肾外恶性横纹肌样瘤临床病理分析
作者:钟国平
单位:钟国平(浙江省鄞县人民医院病理科,宁波 315040)
关键词:胸部肿瘤;肾外恶性横纹肌样瘤;病理学;临床;免疫组织化学
临床与实验病理学杂志990516
摘要 目的:探讨恶性横纹肌样瘤的临床病理表现。方法:用光镜、免疫组化及特染等方法观察其病理组织学特点。结果:该例具有典型巢团状浸润生长的多边形横纹肌样瘤细胞,胞浆丰富嗜酸性,胞浆内可见或多或少胞浆空泡及包涵体,泡状核、核仁明显。瘤细胞排列有假腺泡状,放射状,副节瘤样及淋巴瘤样等多形性改变。结论:该肿瘤瘤细胞呈免疫多表型,其神经性、上皮性、肌性混合多项阳性。
分类号 R734.4 文献标识码 A
文章编号 1001-7399(1999)05-0423-02
, 百拇医药
The clinicopathology of extrarenal rhabdoid tumor
Zhong Guoping
(Dept of Pathol, The Peoples Hospital of Yinxian, Ningbo 315040)
ABSTRACT Purpose To study the clinicopathologic characteristics of extrarenal rhabbdoid tumor (ERRT). Method A case of adult ERRT was observed by light microscopy, special stain and immunohistochemistry. Results The cytohistologic features of ERRT were large nucleoli, abundant eosinophilic cytoplasm and cytoplasmic inclusions; Classichistomorphology with rhabdomyosarcomatoid cells arranged in trabeculae, others displayed pseudoglandular, paragangliomatoid and lymphomatoid patterns. Conclusion Immunohistochemistry reveals marks polyphenotypia, with immunoreactivity to a wide array of antibodies against epithelial, neural and myogenic markers.
, 百拇医药
KEY WORDS thoracic neoplasms; ERRT; pathology, clinical; immunohistochemistry
恶性横纹肌样瘤(malingant rhabdoid tumor, MRT)首先由Beckwith等〔1〕在1978年从婴幼儿肾Wilm瘤(WT)中分出的一类新的肿瘤,当时称为“预后不良的横纹肌肉瘤样Wilm瘤”,1981年正式命名为肾恶性横纹肌样瘤(malignt rhabdoid tumor of kidaey, MRTK),以后病例报道不断增多,肿瘤可以在不同年龄和不同部位发生。1991年Kodet等〔2〕报道26例基本组织形态和MRTK一致的软组织肿瘤,即肾外恶性横纹肌样瘤(extrarenal rhabdoid tumor, ERRT)。据作者不完全统计,至今国外文献报道ERRT 100例,国内仅2例。现将我们遇到的1例胸壁ERRT结合文献作临床病理分析。
, 百拇医药
1 临床资料
患者,女性,49岁。因反复右侧胸痛3年余伴发热1周于1997年5月26日入院。患者3年前无明显诱因下感右侧胸痛,呈间歇性刺痛,持续约数秒钟,无放射痛,无咳嗽,胸闷,一直未曾就医。近1周伴有发热,乏力纳差来本院门诊。查体:神清、颈软,消瘦不明显,皮肤巩膜无黄染,浅表淋巴结未及肿大。胸廓无畸形,右下侧胸部稍压痛,心肺无特殊,腹平软、肝脾肋下未及。胸部CT示:右下侧胸壁见6.3 cm×4.8 cm大小梭形软组织肿块,第6、7肋骨部分破坏,肿块边界清。两肺组织清晰,两肺门及纵膈未见肿大淋巴结。两侧胸腔未见积液。双肾及全腹B超未见占位病变。临床初步诊断:右下侧胸壁恶性肿瘤,行右侧胸壁肿瘤大块切除修补术,术后未作化放疗,随访至今仍存活。
2 病理检查
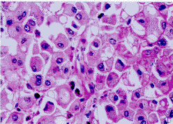
2.1 巨检及镜检 梭形肿块大小9 cm×7 cm×5 cm,表面粗糙,无包膜,附有部分肋骨。切面略呈结节状,境界清,如鱼肉状,黄白相间,部分区域灰红色有散在出血灶。光镜下见瘤细胞呈卵圆或多边形,胞浆丰富嗜酸性,有的瘤细胞胞浆空泡内可见圆形淡红均质或透明的包涵体(图1),未见横纹。核偏位呈泡状,核膜厚,部分核仁明显,核分裂象易见。偶见少数畸形巨核或多核瘤巨细胞。瘤细胞排列多样,大多呈巢团状浸润(图2),有的围绕血管呈放射状排列,有的呈腺泡状,有的血窦丰富呈副节瘤样结构,也有弥漫成片如淋巴瘤样。
, 百拇医药
图1 肿瘤细胞呈卵圆或多边形,泡状核,胞浆丰富嗜酸性,并见胞浆空泡及包涵体.HE×400
图2 肿瘤细胞多呈不规则巢状浸润.HE×100
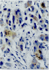
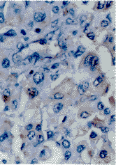
2.2 特染及免疫组化 网染示瘤细胞网状纤维增生,分布于瘤细胞巢之间或部分单个瘤细胞之间。免疫组织化学采用ABC法、DAB显色,TBS替代第一抗体作空白对照,全部第一抗体(CK 1∶40、EMA 1∶50、Ms-Actin 1∶50、Vim 1∶100、MG1∶300、HMB45 1∶40、S-100 1∶300、NSE(单)1∶80、MBP1∶100、CD99 1∶50、Syn 1∶100、CgA 1∶50、NF1∶50、Leu7 1∶40、GFAP1∶100,KP1 1∶50、HLA-DR 1∶50)均为Dako公司产品,结果显示:部分瘤细胞CK(+)(图3)、S-100(+)(图4)、NSE(+)、Syn(+)、MG(-),小部分散在瘤细胞Ms-Actin(+)、Vim(+)(图5)、CgA(+)、EMA(+)、Leu7(+)、NF(+)、CD99(+)。少量瘤细胞HMB45(+)、GFAP(+);全部瘤细胞KP1(-),MBP(-),HLA-DR(-)。
, 百拇医药
图3 部分肿瘤细胞胞浆CK呈阳性反应.ABC×200
图4 部分肿瘤细胞胞浆S-100呈阳性反应.ABC×200
图5 部分肿瘤细胞胞浆及包涵体,Vim呈阳性反应.ABC×200
2.3 病理诊断 右侧胸壁软组织恶性横纹肌样瘤(ERRT)伴多表型分化(神经性、上皮性及肌源性)。
3 讨论
Parham等〔3〕报道42例ERRT,发病年龄在3周~50岁,中位年龄20个月,男:女为1.1∶1。本瘤发生部位很广泛,但有趋人体中轴的倾向。至今文献中记载的部位有:脑、肝、软组织、膀胱、前列腺、盆腔、腹膜后、纵膈、舌、眼眶、心脏、皮肤、鼻咽部、外阴子宫、硬脊膜以及胃肠道等〔4〕。ERRT往往是致死性的但并不普遍,其预后和发生部位及切除情况也有关,发生在浅表的ERRT彻底切除后可以长期存活。Parham等〔3〕随访了23例ERRT,其中19例死于诊断后0.5~72个月(中位6个月),另4例分别存活9、31、42和84个月,本例随访至今18个月仍存活,似乎表明ERRT的预后可能要比通常发生在婴幼儿肾内MRTK的好,MRTK死亡率80%。本瘤的基本组织细胞形态与肾内MRTK相似,典型改变有:①瘤细胞大而多边形,胞界清楚,胞浆丰富嗜酸性,如横纹肌母细胞但未见横纹。②多少不一的瘤细胞胞浆空泡及包涵体。③泡状核,核仁大而嗜碱性,偶见畸形巨核或多核瘤巨细胞。④瘤细胞呈弥漫或不规则巢团状浸润。本例符合以上这些基本改变,同时还出现一些特殊的组织构象如腺泡状,放射状,副节瘤样等。据Parham等〔3〕报道,42例ERRT中有30例表现不等量的神经性、上皮性、肌样、间叶性或室管膜样分化改变。然而值得注意的是上述组织细胞学特征尤其是胞浆包涵体,并不是本瘤特异的,其他许多肿瘤如上皮样恶性周围神经鞘膜瘤、恶性黑色素瘤、肝母细胞瘤、横纹肌肉瘤等,甚至有些发生在软组织和唾腺中的良性肿瘤,均可以出现。因此对本瘤的诊断要慎重,应结合临床特点、免疫组化以及电镜所见等综合分析。此外,在形态上还需区别的主要有:腺泡状软组织肉瘤、间皮肉瘤,上皮样肉瘤以及转移性肝癌、肾上腺皮质癌等。它们各自的临床组织学特点,免疫表型以及特染有助于鉴别诊断。
, 百拇医药
ERRT的免疫组化大多数病例瘤细胞浆有vimentin, CK及EMA阳性表达,其他抗体标记文献报道结果不一。本例应用17种抗体,结果显示肿瘤细胞免疫多表型的特点,这与Parham、Kodet等〔2,3〕报道的结果一致:ERRT的瘤细胞不同分化表现不同标记,混合多样的特点,可以有上皮性、神经性、肌性,单项或混合阳性。电镜观察:不同分化的瘤细胞亦有不同的电镜所见,除有较多的中间微丝外,有的可见神经内分泌颗粒,胞浆突,微绒毛等结构,但未见肌微丝,Z带及外板。
有关MRTK的组织发生目前无明确结论。文献中提出的假说很多,有肌源性、神经外胚叶源、组织细胞源以及上皮细胞来源等〔5〕。1989年Weeks等〔6〕观察分析了111例MRTK,认为是肾髓质原始间叶细胞来源。而ERRT的组织多样性和异质性分化比MRTK更明显,所以在1994年Parham、Weeks等〔3〕对ERRT与MRTK是否同源提出异议,认为ERRT并非一种特殊肿瘤实体,而是表现为具有异质性的肿瘤群,基于现在的病理技术还无法阐明本瘤的细胞来源及其分化特性,Parham等建议用“Poorly differ entiated neoplasm with rhabdoid features”称之。
, 百拇医药
(本例经上海肿瘤医院病理科王懿龄教授会诊,特此致谢)
作者简介:钟国平,男,33岁,主治医生。研究方向:肿瘤临床病理
参考文献
1,Beckwith JB, Paler NF. Histopathology and prognosis of Wilms tumor, results from the first national Wilms tumor study. Cancer,1978;41:1937
2,Kodet R, Newton WA, Sachs N et al. Rhabdoid tumors of soft tissues, a clinicopathologic study of 26 cases enrolled on the intergroup rhabdomyosarcoma study. Hum Pathol, 1991;22:674
, 百拇医药
3,Parham DW, Weeks DA, Beckwith JB. The clinicopathologic spectrum of putative extrarenal rhabdoid tumors: a analysis of 42 cases studied with immunohistochemistry of electron microscopy. Am J Surg Pathol, 1994;18(10):1010~1029
4,朱梅刚. 恶性横纹肌样瘤. 中华病理学杂志,1997;26(3):190
5,纪小龙,孔令非. 恶性横纹肌样瘤——目前的认识. 临床与实验病理学杂志,1993;9(2):147
6,Weeks DA, Beckwith JB, Mierau GW et al. Rhabdoid tumor of kidney. A report of 111 cases from the national Wilms tumor study pathology center. Am J Surg Pathol, 1989;13:439
(图片见插页第64页)
收稿日期:1999-04-14, 百拇医药
单位:钟国平(浙江省鄞县人民医院病理科,宁波 315040)
关键词:胸部肿瘤;肾外恶性横纹肌样瘤;病理学;临床;免疫组织化学
临床与实验病理学杂志990516
摘要 目的:探讨恶性横纹肌样瘤的临床病理表现。方法:用光镜、免疫组化及特染等方法观察其病理组织学特点。结果:该例具有典型巢团状浸润生长的多边形横纹肌样瘤细胞,胞浆丰富嗜酸性,胞浆内可见或多或少胞浆空泡及包涵体,泡状核、核仁明显。瘤细胞排列有假腺泡状,放射状,副节瘤样及淋巴瘤样等多形性改变。结论:该肿瘤瘤细胞呈免疫多表型,其神经性、上皮性、肌性混合多项阳性。
分类号 R734.4 文献标识码 A
文章编号 1001-7399(1999)05-0423-02
, 百拇医药
The clinicopathology of extrarenal rhabdoid tumor
Zhong Guoping
(Dept of Pathol, The Peoples Hospital of Yinxian, Ningbo 315040)
ABSTRACT Purpose To study the clinicopathologic characteristics of extrarenal rhabbdoid tumor (ERRT). Method A case of adult ERRT was observed by light microscopy, special stain and immunohistochemistry. Results The cytohistologic features of ERRT were large nucleoli, abundant eosinophilic cytoplasm and cytoplasmic inclusions; Classichistomorphology with rhabdomyosarcomatoid cells arranged in trabeculae, others displayed pseudoglandular, paragangliomatoid and lymphomatoid patterns. Conclusion Immunohistochemistry reveals marks polyphenotypia, with immunoreactivity to a wide array of antibodies against epithelial, neural and myogenic markers.
, 百拇医药
KEY WORDS thoracic neoplasms; ERRT; pathology, clinical; immunohistochemistry
恶性横纹肌样瘤(malingant rhabdoid tumor, MRT)首先由Beckwith等〔1〕在1978年从婴幼儿肾Wilm瘤(WT)中分出的一类新的肿瘤,当时称为“预后不良的横纹肌肉瘤样Wilm瘤”,1981年正式命名为肾恶性横纹肌样瘤(malignt rhabdoid tumor of kidaey, MRTK),以后病例报道不断增多,肿瘤可以在不同年龄和不同部位发生。1991年Kodet等〔2〕报道26例基本组织形态和MRTK一致的软组织肿瘤,即肾外恶性横纹肌样瘤(extrarenal rhabdoid tumor, ERRT)。据作者不完全统计,至今国外文献报道ERRT 100例,国内仅2例。现将我们遇到的1例胸壁ERRT结合文献作临床病理分析。
, 百拇医药
1 临床资料
患者,女性,49岁。因反复右侧胸痛3年余伴发热1周于1997年5月26日入院。患者3年前无明显诱因下感右侧胸痛,呈间歇性刺痛,持续约数秒钟,无放射痛,无咳嗽,胸闷,一直未曾就医。近1周伴有发热,乏力纳差来本院门诊。查体:神清、颈软,消瘦不明显,皮肤巩膜无黄染,浅表淋巴结未及肿大。胸廓无畸形,右下侧胸部稍压痛,心肺无特殊,腹平软、肝脾肋下未及。胸部CT示:右下侧胸壁见6.3 cm×4.8 cm大小梭形软组织肿块,第6、7肋骨部分破坏,肿块边界清。两肺组织清晰,两肺门及纵膈未见肿大淋巴结。两侧胸腔未见积液。双肾及全腹B超未见占位病变。临床初步诊断:右下侧胸壁恶性肿瘤,行右侧胸壁肿瘤大块切除修补术,术后未作化放疗,随访至今仍存活。
2 病理检查
2.1 巨检及镜检 梭形肿块大小9 cm×7 cm×5 cm,表面粗糙,无包膜,附有部分肋骨。切面略呈结节状,境界清,如鱼肉状,黄白相间,部分区域灰红色有散在出血灶。光镜下见瘤细胞呈卵圆或多边形,胞浆丰富嗜酸性,有的瘤细胞胞浆空泡内可见圆形淡红均质或透明的包涵体(图1),未见横纹。核偏位呈泡状,核膜厚,部分核仁明显,核分裂象易见。偶见少数畸形巨核或多核瘤巨细胞。瘤细胞排列多样,大多呈巢团状浸润(图2),有的围绕血管呈放射状排列,有的呈腺泡状,有的血窦丰富呈副节瘤样结构,也有弥漫成片如淋巴瘤样。
, 百拇医药
图1 肿瘤细胞呈卵圆或多边形,泡状核,胞浆丰富嗜酸性,并见胞浆空泡及包涵体.HE×400
图2 肿瘤细胞多呈不规则巢状浸润.HE×100
2.2 特染及免疫组化 网染示瘤细胞网状纤维增生,分布于瘤细胞巢之间或部分单个瘤细胞之间。免疫组织化学采用ABC法、DAB显色,TBS替代第一抗体作空白对照,全部第一抗体(CK 1∶40、EMA 1∶50、Ms-Actin 1∶50、Vim 1∶100、MG1∶300、HMB45 1∶40、S-100 1∶300、NSE(单)1∶80、MBP1∶100、CD99 1∶50、Syn 1∶100、CgA 1∶50、NF1∶50、Leu7 1∶40、GFAP1∶100,KP1 1∶50、HLA-DR 1∶50)均为Dako公司产品,结果显示:部分瘤细胞CK(+)(图3)、S-100(+)(图4)、NSE(+)、Syn(+)、MG(-),小部分散在瘤细胞Ms-Actin(+)、Vim(+)(图5)、CgA(+)、EMA(+)、Leu7(+)、NF(+)、CD99(+)。少量瘤细胞HMB45(+)、GFAP(+);全部瘤细胞KP1(-),MBP(-),HLA-DR(-)。
, 百拇医药
图3 部分肿瘤细胞胞浆CK呈阳性反应.ABC×200
图4 部分肿瘤细胞胞浆S-100呈阳性反应.ABC×200
图5 部分肿瘤细胞胞浆及包涵体,Vim呈阳性反应.ABC×200
2.3 病理诊断 右侧胸壁软组织恶性横纹肌样瘤(ERRT)伴多表型分化(神经性、上皮性及肌源性)。
3 讨论
Parham等〔3〕报道42例ERRT,发病年龄在3周~50岁,中位年龄20个月,男:女为1.1∶1。本瘤发生部位很广泛,但有趋人体中轴的倾向。至今文献中记载的部位有:脑、肝、软组织、膀胱、前列腺、盆腔、腹膜后、纵膈、舌、眼眶、心脏、皮肤、鼻咽部、外阴子宫、硬脊膜以及胃肠道等〔4〕。ERRT往往是致死性的但并不普遍,其预后和发生部位及切除情况也有关,发生在浅表的ERRT彻底切除后可以长期存活。Parham等〔3〕随访了23例ERRT,其中19例死于诊断后0.5~72个月(中位6个月),另4例分别存活9、31、42和84个月,本例随访至今18个月仍存活,似乎表明ERRT的预后可能要比通常发生在婴幼儿肾内MRTK的好,MRTK死亡率80%。本瘤的基本组织细胞形态与肾内MRTK相似,典型改变有:①瘤细胞大而多边形,胞界清楚,胞浆丰富嗜酸性,如横纹肌母细胞但未见横纹。②多少不一的瘤细胞胞浆空泡及包涵体。③泡状核,核仁大而嗜碱性,偶见畸形巨核或多核瘤巨细胞。④瘤细胞呈弥漫或不规则巢团状浸润。本例符合以上这些基本改变,同时还出现一些特殊的组织构象如腺泡状,放射状,副节瘤样等。据Parham等〔3〕报道,42例ERRT中有30例表现不等量的神经性、上皮性、肌样、间叶性或室管膜样分化改变。然而值得注意的是上述组织细胞学特征尤其是胞浆包涵体,并不是本瘤特异的,其他许多肿瘤如上皮样恶性周围神经鞘膜瘤、恶性黑色素瘤、肝母细胞瘤、横纹肌肉瘤等,甚至有些发生在软组织和唾腺中的良性肿瘤,均可以出现。因此对本瘤的诊断要慎重,应结合临床特点、免疫组化以及电镜所见等综合分析。此外,在形态上还需区别的主要有:腺泡状软组织肉瘤、间皮肉瘤,上皮样肉瘤以及转移性肝癌、肾上腺皮质癌等。它们各自的临床组织学特点,免疫表型以及特染有助于鉴别诊断。
, 百拇医药
ERRT的免疫组化大多数病例瘤细胞浆有vimentin, CK及EMA阳性表达,其他抗体标记文献报道结果不一。本例应用17种抗体,结果显示肿瘤细胞免疫多表型的特点,这与Parham、Kodet等〔2,3〕报道的结果一致:ERRT的瘤细胞不同分化表现不同标记,混合多样的特点,可以有上皮性、神经性、肌性,单项或混合阳性。电镜观察:不同分化的瘤细胞亦有不同的电镜所见,除有较多的中间微丝外,有的可见神经内分泌颗粒,胞浆突,微绒毛等结构,但未见肌微丝,Z带及外板。
有关MRTK的组织发生目前无明确结论。文献中提出的假说很多,有肌源性、神经外胚叶源、组织细胞源以及上皮细胞来源等〔5〕。1989年Weeks等〔6〕观察分析了111例MRTK,认为是肾髓质原始间叶细胞来源。而ERRT的组织多样性和异质性分化比MRTK更明显,所以在1994年Parham、Weeks等〔3〕对ERRT与MRTK是否同源提出异议,认为ERRT并非一种特殊肿瘤实体,而是表现为具有异质性的肿瘤群,基于现在的病理技术还无法阐明本瘤的细胞来源及其分化特性,Parham等建议用“Poorly differ entiated neoplasm with rhabdoid features”称之。
, 百拇医药
(本例经上海肿瘤医院病理科王懿龄教授会诊,特此致谢)
作者简介:钟国平,男,33岁,主治医生。研究方向:肿瘤临床病理
参考文献
1,Beckwith JB, Paler NF. Histopathology and prognosis of Wilms tumor, results from the first national Wilms tumor study. Cancer,1978;41:1937
2,Kodet R, Newton WA, Sachs N et al. Rhabdoid tumors of soft tissues, a clinicopathologic study of 26 cases enrolled on the intergroup rhabdomyosarcoma study. Hum Pathol, 1991;22:674
, 百拇医药
3,Parham DW, Weeks DA, Beckwith JB. The clinicopathologic spectrum of putative extrarenal rhabdoid tumors: a analysis of 42 cases studied with immunohistochemistry of electron microscopy. Am J Surg Pathol, 1994;18(10):1010~1029
4,朱梅刚. 恶性横纹肌样瘤. 中华病理学杂志,1997;26(3):190
5,纪小龙,孔令非. 恶性横纹肌样瘤——目前的认识. 临床与实验病理学杂志,1993;9(2):147
6,Weeks DA, Beckwith JB, Mierau GW et al. Rhabdoid tumor of kidney. A report of 111 cases from the national Wilms tumor study pathology center. Am J Surg Pathol, 1989;13:439
(图片见插页第64页)
收稿日期:1999-04-14, 百拇医药