CFA对NOD鼠胰岛素和糖尿病的预防机制研究①
作者:杨竹林 伍汉文 周智广 廖二元 杨 文
单位:杨竹林 第二附属医院肝胆疾病研究室 长沙 410011;伍汉文 周智广 廖二元 杨 文 代谢内分泌研究所 长沙 410011
关键词:胰腺炎;糖尿病;疾病模型;动物;胰岛细胞;病理生理学;免疫组织化学;小鼠
湖南医科大学学报990503 提要 应用形态学和免疫组织化学方法研究NOD鼠胰岛炎和糖尿病的发生情况并计数胰岛α,β,δ细胞。结果显示:CFA组胰岛中胰岛内炎数和胰岛炎评分均数明显低于NS组(P<0.01),且无一发生糖尿病,而NS组则有3只(60%)鼠发生糖尿病;CFA组胰岛α,δ细胞阳性率明显低于NS组,但β细胞阳性率明显高于NS组(P<0.05及0.01);胰岛炎分值与胰岛α,δ细胞阳性率呈正相关,但与β细胞阳性率呈负相关。提示CFA能减轻NOD鼠胰岛炎和预防糖尿病的发生,其机制与保护β细胞免遭破坏有关。
, 百拇医药
中国图书分类号 R587.1
Study on the prevention of insulitis and diabetes by complete
Freund's adjuvant in NOD female mice
Yang Zhulin
(Research Laboratory of Hepatobiliary Diseases,The Second Affiliated Hospital, Hunan Medical University, Changsha 410011)
Wu Hanwen Zhou Zhiguang Liao Er-yuan Yang Wen
, 百拇医药 (Institute of Metabolism and Endocrinology,Hunan Medical University, Changsha 410011)
The degrees of insulitis, the incidence of diabetes, and the counts of α,β and δ cells in islets were studied by morphological method and avidin-biotin complex immunohistochemical method in complete Freund's adjuvant(CFA) or normal saline(NS)-treated non-obese diabetic(NOD) female mice. The results showed: The incidences of in-insulitis and the scoring means were significantly lower in CFA-treated mice than those in NS-treated ones; none of 5 CFA-treated mice and 3 out of 5 NS-treated ones developed diabetes. The positive rates of α, and δ cells were significantly lower in CFA-treated mice than those in NS-treated ones, but the positive rate of β cell was significantly higher in CFA-treated mice than that in NS-treated ones. The correlations were found among the scores of insulitis and the positive rates of α, β, δ cells in islets (rα=0.475, rβ=-0.878, rδ=0.869). The results indicate that CFA may lessen the degrees of insulitis and the incidence of diabetes. Its effects might be related to lessen the damage of β cell in islets.
, http://www.100md.com
Key words pancreatitis; diabetes; disease model,aminal; insulitis; islet cells; immunohistochemistry; pathophysiology; mice
非肥胖性糖尿病(Non-obese diabetes, NOD)小鼠是指一种遗传性Ⅰ型糖尿病的啮齿类动物模型,该病的发病机制为T细胞介导的胰岛β细胞进行性破坏和数量减少[1]。完全弗氏佐剂(CFA)系一种免疫调节剂。近年有学者发现CFA能通过免疫调节作用预防NOD鼠胰岛炎和糖尿病的发生,但其作用机制尚不甚明了[2,3]。经文献检索,NOD鼠胰岛细胞分类计数及其与CFA作用的关系未见文献报道。本文应用免疫组织化学(组化)方法研究CFA组和生理盐水(NS)组NOD鼠胰岛细胞分类计数及其意义。
1 材料与方法
, http://www.100md.com
1.1 材料
1.1.1 实验动物 NOD鼠自澳大利亚WEHI医学研究中心引进,由山西医科大学张志利教授提供。所有小鼠为雌性,在标准饲养环境下喂养,自由饮净化水和全价营养颗粒饮食。本组实验动物在210d龄时糖尿病自然发病率为70%。
1.1.2 主要试剂 CFA由美国生命技术公司进口。鼠抗人胰高血糖素(1/100)、胰岛素(1/100)单克隆抗体,兔抗人生长抑素(1/100)多克隆抗体,生物素标记羊抗鼠IgG(1/300)和羊抗兔IgG(1/300)及ABC试剂盒(/500),均购自Sigma公司。DAB-HCl为瑞士进口分装。
1.2 方法
1.2.1 标本制作 10只4周龄NOD雌鼠随机分成CFA组和NS组,每组5只。CFA组从鼠后肢足底注射CFA 50μg,NS组以同法注射等量NS。当发生糖尿病或当30周龄时处死小鼠。钝性分离胰腺,将整个胰腺置10%中性福尔马林固定,石蜡包埋切片,片厚4μm。
, 百拇医药
1.2.2 胰岛炎评分 取2张不同切片(切面相隔约50μm)经HE染色后低倍和高倍显微镜下观察胰岛炎情况。参照Guylingco和Tisch评分标准,每只鼠随机观察10个胰岛[4,5]。所得值0分示正常胰岛,1分和2分示胰 岛周围炎,3分和4分示胰岛内部炎症(即胰岛内炎)。
1.2.3 鼠血糖检测 从10周龄开始观察NOD鼠食量、尿量及体重的改变,当出现多饮、多尿和体重减轻等糖尿病症状时即测血糖。若血糖≥11.1mmol.L-1连续2d 则诊断为糖尿病。无糖尿病症状小鼠处死前均测血糖。
1.2.4 胰岛细胞分类和计数 胰岛α,β和δ细胞染色方法为ABC免疫组化法,阳性细胞胞浆呈棕黄色。苏木素复染后高倍镜下计数阳性细胞数和胰岛细胞总数。阳性细胞率=阳性细胞数/胰岛细胞总数。每例鼠胰随机计数5个胰岛。用正常人胰岛α,β及δ细胞作阳性对照;用正常肝组织切片作阴性对照;用0.01M PBS (pH7.4)替代一抗、二抗和ABC试剂作为替代对照。
, http://www.100md.com
1.2.5 统计学处理 显著性差异采用t检验、χ2检测或直接概率法;相关分析采用直线回归分析法。
2 结 果
2.1 胰岛炎和糖尿病的发生情况
CFA组5只鼠中4只发生胰岛周围炎(胰岛炎均值≤2),1只发生胰岛内炎(胰岛炎均值>2);NS组5只鼠中1只发生胰岛周围炎,4只发生胰岛内炎。CFA组胰岛内炎发生率低于NS组,但差异无显著性(P>0.05)。CFA组观察的50个胰岛中正常胰岛和胰岛周围炎数共36个(72%),NS组观察的50个胰岛中正常胰岛和胰岛周围炎数共10个(20%),两者差异有高度显著性(P<0.01)。CFA组胰岛炎评分均数明显低于NS组(P<0.01)(表1)。CFA组无一发生糖尿病者;NS组有60%(3/5)发生糖尿病,其发生率高于CFA组,但无统计学意义(P>0.05)。
, http://www.100md.com 表1 CFA组和NS组胰岛炎评分和胰岛α,β,δ细胞阳性率比较①(
±s) 组别
n
胰岛炎评分
(n'=n×10)
α细胞阳性率
(n'=n×5)
β细胞阳性率
(n'=n×5)
δ细胞阳性率
(n'=n×5)
, http://www.100md.com
CFA组
5
1.8430±1.0571
0.2792±0.1346
0.7638±0.0451
0.1139±0.0375
NS组
5
3.0200±1.0292
0.3232±0.1132
0.6063±0.1199
0.1806±0.0056
, 百拇医药
P
<0.01
<0.05
<0.01
<0.01
① n'是指鼠胰例数(n)乘所观察的胰岛数
2.2 胰岛α,β,δ细胞分类计数
表1示,CFA组胰岛α及δ细胞阳性率明显低于NS组,但β细胞阳性率明显高于NS组,差异均有高度显著性(P<0.01)。
2.3 胰岛炎分值与胰岛α,β,δ细胞阳性率的相关分析
表2示,胰岛炎分值与胰岛α,δ细胞阳性率呈密切正相关,但与胰岛β细胞阳性率呈密切负相关。
, http://www.100md.com
表2 胰岛炎分值与胰岛α,β,δ细胞阳性率的相关性
α细胞
β细胞
δ细胞
相关系数
0.4750
-0.7870
0.8692
回归方程①
Y=0.2109+0.0579X
Y=0.7837-0.0688X
, 百拇医药 Y=0.0929+0.0407X
自由度(n'-2)
48
48
48
t值和P值
t=3.73,P<0.01
t=10.08,P<0.01
t=12.47,P<0.01
①Y为阳性率,X为胰岛炎分值
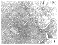
图1 CFA组鼠,胰岛炎评分0分,属正常胰岛 HE染色,×100
, 百拇医药
Fig. 1 Zero score of insulitis in CFA mice-normal islet HE stain, ×100
图2 NS组鼠,胰岛炎评分4分,属胰岛内炎 HE染色,×100
Fig. 2 4 scores of insulitis in NS mice in-insulitis HE stain, ×100
图3 CFA组鼠,胰岛炎评分0分,胰岛内α细胞阳性率为30.2%(29/96) ABC免疫组化法,×100
Fig. 3 Positive rate of α cells being 30.2%(29/96) in CFA mice. Zero score of insulitis. Immunohistochemical method of avidin-biotin complex(ABC) ×100
, http://www.100md.com
图4 CFA组鼠,胰岛炎评分0分,胰岛内β细胞阳性率为83.7%(72/86) ABC免疫组化法,×100
Fig. 4 Positive rate of β cells being 83.7%(72/86) zero score of insulitis ABC immunohistochemical method, ×100
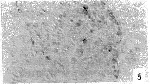
图5 CFA组鼠,胰岛炎评分1分,胰岛内δ细胞阳性率为7.3%(24/328) ABC免疫组化法,×100
Fig. 5 Positive rate of δ cells being 7.3%(24/328), I Score of insulitis ABC immunohistochemical method, ×100
, 百拇医药
3 讨 论
NOD鼠糖尿病可能系由于免疫调节和细胞因子平衡失调所致。Qin等给4~16周龄NOD雌鼠一次性注射CFA 50μl于后肢足底,发现4~10周处理的NOD鼠于360d龄时无一发生糖尿病,16周龄处理鼠在360d龄时有60%未发生糖尿病,而注射NS的对照鼠36周龄时均发生糖尿病,经CFA处理鼠胰岛炎较对照组病理损害轻得多。Qin等进一步研究认为,CFA预防NOD鼠胰岛炎和糖尿病作用机制在于CFA激活
调节T细胞,即TH2细胞,促进TH2细胞分泌IL-4和IL-10,从而起到预防作用[2]。国外其他学者也报道了相似结果。本文发现:30周龄时CFA组胰岛内炎数和胰岛炎评分均数明显低于NS组,差异均有显著性;CFA组无一鼠发生糖尿病,而NS组有60%发生糖尿病。此结果与国外文献报道较一致。说明CFA能明显减轻NOD鼠胰岛炎发生程度和预防糖尿病的发生。虽然CFA不能用于人类,但与CFA有类似作用的卡介菌(BCG)已开始试用于人类Ⅰ型糖尿病的治疗。故认为,免疫调节剂 用于防治人类Ⅰ型糖尿病可能有其良好的前景。
, 百拇医药
人类和NOD鼠的Ⅰ型糖尿病发病机制主要由于自身免疫反应引起的胰岛β细胞进行性损伤和死亡。NOD鼠胰岛细胞定位、计数与CFA预防胰岛炎和糖尿病的关系及其机制的研究未见报道。本组资料发现:CFA组胰岛α,δ细胞阳性率明显低于NS组,而β细胞阳性率则明显高于NS组;胰岛炎评分与α,δ细胞阳性率呈正相关,而与β细胞阳性率呈负相关。此结果提示CFA具有保护NOD鼠胰岛β细胞免遭破坏的作用,使胰岛内β细胞所占比例相对高于NS组,胰岛α,δ细胞所占比例相对下降。此外,CFA组α,δ细胞阳性率低于NS组的原因可能还与以下因素有关:①β细胞减少过程中,可能破坏胰岛内分泌细胞之间相互调节作用的平衡,胰岛内炎性细胞浸润可能为胰岛α,δ细胞增殖提供了条件;②CFA在免疫调节作用过程中产生的一些细胞因子也可能刺激α,δ细胞增殖。概言之,胰岛细胞分类计数为CFA预防NOD鼠胰岛炎和糖尿病的作用机制提供了病理形态学证据。
参考文献
1 Makino S, Kunimoto Y, Muraoka Y, et al. Breeding of a non-obese strain of mice. Exp Anim, 1980,29:1~13
, 百拇医药
2 Qin HY, Sadelain MWJ, Hitchon C, et al. Complete Freund's adjuvant induced T cells prevent the development and adoptive transfer of diabetes in non-obese diabetic mice. J Immunol, 1993,150:2072~2080
3 Wang T, Singh B, Warnock G, et al. Prevention of recurrence of IDDM in islet-transplanted diabetic NOD mice by adjuvant immunotherapy. Diabetes, 1992,41:114~117
4 Guylingco R, Quddus J, Richardson B, et al. Single administration or Bacillus Calmette-Guerin(BCG) vaccine in non-obese diabetic(NOD) mice results in suppression of in vitro T-lymphocyte proliferation and regression of insulitis. Diabetes, 1991,4D:152A
5 Tisch R, Yang XD, Singer SM, et al. Immune response to glutamic acid decarboxylase correlates with insulitis in non-obese diabetic mice. Nature, 1993,366:72~75, http://www.100md.com
单位:杨竹林 第二附属医院肝胆疾病研究室 长沙 410011;伍汉文 周智广 廖二元 杨 文 代谢内分泌研究所 长沙 410011
关键词:胰腺炎;糖尿病;疾病模型;动物;胰岛细胞;病理生理学;免疫组织化学;小鼠
湖南医科大学学报990503 提要 应用形态学和免疫组织化学方法研究NOD鼠胰岛炎和糖尿病的发生情况并计数胰岛α,β,δ细胞。结果显示:CFA组胰岛中胰岛内炎数和胰岛炎评分均数明显低于NS组(P<0.01),且无一发生糖尿病,而NS组则有3只(60%)鼠发生糖尿病;CFA组胰岛α,δ细胞阳性率明显低于NS组,但β细胞阳性率明显高于NS组(P<0.05及0.01);胰岛炎分值与胰岛α,δ细胞阳性率呈正相关,但与β细胞阳性率呈负相关。提示CFA能减轻NOD鼠胰岛炎和预防糖尿病的发生,其机制与保护β细胞免遭破坏有关。
, 百拇医药
中国图书分类号 R587.1
Study on the prevention of insulitis and diabetes by complete
Freund's adjuvant in NOD female mice
Yang Zhulin
(Research Laboratory of Hepatobiliary Diseases,The Second Affiliated Hospital, Hunan Medical University, Changsha 410011)
Wu Hanwen Zhou Zhiguang Liao Er-yuan Yang Wen
, 百拇医药 (Institute of Metabolism and Endocrinology,Hunan Medical University, Changsha 410011)
The degrees of insulitis, the incidence of diabetes, and the counts of α,β and δ cells in islets were studied by morphological method and avidin-biotin complex immunohistochemical method in complete Freund's adjuvant(CFA) or normal saline(NS)-treated non-obese diabetic(NOD) female mice. The results showed: The incidences of in-insulitis and the scoring means were significantly lower in CFA-treated mice than those in NS-treated ones; none of 5 CFA-treated mice and 3 out of 5 NS-treated ones developed diabetes. The positive rates of α, and δ cells were significantly lower in CFA-treated mice than those in NS-treated ones, but the positive rate of β cell was significantly higher in CFA-treated mice than that in NS-treated ones. The correlations were found among the scores of insulitis and the positive rates of α, β, δ cells in islets (rα=0.475, rβ=-0.878, rδ=0.869). The results indicate that CFA may lessen the degrees of insulitis and the incidence of diabetes. Its effects might be related to lessen the damage of β cell in islets.
, http://www.100md.com
Key words pancreatitis; diabetes; disease model,aminal; insulitis; islet cells; immunohistochemistry; pathophysiology; mice
非肥胖性糖尿病(Non-obese diabetes, NOD)小鼠是指一种遗传性Ⅰ型糖尿病的啮齿类动物模型,该病的发病机制为T细胞介导的胰岛β细胞进行性破坏和数量减少[1]。完全弗氏佐剂(CFA)系一种免疫调节剂。近年有学者发现CFA能通过免疫调节作用预防NOD鼠胰岛炎和糖尿病的发生,但其作用机制尚不甚明了[2,3]。经文献检索,NOD鼠胰岛细胞分类计数及其与CFA作用的关系未见文献报道。本文应用免疫组织化学(组化)方法研究CFA组和生理盐水(NS)组NOD鼠胰岛细胞分类计数及其意义。
1 材料与方法
, http://www.100md.com
1.1 材料
1.1.1 实验动物 NOD鼠自澳大利亚WEHI医学研究中心引进,由山西医科大学张志利教授提供。所有小鼠为雌性,在标准饲养环境下喂养,自由饮净化水和全价营养颗粒饮食。本组实验动物在210d龄时糖尿病自然发病率为70%。
1.1.2 主要试剂 CFA由美国生命技术公司进口。鼠抗人胰高血糖素(1/100)、胰岛素(1/100)单克隆抗体,兔抗人生长抑素(1/100)多克隆抗体,生物素标记羊抗鼠IgG(1/300)和羊抗兔IgG(1/300)及ABC试剂盒(/500),均购自Sigma公司。DAB-HCl为瑞士进口分装。
1.2 方法
1.2.1 标本制作 10只4周龄NOD雌鼠随机分成CFA组和NS组,每组5只。CFA组从鼠后肢足底注射CFA 50μg,NS组以同法注射等量NS。当发生糖尿病或当30周龄时处死小鼠。钝性分离胰腺,将整个胰腺置10%中性福尔马林固定,石蜡包埋切片,片厚4μm。
, 百拇医药
1.2.2 胰岛炎评分 取2张不同切片(切面相隔约50μm)经HE染色后低倍和高倍显微镜下观察胰岛炎情况。参照Guylingco和Tisch评分标准,每只鼠随机观察10个胰岛[4,5]。所得值0分示正常胰岛,1分和2分示胰 岛周围炎,3分和4分示胰岛内部炎症(即胰岛内炎)。
1.2.3 鼠血糖检测 从10周龄开始观察NOD鼠食量、尿量及体重的改变,当出现多饮、多尿和体重减轻等糖尿病症状时即测血糖。若血糖≥11.1mmol.L-1连续2d 则诊断为糖尿病。无糖尿病症状小鼠处死前均测血糖。
1.2.4 胰岛细胞分类和计数 胰岛α,β和δ细胞染色方法为ABC免疫组化法,阳性细胞胞浆呈棕黄色。苏木素复染后高倍镜下计数阳性细胞数和胰岛细胞总数。阳性细胞率=阳性细胞数/胰岛细胞总数。每例鼠胰随机计数5个胰岛。用正常人胰岛α,β及δ细胞作阳性对照;用正常肝组织切片作阴性对照;用0.01M PBS (pH7.4)替代一抗、二抗和ABC试剂作为替代对照。
, http://www.100md.com
1.2.5 统计学处理 显著性差异采用t检验、χ2检测或直接概率法;相关分析采用直线回归分析法。
2 结 果
2.1 胰岛炎和糖尿病的发生情况
CFA组5只鼠中4只发生胰岛周围炎(胰岛炎均值≤2),1只发生胰岛内炎(胰岛炎均值>2);NS组5只鼠中1只发生胰岛周围炎,4只发生胰岛内炎。CFA组胰岛内炎发生率低于NS组,但差异无显著性(P>0.05)。CFA组观察的50个胰岛中正常胰岛和胰岛周围炎数共36个(72%),NS组观察的50个胰岛中正常胰岛和胰岛周围炎数共10个(20%),两者差异有高度显著性(P<0.01)。CFA组胰岛炎评分均数明显低于NS组(P<0.01)(表1)。CFA组无一发生糖尿病者;NS组有60%(3/5)发生糖尿病,其发生率高于CFA组,但无统计学意义(P>0.05)。
, http://www.100md.com 表1 CFA组和NS组胰岛炎评分和胰岛α,β,δ细胞阳性率比较①(
n
胰岛炎评分
(n'=n×10)
α细胞阳性率
(n'=n×5)
β细胞阳性率
(n'=n×5)
δ细胞阳性率
(n'=n×5)
, http://www.100md.com
CFA组
5
1.8430±1.0571
0.2792±0.1346
0.7638±0.0451
0.1139±0.0375
NS组
5
3.0200±1.0292
0.3232±0.1132
0.6063±0.1199
0.1806±0.0056
, 百拇医药
P
<0.01
<0.05
<0.01
<0.01
① n'是指鼠胰例数(n)乘所观察的胰岛数
2.2 胰岛α,β,δ细胞分类计数
表1示,CFA组胰岛α及δ细胞阳性率明显低于NS组,但β细胞阳性率明显高于NS组,差异均有高度显著性(P<0.01)。
2.3 胰岛炎分值与胰岛α,β,δ细胞阳性率的相关分析
表2示,胰岛炎分值与胰岛α,δ细胞阳性率呈密切正相关,但与胰岛β细胞阳性率呈密切负相关。
, http://www.100md.com
表2 胰岛炎分值与胰岛α,β,δ细胞阳性率的相关性
α细胞
β细胞
δ细胞
相关系数
0.4750
-0.7870
0.8692
回归方程①
Y=0.2109+0.0579X
Y=0.7837-0.0688X
, 百拇医药 Y=0.0929+0.0407X
自由度(n'-2)
48
48
48
t值和P值
t=3.73,P<0.01
t=10.08,P<0.01
t=12.47,P<0.01
①Y为阳性率,X为胰岛炎分值
图1 CFA组鼠,胰岛炎评分0分,属正常胰岛 HE染色,×100
, 百拇医药
Fig. 1 Zero score of insulitis in CFA mice-normal islet HE stain, ×100
图2 NS组鼠,胰岛炎评分4分,属胰岛内炎 HE染色,×100
Fig. 2 4 scores of insulitis in NS mice in-insulitis HE stain, ×100
图3 CFA组鼠,胰岛炎评分0分,胰岛内α细胞阳性率为30.2%(29/96) ABC免疫组化法,×100
Fig. 3 Positive rate of α cells being 30.2%(29/96) in CFA mice. Zero score of insulitis. Immunohistochemical method of avidin-biotin complex(ABC) ×100
, http://www.100md.com
图4 CFA组鼠,胰岛炎评分0分,胰岛内β细胞阳性率为83.7%(72/86) ABC免疫组化法,×100
Fig. 4 Positive rate of β cells being 83.7%(72/86) zero score of insulitis ABC immunohistochemical method, ×100
图5 CFA组鼠,胰岛炎评分1分,胰岛内δ细胞阳性率为7.3%(24/328) ABC免疫组化法,×100
Fig. 5 Positive rate of δ cells being 7.3%(24/328), I Score of insulitis ABC immunohistochemical method, ×100
, 百拇医药
3 讨 论
NOD鼠糖尿病可能系由于免疫调节和细胞因子平衡失调所致。Qin等给4~16周龄NOD雌鼠一次性注射CFA 50μl于后肢足底,发现4~10周处理的NOD鼠于360d龄时无一发生糖尿病,16周龄处理鼠在360d龄时有60%未发生糖尿病,而注射NS的对照鼠36周龄时均发生糖尿病,经CFA处理鼠胰岛炎较对照组病理损害轻得多。Qin等进一步研究认为,CFA预防NOD鼠胰岛炎和糖尿病作用机制在于CFA激活
, 百拇医药
人类和NOD鼠的Ⅰ型糖尿病发病机制主要由于自身免疫反应引起的胰岛β细胞进行性损伤和死亡。NOD鼠胰岛细胞定位、计数与CFA预防胰岛炎和糖尿病的关系及其机制的研究未见报道。本组资料发现:CFA组胰岛α,δ细胞阳性率明显低于NS组,而β细胞阳性率则明显高于NS组;胰岛炎评分与α,δ细胞阳性率呈正相关,而与β细胞阳性率呈负相关。此结果提示CFA具有保护NOD鼠胰岛β细胞免遭破坏的作用,使胰岛内β细胞所占比例相对高于NS组,胰岛α,δ细胞所占比例相对下降。此外,CFA组α,δ细胞阳性率低于NS组的原因可能还与以下因素有关:①β细胞减少过程中,可能破坏胰岛内分泌细胞之间相互调节作用的平衡,胰岛内炎性细胞浸润可能为胰岛α,δ细胞增殖提供了条件;②CFA在免疫调节作用过程中产生的一些细胞因子也可能刺激α,δ细胞增殖。概言之,胰岛细胞分类计数为CFA预防NOD鼠胰岛炎和糖尿病的作用机制提供了病理形态学证据。
参考文献
1 Makino S, Kunimoto Y, Muraoka Y, et al. Breeding of a non-obese strain of mice. Exp Anim, 1980,29:1~13
, 百拇医药
2 Qin HY, Sadelain MWJ, Hitchon C, et al. Complete Freund's adjuvant induced T cells prevent the development and adoptive transfer of diabetes in non-obese diabetic mice. J Immunol, 1993,150:2072~2080
3 Wang T, Singh B, Warnock G, et al. Prevention of recurrence of IDDM in islet-transplanted diabetic NOD mice by adjuvant immunotherapy. Diabetes, 1992,41:114~117
4 Guylingco R, Quddus J, Richardson B, et al. Single administration or Bacillus Calmette-Guerin(BCG) vaccine in non-obese diabetic(NOD) mice results in suppression of in vitro T-lymphocyte proliferation and regression of insulitis. Diabetes, 1991,4D:152A
5 Tisch R, Yang XD, Singer SM, et al. Immune response to glutamic acid decarboxylase correlates with insulitis in non-obese diabetic mice. Nature, 1993,366:72~75, http://www.100md.com