脑内移植牛嗜铬细胞对帕金森病鼠行为的影响及单胺类神经递质的变化
作者:齐增飞 薛毅珑 高军茂 罗云 崔忻 王鲁宁 朱克
单位:100853 北京,中国人民解放军总医院南楼神经科(齐增飞、王鲁宁、朱克),临床医学基础研究所细胞低温室(薛毅珑、罗云、崔忻);北京军区总医院神经内科(高军茂)
关键词:
中华医学杂志NATIONAL MEDICAL JOURNAL OF CHINA1999年 第6期 1999 我们采用来源广泛的牛肾上腺髓质嗜铬细胞作为多巴胺(DA)分泌细胞源,观察牛嗜铬细胞异种移植于帕金森病(PD)鼠脑内对其行为的影响及脑内DA的变化。
一、材料与方法
1.PD样大鼠模型的制作:用体重180~250 g SD雌性大鼠60只,麻醉后固定于脑立体定位仪上,根据Paxinos和Watson大鼠脑定位图谱的座标,右侧颅骨钻孔,定位于黑质致密斑(AP:-4.8 mm、R:1.6 mm、H:8.2 mm)处,缓慢注入2 μg/μl的6-OHDA液6 μl。术后1周皮下注射阿朴吗啡0.2 mg/kg,开始记录40分钟内大鼠向健侧旋转的次数。每周检测1次。连续4周,每次其旋转次数>280 r/min 40分者,被认定为PD模型大鼠。
, http://www.100md.com
2.牛嗜铬细胞分离和纯化:从屠宰场获得热缺血小于1小时的黄牛种肾上腺,放入保护液中带回实验室。除去脂肪及筋膜,灌注乐氏液,洗净血液。然后用质量分数为0.1%胶原酶液灌注,37 ℃振摇,30分钟。机械分离出髓质组织,再消化30分钟后170目网过滤,取网下液用1 500 r/min 离心5分钟,再重复2次。将沉淀物用质量分数为10%牛血清的DMEM液37 ℃培养。培养12小时,将未贴壁的细胞悬液转
表1 牛嗜铬细胞脑内移植对PD大鼠旋转行为的影响(
±s) 组别
鼠数
移植前
旋转次数
2
, http://www.100md.com 4
6
8
10
12
14
16
20
24
细胞组
9
474±105
238±144△
, http://www.100md.com
224± 93△
273±132△
250±121△
207±103△
224± 71△
205± 98△
237± 79△
194± 87△
189± 88△
盐水组
, http://www.100md.com
9
438±69▲
575±227
635±192
569±264
658±214
550±252
531±230
501±131
506±231
647±324
608±194
, 百拇医药
注:2~24周为移植后时间组:移植前与移植后比较均P<0.01,移植后:两组比较△P<0.01;移植前:两组比较;▲P>0.05
入新的培养瓶内继续培养,以去除贴壁的成纤维细胞。用台盼蓝染色法检测细胞存活率。
3.牛嗜铬细胞和生理盐水脑内植入:随机将PD鼠分为细胞移植组(9只)、生理盐水组(9只)和非移植组(6只)。鼠麻醉后固定于脑立体定位仪上,定位于损毁同侧的纹状体,采用两点移植,坐标为:第1点:AP:+0.2 mm、R:3.0 mm、H:5.6 mm;第2点:AP:+0.48 mm、R:3.0 mm、H:5.4 mm。细胞组缓慢注入嗜铬细胞悬液每点104个细胞,盐水组植入等体积的生理盐水,非移植组不作任何处理。移植后第2周开始,每2周检测一次旋转行为。
4.脑内DA测定:移植后6个月各组处死6只鼠,取2侧端脑纹状体分别做成匀浆,用高效液相电化学检测器测定2侧DA。
, http://www.100md.com
5.移植后组织学检查和验证细胞成活情况:取细胞移植后6个月的大鼠麻醉后,经心脏灌注质量分数为4%多聚甲醛固定,再后固定24小时,入质量分数为30%蔗糖过夜沉淀,对移植区行冰冻切片,行HE染色。
6.统计学处理:实验数据以均数标准差表示,用t和方差检验法行统计学处理。
二、结果
1.PD鼠模型的建立:实验鼠60只,模型成功者为29只(成功率为48.3%),连续观察1月,旋转行为稳定、可靠。
2.牛嗜铬细胞的分离和纯化效果:采用胶原酶加机械法分次消化出牛肾上腺嗜铬细胞,平均每只牛肾上腺可获得4×107个嗜铬细胞。台盼蓝染色法显示细胞存活率大于95%,光镜下可见大量体积较大、细胞核大、胞浆含有大量颗粒的嗜铬细胞,极少为体积较小的血细胞和成纤维细胞,37 ℃培养12小时后,将培养液中未贴壁的细胞转入新的培养瓶内继续培养,可以去除大部分成纤维细胞,嗜铬细胞纯度达95%以上。
, http://www.100md.com
3.牛嗜铬细胞脑内移植对PD鼠旋转行为的影响:其结果见表1。
4.三组鼠脑内纹状体内DA测定:结果(表2)。
表2 牛嗜铬细胞移植PD鼠6个月后脑纹状
体DA含量变化(μg/100 g,
±s) 组别
鼠数
AD
健侧
移植侧
细胞组
6
, 百拇医药
33.4±1.1
25.5±1.1△▲
盐水组
6
32.3±0.9
23.5±1.0△*
非移植组
6
32.2±0.8
23.5±1.0△
注:健侧与移植侧相比,△P<0.01;细胞移植侧与盐水移植侧和非移植侧相比,▲P<0.05;盐水移植侧与非移植侧相比,P>0.05
, 百拇医药
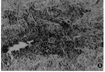
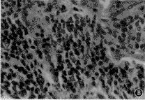
5.牛嗜铬细胞移植的形态学观察:经HE染色可见在PD鼠脑内移植部位呈圆柱形分布,有大量存活的非鼠脑组织细胞结构的外来细胞,细胞体积及胞核较大,此区可见有血管长入(图1)。
图1 牛肾上腺髓质嗜铬细胞移植入PD鼠脑纹
状体内6个月的HE染色 A×33;B×132
三、讨论
获得大量牛嗜铬细胞是本研究的关键环节之一。本实验采用胶原酶加机械的方法,可较满意的分离出较大量的存活率高的牛肾上腺嗜铬细胞。一般采用PERCOLL密度梯度离心的方法纯化嗜铬细胞[1,2],其纯化效果虽然较好,但其价格昂贵,并对细胞损伤较大。本实验利用成纤维细胞贴壁较快的特点,可去除大部分成纤维细胞,较好地纯化了牛嗜铬细胞,既获得了高活性的嗜铬细胞又方便、经济。
, 百拇医药
一些实验和临床已表明,同种嗜铬细胞脑内移植可以纠正PD的行为障碍[3,4],但疗效和持续时间不很理想。而异种牛嗜铬细胞脑内移植治疗PD的报道较少[2,5,6]。本实验采用颅内定位注射6-OHDA法诱发的PD样大鼠为模型动物,以其旋转行为为观察指标,将异种牛嗜铬细胞移植于PD鼠脑内,观察其对异常旋转行为的影响,并测定纹状体DA浓度,本实验结果显示,异种的嗜铬细胞能够在鼠脑内发挥作用并持续至少半年。这可能是因为嗜铬细胞分泌DA,补充了因黑质细胞损伤引起DA不足,纠正了PD样大鼠的异常旋转行为。但近年来一些研究表明,动物行为异常的纠正还有其它机制参与。通过脑内移植后能刺激宿主释放神经营养因子,使残存的DA能神经元发芽,长出突触,同时对外源性DA能移植物有营养作用,提高移植物的存活性。总之,牛嗜铬细胞在鼠脑内存活究竟是如何发挥作用的,移植物是否能与宿主建立突触联系等问题还有待进一步研究。
由于免疫排斥的作用,其它部位的异种细胞移植仅能很短期的存活。而我们的实验表明,异种的牛嗜铬细胞移植于PD样大鼠脑内,其纠正异常旋转行为的作用可维持达半年之久。这可能与脑是免疫学上的特殊器官有关,同时我们利用多点微量移植,尽可能地保持血脑屏障的完整性有关。但脑的这种“特免”作用是不完全的、有限的。而且在啮齿类和灵长类或人身上是有区别的。因此,克服免疫排斥反应仍是异种细胞脑内移植必需研究的问题。
, http://www.100md.com
注释:本课题为国家自然科学基金资助项目(39570725)
参考文献
1 Kilpatrick DL, Ledbetter FH, Carson KA, et al. Stability of bovine adrenal medulla cells in culture. J Neurochem, 1980, 35:679-692.
2 Schueler SB, Sagen J, Pappas GD,et al. Long-term viability of isolated bovine adrenal meddullary chromaffin cells following intrastriatal transplantation. Cell Transplantation, 1995,4:55-64.
, http://www.100md.com 3 Freed WJ, Poltorak M, Becker JB.Intracerbral adrenal medullary grafts: A review. Exp Neurol, 1990,110:139-166.
4 Lindvall O, Sawle G, Winder H, et al. Evidence or long-term survival and function of dopaminergic grafts in progressive Parkinson disease. Ann Neurol, 1994,35:172-180.
5 Ortega JD, Sagen J, Pappa GD. Survival and integration of bovine chromaffin cells transplanted into rat central nervous system without exogenous trophic factors. J Comp Neurol,1992, 323:13-24.
6 Schueler SB, Ortega JD, Sagen J,et al.Robust survival of isolated bovine chromaffin cells following intrastriatal transplantation: A novel hypothesis of adrenal graft viability. J Neurosci, 1993, 13:4496-4510.
收稿:1998-07-30 修回:1998-12-07, 百拇医药
单位:100853 北京,中国人民解放军总医院南楼神经科(齐增飞、王鲁宁、朱克),临床医学基础研究所细胞低温室(薛毅珑、罗云、崔忻);北京军区总医院神经内科(高军茂)
关键词:
中华医学杂志NATIONAL MEDICAL JOURNAL OF CHINA1999年 第6期 1999 我们采用来源广泛的牛肾上腺髓质嗜铬细胞作为多巴胺(DA)分泌细胞源,观察牛嗜铬细胞异种移植于帕金森病(PD)鼠脑内对其行为的影响及脑内DA的变化。
一、材料与方法
1.PD样大鼠模型的制作:用体重180~250 g SD雌性大鼠60只,麻醉后固定于脑立体定位仪上,根据Paxinos和Watson大鼠脑定位图谱的座标,右侧颅骨钻孔,定位于黑质致密斑(AP:-4.8 mm、R:1.6 mm、H:8.2 mm)处,缓慢注入2 μg/μl的6-OHDA液6 μl。术后1周皮下注射阿朴吗啡0.2 mg/kg,开始记录40分钟内大鼠向健侧旋转的次数。每周检测1次。连续4周,每次其旋转次数>280 r/min 40分者,被认定为PD模型大鼠。
, http://www.100md.com
2.牛嗜铬细胞分离和纯化:从屠宰场获得热缺血小于1小时的黄牛种肾上腺,放入保护液中带回实验室。除去脂肪及筋膜,灌注乐氏液,洗净血液。然后用质量分数为0.1%胶原酶液灌注,37 ℃振摇,30分钟。机械分离出髓质组织,再消化30分钟后170目网过滤,取网下液用1 500 r/min 离心5分钟,再重复2次。将沉淀物用质量分数为10%牛血清的DMEM液37 ℃培养。培养12小时,将未贴壁的细胞悬液转
表1 牛嗜铬细胞脑内移植对PD大鼠旋转行为的影响(
鼠数
移植前
旋转次数
2
, http://www.100md.com 4
6
8
10
12
14
16
20
24
细胞组
9
474±105
238±144△
, http://www.100md.com
224± 93△
273±132△
250±121△
207±103△
224± 71△
205± 98△
237± 79△
194± 87△
189± 88△
盐水组
, http://www.100md.com
9
438±69▲
575±227
635±192
569±264
658±214
550±252
531±230
501±131
506±231
647±324
608±194
, 百拇医药
注:2~24周为移植后时间组:移植前与移植后比较均P<0.01,移植后:两组比较△P<0.01;移植前:两组比较;▲P>0.05
入新的培养瓶内继续培养,以去除贴壁的成纤维细胞。用台盼蓝染色法检测细胞存活率。
3.牛嗜铬细胞和生理盐水脑内植入:随机将PD鼠分为细胞移植组(9只)、生理盐水组(9只)和非移植组(6只)。鼠麻醉后固定于脑立体定位仪上,定位于损毁同侧的纹状体,采用两点移植,坐标为:第1点:AP:+0.2 mm、R:3.0 mm、H:5.6 mm;第2点:AP:+0.48 mm、R:3.0 mm、H:5.4 mm。细胞组缓慢注入嗜铬细胞悬液每点104个细胞,盐水组植入等体积的生理盐水,非移植组不作任何处理。移植后第2周开始,每2周检测一次旋转行为。
4.脑内DA测定:移植后6个月各组处死6只鼠,取2侧端脑纹状体分别做成匀浆,用高效液相电化学检测器测定2侧DA。
, http://www.100md.com
5.移植后组织学检查和验证细胞成活情况:取细胞移植后6个月的大鼠麻醉后,经心脏灌注质量分数为4%多聚甲醛固定,再后固定24小时,入质量分数为30%蔗糖过夜沉淀,对移植区行冰冻切片,行HE染色。
6.统计学处理:实验数据以均数标准差表示,用t和方差检验法行统计学处理。
二、结果
1.PD鼠模型的建立:实验鼠60只,模型成功者为29只(成功率为48.3%),连续观察1月,旋转行为稳定、可靠。
2.牛嗜铬细胞的分离和纯化效果:采用胶原酶加机械法分次消化出牛肾上腺嗜铬细胞,平均每只牛肾上腺可获得4×107个嗜铬细胞。台盼蓝染色法显示细胞存活率大于95%,光镜下可见大量体积较大、细胞核大、胞浆含有大量颗粒的嗜铬细胞,极少为体积较小的血细胞和成纤维细胞,37 ℃培养12小时后,将培养液中未贴壁的细胞转入新的培养瓶内继续培养,可以去除大部分成纤维细胞,嗜铬细胞纯度达95%以上。
, http://www.100md.com
3.牛嗜铬细胞脑内移植对PD鼠旋转行为的影响:其结果见表1。
4.三组鼠脑内纹状体内DA测定:结果(表2)。
表2 牛嗜铬细胞移植PD鼠6个月后脑纹状
体DA含量变化(μg/100 g,
鼠数
AD
健侧
移植侧
细胞组
6
, 百拇医药
33.4±1.1
25.5±1.1△▲
盐水组
6
32.3±0.9
23.5±1.0△*
非移植组
6
32.2±0.8
23.5±1.0△
注:健侧与移植侧相比,△P<0.01;细胞移植侧与盐水移植侧和非移植侧相比,▲P<0.05;盐水移植侧与非移植侧相比,P>0.05
, 百拇医药
5.牛嗜铬细胞移植的形态学观察:经HE染色可见在PD鼠脑内移植部位呈圆柱形分布,有大量存活的非鼠脑组织细胞结构的外来细胞,细胞体积及胞核较大,此区可见有血管长入(图1)。
状体内6个月的HE染色 A×33;B×132
三、讨论
获得大量牛嗜铬细胞是本研究的关键环节之一。本实验采用胶原酶加机械的方法,可较满意的分离出较大量的存活率高的牛肾上腺嗜铬细胞。一般采用PERCOLL密度梯度离心的方法纯化嗜铬细胞[1,2],其纯化效果虽然较好,但其价格昂贵,并对细胞损伤较大。本实验利用成纤维细胞贴壁较快的特点,可去除大部分成纤维细胞,较好地纯化了牛嗜铬细胞,既获得了高活性的嗜铬细胞又方便、经济。
, 百拇医药
一些实验和临床已表明,同种嗜铬细胞脑内移植可以纠正PD的行为障碍[3,4],但疗效和持续时间不很理想。而异种牛嗜铬细胞脑内移植治疗PD的报道较少[2,5,6]。本实验采用颅内定位注射6-OHDA法诱发的PD样大鼠为模型动物,以其旋转行为为观察指标,将异种牛嗜铬细胞移植于PD鼠脑内,观察其对异常旋转行为的影响,并测定纹状体DA浓度,本实验结果显示,异种的嗜铬细胞能够在鼠脑内发挥作用并持续至少半年。这可能是因为嗜铬细胞分泌DA,补充了因黑质细胞损伤引起DA不足,纠正了PD样大鼠的异常旋转行为。但近年来一些研究表明,动物行为异常的纠正还有其它机制参与。通过脑内移植后能刺激宿主释放神经营养因子,使残存的DA能神经元发芽,长出突触,同时对外源性DA能移植物有营养作用,提高移植物的存活性。总之,牛嗜铬细胞在鼠脑内存活究竟是如何发挥作用的,移植物是否能与宿主建立突触联系等问题还有待进一步研究。
由于免疫排斥的作用,其它部位的异种细胞移植仅能很短期的存活。而我们的实验表明,异种的牛嗜铬细胞移植于PD样大鼠脑内,其纠正异常旋转行为的作用可维持达半年之久。这可能与脑是免疫学上的特殊器官有关,同时我们利用多点微量移植,尽可能地保持血脑屏障的完整性有关。但脑的这种“特免”作用是不完全的、有限的。而且在啮齿类和灵长类或人身上是有区别的。因此,克服免疫排斥反应仍是异种细胞脑内移植必需研究的问题。
, http://www.100md.com
注释:本课题为国家自然科学基金资助项目(39570725)
参考文献
1 Kilpatrick DL, Ledbetter FH, Carson KA, et al. Stability of bovine adrenal medulla cells in culture. J Neurochem, 1980, 35:679-692.
2 Schueler SB, Sagen J, Pappas GD,et al. Long-term viability of isolated bovine adrenal meddullary chromaffin cells following intrastriatal transplantation. Cell Transplantation, 1995,4:55-64.
, http://www.100md.com 3 Freed WJ, Poltorak M, Becker JB.Intracerbral adrenal medullary grafts: A review. Exp Neurol, 1990,110:139-166.
4 Lindvall O, Sawle G, Winder H, et al. Evidence or long-term survival and function of dopaminergic grafts in progressive Parkinson disease. Ann Neurol, 1994,35:172-180.
5 Ortega JD, Sagen J, Pappa GD. Survival and integration of bovine chromaffin cells transplanted into rat central nervous system without exogenous trophic factors. J Comp Neurol,1992, 323:13-24.
6 Schueler SB, Ortega JD, Sagen J,et al.Robust survival of isolated bovine chromaffin cells following intrastriatal transplantation: A novel hypothesis of adrenal graft viability. J Neurosci, 1993, 13:4496-4510.
收稿:1998-07-30 修回:1998-12-07, 百拇医药