弱阳性表达。这与以往报道的正常再生的基底细胞有端粒酶活性的结论相一致。46.7%的癌前病变中hTRT mRNA有低到中度表达,部分中-重度非典型增生组织中hTRT mRNA开始出现明显的阳性表达,原位癌时阳性细胞已遍布整个病灶,并且在固有层和粘膜下层的淋巴细胞、浆细胞也呈现阳性染色。81.6%的鳞癌组织中hTRT mRNA有较强阳性表达,肿瘤周围部分非典型增生的癌旁上皮也有较强的hTRT阳性表达,说明hTRT mRNA的表达在一定程度上与细胞的恶性倾向有关,部分中-重度非典型增生组织及癌旁上皮中都有hTRT mRNA的表达,可以推测此时这些细胞的端粒酶已经被激活,它们已具有进一步演变为肿瘤细胞的潜能,组织中这些获得端粒酶活性的细胞可能发生克隆性继续无限增殖直到肿瘤形成。临床粘膜病患者如果检测出hTRT mRNA阳性表达应予以高度重视。并非所有的鳞癌组织及重度异常增生组织都有端粒酶hTRT的表达,从而推测口腔鳞癌的形成可能还存在着除端粒酶以外的其它激活途径。
, 百拇医药
总之,作者认为端粒酶与口腔鳞癌的形成有着极为密切的关系。它的激活与表达是鳞癌演进中的一个重要环节。端粒酶基因表达检测有望为今后诊断口腔癌前病变组织癌变潜能和趋势提供客观、有价值的观测指标。但是,有关细胞癌变与端粒酶活化的确切机理尚有待于进一步研究。
本课题为上海市教委曙光计划资助项目(编号 97SG29)
4 参考文献
1 Meyerson M, Counter CM, Eaton EN, et al. hEST2, the putative human telomerase catalytic subunit gene is up-regulated in tumor cells and during immortalization. Cell, 1997,90(22):785~795
2 Weinrich SL, Harris MW, Jurand A, et al. Reconstitution of human telomerase with the template RNA component hTR and the catalytic protein subunit hTRT. Nat Genet, 1997, 17(4):498~502
, 百拇医药
3 Levy MZ, Allsopp RC, Greider CW, et al. Telomere end-replication problem and cell aging. J Mol Biol, 1992,225(4):951~960
4 Harley CW, Kim NW, Prowse KR, et al. Telomerase, cell immortality and cancer. Cold Spring Harb Symp Quant Biol, 1994,59(1):307~315
5 Regine D, Wolfgang F, Gunther E. Telomere and telomerase: Biological and clinical importance. Clin Chem, 1997,43(5):708~714
6 Allosopp RC, Vaziri H, Patterson C, et al. Telomere length predicts replicative capacity of human fibroblasts. Proc Natl Acad Sci USA,1992,89(21):10114~10118
, 百拇医药
7 Rhyu MS. Telomeres, telomerase and immortality. J Natl Cancer Inst, 1995,87(12):884~894
8 Tahara H, Kuniyasu H, Yokozaki H, et al. Telomerase activity in preneoplastic and neoplastic gastric and colorectal lesions. Clin Cancer Res, 1995,1(6):1245~1251
9 Ohnishi M, Yoshimi N, Kawamori T, et al. Inhibitory effects of dietary prototechuic acid and costunolide on 7,12-dimethylbenza[a] anthracene-induced hamster cheek pouch carcinogenesis. Jpn J Cancer Res, 1997,88(2):111~119
10 Kondo S, Kazuo Y, Leslie A, et al. Antisense telomerase treatment: Induction of two distinct pathways, apoptosis and differentiation. Proc Am Assoc Cancer Res, 1997,38(2):505~508
(1998-12-30收稿,1999-09-06修回), 百拇医药
单位:200011 上海第二医科大学口腔医学院
关键词:端粒酶;hTRT基因;癌前病变;鳞癌
华西口腔学杂志990404 摘要 目的:观察端粒酶催化蛋白基因hTRT在口腔粘膜恶性转化不同阶段中的表达,探讨其与口腔粘膜细胞恶性程度的关系。方法:用原位杂交技术检测82例标本,其中正常口腔粘膜7例、上皮单纯性增生7例、上皮异常增生30例、原位癌8例、口腔粘膜鳞癌30例。结果:正常口腔粘膜、上皮单纯性增生组织中hTRT的mRNA表达较弱,阳性信号仅局限于上皮基底层及副基底层间,阳性率21.4%(3/14);上皮异常增生中hTRT mRNA阳性表达见于多层上皮细胞,并随细胞异形性增高而表达增强,阳性率46.7%(14/30);口腔粘膜鳞癌组织中hTRT的mRNA有较强阳性表达,阳性率81.6%(31/38)。结论:端粒酶hTRT基因的表达与口腔粘膜细胞的恶性程度密切相关,端粒酶的重新激活在口腔鳞癌的形成过程中起了关键性作用。
, http://www.100md.com
Telomerase hTRT mRNA Expression in Oral Squamous Cell Carcinogenesis
Zhang Ling, Zhang Weiguo, Liu Zheng
School of Stomatology, Shanghai Second Medical University
Abstract
Objective: To investigate the relationship between telomerase hTRT gene expression and malignant development of oral mucosa epithlium. Methods: 82 cases were detected by in situ hybridization technique for hTRT gene, including 7 cases of normal oral mucosa, 7 cases of hyperplasia lesions, 30 cases of oral precancerous lesions (dysplasia lesion), 8 cases of oral mucosa carcinoma in situ and 30 cases of oral squamous cell carcinomas. Results: ①Weaker expression of hTRT mRNA was observed in normal oral mucosa and hyperplasia lesions. Positive cells were present in basal layer and parabasal layer, and hTRT positivity was 21.4% (3 of 14). ②The expression of hTRT mRNA in the precancerous lesions was gradually strong associated with phenotypic progression and the degree of dysplasia. Positive cell extended to multi-layered epithelium, and hTRT positivity was 46.7% (14 of 30). ③Strong hTRT mRNA expression was observed in squamous cell carcinoma, and the positivity was 81.6% (31 of 38). Conclusion: Telomerase hTRT gene expression is closely related to the malignant degree of oral mucosa, the reactivated telo-merase may play a crucial role in the progression of oral cancer.
, 百拇医药
Key words: telomerase hTRT gene precancerous lesion squamous cell carcinoma
口腔粘膜癌前病变在人群中有较高的发病率,尤其是老年人,对其恶变倾向进行客观的预测将有助于加强对高危患者的有效监控。近年研究结果发现:端粒酶活化是细胞癌变及癌演进过程中普遍而特异的标志。1997年,Cech和Veinberg等分离克隆出了端粒酶的催化蛋白基因,命名为hTRT/hEST2(human telomerase reverse transcriptase/human ever shorter telomere)[1]。迄今为止,hTRT基因编码的端粒酶蛋白亚基成分是与端粒酶活性关系最为密切的核心单位。端粒酶hTRT基因的表达与细胞端粒酶活性一致[2]。研究hTRT基因在口腔癌前不同阶段及鳞癌中的表达,可为早期评估口腔粘膜癌前病变恶变倾向提供客观的指标。
, http://www.100md.com 1 材料和方法
1.1 标本
取自上海第二医科大学附属第九人民医院口腔病理科1997~1998年收集的存档蜡块共82例,经重新切片及病理诊断,其中正常粘膜7例、单纯性增生7例、上皮异常增生30例、原位癌8例、鳞癌30例,所有组织均经10%中性福尔马林固定,常规石蜡包埋,制成4~5 μm厚的切片。
1.2 原位杂交
切片经68℃烘烤2 h,二甲苯、酒精梯度水化,蛋白酶K(100 μg/ml)消化,37℃15 min,4%多聚甲醛固定10 min,PBS缓冲液洗涤5 min 3次,95%乙醇脱水自然风干,每片滴加20 μl经80℃变性的杂交液(北京中山公司提供),加盖封口膜,置于50%甲酰胺2×SSC的湿盒中,于37℃孵育20 h。在50℃的2×SSC中洗涤5 min 3次,PBS冲洗后,滴加ABC过氧化物酶复合物,室温1 h,DAB-H2O2显色,苏木素复染。脱水封固,常规设立阴性、阳性对照。
, 百拇医药
1.3 结果判定
以细胞浆出现棕色颗粒为标准。染色强度分4个等级。阴性(-):肿瘤细胞或上皮细胞不显色或背景深染色不清晰;弱阳性(+):25%~50%肿瘤细胞显色或上皮细胞仅基底层出现阳性信号;中度阳性(
2 结 果
2.1 正常对照组中hTRT mRNA的表达
以正常粘膜、上皮单纯性增生组织作为对照组,14例标本中11例hTRT mRNA表达阴性,仅有3例在粘膜基底层及副基底层出现较弱的hTRT的mRNA信号(图1),阳性率为21.4%(表1)。
, http://www.100md.com
图1 正常组织中hTRT表达 阳性细胞(↑)主要位于基底一副基底-副基底层原位杂交 ×224
表1 hTRT mRNA在口腔粘膜、上皮单纯性增生组织中的表达 病理分类
n
hTRTmRNA
染色强度
+
%
-
+
, http://www.100md.com
正常口腔粘膜
7
1
14.3
6
1
-
-
上皮单纯性增生
7
2
28.6
5
2
, 百拇医药
-
-
合计
14
3
21.4
11
3
-
-
2.2 癌前病变中hTRT mRNA的表达
30例标本中14例hTRT mRNA表达阳性,阳性率46.7%(表2)。随着异常增生程度的增加,hTRT的mRNA阳性信号逐渐增强,范围由基底层向多层上皮细胞扩展(图2)。以重度非典型增生阶段hTRT mRNA表达程度最强。
, 百拇医药
图2 粘膜重度异常增生组织中hTRT表达阳性染色(↑)见于多层上皮细胞原位杂交 ×224
表2 hTRT mRNA在口腔粘膜癌前病变中的表达 癌前病变
病理分类
n
hTRT mRNA
染色强度
+
%
-
+
, 百拇医药
轻度
11
3
27.3
8
2
1
-
中度
10
5
50.0
5
2
, 百拇医药
3
-
重度
9
6
66.7
3
1
5
-
合计
30
14
46.7
, 百拇医药
16
5
9
-
2.3 鳞癌组织中hTRT mRNA的表达
38例标本中31例hTRT mRNA表达阳性,阳性率81.6%(表3)。大多数肿瘤细胞呈片状弥漫性中度到强度阳性,杂交信号位于胞浆内。分化较好的鳞癌组织,阳性细胞局限在癌巢外围增殖活跃的区域,呈单层或数层。分化较差的鳞癌组织,阳性细胞遍布整个癌巢(图3)。
图3 口腔粘膜鳞癌组织中hTRT表达 阳性细胞(↑)遍布癌巢 原位杂交 ×224
表3 hTRT mRNA在口腔粘膜各级鳞癌中的表达 病理分类
, 百拇医药
n
hTRT mRNA
染色强度
+
%
-
+
原位癌
8
7
87.5
, http://www.100md.com
1
-
3
4
Ⅰ~Ⅱ
10
9
90.0
1
1
3
5
Ⅱ~Ⅲ
10
, 百拇医药
7
70.0
3
2
1
4
Ⅲ
10
8
80.0
2
2
3
3
, http://www.100md.com
合计
38
31
81.6
7
5
10
16
2.4 统计分析结果
在良性增生、癌前病变、鳞癌组织中,端粒酶hTRT mRNA的表达具有显著性差异(P<0.05),hTRT mRNA检出率呈明显递增趋势。在重度非典型阶段hTRT mRNA表达开始明显增强。但是,hTRT的表达与肿瘤的分级无显著性差异(P>0.05)。3 讨 论
, http://www.100md.com
端粒酶是一种特殊的具有逆转录酶活性的核酸蛋白,是RNA及蛋白质组成的多亚基复合体。近年研究结果表明:大约80%~90%人类肿瘤及各种体外培养的细胞株都可有端粒酶活性表达,端粒酶可以催化染色体末端端粒的合成,保持染色体的稳定性,使细胞具有持续分裂的潜能。正常情况下,体细胞不表达端粒酶活性,细胞会随着分裂而进入衰老,只有少数干细胞和生殖细胞保留了一定的端粒酶活性而维持其增殖潜能[5,6]。因此,端粒酶活化是细胞保持持续分裂增殖的基础,与细胞的异常增殖密切相关。近年来,人们研究发现:端粒酶的重新激活是肿瘤发生学上的一个共同途径[7]。但是,不同组织来源的肿瘤端粒酶在肿瘤形成过程中的激活阶段不同。肝癌、胃肠部肿瘤、鼠皮肤癌等端粒酶的激活在癌前病变阶段即可检出[8,9]。1997年Cech和Veinberg等分离克隆出了端粒酶的催化蛋白基因,命名为hTRT/hEST2(hTERT),hTRT编码具逆转录活性的催化蛋白单位。体外实验证实其基因的表达与细胞的端粒酶活性的表达完全一致[2],在原发性肿瘤、癌细胞系以及端粒酶阳性表达的组织中,hTRT mRNA均有较高的表达。端粒酶阴性组织中则检测不到hTRTmRNA的表达。细胞的永生及肿瘤演进过程中端粒酶的激活需要诱导hTRT的mRNA表达来实现,hTRT序列的突变、反义hTRT的导入,均可降低端粒酶的活性,使永生的细胞发生分化和凋亡,而hTRT导入正常细胞则可激活端粒酶,延长正常细胞的寿命[10]。所以,hTRT基因的表达与端粒酶的活性有着极为密切的关系。
, http://www.100md.com
本实验用原位杂交技术对82例口腔粘膜恶性转化不同阶段的组织标本行端粒酶hTRT mRNA表达的检测,结果显示:正常口腔粘膜及良性增生组织中hTRT mRNA基本不表达,仅少数基底-副基底干细胞有弱阳性表达。这与以往报道的正常再生的基底细胞有端粒酶活性的结论相一致。46.7%的癌前病变中hTRT mRNA有低到中度表达,部分中-重度非典型增生组织中hTRT mRNA开始出现明显的阳性表达,原位癌时阳性细胞已遍布整个病灶,并且在固有层和粘膜下层的淋巴细胞、浆细胞也呈现阳性染色。81.6%的鳞癌组织中hTRT mRNA有较强阳性表达,肿瘤周围部分非典型增生的癌旁上皮也有较强的hTRT阳性表达,说明hTRT mRNA的表达在一定程度上与细胞的恶性倾向有关,部分中-重度非典型增生组织及癌旁上皮中都有hTRT mRNA的表达,可以推测此时这些细胞的端粒酶已经被激活,它们已具有进一步演变为肿瘤细胞的潜能,组织中这些获得端粒酶活性的细胞可能发生克隆性继续无限增殖直到肿瘤形成。临床粘膜病患者如果检测出hTRT mRNA阳性表达应予以高度重视。并非所有的鳞癌组织及重度异常增生组织都有端粒酶hTRT的表达,从而推测口腔鳞癌的形成可能还存在着除端粒酶以外的其它激活途径。
, 百拇医药
总之,作者认为端粒酶与口腔鳞癌的形成有着极为密切的关系。它的激活与表达是鳞癌演进中的一个重要环节。端粒酶基因表达检测有望为今后诊断口腔癌前病变组织癌变潜能和趋势提供客观、有价值的观测指标。但是,有关细胞癌变与端粒酶活化的确切机理尚有待于进一步研究。
本课题为上海市教委曙光计划资助项目(编号 97SG29)
4 参考文献
1 Meyerson M, Counter CM, Eaton EN, et al. hEST2, the putative human telomerase catalytic subunit gene is up-regulated in tumor cells and during immortalization. Cell, 1997,90(22):785~795
2 Weinrich SL, Harris MW, Jurand A, et al. Reconstitution of human telomerase with the template RNA component hTR and the catalytic protein subunit hTRT. Nat Genet, 1997, 17(4):498~502
, 百拇医药
3 Levy MZ, Allsopp RC, Greider CW, et al. Telomere end-replication problem and cell aging. J Mol Biol, 1992,225(4):951~960
4 Harley CW, Kim NW, Prowse KR, et al. Telomerase, cell immortality and cancer. Cold Spring Harb Symp Quant Biol, 1994,59(1):307~315
5 Regine D, Wolfgang F, Gunther E. Telomere and telomerase: Biological and clinical importance. Clin Chem, 1997,43(5):708~714
6 Allosopp RC, Vaziri H, Patterson C, et al. Telomere length predicts replicative capacity of human fibroblasts. Proc Natl Acad Sci USA,1992,89(21):10114~10118
, 百拇医药
7 Rhyu MS. Telomeres, telomerase and immortality. J Natl Cancer Inst, 1995,87(12):884~894
8 Tahara H, Kuniyasu H, Yokozaki H, et al. Telomerase activity in preneoplastic and neoplastic gastric and colorectal lesions. Clin Cancer Res, 1995,1(6):1245~1251
9 Ohnishi M, Yoshimi N, Kawamori T, et al. Inhibitory effects of dietary prototechuic acid and costunolide on 7,12-dimethylbenza[a] anthracene-induced hamster cheek pouch carcinogenesis. Jpn J Cancer Res, 1997,88(2):111~119
10 Kondo S, Kazuo Y, Leslie A, et al. Antisense telomerase treatment: Induction of two distinct pathways, apoptosis and differentiation. Proc Am Assoc Cancer Res, 1997,38(2):505~508
(1998-12-30收稿,1999-09-06修回), 百拇医药