翼状胬肉中增殖细胞核抗原的免疫组化研究
作者:龙心光 王映芬 黄应桂 文 立 陈毓东
单位:(龙心光、王映芬、陈毓东) 524001 湛江,广东医学院附属医院眼科;(黄应桂、文 立) 病理科
关键词:翼状胬肉;增殖细胞核抗原
中华眼科杂志990515 【摘要】 目的 观察翼状胬肉的增殖状况及用药后的变化。方法 将54例翼状胬肉术前患者随机分为3 组:Ⅰ组18例为未用药组,Ⅱ组16例术前局部应用氟美松,Ⅲ组20例术前局部应用高三尖杉酯碱加氟美松。采用免疫组化方法对手术切除的翼状胬肉标本进行增殖细胞核抗原(proliferating cell nuclear antigen, PCNA)检测。结果 未用药组(Ⅰ组)PCNA阳性率为(11.53±3.62)%,氟美松组(Ⅱ组)为(10.28±4.18)%(P>0.05),高三尖杉酯碱加氟美松组(Ⅲ组)为(5.59±3.82)%(P<0.01)。<60岁的进行型患者PCNA阳性率高于≥60岁的静止型患者。结论 翼状胬肉组织中存在细胞增殖及PCNA表达,术前应用高三尖杉酯碱加氟美松可抑制PCNA表达及术后翼状胬肉的复发,而术前应用氟美松对PCNA的表达则无影响。
, 百拇医药
The PCNA immunohistochemical study of pterygium
LONG Xinguang, WANG Yingfen, HUANG Yinggui, et al.
Department of Ophthalmology, The Affiliated Hospital of Guangdong Medical College, Zhanjiang 524001
【Abstract】 Objective To study the proliferating status of pterygium and the drug′s influence on it.Method Fifty four patients with pterygium were randomly assigned into three groups: Before the surgical excision of the pterygium, group 1 (18 cases) had received no drug, group 2 (16 cases) received local dexamethasone treatment, and group 3 (20 cases), local homoharringtonine and dexamethasone treatment. The immunohistochemical study on proliferating cell nuclear antigen (PCNA) was performed on the surgical specimens of the pterygium.Result The PCNA positive rate was (11.53±3.62)% in the untreated group, (10.28±4.18)% in the dexamethasone group (P>0.05), and (5.59±3.82)% in the homoharringtonine and dexamethasone group (P<0.01). The PCNA positive rate was higher in the younger patients (<60 years) with progressive type of the disease than that in the elder patients (≥60 years) with quiet type.Conclusions There are cell proliferation and PCNA expression in pterygium. The homoharringtonine and dexamethasone local injection before the excision of pterygium can effectively decrease the PCNA expression and recurrence rate of pterygium. Local injection of dexamethasone before surgical excision has no influence on the PCNA expression of pterygium.
, 百拇医药
【Key words】 Pterygium Proliferating cell nuclear antigen
翼状胬肉是较为常见的眼科疾病,其病因及发病机制尚不甚明确。为了解其增生特点及用药后改变,我们对54例翼状胬肉患者标本采用免疫组化方法进行增殖细胞核抗原(proliferating cell nuclear antigen, PCNA)检测, 报告如下。
资料和方法
1.对象:选择本院1995~1997年门诊及住院的初发翼状胬肉患者54例(54只眼),其中男31例,女23例;年龄20~75岁,平均58.2岁。病程1~20年。随机分为3组:Ⅰ组18例为未用药组,Ⅱ组16例术前应用氟美松,Ⅲ组20例术前应用高三尖杉酯碱加氟美松。3组在年龄、性别、病程、胬肉分级及分型上匹配。
2.方法:用药组分别在术前1、3及7天于翼状胬肉局部注射氟美松1.0 mg(Ⅱ组)或氟美松1.0 mg加高三尖杉酯碱0.2 mg(Ⅲ组)。
, 百拇医药
3.PCNA检测:用链霉卵白素-过氧化物酶连接法(streptavidin peroxidase conjugated method,SP法)。术中取翼状胬肉头部及体部立即置于4%甲醛液中固定24 h,石蜡包埋切片,切片脱蜡和水化后,PBS冲洗3次,加1滴过氧化物酶阻断溶液,室温孵育10 min,PBS冲洗后加1滴小牛血清及50 μl PCNA(一抗, 福州迈新公司提供),室温下孵育60 min,PBS冲洗后加生物素标记的第二抗体,室温孵育10 min,然后依次加入链霉卵白素-过氧化物酶溶液及DAB酶底物显色剂等,光镜下观察3~10 min后,用自来水冲洗,苏木素复染,中性树胶封固。
4.统计学处理:计数资料用χ2检验;计量资料以均数±标准差(
±s)表示,差异显著性检验采用t检验、方差分析和q检验。
结 果
, 百拇医药
1.PCNA 结果判定标准:光镜下观察,细胞核呈浅黄色或深棕色染色的细胞为PCNA阳性细胞;细胞浆或细胞膜呈浅黄色或深棕色的细胞为假染色以及无棕黄色染色的细胞均视为PCNA阴性细胞。光镜下每张切片随机计数500个细胞, 计算其阳性率,阳性率=(所计数的500个细胞中PCNA阳性细胞数÷500)×100%。
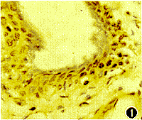
2.PCNA结果(表1):Ⅰ组,PCNA阳性细胞中,成纤维细胞、 血管内皮细胞及上皮细胞均有不同程度的染色,阳性细胞呈随机分布(图1,2)。在成纤维细胞,血管内皮细胞增殖明显的标本中PCNA阳性率较高。对不同年龄、性别、病程、翼状胬肉分级及分型等进一步的统计学分析比较,结果表明 PCNA阳性率与性别、病程、翼状胬肉分级等无关,而与年龄及分型有关(表1)。
图1 Ⅰ组翼状胬肉上皮细胞PCNA表达 免疫组化×400
, 百拇医药
图2 Ⅰ组翼状胬肉上皮成纤维细胞及血管内皮细胞PCNA表达 免疫组化×400
3.用药后改变:见表1及图3。 经方差分析,3组间比较,差异有显著性(F=12.43,P<0.01);Ⅰ与Ⅱ组比较,差异无显著性(q=1.30,P>0.05);Ⅰ与Ⅲ组比较,差异有显著性(q=6.66,P<0.01);Ⅱ与Ⅲ组比较,差异有显著性(q=5.11,P<0.01)。
图3 Ⅲ组翼状胬肉上皮细胞、成纤维细胞及血管内皮细胞PCNA表达明显减弱 免疫组化×400
表1 54例翼状胬肉患者标本PCNA表达的比较 组别
例数
PCNA阳性率
, 百拇医药
(%)
t值
P值
Ⅰ组
18
11.53±3.62
年龄
<60岁
10
13.18±3.20
2.468
<0.05
≥60岁
, http://www.100md.com
8
9.47±3.12
性别
男
12
11.7±3.49
0.314
>0.05
女
6
11.1±3.97
病程
<10年
, 百拇医药
9
12.11±3.36
0.675
>0.05
≥10年
9
10.94±3.95
分级
<Ⅱ级
8
11.81±3.39
0.291
>0.05
, 百拇医药
≥Ⅱ级
10
11.30±3.94
分型
进行型
5
14.45±3.40
2.415
<0.05
静止型
13
10.40±3.11
Ⅱ组
, 百拇医药
16
10.28±4.18
>0.05*
进行型
6
13.11±3.43
2.419
<0.05
静止型
10
8.58±3.74
Ⅲ组
, http://www.100md.com 20
5.59±3.82
<0.01*
进行型
11
5.76±3.34
0.228
>0.05
静止型
9
5.39±4.01
*与Ⅰ组比较,q检验
, http://www.100md.com
4.翼状胬肉复发情况:平均随访观察19.1个月(6~32个月)。Ⅰ组有5例复发,Ⅱ组有1例复发,Ⅲ组未见复发者。Ⅰ与Ⅲ组比较,差异有显著性(χ2=6.40,P<0.05),Ⅱ与Ⅲ组比较,差异无显著性(χ2=1.29,P>0.05)。
讨 论
1.物质合成和细胞增殖的活跃是翼状胬肉生长和复发的重要基础:翼状胬肉是一种常见的慢性增生性眼病。虽然流行病学资料显示其发生与紫外线照射明显相关,但就其病因及发病机制至今仍不十分明确。病理学研究表明,有些翼状胬肉标本中有成纤维细胞、血管内皮细胞或球结膜上皮细胞的异常增殖。有学者发现翼状胬肉细胞异常表达p53肿瘤抑制基因, 认为术后的高复发率与这些异常细胞在手术中未彻底清除有关,提出术中应尽可能清除这些异常细胞是避免术后复发的重要措施[1,2]。也有人认为,细胞增殖并不是翼状胬肉的主要病理改变[3,4]。Karukonda等[3]报道,对新加坡、香港、以及美国阿肯色州Little Rock 等三个不同纬度地区92例翼状胬肉标本行流式细胞仪检查,发现翼状胬肉内G2、M期细胞与正常结膜上皮比较,细胞无显著增多,而且病变中无异常细胞的增殖;同时还发现,新加坡及香港等低纬度地区的翼状胬肉标本中S期细胞明显增多, 因此认为翼状胬肉的主要病理改变为细胞合成活跃。翼状胬肉标本电镜超微结构研究表明,细胞基质及胶原纤维增多及变性是其主要病理改变[3,4]。本研究采用免疫组化方法检测PCNA,结果表明翼状胬肉细胞有PCNA表达,而且<60岁患者PCNA表达要高于≥60岁患者,进行期患者的PCNA表达高于静止期的翼状胬肉患者。目前已知PCNA是一种核内蛋白质,是DNA复制时δ聚合酶的辅助物,主要出现在S期细胞,它的出现与细胞增殖有明显的关系。据认为PCNA是一种准确、简便、且可以直观了解细胞增殖状况的研究指标[5]。本研究结果说明, 翼状胬肉内存在明显的细胞增殖和活跃的物质合成。以年轻及进行期患者更为明显。
, http://www.100md.com
2.抑制翼状胬肉内细胞PCNA表达有助于减少翼状胬肉术后复发:近年文献报道,抗代谢药(丝裂霉素C)局部应用可明显抑制翼状胬肉术后的复发,可使单纯翼状胬肉切除及巩膜暴露或自体结膜瓣移植的复发率明显降低[6,7]。对于丝裂霉素等抗代谢药的治疗作用机制推测认为,是通过抑制细胞增殖从而减少S期细胞及减轻细胞合成等而起作用,但尚无病理学研究的证实。本研究结果表明,术前局部应用抗代谢药高三尖杉酯碱加氟美松,可使翼状胬肉细胞PCNA表达明显减少,说明S期细胞明显减少,翼状胬肉内的细胞增殖及合成均受到抑制, 这与对体外培养的成纤维细胞具有抑制作用的结果一致[8]。本研究发现,应用高三尖杉酯碱加氟美松后翼状胬肉的复发率明显降低,与病理结果一致。而氟美松虽然对于体外培养的成纤维细胞[8]或小梁细胞[5]具有抑制作用,但在体内对于翼状胬肉细胞的增殖抑制作用并不明显。同时表明体外实验与体内实验结果仍存在一定的差异,二者结合可使结果更为确切完整。
志谢 广东医学院附属医院病理科李炎松讲师
, 百拇医药
参考文献
1 Tan DT, Lim AS, Coh HS, et al. Abnormal expression of the p53 tumor suppressor gene in the conjunctiva of patients with pterygium. Am J Ophthalmol,1997,123:404-405.
2 Dushku N, Reid TW. p53 expression in altered limbal basal cells of pingueculae, pterygia, and limbal tumors. Curr Eye Res, 1997, 16: 1179 -1192.
3 Karukonda SR, Thompson HW, Beuerman RW, et al. Cell cycle kinetics in pterygium at three latitudes. Br J Ophthalmol,1995,79:313-317.
, 百拇医药
4 徐国兴,周琳瑛,童 绎,等.翼状胬肉超微结构的病理研究.中华眼科杂志, 1996,32:438-440.
5 戴惟葭,李美玉.增殖细胞核抗原在人眼小梁细胞增殖研究中的应用.中华眼科杂志,1997,33:413-416.
6 Panda A, Das GK, Tuli SW, et al. Randomized trial of intraoperative mitomycin C in surgery for pterygium. Am J Ophthalmol, 1998,125:59-63.
7 Sanchez-Thorin JC, Rocha G, Yelin JB,et al. Meta-analysis on the recurrence rates after bare sclera resection with and without mitomycin C use and conjunctival autograft placement in surgery for primary pterygium. Br J Ophthalmol,1998,82:661-665.
8 王映芬,罗晨美,龙心光,等.高三尖杉酯碱、血栓通与氟美松联合对翼状胬肉成纤维细胞的抑制效果.广东医学院学报,1996,14:212-213,218.
(收稿日期:1998-12-09 修稿日期:1999-06-22), 百拇医药
单位:(龙心光、王映芬、陈毓东) 524001 湛江,广东医学院附属医院眼科;(黄应桂、文 立) 病理科
关键词:翼状胬肉;增殖细胞核抗原
中华眼科杂志990515 【摘要】 目的 观察翼状胬肉的增殖状况及用药后的变化。方法 将54例翼状胬肉术前患者随机分为3 组:Ⅰ组18例为未用药组,Ⅱ组16例术前局部应用氟美松,Ⅲ组20例术前局部应用高三尖杉酯碱加氟美松。采用免疫组化方法对手术切除的翼状胬肉标本进行增殖细胞核抗原(proliferating cell nuclear antigen, PCNA)检测。结果 未用药组(Ⅰ组)PCNA阳性率为(11.53±3.62)%,氟美松组(Ⅱ组)为(10.28±4.18)%(P>0.05),高三尖杉酯碱加氟美松组(Ⅲ组)为(5.59±3.82)%(P<0.01)。<60岁的进行型患者PCNA阳性率高于≥60岁的静止型患者。结论 翼状胬肉组织中存在细胞增殖及PCNA表达,术前应用高三尖杉酯碱加氟美松可抑制PCNA表达及术后翼状胬肉的复发,而术前应用氟美松对PCNA的表达则无影响。
, 百拇医药
The PCNA immunohistochemical study of pterygium
LONG Xinguang, WANG Yingfen, HUANG Yinggui, et al.
Department of Ophthalmology, The Affiliated Hospital of Guangdong Medical College, Zhanjiang 524001
【Abstract】 Objective To study the proliferating status of pterygium and the drug′s influence on it.Method Fifty four patients with pterygium were randomly assigned into three groups: Before the surgical excision of the pterygium, group 1 (18 cases) had received no drug, group 2 (16 cases) received local dexamethasone treatment, and group 3 (20 cases), local homoharringtonine and dexamethasone treatment. The immunohistochemical study on proliferating cell nuclear antigen (PCNA) was performed on the surgical specimens of the pterygium.Result The PCNA positive rate was (11.53±3.62)% in the untreated group, (10.28±4.18)% in the dexamethasone group (P>0.05), and (5.59±3.82)% in the homoharringtonine and dexamethasone group (P<0.01). The PCNA positive rate was higher in the younger patients (<60 years) with progressive type of the disease than that in the elder patients (≥60 years) with quiet type.Conclusions There are cell proliferation and PCNA expression in pterygium. The homoharringtonine and dexamethasone local injection before the excision of pterygium can effectively decrease the PCNA expression and recurrence rate of pterygium. Local injection of dexamethasone before surgical excision has no influence on the PCNA expression of pterygium.
, 百拇医药
【Key words】 Pterygium Proliferating cell nuclear antigen
翼状胬肉是较为常见的眼科疾病,其病因及发病机制尚不甚明确。为了解其增生特点及用药后改变,我们对54例翼状胬肉患者标本采用免疫组化方法进行增殖细胞核抗原(proliferating cell nuclear antigen, PCNA)检测, 报告如下。
资料和方法
1.对象:选择本院1995~1997年门诊及住院的初发翼状胬肉患者54例(54只眼),其中男31例,女23例;年龄20~75岁,平均58.2岁。病程1~20年。随机分为3组:Ⅰ组18例为未用药组,Ⅱ组16例术前应用氟美松,Ⅲ组20例术前应用高三尖杉酯碱加氟美松。3组在年龄、性别、病程、胬肉分级及分型上匹配。
2.方法:用药组分别在术前1、3及7天于翼状胬肉局部注射氟美松1.0 mg(Ⅱ组)或氟美松1.0 mg加高三尖杉酯碱0.2 mg(Ⅲ组)。
, 百拇医药
3.PCNA检测:用链霉卵白素-过氧化物酶连接法(streptavidin peroxidase conjugated method,SP法)。术中取翼状胬肉头部及体部立即置于4%甲醛液中固定24 h,石蜡包埋切片,切片脱蜡和水化后,PBS冲洗3次,加1滴过氧化物酶阻断溶液,室温孵育10 min,PBS冲洗后加1滴小牛血清及50 μl PCNA(一抗, 福州迈新公司提供),室温下孵育60 min,PBS冲洗后加生物素标记的第二抗体,室温孵育10 min,然后依次加入链霉卵白素-过氧化物酶溶液及DAB酶底物显色剂等,光镜下观察3~10 min后,用自来水冲洗,苏木素复染,中性树胶封固。
4.统计学处理:计数资料用χ2检验;计量资料以均数±标准差(
结 果
, 百拇医药
1.PCNA 结果判定标准:光镜下观察,细胞核呈浅黄色或深棕色染色的细胞为PCNA阳性细胞;细胞浆或细胞膜呈浅黄色或深棕色的细胞为假染色以及无棕黄色染色的细胞均视为PCNA阴性细胞。光镜下每张切片随机计数500个细胞, 计算其阳性率,阳性率=(所计数的500个细胞中PCNA阳性细胞数÷500)×100%。
2.PCNA结果(表1):Ⅰ组,PCNA阳性细胞中,成纤维细胞、 血管内皮细胞及上皮细胞均有不同程度的染色,阳性细胞呈随机分布(图1,2)。在成纤维细胞,血管内皮细胞增殖明显的标本中PCNA阳性率较高。对不同年龄、性别、病程、翼状胬肉分级及分型等进一步的统计学分析比较,结果表明 PCNA阳性率与性别、病程、翼状胬肉分级等无关,而与年龄及分型有关(表1)。
图1 Ⅰ组翼状胬肉上皮细胞PCNA表达 免疫组化×400
, 百拇医药
图2 Ⅰ组翼状胬肉上皮成纤维细胞及血管内皮细胞PCNA表达 免疫组化×400
3.用药后改变:见表1及图3。 经方差分析,3组间比较,差异有显著性(F=12.43,P<0.01);Ⅰ与Ⅱ组比较,差异无显著性(q=1.30,P>0.05);Ⅰ与Ⅲ组比较,差异有显著性(q=6.66,P<0.01);Ⅱ与Ⅲ组比较,差异有显著性(q=5.11,P<0.01)。
图3 Ⅲ组翼状胬肉上皮细胞、成纤维细胞及血管内皮细胞PCNA表达明显减弱 免疫组化×400
表1 54例翼状胬肉患者标本PCNA表达的比较 组别
例数
PCNA阳性率
, 百拇医药
(%)
t值
P值
Ⅰ组
18
11.53±3.62
年龄
<60岁
10
13.18±3.20
2.468
<0.05
≥60岁
, http://www.100md.com
8
9.47±3.12
性别
男
12
11.7±3.49
0.314
>0.05
女
6
11.1±3.97
病程
<10年
, 百拇医药
9
12.11±3.36
0.675
>0.05
≥10年
9
10.94±3.95
分级
<Ⅱ级
8
11.81±3.39
0.291
>0.05
, 百拇医药
≥Ⅱ级
10
11.30±3.94
分型
进行型
5
14.45±3.40
2.415
<0.05
静止型
13
10.40±3.11
Ⅱ组
, 百拇医药
16
10.28±4.18
>0.05*
进行型
6
13.11±3.43
2.419
<0.05
静止型
10
8.58±3.74
Ⅲ组
, http://www.100md.com 20
5.59±3.82
<0.01*
进行型
11
5.76±3.34
0.228
>0.05
静止型
9
5.39±4.01
*与Ⅰ组比较,q检验
, http://www.100md.com
4.翼状胬肉复发情况:平均随访观察19.1个月(6~32个月)。Ⅰ组有5例复发,Ⅱ组有1例复发,Ⅲ组未见复发者。Ⅰ与Ⅲ组比较,差异有显著性(χ2=6.40,P<0.05),Ⅱ与Ⅲ组比较,差异无显著性(χ2=1.29,P>0.05)。
讨 论
1.物质合成和细胞增殖的活跃是翼状胬肉生长和复发的重要基础:翼状胬肉是一种常见的慢性增生性眼病。虽然流行病学资料显示其发生与紫外线照射明显相关,但就其病因及发病机制至今仍不十分明确。病理学研究表明,有些翼状胬肉标本中有成纤维细胞、血管内皮细胞或球结膜上皮细胞的异常增殖。有学者发现翼状胬肉细胞异常表达p53肿瘤抑制基因, 认为术后的高复发率与这些异常细胞在手术中未彻底清除有关,提出术中应尽可能清除这些异常细胞是避免术后复发的重要措施[1,2]。也有人认为,细胞增殖并不是翼状胬肉的主要病理改变[3,4]。Karukonda等[3]报道,对新加坡、香港、以及美国阿肯色州Little Rock 等三个不同纬度地区92例翼状胬肉标本行流式细胞仪检查,发现翼状胬肉内G2、M期细胞与正常结膜上皮比较,细胞无显著增多,而且病变中无异常细胞的增殖;同时还发现,新加坡及香港等低纬度地区的翼状胬肉标本中S期细胞明显增多, 因此认为翼状胬肉的主要病理改变为细胞合成活跃。翼状胬肉标本电镜超微结构研究表明,细胞基质及胶原纤维增多及变性是其主要病理改变[3,4]。本研究采用免疫组化方法检测PCNA,结果表明翼状胬肉细胞有PCNA表达,而且<60岁患者PCNA表达要高于≥60岁患者,进行期患者的PCNA表达高于静止期的翼状胬肉患者。目前已知PCNA是一种核内蛋白质,是DNA复制时δ聚合酶的辅助物,主要出现在S期细胞,它的出现与细胞增殖有明显的关系。据认为PCNA是一种准确、简便、且可以直观了解细胞增殖状况的研究指标[5]。本研究结果说明, 翼状胬肉内存在明显的细胞增殖和活跃的物质合成。以年轻及进行期患者更为明显。
, http://www.100md.com
2.抑制翼状胬肉内细胞PCNA表达有助于减少翼状胬肉术后复发:近年文献报道,抗代谢药(丝裂霉素C)局部应用可明显抑制翼状胬肉术后的复发,可使单纯翼状胬肉切除及巩膜暴露或自体结膜瓣移植的复发率明显降低[6,7]。对于丝裂霉素等抗代谢药的治疗作用机制推测认为,是通过抑制细胞增殖从而减少S期细胞及减轻细胞合成等而起作用,但尚无病理学研究的证实。本研究结果表明,术前局部应用抗代谢药高三尖杉酯碱加氟美松,可使翼状胬肉细胞PCNA表达明显减少,说明S期细胞明显减少,翼状胬肉内的细胞增殖及合成均受到抑制, 这与对体外培养的成纤维细胞具有抑制作用的结果一致[8]。本研究发现,应用高三尖杉酯碱加氟美松后翼状胬肉的复发率明显降低,与病理结果一致。而氟美松虽然对于体外培养的成纤维细胞[8]或小梁细胞[5]具有抑制作用,但在体内对于翼状胬肉细胞的增殖抑制作用并不明显。同时表明体外实验与体内实验结果仍存在一定的差异,二者结合可使结果更为确切完整。
志谢 广东医学院附属医院病理科李炎松讲师
, 百拇医药
参考文献
1 Tan DT, Lim AS, Coh HS, et al. Abnormal expression of the p53 tumor suppressor gene in the conjunctiva of patients with pterygium. Am J Ophthalmol,1997,123:404-405.
2 Dushku N, Reid TW. p53 expression in altered limbal basal cells of pingueculae, pterygia, and limbal tumors. Curr Eye Res, 1997, 16: 1179 -1192.
3 Karukonda SR, Thompson HW, Beuerman RW, et al. Cell cycle kinetics in pterygium at three latitudes. Br J Ophthalmol,1995,79:313-317.
, 百拇医药
4 徐国兴,周琳瑛,童 绎,等.翼状胬肉超微结构的病理研究.中华眼科杂志, 1996,32:438-440.
5 戴惟葭,李美玉.增殖细胞核抗原在人眼小梁细胞增殖研究中的应用.中华眼科杂志,1997,33:413-416.
6 Panda A, Das GK, Tuli SW, et al. Randomized trial of intraoperative mitomycin C in surgery for pterygium. Am J Ophthalmol, 1998,125:59-63.
7 Sanchez-Thorin JC, Rocha G, Yelin JB,et al. Meta-analysis on the recurrence rates after bare sclera resection with and without mitomycin C use and conjunctival autograft placement in surgery for primary pterygium. Br J Ophthalmol,1998,82:661-665.
8 王映芬,罗晨美,龙心光,等.高三尖杉酯碱、血栓通与氟美松联合对翼状胬肉成纤维细胞的抑制效果.广东医学院学报,1996,14:212-213,218.
(收稿日期:1998-12-09 修稿日期:1999-06-22), 百拇医药