儿童基底节和丘脑生殖细胞瘤的CT及MR影像诊断
作者:林燕 高培毅
单位:100050 北京市神经外科研究所
关键词:基底神经节生殖细胞瘤;脑肿瘤;诊断显像
中华医学杂志NATIONAL MEDICAL JOURNAL OF CHINA1999年 第6期 1999 【摘要】 目的 研究基底节及丘脑生殖细胞瘤的CT、MR影像表现,并与其他部位生殖细胞瘤的影像表现进行对照,以提高诊断水平。方法 回顾性分析了11例基底节及丘脑生殖细胞瘤CT、MR影像资料,并与其他部位86例生殖细胞瘤进行对照分析。11例全部为男性,年龄3~15岁,平均10.6岁。11例患儿中9例经MR检查,其中5例在MR检查前作了CT检查;2例仅作了CT扫描。 结果11例中9例位于基底节,2例位于丘脑;6例表现为圆形或椭圆形,5例形态不规则,边缘呈分叶状;5例肿瘤内可见囊变、坏死灶。9例经MR检查者,T1加权像4例见肿瘤内有斑块样出血灶。静脉注入对比剂后,9例表现为斑块样或斑片样增强,1例为环形增强,1例为环形分隔样增强。4例见肿瘤向对侧基底节扩散。5例基底节生殖细胞瘤可见同侧大脑皮层萎缩征象。结论 基底节及丘脑生殖细胞瘤的发病性别、好发部位、CT及MR影像表现具有一定特点,在多数情况下可以作出术前诊断。
, 百拇医药
CT and MR imaging of germinomas arising in basal ganglia and thalamus LIN Yan, GAO Peiyi. Beijing Neurosurgical Institute, Beijing 100050
【Abstract】 Objective To evaluate the role of CT and MR imaging in diagnosing germinomas arising in the basal ganglia and thalamus. Methods MR imaging of 11 boys (ranging in age from 3-15 years with a median of 10.7 years) with germinomas arising from the basal ganglia and thalamus was reviewed retrospectively and the imaging findings were compared with the features of 86 germinomas in other regions. The tumors located at basal ganglia in 9 and at thalamus in 2. All diagnosis was proved operatively and pathologyically. Five cases were studied using both CT and MR, 4 were examined with MR and 2 with CT only. Results In this series of 11 tumors, 9 were located in the basal ganglia and 2 in the thalamus. The shape of six tumors was global and 5 was lobulated. The cystic components or necrosis were intratumoral in 5 patients and hemorrhage in 4. Patchy enhancement was found in 9 patients and ring-enhancing lesions in 2. Tumor spread oppositely in 4 patients. Five patients demonstrated cortical atrophy ipsilaterally. Conclusion The germinomas arising from the basal ganglia and thalamus have sex, location and imaging characteristics. Therefore, it is possible to make preoperative diagnosis using CT or MR.
, http://www.100md.com
【Key words】 Basal ganglia Germinoma Brain neoplasms Diagnostic imaging
(Natl Med J China, 1999, 79:431-434)
颅内生殖细胞瘤多见于松果体区和鞍上,发生在基底节及丘脑者相对少见,约占我院同期生殖细胞瘤的11.34%。基底节及丘脑生殖细胞瘤影像表现与胶质瘤相似,目前CT和MR对两者的鉴别仍有一定的困难[1,2]。由于基底节及丘脑是一个部位较深而功能复杂的区域,而且生殖细胞瘤对射线高度敏感,因此,放射治疗成为其首选方法。为了提高影像学诊断水平,为临床治疗提供依据。我们回顾性分析了11例经手术、病理证实的基底节及丘脑生殖细胞瘤的CT、MR影像资料,并与其他部位生殖细胞瘤进行了对比分析,着重讨论基底节及丘脑生殖细胞瘤影像诊断。
对象与方法
, http://www.100md.com
收集我院经手术、病理证实的基底节及丘脑生殖细胞瘤11例,全部为男性,年龄3~15岁,平均10.6岁。并与其他部位86例生殖细胞瘤进行了对照。11例患儿中9例经MR检查,其中5例在MR检查前作了CT检查;2例仅作了CT扫描。
MR扫描时使用专用头部线圈,常规选择自旋回波T1和快速自旋回波T2脉冲序列行矢状面、横断面和冠状面扫描。层厚5 mm,无层间距,两次激励成像。增强扫描时对比剂为国产磁显葡胺,使用剂量为0.2 ml/kg体重,经肘静脉快速注入后行矢状面、横断面和冠状面T1加权像扫描。CT检查为传统横断面平扫和增强扫描,层厚10 mm。碘对比剂浓度为300 mg/ml。
结 果
一、肿瘤部位、大小与形态:11例中9例发生在基底节,位于丘脑者仅2例。1例肿瘤最大径大于5 cm,其余均在3~5 cm之间。6例表现为圆形或椭圆形,5例为形态不规则,边缘呈分叶状。8例边缘略显模糊,3例边缘相对清楚。
, http://www.100md.com
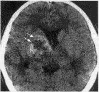
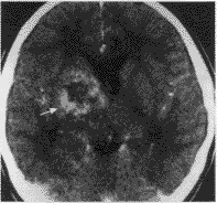
二、囊变、坏死与出血: 11例中5例肿瘤内可见囊变、坏死灶。CT图像上表现为水样低密度影(图1,2),MR上则为混杂性长T1和长T2信号影(图3,4)。9例经MR检查者,T1加权像4例见肿瘤内有斑块样出血灶,表现为不规则形斑块样高信号强度影(图3)。
图1 右侧基底节生殖细胞瘤。平扫见肿瘤呈类圆形混杂密度影。
肿瘤内可见囊变坏死区(双箭头)
图2 静脉注入对比剂后见病灶呈轻度“花环”样增强(箭头)
三、增强类型: 静脉注入对比剂后,9例表现为斑块样或斑片样增强(图5),1例为环形增强,1例为环形分隔样增强。
, http://www.100md.com
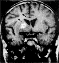
四、瘤旁水肿与肿瘤扩散:位于基底节的9例中,8例见肿瘤旁有轻微水肿带,1例无瘤旁水肿;2例位于丘脑者未见明显瘤旁水肿。9例位于基底节的肿瘤中,4例见肿瘤向对侧基底节扩散(图6)。位于丘脑的2例中,无一例向对侧扩散。
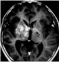
五、占位征象与同侧皮层萎缩: 基底节及丘脑生殖细胞瘤占位征象多不明显,其中5例基底节生殖细胞瘤可见同侧大脑皮层萎缩征象,表现为外侧裂及脑沟增宽(图7)。
六、松果体区、鞍上区、基底节及丘脑等部位生殖细胞瘤对照:97例生殖细胞瘤包括松果体区39例、鞍上区35例、基底节及丘脑11例、大脑半球9例和脑干3例。各部位生殖细胞瘤平均就诊年龄、患者性别、影像学表现以及肿瘤扩散途径见表1。
图3~5 右侧基底节生殖细胞瘤。T1加权像(图3)和T2加权像(图4)见肿瘤信号不均匀,并可见出血灶(箭头),增强扫描(图5) 见肿瘤为斑片样增强(双箭头)

, http://www.100md.com
图6 右侧基底节生殖细胞瘤。增强扫描见 图7 同侧大脑皮层萎缩(箭头与
肿瘤向对侧扩散(箭头) 图3~5为同一病人)
讨 论
生殖细胞瘤起自神经管发育早期,嘴部中线部位具有向各个方向生长特性的原始多能细胞(totipotential cell),因此,多见于松果体区及鞍上区。由于第三脑室发育过程中可使胚生殖细胞(多能细胞)偏离中线而异位[5],因此,生殖细胞瘤也可发生在基底节、丘脑和大脑半球等部位。生殖细胞瘤在亚洲的发生率明显高于欧美国家,原因目前还不十分清楚。基底节及丘脑生殖细胞瘤较少见,约占全部生殖细胞瘤的11%左右,占小儿基底节及丘脑肿瘤的25%。由于此肿瘤对放射治疗高度敏感,因此,术前正确诊断极为重要[3]。根据发病部位不同,生殖细胞瘤的发病性别亦有所不同。松果体区和脑干生殖细胞瘤男性多见,鞍上区女性明显多于男性,而基底节、丘脑和大脑半球则几乎全部为男性。本组11例基底节及丘脑生殖细胞瘤全部为男性。Moon等[4]报道了一组10例基底节及丘脑生殖细胞瘤亦全部为男性。此外,各部位生殖细胞瘤的平均发病年龄亦有所不同。平均发病年龄从高到低依次为大脑半球、脑干、松果体区、鞍上区、基底节及丘脑。基底节及丘脑生殖细胞瘤多位于基底节,仅少数肿瘤位于丘脑。本组11例中9例位于基底节,2例位于丘脑。Kim等[5]报道了一组14个生殖细胞瘤,13个位于基底节,1个位于丘脑。造成生殖细胞瘤的这种部位与性别、发病年龄之间关系的原因目前尚不十分清楚。
, 百拇医药
基底节及丘脑生殖细胞瘤影像表现与松果体区、鞍上区生殖细胞瘤明显不同,前者呈弥漫性生长,边缘欠清晰,形态不整,信号不均匀,囊变、坏死和出血较常见;后者多为球形,边缘光滑,囊变、坏死
表1 97例不同部位生殖细胞瘤对照 组别
例数(%)
性别
(男/女)
平均
年龄
平扫表现
增强表现
扩散途径
<3cm
, 百拇医药
3~5cm
>5cm
圆形
不规
则形
囊变
坏死
出血
球形
环形
斑块
室管膜
脑脊液
, 百拇医药 联合纤维
松果体区
39
(40.2%)
30/9
19.4
35
4
-
37
2
3
-
35
, 百拇医药
4
-
14
7
-
鞍上区
35
(36.1%)
4/31
15.6
35
-
-
24
, 百拇医药
11
11
1
24
11
-
-
1
-
基底节
丘脑
11
(11.3%)
11/0
, 百拇医药
10.6
-
10
1
6
5
5
4
-
2
9
-
-
4
, http://www.100md.com
额颞顶叶
9
(9.3%)
9/0
30.3
-
7
2
-
9
8
1
-
9
, http://www.100md.com
-
-
-
-
脑干
3
(3.1%)
2/1
22.0
-
3
-
2
1
, http://www.100md.com
1
-
2
-
1
-
-
-
注:-表示无
和出血少见。肿瘤早期,T1和T2加权像上,肿瘤表现为小的不规则形混杂信号影,增强扫描见病灶为斑块样增强。由于肿瘤较小,故不易诊断[5]。作者有一病例,初诊时病灶小于1 cm,3个月复查时已长成5~6 cm大小。由于短期内生长过快,肿瘤内多有囊变、坏死或出血灶。肿瘤边缘多显模糊,瘤旁水肿相对较少。由于基底节及丘脑生殖细胞瘤位于脑实质内,生长空间广阔,故此部位肿瘤多明显大于松果体区和鞍上区生殖细胞瘤。当肿瘤长的较大时,静脉注入对比剂后多表现为不规则花环样增强,内多可见分隔。大脑半球和脑干生殖细胞瘤的影像表现与基底节及丘脑的生殖细胞瘤表现相似。
, 百拇医药
基底节及丘脑生殖细胞瘤扩散形式与松果体区生殖细胞瘤的室管膜直接蔓延或沿脑脊液种植扩散有所不同,肿瘤可沿纤维束向对侧基底节扩散。本组11例中4例见肿瘤向对侧扩散,表现为斑点样增强影。此外,基底节及丘脑生殖细胞瘤可伴有同侧大脑皮层萎缩。早期多数作者认为此征象是基底节及丘脑生殖细胞瘤的特征性表现,后又有作者认为基底节及丘脑任何肿瘤均可有此改变。Kim[5]和Higano等[6]发现,当基底节及丘脑生殖细胞瘤形态不规整并侵及内囊时多伴有同侧大脑皮层萎缩,因此提示,半球萎缩为内囊受累所致。本组有5例伴同侧额叶盖部萎缩。
总之,基底节及丘脑生殖细胞瘤多见于基底节,CT及MR平扫主要表现为边缘欠清晰、形态不整、信号\密度不均匀的低信号或低密度影,瘤旁水肿相对较轻,囊变、坏死和出血较常见。静脉注入对比剂后肿瘤多呈斑片样增强。与其他部位生殖细胞瘤相比肿瘤较大,常常在3 cm以上。肿瘤可沿纤维束向对侧基底节扩散,表现为斑点样增强影。
, 百拇医药
基底节及丘脑生殖细胞瘤主要见于男性大龄儿童,因此,鉴别诊断主要包括胶质瘤、恶性畸胎瘤和病毒性脑炎等。胶质瘤是基底节及丘脑最常见的肿瘤,多见于丘脑,第三脑室后部受压变形明显,常常伴有梗阻性脑积水。丘脑胶质瘤可向中脑蔓延,沿中间块向对侧扩散较罕见。增强扫描时多表现为环形增强或无增强。基底节及丘脑恶性畸胎瘤发病性别及部位与生殖细胞瘤相似,肿瘤囊变和坏死常见,增强扫描多为不规则环形增强,与生殖细胞瘤所不同的是恶性畸胎瘤周围水肿一般比较明显,且为不规则“花环”样增强;生殖细胞瘤的瘤周水肿较轻,静脉注入对比剂后为斑块样增强或分隔状花环样增强,此点有助于鉴别。丘脑的病毒性脑炎可有类似肿瘤样表现,但病变边缘模糊,静脉注入对比剂后无增强。 参考文献
1 Souweidane MM, Hoffman HJ. Current treatment of thalamic gliomas in children. J Neurooncol, 1996, 28:157-166.
, 百拇医药 2 张柏年, 徐温理, 孙伟建, 等. 颅内生殖细胞瘤综合治疗. 中华神经外科杂志, 1996, 12:219-221.
3 陈新, 宇光, 王锦玲, 等. 颅内生殖细胞瘤的MRI诊断. 中华放射学杂志, 1996, 30:347-349.
4 Moon WK, Chang KH, Kim IO, et al. Germinomas of the basal ganglia and thalamas: MR findings and a comparison between MR and CT. AJR, 1994, 162:1413-1417.
5 Kim DI, Yoon PH, Ryu YH, et al. MRI of germinomas arising from the basal ganglia and thalamus. Neuroradiology, 1998, 40:507-511.
6 Higano S, Takahashi S, Ishii K, et al. Germinoma originating in the basal ganglia and thalamus: MR and CT evaluation. AJNR, 1994, 15:1435-1441.
收稿:1998-12-10 修回:1999-02-12, http://www.100md.com
单位:100050 北京市神经外科研究所
关键词:基底神经节生殖细胞瘤;脑肿瘤;诊断显像
中华医学杂志NATIONAL MEDICAL JOURNAL OF CHINA1999年 第6期 1999 【摘要】 目的 研究基底节及丘脑生殖细胞瘤的CT、MR影像表现,并与其他部位生殖细胞瘤的影像表现进行对照,以提高诊断水平。方法 回顾性分析了11例基底节及丘脑生殖细胞瘤CT、MR影像资料,并与其他部位86例生殖细胞瘤进行对照分析。11例全部为男性,年龄3~15岁,平均10.6岁。11例患儿中9例经MR检查,其中5例在MR检查前作了CT检查;2例仅作了CT扫描。 结果11例中9例位于基底节,2例位于丘脑;6例表现为圆形或椭圆形,5例形态不规则,边缘呈分叶状;5例肿瘤内可见囊变、坏死灶。9例经MR检查者,T1加权像4例见肿瘤内有斑块样出血灶。静脉注入对比剂后,9例表现为斑块样或斑片样增强,1例为环形增强,1例为环形分隔样增强。4例见肿瘤向对侧基底节扩散。5例基底节生殖细胞瘤可见同侧大脑皮层萎缩征象。结论 基底节及丘脑生殖细胞瘤的发病性别、好发部位、CT及MR影像表现具有一定特点,在多数情况下可以作出术前诊断。
, 百拇医药
CT and MR imaging of germinomas arising in basal ganglia and thalamus LIN Yan, GAO Peiyi. Beijing Neurosurgical Institute, Beijing 100050
【Abstract】 Objective To evaluate the role of CT and MR imaging in diagnosing germinomas arising in the basal ganglia and thalamus. Methods MR imaging of 11 boys (ranging in age from 3-15 years with a median of 10.7 years) with germinomas arising from the basal ganglia and thalamus was reviewed retrospectively and the imaging findings were compared with the features of 86 germinomas in other regions. The tumors located at basal ganglia in 9 and at thalamus in 2. All diagnosis was proved operatively and pathologyically. Five cases were studied using both CT and MR, 4 were examined with MR and 2 with CT only. Results In this series of 11 tumors, 9 were located in the basal ganglia and 2 in the thalamus. The shape of six tumors was global and 5 was lobulated. The cystic components or necrosis were intratumoral in 5 patients and hemorrhage in 4. Patchy enhancement was found in 9 patients and ring-enhancing lesions in 2. Tumor spread oppositely in 4 patients. Five patients demonstrated cortical atrophy ipsilaterally. Conclusion The germinomas arising from the basal ganglia and thalamus have sex, location and imaging characteristics. Therefore, it is possible to make preoperative diagnosis using CT or MR.
, http://www.100md.com
【Key words】 Basal ganglia Germinoma Brain neoplasms Diagnostic imaging
(Natl Med J China, 1999, 79:431-434)
颅内生殖细胞瘤多见于松果体区和鞍上,发生在基底节及丘脑者相对少见,约占我院同期生殖细胞瘤的11.34%。基底节及丘脑生殖细胞瘤影像表现与胶质瘤相似,目前CT和MR对两者的鉴别仍有一定的困难[1,2]。由于基底节及丘脑是一个部位较深而功能复杂的区域,而且生殖细胞瘤对射线高度敏感,因此,放射治疗成为其首选方法。为了提高影像学诊断水平,为临床治疗提供依据。我们回顾性分析了11例经手术、病理证实的基底节及丘脑生殖细胞瘤的CT、MR影像资料,并与其他部位生殖细胞瘤进行了对比分析,着重讨论基底节及丘脑生殖细胞瘤影像诊断。
对象与方法
, http://www.100md.com
收集我院经手术、病理证实的基底节及丘脑生殖细胞瘤11例,全部为男性,年龄3~15岁,平均10.6岁。并与其他部位86例生殖细胞瘤进行了对照。11例患儿中9例经MR检查,其中5例在MR检查前作了CT检查;2例仅作了CT扫描。
MR扫描时使用专用头部线圈,常规选择自旋回波T1和快速自旋回波T2脉冲序列行矢状面、横断面和冠状面扫描。层厚5 mm,无层间距,两次激励成像。增强扫描时对比剂为国产磁显葡胺,使用剂量为0.2 ml/kg体重,经肘静脉快速注入后行矢状面、横断面和冠状面T1加权像扫描。CT检查为传统横断面平扫和增强扫描,层厚10 mm。碘对比剂浓度为300 mg/ml。
结 果
一、肿瘤部位、大小与形态:11例中9例发生在基底节,位于丘脑者仅2例。1例肿瘤最大径大于5 cm,其余均在3~5 cm之间。6例表现为圆形或椭圆形,5例为形态不规则,边缘呈分叶状。8例边缘略显模糊,3例边缘相对清楚。
, http://www.100md.com
二、囊变、坏死与出血: 11例中5例肿瘤内可见囊变、坏死灶。CT图像上表现为水样低密度影(图1,2),MR上则为混杂性长T1和长T2信号影(图3,4)。9例经MR检查者,T1加权像4例见肿瘤内有斑块样出血灶,表现为不规则形斑块样高信号强度影(图3)。
图1 右侧基底节生殖细胞瘤。平扫见肿瘤呈类圆形混杂密度影。
肿瘤内可见囊变坏死区(双箭头)
图2 静脉注入对比剂后见病灶呈轻度“花环”样增强(箭头)
三、增强类型: 静脉注入对比剂后,9例表现为斑块样或斑片样增强(图5),1例为环形增强,1例为环形分隔样增强。
, http://www.100md.com
四、瘤旁水肿与肿瘤扩散:位于基底节的9例中,8例见肿瘤旁有轻微水肿带,1例无瘤旁水肿;2例位于丘脑者未见明显瘤旁水肿。9例位于基底节的肿瘤中,4例见肿瘤向对侧基底节扩散(图6)。位于丘脑的2例中,无一例向对侧扩散。
五、占位征象与同侧皮层萎缩: 基底节及丘脑生殖细胞瘤占位征象多不明显,其中5例基底节生殖细胞瘤可见同侧大脑皮层萎缩征象,表现为外侧裂及脑沟增宽(图7)。
六、松果体区、鞍上区、基底节及丘脑等部位生殖细胞瘤对照:97例生殖细胞瘤包括松果体区39例、鞍上区35例、基底节及丘脑11例、大脑半球9例和脑干3例。各部位生殖细胞瘤平均就诊年龄、患者性别、影像学表现以及肿瘤扩散途径见表1。
图3~5 右侧基底节生殖细胞瘤。T1加权像(图3)和T2加权像(图4)见肿瘤信号不均匀,并可见出血灶(箭头),增强扫描(图5) 见肿瘤为斑片样增强(双箭头)
, http://www.100md.com
图6 右侧基底节生殖细胞瘤。增强扫描见 图7 同侧大脑皮层萎缩(箭头与
肿瘤向对侧扩散(箭头) 图3~5为同一病人)
讨 论
生殖细胞瘤起自神经管发育早期,嘴部中线部位具有向各个方向生长特性的原始多能细胞(totipotential cell),因此,多见于松果体区及鞍上区。由于第三脑室发育过程中可使胚生殖细胞(多能细胞)偏离中线而异位[5],因此,生殖细胞瘤也可发生在基底节、丘脑和大脑半球等部位。生殖细胞瘤在亚洲的发生率明显高于欧美国家,原因目前还不十分清楚。基底节及丘脑生殖细胞瘤较少见,约占全部生殖细胞瘤的11%左右,占小儿基底节及丘脑肿瘤的25%。由于此肿瘤对放射治疗高度敏感,因此,术前正确诊断极为重要[3]。根据发病部位不同,生殖细胞瘤的发病性别亦有所不同。松果体区和脑干生殖细胞瘤男性多见,鞍上区女性明显多于男性,而基底节、丘脑和大脑半球则几乎全部为男性。本组11例基底节及丘脑生殖细胞瘤全部为男性。Moon等[4]报道了一组10例基底节及丘脑生殖细胞瘤亦全部为男性。此外,各部位生殖细胞瘤的平均发病年龄亦有所不同。平均发病年龄从高到低依次为大脑半球、脑干、松果体区、鞍上区、基底节及丘脑。基底节及丘脑生殖细胞瘤多位于基底节,仅少数肿瘤位于丘脑。本组11例中9例位于基底节,2例位于丘脑。Kim等[5]报道了一组14个生殖细胞瘤,13个位于基底节,1个位于丘脑。造成生殖细胞瘤的这种部位与性别、发病年龄之间关系的原因目前尚不十分清楚。
, 百拇医药
基底节及丘脑生殖细胞瘤影像表现与松果体区、鞍上区生殖细胞瘤明显不同,前者呈弥漫性生长,边缘欠清晰,形态不整,信号不均匀,囊变、坏死和出血较常见;后者多为球形,边缘光滑,囊变、坏死
表1 97例不同部位生殖细胞瘤对照 组别
例数(%)
性别
(男/女)
平均
年龄
平扫表现
增强表现
扩散途径
<3cm
, 百拇医药
3~5cm
>5cm
圆形
不规
则形
囊变
坏死
出血
球形
环形
斑块
室管膜
脑脊液
, 百拇医药 联合纤维
松果体区
39
(40.2%)
30/9
19.4
35
4
-
37
2
3
-
35
, 百拇医药
4
-
14
7
-
鞍上区
35
(36.1%)
4/31
15.6
35
-
-
24
, 百拇医药
11
11
1
24
11
-
-
1
-
基底节
丘脑
11
(11.3%)
11/0
, 百拇医药
10.6
-
10
1
6
5
5
4
-
2
9
-
-
4
, http://www.100md.com
额颞顶叶
9
(9.3%)
9/0
30.3
-
7
2
-
9
8
1
-
9
, http://www.100md.com
-
-
-
-
脑干
3
(3.1%)
2/1
22.0
-
3
-
2
1
, http://www.100md.com
1
-
2
-
1
-
-
-
注:-表示无
和出血少见。肿瘤早期,T1和T2加权像上,肿瘤表现为小的不规则形混杂信号影,增强扫描见病灶为斑块样增强。由于肿瘤较小,故不易诊断[5]。作者有一病例,初诊时病灶小于1 cm,3个月复查时已长成5~6 cm大小。由于短期内生长过快,肿瘤内多有囊变、坏死或出血灶。肿瘤边缘多显模糊,瘤旁水肿相对较少。由于基底节及丘脑生殖细胞瘤位于脑实质内,生长空间广阔,故此部位肿瘤多明显大于松果体区和鞍上区生殖细胞瘤。当肿瘤长的较大时,静脉注入对比剂后多表现为不规则花环样增强,内多可见分隔。大脑半球和脑干生殖细胞瘤的影像表现与基底节及丘脑的生殖细胞瘤表现相似。
, 百拇医药
基底节及丘脑生殖细胞瘤扩散形式与松果体区生殖细胞瘤的室管膜直接蔓延或沿脑脊液种植扩散有所不同,肿瘤可沿纤维束向对侧基底节扩散。本组11例中4例见肿瘤向对侧扩散,表现为斑点样增强影。此外,基底节及丘脑生殖细胞瘤可伴有同侧大脑皮层萎缩。早期多数作者认为此征象是基底节及丘脑生殖细胞瘤的特征性表现,后又有作者认为基底节及丘脑任何肿瘤均可有此改变。Kim[5]和Higano等[6]发现,当基底节及丘脑生殖细胞瘤形态不规整并侵及内囊时多伴有同侧大脑皮层萎缩,因此提示,半球萎缩为内囊受累所致。本组有5例伴同侧额叶盖部萎缩。
总之,基底节及丘脑生殖细胞瘤多见于基底节,CT及MR平扫主要表现为边缘欠清晰、形态不整、信号\密度不均匀的低信号或低密度影,瘤旁水肿相对较轻,囊变、坏死和出血较常见。静脉注入对比剂后肿瘤多呈斑片样增强。与其他部位生殖细胞瘤相比肿瘤较大,常常在3 cm以上。肿瘤可沿纤维束向对侧基底节扩散,表现为斑点样增强影。
, 百拇医药
基底节及丘脑生殖细胞瘤主要见于男性大龄儿童,因此,鉴别诊断主要包括胶质瘤、恶性畸胎瘤和病毒性脑炎等。胶质瘤是基底节及丘脑最常见的肿瘤,多见于丘脑,第三脑室后部受压变形明显,常常伴有梗阻性脑积水。丘脑胶质瘤可向中脑蔓延,沿中间块向对侧扩散较罕见。增强扫描时多表现为环形增强或无增强。基底节及丘脑恶性畸胎瘤发病性别及部位与生殖细胞瘤相似,肿瘤囊变和坏死常见,增强扫描多为不规则环形增强,与生殖细胞瘤所不同的是恶性畸胎瘤周围水肿一般比较明显,且为不规则“花环”样增强;生殖细胞瘤的瘤周水肿较轻,静脉注入对比剂后为斑块样增强或分隔状花环样增强,此点有助于鉴别。丘脑的病毒性脑炎可有类似肿瘤样表现,但病变边缘模糊,静脉注入对比剂后无增强。 参考文献
1 Souweidane MM, Hoffman HJ. Current treatment of thalamic gliomas in children. J Neurooncol, 1996, 28:157-166.
, 百拇医药 2 张柏年, 徐温理, 孙伟建, 等. 颅内生殖细胞瘤综合治疗. 中华神经外科杂志, 1996, 12:219-221.
3 陈新, 宇光, 王锦玲, 等. 颅内生殖细胞瘤的MRI诊断. 中华放射学杂志, 1996, 30:347-349.
4 Moon WK, Chang KH, Kim IO, et al. Germinomas of the basal ganglia and thalamas: MR findings and a comparison between MR and CT. AJR, 1994, 162:1413-1417.
5 Kim DI, Yoon PH, Ryu YH, et al. MRI of germinomas arising from the basal ganglia and thalamus. Neuroradiology, 1998, 40:507-511.
6 Higano S, Takahashi S, Ishii K, et al. Germinoma originating in the basal ganglia and thalamus: MR and CT evaluation. AJNR, 1994, 15:1435-1441.
收稿:1998-12-10 修回:1999-02-12, http://www.100md.com