bcl-2、p53表达与乳腺癌预后的关系
作者:李峰 卢义生 吴秋良 李莉 王晓文 尹有群
单位:李峰(广东省第二中医院外妇科,广州 510095);卢义生 李莉 王晓文 尹有群(广东省东莞市人民医院病理科,东莞 523000);吴秋良(中山医科大学肿瘤医院病理科,广州 510060)
关键词:乳腺肿瘤;蛋白质bcl-2;蛋白质p53;预后;免疫组织化学
临床与实验病理学杂志990519摘要 目的:探讨bcl-2、p53表达与乳腺癌预后的关系。方法:应用免疫组化LSAB法检测64例乳腺癌及30例乳腺良性病变的表达。分析bcl-2、p53与乳腺癌组织学分级、腋淋巴结转移、复发和预后的关系。结果:bcl-2与p53表达之间差异有显著性,呈负相关(P<0.05)。bcl-2和p53表达与组织学分级有关(P<0.05),bcl-2表达随分级增加阳性率降低,p53则相反。p53表达与腋淋巴结转移有关(P<0.05)。bcl-2表达与腋淋巴结转移无关(P>0.05)。p53表达复发组明显高于无复发组(P<0.05);bcl-2表达与有无复发无关(P>0.05)。p53表达阳性率≤5年生存组明显高于>5年生存组,呈负相关(P<0.05);bcl-2表达与生存期无关(P>0.05)。 结论:bcl-2表达与预后无关,其阳性表达可反映肿瘤属分化较好或属早期阶段。p53可单独作为预后指标;p53表达与预后呈负相关。
, http://www.100md.com
分类号 R737.9; R392.31 文献标识码 A
文章编号 1001-7399(1999)05-0429-03
The relationship between expression of bcl-2 and p53 and prognosis of breast cancer
Li Feng
(Dept of Surg and Gynecol, Gangdong Provincial Second Hospital of Chinese Medicine, Gungzhou 510095)
Lu Yisheng
(Dept of Pathol, Peoples Hospital of Dongguan City, Dongguan 523000)
, 百拇医药
Wu Qiuliang et al
(Dept of Pathol, Cancer Hosptial of Sun Yat-set University of Medical Sciences, Gungzhou 510060)
ABSTRACT Purpose To study the relationship between the expression of bcl-2 and p53 and prognosis of breast cancer. Methods Using LSAB immunohistochemical method, bcl-2 and p53 expression in 64 cases of breast cancer and 30 cases of benign lesions were detected. bcl-2 and p53 expression were analyzed to explore whether they had relationship with histological grade, axilla lymph node metastasis, recurrence and prognosis. Results (1) Inverse correlation was found between the expression of bcl-2 and p53(P<0.05). (2) There was a significant relation between the expression of bcl-2 and p53 and histological grade (P<0.05). bcl-2 was more frequently detected in well differentiated carcinomas and p53 was more frequently expressed in poorly differentiated carcinomas. (3) The expression of p53 was related to axilla lymph mode metastasis but bcl-2 was not. (4) The expression of p53 was more frequently detected in recurrent cases than that in nonrecurrence (P<0.05) and that of bcl-2 was no related to recurrence (P>0.05). (5) The expression of p53 was frequently detected in ≤5-year survival group than it was in >5-year survival group (P<0.05) and that of bcl-2 expression was no related to survival period (P>0.05). Conclusion bcl-2 expression is not related to prognosis and well differentiation or early stage of tumors may be indicated by bcl-2 positive staining. p53 may be a prognostic indicator in breast cancer.
, http://www.100md.com
KEY WORDS breast neoplasms; protein bcl-2; protein p53; prognosis;immunohistochemistry
近年研究发现,细胞凋亡与肿瘤发生、发展及治疗和预后有关,并有多种基因参与调节,如抑癌基因p53、WAF-1以及癌基因bcl-2、c-myc等。目前认为bcl-2和p53在乳腺癌中的表达与预后密切相关〔1,2〕,笔者试图探讨其表达与乳腺癌预后的关系。
1 材料和方法
1.1 材料 选择东莞市人民医院病理科1984~1996年资料较为完整的64例乳腺癌根治病例,其中伴腋窝淋巴结转移41例,随访资料5年以上,最长者12年。按WHO分型属浸润性导管癌。癌组织根据Bloom-Richarson分级法分为Ⅰ、Ⅱ、Ⅲ级。乳腺良性病变30例(小叶增生10例,导管内乳头状瘤10例,纤维腺瘤10例)。
, 百拇医药
1.2 方法 标本经10%福尔马林固定,常规石蜡包埋,连续切片,厚4 μm,进行HE染色和免疫组化染色。一抗为鼠抗人bcl-2(Dako,N1587)即用型,鼠抗人p53(Dako N 1581)即用型,LSAB Kit(Dako,M 681)。bcl-2和p53经微波修复抗原,一抗4℃过夜,其后步骤按LSAB kit说明书操作,DAB显色,均设阳性和阴性对照。
1.3 结果判断 阳性反应为细胞浆内或细胞核内出现棕黄色颗粒。(-):每张切片阳性细胞0~10%;(+):阳性细胞占10%~25%;(
)为阳性细胞占26%~50%;(
)阳性细胞占50%以上。
1.4 统计分析 采用χ2检验。
, 百拇医药
2 结果
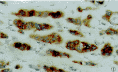
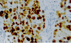
2.1 bcl-2和p53表达情况 bcl-2表达于胞浆内(图1),p53表达于胞核内(图2)。bcl-2 和p53阳性表达率分别为33例(51.6%)和20例(31.3%)。30例乳腺良性病变组织中bcl-2均有不同程度的表达(100%),而p53为阴性表达。
图1 乳腺浸润性导管癌细胞浆内有bcl-2表达。LSAB×400
图1 乳腺浸润性导管癌癌细胞核内有p53表达。LSAB×400
2.2 bcl-2和p53表达的关系 bcl-2与p53表达之间差异有显著性,呈负相关(P<0.05)。
, http://www.100md.com
2.3 bcl-2和p53表达与组织学分级及预后的关系 见表1。
表1 bcl-2和p53阳性表达率和乳腺癌组织学及预后的关系(例,%) 组 别
n
bcl-2
p53
组织学分级
Ⅰ
20
15(75)*
3(15)
Ⅱ
, http://www.100md.com
25
11(44)*
8(32)*
Ⅲ
19
7(36)
9(47.4)*
腋淋巴结转移
有
41
21(51.2)
18(43.9)*
, http://www.100md.com
无
23
12(51.2)
2(8.7)
复发情况
有
13
7(53.8)
7(53.8)*
无
51
26(50.9)
13(25.5)
, http://www.100md.com
生存期(年)
≤5
26
13(50)
13(46.2)*
>5
38
20(52.6)
7(18.4)
组内各组比,*P<0.05 bcl-2和p53表达与组织学分级差异均有显著性(P<0.05)。bcl-2阳性表达率组织学Ⅰ级明显高于Ⅱ、Ⅲ级,即分化高者阳性率高于分化低者;而p53阳性表达率正相反。
, http://www.100md.com
bcl-2表达与腋淋巴结转移无关(P>0.05),p53表达与腋淋巴结转移有关(P<0.05)。
p53表达与复发情况有关(P<0.05),有复发者阳性表达率高于无复发者。bcl-2表达与有无复发无关(P>0.05)。
p53表达与生存期有显著性差异(P<0.05),p53表达阳性率≤5年生存组明显高于>5年生存组,呈负相关。bcl-2与生存期无关(P>0.05)。
3 讨论
近年来发现bcl-2可以抑制多种组织的细胞凋亡,是目前公认的抗凋亡基因。该基因通过抑制细胞凋亡,延长细胞生存参与肿瘤发生〔3〕。本组研究结果显示bcl-2在乳腺良性病变中均有不同程度的表达,在乳腺癌组织中阳性表达率为51.6%,而bcl-2表达与组织学分级呈负相关性,与淋巴结转移、复发及生存期均无关。表明bcl-2参与了乳腺良性病变、乳腺癌发生、发展调控,但不影响乳腺癌预后。
, 百拇医药
本组p53在乳腺良性病变中无阳性表达,在乳腺癌中阳性表达率为31.3%,其表达与乳腺癌组织学分级、腋淋巴结转移、复发呈正相关性,与生存期呈负相关性。这表明p53蛋白表达单因素与乳腺癌预后关系密切,与文献结果一致〔4〕。
bcl-2和p53蛋白在乳腺癌中表达关系密切,bcl-2的表达随p53表达增多明显减少,呈负相关性〔1,2〕。本组结果显示bcl-2与p53蛋白在乳腺良性病变、乳腺癌组织学分级表达呈负相关与文献结果一致。近年来发现突变型p53抑制细胞凋亡,是由于其在mRNA及蛋白水平下调表达,从而成为bcl-2的调控因子〔2〕。bcl-2异常表达往往在肿瘤早期阶段,肿瘤进展晚期基因发生了改变如c-myc、p53代替了bcl-2抗凋亡作用〔5〕。事实上bcl-2和p53如何影响着预后,并非协同关系,仍值得研究〔1,2〕。
本组研究结果表明:bcl-2不可单独作为预后指标,其阳性表达说明乳腺癌分化较好或早期阶段,p53可单独作为预后指标,其表达与预后呈负相关。建议bcl-2和p53配合检测更能客观反映预后。
, 百拇医药
基金项目:广东省卫生厅科研基金资助项目(No A1997434)
作者简介:李 峰,男,36岁,主治医师
卢义生,男,49岁,主任医师。研究方向:乳腺癌病理
参考文献
1,Silviastrini R, Veneroni S, Daidone MG et al. The bcl-2 protein: a prognostic indicator strongly related to p53 protein in lymph node-negative breast cancer patients. J Natl Cancer Inst, 1994;86:499
2,Haldar S, Negrini M, Monne M et al. Down-regulation of bcl-2 by p53 in breast cancer cell. Cancer Res, 1994;54:2095
, http://www.100md.com
3,Colombel M, Symmans F, Gil S et al. Detection of the apoptosis suppressing oncoprotein bcl-2 in hormonerefractory human prostate cancers. Am J Pathol, 1993;143:390
4,Thor AD, Moor DH, Edgertor SM et al. Accumulation of p53 tumor suppressor gene protein: a independent marker of prognosis in breast cancer. J Natl Cancer Inst, 1992;84:845
5,Sierra A, Lioveras B, Castellsague X et al. bcl-2 expression is associated with lymphnode metastasis in human ductal breast carcinoma. Int J Cancer, 1995;60:54
(图片见插页第65页)
收稿日期:1999-02-30
修回日期:1999-07-07, 百拇医药
单位:李峰(广东省第二中医院外妇科,广州 510095);卢义生 李莉 王晓文 尹有群(广东省东莞市人民医院病理科,东莞 523000);吴秋良(中山医科大学肿瘤医院病理科,广州 510060)
关键词:乳腺肿瘤;蛋白质bcl-2;蛋白质p53;预后;免疫组织化学
临床与实验病理学杂志990519摘要 目的:探讨bcl-2、p53表达与乳腺癌预后的关系。方法:应用免疫组化LSAB法检测64例乳腺癌及30例乳腺良性病变的表达。分析bcl-2、p53与乳腺癌组织学分级、腋淋巴结转移、复发和预后的关系。结果:bcl-2与p53表达之间差异有显著性,呈负相关(P<0.05)。bcl-2和p53表达与组织学分级有关(P<0.05),bcl-2表达随分级增加阳性率降低,p53则相反。p53表达与腋淋巴结转移有关(P<0.05)。bcl-2表达与腋淋巴结转移无关(P>0.05)。p53表达复发组明显高于无复发组(P<0.05);bcl-2表达与有无复发无关(P>0.05)。p53表达阳性率≤5年生存组明显高于>5年生存组,呈负相关(P<0.05);bcl-2表达与生存期无关(P>0.05)。 结论:bcl-2表达与预后无关,其阳性表达可反映肿瘤属分化较好或属早期阶段。p53可单独作为预后指标;p53表达与预后呈负相关。
, http://www.100md.com
分类号 R737.9; R392.31 文献标识码 A
文章编号 1001-7399(1999)05-0429-03
The relationship between expression of bcl-2 and p53 and prognosis of breast cancer
Li Feng
(Dept of Surg and Gynecol, Gangdong Provincial Second Hospital of Chinese Medicine, Gungzhou 510095)
Lu Yisheng
(Dept of Pathol, Peoples Hospital of Dongguan City, Dongguan 523000)
, 百拇医药
Wu Qiuliang et al
(Dept of Pathol, Cancer Hosptial of Sun Yat-set University of Medical Sciences, Gungzhou 510060)
ABSTRACT Purpose To study the relationship between the expression of bcl-2 and p53 and prognosis of breast cancer. Methods Using LSAB immunohistochemical method, bcl-2 and p53 expression in 64 cases of breast cancer and 30 cases of benign lesions were detected. bcl-2 and p53 expression were analyzed to explore whether they had relationship with histological grade, axilla lymph node metastasis, recurrence and prognosis. Results (1) Inverse correlation was found between the expression of bcl-2 and p53(P<0.05). (2) There was a significant relation between the expression of bcl-2 and p53 and histological grade (P<0.05). bcl-2 was more frequently detected in well differentiated carcinomas and p53 was more frequently expressed in poorly differentiated carcinomas. (3) The expression of p53 was related to axilla lymph mode metastasis but bcl-2 was not. (4) The expression of p53 was more frequently detected in recurrent cases than that in nonrecurrence (P<0.05) and that of bcl-2 was no related to recurrence (P>0.05). (5) The expression of p53 was frequently detected in ≤5-year survival group than it was in >5-year survival group (P<0.05) and that of bcl-2 expression was no related to survival period (P>0.05). Conclusion bcl-2 expression is not related to prognosis and well differentiation or early stage of tumors may be indicated by bcl-2 positive staining. p53 may be a prognostic indicator in breast cancer.
, http://www.100md.com
KEY WORDS breast neoplasms; protein bcl-2; protein p53; prognosis;immunohistochemistry
近年研究发现,细胞凋亡与肿瘤发生、发展及治疗和预后有关,并有多种基因参与调节,如抑癌基因p53、WAF-1以及癌基因bcl-2、c-myc等。目前认为bcl-2和p53在乳腺癌中的表达与预后密切相关〔1,2〕,笔者试图探讨其表达与乳腺癌预后的关系。
1 材料和方法
1.1 材料 选择东莞市人民医院病理科1984~1996年资料较为完整的64例乳腺癌根治病例,其中伴腋窝淋巴结转移41例,随访资料5年以上,最长者12年。按WHO分型属浸润性导管癌。癌组织根据Bloom-Richarson分级法分为Ⅰ、Ⅱ、Ⅲ级。乳腺良性病变30例(小叶增生10例,导管内乳头状瘤10例,纤维腺瘤10例)。
, 百拇医药
1.2 方法 标本经10%福尔马林固定,常规石蜡包埋,连续切片,厚4 μm,进行HE染色和免疫组化染色。一抗为鼠抗人bcl-2(Dako,N1587)即用型,鼠抗人p53(Dako N 1581)即用型,LSAB Kit(Dako,M 681)。bcl-2和p53经微波修复抗原,一抗4℃过夜,其后步骤按LSAB kit说明书操作,DAB显色,均设阳性和阴性对照。
1.3 结果判断 阳性反应为细胞浆内或细胞核内出现棕黄色颗粒。(-):每张切片阳性细胞0~10%;(+):阳性细胞占10%~25%;(
1.4 统计分析 采用χ2检验。
, 百拇医药
2 结果
2.1 bcl-2和p53表达情况 bcl-2表达于胞浆内(图1),p53表达于胞核内(图2)。bcl-2 和p53阳性表达率分别为33例(51.6%)和20例(31.3%)。30例乳腺良性病变组织中bcl-2均有不同程度的表达(100%),而p53为阴性表达。
图1 乳腺浸润性导管癌细胞浆内有bcl-2表达。LSAB×400
图1 乳腺浸润性导管癌癌细胞核内有p53表达。LSAB×400
2.2 bcl-2和p53表达的关系 bcl-2与p53表达之间差异有显著性,呈负相关(P<0.05)。
, http://www.100md.com
2.3 bcl-2和p53表达与组织学分级及预后的关系 见表1。
表1 bcl-2和p53阳性表达率和乳腺癌组织学及预后的关系(例,%) 组 别
n
bcl-2
p53
组织学分级
Ⅰ
20
15(75)*
3(15)
Ⅱ
, http://www.100md.com
25
11(44)*
8(32)*
Ⅲ
19
7(36)
9(47.4)*
腋淋巴结转移
有
41
21(51.2)
18(43.9)*
, http://www.100md.com
无
23
12(51.2)
2(8.7)
复发情况
有
13
7(53.8)
7(53.8)*
无
51
26(50.9)
13(25.5)
, http://www.100md.com
生存期(年)
≤5
26
13(50)
13(46.2)*
>5
38
20(52.6)
7(18.4)
组内各组比,*P<0.05 bcl-2和p53表达与组织学分级差异均有显著性(P<0.05)。bcl-2阳性表达率组织学Ⅰ级明显高于Ⅱ、Ⅲ级,即分化高者阳性率高于分化低者;而p53阳性表达率正相反。
, http://www.100md.com
bcl-2表达与腋淋巴结转移无关(P>0.05),p53表达与腋淋巴结转移有关(P<0.05)。
p53表达与复发情况有关(P<0.05),有复发者阳性表达率高于无复发者。bcl-2表达与有无复发无关(P>0.05)。
p53表达与生存期有显著性差异(P<0.05),p53表达阳性率≤5年生存组明显高于>5年生存组,呈负相关。bcl-2与生存期无关(P>0.05)。
3 讨论
近年来发现bcl-2可以抑制多种组织的细胞凋亡,是目前公认的抗凋亡基因。该基因通过抑制细胞凋亡,延长细胞生存参与肿瘤发生〔3〕。本组研究结果显示bcl-2在乳腺良性病变中均有不同程度的表达,在乳腺癌组织中阳性表达率为51.6%,而bcl-2表达与组织学分级呈负相关性,与淋巴结转移、复发及生存期均无关。表明bcl-2参与了乳腺良性病变、乳腺癌发生、发展调控,但不影响乳腺癌预后。
, 百拇医药
本组p53在乳腺良性病变中无阳性表达,在乳腺癌中阳性表达率为31.3%,其表达与乳腺癌组织学分级、腋淋巴结转移、复发呈正相关性,与生存期呈负相关性。这表明p53蛋白表达单因素与乳腺癌预后关系密切,与文献结果一致〔4〕。
bcl-2和p53蛋白在乳腺癌中表达关系密切,bcl-2的表达随p53表达增多明显减少,呈负相关性〔1,2〕。本组结果显示bcl-2与p53蛋白在乳腺良性病变、乳腺癌组织学分级表达呈负相关与文献结果一致。近年来发现突变型p53抑制细胞凋亡,是由于其在mRNA及蛋白水平下调表达,从而成为bcl-2的调控因子〔2〕。bcl-2异常表达往往在肿瘤早期阶段,肿瘤进展晚期基因发生了改变如c-myc、p53代替了bcl-2抗凋亡作用〔5〕。事实上bcl-2和p53如何影响着预后,并非协同关系,仍值得研究〔1,2〕。
本组研究结果表明:bcl-2不可单独作为预后指标,其阳性表达说明乳腺癌分化较好或早期阶段,p53可单独作为预后指标,其表达与预后呈负相关。建议bcl-2和p53配合检测更能客观反映预后。
, 百拇医药
基金项目:广东省卫生厅科研基金资助项目(No A1997434)
作者简介:李 峰,男,36岁,主治医师
卢义生,男,49岁,主任医师。研究方向:乳腺癌病理
参考文献
1,Silviastrini R, Veneroni S, Daidone MG et al. The bcl-2 protein: a prognostic indicator strongly related to p53 protein in lymph node-negative breast cancer patients. J Natl Cancer Inst, 1994;86:499
2,Haldar S, Negrini M, Monne M et al. Down-regulation of bcl-2 by p53 in breast cancer cell. Cancer Res, 1994;54:2095
, http://www.100md.com
3,Colombel M, Symmans F, Gil S et al. Detection of the apoptosis suppressing oncoprotein bcl-2 in hormonerefractory human prostate cancers. Am J Pathol, 1993;143:390
4,Thor AD, Moor DH, Edgertor SM et al. Accumulation of p53 tumor suppressor gene protein: a independent marker of prognosis in breast cancer. J Natl Cancer Inst, 1992;84:845
5,Sierra A, Lioveras B, Castellsague X et al. bcl-2 expression is associated with lymphnode metastasis in human ductal breast carcinoma. Int J Cancer, 1995;60:54
(图片见插页第65页)
收稿日期:1999-02-30
修回日期:1999-07-07, 百拇医药