肝细胞提取物(HE)对裸小鼠肾包膜移植BEL-7402肝癌细胞的影响
作者:邹清雁 孔祥平 黄 冰 万华印 佟明华 陈系古 黄文革
单位:邹清雁 孔祥平 万华印 佟明华 中国人民解放军传染病中心(广州510602);黄 冰 陈系古 黄文革 中山医科大学动物实验中心
关键词:肝肿瘤;生长抑制剂;细胞凋亡;肿瘤细胞,培养的;小鼠,裸
肿瘤990513 肝细胞提取物(Hepatic extract,HE)是从乳猪肝细胞提取物中分离纯化的一类多肽,体外实验证实,HE能促进某些肝癌细胞生长抑制和凋亡[1],这种诱导凋亡物质的分子量为4.02 kD[2,3]。为探讨HE对体内肝癌细胞的影响,作者采用BEL-7402肝癌细胞进行裸小鼠肾包膜移植,利用组织细胞形态学,电镜超微结构观察和原位细胞末端标记技术观察HE对BEL-7402细胞的影响。
材料和方法
, 百拇医药
一、肝细胞提取物(HE)组份的制备 见文献[3]方法。
二、裸小鼠肾包膜BEL-7402肝癌细胞移植。
1.裸小鼠皮下瘤的建立 BEL-7402肝癌细胞(由中山医科大学实验动物中心细胞库提供),用含15 %小牛血清的RPMI-1640完全培养液培养,对数生长期细胞用0.25 %胰酶消化成1.46×107/ml的细胞悬液,0.3 ml/只,于BALB/c裸小鼠右侧颈部皮下注射,待肿块长至0.8 cm3左右,作肾包膜下移植。
2.瘤块移植 BEL-7402肝癌细胞裸小鼠皮下瘤无菌切成1 mm3左右,作裸小鼠双肾包膜下移植,移植后用测微器测肿瘤小块的长径和横径。
三、动物分组及给药 肾包膜下移植后第3天开始给药,18只裸小鼠分成3组:每组6只,1.高剂量组HE,10 mg/kg体重。2.低剂量组HE,5 mg/kg体重。3.阴性对照组,生理盐水0.4 ml/只裸小鼠。经腹腔内注射,1次/天,连续16天。停药后第2天处死裸小鼠,用测微器测肾包膜下的肿瘤小块的长径和横径,所得数据及裸鼠体重输入电脑软件得出抑瘤率及t值。肿瘤小块分别做石蜡切片,苏木素伊红染色,光镜观察,有丝分裂计数和超薄切片铀铅染色,超微结构观察。
, 百拇医药
四、原位细胞标记试验 DNA原位末端标记(TUNEL)试剂盒购自德国Boehringer Mannheim公司。组织切片经脱蜡后浸入0.01 mol/L PBS(pH 7.4)经0.03 % H2O2甲醇30 min,0.01 % Triton,0.01 mol/L Tris HCI(pH 7.4) 2 min后操作,以PBS代替TUNEL反应液作阴性对照,以细胞核有明显棕黄色为阳性细胞。每张切片观察10个高倍视野,随机计数2000个细胞中的阳性细胞数,计数时避开中央坏死区,并计算每100个细胞中阳性染色细胞数为标记指数(Label index,LI)。
五、所有数据均行方差分析的统计学处理。
结果
一、细胞形态学观察 对照组7402肝癌细胞呈多角型,排列密集。核大,染色深,可见巨核细胞,胞质少,有丝分裂多见。可见部分细胞核固缩,染色深,部分核呈分叶状。瘤组织中央可见坏死灶。HE组,细胞形态与对照组相似,可见细胞核固缩,核碎裂增加。
, 百拇医药
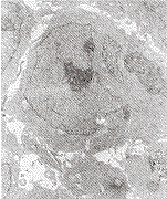
二、细胞超微结构观察 对照组细胞呈多角型,核呈不规则型,核质比例大,染色较均匀。可见少量粗面内质网和线粒体,但形态不规则。游离核糖体和胞饮空泡多见。细胞间隙较大,细胞伪足多。偶见细胞核染色质边集,深染,核固缩或呈分叶状(见插页第4页图5)。HE组细胞形态与对照组相似,但细胞排列较密集,细胞间隙较小,伪足短而少。部分细胞固缩,表面微绒毛减少,消失。核染色质边集,核固缩多见,细胞核被膜包裹,分割形成凋亡小体(见插页第4页图6)。
图5 透射电镜对照组肝癌细胞,核大不规则,细胞间隙大,可见微绒毛。×4000
图6 透射电镜肝细胞提取物组肝癌细胞,核染色质浓缩并边集,细胞表面微绒毛消失。×4000
, 百拇医药 三、对移植肝癌组织生长的影响
1.不同剂量的HE对移植肝癌组织生长的抑瘤率见表1。
表1 HE组份对裸小鼠移植肝癌的抑瘤率(
±s,n=6)
剂量(mg/kg)
接种瘤体积
(Do,mm3)
取材瘤体积
(Dn,mm3)
瘤体积增长
(mm3)
, 百拇医药
抑制率
(%)
P值
高剂量
10
21.9±2.84
28.1±6.05
6.2±4.74
59.05
<0.05
低剂量
5
19.9±1.44
, 百拇医药
25.5±2.63
5.6±3.16
62.67
<0.01
对照组
0
21.7±2.29
36.7±5.20
15.0±5.53
-
-
2.不同剂量的HE对移植肝癌细胞有丝分裂的影响见表2。
, 百拇医药
表2 HE组份对裸小鼠肝癌细胞有丝分裂的影响(MI,
±s,n=6)
剂量
(mg/kg)
有丝分裂指数
(%)
P值
高剂量
10
1.78±0.503
>0.05
低剂量
, 百拇医药
5
1.96±0.250
>0.05
对照组
0
2.11±0.447
四、对移植肝癌细胞凋亡的影响
不同剂量的HE对移植肝癌细胞凋亡的影响见表3。表3 HE组份对裸小鼠肝癌细胞凋亡标记指数的影响(LI,
±s,n=6)
剂量(mg/kg)
LI(%)
, 百拇医药
P值
高剂量
10
9.35±2.460
<0.01
低剂量
5
6.61±0.871
<0.01
对照组
0
4.20±1.407
讨论
, http://www.100md.com
文献[4]报道,促细胞生长素(pHGF)能抑制皮下接种的骨髓瘤SP2/0细胞和BEL-7402细胞的生长,在体外对多株肝癌细胞有明显的抑制作用[1]。又发现pHGF中既含有促进正常肝细胞生长的活性物质,也有抑制肝癌细胞增殖的物质,并将这种抑制物质更名为肝细胞提取物(HE)[2]。发现,肝细胞提取物中的凋亡组分经激光飞行时间质谱测定分子量为4.02 kD,呈单一组份峰。
本实验表明,不同剂量HE组份能明显抑制裸小鼠肾包膜接种的7402肝癌细胞移植瘤块的生长,抑瘤率分别为59.05%和62.67%。原位细胞凋亡检测表明,HE能明显促进7402肝癌细胞的凋亡(见表2)。不同剂量HE对肝癌细胞有丝分裂的影响不明显,提示HE对裸小鼠移植肝癌细胞的生长抑制是通过诱导肝癌细胞凋亡而引起,并非直接抑制肝癌细胞增殖分裂所致。
孔祥平等[2,3]曾用DNA梯状电泳,细胞形态学观察,原位细胞凋亡检测和流式细胞仪,从体外细胞培养证实纯化的HE能诱导肝癌细胞凋亡,这种凋亡诱导是通过介导癌基因表达而进行的[2,3]。本实验研究结果表明,纯化的HE可以诱导裸小鼠移植的BEL-7402细胞凋亡增加,电镜下可见肝癌细胞核染色质边集,浓缩,核固缩增加,细胞间隙有所减少,伪足缩短,而对粗面内质网、线粒体以及细胞连接的结构影响不明显。提示HE对移植肝癌细胞的生长抑制是直接诱导凋亡,而对肝癌细胞的异形性和细胞分化影响不明显。
, 百拇医药
作者简介:邹清雁,男,硕士,副主任医师。
参考文献
[1]简志翰,Kren LI,张宜俊,等.促肝细胞生长素(pHGF)对六种人癌细胞株的抑制作用及诱导HL-60白血病细胞凋亡。临床肝胆病杂志,1995,11(1)增刊:20
[2]孔祥平,邹清雁,杨联萍等.肝细胞提取物对正常肝和肝癌细胞作用的影响.上海免疫学杂志,1997,17(2):108
[3]孔祥平,邹清雁,杨联萍,等.肝细胞提取物对肝癌细胞(BEL-7402)凋亡相关基因表达的影响。中国病理生理学杂志,1997,13(6):570
[4]孔祥平,杨联萍,邹清雁等.促肝细胞生长素对小鼠移植肿瘤的实验研究.临床肝胆病杂志,1995,11(1)增刊:46
(收稿日期:1997-11-24), 百拇医药
单位:邹清雁 孔祥平 万华印 佟明华 中国人民解放军传染病中心(广州510602);黄 冰 陈系古 黄文革 中山医科大学动物实验中心
关键词:肝肿瘤;生长抑制剂;细胞凋亡;肿瘤细胞,培养的;小鼠,裸
肿瘤990513 肝细胞提取物(Hepatic extract,HE)是从乳猪肝细胞提取物中分离纯化的一类多肽,体外实验证实,HE能促进某些肝癌细胞生长抑制和凋亡[1],这种诱导凋亡物质的分子量为4.02 kD[2,3]。为探讨HE对体内肝癌细胞的影响,作者采用BEL-7402肝癌细胞进行裸小鼠肾包膜移植,利用组织细胞形态学,电镜超微结构观察和原位细胞末端标记技术观察HE对BEL-7402细胞的影响。
材料和方法
, 百拇医药
一、肝细胞提取物(HE)组份的制备 见文献[3]方法。
二、裸小鼠肾包膜BEL-7402肝癌细胞移植。
1.裸小鼠皮下瘤的建立 BEL-7402肝癌细胞(由中山医科大学实验动物中心细胞库提供),用含15 %小牛血清的RPMI-1640完全培养液培养,对数生长期细胞用0.25 %胰酶消化成1.46×107/ml的细胞悬液,0.3 ml/只,于BALB/c裸小鼠右侧颈部皮下注射,待肿块长至0.8 cm3左右,作肾包膜下移植。
2.瘤块移植 BEL-7402肝癌细胞裸小鼠皮下瘤无菌切成1 mm3左右,作裸小鼠双肾包膜下移植,移植后用测微器测肿瘤小块的长径和横径。
三、动物分组及给药 肾包膜下移植后第3天开始给药,18只裸小鼠分成3组:每组6只,1.高剂量组HE,10 mg/kg体重。2.低剂量组HE,5 mg/kg体重。3.阴性对照组,生理盐水0.4 ml/只裸小鼠。经腹腔内注射,1次/天,连续16天。停药后第2天处死裸小鼠,用测微器测肾包膜下的肿瘤小块的长径和横径,所得数据及裸鼠体重输入电脑软件得出抑瘤率及t值。肿瘤小块分别做石蜡切片,苏木素伊红染色,光镜观察,有丝分裂计数和超薄切片铀铅染色,超微结构观察。
, 百拇医药
四、原位细胞标记试验 DNA原位末端标记(TUNEL)试剂盒购自德国Boehringer Mannheim公司。组织切片经脱蜡后浸入0.01 mol/L PBS(pH 7.4)经0.03 % H2O2甲醇30 min,0.01 % Triton,0.01 mol/L Tris HCI(pH 7.4) 2 min后操作,以PBS代替TUNEL反应液作阴性对照,以细胞核有明显棕黄色为阳性细胞。每张切片观察10个高倍视野,随机计数2000个细胞中的阳性细胞数,计数时避开中央坏死区,并计算每100个细胞中阳性染色细胞数为标记指数(Label index,LI)。
五、所有数据均行方差分析的统计学处理。
结果
一、细胞形态学观察 对照组7402肝癌细胞呈多角型,排列密集。核大,染色深,可见巨核细胞,胞质少,有丝分裂多见。可见部分细胞核固缩,染色深,部分核呈分叶状。瘤组织中央可见坏死灶。HE组,细胞形态与对照组相似,可见细胞核固缩,核碎裂增加。
, 百拇医药
二、细胞超微结构观察 对照组细胞呈多角型,核呈不规则型,核质比例大,染色较均匀。可见少量粗面内质网和线粒体,但形态不规则。游离核糖体和胞饮空泡多见。细胞间隙较大,细胞伪足多。偶见细胞核染色质边集,深染,核固缩或呈分叶状(见插页第4页图5)。HE组细胞形态与对照组相似,但细胞排列较密集,细胞间隙较小,伪足短而少。部分细胞固缩,表面微绒毛减少,消失。核染色质边集,核固缩多见,细胞核被膜包裹,分割形成凋亡小体(见插页第4页图6)。
图5 透射电镜对照组肝癌细胞,核大不规则,细胞间隙大,可见微绒毛。×4000
图6 透射电镜肝细胞提取物组肝癌细胞,核染色质浓缩并边集,细胞表面微绒毛消失。×4000
, 百拇医药 三、对移植肝癌组织生长的影响
1.不同剂量的HE对移植肝癌组织生长的抑瘤率见表1。
表1 HE组份对裸小鼠移植肝癌的抑瘤率(
剂量(mg/kg)
接种瘤体积
(Do,mm3)
取材瘤体积
(Dn,mm3)
瘤体积增长
(mm3)
, 百拇医药
抑制率
(%)
P值
高剂量
10
21.9±2.84
28.1±6.05
6.2±4.74
59.05
<0.05
低剂量
5
19.9±1.44
, 百拇医药
25.5±2.63
5.6±3.16
62.67
<0.01
对照组
0
21.7±2.29
36.7±5.20
15.0±5.53
-
-
2.不同剂量的HE对移植肝癌细胞有丝分裂的影响见表2。
, 百拇医药
表2 HE组份对裸小鼠肝癌细胞有丝分裂的影响(MI,
剂量
(mg/kg)
有丝分裂指数
(%)
P值
高剂量
10
1.78±0.503
>0.05
低剂量
, 百拇医药
5
1.96±0.250
>0.05
对照组
0
2.11±0.447
四、对移植肝癌细胞凋亡的影响
不同剂量的HE对移植肝癌细胞凋亡的影响见表3。表3 HE组份对裸小鼠肝癌细胞凋亡标记指数的影响(LI,
剂量(mg/kg)
LI(%)
, 百拇医药
P值
高剂量
10
9.35±2.460
<0.01
低剂量
5
6.61±0.871
<0.01
对照组
0
4.20±1.407
讨论
, http://www.100md.com
文献[4]报道,促细胞生长素(pHGF)能抑制皮下接种的骨髓瘤SP2/0细胞和BEL-7402细胞的生长,在体外对多株肝癌细胞有明显的抑制作用[1]。又发现pHGF中既含有促进正常肝细胞生长的活性物质,也有抑制肝癌细胞增殖的物质,并将这种抑制物质更名为肝细胞提取物(HE)[2]。发现,肝细胞提取物中的凋亡组分经激光飞行时间质谱测定分子量为4.02 kD,呈单一组份峰。
本实验表明,不同剂量HE组份能明显抑制裸小鼠肾包膜接种的7402肝癌细胞移植瘤块的生长,抑瘤率分别为59.05%和62.67%。原位细胞凋亡检测表明,HE能明显促进7402肝癌细胞的凋亡(见表2)。不同剂量HE对肝癌细胞有丝分裂的影响不明显,提示HE对裸小鼠移植肝癌细胞的生长抑制是通过诱导肝癌细胞凋亡而引起,并非直接抑制肝癌细胞增殖分裂所致。
孔祥平等[2,3]曾用DNA梯状电泳,细胞形态学观察,原位细胞凋亡检测和流式细胞仪,从体外细胞培养证实纯化的HE能诱导肝癌细胞凋亡,这种凋亡诱导是通过介导癌基因表达而进行的[2,3]。本实验研究结果表明,纯化的HE可以诱导裸小鼠移植的BEL-7402细胞凋亡增加,电镜下可见肝癌细胞核染色质边集,浓缩,核固缩增加,细胞间隙有所减少,伪足缩短,而对粗面内质网、线粒体以及细胞连接的结构影响不明显。提示HE对移植肝癌细胞的生长抑制是直接诱导凋亡,而对肝癌细胞的异形性和细胞分化影响不明显。
, 百拇医药
作者简介:邹清雁,男,硕士,副主任医师。
参考文献
[1]简志翰,Kren LI,张宜俊,等.促肝细胞生长素(pHGF)对六种人癌细胞株的抑制作用及诱导HL-60白血病细胞凋亡。临床肝胆病杂志,1995,11(1)增刊:20
[2]孔祥平,邹清雁,杨联萍等.肝细胞提取物对正常肝和肝癌细胞作用的影响.上海免疫学杂志,1997,17(2):108
[3]孔祥平,邹清雁,杨联萍,等.肝细胞提取物对肝癌细胞(BEL-7402)凋亡相关基因表达的影响。中国病理生理学杂志,1997,13(6):570
[4]孔祥平,杨联萍,邹清雁等.促肝细胞生长素对小鼠移植肿瘤的实验研究.临床肝胆病杂志,1995,11(1)增刊:46
(收稿日期:1997-11-24), 百拇医药