可吸收和金属张力带治疗尺骨鹰嘴骨折的对比研究
作者:陈爱民 侯春林 葛俊国 苟三怀 周许辉
单位:第二军医大学附属长征医院(上海 200003)
关键词:尺骨骨折;骨折固定术,内;鹰嘴*
湖南医学990505 摘要 目的 研究生物可吸收张力带(Biofix棒和Biopoly人工韧带)与金属张力带(克氏针和钢丝)治疗尺骨鹰嘴骨折的疗效。方法 采用两种张力带治疗36例尺骨鹰嘴骨折。其中,可吸收带组19例;金属张力带组17例。随访时间8~39个月,平均24个月,根据术后X线片和关节功能恢复情况评定疗效。结果 平均骨折愈合时间为7周。可吸收张力带组:优16例,良3例;金属张力带组:优14例,良2例,差1例。两种治疗方法临床效果无统计学差异。结论 生物可吸收张力带象金属张力带一样是治疗尺骨鹰嘴骨折较理想的有效方法之一,并具有无需二期手术取出内固定的优点。
, 百拇医药 Biodegradable Tension Band and Metallic Tension Band for Fractures of Ulnar Olecranon
CHEN Aimin,HOU Chunlin,GE Junguo,et al
Dept.of Orthopedics,Affiliated Changzheng Hospital,The Second Military Medical University,Shanghai,200003
Abstract Objective To compare the efficacy of treatment for fractures of ulnar olecranon fixed by biodegradable tension band (BTB)with Biofix rods/Biopoly ligaments and metallic tension band (MTB)with Kirschner needle and metallic cerclage wire.Methods Thirty-six patients with fractures of ulnar olecranon (19 fixed by BTB and 17 by MTB) were evaluated by radiography and recovery of joint function.The follow-up time lasted 8~39 months (24 months on the average).Results The fractures cured after a mean time of 7 weeks.In BTB group,good clinical results were obtained in 16 patients,whereas those in 3 patients were fairly well.In MTB group,the corresponding fiqures were 14 and 2,but poor result was found in one patient.There was no statistically significant difference between these two methods.Conclusion Biodegradable tension band is believed to be a good simple method for the treatment of ulnar Olecranon fractures needing not a second-stage operation for removal of implants.
, 百拇医药
Key words ulna fractures;fracture fixation,internal;olecranon
尺骨鹰嘴骨折通常由间接或直接暴力引起,往往需手术治疗,内固定的方法很多,其中张力带固定是一种良好的方法,缺点是需二期取出内固定物。作者等采用生物聚酯人工韧带和可吸收棒,形成可吸收张力带治疗尺骨鹰嘴或髌骨骨折,取得成功[1,2]。本文比较可吸收张力带与金属张力带治疗尺骨鹰嘴骨折的疗效,现报道如下。
1 材料和方法
1.1 生物聚酯人工韧带 法国ARTICAL公司生产,品名
polyester ligament。编织成不同的形状供不同的用途。本文选用多功能加固韧带(LCCLACT):长度50 mm,直径1.5 mm。其抗拉强度>650 N,体内1年左右完全降解,具有良好的生物相容性,植入体内无任何毒性[2,3]。
, 百拇医药
1.2 可吸收棒 Biofix产品,直径2.0 mm,长度50~60 mm。材料为SR-PGA(自身增强聚乙交酯)和SR-PLLA(自身增强聚丙交酯)。临床应用和实验研究[4,5]表明SR-PGA,SR-PLLA具有良好的组织相容性,无任何毒性,SR-PGA在体内1年吸收,SR-PLLA在体内4年完全吸收。
1.3 临床资料 自1994年10月到1997年5月,本院共收治尺骨鹰嘴骨折36例,采用可吸收张力带治疗19例(A组);金属张力带治疗17例(B组)。均为新鲜骨折,横断骨折28例,粉碎骨折8例;上下骨块平均分离2.1 cm。严重全身疾患者不列入本分析,所有病人年龄均在20岁以上详细资料见表1。
表1 尺骨鹰嘴骨折临床资料概况 组别
n
性别
, 百拇医药
(男/女)
方位
(左/右)
年龄
(岁)
受伤至手术时间
(d)
随访时间
(月)
A组
19
12/7
8/11
, 百拇医药
46±12.5
1.5±2.8
23±11.1
B组
17
10/7
8/9
45±13.6
1.6±2.6
24±9.5
1.4 手法方法 采用臂丛麻醉,上臂中上段上气囊止血带,患肢置于胸前。取肘后正中切口,自鹰嘴顶点上方2 cm处,沿尺骨嵴向下延长6 cm,显露骨折端,清除骨折处及关节内积血,游离需要对位之骨块的皮质缘约2 mm,将肘关节置于130°左右,使肱三头肌放松,直视下解剖复位,巾钳固定,根据骨块大小及粉碎情况,选择直径2.0 mm或3.2 mm钻头,分别于骨干侧位上的前1/3与正位上中外1/3和中内1/3交界处由近向远钻二孔,测量骨孔长度,选择相应直径和长度的Biofix棒,用助推器打入骨孔内,维持上下骨块稳定,用摆动锯或电刀切除多余的部分,使可吸收棒露出近端骨缘3~4 mm,然后在骨折线远侧1.5~2.0 cm处横穿一骨孔,用人工韧带环绕二棒端,再绕过鹰嘴背侧,穿越骨孔,成“8”字交叉,拉紧,打结,剪断多余的人工韧带,即呈“8”字张力带固定,金属张力带治疗组则用直径2.0 mm克氏针和1 mm的钢丝呈“8”字张力带固定,手术方法同可吸收张力带组。在手术台上屈伸肘关节,检查无骨折端分离及张力带断裂,逐层缝合切口。术后石膏托固定10~14 d,折线后行肘关节功能锻炼。
, http://www.100md.com
1.5 疗效评估标准 治疗效果以术后局部功能恢复情况和术后影像检查综合判定疗效,评定标准。优:骨折解剖复位,伤口一期愈合,肘关节屈伸正常,无疼痛;良:骨折基本解剖复位,关节面移位≤1 mm,伤口延期愈合或远期局部积液,局部肘关节屈伸受限≤15°,劳累后偶有疼痛;差:骨折明显错位,关节面移位>1 mm,伤口感染,远期局部窦道形成,肘关节屈伸受限>15°,活动时有疼痛。
1.6 统计学处理 采用非参数法(Wilcoxon)处理临床结果。
2 结果
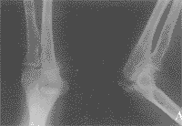
本组全部获随访,时间8~39月,平均24月。平均骨折愈合时间为7周,未发生骨折端再移位(封三附图)。两组疗效比较无显著性差异(P<0.05),见表2。

, 百拇医药
附图 尺骨鹰嘴骨折手术前(A)与手术后(B)X线正侧位片表现
表2 两组手术治疗效果(例,%) 组别
n
优
良
差
A组
19
16(84.21)
3(15.79)
0(0)
B组
, 百拇医药
17
14(82.35)
2(11.77)
1(5.88)
3 讨论
尺骨鹰嘴骨折后,由于肱三头肌的牵拉作用使骨折块分离,往往需手术治疗。金属张力带技术被认为是治疗尺骨鹰嘴骨折的首选方法,缺点是需二期手术取出内固定物,而生物可吸收张力带技术可克服上述缺点[1],然而应用生物可吸收张力带必然产生某些问题。首先,可吸收张力带能否象金属张力带一样提供坚强的内固定,便于早期进行功能锻炼是需要回答的重要问题。Biofix棒抗弯强度为220~440 Mpa,剪切强度为180~50 Mpa,弹性膜量为10~15 Gpa[3],超过皮质骨的强度,可达到骨折固定的要求。生物聚酯人工韧带的断裂强度>650 N,呈“8”字张力带固定后,其抗拉强度约达1300 N,且 Amis[4]认为,生物聚酯纤维支持体内胶原组织的长入而形成新的韧带,其在体内的抗拉强度减少不明显。显然,本生物可吸收张力带可为病人早期功能锻炼提供足够的强度。本组病人术后仅辅以石膏外固定10~14 d,拆线后即行肘关节功能锻炼,随访未出现骨折再移位,取得了与AO张力带固定相似的作用。说明生物可吸收张力带用于固定尺骨鹰嘴骨折是牢固的。
, http://www.100md.com
实验和临床研究表明[4~6]生物聚酯韧带具有良好的组织相容性,植入体内无毒反应,能和骨组织牢固连接生长。Biofix可吸收棒具有良好的组织相容性,植入体内无毒性反应,其体内降解符合生理过程,对骨组织生长无不良影响[7,8]。本组病人术后骨折愈合顺利,平均愈合时间为7周,无骨不连及延迟骨愈合,提示本生物可吸收张力带对骨折愈合无影响。因此,本生物可吸收张力带用于治疗尺骨鹰嘴骨折是安全的。
Bostman等报道有5%~10%的踝关节骨折病人在应用SR-PGA内固定术后伤口周围产生晚期无菌性积液或形成窦道,但不影响骨折愈合及功能恢复[9],在尺骨鹰嘴骨折治疗上未见类似的文献报道。本组病人也未出现类似并发症,未发生毒性反应及切口感染。SR-PGA和生物聚酯人工韧带在体内1年左右吸收,SR-PLLA在体内4年左右吸收。因此,应用可吸收张力带治疗尺骨鹰嘴骨折无需二期手术取出内固定物,减少了病人痛苦,降低感染机会,具有简单方便的优点。
, 百拇医药
参考文献
1 陈爱民,侯春林,苟三怀.生物可吸收张力带治疗尺骨鹰嘴骨折.骨与关节损伤杂志,1997,12(2):92~94
2 陈爱民,侯春林,苟三怀.生物可吸收张力带治疗髌骨骨折.骨与关节损伤杂志,1997,12(6):328~329
3 Vasenius J,Vainionpaa S,Vihtonen K,et al.Biodegradable self-reinforced polyglycolide(SR-PGA)composite rods coated with slowly biodegradable polymers for fracture fixation.Strength and strength retention in vitro and vivo.Clin Mater,1989,4(3):307~317
, http://www.100md.com
4 Amis AA,Kempson SA,Campbell JR,et al.Anterior Cruciate ligament replacement:biocompatibility and biomechanics of polyester and carbon fibre in rabbits.J Bone Joint Surg(Br),1988,70(4):628~634
5 Amis AA,Campbell JR,Miller JH.Strength of carbon and polyester fibre tendon replacement:variation after operation on rattits.J Bone Joint Surg (Br),1985,67(5):829~834
6 Fujikawa K,Ohtani T,Matsumoto H,et al.Reconstruction of the extensor apparatus of the knee with the Leeds-Leio ligament.J Bone Joint Surg (Br),1994,726(2)200~203
, 百拇医药
7 Paivarinta U,Bostman O,Majola A,et al.Intraosseous cellular response to biodegradable fracture fixation screw made of polyglycolide of polylactide.Arch Orthop Trauma Surg,1993,112(2):71~74
8 Miettinen H,Makela EA,Rokkanen P,et al.Fixation of femoral shaft osteotomy with intramedullary metallic or absorbable rod:experimental study on growing dogs.J Biomater Sci Polym Ed,1992,4(2):135~143
9 Bostman O,Partio EK,Hirvensalo E.Foreign-body reactions to polyglycolide screw:observation in 24/216 malleolar fracture cases.Acta Orthop Scand,1992,63(2):173~176
(19990118 收稿), http://www.100md.com
单位:第二军医大学附属长征医院(上海 200003)
关键词:尺骨骨折;骨折固定术,内;鹰嘴*
湖南医学990505 摘要 目的 研究生物可吸收张力带(Biofix棒和Biopoly人工韧带)与金属张力带(克氏针和钢丝)治疗尺骨鹰嘴骨折的疗效。方法 采用两种张力带治疗36例尺骨鹰嘴骨折。其中,可吸收带组19例;金属张力带组17例。随访时间8~39个月,平均24个月,根据术后X线片和关节功能恢复情况评定疗效。结果 平均骨折愈合时间为7周。可吸收张力带组:优16例,良3例;金属张力带组:优14例,良2例,差1例。两种治疗方法临床效果无统计学差异。结论 生物可吸收张力带象金属张力带一样是治疗尺骨鹰嘴骨折较理想的有效方法之一,并具有无需二期手术取出内固定的优点。
, 百拇医药 Biodegradable Tension Band and Metallic Tension Band for Fractures of Ulnar Olecranon
CHEN Aimin,HOU Chunlin,GE Junguo,et al
Dept.of Orthopedics,Affiliated Changzheng Hospital,The Second Military Medical University,Shanghai,200003
Abstract Objective To compare the efficacy of treatment for fractures of ulnar olecranon fixed by biodegradable tension band (BTB)with Biofix rods/Biopoly ligaments and metallic tension band (MTB)with Kirschner needle and metallic cerclage wire.Methods Thirty-six patients with fractures of ulnar olecranon (19 fixed by BTB and 17 by MTB) were evaluated by radiography and recovery of joint function.The follow-up time lasted 8~39 months (24 months on the average).Results The fractures cured after a mean time of 7 weeks.In BTB group,good clinical results were obtained in 16 patients,whereas those in 3 patients were fairly well.In MTB group,the corresponding fiqures were 14 and 2,but poor result was found in one patient.There was no statistically significant difference between these two methods.Conclusion Biodegradable tension band is believed to be a good simple method for the treatment of ulnar Olecranon fractures needing not a second-stage operation for removal of implants.
, 百拇医药
Key words ulna fractures;fracture fixation,internal;olecranon
尺骨鹰嘴骨折通常由间接或直接暴力引起,往往需手术治疗,内固定的方法很多,其中张力带固定是一种良好的方法,缺点是需二期取出内固定物。作者等采用生物聚酯人工韧带和可吸收棒,形成可吸收张力带治疗尺骨鹰嘴或髌骨骨折,取得成功[1,2]。本文比较可吸收张力带与金属张力带治疗尺骨鹰嘴骨折的疗效,现报道如下。
1 材料和方法
1.1 生物聚酯人工韧带 法国ARTICAL公司生产,品名
, 百拇医药
1.2 可吸收棒 Biofix产品,直径2.0 mm,长度50~60 mm。材料为SR-PGA(自身增强聚乙交酯)和SR-PLLA(自身增强聚丙交酯)。临床应用和实验研究[4,5]表明SR-PGA,SR-PLLA具有良好的组织相容性,无任何毒性,SR-PGA在体内1年吸收,SR-PLLA在体内4年完全吸收。
1.3 临床资料 自1994年10月到1997年5月,本院共收治尺骨鹰嘴骨折36例,采用可吸收张力带治疗19例(A组);金属张力带治疗17例(B组)。均为新鲜骨折,横断骨折28例,粉碎骨折8例;上下骨块平均分离2.1 cm。严重全身疾患者不列入本分析,所有病人年龄均在20岁以上详细资料见表1。
表1 尺骨鹰嘴骨折临床资料概况 组别
n
性别
, 百拇医药
(男/女)
方位
(左/右)
年龄
(岁)
受伤至手术时间
(d)
随访时间
(月)
A组
19
12/7
8/11
, 百拇医药
46±12.5
1.5±2.8
23±11.1
B组
17
10/7
8/9
45±13.6
1.6±2.6
24±9.5
1.4 手法方法 采用臂丛麻醉,上臂中上段上气囊止血带,患肢置于胸前。取肘后正中切口,自鹰嘴顶点上方2 cm处,沿尺骨嵴向下延长6 cm,显露骨折端,清除骨折处及关节内积血,游离需要对位之骨块的皮质缘约2 mm,将肘关节置于130°左右,使肱三头肌放松,直视下解剖复位,巾钳固定,根据骨块大小及粉碎情况,选择直径2.0 mm或3.2 mm钻头,分别于骨干侧位上的前1/3与正位上中外1/3和中内1/3交界处由近向远钻二孔,测量骨孔长度,选择相应直径和长度的Biofix棒,用助推器打入骨孔内,维持上下骨块稳定,用摆动锯或电刀切除多余的部分,使可吸收棒露出近端骨缘3~4 mm,然后在骨折线远侧1.5~2.0 cm处横穿一骨孔,用人工韧带环绕二棒端,再绕过鹰嘴背侧,穿越骨孔,成“8”字交叉,拉紧,打结,剪断多余的人工韧带,即呈“8”字张力带固定,金属张力带治疗组则用直径2.0 mm克氏针和1 mm的钢丝呈“8”字张力带固定,手术方法同可吸收张力带组。在手术台上屈伸肘关节,检查无骨折端分离及张力带断裂,逐层缝合切口。术后石膏托固定10~14 d,折线后行肘关节功能锻炼。
, http://www.100md.com
1.5 疗效评估标准 治疗效果以术后局部功能恢复情况和术后影像检查综合判定疗效,评定标准。优:骨折解剖复位,伤口一期愈合,肘关节屈伸正常,无疼痛;良:骨折基本解剖复位,关节面移位≤1 mm,伤口延期愈合或远期局部积液,局部肘关节屈伸受限≤15°,劳累后偶有疼痛;差:骨折明显错位,关节面移位>1 mm,伤口感染,远期局部窦道形成,肘关节屈伸受限>15°,活动时有疼痛。
1.6 统计学处理 采用非参数法(Wilcoxon)处理临床结果。
2 结果
本组全部获随访,时间8~39月,平均24月。平均骨折愈合时间为7周,未发生骨折端再移位(封三附图)。两组疗效比较无显著性差异(P<0.05),见表2。
, 百拇医药
附图 尺骨鹰嘴骨折手术前(A)与手术后(B)X线正侧位片表现
表2 两组手术治疗效果(例,%) 组别
n
优
良
差
A组
19
16(84.21)
3(15.79)
0(0)
B组
, 百拇医药
17
14(82.35)
2(11.77)
1(5.88)
3 讨论
尺骨鹰嘴骨折后,由于肱三头肌的牵拉作用使骨折块分离,往往需手术治疗。金属张力带技术被认为是治疗尺骨鹰嘴骨折的首选方法,缺点是需二期手术取出内固定物,而生物可吸收张力带技术可克服上述缺点[1],然而应用生物可吸收张力带必然产生某些问题。首先,可吸收张力带能否象金属张力带一样提供坚强的内固定,便于早期进行功能锻炼是需要回答的重要问题。Biofix棒抗弯强度为220~440 Mpa,剪切强度为180~50 Mpa,弹性膜量为10~15 Gpa[3],超过皮质骨的强度,可达到骨折固定的要求。生物聚酯人工韧带的断裂强度>650 N,呈“8”字张力带固定后,其抗拉强度约达1300 N,且 Amis[4]认为,生物聚酯纤维支持体内胶原组织的长入而形成新的韧带,其在体内的抗拉强度减少不明显。显然,本生物可吸收张力带可为病人早期功能锻炼提供足够的强度。本组病人术后仅辅以石膏外固定10~14 d,拆线后即行肘关节功能锻炼,随访未出现骨折再移位,取得了与AO张力带固定相似的作用。说明生物可吸收张力带用于固定尺骨鹰嘴骨折是牢固的。
, http://www.100md.com
实验和临床研究表明[4~6]生物聚酯韧带具有良好的组织相容性,植入体内无毒反应,能和骨组织牢固连接生长。Biofix可吸收棒具有良好的组织相容性,植入体内无毒性反应,其体内降解符合生理过程,对骨组织生长无不良影响[7,8]。本组病人术后骨折愈合顺利,平均愈合时间为7周,无骨不连及延迟骨愈合,提示本生物可吸收张力带对骨折愈合无影响。因此,本生物可吸收张力带用于治疗尺骨鹰嘴骨折是安全的。
Bostman等报道有5%~10%的踝关节骨折病人在应用SR-PGA内固定术后伤口周围产生晚期无菌性积液或形成窦道,但不影响骨折愈合及功能恢复[9],在尺骨鹰嘴骨折治疗上未见类似的文献报道。本组病人也未出现类似并发症,未发生毒性反应及切口感染。SR-PGA和生物聚酯人工韧带在体内1年左右吸收,SR-PLLA在体内4年左右吸收。因此,应用可吸收张力带治疗尺骨鹰嘴骨折无需二期手术取出内固定物,减少了病人痛苦,降低感染机会,具有简单方便的优点。
, 百拇医药
参考文献
1 陈爱民,侯春林,苟三怀.生物可吸收张力带治疗尺骨鹰嘴骨折.骨与关节损伤杂志,1997,12(2):92~94
2 陈爱民,侯春林,苟三怀.生物可吸收张力带治疗髌骨骨折.骨与关节损伤杂志,1997,12(6):328~329
3 Vasenius J,Vainionpaa S,Vihtonen K,et al.Biodegradable self-reinforced polyglycolide(SR-PGA)composite rods coated with slowly biodegradable polymers for fracture fixation.Strength and strength retention in vitro and vivo.Clin Mater,1989,4(3):307~317
, http://www.100md.com
4 Amis AA,Kempson SA,Campbell JR,et al.Anterior Cruciate ligament replacement:biocompatibility and biomechanics of polyester and carbon fibre in rabbits.J Bone Joint Surg(Br),1988,70(4):628~634
5 Amis AA,Campbell JR,Miller JH.Strength of carbon and polyester fibre tendon replacement:variation after operation on rattits.J Bone Joint Surg (Br),1985,67(5):829~834
6 Fujikawa K,Ohtani T,Matsumoto H,et al.Reconstruction of the extensor apparatus of the knee with the Leeds-Leio ligament.J Bone Joint Surg (Br),1994,726(2)200~203
, 百拇医药
7 Paivarinta U,Bostman O,Majola A,et al.Intraosseous cellular response to biodegradable fracture fixation screw made of polyglycolide of polylactide.Arch Orthop Trauma Surg,1993,112(2):71~74
8 Miettinen H,Makela EA,Rokkanen P,et al.Fixation of femoral shaft osteotomy with intramedullary metallic or absorbable rod:experimental study on growing dogs.J Biomater Sci Polym Ed,1992,4(2):135~143
9 Bostman O,Partio EK,Hirvensalo E.Foreign-body reactions to polyglycolide screw:observation in 24/216 malleolar fracture cases.Acta Orthop Scand,1992,63(2):173~176
(19990118 收稿), http://www.100md.com