p16基因的表达上调对鼻咽癌细胞恶性表型的影响——p16基因在鼻咽癌中的改变系列研究(Ⅱ)
作者:卓缨 易红 顾焕华 曹亚
单位:湖南医科大学肿瘤研究所分子生物室(长沙市,410078) *通讯作者
关键词:p16基因;鼻咽癌细胞系;表达上调;恶性表型逆转
癌症990504
【摘 要】 目的:探讨上调p16基因的表达对鼻咽癌细胞恶性表型逆转的作用,为p16基因在鼻咽癌发病过程中具有一定的作用提供直接的证据。方法:本文采用电穿孔的方法向p16基因表达下调的鼻咽癌细胞系HNE1中导入全长野生型的p16cDNA,通过G418筛选获得可以稳定传代的转染细胞系。对其中4个转染细胞系以PCR和Northern杂交鉴定转染细胞系中外源p16cDNA整合以及p16基因表达的状况。并借助比较细胞倍增时间,流式细胞计数和裸鼠接种的方法对转染细胞的恶性表型进行了检测。结果:在所鉴定的4个转染细胞系中有一个转染细胞系(#4-2)不仅整合了外源p16cDNA,且p16基因的表达明显增高。与未转染的鼻咽癌细胞系HNE1及未整合外源p16cDNA的转染细胞系相比,#4-2细胞的倍增时间延长,停滞于G1期的细胞数明显增多,接种裸鼠后肿瘤形成的潜伏期延长。结论:以上实验结果证实p16基因在鼻咽癌的发生过程中确实具有一定的作用,它的表达上调可以促进鼻咽癌细胞恶性表型的逆转。
, 百拇医药
中图分类号:R739.63;R730.231 文献标识码:A 文章编号:1000-476X(1999)05-0499-05
Research on malignant phenotype reversion of nasopharyngeal carcinoma cell by up-regulation of p16 gene expression Serial research on alterations of the p16 gene in nasopharyngeal carcinoma Ⅱ
ZHUO Ying,YI Hong,GU Huan-hua,et al.
Cancer Research Instiute of Hunan Medical University, Changsha 410078, P.R. China
, 百拇医药
【Abstract】 Objective:To explore the role of the p16 gene up-regulation on the malignant phenotype reversion of nasopharyngeal carcinoma (NPC) cell,and to provide the direct evidence that the p16 gene play a role in nasopharyngeal carcinogenesis. Methods:Full-length wild-type p16 cDNA was introduced into NPC cell line HNE1 with p16 gene down-regulation by electroporation.Stable G418-resistant clones were isolated.Then PCR was used to detect the integration of the exogenous p16 cDNA and Northern blotting was used to detect the expression of the p16 gene in 4/7 clones.Finally the growth suppression of the positive clone (# 4-2) was detected by doubling time,cytometry and xenografts. Results:In 4 clones identified, only one transfectant # 4-2 showed integration of exogenous p16 cDNA and up-regulation of p16 mRNA expression compared to NPC cell line HNE1 and the transfectant clones without integration of exogenous p16 cDNA, transfectant # 4-2 showed:a). a longer doubling time; b). an accumulation of cells in G1 phase and c). longer latent period of tumor formation in nude mice. Conclusions:These data show that up-regulation of p16 expression can inhibit the growth and tumor formation of NPC cell. The p16 gene is really a functional tumor suppressor gene in nasopharyngeal carcinogenesis and takes part in promoting the malignant phenotype reversion of NPC cells.
, http://www.100md.com
Key words:p16 gene; NPC cell line; Up-regulation; Malignant phenotype reversion
细胞周期的有序进行是由一系列细胞周期调节蛋白来控制的,它包括促进细胞周期进行的周期素依赖性激酶(cyclin-depedentkinase,CDK)和周期素(cyclin),以及在细胞周期中起负性调节作用的周期素依赖性激酶抑制子(CDKinhibitor,CKI),这些基因的改变将导致肿瘤的发生。p16基因是定位于染色体9q21的一种周期素依赖性激酶抑制子,它所编码的p16蛋白与周期素D竞争同CDK4或CDK6的结合,抑制CDK4或CDK6这两种激酶的活性,从而导致细胞停滞在G1期〔1〕。作为一种在多种肿瘤中存在高频率多种形式改变的抑瘤基因,已有多篇报道p16基因在鼻咽癌也存在多种改变。Lo等人曾对香港鼻咽癌患者的活检组织进行了检测,发现有35%的样本存在p16基因外显子2的缺失,在另一项研究中他还在22%的鼻咽癌活检组织中检测到p16基因启动子和外显子1CpG岛的甲基化〔2,3〕。在我们先前的研究中发现在约85%的鼻咽癌活检组织中检测不到p16蛋白的表达。另外Sun等人也发现在鼻咽癌细胞系和鼠的异体移植瘤中存在p16基因的表达下调或无表达〔4〕。这些都提示p16基因可能在鼻咽癌的发病过程中起一定的作用。
, 百拇医药
为了得到直接的证据,我们利用体外基因转染的技术上调鼻咽癌细胞系中p16基因的表达,观察p16基因的表达上调对鼻咽癌细胞恶性表型的影响。
1 材料和方法
1.1 细胞培养
鼻咽癌细胞系HNE1、结肠癌细胞系SW620和宫颈癌细胞系HeLa由湖南医科大学肿瘤研究所细胞中心提供。细胞用含15%小牛血清的1640培基,在37℃、5%CO2的条件下进行培养。
1.2 质粒
表达质粒pCDKN2WT由美国斯坦福大学Arap教授惠赠。该质粒带有野生型全长p16cDNA和筛选标志Neo基因。在p16cDNA上游及下游分别带有CMV启动子和BGH的polyA尾。在Neo基因的上游和下游分别带有SV40的启动子和polyA尾。
, 百拇医药
1.3 电穿孔
80μg环状的pCDKN2WT与约1×107HNE1细胞混匀,以1.25kV/25μF.0.6sec-1的条件进行电击。电击后,细胞在含有G418的培基上进行筛选培养14天。7个抗G418的阳性克隆培养成稳定传代的转染细胞系。
1.4 PCR的方法鉴定转染细胞系中外源p16cDNA的整合
利用引物p16col/co2进行PCR来检测转染细胞中外源p16cDNA的整合。引物序列分别为p16co1:ATGGAGCCTTCGGCTGACT;p16c02:GAGCCTTCTTGGTTCTTTCA。扩增产物长为470bp。反应体系包括:0.6μg基因组DNA,5XPCR缓冲液,200μmoldNTP,30pmolp16col/co2,1μlTaqDNA聚合酶(2u/μl)。扩增条件:94℃变性5分钟,95℃50秒,58℃50秒,72℃50秒扩增35个循环,扩增产物进行凝胶电泳。
, http://www.100md.com
1.5 Northern杂交检测p16基因的表达
按操作手册用TRIZOL的方法抽提细胞总RNA。以含6.0%甲醛的1.0%变性琼脂糖凝胶电泳分离25μgRNA,转移至尼龙膜上,与[α-32P]dCTP标记的全长p16cDNA探针杂交,洗膜后放射自显影。杂交信号经密度扫描分析。
1.6 通过生长曲线比较细胞的生长速度
将1×105细胞接种到6孔板上。每隔24小时对接种细胞进行计数,共进行5天。绘制生长曲线于半对数纸上,计算对数生长期细胞的倍增时间。
1.7 流式细胞计数
用70%的甲醇——PBS固定,混匀,于4℃放置1小时。然后1000rpm离心10分钟收集细胞,再用10μg/ml碘化丙啶(PI)和100μg/mlRNA酶于37℃,重悬细胞,放置30分钟。在由BectonDickison公司出品的FACA型流式细胞仪上进行分析,所得数据用ModFitLT软件进行统计。每种细胞均检测3次,用方差分析的方法进行统计处理。
, http://www.100md.com
1.8 裸鼠接种实验
将约0.5ml(1×107)细胞悬液注入4~8周大小的BALB/C裸鼠皮下。每天观察肿瘤生长的情况。3周后处死小鼠。肿瘤组织进行称重,并用甲醛固定石蜡包埋后制成切片进行病理诊断,免疫组化和原位杂交。
1.9 免疫组化
5μm厚的石蜡切片脱腊入水后与1∶40稀释的兔抗人p16多克隆抗体p16c-20(美国SantaCruz公司)在4℃孵育过夜。再用ABC法进行检测。最后以苏木素复染。
1.10 原位杂交
5μm厚的石蜡切片脱蜡入水后,5mMMgC12/1XPBS冼,0.2N的盐酸浸泡30分钟,5mMEDTA/2XSSC30分钟,42℃,20μg/ml蛋白酶K消化30分钟,再用5mMMgCl2/1XPBS洗,预杂交30分钟37℃,以地高辛标记的p16全长cDNA做探针进行杂交,37℃过夜,洗片后以地高辛检测试剂盒(德国宝灵曼公司)免疫检测显色,核固红复染。
, http://www.100md.com
2 结果
2.1 p16基因转染
为了检测上调p16基因的表达是否能促进鼻咽癌细胞恶性表型的逆转,我们向存在p16基因表达下调的鼻咽癌细胞系HNE1导入全长野生型p16cDNA。通过G418筛选后,挑选7个克隆培养成稳定传代的转染细胞系。我们对其中4个转染细胞系中外源p16cDNA整合和表达的情况进行了检测。利用跨p16基因3个外显子的引物p16col/co2进行PCR来检测外源p16cDNA整合情况(见表1)。外源性p16cDNA的扩增产物约为470bp,而内源性p16基因由于在3个外显子间还插有2个内含子,因此难以检测到扩增产物。图1显示以HNE1作为阴性对照,3个转染细胞系(#1-1,#3-2,#4-2)整合有外源p16cDNA。
表1 转染细胞系pCDKN2WTHEN1的鉴定 克隆编号
外源p16cDNA的整合
, 百拇医药
p16mRNA的表达
#1-1
Y
D
#1-6
ND
ND
#2-3
ND
ND
#3-2
Y
D
, 百拇医药
#3-4
N
D
#4-2
Y
U
#4-5
ND
ND
Y,整合;N,未整合;D,下调;U,上调;ND,未检测;
图1 PCR鉴定转染细胞系外源质粒的整合情
, 百拇医药
况.用引物p16c01/c02进行护增。转染
细胞系#1-1、#3-2and#4-2中可护增出~
470bp的护增产物。鼻咽癌细胞系HNE1
和转染细胞系#3-4中无护增产物。
进一步利用Northern杂交的方法检测转染细胞系中p16基因的表达状况。在实验中以p16基因表达正常的宫颈癌细胞系HeLa和结肠癌细胞系SW620作为阳性对照,并以HNE1和没有整合外源p16cDNA的转染细胞系#3-4作为阴性对照。为了定量准确,在密度扫描时,以转膜前凝胶照片上各组样本的18S和28SRNA带作为内对照。实验发现非转染的鼻咽癌细胞系HNE1和#3-4转染细胞系p16mRNA的水平明显低于HeLa细胞系和SW620细胞系,而在3个整合了外源p16cDNA的转染的细胞系中,只有一个#4-2转染细胞系具有高水平表达的p16mRNA(图2)。这一结果说明#4-2转染细胞系p16基因mRNA表达上调。
, 百拇医药
图2 Northern杂交鉴定转染细胞系中p16基
因的表达状况.HeLa细胞、SW620细胞
和p16转染细胞系#4-2中表达明显的
长约0.8kb的p16mRNA。HNE12和转
染细胞系#1-1,#3-2,#3-4中p16mRNA
的表达下调。以凝胶电泳时溴乙啶染色
后的18S和28S作为内照。
2.2 #4-2转染细胞系恶性表型的改变
由于p16基因是一个在细胞周期中起负性调节作用的抑瘤基因,因此,首先通过生长曲线的绘制来观察上调p16基因的表达对细胞生长抑制的作用。从图3中可以看到和HNE1细胞的生长速度相比,#4-2转染细胞的生长速度明显减慢,两者的倍增时间分别为23.8小时和31.2小时。
, 百拇医药
同时以未转染的鼻咽癌细胞系HNE1和整合有外源p16cDNA但p16基因表达无改变的转染细胞系#3-2为对照,利用流式细胞仪对三种细胞的细胞周期分布进行了检测。表2中显示HNE1和#3-2转染细胞系细胞周期的分布没有差别(P>0.05)。而#4-2转染细胞系与上述两种细胞系相比,GO/G1期细胞数明显增多(P<0.05和 P< 0.01)。这一数据提示p16基因的上调导致了停滞于G1期的细胞明显增多,这与对倍增时间的观察结果是一致的。
表2 转染细胞系pCDKN2WTHNE1细胞周期的分布 细胞系
p16mRNA的
表达状况
G0/G1%
S
, http://www.100md.com
G2/M
HNE1
D
88.58±3.28
10.96±3.19
0.46±0.11
#3-2
D
90.35±0.73
7.74±0.89
1.91±0.62
#4-2
, 百拇医药
U
97.06±0.87
1.30±0.62
1.64±1.40
D,下调;U,上调;
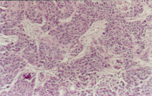
最后,将HNE1、#3-2和#4-2三种细胞系分别注入裸鼠皮下以观察这三种细胞的成瘤性。接种HNE1和#3-2细胞的裸鼠在接种后6天就出现了肿瘤,而接种了#4-2细胞的裸鼠在接种后11天才有肿瘤生成,说明#4-2细胞系致瘤的潜伏期比HNE1和#3-2细胞系延长。3周以后取出肿瘤进行病理诊断均为低分化鳞癌(图4),免疫组化和原位杂交都显示#4-2来源的裸鼠肿瘤组织中p16基因的表达明显强于HNE1和#3-2来源的裸鼠肿瘤组织(图5,6)。但三种细胞系所形成的肿瘤的重量没有明显的差别。
, 百拇医药
图3 鼻咽癌细胞系HNE1和转染细胞系
#4-2细胞的生长曲线。
图4 鼻咽癌转染细胞系异体称植瘤的HE染色(×200)
图5 免疫组化检测异体移植瘤中p16基因的表达状况。
A).转染细胞系#4-2异体移植植瘤中p16基因的表达。
B).鼻咽癌细胞系HNE1异体移植瘤中p16基因的表达(×400)。
只在#4-2异体移植瘤中有明显的核着色(如箭头所示)。
, 百拇医药
图6 原位杂交检测异体移植瘤中p16基因的表达状况。
A).转染细胞系#4-2异体移植瘤中p16基因的表达。
B).鼻咽癌细胞系HNE1异体移植瘤中p16基因的表达(×400).
#4-2异体移植瘤中蓝色着色明显强于HNE1中的(如箭头所示)。
3 讨论
在先前的研究中已发现p16基因在鼻咽癌中存在高频率的失活,本实验进一步确证了p16基因在鼻咽癌发病过程中具有一定的作用。上调p16基因的表达能有效阻止鼻咽癌细胞系HNE1的生长,延长其倍增时间,使大部分癌细胞停滞在G1期。同时具有p16基因表达上调的鼻咽癌转染细胞系#4-2在裸鼠体内成瘤的潜伏期比无p16基因表达上调的细胞系延长。但肿瘤的发生是一个多基因改变多阶段的过程,p16基因很可能是鼻咽癌发生的早期起作用,因此,单纯上调p16基因的表达并不能完全逆转鼻咽癌细胞的恶性表型,表现在#4-2细胞在裸鼠皮下仍能形成肿瘤,且肿瘤的生长速度与对照组没有明显区别。最近,有研究表明除p16基因外其他细胞周期调节基因的改变也可导致人类肿瘤的形成。如在头颈部肿瘤或胶质瘤等多种肿瘤中都分别检测到了周期素D1基因和CDK4基因的扩增〔5,6〕。这也提示我们在鼻咽癌的发病过程中CDK4基因和周期素D1基因可能与p16基因一同发生作用。
, 百拇医药
致谢:感谢姚开泰教授和李桂源教授在本文完成过程中给予的支持和帮助。
[编者按:该系列研究(Ⅰ)发表于本刊1999(4):368~371页]
基金项目:国家杰出青年科学家基金(批准号:39525022)和中华医学基金(CMB)(批准号:90-529)资助。
〔参考文献〕
〔1〕 Serrano M,Hannon GJ,Beach D. A new regulatory motif in cell-cycle control causing specific inhibition of cyclin D/CDK4〔J〕. Nature,1993,366:704~ 707.
〔2〕 Lo KW,Huang DP,Lau KM. p16 gene alterations in nasopharyngeal carcinoma〔J〕. Cancer Res,1995,55:2039~2043.
, 百拇医药
〔3〕 Lo KW,Cheung ST,Leung SF,et al. Hypermethylation of the p16 gene in nasopharyngeal carcinoma〔J〕. Cancer Res,1996,56:2721~ 2725.
〔4〕 Sun Y,Hildesheim A,Lanier AE,et al. No point mutation but decreased expression of the p16/MTS1 tumor suppressor gene in nasopharyngeal carcinomas〔J〕. Oncogene,1995,10:785~ 788.
〔5〕 Michalides R,van Veelen N, Hart A,et al. Overexpression of cyclin D1 correlates with recurrence in a group of forty-seven operable squamous cell carcinomas of the head and neck〔J〕. Cancer Res,1995,55:975~ 978.
〔6〕 He J,Allen JR,Collins VP,et al. CDK4 amplification is an alternative mechanism to p16 gene homozygous deletion in glioma cell lines〔J〕. Cancer Res,1994,54:5804~5087.
收稿日期:1999-04-08;修回日期:1999-05-12, http://www.100md.com
单位:湖南医科大学肿瘤研究所分子生物室(长沙市,410078) *通讯作者
关键词:p16基因;鼻咽癌细胞系;表达上调;恶性表型逆转
癌症990504
【摘 要】 目的:探讨上调p16基因的表达对鼻咽癌细胞恶性表型逆转的作用,为p16基因在鼻咽癌发病过程中具有一定的作用提供直接的证据。方法:本文采用电穿孔的方法向p16基因表达下调的鼻咽癌细胞系HNE1中导入全长野生型的p16cDNA,通过G418筛选获得可以稳定传代的转染细胞系。对其中4个转染细胞系以PCR和Northern杂交鉴定转染细胞系中外源p16cDNA整合以及p16基因表达的状况。并借助比较细胞倍增时间,流式细胞计数和裸鼠接种的方法对转染细胞的恶性表型进行了检测。结果:在所鉴定的4个转染细胞系中有一个转染细胞系(#4-2)不仅整合了外源p16cDNA,且p16基因的表达明显增高。与未转染的鼻咽癌细胞系HNE1及未整合外源p16cDNA的转染细胞系相比,#4-2细胞的倍增时间延长,停滞于G1期的细胞数明显增多,接种裸鼠后肿瘤形成的潜伏期延长。结论:以上实验结果证实p16基因在鼻咽癌的发生过程中确实具有一定的作用,它的表达上调可以促进鼻咽癌细胞恶性表型的逆转。
, 百拇医药
中图分类号:R739.63;R730.231 文献标识码:A 文章编号:1000-476X(1999)05-0499-05
Research on malignant phenotype reversion of nasopharyngeal carcinoma cell by up-regulation of p16 gene expression Serial research on alterations of the p16 gene in nasopharyngeal carcinoma Ⅱ
ZHUO Ying,YI Hong,GU Huan-hua,et al.
Cancer Research Instiute of Hunan Medical University, Changsha 410078, P.R. China
, 百拇医药
【Abstract】 Objective:To explore the role of the p16 gene up-regulation on the malignant phenotype reversion of nasopharyngeal carcinoma (NPC) cell,and to provide the direct evidence that the p16 gene play a role in nasopharyngeal carcinogenesis. Methods:Full-length wild-type p16 cDNA was introduced into NPC cell line HNE1 with p16 gene down-regulation by electroporation.Stable G418-resistant clones were isolated.Then PCR was used to detect the integration of the exogenous p16 cDNA and Northern blotting was used to detect the expression of the p16 gene in 4/7 clones.Finally the growth suppression of the positive clone (# 4-2) was detected by doubling time,cytometry and xenografts. Results:In 4 clones identified, only one transfectant # 4-2 showed integration of exogenous p16 cDNA and up-regulation of p16 mRNA expression compared to NPC cell line HNE1 and the transfectant clones without integration of exogenous p16 cDNA, transfectant # 4-2 showed:a). a longer doubling time; b). an accumulation of cells in G1 phase and c). longer latent period of tumor formation in nude mice. Conclusions:These data show that up-regulation of p16 expression can inhibit the growth and tumor formation of NPC cell. The p16 gene is really a functional tumor suppressor gene in nasopharyngeal carcinogenesis and takes part in promoting the malignant phenotype reversion of NPC cells.
, http://www.100md.com
Key words:p16 gene; NPC cell line; Up-regulation; Malignant phenotype reversion
细胞周期的有序进行是由一系列细胞周期调节蛋白来控制的,它包括促进细胞周期进行的周期素依赖性激酶(cyclin-depedentkinase,CDK)和周期素(cyclin),以及在细胞周期中起负性调节作用的周期素依赖性激酶抑制子(CDKinhibitor,CKI),这些基因的改变将导致肿瘤的发生。p16基因是定位于染色体9q21的一种周期素依赖性激酶抑制子,它所编码的p16蛋白与周期素D竞争同CDK4或CDK6的结合,抑制CDK4或CDK6这两种激酶的活性,从而导致细胞停滞在G1期〔1〕。作为一种在多种肿瘤中存在高频率多种形式改变的抑瘤基因,已有多篇报道p16基因在鼻咽癌也存在多种改变。Lo等人曾对香港鼻咽癌患者的活检组织进行了检测,发现有35%的样本存在p16基因外显子2的缺失,在另一项研究中他还在22%的鼻咽癌活检组织中检测到p16基因启动子和外显子1CpG岛的甲基化〔2,3〕。在我们先前的研究中发现在约85%的鼻咽癌活检组织中检测不到p16蛋白的表达。另外Sun等人也发现在鼻咽癌细胞系和鼠的异体移植瘤中存在p16基因的表达下调或无表达〔4〕。这些都提示p16基因可能在鼻咽癌的发病过程中起一定的作用。
, 百拇医药
为了得到直接的证据,我们利用体外基因转染的技术上调鼻咽癌细胞系中p16基因的表达,观察p16基因的表达上调对鼻咽癌细胞恶性表型的影响。
1 材料和方法
1.1 细胞培养
鼻咽癌细胞系HNE1、结肠癌细胞系SW620和宫颈癌细胞系HeLa由湖南医科大学肿瘤研究所细胞中心提供。细胞用含15%小牛血清的1640培基,在37℃、5%CO2的条件下进行培养。
1.2 质粒
表达质粒pCDKN2WT由美国斯坦福大学Arap教授惠赠。该质粒带有野生型全长p16cDNA和筛选标志Neo基因。在p16cDNA上游及下游分别带有CMV启动子和BGH的polyA尾。在Neo基因的上游和下游分别带有SV40的启动子和polyA尾。
, 百拇医药
1.3 电穿孔
80μg环状的pCDKN2WT与约1×107HNE1细胞混匀,以1.25kV/25μF.0.6sec-1的条件进行电击。电击后,细胞在含有G418的培基上进行筛选培养14天。7个抗G418的阳性克隆培养成稳定传代的转染细胞系。
1.4 PCR的方法鉴定转染细胞系中外源p16cDNA的整合
利用引物p16col/co2进行PCR来检测转染细胞中外源p16cDNA的整合。引物序列分别为p16co1:ATGGAGCCTTCGGCTGACT;p16c02:GAGCCTTCTTGGTTCTTTCA。扩增产物长为470bp。反应体系包括:0.6μg基因组DNA,5XPCR缓冲液,200μmoldNTP,30pmolp16col/co2,1μlTaqDNA聚合酶(2u/μl)。扩增条件:94℃变性5分钟,95℃50秒,58℃50秒,72℃50秒扩增35个循环,扩增产物进行凝胶电泳。
, http://www.100md.com
1.5 Northern杂交检测p16基因的表达
按操作手册用TRIZOL的方法抽提细胞总RNA。以含6.0%甲醛的1.0%变性琼脂糖凝胶电泳分离25μgRNA,转移至尼龙膜上,与[α-32P]dCTP标记的全长p16cDNA探针杂交,洗膜后放射自显影。杂交信号经密度扫描分析。
1.6 通过生长曲线比较细胞的生长速度
将1×105细胞接种到6孔板上。每隔24小时对接种细胞进行计数,共进行5天。绘制生长曲线于半对数纸上,计算对数生长期细胞的倍增时间。
1.7 流式细胞计数
用70%的甲醇——PBS固定,混匀,于4℃放置1小时。然后1000rpm离心10分钟收集细胞,再用10μg/ml碘化丙啶(PI)和100μg/mlRNA酶于37℃,重悬细胞,放置30分钟。在由BectonDickison公司出品的FACA型流式细胞仪上进行分析,所得数据用ModFitLT软件进行统计。每种细胞均检测3次,用方差分析的方法进行统计处理。
, http://www.100md.com
1.8 裸鼠接种实验
将约0.5ml(1×107)细胞悬液注入4~8周大小的BALB/C裸鼠皮下。每天观察肿瘤生长的情况。3周后处死小鼠。肿瘤组织进行称重,并用甲醛固定石蜡包埋后制成切片进行病理诊断,免疫组化和原位杂交。
1.9 免疫组化
5μm厚的石蜡切片脱腊入水后与1∶40稀释的兔抗人p16多克隆抗体p16c-20(美国SantaCruz公司)在4℃孵育过夜。再用ABC法进行检测。最后以苏木素复染。
1.10 原位杂交
5μm厚的石蜡切片脱蜡入水后,5mMMgC12/1XPBS冼,0.2N的盐酸浸泡30分钟,5mMEDTA/2XSSC30分钟,42℃,20μg/ml蛋白酶K消化30分钟,再用5mMMgCl2/1XPBS洗,预杂交30分钟37℃,以地高辛标记的p16全长cDNA做探针进行杂交,37℃过夜,洗片后以地高辛检测试剂盒(德国宝灵曼公司)免疫检测显色,核固红复染。
, http://www.100md.com
2 结果
2.1 p16基因转染
为了检测上调p16基因的表达是否能促进鼻咽癌细胞恶性表型的逆转,我们向存在p16基因表达下调的鼻咽癌细胞系HNE1导入全长野生型p16cDNA。通过G418筛选后,挑选7个克隆培养成稳定传代的转染细胞系。我们对其中4个转染细胞系中外源p16cDNA整合和表达的情况进行了检测。利用跨p16基因3个外显子的引物p16col/co2进行PCR来检测外源p16cDNA整合情况(见表1)。外源性p16cDNA的扩增产物约为470bp,而内源性p16基因由于在3个外显子间还插有2个内含子,因此难以检测到扩增产物。图1显示以HNE1作为阴性对照,3个转染细胞系(#1-1,#3-2,#4-2)整合有外源p16cDNA。
表1 转染细胞系pCDKN2WTHEN1的鉴定 克隆编号
外源p16cDNA的整合
, 百拇医药
p16mRNA的表达
#1-1
Y
D
#1-6
ND
ND
#2-3
ND
ND
#3-2
Y
D
, 百拇医药
#3-4
N
D
#4-2
Y
U
#4-5
ND
ND
Y,整合;N,未整合;D,下调;U,上调;ND,未检测;
图1 PCR鉴定转染细胞系外源质粒的整合情
, 百拇医药
况.用引物p16c01/c02进行护增。转染
细胞系#1-1、#3-2and#4-2中可护增出~
470bp的护增产物。鼻咽癌细胞系HNE1
和转染细胞系#3-4中无护增产物。
进一步利用Northern杂交的方法检测转染细胞系中p16基因的表达状况。在实验中以p16基因表达正常的宫颈癌细胞系HeLa和结肠癌细胞系SW620作为阳性对照,并以HNE1和没有整合外源p16cDNA的转染细胞系#3-4作为阴性对照。为了定量准确,在密度扫描时,以转膜前凝胶照片上各组样本的18S和28SRNA带作为内对照。实验发现非转染的鼻咽癌细胞系HNE1和#3-4转染细胞系p16mRNA的水平明显低于HeLa细胞系和SW620细胞系,而在3个整合了外源p16cDNA的转染的细胞系中,只有一个#4-2转染细胞系具有高水平表达的p16mRNA(图2)。这一结果说明#4-2转染细胞系p16基因mRNA表达上调。
, 百拇医药
图2 Northern杂交鉴定转染细胞系中p16基
因的表达状况.HeLa细胞、SW620细胞
和p16转染细胞系#4-2中表达明显的
长约0.8kb的p16mRNA。HNE12和转
染细胞系#1-1,#3-2,#3-4中p16mRNA
的表达下调。以凝胶电泳时溴乙啶染色
后的18S和28S作为内照。
2.2 #4-2转染细胞系恶性表型的改变
由于p16基因是一个在细胞周期中起负性调节作用的抑瘤基因,因此,首先通过生长曲线的绘制来观察上调p16基因的表达对细胞生长抑制的作用。从图3中可以看到和HNE1细胞的生长速度相比,#4-2转染细胞的生长速度明显减慢,两者的倍增时间分别为23.8小时和31.2小时。
, 百拇医药
同时以未转染的鼻咽癌细胞系HNE1和整合有外源p16cDNA但p16基因表达无改变的转染细胞系#3-2为对照,利用流式细胞仪对三种细胞的细胞周期分布进行了检测。表2中显示HNE1和#3-2转染细胞系细胞周期的分布没有差别(P>0.05)。而#4-2转染细胞系与上述两种细胞系相比,GO/G1期细胞数明显增多(P<0.05和 P< 0.01)。这一数据提示p16基因的上调导致了停滞于G1期的细胞明显增多,这与对倍增时间的观察结果是一致的。
表2 转染细胞系pCDKN2WTHNE1细胞周期的分布 细胞系
p16mRNA的
表达状况
G0/G1%
S
, http://www.100md.com
G2/M
HNE1
D
88.58±3.28
10.96±3.19
0.46±0.11
#3-2
D
90.35±0.73
7.74±0.89
1.91±0.62
#4-2
, 百拇医药
U
97.06±0.87
1.30±0.62
1.64±1.40
D,下调;U,上调;
最后,将HNE1、#3-2和#4-2三种细胞系分别注入裸鼠皮下以观察这三种细胞的成瘤性。接种HNE1和#3-2细胞的裸鼠在接种后6天就出现了肿瘤,而接种了#4-2细胞的裸鼠在接种后11天才有肿瘤生成,说明#4-2细胞系致瘤的潜伏期比HNE1和#3-2细胞系延长。3周以后取出肿瘤进行病理诊断均为低分化鳞癌(图4),免疫组化和原位杂交都显示#4-2来源的裸鼠肿瘤组织中p16基因的表达明显强于HNE1和#3-2来源的裸鼠肿瘤组织(图5,6)。但三种细胞系所形成的肿瘤的重量没有明显的差别。
, 百拇医药
图3 鼻咽癌细胞系HNE1和转染细胞系
#4-2细胞的生长曲线。
图4 鼻咽癌转染细胞系异体称植瘤的HE染色(×200)
图5 免疫组化检测异体移植瘤中p16基因的表达状况。
A).转染细胞系#4-2异体移植植瘤中p16基因的表达。
B).鼻咽癌细胞系HNE1异体移植瘤中p16基因的表达(×400)。
只在#4-2异体移植瘤中有明显的核着色(如箭头所示)。
, 百拇医药
图6 原位杂交检测异体移植瘤中p16基因的表达状况。
A).转染细胞系#4-2异体移植瘤中p16基因的表达。
B).鼻咽癌细胞系HNE1异体移植瘤中p16基因的表达(×400).
#4-2异体移植瘤中蓝色着色明显强于HNE1中的(如箭头所示)。
3 讨论
在先前的研究中已发现p16基因在鼻咽癌中存在高频率的失活,本实验进一步确证了p16基因在鼻咽癌发病过程中具有一定的作用。上调p16基因的表达能有效阻止鼻咽癌细胞系HNE1的生长,延长其倍增时间,使大部分癌细胞停滞在G1期。同时具有p16基因表达上调的鼻咽癌转染细胞系#4-2在裸鼠体内成瘤的潜伏期比无p16基因表达上调的细胞系延长。但肿瘤的发生是一个多基因改变多阶段的过程,p16基因很可能是鼻咽癌发生的早期起作用,因此,单纯上调p16基因的表达并不能完全逆转鼻咽癌细胞的恶性表型,表现在#4-2细胞在裸鼠皮下仍能形成肿瘤,且肿瘤的生长速度与对照组没有明显区别。最近,有研究表明除p16基因外其他细胞周期调节基因的改变也可导致人类肿瘤的形成。如在头颈部肿瘤或胶质瘤等多种肿瘤中都分别检测到了周期素D1基因和CDK4基因的扩增〔5,6〕。这也提示我们在鼻咽癌的发病过程中CDK4基因和周期素D1基因可能与p16基因一同发生作用。
, 百拇医药
致谢:感谢姚开泰教授和李桂源教授在本文完成过程中给予的支持和帮助。
[编者按:该系列研究(Ⅰ)发表于本刊1999(4):368~371页]
基金项目:国家杰出青年科学家基金(批准号:39525022)和中华医学基金(CMB)(批准号:90-529)资助。
〔参考文献〕
〔1〕 Serrano M,Hannon GJ,Beach D. A new regulatory motif in cell-cycle control causing specific inhibition of cyclin D/CDK4〔J〕. Nature,1993,366:704~ 707.
〔2〕 Lo KW,Huang DP,Lau KM. p16 gene alterations in nasopharyngeal carcinoma〔J〕. Cancer Res,1995,55:2039~2043.
, 百拇医药
〔3〕 Lo KW,Cheung ST,Leung SF,et al. Hypermethylation of the p16 gene in nasopharyngeal carcinoma〔J〕. Cancer Res,1996,56:2721~ 2725.
〔4〕 Sun Y,Hildesheim A,Lanier AE,et al. No point mutation but decreased expression of the p16/MTS1 tumor suppressor gene in nasopharyngeal carcinomas〔J〕. Oncogene,1995,10:785~ 788.
〔5〕 Michalides R,van Veelen N, Hart A,et al. Overexpression of cyclin D1 correlates with recurrence in a group of forty-seven operable squamous cell carcinomas of the head and neck〔J〕. Cancer Res,1995,55:975~ 978.
〔6〕 He J,Allen JR,Collins VP,et al. CDK4 amplification is an alternative mechanism to p16 gene homozygous deletion in glioma cell lines〔J〕. Cancer Res,1994,54:5804~5087.
收稿日期:1999-04-08;修回日期:1999-05-12, http://www.100md.com