肾病综合征大鼠精氨酸血管加压素和V2受体与水孔蛋白-2的研究及黄芪的治疗作用*
作者:马 骥 陈 靖 顾 勇 林善锬
单位:上海医科大学华山医院肾脏科(上海,200040)
关键词:肾病综合征;血管加压素;离子通道
肾脏病与透析肾移植杂志990403 摘 要 目的:研究下丘脑精氨酸血管加压素(AVP)和其V2受体与AVP依赖性水通道水孔蛋白-2(AQP2)在阿霉素肾病综合征大鼠肾脏表达的情况,及中药黄芪对此的影响。 方法:下丘脑AVP mRNA检测用斑点杂交法,肾脏皮髓质AVP V2受体、AQP2 mRNA检测采用半定量RT-PCR法。 结果:肾病大鼠下丘脑AVP mRNA表达较正常对照增强(A:53.59±5.49 vs 25.72±1.96,P<0.01),黄芪可纠正此种高表达(A:21.88±1.25)。半定量RT-PCR检查发现肾脏皮质和髓质V2受体、AQP2 mRNA表达均呈现有意义的上调,黄芪则可使这些变化缓解(P均<0.01)。 结论:在阿霉素肾病大鼠中存在下丘脑AVP基因表达的增加,肾脏AVP V2受体和AQP2 mRNA表达的上调,这些变化可能是肾病水潴留的机制之一,中药黄芪能改善这些变化。
, http://www.100md.com
EFFECTS OF ASTRAGALUS MEMBRANACEUS ON mRNA EXPRESSIONS OF VASOPRESSIN(AVP),V2 RECEPTOR,AQP 2 IN RATS WITH ADRIAMYCIN-INDUCED NEPHROTIC SYNDROME
Ma Ji,Chen Jing,Gu Yong,Lin Shanyan
Division of Nephrology,Huashan Hospital,Shanghai Medical University,Shanghai 200040
OBJECTIVE To investigate the effects of Chinese herb astragalus membranaceus(AM)on mRNA expressions of hypothalamic vasopressin(AVP),renal AVP V2 receptor,and AVP-dependent AQP2 in rats with adriamycin-induced nephrotic syndrome.
, 百拇医药
METHODOLOGY Male SD rats were randomly grouped into untreated adriamycin-induced nephrotic group(NS group),AM treated adriamycin-induced nephrotic group(NS+AM group)and normal control group(NC group).Rats in NS+AM group received 0.5g/(kg.day) of AM peritoneally for 4 weeks before sacrifice,while rats in other groups received normal solution in a same way.Hypothalamic AVP mRNA expression was examined by dot hybridization assay.RT-PCR was applied for detection of the renal mRNA expression of V2 receptor and AQP2.The readings of the RT-PCR were normalized by GAPDH mRNA in the same sample.
, http://www.100md.com
RESULTS All rats receiving adriamycin presented typical nephrosis.No significant difference in plasma osmolarity was detected among NS,NS+AM and NC rats.Hypothalamic AVP mRNA expression was higher in NS rats than in NC rats(53.59±5.49 vs.25.72±1.96,P<0.01).AM completely reversed this up-regulated expression(21.88±1.25).Both in cortex and medulla of the kidney,AVP V2 expression was found increased by 169% and 55% respectively in nephrotic rats,as compared to those in NC rats.The increment of AQP2 mRNA expression in NS rats was in consistence with that of V2 receptor.AM partially reversed the up-regulated expression of V2 and AQP2 mRNA.
, 百拇医药
CONCLUSION The up-regulated mRNA expressions of hypothalamic AVP,renal V2 receptor and AQP 2 might play a role in edema formation in adriamycin-induced nephrotic rats.AM exerts its therapeutic effects on nephrosis partially through this mechanism.
Key words nephrotic syndrome vasopressin ion channel
肾病综合征是临床常见的水肿性疾病之一。对肾病患者的研究提示,患者体内精氨酸血管加压素(arginine vasopressin,AVP)水平的升高是肾病时水潴留的机制之一[1,2]。但进一步机制的研究尚未见诸报道。已知AVP合成与分泌的主要部位是下丘脑的视上核与室旁核,受渗透性和非渗透性因素的调节。AVP V2受体分布于肾脏远端小管与集合管,介导了AVP的抗利尿作用[3]。AVP V2受体的激活可使同样位于肾脏远端小管与集合管上皮主细胞的AVP依赖性水通道—水孔蛋白-2(aquaporin-2,AQP2)开放,致对管腔液中的水通透性增加,完成尿液浓缩作用[4]。V2受体和AQP2在肾病综合征中的作用目前尚少有报道。中药黄芪被证明有利尿效应[5],对慢性肾病有治疗作用[6],并能改善肾病时水钠潴留的情况[7]。但在肾病综合征时黄芪的治疗作用是否与AVP及其受体有关,是否影响AQP2的表达也未见诸文献。因此,为研究肾病综合征时AVP系统与AQP2的改变,和黄芪对这些环节的作用,我们检测了下丘脑AVP mRNA与肾脏皮髓质AVP V2受体、AQP2 mRNA表达的情况及黄芪的影响。
, 百拇医药
1 材料和方法
1.1 实验动物 将18只体重180~200g的雄性Sprague-Dawley大鼠随机分成肾病组、肾病+黄芪组、正常对照组(每组n=6)。肾病与肾病+黄芪组大鼠给予阿霉素6mg/kg尾静脉单剂注入,第二天起所有动物分别接受每天一次腹腔注射0.5 g/kg体重的黄芪针剂(上海医科大学华山医院中药制剂室,肾病+黄芪组)或等量注射用水(肾病组和正常对照组)[7]。四周后断头处死,采集血标本,取下丘脑、肾脏,并分离肾脏皮、髓质。
1.2 血、尿观察指标 尿蛋白检测采用试纸法,血浆白蛋白、总胆固醇测定分别采用溴甲酚绿直接显色法和胆固醇氧化酶法。血浆渗透压测定采用冰点法。
1.3 总RNA抽提 下丘脑与肾脏皮、髓质总RNA提取采用异硫氰酸胍-苯酚-氯仿一步抽提法,所得总RNA的A260/280在1.8~2.1。
, 百拇医药
1.4 下丘脑AVP mRNA检测 采用斑点杂交法,其寡核苷酸探针的碱基序列为:5′-TCG ACC TGC CCG GTC GGG CCC TCG AC-3′。15μg总RNA在含20%甲醛的10×SSC溶液中于68℃水浴变性15min,迅速冰浴冷却。将已变性的RNA样本加入垫有经10×SSC处理过的尼龙膜和二层滤纸的点杂交器的样品孔,余孔加等体积10×SSC,以真空泵抽干,再以10×SSC洗涤抽干。将已转移有RNA的尼龙膜于80℃干烤2h后装入杂交袋。在杂交袋中按20 ml/100cm2加入杂交液,于42℃预杂交大于6h,然后弃去杂交液,再按2.5 ml/100cm2加入含2 nmol/L经地高辛3′末端标记(Boehringer Mannheim)的探针的杂交液(50×甲酰胺,5×SSC,2%BR,0.02%SDS,0.1%SDS),于37℃杂交过夜。将已经杂交的尼龙膜取出,于2×SSC与0.1%SDS中漂洗15min×2次,再于0.1×SSC与0.1%SDS中漂洗15min×2次,然后经发光反应检测(Boehringer Mannheim),X光胶片曝光40min。数值以吸光度×面积表示[8]。
, 百拇医药
1.5 肾脏皮、髓质AVP V2、AQP2 mRNA表达的检测 采用以GAPDH作为内对照的半定量逆转录-聚合酶链反应法(RT-PCR),每个逆转录反应为:1.5μgRNA,0.5μgOligo(dT)15,1mmol/L dNTP,5mmol/L MgCl2,1×RT Buffer,20UrRNasin,15U AMV逆转录酶,总反应体积20μl(Promega)。将此混合物于42℃反应30min,然后于95℃灭活3min。V2、GAPDH的PCR反应引物序列见文献[8]。AQP2 mRNA的PCR反应引物为:引物1(antisense):5′-GTA GTT GTA GAG GAG GGA GCC-3′,引物2(sense):5′-GGG GAC CTG GCT GTC AAT GC-3′,分别对应于大鼠AQP2 cDNA的第727-747第424-443碱基[9]。每个PCR反应体系总体积为20μl,含cDNA 4μl、引物1与引物2各12pmol、Taq DNA聚合酶15U,PCR反应终浓度为:1×PCR Buffer、dNTP 0.2mmol/L、MgCl2 1.5 mmol/L。AQP2的PCR反应程序为:95℃变性3min,94℃60s、60℃60s、72℃150s共循环30次,72℃延伸7min。V2、AQP2、GAPDH扩增片断长度分别为625、324、309bp[8,9]。PCR检测结果以经GAPDH校正后的吸光度×面积表示。
, 百拇医药
1.6 统计分析 数据以均数±标准误表示,统计采用ANOVA法,差异显著性标准为P<0.05。
2 结 果
各组大鼠尿蛋白、血白蛋白、血总胆固醇、血浆渗透压水平情况见表1。肾病大鼠均表现出大量蛋白尿、低白蛋白与高胆固醇血症。黄芪可明显改善肾病大鼠的高胆固醇血症。血浆渗透压在各组大鼠间差异不显著。
表1 肾病大鼠尿蛋白、血白蛋白、血胆固醇、血渗透压情况(
±sx)
正常对照
肾病
肾病+黄芪
, 百拇医药 尿蛋白
-~±
++++
++++
血白蛋白(g/L)
35.00±0.95
25.90±1.00
26.55±1.15
血胆固醇(mmol/L)
0.76±0.02
1.91±0.09
, 百拇医药
1.01±0.16△
血渗透压(Osmmol/L)
276.6±9.5
280.3±4.1
264.8±9.9
与正常对照比*P<0.05,与肾病组比△P<0.05
斑点杂交法示肾病大鼠下丘脑AVP mRNA表达较正常对照显著升高,用黄芪则可纠正此种高表达(表2,图1)。半定量RT-PCR检测示肾脏皮、髓质AVP V2受体、AQP2 mRNA在肾病大鼠均高于正常组,用黄芪后可部分纠正(表2,图2)。
, 百拇医药 表2 肾病大鼠下丘脑AVP、肾脏皮髓质V2受体、AQP2mRNA表达情况(
±sx)
正常对照
肾 病
肾病+黄芪
下丘脑AVPmRNA
25.72±1.96
53.59±5.49
21.88±1.25△
肾皮质V2受体mRNA
, 百拇医药
0.8348±0.0061
2.2458±0.0470
1.6835±0.0329△
肾髓质V2受体mRNA
0.6082±0.0078
0.9418±0.0096
0.7760±0.0015△
肾皮质AQP2mRNA
0.9646±0.0020
, 百拇医药
1.3118±0.0021
1.0658±0.0052△
肾髓质AQP2mRNA
0.9458±0.0005
1.1788±0.0040
0.9962±0.0001△
与正常对照比*P<0.05,与肾病组比△P<0.05
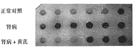
图1 肾病综合征大鼠下丘脑ACP mRNA斑点杂交检测结果
, http://www.100md.com
(本图显示肾病时下丘脑AVP mRNA表达增强,黄芪可改善此高表达)


图2 肾脏皮髓质AVP V2受体和AQP2mRNA的RT-PCR检测结果
(本图显示肾病时肾脏皮髓质AVP V2受体和AQP2mRNA表达均呈一致性上调,黄芪可改善此种高表达)
1~3:皮质;4~6:髓质;1,4:正常对照;2,5:肾病;3,6:肾病+黄芪
3 讨 论
, http://www.100md.com
本实验中阿霉素注射大鼠均表现出大量蛋白尿、低白蛋白血症和高脂血症,同时存在全身性浮肿。
下丘脑视上核和室旁核合成与分泌AVP的作用受两大因素的影响。一是血浆渗透压,高渗可促使AVP合成与释放,此即渗透性调节。另外,AVP的合成与分泌尚受许多其它因素的影响,如有效循环血容量、中枢交感神经的兴奋性、心血管系统的压力反射、儿茶酚胺、肾素-血管紧张素系统、心房利钠肽、前列腺素类物质、阿片肽类物质、激肽释放酶-激肽系统等[10]。本实验结果显示,肾病综合征大鼠下丘脑AVP mRNA表达显著增强,与Pyo等[11]在氨基核苷嘌呤霉素(puromycin aminonucleoside,PAN)所致的肾病大鼠中的研究报道一致,且此可以解释肾病时的高血AVP水平[1,2]是由于下丘脑AVP合成与释放量增加所致。由于本实验中各组大鼠血渗透压水平没有呈现明显不同,提示该AVP mRNA表达的上调是由非渗透性因素介导的。中药黄芪可显著降低此种高表达,这可能部分与黄芪对全身血流动力学的改善作用有关[8]。同时有报告表明,当肾病综合征缓解时,其高AVP水平、低自由水清除率也同时得到改善,此部分与肾小球滤过率(GFR)、钠排泄的改善有关[12,13]。本实验室以往的研究表明,黄芪对阿霉素肾病大鼠可提高其GFR和尿钠排泄率[7],故本实验从另一方面再次证明黄芪对阿霉素肾病大鼠的治疗作用。
, 百拇医药
AVP V2受体和AVP依赖的水通道AQP2均位于肾脏集合管和部分远端小管,该受体激活可使AQP2开放,并能使AQP2合成增加,表现为mRNA和蛋白分子表达的增加[14],从而介导了AVP的抗利尿作用。本研究发现,在阿霉素肾病大鼠的肾脏皮、髓质中,AVP V2受体mRNA和AQP2 mRNA的表达均高于非肾病鼠,V2与AQP2的表达呈一致性改变,它们的高表达与肾病大鼠的高AVP mRNA表达、高AVP水平也一致,并提示高V2、AQP2表达是肾病时低尿量和低自由水清除率[1,7]的机制。但在近年发表的有关PAN肾病大鼠的文章[15]中,作者发现PAN肾病大鼠肾髓质AQP2蛋白表达较正常为低,似与本实验结果不符,但文献中采用的是PAN模型,本实验采用的是阿霉素模型,且在PAN肾病模型中需大剂量PAN方显示上述变化,而常规剂量的PAN肾病组则变化不明显,故不能除外由PAN直接所致而非肾病所致的可能。在本实验中,黄芪也可降低肾病大鼠肾脏V2、AQP2 mRNA的表达,提示黄芪对肾病大鼠增加尿量、改善水肿的治疗作用[7]与部分纠正AVP V2受体和AQP2的高表达有关。
, 百拇医药
综上所述,在阿霉素肾病大鼠中存在下丘脑AVP基因表达增加,肾脏AVP V2受体和AVP依赖性水通道AQP2m RNA表达上调,这些变化可能是肾病时尿流率下降、自由水清除减少的重要机制。中药黄芪可显著改善肾病时AVP系统和AQP2的变化,从而起到提高GFR和利尿的作用,并是黄芪治疗肾病综合征的机制之一。
*本课题为国家自然科学基金资助项目(39670349)
参考文献
1 Pedersen EB,Danielsen H,Malsen M et al.Defective renal water excretion in nephrotic syndrome:the relationship between renal water excretion and kidney function,arginine vasopressin,angiotensin Ⅱ and aldosterone in plasma before and after oral water loading.Eur J Clin Invest,1985,15(1):24
, 百拇医药
2 Usberti M,Federico S,Meccariello S et al.Role of plasma vasopressin in the impairment of water excretion in nephrotic syndrome.Kidney Int,1984,25:(2),422
3 Harris Jr HW,Zeidel ML.Cell bilolgy of vasopressin.In:Brenner BM ed.The Kidney(5th ed.),Philadelphia:W.B.Sauders,1996.p516-531
4 林善锬,马 骥.水和离子通道与肾脏病.中华肾脏病杂志,1996,12(6):379
5 黄厚聘,李蕊兴,杨德均.黄芪的利尿与降压作用.药学学报,1965,12(5):319
, 百拇医药
6 张庆怡,陆安康.黄芪注射液治疗慢性肾病的观察.上海医学,1995,7:16
7 樊淑玲,林善锬.中药黄芪对肾病大鼠血浆蛋白、血脂及血流动力学的影响.上海医学,1998,21(3):146
8 Ma Ji,Peng Ai,Lin Shanyan.Mechanisms of the therapeutic effect of astragalus membranaceus on sodium and water retention in experimental heart failure.Chin Med J,1998,11(1):17
9 马 骥,林善锬.RT-PCR法检测大鼠水孔蛋白-2的分布及其在禁水后的变化.中华肾脏病杂志,1996,12(6):325
10 Robertson GL,Berl T.Pathophysiology of water metabolism.In:Brenner BM ed.The Kidney(5th ed.),Philadelphia:W.B.Sauders,1996.p873-928
, 百拇医药
11 Pyo HJ,Summer SN,Niederberger M et al.Arginine vasopressin gene expression in rats with puromycin-induced nephrotic syndrome.Am J Kidney Dis,1995,25:58
12 Pedersen EB,Danielsen H,Stiensen SS et al.Renal water excretion before and after renission of nephrotic syndrome relationship between free water clearance and kidney function,arginine vasopressin,angiotensin Ⅱ and aldosterone in plasma before and after oral water loading.Clin Sci,1986,71(1):97
, 百拇医药
13 Bohlin AB,Berg U.Renal water handling in minimal change nephrotic syndrome.Int J Pediatr Nephrol,1984,5(2):93
14 Hayashi M,Sasaki S,Tsuganezawa H et al.Expression and distribution of aquaporin of collecting duct are regulated by vasopressin V2 receptor in rat kidney.J Clin Invest,1994,94:1778
15 Apostol E,Ecelbarger CA,Terris J et al.Reduced renal medullary water channel expression in puromycin aminonucleoside-induced nephrotic syndrome.J Am Soc Nephrol,1997,8:15
(1998-05-20收稿,1999-01-20修回), 百拇医药
单位:上海医科大学华山医院肾脏科(上海,200040)
关键词:肾病综合征;血管加压素;离子通道
肾脏病与透析肾移植杂志990403 摘 要 目的:研究下丘脑精氨酸血管加压素(AVP)和其V2受体与AVP依赖性水通道水孔蛋白-2(AQP2)在阿霉素肾病综合征大鼠肾脏表达的情况,及中药黄芪对此的影响。 方法:下丘脑AVP mRNA检测用斑点杂交法,肾脏皮髓质AVP V2受体、AQP2 mRNA检测采用半定量RT-PCR法。 结果:肾病大鼠下丘脑AVP mRNA表达较正常对照增强(A:53.59±5.49 vs 25.72±1.96,P<0.01),黄芪可纠正此种高表达(A:21.88±1.25)。半定量RT-PCR检查发现肾脏皮质和髓质V2受体、AQP2 mRNA表达均呈现有意义的上调,黄芪则可使这些变化缓解(P均<0.01)。 结论:在阿霉素肾病大鼠中存在下丘脑AVP基因表达的增加,肾脏AVP V2受体和AQP2 mRNA表达的上调,这些变化可能是肾病水潴留的机制之一,中药黄芪能改善这些变化。
, http://www.100md.com
EFFECTS OF ASTRAGALUS MEMBRANACEUS ON mRNA EXPRESSIONS OF VASOPRESSIN(AVP),V2 RECEPTOR,AQP 2 IN RATS WITH ADRIAMYCIN-INDUCED NEPHROTIC SYNDROME
Ma Ji,Chen Jing,Gu Yong,Lin Shanyan
Division of Nephrology,Huashan Hospital,Shanghai Medical University,Shanghai 200040
OBJECTIVE To investigate the effects of Chinese herb astragalus membranaceus(AM)on mRNA expressions of hypothalamic vasopressin(AVP),renal AVP V2 receptor,and AVP-dependent AQP2 in rats with adriamycin-induced nephrotic syndrome.
, 百拇医药
METHODOLOGY Male SD rats were randomly grouped into untreated adriamycin-induced nephrotic group(NS group),AM treated adriamycin-induced nephrotic group(NS+AM group)and normal control group(NC group).Rats in NS+AM group received 0.5g/(kg.day) of AM peritoneally for 4 weeks before sacrifice,while rats in other groups received normal solution in a same way.Hypothalamic AVP mRNA expression was examined by dot hybridization assay.RT-PCR was applied for detection of the renal mRNA expression of V2 receptor and AQP2.The readings of the RT-PCR were normalized by GAPDH mRNA in the same sample.
, http://www.100md.com
RESULTS All rats receiving adriamycin presented typical nephrosis.No significant difference in plasma osmolarity was detected among NS,NS+AM and NC rats.Hypothalamic AVP mRNA expression was higher in NS rats than in NC rats(53.59±5.49 vs.25.72±1.96,P<0.01).AM completely reversed this up-regulated expression(21.88±1.25).Both in cortex and medulla of the kidney,AVP V2 expression was found increased by 169% and 55% respectively in nephrotic rats,as compared to those in NC rats.The increment of AQP2 mRNA expression in NS rats was in consistence with that of V2 receptor.AM partially reversed the up-regulated expression of V2 and AQP2 mRNA.
, 百拇医药
CONCLUSION The up-regulated mRNA expressions of hypothalamic AVP,renal V2 receptor and AQP 2 might play a role in edema formation in adriamycin-induced nephrotic rats.AM exerts its therapeutic effects on nephrosis partially through this mechanism.
Key words nephrotic syndrome vasopressin ion channel
肾病综合征是临床常见的水肿性疾病之一。对肾病患者的研究提示,患者体内精氨酸血管加压素(arginine vasopressin,AVP)水平的升高是肾病时水潴留的机制之一[1,2]。但进一步机制的研究尚未见诸报道。已知AVP合成与分泌的主要部位是下丘脑的视上核与室旁核,受渗透性和非渗透性因素的调节。AVP V2受体分布于肾脏远端小管与集合管,介导了AVP的抗利尿作用[3]。AVP V2受体的激活可使同样位于肾脏远端小管与集合管上皮主细胞的AVP依赖性水通道—水孔蛋白-2(aquaporin-2,AQP2)开放,致对管腔液中的水通透性增加,完成尿液浓缩作用[4]。V2受体和AQP2在肾病综合征中的作用目前尚少有报道。中药黄芪被证明有利尿效应[5],对慢性肾病有治疗作用[6],并能改善肾病时水钠潴留的情况[7]。但在肾病综合征时黄芪的治疗作用是否与AVP及其受体有关,是否影响AQP2的表达也未见诸文献。因此,为研究肾病综合征时AVP系统与AQP2的改变,和黄芪对这些环节的作用,我们检测了下丘脑AVP mRNA与肾脏皮髓质AVP V2受体、AQP2 mRNA表达的情况及黄芪的影响。
, 百拇医药
1 材料和方法
1.1 实验动物 将18只体重180~200g的雄性Sprague-Dawley大鼠随机分成肾病组、肾病+黄芪组、正常对照组(每组n=6)。肾病与肾病+黄芪组大鼠给予阿霉素6mg/kg尾静脉单剂注入,第二天起所有动物分别接受每天一次腹腔注射0.5 g/kg体重的黄芪针剂(上海医科大学华山医院中药制剂室,肾病+黄芪组)或等量注射用水(肾病组和正常对照组)[7]。四周后断头处死,采集血标本,取下丘脑、肾脏,并分离肾脏皮、髓质。
1.2 血、尿观察指标 尿蛋白检测采用试纸法,血浆白蛋白、总胆固醇测定分别采用溴甲酚绿直接显色法和胆固醇氧化酶法。血浆渗透压测定采用冰点法。
1.3 总RNA抽提 下丘脑与肾脏皮、髓质总RNA提取采用异硫氰酸胍-苯酚-氯仿一步抽提法,所得总RNA的A260/280在1.8~2.1。
, 百拇医药
1.4 下丘脑AVP mRNA检测 采用斑点杂交法,其寡核苷酸探针的碱基序列为:5′-TCG ACC TGC CCG GTC GGG CCC TCG AC-3′。15μg总RNA在含20%甲醛的10×SSC溶液中于68℃水浴变性15min,迅速冰浴冷却。将已变性的RNA样本加入垫有经10×SSC处理过的尼龙膜和二层滤纸的点杂交器的样品孔,余孔加等体积10×SSC,以真空泵抽干,再以10×SSC洗涤抽干。将已转移有RNA的尼龙膜于80℃干烤2h后装入杂交袋。在杂交袋中按20 ml/100cm2加入杂交液,于42℃预杂交大于6h,然后弃去杂交液,再按2.5 ml/100cm2加入含2 nmol/L经地高辛3′末端标记(Boehringer Mannheim)的探针的杂交液(50×甲酰胺,5×SSC,2%BR,0.02%SDS,0.1%SDS),于37℃杂交过夜。将已经杂交的尼龙膜取出,于2×SSC与0.1%SDS中漂洗15min×2次,再于0.1×SSC与0.1%SDS中漂洗15min×2次,然后经发光反应检测(Boehringer Mannheim),X光胶片曝光40min。数值以吸光度×面积表示[8]。
, 百拇医药
1.5 肾脏皮、髓质AVP V2、AQP2 mRNA表达的检测 采用以GAPDH作为内对照的半定量逆转录-聚合酶链反应法(RT-PCR),每个逆转录反应为:1.5μgRNA,0.5μgOligo(dT)15,1mmol/L dNTP,5mmol/L MgCl2,1×RT Buffer,20UrRNasin,15U AMV逆转录酶,总反应体积20μl(Promega)。将此混合物于42℃反应30min,然后于95℃灭活3min。V2、GAPDH的PCR反应引物序列见文献[8]。AQP2 mRNA的PCR反应引物为:引物1(antisense):5′-GTA GTT GTA GAG GAG GGA GCC-3′,引物2(sense):5′-GGG GAC CTG GCT GTC AAT GC-3′,分别对应于大鼠AQP2 cDNA的第727-747第424-443碱基[9]。每个PCR反应体系总体积为20μl,含cDNA 4μl、引物1与引物2各12pmol、Taq DNA聚合酶15U,PCR反应终浓度为:1×PCR Buffer、dNTP 0.2mmol/L、MgCl2 1.5 mmol/L。AQP2的PCR反应程序为:95℃变性3min,94℃60s、60℃60s、72℃150s共循环30次,72℃延伸7min。V2、AQP2、GAPDH扩增片断长度分别为625、324、309bp[8,9]。PCR检测结果以经GAPDH校正后的吸光度×面积表示。
, 百拇医药
1.6 统计分析 数据以均数±标准误表示,统计采用ANOVA法,差异显著性标准为P<0.05。
2 结 果
各组大鼠尿蛋白、血白蛋白、血总胆固醇、血浆渗透压水平情况见表1。肾病大鼠均表现出大量蛋白尿、低白蛋白与高胆固醇血症。黄芪可明显改善肾病大鼠的高胆固醇血症。血浆渗透压在各组大鼠间差异不显著。
表1 肾病大鼠尿蛋白、血白蛋白、血胆固醇、血渗透压情况(
正常对照
肾病
肾病+黄芪
, 百拇医药 尿蛋白
-~±
++++
++++
血白蛋白(g/L)
35.00±0.95
25.90±1.00
26.55±1.15
血胆固醇(mmol/L)
0.76±0.02
1.91±0.09
, 百拇医药
1.01±0.16△
血渗透压(Osmmol/L)
276.6±9.5
280.3±4.1
264.8±9.9
与正常对照比*P<0.05,与肾病组比△P<0.05
斑点杂交法示肾病大鼠下丘脑AVP mRNA表达较正常对照显著升高,用黄芪则可纠正此种高表达(表2,图1)。半定量RT-PCR检测示肾脏皮、髓质AVP V2受体、AQP2 mRNA在肾病大鼠均高于正常组,用黄芪后可部分纠正(表2,图2)。
, 百拇医药 表2 肾病大鼠下丘脑AVP、肾脏皮髓质V2受体、AQP2mRNA表达情况(
正常对照
肾 病
肾病+黄芪
下丘脑AVPmRNA
25.72±1.96
53.59±5.49
21.88±1.25△
肾皮质V2受体mRNA
, 百拇医药
0.8348±0.0061
2.2458±0.0470
1.6835±0.0329△
肾髓质V2受体mRNA
0.6082±0.0078
0.9418±0.0096
0.7760±0.0015△
肾皮质AQP2mRNA
0.9646±0.0020
, 百拇医药
1.3118±0.0021
1.0658±0.0052△
肾髓质AQP2mRNA
0.9458±0.0005
1.1788±0.0040
0.9962±0.0001△
与正常对照比*P<0.05,与肾病组比△P<0.05
图1 肾病综合征大鼠下丘脑ACP mRNA斑点杂交检测结果
, http://www.100md.com
(本图显示肾病时下丘脑AVP mRNA表达增强,黄芪可改善此高表达)
图2 肾脏皮髓质AVP V2受体和AQP2mRNA的RT-PCR检测结果
(本图显示肾病时肾脏皮髓质AVP V2受体和AQP2mRNA表达均呈一致性上调,黄芪可改善此种高表达)
1~3:皮质;4~6:髓质;1,4:正常对照;2,5:肾病;3,6:肾病+黄芪
3 讨 论
, http://www.100md.com
本实验中阿霉素注射大鼠均表现出大量蛋白尿、低白蛋白血症和高脂血症,同时存在全身性浮肿。
下丘脑视上核和室旁核合成与分泌AVP的作用受两大因素的影响。一是血浆渗透压,高渗可促使AVP合成与释放,此即渗透性调节。另外,AVP的合成与分泌尚受许多其它因素的影响,如有效循环血容量、中枢交感神经的兴奋性、心血管系统的压力反射、儿茶酚胺、肾素-血管紧张素系统、心房利钠肽、前列腺素类物质、阿片肽类物质、激肽释放酶-激肽系统等[10]。本实验结果显示,肾病综合征大鼠下丘脑AVP mRNA表达显著增强,与Pyo等[11]在氨基核苷嘌呤霉素(puromycin aminonucleoside,PAN)所致的肾病大鼠中的研究报道一致,且此可以解释肾病时的高血AVP水平[1,2]是由于下丘脑AVP合成与释放量增加所致。由于本实验中各组大鼠血渗透压水平没有呈现明显不同,提示该AVP mRNA表达的上调是由非渗透性因素介导的。中药黄芪可显著降低此种高表达,这可能部分与黄芪对全身血流动力学的改善作用有关[8]。同时有报告表明,当肾病综合征缓解时,其高AVP水平、低自由水清除率也同时得到改善,此部分与肾小球滤过率(GFR)、钠排泄的改善有关[12,13]。本实验室以往的研究表明,黄芪对阿霉素肾病大鼠可提高其GFR和尿钠排泄率[7],故本实验从另一方面再次证明黄芪对阿霉素肾病大鼠的治疗作用。
, 百拇医药
AVP V2受体和AVP依赖的水通道AQP2均位于肾脏集合管和部分远端小管,该受体激活可使AQP2开放,并能使AQP2合成增加,表现为mRNA和蛋白分子表达的增加[14],从而介导了AVP的抗利尿作用。本研究发现,在阿霉素肾病大鼠的肾脏皮、髓质中,AVP V2受体mRNA和AQP2 mRNA的表达均高于非肾病鼠,V2与AQP2的表达呈一致性改变,它们的高表达与肾病大鼠的高AVP mRNA表达、高AVP水平也一致,并提示高V2、AQP2表达是肾病时低尿量和低自由水清除率[1,7]的机制。但在近年发表的有关PAN肾病大鼠的文章[15]中,作者发现PAN肾病大鼠肾髓质AQP2蛋白表达较正常为低,似与本实验结果不符,但文献中采用的是PAN模型,本实验采用的是阿霉素模型,且在PAN肾病模型中需大剂量PAN方显示上述变化,而常规剂量的PAN肾病组则变化不明显,故不能除外由PAN直接所致而非肾病所致的可能。在本实验中,黄芪也可降低肾病大鼠肾脏V2、AQP2 mRNA的表达,提示黄芪对肾病大鼠增加尿量、改善水肿的治疗作用[7]与部分纠正AVP V2受体和AQP2的高表达有关。
, 百拇医药
综上所述,在阿霉素肾病大鼠中存在下丘脑AVP基因表达增加,肾脏AVP V2受体和AVP依赖性水通道AQP2m RNA表达上调,这些变化可能是肾病时尿流率下降、自由水清除减少的重要机制。中药黄芪可显著改善肾病时AVP系统和AQP2的变化,从而起到提高GFR和利尿的作用,并是黄芪治疗肾病综合征的机制之一。
*本课题为国家自然科学基金资助项目(39670349)
参考文献
1 Pedersen EB,Danielsen H,Malsen M et al.Defective renal water excretion in nephrotic syndrome:the relationship between renal water excretion and kidney function,arginine vasopressin,angiotensin Ⅱ and aldosterone in plasma before and after oral water loading.Eur J Clin Invest,1985,15(1):24
, 百拇医药
2 Usberti M,Federico S,Meccariello S et al.Role of plasma vasopressin in the impairment of water excretion in nephrotic syndrome.Kidney Int,1984,25:(2),422
3 Harris Jr HW,Zeidel ML.Cell bilolgy of vasopressin.In:Brenner BM ed.The Kidney(5th ed.),Philadelphia:W.B.Sauders,1996.p516-531
4 林善锬,马 骥.水和离子通道与肾脏病.中华肾脏病杂志,1996,12(6):379
5 黄厚聘,李蕊兴,杨德均.黄芪的利尿与降压作用.药学学报,1965,12(5):319
, 百拇医药
6 张庆怡,陆安康.黄芪注射液治疗慢性肾病的观察.上海医学,1995,7:16
7 樊淑玲,林善锬.中药黄芪对肾病大鼠血浆蛋白、血脂及血流动力学的影响.上海医学,1998,21(3):146
8 Ma Ji,Peng Ai,Lin Shanyan.Mechanisms of the therapeutic effect of astragalus membranaceus on sodium and water retention in experimental heart failure.Chin Med J,1998,11(1):17
9 马 骥,林善锬.RT-PCR法检测大鼠水孔蛋白-2的分布及其在禁水后的变化.中华肾脏病杂志,1996,12(6):325
10 Robertson GL,Berl T.Pathophysiology of water metabolism.In:Brenner BM ed.The Kidney(5th ed.),Philadelphia:W.B.Sauders,1996.p873-928
, 百拇医药
11 Pyo HJ,Summer SN,Niederberger M et al.Arginine vasopressin gene expression in rats with puromycin-induced nephrotic syndrome.Am J Kidney Dis,1995,25:58
12 Pedersen EB,Danielsen H,Stiensen SS et al.Renal water excretion before and after renission of nephrotic syndrome relationship between free water clearance and kidney function,arginine vasopressin,angiotensin Ⅱ and aldosterone in plasma before and after oral water loading.Clin Sci,1986,71(1):97
, 百拇医药
13 Bohlin AB,Berg U.Renal water handling in minimal change nephrotic syndrome.Int J Pediatr Nephrol,1984,5(2):93
14 Hayashi M,Sasaki S,Tsuganezawa H et al.Expression and distribution of aquaporin of collecting duct are regulated by vasopressin V2 receptor in rat kidney.J Clin Invest,1994,94:1778
15 Apostol E,Ecelbarger CA,Terris J et al.Reduced renal medullary water channel expression in puromycin aminonucleoside-induced nephrotic syndrome.J Am Soc Nephrol,1997,8:15
(1998-05-20收稿,1999-01-20修回), 百拇医药