栅状肌纤维母细胞瘤3例报道及文献复习
作者:项晶晶 吴能定 徐如君 吕明敏 姚德明
单位:项晶晶 吴能定 徐如君(杭州市第一人民医院病理科 310006);吕明敏(桐庐市第一人民医院病理科 311500);姚德明(桐乡市第一人民医院病理科 314500)
关键词:肌纤维母细胞瘤;石棉样纤维;肿瘤病理学;免疫组织化学
栅状肌纤维母细胞瘤3例报道及文献复习摘要,目的:观察栅状肌纤维母细胞瘤的临床病理特征,探索该肿瘤的组织来源及石棉样纤维的性质和来源。方法:对3例栅状肌纤维母细胞瘤进行组织形态学和免疫组织化学研究,结合文献对本病的诊断标准、鉴别要点及组织来源进行探讨。结果:栅状肌纤维母细胞瘤的组织学特点为梭形肿瘤细胞呈交叉束状、栅栏状排列,间质内有较多出血、散在的肥大细胞,肿瘤中出现石棉样纤维。免疫组化见肿瘤细胞及石棉样纤维星芒状突起中actin、vimentin呈阳性表达,desmin、S-100、Factor-Ⅷ、cytokeratin呈阴性表达。结论:栅状肌纤维母细胞瘤是一种具有独特临床病理特征的肌纤维母细胞瘤,该肿瘤来源于肌纤维母细胞或特殊平滑肌细胞亚型。石棉样纤维中心为血管周围胶原的变性,星芒状纤维为增殖的肌纤维母细胞突出的中间丝和微丝。
, 百拇医药
分类号,R730.26 文献标识码,A
文章编号,1001-7399(1999)05-0393-03
Palisaded myofibroblastoma:report of three cases and review of the literature
Xiang Jingjing, Wu Nengding, Xu Rujun et al
(Dept of Pathol, Hangzhou First Hospital, Hangzhou,310006)
ABSTRACT Purpose To observe the clinical pathologic characteristics of palisaded myofibroblastoma, approach its histogenesis and the nature of the amianthoid fibers (AF). Methods Three cases of palisaded myofibroblastoma were studied by histopathology and immunohistochemistry, combining with the review of the literature. The diagnostic criteria, differential diagnosis and histogenesis of the disease were discussed. Results The lesions were histologically characterised by interlacing or palisaded fascilcles of spindle cells, interstitial hemorrhage, scattered mast cells and AF. The tumor cells and the stellate edges of the AF expressed actin and vimentin but lacked of S-100, desmin, Factor-Ⅷ and cytokeratin expression. Conclusion Intronodal palisaded myofibroblastoma is a kind of distinctive clinicopathological myofibroblastoma. It originates from myofibroblasts or specialized smooth-muscle cells. It is postulated that the core of the AF represents degraded interstial matrix around the vessels while the peripheral spokes are the result of vimentin and actin, directly shed by proliferating myofibroblasts.
, 百拇医药
KEY WORDS myofibroblastoma; amianthoid fiber; tumor pathology; immunohistochemistry
栅状肌纤维母细胞瘤又名淋巴结内出血性梭形细胞肿瘤,由Weiss〔1〕和Suster〔2〕1989年首次同时报道。该病是一种发生于淋巴结的良性肌纤维母细胞瘤,组织学由具有平滑肌细胞和纤维母细胞特征的梭形肿瘤细胞、石棉样纤维(amianthoid fiber, AF)及间质不同程度出血背景构成〔1,2〕。该肿瘤较少见,目前国外报道近50例〔3〕,国内报道仅1例〔4〕。笔者现报道3例,并结合文献对其临床病理特征、组织来源及鉴别诊断进行探讨。
1 临床资料
例1:女性,64岁,左腹股沟无痛性肿块4年,渐增大。大体检查:肾形结节1个,大小为3 cm×2 cm×1.5 cm,包膜完整,切面灰白灰黄色,质中等。
, 百拇医药
例2:女性,49岁,右腹股沟无痛性肿块10年,近1年渐增大。大体检查:灰红色结节1个,大小4 cm×4 cm×3 cm,表面包膜完整,切面灰红色,质偏软。
例3:女性,40岁,发现左腹股沟肿块7~8年,如大核桃大小,压迫时有疼痛感。大体检查:结节一个,大小2.5 cm×1.6 cm×1.3 cm,表面有包膜,切面实性,灰白色,中央略有透明感,质地中等。
2 病理检查
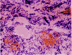
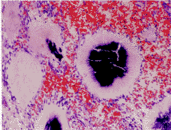
2.1,镜检,3例病变基本相同。肿瘤组织发生于淋巴结内,淋巴结被膜存在,边缘残存少量淋巴组织及淋巴窦,肿瘤中心未见残存淋巴组织,肿瘤组织周围形成假包膜,包膜较厚并有玻璃样变(图1)。肿瘤由梭形细胞组成,部分细胞细长,部分较肥胖,胞浆呈浅伊红色,胞界不清,核两端尖或圆钝,染色质细,核仁不明显,核周多有空泡,未见细胞异型及核分裂象。梭形细胞排列呈束状、编织状,部分呈栅栏状(图2)。在梭形细胞间可见圆形、椭圆形、短束状或不规则形胶原小结即石棉样纤维(图3),HE染色中呈伊红色,边缘多呈细星芒状,部分呈均质状或细颗粒状。早期胶原小结中心可见内衬单层内皮细胞的小血管,部分血管壁玻璃样变性(图4)。在例2中少数胶原小结中央有钙盐沉着(图5)。间质有出血,肿瘤边缘血管丰富,例2见弥漫性出血及含铁血黄素沉着,边缘有簇状发育不全血管。间质中炎症细胞少,无坏死,可见散在肥大细胞,部分胞浆透明,多分布于胶原小结周围。但例1中见灶状泡沫细胞、淋巴细胞浸润。Masson三色中AF中心呈绿色,其星芒状突起及肿瘤细胞呈红色;Van Gieson染色中AF呈红色,肿瘤细胞呈黄色。PAS染色见肿瘤细胞中糖原少或无。硫堇染色中见肥大细胞胞浆内颗粒呈棕红色。
, 百拇医药
图1 肿瘤组织边缘残存少量淋巴组织,周围形成假包膜,可见玻璃样变性。HE×200
图2 梭形细胞排列呈束状、编织状,部分呈栅栏状。梭形细胞间见嗜伊红石棉样纤维。HE×200
图3 短束状不规则形石棉样纤维位于梭形细胞间。HE×200
, 百拇医药
图4 早期石棉样纤维中心内衬单层内皮细胞的小血管,血管玻璃样变性。HE×400
图5 石棉样纤维呈细星芒状,部分中央有钙盐沉着。HE×200
2.2,免疫组化结果 3例均行SMA、MSA、vimentin、desmin、Factor-Ⅷ、S-100,cytokeratin(AE1/AE3)免疫组化染色,结果显示梭形细胞及AF小体星芒状突起α-SMA(图6)、MSA及vimentin呈阳性表达,其余desmin、Factor-Ⅷ、cytokeratin(AE1/AE3)、S-100在梭形细胞及AF小体内均呈阴性表达。
, 百拇医药
图6 免疫组化 Smactin 中显示梭形肿瘤细胞及AF小体星芒状突起呈阳性表达。ABC×200
3 讨论
3.1 临床特点及预后 栅状肌纤维母细胞瘤好发于成人,男、女发病率无差异〔1,2,6,7〕,多发生于腹股沟区淋巴结,亦可发生于颌下区淋巴结〔5〕,多为无痛孤立性肿块,增大缓慢。预后好,局部切除后不复发。
3.2 病理组织学特点 肌纤维母细胞瘤是近年来被命名的间叶性肿瘤,而栅状肌纤维母细胞瘤是一种特殊的肌纤维母细胞瘤。其特征性组织学表现为:(1)肿瘤组织有较厚包膜,包膜外残存淋巴结结构;(2)肿瘤细胞呈梭形,排列成束状、编织状,部分呈栅栏状,细胞胞浆浅伊红色,胞界不清,核分裂象少或无,核分裂象<2个/10HPF〔2〕,细胞无异型;(3)间质有较多出血,可见簇状发育不全血管〔6〕。炎症细胞少或无,可见肥大细胞;(4)肿瘤内有AF。AF又称石棉样小体,HE染色中为嗜酸性胶原小结,边缘多呈细星芒状,早期AF中心有小血管。部分AF可有钙化。Masson三色中AF中心呈绿色,其星芒状突起呈红色〔1,2,5~7〕。
, http://www.100md.com
3.3 免疫标记及电镜特点 既往文献关于栅状肌纤维母细胞瘤免疫组织化学染色结果总结于表1。呈一致阳性反应的抗体有actin、vimentin;而desmin、EMA、Factor-Ⅷ、keratin、S-100标记均呈阴性。本文染色结果与上述结果一致。肌纤维母细胞的确认有赖于电镜,电镜下见肿瘤细胞兼有纤维母细胞和平滑肌细胞特征,肿瘤细胞有丰富的粗面内质网和发育良好的高尔基复合体(纤维母细胞的特征),数量不等的肌丝束、密体和密斑(平滑肌细胞的特征),细胞表面和瘤细胞之间有多少不等的纤维连接蛋白原纤维及纤维连结等肌纤维母细胞的特征性结构〔3〕。
表1 栅状肌纤维母细胞瘤免疫组化文献报道总结
报道者
年份
n
免疫染色阳性例数
, 百拇医药
actin
desmin
Factor-Ⅷ
S-100
keratin
vimentin
myosin
Lee, et al
1989
1
1
0
0
, http://www.100md.com
0
0
Weiss, et al
1989
22
22
0
0
0
Suster, et al
1989
6
6
, http://www.100md.com
0
0
0
6
6
Bigotti, et al
1991
1
1
0
0
0
1
Michel, et al
, http://www.100md.com
1992
6
6
0
0
Rossi, et al
1995
3
3
0
0
0
3
Eyden, et al
, 百拇医药
1996
1
1
3.4 组织发生 根据免疫组化及电镜形态,多数学者认为该肿瘤来源于肌纤维母细胞或特殊平滑肌细胞亚型,而Mickel等〔6〕提出梭形肿瘤细胞来源于血管平滑肌细胞。我们认为二者观点并不矛盾,该肿瘤起源于肌纤维母细胞,肌纤维母细胞可见于正常淋巴结组织,多分布于被膜、小梁及淋巴细胞间,滤泡中心少见。研究表明:肌纤维母细胞在腹股沟区淋巴结较多,故栅状肌纤维母细胞瘤多发生于腹股沟区〔1,7〕。而肌纤维母细胞可来源于间充质细胞,纤维母细胞、血管外膜细胞及血管平滑肌细胞,在功能需要及局部组织微环境的变动下,均可形成肌纤维母细胞。因此,Mickel等〔6〕的观点与多数学者的观点并不矛盾。
该肿瘤的一个显著特征为AF小体的出现。AF可见于变性的透明软骨、软骨肉瘤、滑膜肉瘤及脑膜瘤等。多数学者认为AF为巨大胶原纤维,放射状排列,纤维直径大于1 000 nm,但Eyden等〔8〕报道电镜下AF为正常胶原纤维,呈平行排列,直径为50~83 nm。AF的形成机制还未明确。有些学者认为AF小体周围可见actin呈强阳性,考虑为肿瘤细胞合成胶原的现象,故AF的形成应为胶原分泌的动力学过程;Suster等〔2〕认为早期AF中心有小血管分布,所以可能是由于缺氧与损伤造成血管周围胶原的变性,形成了AF;Bigotti等〔7〕与Lee等〔9〕认为AF小体中心为血管周围胶原的变性,星芒状纤维为增殖的肌纤维母细胞突出的中间丝。在我们的3例病例中,均见AF小体中心早期有小血管,部分有玻璃样变,其星芒状纤维vimentin、actin呈阳性表达,Masson三色示AF中心为胶原,星芒状突起表达肌来源,故我们认为:AF小体中心为血管周围胶原的变性,星芒状纤维可能为增殖的肌纤维母细胞突出的中间丝(vimentin阳性)和微丝(actin阳性)。至于中间丝和微丝是如何突出的,有待进一步探讨。
, 百拇医药
HE与硫堇染色显示肿瘤中有肥大细胞,多分布于AF小体周围,HE染色中部分肥大细胞胞浆透明,为肥大细胞颗粒释放后状态。Bigotti等〔7〕认为肥大细胞通过分泌肝素和组胺引起肌纤维母细胞增生及间质胶原变性,产生了栅状肌纤维母细胞瘤的特殊组织形态。
3.5 鉴别诊断 淋巴结内梭形细胞肿瘤多为转移性恶性肿瘤,常见的有:恶性黑色素瘤、恶性神经鞘瘤、平滑肌肉瘤、肉瘤样癌及其他梭形细胞肉瘤等。原发性肿瘤较少见,有卡普西肉瘤、淋巴结内神经鞘瘤、恶性神经鞘瘤、纤维母细胞性网织细胞肉瘤等。栅状肌纤维母细胞瘤由梭形肿瘤细胞组成,细胞较丰富,呈交叉束状排列,间质有较多出血,极易误诊为卡普西肉瘤、淋巴结内神经鞘瘤、纤维母细胞性网织细胞肉瘤等病变。本病与上述疾病的鉴别诊断非常重要。卡普西肉瘤多发生于AIDS患者,肿瘤组织沿淋巴窦分布,肿瘤深部仍见残余淋巴组织,细胞异型性大,核分裂象多,且肿瘤中无AF出现;淋巴结内神经鞘瘤与恶性神经鞘瘤,免疫组化S-100呈阳性表达,不出现AF,电镜揭示无肌源性分化;纤维母细胞性网织细胞肉瘤亦为梭形细胞肿瘤,且免疫组织化学染色表达actin、vimentin阳性,易与栅状肌纤维母细胞瘤混淆,但该肿瘤并不局限于腹股沟区和颌下区,可发生于全身各处淋巴结,而且细胞异型性大,无AF出现,desmin阳性,有助于鉴别诊断〔10〕。
, 百拇医药
作者简介:项晶晶,女,26岁,医师
吴能定,男,63岁,主任医师。研究方向:肿瘤病理
参考文献
1,Weiss SW, Gnepp DR, Bratthauer GL. Palisaded myofibroblastoma: benign mesenchymal tumor of lymph node. Am J Surg Pathol,1989;13(5):341~346
2,Suster S, Rosai J. Intranodal hemorrhagic spindle cell tumor with “amianthoid” fibers: report of six cases of a distinctive mensenchymal neoplasm of the inguinal region that simulates Kaposis sarcoma. Am J Surg Pathol,1989;13(5):347~357
, 百拇医药
3,何 松,韩 枋,乐美兆. 肌纤维母细胞肉瘤的诊断. 诊断病理学杂志,1998;5(4):226~227
4,任永昌,甄洪伟,刘贞贵等. 淋巴结梭形细胞肿瘤1例. 诊断病理学杂志,1998;5(4):217
5,Rossi A, Bulgarini A, Rondanelli E et al. Intranodal palisaeded myofibrofibroblastoma: report of three new cases. Tumori,1995;81(6):464~468
6,Michel M, Chlumska A, Povysilova V. Intranodal “amianthoid” myofibroblastoma: report of six case and immunohistochemical and electron microscopic study. Pathol Res Pract,1992;188(1~2):199~204
, 百拇医药
7,Bigotti G, Coli A, Mottolese M et al. Selective location of palisaded myofibroblastoma with amianthoid fibres. J Clin Pathol,1991;44(9):761~764
8,Eyden BP, Harris M, Greywoode GI et al. Intranodal myofibrobldastoma:report of a case. Ultrastruct Pathol,1996;20(1):79~88
9,Lee J Y-Y, Abell E, Grant J et al. Solitary spindle cell tumor with myoid differentiation of the lymph node. Arch Pathol Lab Med,1989;113(5):547~550
, 百拇医药
10,Andriko JW, Kaldjian EP, Tsokos M et al. Reticulum cell neoplasms of lymph nodes: a clinicopathologic study of 11 cases with recognition of a new subtype derived from fibroblastic reticular cells. Am J Surg Pathol,1998;22(9):1048~1058
(图片见插页第58页)
收稿日期:1999-03-17
修回日期:1999-06-16, 百拇医药
单位:项晶晶 吴能定 徐如君(杭州市第一人民医院病理科 310006);吕明敏(桐庐市第一人民医院病理科 311500);姚德明(桐乡市第一人民医院病理科 314500)
关键词:肌纤维母细胞瘤;石棉样纤维;肿瘤病理学;免疫组织化学
栅状肌纤维母细胞瘤3例报道及文献复习摘要,目的:观察栅状肌纤维母细胞瘤的临床病理特征,探索该肿瘤的组织来源及石棉样纤维的性质和来源。方法:对3例栅状肌纤维母细胞瘤进行组织形态学和免疫组织化学研究,结合文献对本病的诊断标准、鉴别要点及组织来源进行探讨。结果:栅状肌纤维母细胞瘤的组织学特点为梭形肿瘤细胞呈交叉束状、栅栏状排列,间质内有较多出血、散在的肥大细胞,肿瘤中出现石棉样纤维。免疫组化见肿瘤细胞及石棉样纤维星芒状突起中actin、vimentin呈阳性表达,desmin、S-100、Factor-Ⅷ、cytokeratin呈阴性表达。结论:栅状肌纤维母细胞瘤是一种具有独特临床病理特征的肌纤维母细胞瘤,该肿瘤来源于肌纤维母细胞或特殊平滑肌细胞亚型。石棉样纤维中心为血管周围胶原的变性,星芒状纤维为增殖的肌纤维母细胞突出的中间丝和微丝。
, 百拇医药
分类号,R730.26 文献标识码,A
文章编号,1001-7399(1999)05-0393-03
Palisaded myofibroblastoma:report of three cases and review of the literature
Xiang Jingjing, Wu Nengding, Xu Rujun et al
(Dept of Pathol, Hangzhou First Hospital, Hangzhou,310006)
ABSTRACT Purpose To observe the clinical pathologic characteristics of palisaded myofibroblastoma, approach its histogenesis and the nature of the amianthoid fibers (AF). Methods Three cases of palisaded myofibroblastoma were studied by histopathology and immunohistochemistry, combining with the review of the literature. The diagnostic criteria, differential diagnosis and histogenesis of the disease were discussed. Results The lesions were histologically characterised by interlacing or palisaded fascilcles of spindle cells, interstitial hemorrhage, scattered mast cells and AF. The tumor cells and the stellate edges of the AF expressed actin and vimentin but lacked of S-100, desmin, Factor-Ⅷ and cytokeratin expression. Conclusion Intronodal palisaded myofibroblastoma is a kind of distinctive clinicopathological myofibroblastoma. It originates from myofibroblasts or specialized smooth-muscle cells. It is postulated that the core of the AF represents degraded interstial matrix around the vessels while the peripheral spokes are the result of vimentin and actin, directly shed by proliferating myofibroblasts.
, 百拇医药
KEY WORDS myofibroblastoma; amianthoid fiber; tumor pathology; immunohistochemistry
栅状肌纤维母细胞瘤又名淋巴结内出血性梭形细胞肿瘤,由Weiss〔1〕和Suster〔2〕1989年首次同时报道。该病是一种发生于淋巴结的良性肌纤维母细胞瘤,组织学由具有平滑肌细胞和纤维母细胞特征的梭形肿瘤细胞、石棉样纤维(amianthoid fiber, AF)及间质不同程度出血背景构成〔1,2〕。该肿瘤较少见,目前国外报道近50例〔3〕,国内报道仅1例〔4〕。笔者现报道3例,并结合文献对其临床病理特征、组织来源及鉴别诊断进行探讨。
1 临床资料
例1:女性,64岁,左腹股沟无痛性肿块4年,渐增大。大体检查:肾形结节1个,大小为3 cm×2 cm×1.5 cm,包膜完整,切面灰白灰黄色,质中等。
, 百拇医药
例2:女性,49岁,右腹股沟无痛性肿块10年,近1年渐增大。大体检查:灰红色结节1个,大小4 cm×4 cm×3 cm,表面包膜完整,切面灰红色,质偏软。
例3:女性,40岁,发现左腹股沟肿块7~8年,如大核桃大小,压迫时有疼痛感。大体检查:结节一个,大小2.5 cm×1.6 cm×1.3 cm,表面有包膜,切面实性,灰白色,中央略有透明感,质地中等。
2 病理检查
2.1,镜检,3例病变基本相同。肿瘤组织发生于淋巴结内,淋巴结被膜存在,边缘残存少量淋巴组织及淋巴窦,肿瘤中心未见残存淋巴组织,肿瘤组织周围形成假包膜,包膜较厚并有玻璃样变(图1)。肿瘤由梭形细胞组成,部分细胞细长,部分较肥胖,胞浆呈浅伊红色,胞界不清,核两端尖或圆钝,染色质细,核仁不明显,核周多有空泡,未见细胞异型及核分裂象。梭形细胞排列呈束状、编织状,部分呈栅栏状(图2)。在梭形细胞间可见圆形、椭圆形、短束状或不规则形胶原小结即石棉样纤维(图3),HE染色中呈伊红色,边缘多呈细星芒状,部分呈均质状或细颗粒状。早期胶原小结中心可见内衬单层内皮细胞的小血管,部分血管壁玻璃样变性(图4)。在例2中少数胶原小结中央有钙盐沉着(图5)。间质有出血,肿瘤边缘血管丰富,例2见弥漫性出血及含铁血黄素沉着,边缘有簇状发育不全血管。间质中炎症细胞少,无坏死,可见散在肥大细胞,部分胞浆透明,多分布于胶原小结周围。但例1中见灶状泡沫细胞、淋巴细胞浸润。Masson三色中AF中心呈绿色,其星芒状突起及肿瘤细胞呈红色;Van Gieson染色中AF呈红色,肿瘤细胞呈黄色。PAS染色见肿瘤细胞中糖原少或无。硫堇染色中见肥大细胞胞浆内颗粒呈棕红色。
, 百拇医药
图1 肿瘤组织边缘残存少量淋巴组织,周围形成假包膜,可见玻璃样变性。HE×200
图2 梭形细胞排列呈束状、编织状,部分呈栅栏状。梭形细胞间见嗜伊红石棉样纤维。HE×200
图3 短束状不规则形石棉样纤维位于梭形细胞间。HE×200
, 百拇医药
图4 早期石棉样纤维中心内衬单层内皮细胞的小血管,血管玻璃样变性。HE×400
图5 石棉样纤维呈细星芒状,部分中央有钙盐沉着。HE×200
2.2,免疫组化结果 3例均行SMA、MSA、vimentin、desmin、Factor-Ⅷ、S-100,cytokeratin(AE1/AE3)免疫组化染色,结果显示梭形细胞及AF小体星芒状突起α-SMA(图6)、MSA及vimentin呈阳性表达,其余desmin、Factor-Ⅷ、cytokeratin(AE1/AE3)、S-100在梭形细胞及AF小体内均呈阴性表达。
, 百拇医药
图6 免疫组化 Smactin 中显示梭形肿瘤细胞及AF小体星芒状突起呈阳性表达。ABC×200
3 讨论
3.1 临床特点及预后 栅状肌纤维母细胞瘤好发于成人,男、女发病率无差异〔1,2,6,7〕,多发生于腹股沟区淋巴结,亦可发生于颌下区淋巴结〔5〕,多为无痛孤立性肿块,增大缓慢。预后好,局部切除后不复发。
3.2 病理组织学特点 肌纤维母细胞瘤是近年来被命名的间叶性肿瘤,而栅状肌纤维母细胞瘤是一种特殊的肌纤维母细胞瘤。其特征性组织学表现为:(1)肿瘤组织有较厚包膜,包膜外残存淋巴结结构;(2)肿瘤细胞呈梭形,排列成束状、编织状,部分呈栅栏状,细胞胞浆浅伊红色,胞界不清,核分裂象少或无,核分裂象<2个/10HPF〔2〕,细胞无异型;(3)间质有较多出血,可见簇状发育不全血管〔6〕。炎症细胞少或无,可见肥大细胞;(4)肿瘤内有AF。AF又称石棉样小体,HE染色中为嗜酸性胶原小结,边缘多呈细星芒状,早期AF中心有小血管。部分AF可有钙化。Masson三色中AF中心呈绿色,其星芒状突起呈红色〔1,2,5~7〕。
, http://www.100md.com
3.3 免疫标记及电镜特点 既往文献关于栅状肌纤维母细胞瘤免疫组织化学染色结果总结于表1。呈一致阳性反应的抗体有actin、vimentin;而desmin、EMA、Factor-Ⅷ、keratin、S-100标记均呈阴性。本文染色结果与上述结果一致。肌纤维母细胞的确认有赖于电镜,电镜下见肿瘤细胞兼有纤维母细胞和平滑肌细胞特征,肿瘤细胞有丰富的粗面内质网和发育良好的高尔基复合体(纤维母细胞的特征),数量不等的肌丝束、密体和密斑(平滑肌细胞的特征),细胞表面和瘤细胞之间有多少不等的纤维连接蛋白原纤维及纤维连结等肌纤维母细胞的特征性结构〔3〕。
表1 栅状肌纤维母细胞瘤免疫组化文献报道总结
报道者
年份
n
免疫染色阳性例数
, 百拇医药
actin
desmin
Factor-Ⅷ
S-100
keratin
vimentin
myosin
Lee, et al
1989
1
1
0
0
, http://www.100md.com
0
0
Weiss, et al
1989
22
22
0
0
0
Suster, et al
1989
6
6
, http://www.100md.com
0
0
0
6
6
Bigotti, et al
1991
1
1
0
0
0
1
Michel, et al
, http://www.100md.com
1992
6
6
0
0
Rossi, et al
1995
3
3
0
0
0
3
Eyden, et al
, 百拇医药
1996
1
1
3.4 组织发生 根据免疫组化及电镜形态,多数学者认为该肿瘤来源于肌纤维母细胞或特殊平滑肌细胞亚型,而Mickel等〔6〕提出梭形肿瘤细胞来源于血管平滑肌细胞。我们认为二者观点并不矛盾,该肿瘤起源于肌纤维母细胞,肌纤维母细胞可见于正常淋巴结组织,多分布于被膜、小梁及淋巴细胞间,滤泡中心少见。研究表明:肌纤维母细胞在腹股沟区淋巴结较多,故栅状肌纤维母细胞瘤多发生于腹股沟区〔1,7〕。而肌纤维母细胞可来源于间充质细胞,纤维母细胞、血管外膜细胞及血管平滑肌细胞,在功能需要及局部组织微环境的变动下,均可形成肌纤维母细胞。因此,Mickel等〔6〕的观点与多数学者的观点并不矛盾。
该肿瘤的一个显著特征为AF小体的出现。AF可见于变性的透明软骨、软骨肉瘤、滑膜肉瘤及脑膜瘤等。多数学者认为AF为巨大胶原纤维,放射状排列,纤维直径大于1 000 nm,但Eyden等〔8〕报道电镜下AF为正常胶原纤维,呈平行排列,直径为50~83 nm。AF的形成机制还未明确。有些学者认为AF小体周围可见actin呈强阳性,考虑为肿瘤细胞合成胶原的现象,故AF的形成应为胶原分泌的动力学过程;Suster等〔2〕认为早期AF中心有小血管分布,所以可能是由于缺氧与损伤造成血管周围胶原的变性,形成了AF;Bigotti等〔7〕与Lee等〔9〕认为AF小体中心为血管周围胶原的变性,星芒状纤维为增殖的肌纤维母细胞突出的中间丝。在我们的3例病例中,均见AF小体中心早期有小血管,部分有玻璃样变,其星芒状纤维vimentin、actin呈阳性表达,Masson三色示AF中心为胶原,星芒状突起表达肌来源,故我们认为:AF小体中心为血管周围胶原的变性,星芒状纤维可能为增殖的肌纤维母细胞突出的中间丝(vimentin阳性)和微丝(actin阳性)。至于中间丝和微丝是如何突出的,有待进一步探讨。
, 百拇医药
HE与硫堇染色显示肿瘤中有肥大细胞,多分布于AF小体周围,HE染色中部分肥大细胞胞浆透明,为肥大细胞颗粒释放后状态。Bigotti等〔7〕认为肥大细胞通过分泌肝素和组胺引起肌纤维母细胞增生及间质胶原变性,产生了栅状肌纤维母细胞瘤的特殊组织形态。
3.5 鉴别诊断 淋巴结内梭形细胞肿瘤多为转移性恶性肿瘤,常见的有:恶性黑色素瘤、恶性神经鞘瘤、平滑肌肉瘤、肉瘤样癌及其他梭形细胞肉瘤等。原发性肿瘤较少见,有卡普西肉瘤、淋巴结内神经鞘瘤、恶性神经鞘瘤、纤维母细胞性网织细胞肉瘤等。栅状肌纤维母细胞瘤由梭形肿瘤细胞组成,细胞较丰富,呈交叉束状排列,间质有较多出血,极易误诊为卡普西肉瘤、淋巴结内神经鞘瘤、纤维母细胞性网织细胞肉瘤等病变。本病与上述疾病的鉴别诊断非常重要。卡普西肉瘤多发生于AIDS患者,肿瘤组织沿淋巴窦分布,肿瘤深部仍见残余淋巴组织,细胞异型性大,核分裂象多,且肿瘤中无AF出现;淋巴结内神经鞘瘤与恶性神经鞘瘤,免疫组化S-100呈阳性表达,不出现AF,电镜揭示无肌源性分化;纤维母细胞性网织细胞肉瘤亦为梭形细胞肿瘤,且免疫组织化学染色表达actin、vimentin阳性,易与栅状肌纤维母细胞瘤混淆,但该肿瘤并不局限于腹股沟区和颌下区,可发生于全身各处淋巴结,而且细胞异型性大,无AF出现,desmin阳性,有助于鉴别诊断〔10〕。
, 百拇医药
作者简介:项晶晶,女,26岁,医师
吴能定,男,63岁,主任医师。研究方向:肿瘤病理
参考文献
1,Weiss SW, Gnepp DR, Bratthauer GL. Palisaded myofibroblastoma: benign mesenchymal tumor of lymph node. Am J Surg Pathol,1989;13(5):341~346
2,Suster S, Rosai J. Intranodal hemorrhagic spindle cell tumor with “amianthoid” fibers: report of six cases of a distinctive mensenchymal neoplasm of the inguinal region that simulates Kaposis sarcoma. Am J Surg Pathol,1989;13(5):347~357
, 百拇医药
3,何 松,韩 枋,乐美兆. 肌纤维母细胞肉瘤的诊断. 诊断病理学杂志,1998;5(4):226~227
4,任永昌,甄洪伟,刘贞贵等. 淋巴结梭形细胞肿瘤1例. 诊断病理学杂志,1998;5(4):217
5,Rossi A, Bulgarini A, Rondanelli E et al. Intranodal palisaeded myofibrofibroblastoma: report of three new cases. Tumori,1995;81(6):464~468
6,Michel M, Chlumska A, Povysilova V. Intranodal “amianthoid” myofibroblastoma: report of six case and immunohistochemical and electron microscopic study. Pathol Res Pract,1992;188(1~2):199~204
, 百拇医药
7,Bigotti G, Coli A, Mottolese M et al. Selective location of palisaded myofibroblastoma with amianthoid fibres. J Clin Pathol,1991;44(9):761~764
8,Eyden BP, Harris M, Greywoode GI et al. Intranodal myofibrobldastoma:report of a case. Ultrastruct Pathol,1996;20(1):79~88
9,Lee J Y-Y, Abell E, Grant J et al. Solitary spindle cell tumor with myoid differentiation of the lymph node. Arch Pathol Lab Med,1989;113(5):547~550
, 百拇医药
10,Andriko JW, Kaldjian EP, Tsokos M et al. Reticulum cell neoplasms of lymph nodes: a clinicopathologic study of 11 cases with recognition of a new subtype derived from fibroblastic reticular cells. Am J Surg Pathol,1998;22(9):1048~1058
(图片见插页第58页)
收稿日期:1999-03-17
修回日期:1999-06-16, 百拇医药