肿瘤抑制基因nm23-H1在口腔鳞癌组织中的蛋白表达及其与预后的关系
作者:张韬 赖钦声 杜德顺 赵玉霞 柴京
单位:100730中国医学科学院中国协和医科大学北京协和医院口腔科
关键词:预后;基因;抑制;肿瘤;癌;鳞状细胞;口腔粘膜
中华口腔医学杂志990512 【摘要】 目的 研究nm23-H1蛋白在口腔鳞癌中的表达情况,并探讨它与口腔鳞癌患者预后的关系。方法 采用免疫组化SABC法检测75例口腔鳞癌、19例癌旁粘膜、8例正常口腔粘膜及9例颈淋巴结转移灶中的nm23-H1蛋白染色,利用χ2检验及单因素、多因素Cox比例风险模型进行统计分析。结果 χ2检验发现,nm23-H1蛋白表达水平在生存期小于3年组和大于7年组间差异有显著性(P<0.05)。单因素Cox模型分析发现nm23-H1蛋白表达水平等因素与预后有关;多因素Cox分析未发现nm23-H1蛋白表达水平等因素与预后有关。结论 nm23-H1蛋白表达水平的高低可能不是影响口腔鳞癌患者预后的主要因素,nm23-H1蛋白可能通过对转移的作用间接影响预后。
, http://www.100md.com
Expression of metastasis suppressor gene nm23-H1 in oral squamous cell carcinoma and its relation to tumor prognosis
ZHANG Tao, LAI Qinsheng, DU Deshun, et al.
Department of Stomatology, Peking Union Medicine College Hospital, Chinese Academy of Medical Science and Peking Union Medicine College, Beijing 100730
【Abstract】 Objective To study the relation between the expression level of nm23-H1 protein and prognosis of oral squamous cell carcinoma (OSCC). Methods The expression of nm23-H1 protein in 75 cases of OSCC, 27 cases of oral mucosa, 9 cases of cervical lymph-node metastases by immunohistochemical technique (SABC), and the relation between nm23-H1 protein expression level and prognosis of OSCC was evaluated by chi-test and single-factor, multi-factor Cox proportional hazards regression model analysis. Results These immunoreactivities of nm23-H1 protein were mostly in the cytoplasm of tumor and epithelial cells. There was a significant difference of nm23-H1 protein expression level between three-year survival and seven-year survival group(P< 0.05), and there was a relation between nm23-H1 protein expression level and prognosis of OSCC in single-factor Cox analysis. But no relation was found between nm23-H1 protein expression level and prognosis in multi-factor Cox analysis. Conclusion nm23-H1 protein expression level was probably not a valuable predictor of OSCC patients′prognosis. It may indirectly affect OSCC prognosis through its effect on OSCC metastasis.
, 百拇医药
【Key words】 Prognosis Genes,suppressor,tumor Carcinoma,squamous cell Mouth mucosa
nm23基因是近年来较为引人注目的肿瘤转移抑制基因,许多研究表明,nm23基因与乳腺癌、肝癌、胃癌、前列腺癌等多种人类肿瘤的转移及预后相关。目前研究显示,nm23基因有nm23-H1、nm23-H2两种亚型,其中只有nm23-H1基因与肿瘤转移及预后有明显关系。有关nm23-H1基因在口腔鳞癌组织中的表达情况及其与预后关系的研究尚未见报道。我们通过免疫组化技术检测口腔鳞癌组织中nm23-H1基因的蛋白表达情况,并探讨了它与口腔鳞癌患者预后的关系。
材料与方法
1.主要试剂及来源:nm23-H1单克隆抗体(美国SantaCruz公司);SABC免疫组织化学试剂盒(Boster公司);DAB显色试剂盒(美国Zymed公司)。
, http://www.100md.com
2.标本来源:口腔鳞状细胞癌75例,口腔鳞癌癌旁粘膜(取粘膜上皮组织学形态基本正常者)19例,颈淋巴结转移灶9例,正常口腔粘膜8例。均为北京协和医院及北京口腔医院颌面外科1985~1990年手术切除及活检标本,常规福尔马林固定、脱水、石蜡包埋,所有标本均经病理检查证实。制备4μm连续切片分别用于常规HE染色和免疫组化染色。
3.临床及病理资料:75例口腔鳞癌中舌癌32例、牙龈癌25例、颊癌18例。均为手术治疗,部分病例辅以放疗及化疗。临床病理资料来自住院及门诊病案记录,临床分期依口腔颌面部恶性肿瘤的TNM分期及临床分期标准分为4期;肿瘤大小依TNM分期分为T1、T2、T3、及T44组;病理分级按WHO1971年的分级方案分为高、中及低分化鳞癌3级;颈淋巴结转移与否以术后病理检查结果为准。患者术后情况及生存期来自复诊及随访资料。64例有完整的复查及随访记录,11例失访。
, 百拇医药 4.nm23-H1蛋白的免疫组织化学染色:采用SABC法进行免疫组化染色,DAB试剂盒显色,具体操作步骤按试剂盒说明书进行。一抗滴度为1∶50,4℃孵育过夜。
5.质量控制:每个染色流程均设有对照以作为染色质量控制标准,阳性对照采用已知的阳性组织切片,空白对照用PBS代替一抗,替代对照用正常血清替代一抗。
6.结果判断及评分方法:nm23-H1蛋白免疫组化染色的阳性信号为黄棕色反应物质,主要位于上皮及肿瘤细胞胞浆中。参照Barnes等[1]和Royds等[2]的方法结合着色程度和阳性着色范围进行评分。将着色程度分4级:基本未见着色、染色与背景相似为0级;着浅黄色、染色略高于背景为Ⅰ级;中度着色、黄棕色、染色明显高于背景为Ⅱ级;强染、着深棕色为Ⅲ级。每张切片观察10个肿瘤细胞异形性较明显的10×40倍视野,至少计数100个肿瘤细胞(如为正常上皮则计数上皮细胞),分别记录0~Ⅲ级染色细胞数。所有肿瘤细胞均为0级或偶见Ⅰ级染色的细胞,为(-);Ⅱ、Ⅲ级染色细胞数之和与总细胞数之比小于25%者为(+),在25%~50%之间者为(++),在50%~75%之间者为(+++),大于75%者为(++++)。(-)、(+)、(++)为低染组,(+++)、(++++)为高染组。
, http://www.100md.com
7.统计分析:应用EPI和SAS软件分别进行χ2检验,并用单因素、多因素的Cox比例风险模型分析染色及临床病理指标与患者生存期、预后的关系。
结果
1.正常及癌旁口腔粘膜中nm23-H1蛋白表达:nm23-H1蛋白在正常口腔粘膜上皮及癌旁口腔粘膜上皮中均为高染,其蛋白表达主要定位在口腔粘膜上皮基底上层细胞的胞浆中,基层细胞少见染色(图1)。
图1 癌旁口腔粘膜上皮免疫组化染色1例,nm23-H1蛋白高染(SABC法×400)
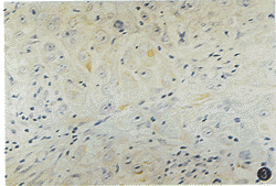
2.口腔鳞癌中nm23-H1蛋白的表达:75例口腔鳞癌中低染48例,高染27例。其中染色(-)18例,(+)21例,(++)9例,(+++)19例,(++++)8例。nm23-H1的阳性信号主要位于肿瘤细胞的胞浆中,且肿瘤细胞分化越好,染色也越好(图2,3)。
, http://www.100md.com
图2 高分化鳞癌免疫组化染色1例,nm23-H1蛋白高染(SABC法×400)
图3 低分化鳞癌免疫组化染色1例,nm23-H1蛋白低染(SABC法×400)
3.颈淋巴结转移灶中nm23-H1蛋白的染色:9例淋巴结转移灶中染色(-)6例,(+)2例,(++)1例,其中6例染色低于原发灶,3例与原发灶表达相似。nm23-H1的阳性信号主要位于肿瘤细胞的胞浆中,淋巴细胞基本未见着色。
4.nm23-H1蛋白表达水平与口腔鳞癌临床病理指标的关系:χ2检验发现,nm23-H1蛋白表达水平同肿瘤的大小、部位、患者的年龄、性别及临床分期无明显关系;与口腔鳞癌的颈淋巴结转移及病理分级有关。淋巴结转移组高染率为15.15%(5/33),无淋巴结转移组的高染率为52.38%(22/42),两组间差异有极显著性(P<0.01)。在高、中、低分化鳞癌中的高染率分别为48.89%(22/45)、20.00%(4/20)、10.00%(1/10),高分化同中、低分化鳞癌间差异有显著性(P<0.05),见图2、3。
, 百拇医药
5.卡方检验分析nm23-H1蛋白表达水平与患者生存期的关系:结果见表1。
表1 χ2检验评价nm23-H1基因的蛋白表达水平与患者生存期的关系(例) 临床病理
指标
nm23-H1基因的蛋白染色情况
总
计
χ2值
P值
低染组
高染组
, http://www.100md.com
-
+
++
合计
+++
++++
合计
生存期
(年)
<3
8
9
1
18
, 百拇医药
2
2
4
22
3~5
1
3
4
8
2
1
3
11
8.53
, http://www.100md.com
0.0362
5~7
2
1
0
3
2
0
2
5
>7
4
6
1
, 百拇医药
11
11
4
15
26
总 计
15
19
6
40
17
7
24
64
, 百拇医药
讨论
nm23基因是美国国立癌症研究所的Steeg等[3]采用差减克隆杂交技术,从不同转移潜力的鼠K-1735黑色素瘤细胞系cDNA文库中分离出来的一种转移抑制基因,其在低转移细胞株中的表达是高转移细胞株的10倍。人类基因组的nm23基因定位于17号染色体长臂上,有nm23-H1和nm23-H2两个独立的亚型。nm23-H1基因全长8.5KB,含5个外显子,4个内含子,全部编码区由533个核苷酸组成,产生由152个氨基酸组成的相对分子质量为17000的蛋白质。nm23-H2编码的蛋白质,其氨基酸顺序与nm23-H1基因产物有88%的同源性[4,5]。研究显示:仅有nm23-H1的表达与肿瘤的转移和预后有关,而nm23-H2的表达与肿瘤转移和预后无关[6-8]。以往研究多s使用的抗NDPK多克隆抗体与nm23-H1、nm23-H2均可发生反应。本研究采用了抗nm23-H1的单克隆抗体,该抗体仅与nm23-H1基因产物发生特异性结合,能特异性地检出nm23-H1基因的蛋白表达,避免了nm23-H2蛋白的影响。
, 百拇医药
SABC法是新一代的免疫组化方法,具有较高的敏感性和特异性。同时结合着色程度和阳性着色范围进行评分,避免了仅依据着色程度或着色范围进行结果判定的不足,能更准确地反映nm23-H1基因的蛋白表达情况。由于同一肿瘤不同区域肿瘤细胞的分化程度、表型特征、遗传特点及生物学行为并不完全相同,因此在视野选择上我们优先选取肿瘤细胞异型性较明显的区域进行评定,因为这些区域能够较好地反映肿瘤的侵袭和转移等生物学行为,对肿瘤相关基因的研究较有意义。
本研究结果显示,nm23-H1蛋白主要定位于上皮及肿瘤细胞的胞浆中,与绝大多数文献报道相符。单因素卡方检验发现,nm23-H1基因的蛋白表达水平同患者生存期有关(P<0.05)。nm23-H1蛋白表达水平在小于3年组和大于7年组间差异有显著性(P<0.05),nm23-H1高染组的生存期长于低染组,与有关其他部位肿瘤的研究结果相似。
, 百拇医药
影响口腔鳞癌患者预后的因素是多方面的,仅对其中某一因素单独进行分析,有很大的局限性。Cox比例风险模型回归分析是目前公认的分析确定影响肿瘤患者预后因素的最好方法。该模型有允许存在不同随访时间及进入时间和截尾数据等优点,故能充分利用研究资料的数据信息,统计效率高。尤其是多因素Cox比例风险模型分析,能排除单因素分析时的缺陷,从而确定影响肿瘤患者预后的主要因素。本研究发现,肿瘤大小、nm23-H1基因的蛋白表达水平,颈淋巴结转移、临床分期在单因素Cox模型分析时,对本组口腔鳞癌患者的预后有一定影响。但在多因素Cox比例风险模型逐步回归分析时,在显著性水平为0.05时,仅有颈淋巴结转移进入了模型,建立了风险函数。显著性水平为0.15时,仍仅有颈淋巴结转移进入了模型。因此我们认为,颈淋巴结转移与否对口腔鳞癌患者的预后有一定影响,而其他指标均不是影响本组口腔鳞癌患者预后的主要因素。赵福运等[9]的资料显示,口腔鳞癌颈部无淋巴结转移的5年生存率可达74.70%,而颈部有淋巴结转移灶的5年生存率下降为28.35%。蒋佩钰和李庆宏[10]分析了122例口腔鳞癌颈淋巴结转移与预后的关系,发现有淋巴结转移的病例5年、10年生存率分别为45.8%(22/48)和36.4%(12/33),无淋巴结转移者则分别为68.9%(51/79)和61.5%(24/39),有淋巴结转移的患者生存率显著下降,这与我们的研究结果有一定的相似性。我们以往的研究曾发现,nm23-H1蛋白与口腔鳞癌转移有关,提示nm23-H1蛋白可能通过对转移的作用而间接影响了肿瘤患者的预后。
, 百拇医药
参考文献
1 Barnes R, Masood S, Barker E, et al. Low nm23 protein expression in infiltrating ductal breast carcinomas correlates with reduced patient survival. Am J Pathol, 1991,139: 245-250.
2 Royds JA, Stephenson TJ, Rees RC et al. Nm23 protein expression in ductal in situ and invasive human breast carcinoma. J Natl Cancer Inst, 1993, 85: 727-731.
3 Steeg PS, Bevilacqua G, Kopper L, et al. Evidence for a novel gene associated with low tumor metastatic potential. J Natl Cancer Inst, 1988, 80: 200-204.
, 百拇医药
4 Backer JM, Mendola CE, Koresdi I, et al. Chromosomal localization and nucleoside diphosphate kinase activity of human metastasis-suppressor genes NM23-1 and NM23-2. Oncogene, 1993, 8: 497-502.
5 Dooley S, Seib T, Engel M, et al. Isolation and characterization of the human genomic locus coding for the putative metastasis control gene nm23-H1. Hum Genet, 1994, 93: 63-66.
6 Tokunaga Y, Urano T, Furukawa K, et al. Reduced expression of nm23-H1, but not of nm23-H2, is concordant with the frequency of lymph-node metastasis of human breast cancer. Int J Cancer, 1993, 55: 66-71.
, http://www.100md.com
7 Yamaguchi A, Urano T, Goi T, et al. Expression of human nm23-H1 and nm23-H2 proteins in hepatocellular carcinoma. Cancer, 1994,73: 2280-2284.
8 Yamaguchi A, Urano T, Fushida S, et al. Inverse association of nm23-H1 expression by colorectal cancer with liver metastasis. Br J Cancer, 1993,68: 1020-1024.
9 赵福运,章魁华,马大权,等. 中华口腔医学杂志,1990,25:92-95.
10 蒋佩钰,李庆宏.口腔鳞癌颈部淋巴结转移与预后的关系.中华肿瘤杂志,1990,12:141-142.
(收稿:1998-10-28 修回:1999-05-19), 百拇医药
单位:100730中国医学科学院中国协和医科大学北京协和医院口腔科
关键词:预后;基因;抑制;肿瘤;癌;鳞状细胞;口腔粘膜
中华口腔医学杂志990512 【摘要】 目的 研究nm23-H1蛋白在口腔鳞癌中的表达情况,并探讨它与口腔鳞癌患者预后的关系。方法 采用免疫组化SABC法检测75例口腔鳞癌、19例癌旁粘膜、8例正常口腔粘膜及9例颈淋巴结转移灶中的nm23-H1蛋白染色,利用χ2检验及单因素、多因素Cox比例风险模型进行统计分析。结果 χ2检验发现,nm23-H1蛋白表达水平在生存期小于3年组和大于7年组间差异有显著性(P<0.05)。单因素Cox模型分析发现nm23-H1蛋白表达水平等因素与预后有关;多因素Cox分析未发现nm23-H1蛋白表达水平等因素与预后有关。结论 nm23-H1蛋白表达水平的高低可能不是影响口腔鳞癌患者预后的主要因素,nm23-H1蛋白可能通过对转移的作用间接影响预后。
, http://www.100md.com
Expression of metastasis suppressor gene nm23-H1 in oral squamous cell carcinoma and its relation to tumor prognosis
ZHANG Tao, LAI Qinsheng, DU Deshun, et al.
Department of Stomatology, Peking Union Medicine College Hospital, Chinese Academy of Medical Science and Peking Union Medicine College, Beijing 100730
【Abstract】 Objective To study the relation between the expression level of nm23-H1 protein and prognosis of oral squamous cell carcinoma (OSCC). Methods The expression of nm23-H1 protein in 75 cases of OSCC, 27 cases of oral mucosa, 9 cases of cervical lymph-node metastases by immunohistochemical technique (SABC), and the relation between nm23-H1 protein expression level and prognosis of OSCC was evaluated by chi-test and single-factor, multi-factor Cox proportional hazards regression model analysis. Results These immunoreactivities of nm23-H1 protein were mostly in the cytoplasm of tumor and epithelial cells. There was a significant difference of nm23-H1 protein expression level between three-year survival and seven-year survival group(P< 0.05), and there was a relation between nm23-H1 protein expression level and prognosis of OSCC in single-factor Cox analysis. But no relation was found between nm23-H1 protein expression level and prognosis in multi-factor Cox analysis. Conclusion nm23-H1 protein expression level was probably not a valuable predictor of OSCC patients′prognosis. It may indirectly affect OSCC prognosis through its effect on OSCC metastasis.
, 百拇医药
【Key words】 Prognosis Genes,suppressor,tumor Carcinoma,squamous cell Mouth mucosa
nm23基因是近年来较为引人注目的肿瘤转移抑制基因,许多研究表明,nm23基因与乳腺癌、肝癌、胃癌、前列腺癌等多种人类肿瘤的转移及预后相关。目前研究显示,nm23基因有nm23-H1、nm23-H2两种亚型,其中只有nm23-H1基因与肿瘤转移及预后有明显关系。有关nm23-H1基因在口腔鳞癌组织中的表达情况及其与预后关系的研究尚未见报道。我们通过免疫组化技术检测口腔鳞癌组织中nm23-H1基因的蛋白表达情况,并探讨了它与口腔鳞癌患者预后的关系。
材料与方法
1.主要试剂及来源:nm23-H1单克隆抗体(美国SantaCruz公司);SABC免疫组织化学试剂盒(Boster公司);DAB显色试剂盒(美国Zymed公司)。
, http://www.100md.com
2.标本来源:口腔鳞状细胞癌75例,口腔鳞癌癌旁粘膜(取粘膜上皮组织学形态基本正常者)19例,颈淋巴结转移灶9例,正常口腔粘膜8例。均为北京协和医院及北京口腔医院颌面外科1985~1990年手术切除及活检标本,常规福尔马林固定、脱水、石蜡包埋,所有标本均经病理检查证实。制备4μm连续切片分别用于常规HE染色和免疫组化染色。
3.临床及病理资料:75例口腔鳞癌中舌癌32例、牙龈癌25例、颊癌18例。均为手术治疗,部分病例辅以放疗及化疗。临床病理资料来自住院及门诊病案记录,临床分期依口腔颌面部恶性肿瘤的TNM分期及临床分期标准分为4期;肿瘤大小依TNM分期分为T1、T2、T3、及T44组;病理分级按WHO1971年的分级方案分为高、中及低分化鳞癌3级;颈淋巴结转移与否以术后病理检查结果为准。患者术后情况及生存期来自复诊及随访资料。64例有完整的复查及随访记录,11例失访。
, 百拇医药 4.nm23-H1蛋白的免疫组织化学染色:采用SABC法进行免疫组化染色,DAB试剂盒显色,具体操作步骤按试剂盒说明书进行。一抗滴度为1∶50,4℃孵育过夜。
5.质量控制:每个染色流程均设有对照以作为染色质量控制标准,阳性对照采用已知的阳性组织切片,空白对照用PBS代替一抗,替代对照用正常血清替代一抗。
6.结果判断及评分方法:nm23-H1蛋白免疫组化染色的阳性信号为黄棕色反应物质,主要位于上皮及肿瘤细胞胞浆中。参照Barnes等[1]和Royds等[2]的方法结合着色程度和阳性着色范围进行评分。将着色程度分4级:基本未见着色、染色与背景相似为0级;着浅黄色、染色略高于背景为Ⅰ级;中度着色、黄棕色、染色明显高于背景为Ⅱ级;强染、着深棕色为Ⅲ级。每张切片观察10个肿瘤细胞异形性较明显的10×40倍视野,至少计数100个肿瘤细胞(如为正常上皮则计数上皮细胞),分别记录0~Ⅲ级染色细胞数。所有肿瘤细胞均为0级或偶见Ⅰ级染色的细胞,为(-);Ⅱ、Ⅲ级染色细胞数之和与总细胞数之比小于25%者为(+),在25%~50%之间者为(++),在50%~75%之间者为(+++),大于75%者为(++++)。(-)、(+)、(++)为低染组,(+++)、(++++)为高染组。
, http://www.100md.com
7.统计分析:应用EPI和SAS软件分别进行χ2检验,并用单因素、多因素的Cox比例风险模型分析染色及临床病理指标与患者生存期、预后的关系。
结果
1.正常及癌旁口腔粘膜中nm23-H1蛋白表达:nm23-H1蛋白在正常口腔粘膜上皮及癌旁口腔粘膜上皮中均为高染,其蛋白表达主要定位在口腔粘膜上皮基底上层细胞的胞浆中,基层细胞少见染色(图1)。
图1 癌旁口腔粘膜上皮免疫组化染色1例,nm23-H1蛋白高染(SABC法×400)
2.口腔鳞癌中nm23-H1蛋白的表达:75例口腔鳞癌中低染48例,高染27例。其中染色(-)18例,(+)21例,(++)9例,(+++)19例,(++++)8例。nm23-H1的阳性信号主要位于肿瘤细胞的胞浆中,且肿瘤细胞分化越好,染色也越好(图2,3)。
, http://www.100md.com
图2 高分化鳞癌免疫组化染色1例,nm23-H1蛋白高染(SABC法×400)
图3 低分化鳞癌免疫组化染色1例,nm23-H1蛋白低染(SABC法×400)
3.颈淋巴结转移灶中nm23-H1蛋白的染色:9例淋巴结转移灶中染色(-)6例,(+)2例,(++)1例,其中6例染色低于原发灶,3例与原发灶表达相似。nm23-H1的阳性信号主要位于肿瘤细胞的胞浆中,淋巴细胞基本未见着色。
4.nm23-H1蛋白表达水平与口腔鳞癌临床病理指标的关系:χ2检验发现,nm23-H1蛋白表达水平同肿瘤的大小、部位、患者的年龄、性别及临床分期无明显关系;与口腔鳞癌的颈淋巴结转移及病理分级有关。淋巴结转移组高染率为15.15%(5/33),无淋巴结转移组的高染率为52.38%(22/42),两组间差异有极显著性(P<0.01)。在高、中、低分化鳞癌中的高染率分别为48.89%(22/45)、20.00%(4/20)、10.00%(1/10),高分化同中、低分化鳞癌间差异有显著性(P<0.05),见图2、3。
, 百拇医药
5.卡方检验分析nm23-H1蛋白表达水平与患者生存期的关系:结果见表1。
表1 χ2检验评价nm23-H1基因的蛋白表达水平与患者生存期的关系(例) 临床病理
指标
nm23-H1基因的蛋白染色情况
总
计
χ2值
P值
低染组
高染组
, http://www.100md.com
-
+
++
合计
+++
++++
合计
生存期
(年)
<3
8
9
1
18
, 百拇医药
2
2
4
22
3~5
1
3
4
8
2
1
3
11
8.53
, http://www.100md.com
0.0362
5~7
2
1
0
3
2
0
2
5
>7
4
6
1
, 百拇医药
11
11
4
15
26
总 计
15
19
6
40
17
7
24
64
, 百拇医药
讨论
nm23基因是美国国立癌症研究所的Steeg等[3]采用差减克隆杂交技术,从不同转移潜力的鼠K-1735黑色素瘤细胞系cDNA文库中分离出来的一种转移抑制基因,其在低转移细胞株中的表达是高转移细胞株的10倍。人类基因组的nm23基因定位于17号染色体长臂上,有nm23-H1和nm23-H2两个独立的亚型。nm23-H1基因全长8.5KB,含5个外显子,4个内含子,全部编码区由533个核苷酸组成,产生由152个氨基酸组成的相对分子质量为17000的蛋白质。nm23-H2编码的蛋白质,其氨基酸顺序与nm23-H1基因产物有88%的同源性[4,5]。研究显示:仅有nm23-H1的表达与肿瘤的转移和预后有关,而nm23-H2的表达与肿瘤转移和预后无关[6-8]。以往研究多s使用的抗NDPK多克隆抗体与nm23-H1、nm23-H2均可发生反应。本研究采用了抗nm23-H1的单克隆抗体,该抗体仅与nm23-H1基因产物发生特异性结合,能特异性地检出nm23-H1基因的蛋白表达,避免了nm23-H2蛋白的影响。
, 百拇医药
SABC法是新一代的免疫组化方法,具有较高的敏感性和特异性。同时结合着色程度和阳性着色范围进行评分,避免了仅依据着色程度或着色范围进行结果判定的不足,能更准确地反映nm23-H1基因的蛋白表达情况。由于同一肿瘤不同区域肿瘤细胞的分化程度、表型特征、遗传特点及生物学行为并不完全相同,因此在视野选择上我们优先选取肿瘤细胞异型性较明显的区域进行评定,因为这些区域能够较好地反映肿瘤的侵袭和转移等生物学行为,对肿瘤相关基因的研究较有意义。
本研究结果显示,nm23-H1蛋白主要定位于上皮及肿瘤细胞的胞浆中,与绝大多数文献报道相符。单因素卡方检验发现,nm23-H1基因的蛋白表达水平同患者生存期有关(P<0.05)。nm23-H1蛋白表达水平在小于3年组和大于7年组间差异有显著性(P<0.05),nm23-H1高染组的生存期长于低染组,与有关其他部位肿瘤的研究结果相似。
, 百拇医药
影响口腔鳞癌患者预后的因素是多方面的,仅对其中某一因素单独进行分析,有很大的局限性。Cox比例风险模型回归分析是目前公认的分析确定影响肿瘤患者预后因素的最好方法。该模型有允许存在不同随访时间及进入时间和截尾数据等优点,故能充分利用研究资料的数据信息,统计效率高。尤其是多因素Cox比例风险模型分析,能排除单因素分析时的缺陷,从而确定影响肿瘤患者预后的主要因素。本研究发现,肿瘤大小、nm23-H1基因的蛋白表达水平,颈淋巴结转移、临床分期在单因素Cox模型分析时,对本组口腔鳞癌患者的预后有一定影响。但在多因素Cox比例风险模型逐步回归分析时,在显著性水平为0.05时,仅有颈淋巴结转移进入了模型,建立了风险函数。显著性水平为0.15时,仍仅有颈淋巴结转移进入了模型。因此我们认为,颈淋巴结转移与否对口腔鳞癌患者的预后有一定影响,而其他指标均不是影响本组口腔鳞癌患者预后的主要因素。赵福运等[9]的资料显示,口腔鳞癌颈部无淋巴结转移的5年生存率可达74.70%,而颈部有淋巴结转移灶的5年生存率下降为28.35%。蒋佩钰和李庆宏[10]分析了122例口腔鳞癌颈淋巴结转移与预后的关系,发现有淋巴结转移的病例5年、10年生存率分别为45.8%(22/48)和36.4%(12/33),无淋巴结转移者则分别为68.9%(51/79)和61.5%(24/39),有淋巴结转移的患者生存率显著下降,这与我们的研究结果有一定的相似性。我们以往的研究曾发现,nm23-H1蛋白与口腔鳞癌转移有关,提示nm23-H1蛋白可能通过对转移的作用而间接影响了肿瘤患者的预后。
, 百拇医药
参考文献
1 Barnes R, Masood S, Barker E, et al. Low nm23 protein expression in infiltrating ductal breast carcinomas correlates with reduced patient survival. Am J Pathol, 1991,139: 245-250.
2 Royds JA, Stephenson TJ, Rees RC et al. Nm23 protein expression in ductal in situ and invasive human breast carcinoma. J Natl Cancer Inst, 1993, 85: 727-731.
3 Steeg PS, Bevilacqua G, Kopper L, et al. Evidence for a novel gene associated with low tumor metastatic potential. J Natl Cancer Inst, 1988, 80: 200-204.
, 百拇医药
4 Backer JM, Mendola CE, Koresdi I, et al. Chromosomal localization and nucleoside diphosphate kinase activity of human metastasis-suppressor genes NM23-1 and NM23-2. Oncogene, 1993, 8: 497-502.
5 Dooley S, Seib T, Engel M, et al. Isolation and characterization of the human genomic locus coding for the putative metastasis control gene nm23-H1. Hum Genet, 1994, 93: 63-66.
6 Tokunaga Y, Urano T, Furukawa K, et al. Reduced expression of nm23-H1, but not of nm23-H2, is concordant with the frequency of lymph-node metastasis of human breast cancer. Int J Cancer, 1993, 55: 66-71.
, http://www.100md.com
7 Yamaguchi A, Urano T, Goi T, et al. Expression of human nm23-H1 and nm23-H2 proteins in hepatocellular carcinoma. Cancer, 1994,73: 2280-2284.
8 Yamaguchi A, Urano T, Fushida S, et al. Inverse association of nm23-H1 expression by colorectal cancer with liver metastasis. Br J Cancer, 1993,68: 1020-1024.
9 赵福运,章魁华,马大权,等. 中华口腔医学杂志,1990,25:92-95.
10 蒋佩钰,李庆宏.口腔鳞癌颈部淋巴结转移与预后的关系.中华肿瘤杂志,1990,12:141-142.
(收稿:1998-10-28 修回:1999-05-19), 百拇医药