食管癌与单纯性疱疹病毒的关系
作者:吴名耀 吴贤英 李乔山
单位:吴名耀 吴贤英 李乔山(汕头大学医学院病理学教研室,汕头 515031)
关键词:食管肿瘤;单纯性疱疹病毒;免疫组织化学;原位杂交
临床与实验病理学杂志990508摘要 目的:观察单纯性疱疹病毒(HSV)在食管癌组织中的分布并探讨其与食管癌的关系。方法:对52例食管癌石蜡包埋组织用免疫组化和原位杂交技术进行定位观察。结果:癌组织HSV免疫组化阳性率HSV-1为53.8%,HSV-2为57.7%;癌旁食管粘膜HSV为65.5%,其中HSV-1(12/29)41%,HSV-2(16/29)55.2%。原位杂交癌阳性率为53.8%,癌旁粘膜为58.6%。HSV阳性率与癌组织的分化程度和淋巴结转移相关(P<0.05),但与癌组织间质淋巴细胞浸润的强度无关(P>0.05)。结论:HSV感染可能影响食管癌的分化和癌细胞的生物学特性。
, 百拇医药
分类号 R735.1 文献标识码 A
文章编号 1001-7399(1999)05-0399-03
A study of the association between HSV and esophageal carcinoma
Wu Mingyao, Wu Xianying, Li Qiaoshan
(Dept of Pathology, Shantou University, Medical College, Shantou,515031)
ABSTRACT Purpose,To explore the distribution of herpes simplex virus(HSV) in esophageal carcinoma (EC) and its relationship with the tumor. Methods,Fifty-two cases of EC were detected by immunohistochemistry and in situ hybridization for HSV infection. Results,The positivity rates of HSV-1 and HSV-2 in carcinoma tissue were 53.8% and 57.7% respectively. Positivity rate of HSV infection were related to both the degree of carcinoma differentiation and lymph node matastasis(P<0.05), and which was not related to the degree of lymphocyte infiltration (P>0.05). Conclusion,HSV infection may affect the differentiation and the biological features of esophageal cancer.
, 百拇医药
KEY WORDS esophageal neoplasms; herpes simplex virus; immunohistochemistry; in situ hybridization
单纯性疱疹病毒(HSV)是一种有包膜的DNA病毒,在人群中感染非常普遍。以往的研究证明:HSV在组织培养中能转化细胞,有潜在的致癌危险,与子宫颈癌的发病关系密切。食管肿瘤与子宫颈肿瘤一样,均以鳞状细胞癌为主,食管癌与HSV的关系至今国内外未见报道。我们应用免疫组织化学和原位杂交方法,对一组食管癌组织切片进行检测,以了解HSV在食管癌中的分布情况,并探讨其与癌发生的关系。
1 材料和方法
1.1 材料,采用1992~1994年我院病理室收检的食管癌手术标本52例,用10%福尔马林液固定;沿食管纵轴横跨癌灶切取带有癌及癌旁粘膜的组织块,石蜡包埋,5 μm厚连续切片,将切片贴附于经APES处理过的载玻片上,HE染色。
, 百拇医药
1.2 方法
1.2.1,免疫组化,应用免疫组化ABC法进行染色,第一抗体兔抗单纯疱疹病毒Ⅰ、Ⅱ型来自Dako公司,ABC Kit(Rabbit)为Vector公司产品,用正常兔血清及PBS作阴性对照。DAB显色,苏木精复染,光镜观察。
1.2.2,HSV DNA原位杂交,HSV原位杂交检测试剂盒购于武汉博士德生物工程有限公司。(1)探针:探针系质粒扩增之HSV的DNA序列(Ⅰ+Ⅱ型),经酶切后纯化,并经地高辛随机引物标记。(2)方法:切片经常规脱蜡至水,3%过氧化氢10 min灭活内源性过氧化物酶;标本置于2×SSC中,微波炉加热95℃~100℃ 10 min,迅速插入冰水持续2 min,蛋白酶K(10 μg/ml)室温消化10 min,蒸馏水洗涤;HSV探针于90℃水中10 min后迅速插入碎冰3 min;切片经空气干燥后加入杂交液20 μl置湿盒中37℃杂交20 h;揭去盖玻片,2×SSC洗涤5 min×2次,37℃的0.1×SSC洗涤10 min;依次滴加小鼠抗地高辛、生物素化羊抗小鼠IgG及SABC;DAB显色,苏木精复染,乙醇脱水,二甲苯透明,封片。(3)对照:已知HSV阳性的宫颈癌标本作阳性对照,SSC代替探针作阴性对照;对第一次检测阳性的切片全部作重复实验。
, 百拇医药
1.3 结果判断,以细胞核和细胞浆出现棕褐色颗粒作为阳性计,统计学处理采用四格表χ2检验。
2 结果
2.1 组织病理学观察,按WHO肿瘤组织学分型法将52例食管癌分为:鳞状细胞癌Ⅰ级13例,鳞状细胞癌Ⅱ级19例,鳞状细胞癌Ⅲ级16例,未分化癌4例。其中29例带有癌旁粘膜。间质中轻度淋巴细胞浸润(≤25%)者28例,中度(25%~50%)18例,重度(≥50%)6例。癌组织除19例浸润至肌层外,余均浸润至外膜层。其中26例伴有区域淋巴结转移。
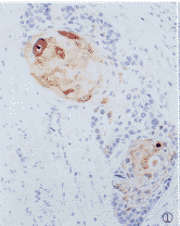
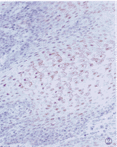
2.2 HSV免疫组化染色,52例食管癌组织切片经HSV免疫ABC法染色后,阳性信号呈棕褐色,小颗粒状,分布于细胞核和细胞浆。癌细胞HSV Ⅰ型阳性28例,占53.8%,Ⅱ型阳性30例,占57.7%。阳性癌细胞多数呈分散小灶性,以不全角化的癌细胞阳性最强(图1);仅少数呈弥漫性分布。癌组织间质细胞、胶原纤维及淋巴细胞均阴性,癌组织HSV阳性病例多数在癌旁粘膜上皮细胞也见阳性信号(19/29,65.5%),阳性着染位于增生棘细胞核、胞浆一侧或细胞膜,呈深染,无一定极向(图2)。阴性对照全部阴性。
, 百拇医药
图1 食管高分化鳞癌,癌巢中不全角化癌细胞核浆HSV-2强阳性。ABC法,苏木精复染×200
图2 癌旁增生食管粘膜,棘细胞核及细胞膜HSV-1阳性.ABC法.苏木精复染×200
2.3 HSV DNA原位杂交 28例(53.8%)癌组织和癌旁粘膜(17/29,58.6%),显示HSV原位杂交阳性,核酸杂交阳性信号呈棕黄色位于细胞核内,弥漫性分布(图3);胞浆和胞膜为阴性。癌组织间质及阴性对照(未加探针)呈阴性,HSV阳性病例对照呈阳性。
图3 食管高分化鳞癌,癌细胞核HSV(Ⅰ+Ⅱ)弥漫阳性.原位杂交×400
2.4 食管癌HSV阳性病例的形态学改变 本组癌HSV阳性病例,其中单纯HSV-1型阳性有3例、HSV-2型阳性有5例,两型均阳性有25例。镜下观察强阳性病例均为分化较好的鳞癌,大部分病例在常规HE切片上未见特殊的形态改变;仅部分切片见阳性细胞胞浆疏松化至空泡变性,少数细胞内可见粘液样空泡;癌组织间质有时可见粘液样变性,但未见明显的间质淋巴细胞浸润增多的现象。HSV感染与食管癌分化、间质淋巴细胞浸润及癌区域淋巴结转移的关系详见表1,2。癌旁粘膜棘层上皮细胞层次增多致棘层肥厚,细胞体积增大,胞核稍大,无间变,胞浆空亮似挖空细胞。
, 百拇医药
表1 HSV感染与食管癌组织分化的关系 类 型
n
HSV
阳性例数
%
鳞癌Ⅰ级
13
11
84.6
鳞癌Ⅱ级
19
11
57.9
, 百拇医药
鳞癌Ⅲ级
16
5
31.3*
未分化癌
4
1
25.0
与鳞癌Ⅰ、Ⅱ级联合比,*P<0.05表2 HSV感染与癌间质淋巴反应及淋巴结转移的关系 组 别
n
淋巴细胞浸润
淋巴结转移
, 百拇医药
(%)
+

HSV(+)
28
14
10
4
35.7
HSV(-)
24
13
, 百拇医药
8
3△
66.7*
与HSV(+)组比:△P>0.05,*P<0.053 讨论
HSV与癌的关系,文献上已有一些报道,主要集中在宫颈癌上〔1,2〕。近几年始有少数HSV与口腔鳞癌及食管炎关系的报道〔3,4〕,至于HSV与食管癌的关系尚未见文献报道。我们应用免疫组化和原位杂交方法,发现食管癌的HSV感染高达53.8%~57.7%,说明约半数左右的食管癌病例细胞内存在着HSV DNA片段或HSV特异抗原。
HSV感染一般认为有其特定的部位,其中HSV-1感染常发生在齿龈、咽颊部,而HSV-2则主要引起生殖器感染;本研究结果显示,食管癌细胞可发生HSV-1和HSV-2两型病毒单独或混合感染。用免疫组织化学、原位杂交方法检测具有可定位性且检测结果相仿,所以,我们认为免疫组化适合于HSV感染的常规病理诊断〔5〕。
, http://www.100md.com
近年有关食管癌病毒病因研究较多的是人乳头状瘤病毒,已有文献研究表明:完整的病毒只存在于不全角化的上皮细胞中,因此,高分化鳞癌细胞检测阳性率高〔6〕;本组研究结果与之相同。这可能是由于病毒的成熟与食管上皮细胞的角化有关;癌细胞分化差,不利于病毒DNA的复制〔7〕,癌组织易发生区域淋巴结转移。但大部分感染HSV的癌组织在普通HE切片上并未见特殊的形态学改变,也未引起间质大量淋巴细胞浸润。
虽然癌旁粘膜上皮与癌组织的HSV检测均有较高的阳性率,但关于HSV阳性食管癌与HSV的病原性联系仍不得而知。肿瘤的发生是多因素、多阶段的,由于单一或多种病毒的混合感染,加上多种致癌因素的共同作用,使食管上皮反复增生、间变,以至癌变〔6〕。至于HSV与人食管癌的真正联系,有待进一步研究。
作者简介:吴名耀,男,50岁,副教授。研究方向:食管癌的基础理论
, 百拇医药
参考文献
1,Gassai E. HSV and human cancer I: Relationship between human genital tumor and HSV-2. Eur J Cancer, 1981;17:685
2,Adams RL, Springall DR, Levene MM et al. The immunohistochemical detection of herpes simplex virus in cervical smears A valuable technique for routine use. J Pathol, 1984;143:241
3,Vasudevan DM, Raghunath PN, Shanavas KR et al. Detection of HSV-1 DNA segments in human oral cancer biopsies by dot-blot and in situ DNA hybridisation techniques. J Exp Clin Cancer Res, 1991;10:291
, 百拇医药
4,Smith PD, Eisner MS, Manischewitz JF et al. Esophageal disease in ADIS is associated with pathologic processes rather an mucosal human immunodeficiency virus type 1. J Infect Dis, 1993;167:547
5,John G, Strickler J, Carlos M et al. Comparison of in situ hybridization and immunohistochemistry for detection of cytomegalovirus and herpes simplex virus. Human Pathology, 1990;21:443
6,孟祥金,孙 瑜,李 昆等. 宫颈癌病毒病因中乳头瘤病毒和疱疹病毒Ⅱ型相关性的研究. 中华肿瘤杂志, 1989;11:108
, 百拇医药
7,Chang F, Syrjanen S, SHen Q et al. Human papilomavirus involvement in esophageal precancerous lesions and squamous cell carcinomas as evidenced by microscopy and differnet DNA techniques. Scand J Gastroenterol, 1992;27:553
(图片见插页第60页)
收稿日期:1999-01-22
修回日期:1999-05-07, http://www.100md.com
单位:吴名耀 吴贤英 李乔山(汕头大学医学院病理学教研室,汕头 515031)
关键词:食管肿瘤;单纯性疱疹病毒;免疫组织化学;原位杂交
临床与实验病理学杂志990508摘要 目的:观察单纯性疱疹病毒(HSV)在食管癌组织中的分布并探讨其与食管癌的关系。方法:对52例食管癌石蜡包埋组织用免疫组化和原位杂交技术进行定位观察。结果:癌组织HSV免疫组化阳性率HSV-1为53.8%,HSV-2为57.7%;癌旁食管粘膜HSV为65.5%,其中HSV-1(12/29)41%,HSV-2(16/29)55.2%。原位杂交癌阳性率为53.8%,癌旁粘膜为58.6%。HSV阳性率与癌组织的分化程度和淋巴结转移相关(P<0.05),但与癌组织间质淋巴细胞浸润的强度无关(P>0.05)。结论:HSV感染可能影响食管癌的分化和癌细胞的生物学特性。
, 百拇医药
分类号 R735.1 文献标识码 A
文章编号 1001-7399(1999)05-0399-03
A study of the association between HSV and esophageal carcinoma
Wu Mingyao, Wu Xianying, Li Qiaoshan
(Dept of Pathology, Shantou University, Medical College, Shantou,515031)
ABSTRACT Purpose,To explore the distribution of herpes simplex virus(HSV) in esophageal carcinoma (EC) and its relationship with the tumor. Methods,Fifty-two cases of EC were detected by immunohistochemistry and in situ hybridization for HSV infection. Results,The positivity rates of HSV-1 and HSV-2 in carcinoma tissue were 53.8% and 57.7% respectively. Positivity rate of HSV infection were related to both the degree of carcinoma differentiation and lymph node matastasis(P<0.05), and which was not related to the degree of lymphocyte infiltration (P>0.05). Conclusion,HSV infection may affect the differentiation and the biological features of esophageal cancer.
, 百拇医药
KEY WORDS esophageal neoplasms; herpes simplex virus; immunohistochemistry; in situ hybridization
单纯性疱疹病毒(HSV)是一种有包膜的DNA病毒,在人群中感染非常普遍。以往的研究证明:HSV在组织培养中能转化细胞,有潜在的致癌危险,与子宫颈癌的发病关系密切。食管肿瘤与子宫颈肿瘤一样,均以鳞状细胞癌为主,食管癌与HSV的关系至今国内外未见报道。我们应用免疫组织化学和原位杂交方法,对一组食管癌组织切片进行检测,以了解HSV在食管癌中的分布情况,并探讨其与癌发生的关系。
1 材料和方法
1.1 材料,采用1992~1994年我院病理室收检的食管癌手术标本52例,用10%福尔马林液固定;沿食管纵轴横跨癌灶切取带有癌及癌旁粘膜的组织块,石蜡包埋,5 μm厚连续切片,将切片贴附于经APES处理过的载玻片上,HE染色。
, 百拇医药
1.2 方法
1.2.1,免疫组化,应用免疫组化ABC法进行染色,第一抗体兔抗单纯疱疹病毒Ⅰ、Ⅱ型来自Dako公司,ABC Kit(Rabbit)为Vector公司产品,用正常兔血清及PBS作阴性对照。DAB显色,苏木精复染,光镜观察。
1.2.2,HSV DNA原位杂交,HSV原位杂交检测试剂盒购于武汉博士德生物工程有限公司。(1)探针:探针系质粒扩增之HSV的DNA序列(Ⅰ+Ⅱ型),经酶切后纯化,并经地高辛随机引物标记。(2)方法:切片经常规脱蜡至水,3%过氧化氢10 min灭活内源性过氧化物酶;标本置于2×SSC中,微波炉加热95℃~100℃ 10 min,迅速插入冰水持续2 min,蛋白酶K(10 μg/ml)室温消化10 min,蒸馏水洗涤;HSV探针于90℃水中10 min后迅速插入碎冰3 min;切片经空气干燥后加入杂交液20 μl置湿盒中37℃杂交20 h;揭去盖玻片,2×SSC洗涤5 min×2次,37℃的0.1×SSC洗涤10 min;依次滴加小鼠抗地高辛、生物素化羊抗小鼠IgG及SABC;DAB显色,苏木精复染,乙醇脱水,二甲苯透明,封片。(3)对照:已知HSV阳性的宫颈癌标本作阳性对照,SSC代替探针作阴性对照;对第一次检测阳性的切片全部作重复实验。
, 百拇医药
1.3 结果判断,以细胞核和细胞浆出现棕褐色颗粒作为阳性计,统计学处理采用四格表χ2检验。
2 结果
2.1 组织病理学观察,按WHO肿瘤组织学分型法将52例食管癌分为:鳞状细胞癌Ⅰ级13例,鳞状细胞癌Ⅱ级19例,鳞状细胞癌Ⅲ级16例,未分化癌4例。其中29例带有癌旁粘膜。间质中轻度淋巴细胞浸润(≤25%)者28例,中度(25%~50%)18例,重度(≥50%)6例。癌组织除19例浸润至肌层外,余均浸润至外膜层。其中26例伴有区域淋巴结转移。
2.2 HSV免疫组化染色,52例食管癌组织切片经HSV免疫ABC法染色后,阳性信号呈棕褐色,小颗粒状,分布于细胞核和细胞浆。癌细胞HSV Ⅰ型阳性28例,占53.8%,Ⅱ型阳性30例,占57.7%。阳性癌细胞多数呈分散小灶性,以不全角化的癌细胞阳性最强(图1);仅少数呈弥漫性分布。癌组织间质细胞、胶原纤维及淋巴细胞均阴性,癌组织HSV阳性病例多数在癌旁粘膜上皮细胞也见阳性信号(19/29,65.5%),阳性着染位于增生棘细胞核、胞浆一侧或细胞膜,呈深染,无一定极向(图2)。阴性对照全部阴性。
, 百拇医药
图1 食管高分化鳞癌,癌巢中不全角化癌细胞核浆HSV-2强阳性。ABC法,苏木精复染×200
图2 癌旁增生食管粘膜,棘细胞核及细胞膜HSV-1阳性.ABC法.苏木精复染×200
2.3 HSV DNA原位杂交 28例(53.8%)癌组织和癌旁粘膜(17/29,58.6%),显示HSV原位杂交阳性,核酸杂交阳性信号呈棕黄色位于细胞核内,弥漫性分布(图3);胞浆和胞膜为阴性。癌组织间质及阴性对照(未加探针)呈阴性,HSV阳性病例对照呈阳性。
图3 食管高分化鳞癌,癌细胞核HSV(Ⅰ+Ⅱ)弥漫阳性.原位杂交×400
2.4 食管癌HSV阳性病例的形态学改变 本组癌HSV阳性病例,其中单纯HSV-1型阳性有3例、HSV-2型阳性有5例,两型均阳性有25例。镜下观察强阳性病例均为分化较好的鳞癌,大部分病例在常规HE切片上未见特殊的形态改变;仅部分切片见阳性细胞胞浆疏松化至空泡变性,少数细胞内可见粘液样空泡;癌组织间质有时可见粘液样变性,但未见明显的间质淋巴细胞浸润增多的现象。HSV感染与食管癌分化、间质淋巴细胞浸润及癌区域淋巴结转移的关系详见表1,2。癌旁粘膜棘层上皮细胞层次增多致棘层肥厚,细胞体积增大,胞核稍大,无间变,胞浆空亮似挖空细胞。
, 百拇医药
表1 HSV感染与食管癌组织分化的关系 类 型
n
HSV
阳性例数
%
鳞癌Ⅰ级
13
11
84.6
鳞癌Ⅱ级
19
11
57.9
, 百拇医药
鳞癌Ⅲ级
16
5
31.3*
未分化癌
4
1
25.0
与鳞癌Ⅰ、Ⅱ级联合比,*P<0.05表2 HSV感染与癌间质淋巴反应及淋巴结转移的关系 组 别
n
淋巴细胞浸润
淋巴结转移
, 百拇医药
(%)
+
HSV(+)
28
14
10
4
35.7
HSV(-)
24
13
, 百拇医药
8
3△
66.7*
与HSV(+)组比:△P>0.05,*P<0.053 讨论
HSV与癌的关系,文献上已有一些报道,主要集中在宫颈癌上〔1,2〕。近几年始有少数HSV与口腔鳞癌及食管炎关系的报道〔3,4〕,至于HSV与食管癌的关系尚未见文献报道。我们应用免疫组化和原位杂交方法,发现食管癌的HSV感染高达53.8%~57.7%,说明约半数左右的食管癌病例细胞内存在着HSV DNA片段或HSV特异抗原。
HSV感染一般认为有其特定的部位,其中HSV-1感染常发生在齿龈、咽颊部,而HSV-2则主要引起生殖器感染;本研究结果显示,食管癌细胞可发生HSV-1和HSV-2两型病毒单独或混合感染。用免疫组织化学、原位杂交方法检测具有可定位性且检测结果相仿,所以,我们认为免疫组化适合于HSV感染的常规病理诊断〔5〕。
, http://www.100md.com
近年有关食管癌病毒病因研究较多的是人乳头状瘤病毒,已有文献研究表明:完整的病毒只存在于不全角化的上皮细胞中,因此,高分化鳞癌细胞检测阳性率高〔6〕;本组研究结果与之相同。这可能是由于病毒的成熟与食管上皮细胞的角化有关;癌细胞分化差,不利于病毒DNA的复制〔7〕,癌组织易发生区域淋巴结转移。但大部分感染HSV的癌组织在普通HE切片上并未见特殊的形态学改变,也未引起间质大量淋巴细胞浸润。
虽然癌旁粘膜上皮与癌组织的HSV检测均有较高的阳性率,但关于HSV阳性食管癌与HSV的病原性联系仍不得而知。肿瘤的发生是多因素、多阶段的,由于单一或多种病毒的混合感染,加上多种致癌因素的共同作用,使食管上皮反复增生、间变,以至癌变〔6〕。至于HSV与人食管癌的真正联系,有待进一步研究。
作者简介:吴名耀,男,50岁,副教授。研究方向:食管癌的基础理论
, 百拇医药
参考文献
1,Gassai E. HSV and human cancer I: Relationship between human genital tumor and HSV-2. Eur J Cancer, 1981;17:685
2,Adams RL, Springall DR, Levene MM et al. The immunohistochemical detection of herpes simplex virus in cervical smears A valuable technique for routine use. J Pathol, 1984;143:241
3,Vasudevan DM, Raghunath PN, Shanavas KR et al. Detection of HSV-1 DNA segments in human oral cancer biopsies by dot-blot and in situ DNA hybridisation techniques. J Exp Clin Cancer Res, 1991;10:291
, 百拇医药
4,Smith PD, Eisner MS, Manischewitz JF et al. Esophageal disease in ADIS is associated with pathologic processes rather an mucosal human immunodeficiency virus type 1. J Infect Dis, 1993;167:547
5,John G, Strickler J, Carlos M et al. Comparison of in situ hybridization and immunohistochemistry for detection of cytomegalovirus and herpes simplex virus. Human Pathology, 1990;21:443
6,孟祥金,孙 瑜,李 昆等. 宫颈癌病毒病因中乳头瘤病毒和疱疹病毒Ⅱ型相关性的研究. 中华肿瘤杂志, 1989;11:108
, 百拇医药
7,Chang F, Syrjanen S, SHen Q et al. Human papilomavirus involvement in esophageal precancerous lesions and squamous cell carcinomas as evidenced by microscopy and differnet DNA techniques. Scand J Gastroenterol, 1992;27:553
(图片见插页第60页)
收稿日期:1999-01-22
修回日期:1999-05-07, http://www.100md.com