胫骨远端前外侧骨骺骨折
作者:谭 伦 郭 勇
单位:
关键词:四川省自贡市第四人民医院骨科;643000
骨与关节990521 胫骨远端前外侧骨骺骨折是一种少见的损伤[ 1,2,3]骨折块小易误诊、漏诊。由于属关节内骨折,畸形愈合将严重影响功能。自19 94年至今我们收治5例,行切开复位治疗获得了好的效果,对受伤姿势、健侧X线片进行了分析,报道如下:
1 临床资料
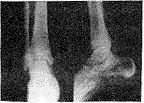
1.1 一般资料 5例中男3例,女2例;年龄 12~17岁;左侧2例,右侧3例;2例自行车上摔下,3例高处跳下扭伤,病人均为踝背屈外旋扭伤,全部为闭合伤。伤后1~10d确诊。伤后下胫腓关节前内侧肿胀、压痛、瘀血。2例可扪及撕脱骨折块。X线片见胫骨远端前外侧骨骺骨折,约拇指末节大小,类似长方体,骨折块明显向前移位伴旋转,不伴有干骺端三角骨折块(图1)。2例早期由于X线片上骨折块小而漏诊。
, 百拇医药
图1 胫骨远端前外侧骨骺骨折X线片
1.2 治疗方法 全部病人行切开复位,取踝关节前外侧纵切口,见胫骨远端前外侧骨骺被撕脱,下胫腓韧带完整,且与骨折块附着,骨折块向前移位,向外侧旋转移位,4例骨折块似长方体,1例似三角形,骨折线从内下向外上,2 例骨折端有骨膜软组织嵌入,清理积血和软组织后,辩清骨折块的位置、方向,内旋足使骨折块复位,4例克氏针内固定,1例螺丝钉固定。石膏固定6周后加强功能锻炼。
2 结 果
随访6个月~5年,全部病人无症状,踝关节活动恢复正常,X线片上骨折解剖复位,骨性愈合。4例病人有健侧踝关节X线片正侧位片,见胫骨远端骨骺线中央部分明显变细,且有2~4mm骨骺已融合,内侧骺线仅隐约可见,但骨骺没有完全融合,外侧骺线仍较宽,约1~2mm骨骺没有闭合。
3 讨 论
, 百拇医药
3.1 解剖 下胫腓前韧带为一坚强的三角形韧带,位于胫腓骨远端的前面,起自胫骨下端前外角并与骨膜融合,向下外止于外踝前缘及附近骨面[4]。Kleier[1]检查了60例12~20岁的健康人的踝正位片,其中24例见骺板于距关节内缘1mm处有一个密度增高影,发现胫骨远端骨骺闭合过程中,内外侧是不对称的,中央部分首先闭合,然后是内侧部分,最后是外侧部分,整个闭合过程需一年半左右,通常在14岁完全闭合,女孩比男孩先闭合,但也有到18岁不闭合的。
3.2 受伤机理 外踝低而偏后使踝关节容易在背屈外旋位扭伤,高处跌落,足触地,踝背屈使胫腓韧带突然绷紧,当足再外旋或胫骨内旋时,暴力通过距骨到外踝、到下胫腓前韧带而作用于其附着部的胫骨;又由于骨骺内侧闭合而外侧没有闭合形成的外侧骨骺有一段时间的较脆弱,当遭遇上述暴力时,下胫腓韧带的牵拉产生胫骨远端外侧骨骺骨折。
3.3 诊治 由于骨折片小,X线片上容易重叠不清,此骨折不多见。临床上对其认识不足、重视不够都易造成漏诊和误诊。踝背屈、外旋扭伤史,下胫腓前内侧肿胀、压痛、瘀血,X线片见胫骨远端外侧骨骺骨折,骨折块似四边形,向前移位。
, 百拇医药
手法复位不易成功,手术取踝前外侧切口,清理骨折端间骨膜软组织,复位后两枚平行的光滑的固定钉或较小松质骨螺钉横向穿过骨折部分,但不要穿透骨骺板,术后石膏固定6 周,功能恢复良好。
参考文献
1 Kleige M,D.Fracture of Lateral epiphysis of tibia. J Bon e Jomt surg(Am),1964,46:25.
2 Dias F.M.Fracture of tibial epiphysis during youngsters.J Bone Jo int surg,1986,65:439.
3 康栋昆.Tillaux骨折.中华骨科杂志,1994,14(5):313.
4 高士濂主编.小腿前外侧局解,《实用解剖图谱》(下肢分册).上海科技出版社,1985.
(收稿:1998-08-18), 百拇医药
单位:
关键词:四川省自贡市第四人民医院骨科;643000
骨与关节990521 胫骨远端前外侧骨骺骨折是一种少见的损伤[ 1,2,3]骨折块小易误诊、漏诊。由于属关节内骨折,畸形愈合将严重影响功能。自19 94年至今我们收治5例,行切开复位治疗获得了好的效果,对受伤姿势、健侧X线片进行了分析,报道如下:
1 临床资料
1.1 一般资料 5例中男3例,女2例;年龄 12~17岁;左侧2例,右侧3例;2例自行车上摔下,3例高处跳下扭伤,病人均为踝背屈外旋扭伤,全部为闭合伤。伤后1~10d确诊。伤后下胫腓关节前内侧肿胀、压痛、瘀血。2例可扪及撕脱骨折块。X线片见胫骨远端前外侧骨骺骨折,约拇指末节大小,类似长方体,骨折块明显向前移位伴旋转,不伴有干骺端三角骨折块(图1)。2例早期由于X线片上骨折块小而漏诊。
, 百拇医药
图1 胫骨远端前外侧骨骺骨折X线片
1.2 治疗方法 全部病人行切开复位,取踝关节前外侧纵切口,见胫骨远端前外侧骨骺被撕脱,下胫腓韧带完整,且与骨折块附着,骨折块向前移位,向外侧旋转移位,4例骨折块似长方体,1例似三角形,骨折线从内下向外上,2 例骨折端有骨膜软组织嵌入,清理积血和软组织后,辩清骨折块的位置、方向,内旋足使骨折块复位,4例克氏针内固定,1例螺丝钉固定。石膏固定6周后加强功能锻炼。
2 结 果
随访6个月~5年,全部病人无症状,踝关节活动恢复正常,X线片上骨折解剖复位,骨性愈合。4例病人有健侧踝关节X线片正侧位片,见胫骨远端骨骺线中央部分明显变细,且有2~4mm骨骺已融合,内侧骺线仅隐约可见,但骨骺没有完全融合,外侧骺线仍较宽,约1~2mm骨骺没有闭合。
3 讨 论
, 百拇医药
3.1 解剖 下胫腓前韧带为一坚强的三角形韧带,位于胫腓骨远端的前面,起自胫骨下端前外角并与骨膜融合,向下外止于外踝前缘及附近骨面[4]。Kleier[1]检查了60例12~20岁的健康人的踝正位片,其中24例见骺板于距关节内缘1mm处有一个密度增高影,发现胫骨远端骨骺闭合过程中,内外侧是不对称的,中央部分首先闭合,然后是内侧部分,最后是外侧部分,整个闭合过程需一年半左右,通常在14岁完全闭合,女孩比男孩先闭合,但也有到18岁不闭合的。
3.2 受伤机理 外踝低而偏后使踝关节容易在背屈外旋位扭伤,高处跌落,足触地,踝背屈使胫腓韧带突然绷紧,当足再外旋或胫骨内旋时,暴力通过距骨到外踝、到下胫腓前韧带而作用于其附着部的胫骨;又由于骨骺内侧闭合而外侧没有闭合形成的外侧骨骺有一段时间的较脆弱,当遭遇上述暴力时,下胫腓韧带的牵拉产生胫骨远端外侧骨骺骨折。
3.3 诊治 由于骨折片小,X线片上容易重叠不清,此骨折不多见。临床上对其认识不足、重视不够都易造成漏诊和误诊。踝背屈、外旋扭伤史,下胫腓前内侧肿胀、压痛、瘀血,X线片见胫骨远端外侧骨骺骨折,骨折块似四边形,向前移位。
, 百拇医药
手法复位不易成功,手术取踝前外侧切口,清理骨折端间骨膜软组织,复位后两枚平行的光滑的固定钉或较小松质骨螺钉横向穿过骨折部分,但不要穿透骨骺板,术后石膏固定6 周,功能恢复良好。
参考文献
1 Kleige M,D.Fracture of Lateral epiphysis of tibia. J Bon e Jomt surg(Am),1964,46:25.
2 Dias F.M.Fracture of tibial epiphysis during youngsters.J Bone Jo int surg,1986,65:439.
3 康栋昆.Tillaux骨折.中华骨科杂志,1994,14(5):313.
4 高士濂主编.小腿前外侧局解,《实用解剖图谱》(下肢分册).上海科技出版社,1985.
(收稿:1998-08-18), 百拇医药