不同海拔高度胎盘的组织学比较研究
作者:谭德银 戴鑫琦 余良宽 刘健 潘钦 杨素琴 马树恒
单位:谭德银 戴鑫琦 余良宽 马树恒(中国人民解放军第十二医院,新疆疏勒 844200);刘健(第四军医大学电镜室,西安 710032);潘钦(中国人民解放军36922部队卫生队);杨素琴(陕西西安市电力中心医院,西安 710032)
关键词:胎盘;高海拔;病理学;组织学;超微结构
临床与实验病理学杂志990507摘要 目的:研究不同海拔高度胎盘的组织形态及超微结构。方法:对26例海拔3 200 m以上的高原组、30例1 300 m以下的喀什组及20例西安组胎盘组织进行光镜和电镜观察。结果:(1)高原组新生儿体重均数绝对值2915.38 g,明显低于喀什组(3 333 g)及西安组(3 225 g)。(2)高原组胎盘重量均值485.12 g,低于喀什组(583.96 g)及西安组(583.25 g)。(3)高原组胎盘系数比值均数绝对值6.09,高于喀什组(5.757)及西安组(5.602)。(4)组织学检查高原组具有的合体细胞结节、血管合体膜、血管增多绒毛、细胞滋养细胞,绒毛纤维素样物质沉积、基底膜增厚等阳性绒毛明显高于喀什组和西安组,而喀什组又高于西安组。(5)超微结构观察:高原组胎盘绒毛的合体细胞及朗罕细胞增生明显,粗面内质网扩张,滋养叶基底膜明显增厚。结论:高原缺氧能引起妊娠胎盘组织形态结构改变。
, http://www.100md.com
分类号 R714.56 文献标识码 A
文章编号 1001-7399(1999)05-0396-03
Comparative study of the placental pathomorphology at different elevation zones
Tan Deyin, Dai Xinqi, Yu Liangkuan et al
(The 12th Hospital of the PLA, Shule County of Xinjiang 844200)
ABSTRACT Purpose To study the human placental histomorphology and the ultrastructures among the different high-altitudes. Methods To contrasted with the 26 placentals at the elevation above 3 200 m, 30 placentals at the elevation under 1 300 m (Kashigar) and 20 placental at the elevention 300 m(Xian) were studied at light microscopic level and ultrastructural levre. Results (1)The equal absolute value of neonate at the plateau was 2 915.38 g, which was obvious lower than those in kashigar (3 333 g) and Xian (3 225 g). (2) The mean placenta weight at the plateau was 485.12 g, which was lower than those in Kashigar (583.96 g)and Xian (583.25 g). (3) The coefficient ratio equal absolute value of the placenta at the plateau was 6.09, which was higher than those in Kashigar (5.757) and Xian (5.602). (4) The positive villi characterized by the syncytial cell node, vascular syncytial layer, increasing vessels, cytotrophoblast, fibrinoid deposition, increasing thick of the basement membrane, were obviously higher than those in Xian. (5) Ultrastructuraly, the proliferation of syncytiotrophoblasts and cytotrophoblasts and dilatation of rough endoplasmic reticula were found in villi of the the plateau group. Conclusion Hypobaric hypoxia at the plateau could induce changes of histomorphology and structure of the pregnant placenta.
, 百拇医药
KEY WORDS placental; altitude; pathology; histology; ultrasture
在慢性缺氧条件下高原妊娠胎盘可呈增生性肥大,其重量、体积,甚至胎儿的体重都要大于平原妊娠的胎盘和胎儿〔1,2〕,有的资料观察结果则相反〔3,4〕。为了进一步研究高原胎盘的组织结构和超微结构特点,以及胎盘的功能变化和胎儿之间的关系,我们选择了新疆塔什库尔干县、喀什市以及西安市3个不同海拔高度地区的胎盘资料进行了比较研究,结果报道如下。
1 材料和方法
1.1 资料选择 (1)高原组:收集1997年5~8月新疆塔什库尔干县(海拔3 200~4 500 m,大气压70.5 kPa,大气氧分压14.8 kPa)正常足月孕(38~42孕周)胎盘26例,其中顺产24例、剖宫产2例。产妇年龄20~27岁,平均24.83岁。(2)喀什组:收集1997年5~8月新疆喀什地区(海拔1 300 m,大气压86.5 kPa,大气氧分压16.2 kPa)正常孕(38~42孕周)胎盘30例,其中顺产28例、剖宫产2例。产妇年龄20~28岁,平均25.43岁。(3)西安组:收集1997年10月西安市(海拔300 m)正常孕(38~42孕周)胎盘20例,均顺产,产妇年龄22~29岁,平均24.75岁。
, http://www.100md.com
1.2 检查方法 在胎儿娩出后立即称其重量,胎盘娩出后,待其流血停止,去除血凝块,擦干血液称胎盘重量,测胎盘体积,然后将胎盘用10%福尔马林液固定。胎盘系数为胎盘重量(g)与新生儿体重(g)的比重。由于胎盘的组织结构因部位不同而有差异,故取材方法统一在胎盘的中央区和两侧靠近边缘各取一块,取材要求全层。常规石蜡切片,每个蜡块切片3张,HE、PAS及Masson染色。每张切片用高倍镜视野自胎儿面至母体面全层共观察终末绒毛100个以上。
1.3 电镜标本取材 胎盘娩出后,在胎盘的中央区取1 mm×1 mm大小组织5块左右,戊二醛固定后常规制片观察。高原胎盘取材7例,喀什胎盘5例,西安胎盘3例。
1.4 绒毛观察项目及统计方法 绒毛中凡是具有合体细胞结节、血管合体膜、绒毛血管增多(即1个绒毛中血管超过8个者)、细胞滋养细胞、绒毛纤维素样物沉积(足月正常胎盘不超过3%)以及滋养细胞基底膜增厚者(正常厚度100~250 nm),即为阳性绒毛。统计学处理采用χ2检验及t检验。
, 百拇医药
2 结果
2.1 巨体检测
2.1.1 新生儿体重 高原组(塔什库尔干县)新生儿体重2500~3500g,平均2915.38g;喀什组2900~3900g,平均3333g;西安组2900~3900g,平均3 225 g。三地比较:高原组新生儿体重明显低于喀什组及西安组,差异均有高度显著性(P<0.01),而喀什组与西安组差别不大。
2.1.2 胎盘重量 高原组380~741 g,平均485.12 g,较喀什组(460~715 g,平均583.96 g)低98.84 g(P<0.01),较西安组(475~700 g,平均583.25 g)低98.13 g(P<0.01)。
2.1.3 胎盘体积 高原组胎盘体积均数绝对值702.78 cm3,较喀什组742.97 cm3低40.19 cm3(P>0.05),明显低于西安组926.74 cm3(P<0.01),而喀什组又明显低于西安组(P<0.01)。
, http://www.100md.com
2.1.4 胎盘系数 胎盘系数为新生儿体重(g)与胎盘重量(g)的比值。高原组胎盘系数比值均数绝对值6.09,高于喀什组5.757(P>0.05)及西安组5.602(P<0.025),喀什组与西安组无统计学意义。
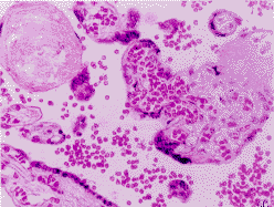
2.2 组织形态观察 高原组26例,共观察终末绒毛11 032个;喀什组30例,观察终末绒毛13 164个;西安组20例,观察终末绒毛9 510个。
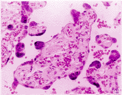
2.2.1 合体细胞结节绒毛 见图1,2。占高原组31.68%(3 495/11 032),喀什组占27.06%(3 564/13 164),西安组占23.63%(2 247/9 510)。相互比较,高原组明显高于喀什组及西安组(P<0.01),而喀什组又明显高于西安组(P<0.01)。
图1 高原胎盘绒毛合体细胞结节增多。HE×180
, http://www.100md.com
图2 合体细胞桥。HE×360
2.2.2 血管合体膜绒毛 见图3。高原组占42.55%(4 964/11 032),明显高于喀什组28.34%及西安组27.61%(P<0.01),喀什组与西安组差别不大(P>0.05)。
图3 血管合体膜。HE×360
2.2.3 血管增多绒毛 高原组为8.42%(929/11 032),明显高于喀什组2.99%及西安组1.66%,差异均有显著性(P<0.01)而喀什组又明显高于西安组(P<0.01)。
2.2.4 滋养细胞 高原组为10.39%(1 146/11 032),高于喀什组7.52%及西安组3.91%(P<0.01),喀什组又高于西安组(P<0.01)。
, http://www.100md.com
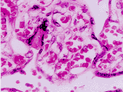
2.2.5 绒毛纤维素样物沉积 见图4。高原组为8.70%(960/11 032)高于喀什组4.41%及西安组3.4%(P<0.01),喀什组又高于西安组(P<0.01)。
图4 绒毛纤维素样物沉积。HE×180
2.2.6 基膜增厚绒毛 高原组为2.15%(237/11 032),高于喀什组1.03%及西安组0.76%(P<0.01),喀什组高于西安组(P<0.05)。
2.3 超微结构
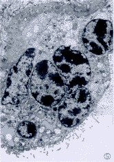
2.3.1 高原组胎盘绒毛的超微结构 (1)合体细胞增生(图5),合体结节增多,部分合体细胞的粗面内质网高度扩张,胞质内出现空泡,细胞器减少,核异染色质边集,核周间隙加大,表面微绒毛短而少。(2)细胞滋养细胞均有增生,其程度不等,增生明显者往往数个相连成串,并见双核细胞(图6);增生细胞中,多数细胞超微结构与正常相似,少数细胞可见粗面内质网扩张。(3)部分绒毛滋养叶基底层增厚,增厚程度不等,可达正常的几倍至十几倍(图7)。(4)毛细血管的改变,部分毛细血管的内皮细胞肿胀,管腔变狭窄,少数内皮细胞见粗面内质网扩张,线粒体肿胀,毛细血管增生,部分扩张充血,个别血管腔内有血栓形成。
, 百拇医药
图5 合体细胞结节,基底膜增厚,粗面内质网扩张。EM×4 000
图6 郎罕细胞增生,出现双核。EM×3 000
图7 郎罕细胞,粗面内质网扩张,基底腊增厚明显。EM郎罕细胞5 000
2.3.2 喀什及西安组胎盘绒毛的超微结构 合体细胞由若干细胞融合,彼此间无界限,细胞游离面有发育完好的微绒毛,胞核集结形成合体细胞结节。滋养层细胞呈圆形,椭圆形或多边形,数量不等,胞质电子密度较低,细胞器较少,分布均匀,游离核糖体较多,粗面内质网及线粒体较少,胞核淡染,核仁清楚。滋养叶基底层位于滋养细胞基底部,质地均匀,电子密度中等,绒毛间质内含有毛细血管,成纤维细胞,胶原纤维及霍夫包细胞(Hofbauers cell)。毛细血管内皮细胞一般扁平菲薄,细胞器比较少,可见线粒体,粗面内质网,核糖体,吞饮小泡及原纤维,内皮细胞间有连接装置连接。
, http://www.100md.com
3 讨论
新疆塔什库尔干县位于我国最西部的帕米尔高原,海拔3?200~4?500 m,大气压70.5 kPa,大气氧分压14.8 kPa, 气候寒冷,自然条件差。我们通过对不同海拔高度胎盘的大体检测,组织形态和超微结构观察,结果显示有如下特点:(1)新生儿体重均数绝对值高原组(2 915.38 g)明显低于喀什及西安两地,而喀什与西安差别不大。(2)高原胎盘的重量、体积均高于喀什及西安,但喀什与西安差别不大。胎盘系数高原组要高于喀什组及西安组,但喀什组与西安组无统计学意义。(3)组织形态中的合体细胞结节、细胞滋养细胞、纤维素样物沉积、血管合体膜、血管增多绒毛、高原组明显高于喀什组及西安组,而喀什组又明显高于西安组。(4)超微结构中高原胎盘绒毛中的细胞滋养细胞增生明显,出现双核,绒毛基膜增厚达正常的几倍至十几倍。提示在高原缺氧条件下,细胞滋养细胞不断分裂形成合体细胞,以修复受损的合体细胞体层。其机制可能与缺氧条件下,细胞滋养细胞增生有关。因基底膜物质可由细胞滋养细胞产生,故基底膜增厚。因此,合体细胞增多伴细胞滋养细胞增生者,可作为胎盘缺氧的一个指征。
, 百拇医药
一般认为,高原低氧分压环境中的胎盘重量和体积都要大于平原组的,这是一种代偿性肥大〔1,2〕。但本文资料与之相反。尽管长期居住在高原地区的居民,其机体的生理机能已能适应慢性缺氧环境,但是,当妊娠时,孕妇机体的生理机能发生改变。物质代谢增强,需氧量增加,随着妊娠月份的增加越明显,机体难以适应慢性缺氧环境。势必给胎盘、胎儿的发育带来影响。本组巨检显示胎盘重量和体积高原组明显低于喀什组及西安组,胎盘系数比值均数绝对值明显高于喀什组及西安组。从胎盘的组织形态学及超微结构显示,胎盘绒毛的合体细胞结节增多有细胞滋养细胞增生,高原组较喀什组和西安组明显,这说明合体细胞结节及滋养细胞增生是对缺氧的一种组织反应,而合体细胞结节可能是绒毛退变衰老的一部分。随着妊娠月份的增加,胎盘缺氧越明显,合体细胞结节、绒毛纤维素样物沉积及滋养细胞增生的绒毛增加。Fox〔5〕的实验显示,在低氧条件下,胎盘绒毛在组织培养中可出现合体细胞、朗罕细胞、血管内皮细胞增生及底膜增厚,而底膜增厚却影响母血与胎儿之间的营养物质交换,影响胎儿的发育。尽管高原胎盘绒毛毛细血管增加来增加胎盘的血流量,改善缺氧状况,胎盘绒毛血管合体膜增加来增加母体和胎盘之间的物质交换,但是,妊娠始终在高原低氧分压环境下进行,随着妊娠时间的推移,胎儿的需氧量和营养物质的需求量增加,而缺氧的适应性未能得到根本性的改变,最终成为胎盘、胎儿均数绝对值要小于平原组的直接原因。
, 百拇医药
本文资料揭示,随着海拔的增高,胎盘的合体细胞层、滋养细胞、血管增多绒毛、血管合体膜、绒毛纤维素样物沉积、基膜增厚等阳性绒毛检出率就越高。喀什海拔虽然低于塔什库尔干,但较西安海拔高1 000 m,尽管胎盘的巨体检测与西安差别不大,但组织形态学有显著性差异。说明随着海拔的增高,缺氧越明显,对胎儿的影响就越大。有资料显示,高原缺氧能引起胎盘血管瘤的增加〔6〕,甚至成为染色体畸变的因素〔7〕。因此,本研究对于高原地区的计划生育工作、孕期保健、妊娠指导,无疑起到积极的作用。
基金项目:兰州军区计划生育专项基金资助课题(No 9501)
作者简介:谭德银,男,44岁,副主任医师,现任西安电力中心医院病理科主任
参考文献
1,Cotton EK. Re-evaluation of birth weights at altitude. Study of badies born mothers living at an altitude of 3100 meter. Am J Obstet Gynecol,1980;138:220
, http://www.100md.com
2,种天乐,赵桂兰,刘伯宁. 高原胎盘的巨体检测和组织计量观察. 中华妇产科杂志,1983;18(3):146~149
3,战文慧,李平瑶,隋官杰等. 西藏高原各族产妇胎盘形态及组织结构的观察. 中华妇产科杂志,1989;24(6):341~343
4,Mayhen TM. Scaling placental oxygen diffusion to birth weight. Studes on placentae from low-and high altitude pregnancies. printed in Great Britain. J Anat,1991;175:187~194
5,Fox H. Basement membrane changes in the villi of the human placenta. J Obstet Gynecol By Comm,1968;75:302
, 百拇医药
6,Reshelnikonwa OS, Burton GJ, Milovanov AP et al . Increased incidence of placental chorioangioma in high-altitude pregnancies: hypobaric hypoxia as a possible etiologic factor. Am J Obstet Gynecol,1996;174(2):557~561
7,谭德银,戴鑫琦,余良宽等. 不同海拔高度新生儿染色体畸变观察比较研究. 高原医学杂志,1998;8(2):35~38
(图片见插页第59页)
收稿日期:1998-12-23
修回日期:1999-05-31, http://www.100md.com
单位:谭德银 戴鑫琦 余良宽 马树恒(中国人民解放军第十二医院,新疆疏勒 844200);刘健(第四军医大学电镜室,西安 710032);潘钦(中国人民解放军36922部队卫生队);杨素琴(陕西西安市电力中心医院,西安 710032)
关键词:胎盘;高海拔;病理学;组织学;超微结构
临床与实验病理学杂志990507摘要 目的:研究不同海拔高度胎盘的组织形态及超微结构。方法:对26例海拔3 200 m以上的高原组、30例1 300 m以下的喀什组及20例西安组胎盘组织进行光镜和电镜观察。结果:(1)高原组新生儿体重均数绝对值2915.38 g,明显低于喀什组(3 333 g)及西安组(3 225 g)。(2)高原组胎盘重量均值485.12 g,低于喀什组(583.96 g)及西安组(583.25 g)。(3)高原组胎盘系数比值均数绝对值6.09,高于喀什组(5.757)及西安组(5.602)。(4)组织学检查高原组具有的合体细胞结节、血管合体膜、血管增多绒毛、细胞滋养细胞,绒毛纤维素样物质沉积、基底膜增厚等阳性绒毛明显高于喀什组和西安组,而喀什组又高于西安组。(5)超微结构观察:高原组胎盘绒毛的合体细胞及朗罕细胞增生明显,粗面内质网扩张,滋养叶基底膜明显增厚。结论:高原缺氧能引起妊娠胎盘组织形态结构改变。
, http://www.100md.com
分类号 R714.56 文献标识码 A
文章编号 1001-7399(1999)05-0396-03
Comparative study of the placental pathomorphology at different elevation zones
Tan Deyin, Dai Xinqi, Yu Liangkuan et al
(The 12th Hospital of the PLA, Shule County of Xinjiang 844200)
ABSTRACT Purpose To study the human placental histomorphology and the ultrastructures among the different high-altitudes. Methods To contrasted with the 26 placentals at the elevation above 3 200 m, 30 placentals at the elevation under 1 300 m (Kashigar) and 20 placental at the elevention 300 m(Xian) were studied at light microscopic level and ultrastructural levre. Results (1)The equal absolute value of neonate at the plateau was 2 915.38 g, which was obvious lower than those in kashigar (3 333 g) and Xian (3 225 g). (2) The mean placenta weight at the plateau was 485.12 g, which was lower than those in Kashigar (583.96 g)and Xian (583.25 g). (3) The coefficient ratio equal absolute value of the placenta at the plateau was 6.09, which was higher than those in Kashigar (5.757) and Xian (5.602). (4) The positive villi characterized by the syncytial cell node, vascular syncytial layer, increasing vessels, cytotrophoblast, fibrinoid deposition, increasing thick of the basement membrane, were obviously higher than those in Xian. (5) Ultrastructuraly, the proliferation of syncytiotrophoblasts and cytotrophoblasts and dilatation of rough endoplasmic reticula were found in villi of the the plateau group. Conclusion Hypobaric hypoxia at the plateau could induce changes of histomorphology and structure of the pregnant placenta.
, 百拇医药
KEY WORDS placental; altitude; pathology; histology; ultrasture
在慢性缺氧条件下高原妊娠胎盘可呈增生性肥大,其重量、体积,甚至胎儿的体重都要大于平原妊娠的胎盘和胎儿〔1,2〕,有的资料观察结果则相反〔3,4〕。为了进一步研究高原胎盘的组织结构和超微结构特点,以及胎盘的功能变化和胎儿之间的关系,我们选择了新疆塔什库尔干县、喀什市以及西安市3个不同海拔高度地区的胎盘资料进行了比较研究,结果报道如下。
1 材料和方法
1.1 资料选择 (1)高原组:收集1997年5~8月新疆塔什库尔干县(海拔3 200~4 500 m,大气压70.5 kPa,大气氧分压14.8 kPa)正常足月孕(38~42孕周)胎盘26例,其中顺产24例、剖宫产2例。产妇年龄20~27岁,平均24.83岁。(2)喀什组:收集1997年5~8月新疆喀什地区(海拔1 300 m,大气压86.5 kPa,大气氧分压16.2 kPa)正常孕(38~42孕周)胎盘30例,其中顺产28例、剖宫产2例。产妇年龄20~28岁,平均25.43岁。(3)西安组:收集1997年10月西安市(海拔300 m)正常孕(38~42孕周)胎盘20例,均顺产,产妇年龄22~29岁,平均24.75岁。
, http://www.100md.com
1.2 检查方法 在胎儿娩出后立即称其重量,胎盘娩出后,待其流血停止,去除血凝块,擦干血液称胎盘重量,测胎盘体积,然后将胎盘用10%福尔马林液固定。胎盘系数为胎盘重量(g)与新生儿体重(g)的比重。由于胎盘的组织结构因部位不同而有差异,故取材方法统一在胎盘的中央区和两侧靠近边缘各取一块,取材要求全层。常规石蜡切片,每个蜡块切片3张,HE、PAS及Masson染色。每张切片用高倍镜视野自胎儿面至母体面全层共观察终末绒毛100个以上。
1.3 电镜标本取材 胎盘娩出后,在胎盘的中央区取1 mm×1 mm大小组织5块左右,戊二醛固定后常规制片观察。高原胎盘取材7例,喀什胎盘5例,西安胎盘3例。
1.4 绒毛观察项目及统计方法 绒毛中凡是具有合体细胞结节、血管合体膜、绒毛血管增多(即1个绒毛中血管超过8个者)、细胞滋养细胞、绒毛纤维素样物沉积(足月正常胎盘不超过3%)以及滋养细胞基底膜增厚者(正常厚度100~250 nm),即为阳性绒毛。统计学处理采用χ2检验及t检验。
, 百拇医药
2 结果
2.1 巨体检测
2.1.1 新生儿体重 高原组(塔什库尔干县)新生儿体重2500~3500g,平均2915.38g;喀什组2900~3900g,平均3333g;西安组2900~3900g,平均3 225 g。三地比较:高原组新生儿体重明显低于喀什组及西安组,差异均有高度显著性(P<0.01),而喀什组与西安组差别不大。
2.1.2 胎盘重量 高原组380~741 g,平均485.12 g,较喀什组(460~715 g,平均583.96 g)低98.84 g(P<0.01),较西安组(475~700 g,平均583.25 g)低98.13 g(P<0.01)。
2.1.3 胎盘体积 高原组胎盘体积均数绝对值702.78 cm3,较喀什组742.97 cm3低40.19 cm3(P>0.05),明显低于西安组926.74 cm3(P<0.01),而喀什组又明显低于西安组(P<0.01)。
, http://www.100md.com
2.1.4 胎盘系数 胎盘系数为新生儿体重(g)与胎盘重量(g)的比值。高原组胎盘系数比值均数绝对值6.09,高于喀什组5.757(P>0.05)及西安组5.602(P<0.025),喀什组与西安组无统计学意义。
2.2 组织形态观察 高原组26例,共观察终末绒毛11 032个;喀什组30例,观察终末绒毛13 164个;西安组20例,观察终末绒毛9 510个。
2.2.1 合体细胞结节绒毛 见图1,2。占高原组31.68%(3 495/11 032),喀什组占27.06%(3 564/13 164),西安组占23.63%(2 247/9 510)。相互比较,高原组明显高于喀什组及西安组(P<0.01),而喀什组又明显高于西安组(P<0.01)。
图1 高原胎盘绒毛合体细胞结节增多。HE×180
, http://www.100md.com
图2 合体细胞桥。HE×360
2.2.2 血管合体膜绒毛 见图3。高原组占42.55%(4 964/11 032),明显高于喀什组28.34%及西安组27.61%(P<0.01),喀什组与西安组差别不大(P>0.05)。
图3 血管合体膜。HE×360
2.2.3 血管增多绒毛 高原组为8.42%(929/11 032),明显高于喀什组2.99%及西安组1.66%,差异均有显著性(P<0.01)而喀什组又明显高于西安组(P<0.01)。
2.2.4 滋养细胞 高原组为10.39%(1 146/11 032),高于喀什组7.52%及西安组3.91%(P<0.01),喀什组又高于西安组(P<0.01)。
, http://www.100md.com
2.2.5 绒毛纤维素样物沉积 见图4。高原组为8.70%(960/11 032)高于喀什组4.41%及西安组3.4%(P<0.01),喀什组又高于西安组(P<0.01)。
图4 绒毛纤维素样物沉积。HE×180
2.2.6 基膜增厚绒毛 高原组为2.15%(237/11 032),高于喀什组1.03%及西安组0.76%(P<0.01),喀什组高于西安组(P<0.05)。
2.3 超微结构
2.3.1 高原组胎盘绒毛的超微结构 (1)合体细胞增生(图5),合体结节增多,部分合体细胞的粗面内质网高度扩张,胞质内出现空泡,细胞器减少,核异染色质边集,核周间隙加大,表面微绒毛短而少。(2)细胞滋养细胞均有增生,其程度不等,增生明显者往往数个相连成串,并见双核细胞(图6);增生细胞中,多数细胞超微结构与正常相似,少数细胞可见粗面内质网扩张。(3)部分绒毛滋养叶基底层增厚,增厚程度不等,可达正常的几倍至十几倍(图7)。(4)毛细血管的改变,部分毛细血管的内皮细胞肿胀,管腔变狭窄,少数内皮细胞见粗面内质网扩张,线粒体肿胀,毛细血管增生,部分扩张充血,个别血管腔内有血栓形成。
, 百拇医药
图5 合体细胞结节,基底膜增厚,粗面内质网扩张。EM×4 000
图6 郎罕细胞增生,出现双核。EM×3 000
图7 郎罕细胞,粗面内质网扩张,基底腊增厚明显。EM郎罕细胞5 000
2.3.2 喀什及西安组胎盘绒毛的超微结构 合体细胞由若干细胞融合,彼此间无界限,细胞游离面有发育完好的微绒毛,胞核集结形成合体细胞结节。滋养层细胞呈圆形,椭圆形或多边形,数量不等,胞质电子密度较低,细胞器较少,分布均匀,游离核糖体较多,粗面内质网及线粒体较少,胞核淡染,核仁清楚。滋养叶基底层位于滋养细胞基底部,质地均匀,电子密度中等,绒毛间质内含有毛细血管,成纤维细胞,胶原纤维及霍夫包细胞(Hofbauers cell)。毛细血管内皮细胞一般扁平菲薄,细胞器比较少,可见线粒体,粗面内质网,核糖体,吞饮小泡及原纤维,内皮细胞间有连接装置连接。
, http://www.100md.com
3 讨论
新疆塔什库尔干县位于我国最西部的帕米尔高原,海拔3?200~4?500 m,大气压70.5 kPa,大气氧分压14.8 kPa, 气候寒冷,自然条件差。我们通过对不同海拔高度胎盘的大体检测,组织形态和超微结构观察,结果显示有如下特点:(1)新生儿体重均数绝对值高原组(2 915.38 g)明显低于喀什及西安两地,而喀什与西安差别不大。(2)高原胎盘的重量、体积均高于喀什及西安,但喀什与西安差别不大。胎盘系数高原组要高于喀什组及西安组,但喀什组与西安组无统计学意义。(3)组织形态中的合体细胞结节、细胞滋养细胞、纤维素样物沉积、血管合体膜、血管增多绒毛、高原组明显高于喀什组及西安组,而喀什组又明显高于西安组。(4)超微结构中高原胎盘绒毛中的细胞滋养细胞增生明显,出现双核,绒毛基膜增厚达正常的几倍至十几倍。提示在高原缺氧条件下,细胞滋养细胞不断分裂形成合体细胞,以修复受损的合体细胞体层。其机制可能与缺氧条件下,细胞滋养细胞增生有关。因基底膜物质可由细胞滋养细胞产生,故基底膜增厚。因此,合体细胞增多伴细胞滋养细胞增生者,可作为胎盘缺氧的一个指征。
, 百拇医药
一般认为,高原低氧分压环境中的胎盘重量和体积都要大于平原组的,这是一种代偿性肥大〔1,2〕。但本文资料与之相反。尽管长期居住在高原地区的居民,其机体的生理机能已能适应慢性缺氧环境,但是,当妊娠时,孕妇机体的生理机能发生改变。物质代谢增强,需氧量增加,随着妊娠月份的增加越明显,机体难以适应慢性缺氧环境。势必给胎盘、胎儿的发育带来影响。本组巨检显示胎盘重量和体积高原组明显低于喀什组及西安组,胎盘系数比值均数绝对值明显高于喀什组及西安组。从胎盘的组织形态学及超微结构显示,胎盘绒毛的合体细胞结节增多有细胞滋养细胞增生,高原组较喀什组和西安组明显,这说明合体细胞结节及滋养细胞增生是对缺氧的一种组织反应,而合体细胞结节可能是绒毛退变衰老的一部分。随着妊娠月份的增加,胎盘缺氧越明显,合体细胞结节、绒毛纤维素样物沉积及滋养细胞增生的绒毛增加。Fox〔5〕的实验显示,在低氧条件下,胎盘绒毛在组织培养中可出现合体细胞、朗罕细胞、血管内皮细胞增生及底膜增厚,而底膜增厚却影响母血与胎儿之间的营养物质交换,影响胎儿的发育。尽管高原胎盘绒毛毛细血管增加来增加胎盘的血流量,改善缺氧状况,胎盘绒毛血管合体膜增加来增加母体和胎盘之间的物质交换,但是,妊娠始终在高原低氧分压环境下进行,随着妊娠时间的推移,胎儿的需氧量和营养物质的需求量增加,而缺氧的适应性未能得到根本性的改变,最终成为胎盘、胎儿均数绝对值要小于平原组的直接原因。
, 百拇医药
本文资料揭示,随着海拔的增高,胎盘的合体细胞层、滋养细胞、血管增多绒毛、血管合体膜、绒毛纤维素样物沉积、基膜增厚等阳性绒毛检出率就越高。喀什海拔虽然低于塔什库尔干,但较西安海拔高1 000 m,尽管胎盘的巨体检测与西安差别不大,但组织形态学有显著性差异。说明随着海拔的增高,缺氧越明显,对胎儿的影响就越大。有资料显示,高原缺氧能引起胎盘血管瘤的增加〔6〕,甚至成为染色体畸变的因素〔7〕。因此,本研究对于高原地区的计划生育工作、孕期保健、妊娠指导,无疑起到积极的作用。
基金项目:兰州军区计划生育专项基金资助课题(No 9501)
作者简介:谭德银,男,44岁,副主任医师,现任西安电力中心医院病理科主任
参考文献
1,Cotton EK. Re-evaluation of birth weights at altitude. Study of badies born mothers living at an altitude of 3100 meter. Am J Obstet Gynecol,1980;138:220
, http://www.100md.com
2,种天乐,赵桂兰,刘伯宁. 高原胎盘的巨体检测和组织计量观察. 中华妇产科杂志,1983;18(3):146~149
3,战文慧,李平瑶,隋官杰等. 西藏高原各族产妇胎盘形态及组织结构的观察. 中华妇产科杂志,1989;24(6):341~343
4,Mayhen TM. Scaling placental oxygen diffusion to birth weight. Studes on placentae from low-and high altitude pregnancies. printed in Great Britain. J Anat,1991;175:187~194
5,Fox H. Basement membrane changes in the villi of the human placenta. J Obstet Gynecol By Comm,1968;75:302
, 百拇医药
6,Reshelnikonwa OS, Burton GJ, Milovanov AP et al . Increased incidence of placental chorioangioma in high-altitude pregnancies: hypobaric hypoxia as a possible etiologic factor. Am J Obstet Gynecol,1996;174(2):557~561
7,谭德银,戴鑫琦,余良宽等. 不同海拔高度新生儿染色体畸变观察比较研究. 高原医学杂志,1998;8(2):35~38
(图片见插页第59页)
收稿日期:1998-12-23
修回日期:1999-05-31, http://www.100md.com