前列腺肉瘤的病理诊断、治疗和预后
作者:黄志勇 章宜芬 杨湛 聂进军 周祀侨
单位:黄志勇 章宜芬 杨湛 聂进军 周祀侨(南京大学医学院附属鼓楼医院病理科,南京 210008)
关键词:前列腺肿瘤;肉瘤;诊断;鉴别;预后
临床与实验病理学杂志990510摘要 目的:探讨前列腺肉瘤诊断、治疗及预后诸因素。方法:对4例前列腺肉瘤进行随访,并再次进行常规切片HE染色和采用LSAB法对vimentin、CK、actin(HHF35)、desmin、myoglobin、S-100、CD34、α1-AT、α1-ACT、lysozyme、PSA和PAP等12种抗体进行标记观察。结果:平滑肌肉瘤1例,随访7年至今健在;MFH 1例,死于并发呼吸系感染;腺泡状横纹肌肉瘤1例,生存不到2年;多形性横纹肌肉瘤1例,生存2年5个月。免疫组化在诊断和鉴别诊断上有重大意义。结论:HE染色结合免疫组化染色可确诊该瘤。其预后与多种因素有关,中老年人的预后相对较好。联合根治性手术、放疗和化疗效果较好。
, 百拇医药
分类号 R737.25 文献标识码 A
文章编号 1001-7399(1999)05-0405-03
Pathological diagnosis, therapy and prognosis of prostatic sarcoma
Huang Zhiyong, Zhang Yifen, Yang Zhan et al
(Dept of Pathol, Nanjing Guluo Hospital Nanjing University Medical College, 210008)
ABSTRACT Purpose To inquire into the diagnosis, therapy and prognosis of prostatic sarcoma. Methods Four cases of prostatic sarcoma were followed-up. The sections were stained with hematoxylin and eosin again and with 12 kinds of antibodies such as vimentin, CK, actin(HHF35), desmin, myoglobin, S-100, CD34, α1-AT, α1-ACT, lysozyme, PSA and PAP using LSAB method. Results One case of leiomyosarcoma was alive after followed-up 7 years; one case of malignant fibrous histocytoma died of infection of respiratory system; one case of alveolar rabdomyosarcoma died less than 2 years after operation; one case of pleomorphous rabdomyosarcoma survived 2 years and 5 months. Immunohistochemistry had great value on the diagnosis and differential diagnosis. Conclusion Definite diagnosis could be made with hematoxylin and eosin stain combining to immunohistochemical stain. Prognosis is related to various factors. Prognosis is relatively good when radical operation, radiative therapy and chemical therapy were taken and when the patient was middle or old age.
, http://www.100md.com
KEY WORDS prostatic neoplasms; sarcoma; diagnosis,differential prognosis
前列腺肉瘤少见,由Stafford(1829年)首先报道,国内曹晨(1930)报道第1例。复习国内文献,累计报道近百例。其发病率报道不一,约占前列腺恶性肿瘤的0.1%~5.6%〔1〕。现将我们遇到的4例报道如下。
1 材料和方法
1.1 标本来源 在对南京市鼓楼医院病理科1977~1997年间621例前列腺活检和切除标本的回顾性复习中,发现临床和病理资料完整的前列腺肉瘤4例,并进行随访。
1.2 方法
1.2.1 光镜标本 将每例蜡块常规制片和HE染色。
, http://www.100md.com
1.2.2 免疫组化染色 采用LSAB法对vimentin、CK、actin(HHF35)、desmin、myoglobin、S-100、CD34、α1-AT、α1-ACT、lysozyme、PSA和PAP等12种抗体进行标记观察,12种抗体和LSAB试剂盒均为Dako公司产品,用明确诊断的软组织肉瘤和前列腺癌阳性标记作对照,用TBS缓冲液替代第一抗体作阴性对照。
2 结果
2.1 4例前列腺肉瘤的临床和病理资料 见表1。
表1 4例前列腺肉瘤的临床和病理资料 序号
年龄
(岁)
临床资料
, http://www.100md.com
病理资料
病理诊断、治疗和随访
例1
30
进行性排尿困难3个月,肉眼血尿一周多入院。前列腺高度肿胀,4横指,质韧、固定,表面光滑,无结节,行膀胱前列腺切除和乙状结肠代膀胱术。
膀胱11 cm×8 cm×3 cm。前列腺肿大7.5 cm×5.5 cm×5 cm,质嫩呈鱼肉状,散在点状出血和坏死。瘤细胞主要由梭形细胞构成,呈束状和编织状排列,细胞周界清,胞浆丰富,红染,核呈棒状,深染,核分裂象多见,病变局限于前列腺内,未侵及周围组织,未侵及膀胱壁。
平滑肌肉瘤,经放疗和化疗,随访7年,至今健在。
例2
, http://www.100md.com
71
进行性排尿困难2年,SPC术后20余天。前列腺3横指,质韧,表面光滑,无结节。经膀胱前列腺摘除术。
前列腺6.5 cm×5 cm×2 cm,表面灰红色,光滑,切面红褐色,质嫩。梭形瘤细胞排列呈车辐状,散见单核、双核和多核瘤巨细胞,其核形状不规则,深染核分裂象多见,炎细胞和瘤细胞混杂。
恶性纤维组织细胞瘤,未再行根治性手术,未及实施放疗和化疗,患者并发呼吸系感染而不治。
例3
20
原因不明血尿和前列腺肿大2周入院。B超:前列腺大小5 cm×6.2 cm,光点不均匀,呈结节状。行耻骨上前列腺切除术。
, http://www.100md.com 前列腺表面结节状,质较软,切面灰红~红褐色,部分区呈胶冻状。瘤细胞密集区和瘤细胞稀少的幼稚粘液样区交织,瘤细胞多形性明显,呈梭形、圆形、带状、蝌蚪状等,排列呈腺泡状结构。
腺泡状横纹肌肉瘤,未再作根治性手术,经放疗和化疗,随访生存不到2年。
例4
34
进行性排尿困难,大便困难和腹胀10余天入院。B超:前列腺大小7.5 cm×5.5 cm,密度不均匀。行经直肠前列腺穿刺活检。
米粒大、质软、灰红色组织2块。瘤细胞多形性明显,主要为大梭形细胞及带状细胞,也可见奇异的瘤巨细胞,胞浆丰富,呈深伊红着色,并有横纹。
多形性横纹肌肉瘤经根治性膀胱前列腺切除术,术后联合用放疗和化疗,术后随访生存2年5个月。
, 百拇医药
2.2 4例前列腺肉瘤的免疫组织化学染色结果 见表2。表2 4例前列腺肉瘤免疫组织化学染色结果 序号
vimentin
CK
actin(HHF35)
desmin
myoglobin
S-100
CD34
α1-AT
α1-ACT
, 百拇医药 lysozyme
PSA
PAP
1
-

-
-
-
-
-
, 百拇医药
-
-
-
2
+
-
+
-
-
-


, 百拇医药
-
-
3
-


-
-
-
-
-
, 百拇医药
-
-
4
-


-
-
-
-
-
, 百拇医药
-
-
3 讨论
3.1 诊断和鉴别诊断 前列腺肉瘤早期常无症状,多数病例出现症状时已属晚期,且本病恶性程度高,进展迅速,易发生转移,故早期确诊极为重要。前列腺肉瘤可发生于任何年龄。尤其对青少年应及早重视肿块对尿道和直肠的压迫症状。根据我们的病例,进行性排尿困难为第一症状,其时如能及时肛门指检和进行前列腺穿刺活检病理检查,一般均可确诊。HE染色光镜下前列腺肉瘤的基本特征是肿瘤实质和间质混淆,难以区分,与前列腺癌的实质和间质泾渭分明的组织结构特征是截然不同的。在初步划清癌与肉瘤界限的基础上,再寻找起源组织的蛛丝马迹。肉瘤组织的形态大致与其起源组织相似,当其分化较好时,常能在肿瘤内找到较明确的相应起源组织的形态学特征。其分化愈低,则愈富于细胞,细胞和组织结构的异型性愈大,核分裂象愈多,出现病理性核分裂,继发出血、坏死、浸润和转移等愈剧。其时在光镜下,也愈难以确定肉瘤的组织起源,必须借助组织化学、免疫组织化学、电镜及其它分子生物学技术作出诊断。
, http://www.100md.com
在前列腺肉瘤的诊断中,对平滑肌肉瘤的诊断难度最大。与其它部位和脏器遇到的难题一样,对平滑肌源性肿瘤的良恶性鉴别应十分慎重。形态上完全良性的平滑肌瘤可发生转移(转移性平滑肌瘤)。长期以来,虽国内外许多学者对机体不同部位,不同脏器(如皮肤、子宫、胃肠道、软组织等)的平滑肌肿瘤,一致认为区分其良恶性的主要依据是肿瘤直径从>2 cm至>5 cm,甚至>10 cm,核分裂象从>1个/10HPF至>5个/10HPF,甚至>10个/10HPF,方能定为肉瘤。事实上也有肿瘤直径<2 cm的肉瘤和>10 cm的平滑肌瘤。故实际工作中,恶性肿瘤的一般形态学特征,如细胞和组织的异型性,及肿瘤的继发性改变,如粘液变性和坏死等也都是必须考虑的〔2〕。在前列腺平滑肌肉瘤的诊断中,首先要排除前列腺结节性增生中,以平滑肌增生为主的平滑肌性结节。其次方是诊断平滑肌肉瘤的标准,我们认为如肿瘤直径>2.5 cm,核分裂象>1个/10HPF,特别是出现病理性核分裂象,出现粘液变性或坏死时,平滑肌肉瘤的诊断即可成立。如系前列腺穿刺标本病理检查,则依据肿瘤细胞和组织的异型性,和出现核分裂象,特别是出现病理性核分裂象,及粘液变性与坏死进行诊断。如找不到核分裂象,则诊断标准要紧,不要轻易诊断为平滑肌肉瘤。
, http://www.100md.com
对前列腺恶性纤维组织细胞瘤、腺泡状横纹肌肉瘤和多形性横纹肌肉瘤的诊断标准,则与其他脏器和部位的诊断标准一致。
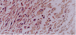
在鉴别诊断上,组织化学和免疫组织化学染色值得提倡。本组4例前列腺肉瘤CK、PSA和PAP均为阴性,这是不同于前列腺癌的显著特征。在判定肉瘤的组织起源上,由表2也充分显示了其价值。平滑肌肉瘤vimentin、actin和desmin均为阳性(图1,2),恶性纤维组织细胞瘤vimentin、CK、desmin、α1-AT、α1-ACT和lysozyme均为阳性(图3)。腺泡状横纹肌肉瘤和多形性横纹肌肉瘤vimentin、actin、desmin和myoglobin均为阳性(图4,5)。
图1 瘤细胞呈梭形,细胞边界清,胞浆丰富,核呈杆状,深染,见核分裂象,actin(HHF35)bjnt.LSAB×200
, http://www.100md.com
图2 与图1为同一病例,desmin 阳性.LSAB×200
图3 瘤细胞主要呈梭形,排列呈车辐状,散见单核、双核和多核瘤巨细胞,核形不规则,深染,核分裂象多见,lysozyme 阳性。LSAB×200
图4 在幼稚粘液样背景上,散布的瘤细胞多形性明显,呈圆形、梭形和带状等,排列呈腺泡状结构,myoglobin 阳性。LSAB×200
图5 瘤细胞多形性明显,典型的带状细胞和奇异的瘤巨细胞混杂,myoglobin 阳性。LSAB×200
, 百拇医药
3.2 治疗 本组例1和例4均行根治性膀胱前列腺切除术,术后辅以放疗和化疗,生存时间均较长,例1随访7年,至今健在,例4生存2年5个月。这种治疗方法已被普遍接受,可延长生存时间〔3〕。许多学者认为目前最好的治疗方案是术前化疗,外科手术切除,术后放疗(有肿瘤残存时)及周期性预防性化疗,这方案尤其适用于青少年患者,能显著延长其生存时间〔4,5〕,而成人则另有方案:术前选用阿霉素化疗(静脉给药或局部动脉灌注),再作前列腺和盆腔放疗,后作根治性膀胱前列腺切除术和盆腔淋巴结清除术,术后再选用阿霉素和甲氮咪胺作周期性化疗〔1,4〕。
3.3 预后 前列腺肉瘤的预后远比前列腺癌差,一般病程进展均很快,预后差。但决定预后的因素是多方面的,如能早期发现,当病变尚局限于前列腺被膜内即能确诊,及早行根治性膀胱前列腺切除术,再配以放疗和化疗,能极大提高其生存率,本组例1即是很好的例证。其次决定于治疗手段的选择,单纯的放疗、化疗或手术切除效果均差,极少生存满1年者〔1,5〕。再次,年龄因素也十分关键,青少年患者的预后远比成年人差,其病程进展极快,一旦确诊已近晚期,很少有生存期超过1年者。
, 百拇医药
作者简介:黄志勇,男,63岁,教授,中华医学会病理学会常委,江苏省病理学会主任委员。研究方向:性激素相关肿瘤
参考文献
1,张德元,李震东,夏同礼等. 前列腺肉瘤(10例报告). 中华泌尿外科杂志,1995;16(5):292
2,刘复生,刘彤华主编. 肿瘤病理学. 北京:北京医科大学、中国协和医科大学联合出版社, 1997:1061~1063
3,施锡恩,吴阶平主编. 泌尿外科学. 第2版,北京:人民卫生出版社,1978:312
4,Skinner DG. Sarcomas of the prostate. In: Kaufman JJ ed. Current urologic therapy. 2nd ed, Philadelphia: WB Saunders Co, 1986:353~352
5,吴阶平. 泌尿外科学. 济南:山东科技出版社,1993:761
(图片见插页第61页)
收稿日期:1999-03-01
修回日期:1999-08-18, 百拇医药
单位:黄志勇 章宜芬 杨湛 聂进军 周祀侨(南京大学医学院附属鼓楼医院病理科,南京 210008)
关键词:前列腺肿瘤;肉瘤;诊断;鉴别;预后
临床与实验病理学杂志990510摘要 目的:探讨前列腺肉瘤诊断、治疗及预后诸因素。方法:对4例前列腺肉瘤进行随访,并再次进行常规切片HE染色和采用LSAB法对vimentin、CK、actin(HHF35)、desmin、myoglobin、S-100、CD34、α1-AT、α1-ACT、lysozyme、PSA和PAP等12种抗体进行标记观察。结果:平滑肌肉瘤1例,随访7年至今健在;MFH 1例,死于并发呼吸系感染;腺泡状横纹肌肉瘤1例,生存不到2年;多形性横纹肌肉瘤1例,生存2年5个月。免疫组化在诊断和鉴别诊断上有重大意义。结论:HE染色结合免疫组化染色可确诊该瘤。其预后与多种因素有关,中老年人的预后相对较好。联合根治性手术、放疗和化疗效果较好。
, 百拇医药
分类号 R737.25 文献标识码 A
文章编号 1001-7399(1999)05-0405-03
Pathological diagnosis, therapy and prognosis of prostatic sarcoma
Huang Zhiyong, Zhang Yifen, Yang Zhan et al
(Dept of Pathol, Nanjing Guluo Hospital Nanjing University Medical College, 210008)
ABSTRACT Purpose To inquire into the diagnosis, therapy and prognosis of prostatic sarcoma. Methods Four cases of prostatic sarcoma were followed-up. The sections were stained with hematoxylin and eosin again and with 12 kinds of antibodies such as vimentin, CK, actin(HHF35), desmin, myoglobin, S-100, CD34, α1-AT, α1-ACT, lysozyme, PSA and PAP using LSAB method. Results One case of leiomyosarcoma was alive after followed-up 7 years; one case of malignant fibrous histocytoma died of infection of respiratory system; one case of alveolar rabdomyosarcoma died less than 2 years after operation; one case of pleomorphous rabdomyosarcoma survived 2 years and 5 months. Immunohistochemistry had great value on the diagnosis and differential diagnosis. Conclusion Definite diagnosis could be made with hematoxylin and eosin stain combining to immunohistochemical stain. Prognosis is related to various factors. Prognosis is relatively good when radical operation, radiative therapy and chemical therapy were taken and when the patient was middle or old age.
, http://www.100md.com
KEY WORDS prostatic neoplasms; sarcoma; diagnosis,differential prognosis
前列腺肉瘤少见,由Stafford(1829年)首先报道,国内曹晨(1930)报道第1例。复习国内文献,累计报道近百例。其发病率报道不一,约占前列腺恶性肿瘤的0.1%~5.6%〔1〕。现将我们遇到的4例报道如下。
1 材料和方法
1.1 标本来源 在对南京市鼓楼医院病理科1977~1997年间621例前列腺活检和切除标本的回顾性复习中,发现临床和病理资料完整的前列腺肉瘤4例,并进行随访。
1.2 方法
1.2.1 光镜标本 将每例蜡块常规制片和HE染色。
, http://www.100md.com
1.2.2 免疫组化染色 采用LSAB法对vimentin、CK、actin(HHF35)、desmin、myoglobin、S-100、CD34、α1-AT、α1-ACT、lysozyme、PSA和PAP等12种抗体进行标记观察,12种抗体和LSAB试剂盒均为Dako公司产品,用明确诊断的软组织肉瘤和前列腺癌阳性标记作对照,用TBS缓冲液替代第一抗体作阴性对照。
2 结果
2.1 4例前列腺肉瘤的临床和病理资料 见表1。
表1 4例前列腺肉瘤的临床和病理资料 序号
年龄
(岁)
临床资料
, http://www.100md.com
病理资料
病理诊断、治疗和随访
例1
30
进行性排尿困难3个月,肉眼血尿一周多入院。前列腺高度肿胀,4横指,质韧、固定,表面光滑,无结节,行膀胱前列腺切除和乙状结肠代膀胱术。
膀胱11 cm×8 cm×3 cm。前列腺肿大7.5 cm×5.5 cm×5 cm,质嫩呈鱼肉状,散在点状出血和坏死。瘤细胞主要由梭形细胞构成,呈束状和编织状排列,细胞周界清,胞浆丰富,红染,核呈棒状,深染,核分裂象多见,病变局限于前列腺内,未侵及周围组织,未侵及膀胱壁。
平滑肌肉瘤,经放疗和化疗,随访7年,至今健在。
例2
, http://www.100md.com
71
进行性排尿困难2年,SPC术后20余天。前列腺3横指,质韧,表面光滑,无结节。经膀胱前列腺摘除术。
前列腺6.5 cm×5 cm×2 cm,表面灰红色,光滑,切面红褐色,质嫩。梭形瘤细胞排列呈车辐状,散见单核、双核和多核瘤巨细胞,其核形状不规则,深染核分裂象多见,炎细胞和瘤细胞混杂。
恶性纤维组织细胞瘤,未再行根治性手术,未及实施放疗和化疗,患者并发呼吸系感染而不治。
例3
20
原因不明血尿和前列腺肿大2周入院。B超:前列腺大小5 cm×6.2 cm,光点不均匀,呈结节状。行耻骨上前列腺切除术。
, http://www.100md.com 前列腺表面结节状,质较软,切面灰红~红褐色,部分区呈胶冻状。瘤细胞密集区和瘤细胞稀少的幼稚粘液样区交织,瘤细胞多形性明显,呈梭形、圆形、带状、蝌蚪状等,排列呈腺泡状结构。
腺泡状横纹肌肉瘤,未再作根治性手术,经放疗和化疗,随访生存不到2年。
例4
34
进行性排尿困难,大便困难和腹胀10余天入院。B超:前列腺大小7.5 cm×5.5 cm,密度不均匀。行经直肠前列腺穿刺活检。
米粒大、质软、灰红色组织2块。瘤细胞多形性明显,主要为大梭形细胞及带状细胞,也可见奇异的瘤巨细胞,胞浆丰富,呈深伊红着色,并有横纹。
多形性横纹肌肉瘤经根治性膀胱前列腺切除术,术后联合用放疗和化疗,术后随访生存2年5个月。
, 百拇医药
2.2 4例前列腺肉瘤的免疫组织化学染色结果 见表2。表2 4例前列腺肉瘤免疫组织化学染色结果 序号
vimentin
CK
actin(HHF35)
desmin
myoglobin
S-100
CD34
α1-AT
α1-ACT
, 百拇医药 lysozyme
PSA
PAP
1
-
-
-
-
-
-
, 百拇医药
-
-
-
2
+
-
+
-
-
-
, 百拇医药
-
-
3
-
-
-
-
-
-
, 百拇医药
-
-
4
-
-
-
-
-
-
, 百拇医药
-
-
3 讨论
3.1 诊断和鉴别诊断 前列腺肉瘤早期常无症状,多数病例出现症状时已属晚期,且本病恶性程度高,进展迅速,易发生转移,故早期确诊极为重要。前列腺肉瘤可发生于任何年龄。尤其对青少年应及早重视肿块对尿道和直肠的压迫症状。根据我们的病例,进行性排尿困难为第一症状,其时如能及时肛门指检和进行前列腺穿刺活检病理检查,一般均可确诊。HE染色光镜下前列腺肉瘤的基本特征是肿瘤实质和间质混淆,难以区分,与前列腺癌的实质和间质泾渭分明的组织结构特征是截然不同的。在初步划清癌与肉瘤界限的基础上,再寻找起源组织的蛛丝马迹。肉瘤组织的形态大致与其起源组织相似,当其分化较好时,常能在肿瘤内找到较明确的相应起源组织的形态学特征。其分化愈低,则愈富于细胞,细胞和组织结构的异型性愈大,核分裂象愈多,出现病理性核分裂,继发出血、坏死、浸润和转移等愈剧。其时在光镜下,也愈难以确定肉瘤的组织起源,必须借助组织化学、免疫组织化学、电镜及其它分子生物学技术作出诊断。
, http://www.100md.com
在前列腺肉瘤的诊断中,对平滑肌肉瘤的诊断难度最大。与其它部位和脏器遇到的难题一样,对平滑肌源性肿瘤的良恶性鉴别应十分慎重。形态上完全良性的平滑肌瘤可发生转移(转移性平滑肌瘤)。长期以来,虽国内外许多学者对机体不同部位,不同脏器(如皮肤、子宫、胃肠道、软组织等)的平滑肌肿瘤,一致认为区分其良恶性的主要依据是肿瘤直径从>2 cm至>5 cm,甚至>10 cm,核分裂象从>1个/10HPF至>5个/10HPF,甚至>10个/10HPF,方能定为肉瘤。事实上也有肿瘤直径<2 cm的肉瘤和>10 cm的平滑肌瘤。故实际工作中,恶性肿瘤的一般形态学特征,如细胞和组织的异型性,及肿瘤的继发性改变,如粘液变性和坏死等也都是必须考虑的〔2〕。在前列腺平滑肌肉瘤的诊断中,首先要排除前列腺结节性增生中,以平滑肌增生为主的平滑肌性结节。其次方是诊断平滑肌肉瘤的标准,我们认为如肿瘤直径>2.5 cm,核分裂象>1个/10HPF,特别是出现病理性核分裂象,出现粘液变性或坏死时,平滑肌肉瘤的诊断即可成立。如系前列腺穿刺标本病理检查,则依据肿瘤细胞和组织的异型性,和出现核分裂象,特别是出现病理性核分裂象,及粘液变性与坏死进行诊断。如找不到核分裂象,则诊断标准要紧,不要轻易诊断为平滑肌肉瘤。
, http://www.100md.com
对前列腺恶性纤维组织细胞瘤、腺泡状横纹肌肉瘤和多形性横纹肌肉瘤的诊断标准,则与其他脏器和部位的诊断标准一致。
在鉴别诊断上,组织化学和免疫组织化学染色值得提倡。本组4例前列腺肉瘤CK、PSA和PAP均为阴性,这是不同于前列腺癌的显著特征。在判定肉瘤的组织起源上,由表2也充分显示了其价值。平滑肌肉瘤vimentin、actin和desmin均为阳性(图1,2),恶性纤维组织细胞瘤vimentin、CK、desmin、α1-AT、α1-ACT和lysozyme均为阳性(图3)。腺泡状横纹肌肉瘤和多形性横纹肌肉瘤vimentin、actin、desmin和myoglobin均为阳性(图4,5)。
图1 瘤细胞呈梭形,细胞边界清,胞浆丰富,核呈杆状,深染,见核分裂象,actin(HHF35)bjnt.LSAB×200
, http://www.100md.com
图2 与图1为同一病例,desmin 阳性.LSAB×200
图3 瘤细胞主要呈梭形,排列呈车辐状,散见单核、双核和多核瘤巨细胞,核形不规则,深染,核分裂象多见,lysozyme 阳性。LSAB×200
图4 在幼稚粘液样背景上,散布的瘤细胞多形性明显,呈圆形、梭形和带状等,排列呈腺泡状结构,myoglobin 阳性。LSAB×200
图5 瘤细胞多形性明显,典型的带状细胞和奇异的瘤巨细胞混杂,myoglobin 阳性。LSAB×200
, 百拇医药
3.2 治疗 本组例1和例4均行根治性膀胱前列腺切除术,术后辅以放疗和化疗,生存时间均较长,例1随访7年,至今健在,例4生存2年5个月。这种治疗方法已被普遍接受,可延长生存时间〔3〕。许多学者认为目前最好的治疗方案是术前化疗,外科手术切除,术后放疗(有肿瘤残存时)及周期性预防性化疗,这方案尤其适用于青少年患者,能显著延长其生存时间〔4,5〕,而成人则另有方案:术前选用阿霉素化疗(静脉给药或局部动脉灌注),再作前列腺和盆腔放疗,后作根治性膀胱前列腺切除术和盆腔淋巴结清除术,术后再选用阿霉素和甲氮咪胺作周期性化疗〔1,4〕。
3.3 预后 前列腺肉瘤的预后远比前列腺癌差,一般病程进展均很快,预后差。但决定预后的因素是多方面的,如能早期发现,当病变尚局限于前列腺被膜内即能确诊,及早行根治性膀胱前列腺切除术,再配以放疗和化疗,能极大提高其生存率,本组例1即是很好的例证。其次决定于治疗手段的选择,单纯的放疗、化疗或手术切除效果均差,极少生存满1年者〔1,5〕。再次,年龄因素也十分关键,青少年患者的预后远比成年人差,其病程进展极快,一旦确诊已近晚期,很少有生存期超过1年者。
, 百拇医药
作者简介:黄志勇,男,63岁,教授,中华医学会病理学会常委,江苏省病理学会主任委员。研究方向:性激素相关肿瘤
参考文献
1,张德元,李震东,夏同礼等. 前列腺肉瘤(10例报告). 中华泌尿外科杂志,1995;16(5):292
2,刘复生,刘彤华主编. 肿瘤病理学. 北京:北京医科大学、中国协和医科大学联合出版社, 1997:1061~1063
3,施锡恩,吴阶平主编. 泌尿外科学. 第2版,北京:人民卫生出版社,1978:312
4,Skinner DG. Sarcomas of the prostate. In: Kaufman JJ ed. Current urologic therapy. 2nd ed, Philadelphia: WB Saunders Co, 1986:353~352
5,吴阶平. 泌尿外科学. 济南:山东科技出版社,1993:761
(图片见插页第61页)
收稿日期:1999-03-01
修回日期:1999-08-18, 百拇医药