食管癌中p16、Rb基因蛋白的表达及意义
作者:蔡瑞君 王文亮 杨俊明 纪 娜 穆 峰
单位:蔡瑞君 杨俊明 纪 娜 穆 峰 第一军医大学南方医院胸外科(广州510515);王文亮 第四军医大学病理教研室
关键词:食管肿瘤;基因表达;抑癌基因;免疫组织化学法
肿瘤990514 肿瘤抑制基因p16/MST1具有细胞周期的调节和抑制作用,并与许多肿瘤的形成、发展关系密切。研究结果表明体内可能存在一个包括p16、CDKs和pRb的细胞周期负反馈调节环路。文献报道在食管癌细胞系及原发食管癌中p16基因缺失和突变频率较高。为此作者进行了p16及Rb基因在食管鳞癌中的表达的研究,以期在蛋白水平探讨Rb和p16与食管鳞癌临床特征的关系,以及Rb与p16相互之间的关系,了解其在食管癌发生、发展中的作用及作用机制。
材料和方法
, 百拇医药
一、材料 收集我院胸外科1989~1993年中段食管癌手术切除蜡块84例,男49例,女35例,年龄35~73岁,平均年龄53岁。全部病例病理证实为食管鳞状上皮细胞癌,其中48例伴纵隔淋巴结转移,36例不伴淋巴结转移。对所有病例进行随访,回访44例,失访39例。随访时间由2~83个月不等,中位随访时间17个月。另取10例非肿瘤病死亡后食管等组织作为正常组织对照。
二、试剂及方法 兔抗人p16和鼠抗人Rb单克隆抗体购自Santa Cruz生物技术公司,兔抗IgG及鼠抗IgG购自中山生物技术公司。采用免疫组织化学S-P方法,实验中同时设阳性阴性对照。
三、结果判定及统计处理 1、细胞阳性是指细胞核或/和细胞浆棕黄色显色;2、染色结果判定:阳性细胞数≥10%为阳性;3、统计方法:χ2检验、U检验、Kaplan-Mier生存曲线及Logrank检验。
结果
, 百拇医药
一、食管鳞癌p16、Rb基因表达结果
1.阳性率及阳性分布
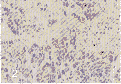
p16蛋白表达在84例食管癌中阳性46例,阳性率为54.8%。p16蛋白主要位于细胞浆,部分位于细胞核,呈棕色、均匀的细胞颗粒着色(见插页第4页图2),阳性细胞以局灶分布为主,部分呈散在分布,其它细胞和间质无阳性反应,正常食管粘膜部分阳性细胞位于粘膜上皮基层,散在分布。84例食管癌中37例Rb表达阳性,阳性率为44.0%;Rb蛋白定位于细胞核,呈棕黄色、细颗粒着色,阳性细胞分布在同一标本上表现为多样性。(见插页第4页图3)。正常粘膜未见阳性反应。
2.p16、Rb蛋白表达与病理分级、淋巴结转移、临床分期关系见表1。
图2 食管鳞癌组织 p16蛋白定位于细胞核,呈棕黄色细颗粒状。S-P法×150
, http://www.100md.com
图3 食管鳞癌组组 Rb蛋白定位于细胞浆及细胞核中,呈颗粒状不均匀棕黄色。S-P法×150
表1 食管鳞癌临床特征与p16、Rb蛋白表达的关系
例数
p16阳性
P
Rb阳性
P
例数
%
例数
%
总计
, 百拇医药
84
46
54.8
37
44.0
病理分级
<0.05
<0.01
Ⅰ
28
21
75
9
, 百拇医药 28.6
Ⅱ
31
18
56.1
12
35.5
Ⅲ
25
7
28.0
16
72.0
TNM分期
, http://www.100md.com
<0.01
>0.05
Ⅰ
1
1
Ⅱa
32
25
78.3
12
37.5
Ⅱb
33
, 百拇医药
18
51.5
15
45.5
Ⅲ
18
3
16.2
10
55.6
淋巴结转移
<0.05
>0.05
, 百拇医药
有
48
20
41.7
22
45.8
无
36
26
72.2
15
41.7
三、Rb表达与手术后生存期的关系
, http://www.100md.com
随访44例,死亡20例中Rb阳性11例p16阳性7例,生存24例中Rb阳性13例p16阳性17例。Rb表达与术后生存期无明显相关(P>0.05),p16表达阳性生存期长(P<0.01)。
四、Rb与p16蛋白表达的相关性,见表2。表2 Rb与p16基因在食管癌中的表达
p16阳性
p16阴性
Rb阳性
5
32
Rb阴性
41
6
, 百拇医药
(r=0.74,P<0.01)讨论
p16是1994年被分离和鉴定的一种新型抑癌基因,位于人染色体9p21区。Kamb等[2]检测了290种不同肿瘤细胞系,发现75%细胞系p16基因缺失或突变;在食管癌等多种原发性肿瘤发现也存在p16缺失或突变[3,4]。
本实验表明随着肿瘤细胞分化程度降低其p16蛋白表达阳性率下降,且缺失率与突变率的和肿瘤细胞恶性程度相关。提示p16基因在晚期食管癌可能缺失或突变频率增加:结果显示p16蛋白表达淋巴转移组明显低于未转移组,提示p16基因蛋白对食管癌的浸润和转移有抑制作用。在研究黑素瘤p16表达中也发现p16蛋白与淋巴结的转移及肿瘤侵袭性有关[4]。同时随访结果表明,p16阳性病例组生存期与p16阴性组显著差异,表明p16阳性表达的食管癌患者比阴性患者预后好。
Rb基因是人类发现并克隆的第一个原癌抑制基因,定位于人染色体13q14区。Rb基因缺陷引起视网膜母细胞瘤的发生已基本明确,目前在小细胞肺癌、乳腺癌、膀胱癌及软组织肉瘤也检测到Rb基因的异常,在软组织肉瘤和白血病研究中发现Rb基因表达异常与预后有关[5,6]。
, http://www.100md.com
本实验表明Rb蛋白的表达与肿瘤细胞组织分化相关,即肿瘤组织分化越差,其表达率越高。Rb蛋白表达与淋巴结转移、临床分期和预后无明显相关。但在临床分期中,晚期食管癌中Rb蛋白有逐渐增加趋势。
研究表明p16可直接结合及同cyclin D竞争结合CDK4或CDK6,阻断或抑制cyclin D-CDK4或CDK6复合物体对pRb蛋白的磷酸化作用,使细胞不能进入G1/S期[1]。Yan等[8]提出了包括pRb、CDKs、p16和转录因子(TF)在内的反馈环模型,即pRb经过cyclin D-CDK4或cyclin D-CDK6作用发生磷酸化,导致pRb结合的TF的释放,TF或pRb分离后激活p16基因转录,p16增加使cyclin D-CDKs的激酶活性受到抑制,pRb磷酸化下降,保持活性状态,p16转录也随之降低。Shapiro等[9]及Yeagor等[10]发现pRb阳性细胞p16蛋白水平下降或检测不到,而Rb阴性的细胞p16阳性。许多研究也证实了体内存在上述细胞周期负反馈环路[11]。
, 百拇医药
本实验结果与上述情况相符。pRb的失活可能刺激细胞在最终不需要抑制CDK4时增加p16表达,推测一些表达p16的标本可能由于调节性抑制。同时也不排除由于p16基因突变等造成表达无功能或功能下降的p16蛋白,使对CDK4的抑制作用降低,对p16转录的反馈作用消失从而使p16表达增加,此种情况下p16与Rb可共同表达。
以上结果说明p16基因在抑制食管癌的浸润和转移中起了重要作用,可做为食管癌患者预后及预测转移的指标,Rb基因蛋白可反映肿瘤的生长速度,p16基因可能通过Rb途径调节细胞生长。
作者简介:蔡瑞君,男,硕士,讲师,主治医师。
参考文献
[1]Marx JA.Challenge to p16 gene as tumor suppressor. Science,1994,264:1846
, 百拇医药
[2]Kamb A,Gruis N,Weaver-Feldhaus J, et al.A cell cycle regulator potentially:involved in genesis of many tumor types.Science,1994,264:436
[3]Zhou X,Tarmin L,Yin J, et al. The MTS1 gene is frequently mutated in primary human esophageal tumor.Oncogen,1994,9:373
[4]Liu L,Lassam NJ,Slingerlang JM, et al. Germlin p16INK4a mutation and protein dysfunction in a family with inherited melanoma.Oncogene,1995,11:405
, 百拇医药
[5]Bookstein R,Rio R,Mareperla SA, et al. Promoter deletion and loss of retinoblastoma gene expresion in human prostate carcinoma.Pro Natl Acad Sci USA,1990,87:776
[6]Yokote J,Akiyama T,Fung YK,et al.Altered expression of the retinoblastoma (RB) gene in small-cell carcinoma of the lung.Oncogene,1988,3:471
[7]Jian C,Martinez,Miguel A, et al. Retinoblastoma (Rb) gene product expression in lymphomas correlation with ki67 growth fraction.J Pathol,1993,169:403
, 百拇医药
[8]Li Yan,Nichols MA,Shay JW,et al. Transcriptional repression of the D-type cyclin-dependent Kinase inhibitor p16 by the retinoblastoma susceptibility gene product pRB.Cancer Res,1994,54(23):6078
[9]Shapiro GI,Edwards CD,Kobzik L, et al. Reciprocal RB inactivation and p16INK4 expression in primary lung cancers and cell lines. Cancer Res,1995,55:505
[10]Yeager T,Stadler W,Belair C,et al. Increased p16 levels correlate with pRB alterations in human urothelial cells.Cancer Res,1995,55:493
[11]Lukas J,Parry D,Aagaad L, et al. Retinoblastoma protein-dependent cell cycle inhibited by the tumour suppressor p16.Mol Cell Biol,1995,15:2600
(收稿日期:1998-03-13 修回日期:1998-07-09), 百拇医药
单位:蔡瑞君 杨俊明 纪 娜 穆 峰 第一军医大学南方医院胸外科(广州510515);王文亮 第四军医大学病理教研室
关键词:食管肿瘤;基因表达;抑癌基因;免疫组织化学法
肿瘤990514 肿瘤抑制基因p16/MST1具有细胞周期的调节和抑制作用,并与许多肿瘤的形成、发展关系密切。研究结果表明体内可能存在一个包括p16、CDKs和pRb的细胞周期负反馈调节环路。文献报道在食管癌细胞系及原发食管癌中p16基因缺失和突变频率较高。为此作者进行了p16及Rb基因在食管鳞癌中的表达的研究,以期在蛋白水平探讨Rb和p16与食管鳞癌临床特征的关系,以及Rb与p16相互之间的关系,了解其在食管癌发生、发展中的作用及作用机制。
材料和方法
, 百拇医药
一、材料 收集我院胸外科1989~1993年中段食管癌手术切除蜡块84例,男49例,女35例,年龄35~73岁,平均年龄53岁。全部病例病理证实为食管鳞状上皮细胞癌,其中48例伴纵隔淋巴结转移,36例不伴淋巴结转移。对所有病例进行随访,回访44例,失访39例。随访时间由2~83个月不等,中位随访时间17个月。另取10例非肿瘤病死亡后食管等组织作为正常组织对照。
二、试剂及方法 兔抗人p16和鼠抗人Rb单克隆抗体购自Santa Cruz生物技术公司,兔抗IgG及鼠抗IgG购自中山生物技术公司。采用免疫组织化学S-P方法,实验中同时设阳性阴性对照。
三、结果判定及统计处理 1、细胞阳性是指细胞核或/和细胞浆棕黄色显色;2、染色结果判定:阳性细胞数≥10%为阳性;3、统计方法:χ2检验、U检验、Kaplan-Mier生存曲线及Logrank检验。
结果
, 百拇医药
一、食管鳞癌p16、Rb基因表达结果
1.阳性率及阳性分布
p16蛋白表达在84例食管癌中阳性46例,阳性率为54.8%。p16蛋白主要位于细胞浆,部分位于细胞核,呈棕色、均匀的细胞颗粒着色(见插页第4页图2),阳性细胞以局灶分布为主,部分呈散在分布,其它细胞和间质无阳性反应,正常食管粘膜部分阳性细胞位于粘膜上皮基层,散在分布。84例食管癌中37例Rb表达阳性,阳性率为44.0%;Rb蛋白定位于细胞核,呈棕黄色、细颗粒着色,阳性细胞分布在同一标本上表现为多样性。(见插页第4页图3)。正常粘膜未见阳性反应。
2.p16、Rb蛋白表达与病理分级、淋巴结转移、临床分期关系见表1。
图2 食管鳞癌组织 p16蛋白定位于细胞核,呈棕黄色细颗粒状。S-P法×150
, http://www.100md.com
图3 食管鳞癌组组 Rb蛋白定位于细胞浆及细胞核中,呈颗粒状不均匀棕黄色。S-P法×150
表1 食管鳞癌临床特征与p16、Rb蛋白表达的关系
例数
p16阳性
P
Rb阳性
P
例数
%
例数
%
总计
, 百拇医药
84
46
54.8
37
44.0
病理分级
<0.05
<0.01
Ⅰ
28
21
75
9
, 百拇医药 28.6
Ⅱ
31
18
56.1
12
35.5
Ⅲ
25
7
28.0
16
72.0
TNM分期
, http://www.100md.com
<0.01
>0.05
Ⅰ
1
1
Ⅱa
32
25
78.3
12
37.5
Ⅱb
33
, 百拇医药
18
51.5
15
45.5
Ⅲ
18
3
16.2
10
55.6
淋巴结转移
<0.05
>0.05
, 百拇医药
有
48
20
41.7
22
45.8
无
36
26
72.2
15
41.7
三、Rb表达与手术后生存期的关系
, http://www.100md.com
随访44例,死亡20例中Rb阳性11例p16阳性7例,生存24例中Rb阳性13例p16阳性17例。Rb表达与术后生存期无明显相关(P>0.05),p16表达阳性生存期长(P<0.01)。
四、Rb与p16蛋白表达的相关性,见表2。表2 Rb与p16基因在食管癌中的表达
p16阳性
p16阴性
Rb阳性
5
32
Rb阴性
41
6
, 百拇医药
(r=0.74,P<0.01)讨论
p16是1994年被分离和鉴定的一种新型抑癌基因,位于人染色体9p21区。Kamb等[2]检测了290种不同肿瘤细胞系,发现75%细胞系p16基因缺失或突变;在食管癌等多种原发性肿瘤发现也存在p16缺失或突变[3,4]。
本实验表明随着肿瘤细胞分化程度降低其p16蛋白表达阳性率下降,且缺失率与突变率的和肿瘤细胞恶性程度相关。提示p16基因在晚期食管癌可能缺失或突变频率增加:结果显示p16蛋白表达淋巴转移组明显低于未转移组,提示p16基因蛋白对食管癌的浸润和转移有抑制作用。在研究黑素瘤p16表达中也发现p16蛋白与淋巴结的转移及肿瘤侵袭性有关[4]。同时随访结果表明,p16阳性病例组生存期与p16阴性组显著差异,表明p16阳性表达的食管癌患者比阴性患者预后好。
Rb基因是人类发现并克隆的第一个原癌抑制基因,定位于人染色体13q14区。Rb基因缺陷引起视网膜母细胞瘤的发生已基本明确,目前在小细胞肺癌、乳腺癌、膀胱癌及软组织肉瘤也检测到Rb基因的异常,在软组织肉瘤和白血病研究中发现Rb基因表达异常与预后有关[5,6]。
, http://www.100md.com
本实验表明Rb蛋白的表达与肿瘤细胞组织分化相关,即肿瘤组织分化越差,其表达率越高。Rb蛋白表达与淋巴结转移、临床分期和预后无明显相关。但在临床分期中,晚期食管癌中Rb蛋白有逐渐增加趋势。
研究表明p16可直接结合及同cyclin D竞争结合CDK4或CDK6,阻断或抑制cyclin D-CDK4或CDK6复合物体对pRb蛋白的磷酸化作用,使细胞不能进入G1/S期[1]。Yan等[8]提出了包括pRb、CDKs、p16和转录因子(TF)在内的反馈环模型,即pRb经过cyclin D-CDK4或cyclin D-CDK6作用发生磷酸化,导致pRb结合的TF的释放,TF或pRb分离后激活p16基因转录,p16增加使cyclin D-CDKs的激酶活性受到抑制,pRb磷酸化下降,保持活性状态,p16转录也随之降低。Shapiro等[9]及Yeagor等[10]发现pRb阳性细胞p16蛋白水平下降或检测不到,而Rb阴性的细胞p16阳性。许多研究也证实了体内存在上述细胞周期负反馈环路[11]。
, 百拇医药
本实验结果与上述情况相符。pRb的失活可能刺激细胞在最终不需要抑制CDK4时增加p16表达,推测一些表达p16的标本可能由于调节性抑制。同时也不排除由于p16基因突变等造成表达无功能或功能下降的p16蛋白,使对CDK4的抑制作用降低,对p16转录的反馈作用消失从而使p16表达增加,此种情况下p16与Rb可共同表达。
以上结果说明p16基因在抑制食管癌的浸润和转移中起了重要作用,可做为食管癌患者预后及预测转移的指标,Rb基因蛋白可反映肿瘤的生长速度,p16基因可能通过Rb途径调节细胞生长。
作者简介:蔡瑞君,男,硕士,讲师,主治医师。
参考文献
[1]Marx JA.Challenge to p16 gene as tumor suppressor. Science,1994,264:1846
, 百拇医药
[2]Kamb A,Gruis N,Weaver-Feldhaus J, et al.A cell cycle regulator potentially:involved in genesis of many tumor types.Science,1994,264:436
[3]Zhou X,Tarmin L,Yin J, et al. The MTS1 gene is frequently mutated in primary human esophageal tumor.Oncogen,1994,9:373
[4]Liu L,Lassam NJ,Slingerlang JM, et al. Germlin p16INK4a mutation and protein dysfunction in a family with inherited melanoma.Oncogene,1995,11:405
, 百拇医药
[5]Bookstein R,Rio R,Mareperla SA, et al. Promoter deletion and loss of retinoblastoma gene expresion in human prostate carcinoma.Pro Natl Acad Sci USA,1990,87:776
[6]Yokote J,Akiyama T,Fung YK,et al.Altered expression of the retinoblastoma (RB) gene in small-cell carcinoma of the lung.Oncogene,1988,3:471
[7]Jian C,Martinez,Miguel A, et al. Retinoblastoma (Rb) gene product expression in lymphomas correlation with ki67 growth fraction.J Pathol,1993,169:403
, 百拇医药
[8]Li Yan,Nichols MA,Shay JW,et al. Transcriptional repression of the D-type cyclin-dependent Kinase inhibitor p16 by the retinoblastoma susceptibility gene product pRB.Cancer Res,1994,54(23):6078
[9]Shapiro GI,Edwards CD,Kobzik L, et al. Reciprocal RB inactivation and p16INK4 expression in primary lung cancers and cell lines. Cancer Res,1995,55:505
[10]Yeager T,Stadler W,Belair C,et al. Increased p16 levels correlate with pRB alterations in human urothelial cells.Cancer Res,1995,55:493
[11]Lukas J,Parry D,Aagaad L, et al. Retinoblastoma protein-dependent cell cycle inhibited by the tumour suppressor p16.Mol Cell Biol,1995,15:2600
(收稿日期:1998-03-13 修回日期:1998-07-09), 百拇医药