细胞周期蛋白D1反义RNA对胃癌细胞恶性表型的逆转
作者:陈兵 张学庸 吴军正 陈建元 王建波 毕锋 李福洋 周绍娟 樊代明
单位:710032 西安,第四军医大学西京医院消化内科[陈兵现工作单位:400038 重庆,第三军医大学西南医院消化内科)、张学庸、毕锋、周绍娟、樊代明],口腔医院细胞生物学实验中心(吴军正、陈建元),病理教研室(王建波),分子生物学实验室(李福洋)
关键词:
中华医学杂志NATIONAL MEDICAL JOURNAL OF CHINA1999年 第6期 1999 细胞增殖周期失控是恶性肿瘤无限制增殖的重要原因[1]。细胞周期蛋白 Dl (cyclin Dl)作用于决定细跑增殖分化关键时相的 G l期,其异常高表达被认为可能是肿瘤发生发展的一个重要原因。为了进一步探讨cyclin Dl对肿瘤生物学行为的影响及用于基因治疗的可能,我们构建了含人 cyclin D l基因全片段的反义RNA真核表达载体[2],观察了其转染后对 SGC7901/VCR人胃癌细胞恶性表型的影响。
, http://www.100md.com
一、材料与方法
1.SGC7901/VCR人胃癌细胞株:为本研究所建立[3],T24人膀胱癌细胞株和 K562人白血病细胞株由第四军医大学口腔医院细胞生物学实验中心惠赠。鼠抗人cyclin D1单抗DCS-6为 美国NewMarker公司产品。地高辛标记的 cyclin Dl正、反义RNA单链探针采用体外转录自行制备[2]。
2.免疫细胞化学和原位杂交:分别参照武汉博士德公司 SABC试剂盒和德国 Boehemical Mannheim公司地高辛RNA标记及检测试剂盒操作手册进行。
3.细胞转染和筛选:按美国Gibco公司 LipofectAMINETM使用说明进行。
4.流式细胞仪cyclin Dl蛋白表达水平检测:间接免疫荧光染色法。
, 百拇医药
5.细胞生物学特性检测:血清依赖性试验按质量分数为10%、2.5%、0.5%的3种胎牛血清浓度5天培养法进行,其余参照文献[4]。
6.统计学处理方法: χ2检验和F检验。
二、结果
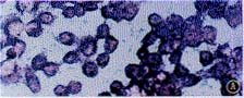
1.Cyclin Dl反义RNA对细胞 cyclin Dl表达的影响:稳定表达 cyclin Dl反义RNA 的SGC7901/VCRDlAS细胞与未经转染的SGC7901/VCR和转染空载体的SGG7901/VCRneo 细胞相比, cyclin Dl mRNA 杂交信号明显减弱(图1)。流式细胞仪 cyclin Dl蛋白表达水平检测的结果和免疫细胞化学染色的相吻合,两种对照细胞均呈高表达且无明显差异,分别为93.9%和93.0%,而 SGC7901/VCRD1AS仅为59.7%,抑制率约为36%左右。
2. Cyclin Dl反义RNA对细胞形态学特征的影响:与两种对照细胞相比,SGC7901/VCRDlAS细胞较为扁平,体积增大,核/浆比例下降,呈疏松非堆叠性生长(图1)。
, 百拇医药
3.Cyclin Dl反义 RNA对转染细跑增殖特性的影响;与两种对照细胞相比,SGC7901/VCRDlAS细胞对培养基中血清浓度的依赖性增加,当胎牛血清浓度降至0.5%其生长处于停滞状态,而对照组细胞仍能较好的生长。其它结果如表1,与对照组两种细胞相比,SGC7901/VCRDlAS细胞的 G0/G1期细胞比例增加,倍增时间明显延长,生长饱和密度、克隆形成率和裸鼠成瘤率均明显降低,而两对照细胞之间的结果无明显差异。


A.SGC7901/VCR,B.SGC7901/VCRneoC.SGC7901/VCRD1AS
图1 DIG标记的cyclin D1反义RNA单链探针原位杂交的结果 ×400
, 百拇医药
表1 cyclin D1反义RNA对胃癌细胞生长特性和植瘤力的影响 细胞株
倍增
时间
((h)
饱和
密度
(×105)
细胞周期分布(%)
克隆
形成率
(%)
裸鼠
, http://www.100md.com
成瘤
率
G1/G0
S
G2-M
SGC7901/VCR
26.8
4.8
64.6
25.9
9.4
5.47
4/4
, http://www.100md.com
SGC7901/VCRneo
26.4
4.8
63.8
27.8
8.3
5.50
4/4
SGC7901/
42.2△
1.9△
80.9
, 百拇医药
13.0
6.1
0.03△
0/4△
VCRD1AS
注:SGC7901/VCRD1AS细胞株与其它两种细胞相比,△P<0.01
三、讨论
细胞的恶性转化已被证明与细胞周期特定时相的调控有关[1]。其中Gl期的检查点可能极为重要,因为细胞周期的长短决定予Gl期,静止或进入终末分化的细胞也是停留在此期[2]。而肿瘤细胞除增殖加速外,其特征之一是不进入静止期和终末分化。除了作用于 Gl期检查点外,cyclin Dl还具有增殖信号“传感器”的功能。用微注射技术注入 cyclin D1抗体或反义质粒,可阻止人成纤维细胞进入S期,但这种注射若 Gl/S期转换后进行则无效[l]。这些现象可能与肿瘤细胞的另一重要特征有关,即不受外源性信号的刺激也可相对自主地增殖。而更为直接的证据是用 cyclin Dl基因转染细胞可导致细胞转化和致瘤性增加[1]。
, 百拇医药
本研究的结果表明,稳定表达 cyclin Dl反义 RNA可使肿瘤细胞 cyclin Dl表达降低,并出现一些恶性表型逆转的现象:倍增时间延长和 G0/Gl期细胞比例增加,提示细胞增殖受抑于 Gl期;生长饱和密度的下降和血清依赖性增加,说明细胞增殖受外源性信号调控的依赖性有所恢复;细胞由无序堆叠的典型恶性肿瘤的生长方式转变为单层有序的生长方式,细胞变的扁平、体积增加和核/浆比例下降,说明其锚着依赖性和上皮细胞的表型有所恢复。这些结果除了从另一方面证实了 cyclin Dl的癌基因作用外,同时还提示 cyclin Dl有可能成为一个肿瘤防治的靶点。
注释:本课题为国家杰出青年科学基金资助项目(3952520)
参考文献
1 Sherr CJ. Cancer cell cycle. Science, 1996,274:1672-1675.
, 百拇医药
2 陈兵,张学庸,王成济,等. Cyclin D1反义真核表达载体pDORD1AS的构建及其鉴定. 细胞与
分子免疫学杂志,1997,13:45-47.
3 蔡学君,张学庸,樊代明,等. 胃癌多药耐药株的建立及其生物学特性. 中国肿瘤临床,1994,2增刊:67-71.
4 Jeha S,Luo XN,Beran M, et al. Antisense RNA inhibition of phosphoprotein p18
expression abrogates the transformed phenotype of leukemic cell. Cancer Res,1996,56:1445-1450.
收稿:1998-06-24 修回:1999-02-25, 百拇医药
单位:710032 西安,第四军医大学西京医院消化内科[陈兵现工作单位:400038 重庆,第三军医大学西南医院消化内科)、张学庸、毕锋、周绍娟、樊代明],口腔医院细胞生物学实验中心(吴军正、陈建元),病理教研室(王建波),分子生物学实验室(李福洋)
关键词:
中华医学杂志NATIONAL MEDICAL JOURNAL OF CHINA1999年 第6期 1999 细胞增殖周期失控是恶性肿瘤无限制增殖的重要原因[1]。细胞周期蛋白 Dl (cyclin Dl)作用于决定细跑增殖分化关键时相的 G l期,其异常高表达被认为可能是肿瘤发生发展的一个重要原因。为了进一步探讨cyclin Dl对肿瘤生物学行为的影响及用于基因治疗的可能,我们构建了含人 cyclin D l基因全片段的反义RNA真核表达载体[2],观察了其转染后对 SGC7901/VCR人胃癌细胞恶性表型的影响。
, http://www.100md.com
一、材料与方法
1.SGC7901/VCR人胃癌细胞株:为本研究所建立[3],T24人膀胱癌细胞株和 K562人白血病细胞株由第四军医大学口腔医院细胞生物学实验中心惠赠。鼠抗人cyclin D1单抗DCS-6为 美国NewMarker公司产品。地高辛标记的 cyclin Dl正、反义RNA单链探针采用体外转录自行制备[2]。
2.免疫细胞化学和原位杂交:分别参照武汉博士德公司 SABC试剂盒和德国 Boehemical Mannheim公司地高辛RNA标记及检测试剂盒操作手册进行。
3.细胞转染和筛选:按美国Gibco公司 LipofectAMINETM使用说明进行。
4.流式细胞仪cyclin Dl蛋白表达水平检测:间接免疫荧光染色法。
, 百拇医药
5.细胞生物学特性检测:血清依赖性试验按质量分数为10%、2.5%、0.5%的3种胎牛血清浓度5天培养法进行,其余参照文献[4]。
6.统计学处理方法: χ2检验和F检验。
二、结果
1.Cyclin Dl反义RNA对细胞 cyclin Dl表达的影响:稳定表达 cyclin Dl反义RNA 的SGC7901/VCRDlAS细胞与未经转染的SGC7901/VCR和转染空载体的SGG7901/VCRneo 细胞相比, cyclin Dl mRNA 杂交信号明显减弱(图1)。流式细胞仪 cyclin Dl蛋白表达水平检测的结果和免疫细胞化学染色的相吻合,两种对照细胞均呈高表达且无明显差异,分别为93.9%和93.0%,而 SGC7901/VCRD1AS仅为59.7%,抑制率约为36%左右。
2. Cyclin Dl反义RNA对细胞形态学特征的影响:与两种对照细胞相比,SGC7901/VCRDlAS细胞较为扁平,体积增大,核/浆比例下降,呈疏松非堆叠性生长(图1)。
, 百拇医药
3.Cyclin Dl反义 RNA对转染细跑增殖特性的影响;与两种对照细胞相比,SGC7901/VCRDlAS细胞对培养基中血清浓度的依赖性增加,当胎牛血清浓度降至0.5%其生长处于停滞状态,而对照组细胞仍能较好的生长。其它结果如表1,与对照组两种细胞相比,SGC7901/VCRDlAS细胞的 G0/G1期细胞比例增加,倍增时间明显延长,生长饱和密度、克隆形成率和裸鼠成瘤率均明显降低,而两对照细胞之间的结果无明显差异。
A.SGC7901/VCR,B.SGC7901/VCRneoC.SGC7901/VCRD1AS
图1 DIG标记的cyclin D1反义RNA单链探针原位杂交的结果 ×400
, 百拇医药
表1 cyclin D1反义RNA对胃癌细胞生长特性和植瘤力的影响 细胞株
倍增
时间
((h)
饱和
密度
(×105)
细胞周期分布(%)
克隆
形成率
(%)
裸鼠
, http://www.100md.com
成瘤
率
G1/G0
S
G2-M
SGC7901/VCR
26.8
4.8
64.6
25.9
9.4
5.47
4/4
, http://www.100md.com
SGC7901/VCRneo
26.4
4.8
63.8
27.8
8.3
5.50
4/4
SGC7901/
42.2△
1.9△
80.9
, 百拇医药
13.0
6.1
0.03△
0/4△
VCRD1AS
注:SGC7901/VCRD1AS细胞株与其它两种细胞相比,△P<0.01
三、讨论
细胞的恶性转化已被证明与细胞周期特定时相的调控有关[1]。其中Gl期的检查点可能极为重要,因为细胞周期的长短决定予Gl期,静止或进入终末分化的细胞也是停留在此期[2]。而肿瘤细胞除增殖加速外,其特征之一是不进入静止期和终末分化。除了作用于 Gl期检查点外,cyclin Dl还具有增殖信号“传感器”的功能。用微注射技术注入 cyclin D1抗体或反义质粒,可阻止人成纤维细胞进入S期,但这种注射若 Gl/S期转换后进行则无效[l]。这些现象可能与肿瘤细胞的另一重要特征有关,即不受外源性信号的刺激也可相对自主地增殖。而更为直接的证据是用 cyclin Dl基因转染细胞可导致细胞转化和致瘤性增加[1]。
, 百拇医药
本研究的结果表明,稳定表达 cyclin Dl反义 RNA可使肿瘤细胞 cyclin Dl表达降低,并出现一些恶性表型逆转的现象:倍增时间延长和 G0/Gl期细胞比例增加,提示细胞增殖受抑于 Gl期;生长饱和密度的下降和血清依赖性增加,说明细胞增殖受外源性信号调控的依赖性有所恢复;细胞由无序堆叠的典型恶性肿瘤的生长方式转变为单层有序的生长方式,细胞变的扁平、体积增加和核/浆比例下降,说明其锚着依赖性和上皮细胞的表型有所恢复。这些结果除了从另一方面证实了 cyclin Dl的癌基因作用外,同时还提示 cyclin Dl有可能成为一个肿瘤防治的靶点。
注释:本课题为国家杰出青年科学基金资助项目(3952520)
参考文献
1 Sherr CJ. Cancer cell cycle. Science, 1996,274:1672-1675.
, 百拇医药
2 陈兵,张学庸,王成济,等. Cyclin D1反义真核表达载体pDORD1AS的构建及其鉴定. 细胞与
分子免疫学杂志,1997,13:45-47.
3 蔡学君,张学庸,樊代明,等. 胃癌多药耐药株的建立及其生物学特性. 中国肿瘤临床,1994,2增刊:67-71.
4 Jeha S,Luo XN,Beran M, et al. Antisense RNA inhibition of phosphoprotein p18
expression abrogates the transformed phenotype of leukemic cell. Cancer Res,1996,56:1445-1450.
收稿:1998-06-24 修回:1999-02-25, 百拇医药