p53转染对肝癌细胞系Hep3B的作用
作者:韩雨生,梁力建,黄洁夫,刘予川
单位:韩雨生,梁力建,黄洁夫,中山医科大学附属第一医院肝胆外科(广东广州,510080);刘予川 中山医科大学分子医学中心
关键词:肝细胞癌;p53基因;转染;凋亡
癌症990609 【摘要】目的:研究野生型和突变型p53基因cDNA转染对肝癌细胞系Hep3B的作用。方法:通过采用脂质体介导转染技术,将野生型、突变型p53的真核表达重组质粒和空载体质粒分别导入一种p53和Rb基因缺失的肝癌细胞系Hep3B。结果:经G418筛选获得稳定的整合了野生型p53的克隆(wide-typep53,wt-p53)、突变型p53克隆(trans-doninant negativep53,TDN p53)和空载体克隆(pNeo)。经Northern和Western印迹鉴定,wt-p53、TDN P53细胞表达p53;wt-p53细胞的p21waf1/cip1蛋白表达水平升高。wt-p53细胞生长较TDNP53、pNeo细胞缓慢,但不出现凋亡。采用0.2μg/ml阿霉素诱导这三组转染细胞,wt-p53细胞出现明显的凋亡。结论:转染野生型p53的Hep3B细胞的p53基因具有转录活性,与化疗药联合治疗Hep3B细胞引起明显的细胞凋亡。
, 百拇医药
中图分类号:R735.7 文献标识码:A 文章编号:1000-467X(1999)06-0652-05
Observations on the role of introduction of p53 genes into a hepatocellular carcinoma cell line Hep3B
HAN Yu-sheng,LIANG Li-jian,HUANG Jie-fu,et al
.Department of Hepatobiliary Surgery,The First Affiliated Hospital of Sun Yat-sen University of Medical Sciences,Guangzhou 510080,P.R.China
【Abstract】 Objective:To study the role of introduction of wild-type and mutant-type p53 genes into a hepatocellular carcinoma (HCC) cell line Hep3B. Methods:Hep3B cells lack of the expression of both p53 and retinoblastoma tumor suppressor genes because of deletions, were transfected with a wild-type (wt) p53 cDNA, a trans-dominant negative (TDN) p53 cDNA and control vector by a liposome method.Results:After G418 selection, stable wt-p53 transformants, TDN p53 transformants and control vector transformants (pNeo) were obtained. Northern and Western blot analysis detected the expression of p53 mRNA and protein in wt-p53 and TDN p53 transformants respectively. In wt-p53 transformants, induction of transcriptionally active p53 was confirmed by the increase of p21waf1/cip1 protein. The growth rate of cells from wt-p53 was much slower than that from TDN p53 and pNeo transformants, while the cell growth curve of TDN p53 transformants was similar to that of pNeo transformants. The three kinds of transformants were treated with doxorubicin at 0.2 μ g/ml for 24 hours, and apparent apoptosis occurred in the wt-p53 transformants.Conclusion:The Hep3B cells transfected with wt-p53 genes possessimg transcriptionally active p53, were vulnerable to doxorubicin and cell apoptosis occurred when treated with doxorubicin.
, 百拇医药
Key words:Hepatocellular carcinoma; p53 gene; Transfection; Apoptosis
在恶性肿瘤中p53的突变是常见的,且在肝细胞癌中出现率高,约为50%〔1〕。野生型的p53为肿瘤的抑制基因,而突变时则失去抑制细胞增殖的功能。野生型p53的作用是控制细胞增殖、生存和分化,其通过诱导细胞生长周期停止而作为细胞周期的负调节子,其重要作用是在细胞周期的G1期。业已证明:在p53缺陷的恶性肿瘤细胞中,导入野生型p53可迅速诱导细胞凋亡〔2〕。本实验研究了转染野生型、突变型p53基因对Hep3B细胞的治疗作用。Hep3B可提供并作为一种缺乏正常p53活性的肝癌细胞的实验模型;通过对p53基因诱导的p21waf1/cip1这种下游靶子的转录的测定证明凋亡的可能途径;并采用常用的肝癌化疗药诱导p53转录活性。
1材料和方法
, 百拇医药
1.1细胞培养
Hep3B肝癌细胞系(来源于美国ATCC中心)用含有10%的小牛血清的RPMI-1640培养基培养,补充2mmol/LL-谷氨酰胺、青霉素(100Iu/ml)和链霉素(100μg/ml);在供给5%CO2、37°C的温箱中培养。该细胞系的p53基因和Rb基因均缺失,不能转录p53及Rb mRNA,不表达野生型p53及Rb蛋白〔3〕。
1.2基因转染和转染克隆的筛选
编码人类野生型p53的真核表达质粒pC53-SN3和不含p53的空载体质粒pCMV-Neo-Bam由中山医科大学肿瘤防治中心曾益新教授惠赠。有三个突变点的人突变型p53(即TDNp53,该质粒的空载体也为pCMV-Neo-Bam)由美国St.Jude儿童研究医院的Gerard zambetti教授惠赠。根据使用说明,用转染制剂DOTAP(德国Boehringer Mannheim公司)转染培养的Hep3B细胞。灭菌的质粒和DOTAP分别用Hepes缓冲液稀释,然后混合在一起在室温内放置10~15分钟。用包含DOTAP/Pc53-SN3复合物、DOTAP/TDNp53复合物(质粒的最终浓度为1μg/ml)和DOTAP/空载体复合物的新的培养基代替已用过的培养基,培养6个小时;然后换用新的不含质粒的培养基继续培养;转染约24~48小时后,至细胞密度达50%~60%汇合,用含G418(初始浓度为200μg/ml,逐渐增至600μg/ml)的培养液筛选约14~21天,挑选单克隆继续用含G418(浓度为250μg/ml)的培养液培养,获得稳定的转染野生型p53质粒(wild-typep53,wt-p53)、转染TDNp53质粒(trans-dominant negativep53,TDNp53)和转染空载体质粒(control vector transtomants,pNeo)克隆,这三组转染细胞均稳定传代3个月以上。
, 百拇医药
1.3 Northern印迹分析转染细胞p53mRNA的表达
采用Trizol试剂(美国GIBCO公司)提取三组转染细胞的总RNA。各取15μgRNA,用1%的甲醛琼脂糖凝胶分离并转至尼龙膜。人类p53cDNA(武汉博士德公司)采用地高辛随机引物标记,Northern印迹杂交和检测根据德国Boehringer Mannheim公司生产的地高辛随机引物标记和检测试剂盒说明进行。
1.4 Western印迹分析转染细胞p53蛋白的表达
三组转染细胞裂解物蛋白的提取如文献所述〔4〕。取等量的各裂解物标本在7.5%或12%的SDS-PAGE凝胶上进行分析。采用微量蛋白转移印迹分析仪(美国Bio-Rad公司)方法将分离的蛋白转至Zeta-Probe膜(美国Bio-Rad公司)上,然后进行Western印迹分析,采用BCIP/NBT显色检测〔5〕。第一抗体是抗人p53单抗Do-7(美国Parmingen公司)和p21单抗sc-187(美国SantaCruz公司),第二抗体为鼠抗人多克隆抗体(美国Parmingen公司)。
, 百拇医药
1.5三组转染细胞生物学行为的观察
一般形态学:在倒置相差显微镜(400倍)下观察。
细胞生长曲线:以1.0×104细胞/孔的浓度接种24孔板,常规条件培养,每天计数1次,每组计数3孔,每孔4次,取平均值,共计6天。
1.6阿霉素诱导三组转染细胞的凋亡
用75cm的细胞培养瓶分别培养wt-p53、TDNp53和pNeo细胞,待细胞生长至对数生长期时,用含阿霉素的培养液(浓度为0.2μg/ml)培养24小时,然后进行以下实验:
1.6.1DNA提取和电泳:收集培养的三组转染细胞(1×107),用标准的酚/氯仿方法提取总基因组DNA,然后用2.0%琼脂糖凝胶电泳,30V电泳4小时,设标准DNA分子量。
, 百拇医药
1.6.2流式细胞术检测细胞周期:收集培养的三组转染细胞(1×107),70%乙醇固定4℃过夜,碘化丙啶染色,Elite型流式细胞仪(美国Coulter公司)检测,观察是否存在凋亡细胞,计算出各期细胞百分比。
2结果
2.1 Northern印迹分析p53mRNA的表达
图1显示wt-p53、TDNp53细胞均有p53mRNA的表达(2、3),而pNeo细胞则无p53mRNA的表达(1)。
图1 Northern印迹分析p53的表达
1:pNeo细胞;2:wt-p53细胞;3:TDN p53细胞
, 百拇医药
2.2 Western印迹分析p53、p21waf1/cip1蛋白的表达
图2显示:在wt-p53细胞中,1、3、4有p53蛋白的表达,2和5无p53蛋白的表达;图3显示:TDNP53细胞(2、3、4)均有P53蛋白的表达,而pNeo细胞(1)则无P53蛋白表达。图4显示:wt-p53细胞(3)的P21waf1/cip1蛋白的表达量为TDNP53细胞的(2)2倍,为pNeo细胞的(1)8倍。
图2 Western 印迹分析P53表达1~4:wt-p53细胞;5:pNeo细胞;M:标准分子量
图3 Western 印迹分析p53表达2~4:TDNp53细胞;1:pNeo细胞;M:标准分子量
, 百拇医药
图4 Western 印迹分析p21表达1:pNeo细胞;2:TDNp53细胞;3:wt-p53细胞;M:标准分子量
2.3三组转染细胞形态
改变一般形态学:三组转染细胞仍为梭形,扁平上皮细胞样,其形态、大小、核浆比例等与Hep3B细胞无明显差别。图5显示:细胞生长曲线:wt-p53细胞生长明显地比TDNp53、pNeo细胞缓慢,而TDNp53细胞与pNeo细胞生长速度相似。
图5 3组细胞的生长曲线
2.4DNA梯状条带
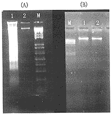
图6显示琼脂糖凝胶电泳分析结果:在wt-p53细胞中出现典型的有一定间隔的DNA梯状条带(图A1),而TDNp53细胞(图B1)和pNeo细胞(图A2、图B2)则无此梯状条带出现。
, 百拇医药
图6 DNA电泳图A1:wt-p53细胞;图A2:
pNeo细胞;图B3:TDNP53细胞;图A2:
pNeo细胞;M:标准分子量
2.5流式细胞仪分析
流式细胞仪分析显示:wt-p53细胞(图7)在G1峰左侧出现亚二倍体核型峰,而TDNp53细胞(图8)和pNeo细胞(图9)则无此亚二倍体核型峰出现。细胞周期分析显示(见表1):wt-p53细胞DNA合成前期G1和静止期G0细胞(87.8%)百分比明显增高,而DNA合成期S(5.3%)和合成后期G2及分裂期M细胞(6.9%)减少。而TDNp53和pNeo细胞的S期明显升高,分别为20.2%和30.0%。
, 百拇医药
图7 流式细胞仪分析wt-p53细胞
图8 流式细胞仪分析TDNp53细胞
图9 流式细胞仪分析pNeo细胞
表1 细胞周期中各时相细胞百分比(%)
细胞类别
时相
G1+Go
G2+M
S
, http://www.100md.com
wt-p53
87.8
6.9
5.3
TDNp53
73.5
6.3
20.2
pNeo
59.8
10.3
30.0
3讨论
, http://www.100md.com
3.1野生型和突变型p53稳定导入Hep3B细胞
Hep3B细胞是一种wt-p53及Rb基因缺失的细胞系,我们成功地将wt-p53和TDNp53转染到该细胞中,用G418筛选挑选单克隆,经Northern和Western印迹鉴定有p53的表达,并稳定传代三个月,发现转染wt-p53和TDNp53均没有使Hep3B凋亡,且细胞形态与Hep3B细胞相似,无明显差别;但wt-p53细胞生长明显地比TDNp53和pNeo细胞慢,这说明稳定转染wt-p53基因后,细胞内的p53有了活性,虽不能启动程序性死亡而引发细胞凋亡,但起到抑制肿瘤细胞生长的作用。TDNp53细胞的形态及生长速度与pNeo细胞生长相似,表明这种突变型的p53不具有正常p53的作用。
3.2p53的下游途径的激活
Hep3B细胞在转染wt-p53基因后p21waf1/cip1蛋白升高,但不出现细胞周期的停止及凋亡,这可能与Rb基因缺失以致不能触发凋亡途径有关。在正常情况下,由p53诱导的p21waf1/cip1导致Rb的低磷酸化,防止它和转录因子E2F分离,使E2F不能反式激活那些转入S期及DNA合成所需的基因〔6,7〕。Rb基因的缺失使p21不能传导p53介导的生长停止作用。由此,我们推测:这种由多基因突变或缺失所致的肝癌细胞,仅由野生型p53启动细胞周期的凋亡的途径是不够的,还需要其它下游途径起作用。
, 百拇医药
3.3转入p53后Hep3B细胞凋亡的诱导
已有报道p53功能的缺失增加各种药物的细胞内的耐受〔7〕。我们进一步实验发现,用0.2μg/ml的阿霉素诱导wt-p53、TDNp53和pNeo细胞24小时,DNA电泳发现wt-p53细胞出现典型的DNA梯形条带,而TDNp53及pNeo细胞无梯形条带出现。流式细胞仪检测显示:wt-p53细胞出现亚二倍体核型峰,其G1和G0期细胞百分比(87.8%)高于TDNp53(73.5%)及pNeo细胞(59.8%)。这表明转染wt-p53的Hep3B细胞不仅生长缓慢,而且对化疗反应敏感并导致凋亡,而TDNp53不具有正常p53的功能。因此,野生型p53有助于化疗药诱导肿瘤细胞死亡,而这种凋亡的产生途径值得进一步的研究。
在肿瘤细胞中诱导凋亡的基因策略被看成治疗多种肿瘤的有效工具,鉴定肝癌细胞的p53的状态及其对野生型p53凋亡的反应有着潜在的治疗目的,对那些p53突变或缺失的肝癌,使用野生型p53的基因治疗并和传统化疗,特别与经肝动脉的肝灌注化疗的结合有着潜在的临床意义。
, http://www.100md.com
〔参考文献〕
〔1〕Bressac B, Kew M,Wands J,et al.Selective G to T mutations of p53 gene in hepatocellular carcinoma from southern Africa〔J〕.Nature,1991,350:429~431.
〔2〕Yonish-Rouach E,Resnitzky D,Lotem J,et al.Wild-type p53 induces apoptosis of myeloid leukaemic cells that is inhibited by interleukin-6 〔J〕.Nature,1991, 352: 345~247.
〔3〕Puisieux A,Galvin K,Troalen F,et al.Retinoblastoma and p53 tumor suppressor genes in human hepatoma cell lines〔J〕.FASEB J,1993,7:1407~1413.
, 百拇医药
〔4〕Appleman LJ,Frey AB.Dominant-negative p53 can restore tumorigenicity of L-929 cells in immunocompetent mice〔J〕.Int J Cancer, 1995,63:576~583.
〔5〕Glover DM,Hames BD. DNA Cloning 2〔M〕.New York:Oxford University Press INC,1995:39~40.
〔6〕Weinberg RA.E2F and cell proliferation:a world turned upside down〔J〕.Cell,1996,85:457~459.
〔7〕Nevins JR.E2F:a link between the Rb tumor suppressor protein and viral oncoproteins〔J〕.Science,1992,258:424~429.
〔8〕Brown R, Clugston C, Burns P,et al.Increased accumulation of p53 protein in cisplatin-resistant ovarian cell lines〔J〕.Int J Cancer,1993,55:678~684.
收稿日期:1999-05-26;修回日期:1999-7-5, 百拇医药
单位:韩雨生,梁力建,黄洁夫,中山医科大学附属第一医院肝胆外科(广东广州,510080);刘予川 中山医科大学分子医学中心
关键词:肝细胞癌;p53基因;转染;凋亡
癌症990609 【摘要】目的:研究野生型和突变型p53基因cDNA转染对肝癌细胞系Hep3B的作用。方法:通过采用脂质体介导转染技术,将野生型、突变型p53的真核表达重组质粒和空载体质粒分别导入一种p53和Rb基因缺失的肝癌细胞系Hep3B。结果:经G418筛选获得稳定的整合了野生型p53的克隆(wide-typep53,wt-p53)、突变型p53克隆(trans-doninant negativep53,TDN p53)和空载体克隆(pNeo)。经Northern和Western印迹鉴定,wt-p53、TDN P53细胞表达p53;wt-p53细胞的p21waf1/cip1蛋白表达水平升高。wt-p53细胞生长较TDNP53、pNeo细胞缓慢,但不出现凋亡。采用0.2μg/ml阿霉素诱导这三组转染细胞,wt-p53细胞出现明显的凋亡。结论:转染野生型p53的Hep3B细胞的p53基因具有转录活性,与化疗药联合治疗Hep3B细胞引起明显的细胞凋亡。
, 百拇医药
中图分类号:R735.7 文献标识码:A 文章编号:1000-467X(1999)06-0652-05
Observations on the role of introduction of p53 genes into a hepatocellular carcinoma cell line Hep3B
HAN Yu-sheng,LIANG Li-jian,HUANG Jie-fu,et al
.Department of Hepatobiliary Surgery,The First Affiliated Hospital of Sun Yat-sen University of Medical Sciences,Guangzhou 510080,P.R.China
【Abstract】 Objective:To study the role of introduction of wild-type and mutant-type p53 genes into a hepatocellular carcinoma (HCC) cell line Hep3B. Methods:Hep3B cells lack of the expression of both p53 and retinoblastoma tumor suppressor genes because of deletions, were transfected with a wild-type (wt) p53 cDNA, a trans-dominant negative (TDN) p53 cDNA and control vector by a liposome method.Results:After G418 selection, stable wt-p53 transformants, TDN p53 transformants and control vector transformants (pNeo) were obtained. Northern and Western blot analysis detected the expression of p53 mRNA and protein in wt-p53 and TDN p53 transformants respectively. In wt-p53 transformants, induction of transcriptionally active p53 was confirmed by the increase of p21waf1/cip1 protein. The growth rate of cells from wt-p53 was much slower than that from TDN p53 and pNeo transformants, while the cell growth curve of TDN p53 transformants was similar to that of pNeo transformants. The three kinds of transformants were treated with doxorubicin at 0.2 μ g/ml for 24 hours, and apparent apoptosis occurred in the wt-p53 transformants.Conclusion:The Hep3B cells transfected with wt-p53 genes possessimg transcriptionally active p53, were vulnerable to doxorubicin and cell apoptosis occurred when treated with doxorubicin.
, 百拇医药
Key words:Hepatocellular carcinoma; p53 gene; Transfection; Apoptosis
在恶性肿瘤中p53的突变是常见的,且在肝细胞癌中出现率高,约为50%〔1〕。野生型的p53为肿瘤的抑制基因,而突变时则失去抑制细胞增殖的功能。野生型p53的作用是控制细胞增殖、生存和分化,其通过诱导细胞生长周期停止而作为细胞周期的负调节子,其重要作用是在细胞周期的G1期。业已证明:在p53缺陷的恶性肿瘤细胞中,导入野生型p53可迅速诱导细胞凋亡〔2〕。本实验研究了转染野生型、突变型p53基因对Hep3B细胞的治疗作用。Hep3B可提供并作为一种缺乏正常p53活性的肝癌细胞的实验模型;通过对p53基因诱导的p21waf1/cip1这种下游靶子的转录的测定证明凋亡的可能途径;并采用常用的肝癌化疗药诱导p53转录活性。
1材料和方法
, 百拇医药
1.1细胞培养
Hep3B肝癌细胞系(来源于美国ATCC中心)用含有10%的小牛血清的RPMI-1640培养基培养,补充2mmol/LL-谷氨酰胺、青霉素(100Iu/ml)和链霉素(100μg/ml);在供给5%CO2、37°C的温箱中培养。该细胞系的p53基因和Rb基因均缺失,不能转录p53及Rb mRNA,不表达野生型p53及Rb蛋白〔3〕。
1.2基因转染和转染克隆的筛选
编码人类野生型p53的真核表达质粒pC53-SN3和不含p53的空载体质粒pCMV-Neo-Bam由中山医科大学肿瘤防治中心曾益新教授惠赠。有三个突变点的人突变型p53(即TDNp53,该质粒的空载体也为pCMV-Neo-Bam)由美国St.Jude儿童研究医院的Gerard zambetti教授惠赠。根据使用说明,用转染制剂DOTAP(德国Boehringer Mannheim公司)转染培养的Hep3B细胞。灭菌的质粒和DOTAP分别用Hepes缓冲液稀释,然后混合在一起在室温内放置10~15分钟。用包含DOTAP/Pc53-SN3复合物、DOTAP/TDNp53复合物(质粒的最终浓度为1μg/ml)和DOTAP/空载体复合物的新的培养基代替已用过的培养基,培养6个小时;然后换用新的不含质粒的培养基继续培养;转染约24~48小时后,至细胞密度达50%~60%汇合,用含G418(初始浓度为200μg/ml,逐渐增至600μg/ml)的培养液筛选约14~21天,挑选单克隆继续用含G418(浓度为250μg/ml)的培养液培养,获得稳定的转染野生型p53质粒(wild-typep53,wt-p53)、转染TDNp53质粒(trans-dominant negativep53,TDNp53)和转染空载体质粒(control vector transtomants,pNeo)克隆,这三组转染细胞均稳定传代3个月以上。
, 百拇医药
1.3 Northern印迹分析转染细胞p53mRNA的表达
采用Trizol试剂(美国GIBCO公司)提取三组转染细胞的总RNA。各取15μgRNA,用1%的甲醛琼脂糖凝胶分离并转至尼龙膜。人类p53cDNA(武汉博士德公司)采用地高辛随机引物标记,Northern印迹杂交和检测根据德国Boehringer Mannheim公司生产的地高辛随机引物标记和检测试剂盒说明进行。
1.4 Western印迹分析转染细胞p53蛋白的表达
三组转染细胞裂解物蛋白的提取如文献所述〔4〕。取等量的各裂解物标本在7.5%或12%的SDS-PAGE凝胶上进行分析。采用微量蛋白转移印迹分析仪(美国Bio-Rad公司)方法将分离的蛋白转至Zeta-Probe膜(美国Bio-Rad公司)上,然后进行Western印迹分析,采用BCIP/NBT显色检测〔5〕。第一抗体是抗人p53单抗Do-7(美国Parmingen公司)和p21单抗sc-187(美国SantaCruz公司),第二抗体为鼠抗人多克隆抗体(美国Parmingen公司)。
, 百拇医药
1.5三组转染细胞生物学行为的观察
一般形态学:在倒置相差显微镜(400倍)下观察。
细胞生长曲线:以1.0×104细胞/孔的浓度接种24孔板,常规条件培养,每天计数1次,每组计数3孔,每孔4次,取平均值,共计6天。
1.6阿霉素诱导三组转染细胞的凋亡
用75cm的细胞培养瓶分别培养wt-p53、TDNp53和pNeo细胞,待细胞生长至对数生长期时,用含阿霉素的培养液(浓度为0.2μg/ml)培养24小时,然后进行以下实验:
1.6.1DNA提取和电泳:收集培养的三组转染细胞(1×107),用标准的酚/氯仿方法提取总基因组DNA,然后用2.0%琼脂糖凝胶电泳,30V电泳4小时,设标准DNA分子量。
, 百拇医药
1.6.2流式细胞术检测细胞周期:收集培养的三组转染细胞(1×107),70%乙醇固定4℃过夜,碘化丙啶染色,Elite型流式细胞仪(美国Coulter公司)检测,观察是否存在凋亡细胞,计算出各期细胞百分比。
2结果
2.1 Northern印迹分析p53mRNA的表达
图1显示wt-p53、TDNp53细胞均有p53mRNA的表达(2、3),而pNeo细胞则无p53mRNA的表达(1)。
图1 Northern印迹分析p53的表达
1:pNeo细胞;2:wt-p53细胞;3:TDN p53细胞
, 百拇医药
2.2 Western印迹分析p53、p21waf1/cip1蛋白的表达
图2显示:在wt-p53细胞中,1、3、4有p53蛋白的表达,2和5无p53蛋白的表达;图3显示:TDNP53细胞(2、3、4)均有P53蛋白的表达,而pNeo细胞(1)则无P53蛋白表达。图4显示:wt-p53细胞(3)的P21waf1/cip1蛋白的表达量为TDNP53细胞的(2)2倍,为pNeo细胞的(1)8倍。
图2 Western 印迹分析P53表达1~4:wt-p53细胞;5:pNeo细胞;M:标准分子量
图3 Western 印迹分析p53表达2~4:TDNp53细胞;1:pNeo细胞;M:标准分子量
, 百拇医药
图4 Western 印迹分析p21表达1:pNeo细胞;2:TDNp53细胞;3:wt-p53细胞;M:标准分子量
2.3三组转染细胞形态
改变一般形态学:三组转染细胞仍为梭形,扁平上皮细胞样,其形态、大小、核浆比例等与Hep3B细胞无明显差别。图5显示:细胞生长曲线:wt-p53细胞生长明显地比TDNp53、pNeo细胞缓慢,而TDNp53细胞与pNeo细胞生长速度相似。
图5 3组细胞的生长曲线
2.4DNA梯状条带
图6显示琼脂糖凝胶电泳分析结果:在wt-p53细胞中出现典型的有一定间隔的DNA梯状条带(图A1),而TDNp53细胞(图B1)和pNeo细胞(图A2、图B2)则无此梯状条带出现。
, 百拇医药
图6 DNA电泳图A1:wt-p53细胞;图A2:
pNeo细胞;图B3:TDNP53细胞;图A2:
pNeo细胞;M:标准分子量
2.5流式细胞仪分析
流式细胞仪分析显示:wt-p53细胞(图7)在G1峰左侧出现亚二倍体核型峰,而TDNp53细胞(图8)和pNeo细胞(图9)则无此亚二倍体核型峰出现。细胞周期分析显示(见表1):wt-p53细胞DNA合成前期G1和静止期G0细胞(87.8%)百分比明显增高,而DNA合成期S(5.3%)和合成后期G2及分裂期M细胞(6.9%)减少。而TDNp53和pNeo细胞的S期明显升高,分别为20.2%和30.0%。
, 百拇医药
图7 流式细胞仪分析wt-p53细胞
图8 流式细胞仪分析TDNp53细胞
图9 流式细胞仪分析pNeo细胞
表1 细胞周期中各时相细胞百分比(%)
细胞类别
时相
G1+Go
G2+M
S
, http://www.100md.com
wt-p53
87.8
6.9
5.3
TDNp53
73.5
6.3
20.2
pNeo
59.8
10.3
30.0
3讨论
, http://www.100md.com
3.1野生型和突变型p53稳定导入Hep3B细胞
Hep3B细胞是一种wt-p53及Rb基因缺失的细胞系,我们成功地将wt-p53和TDNp53转染到该细胞中,用G418筛选挑选单克隆,经Northern和Western印迹鉴定有p53的表达,并稳定传代三个月,发现转染wt-p53和TDNp53均没有使Hep3B凋亡,且细胞形态与Hep3B细胞相似,无明显差别;但wt-p53细胞生长明显地比TDNp53和pNeo细胞慢,这说明稳定转染wt-p53基因后,细胞内的p53有了活性,虽不能启动程序性死亡而引发细胞凋亡,但起到抑制肿瘤细胞生长的作用。TDNp53细胞的形态及生长速度与pNeo细胞生长相似,表明这种突变型的p53不具有正常p53的作用。
3.2p53的下游途径的激活
Hep3B细胞在转染wt-p53基因后p21waf1/cip1蛋白升高,但不出现细胞周期的停止及凋亡,这可能与Rb基因缺失以致不能触发凋亡途径有关。在正常情况下,由p53诱导的p21waf1/cip1导致Rb的低磷酸化,防止它和转录因子E2F分离,使E2F不能反式激活那些转入S期及DNA合成所需的基因〔6,7〕。Rb基因的缺失使p21不能传导p53介导的生长停止作用。由此,我们推测:这种由多基因突变或缺失所致的肝癌细胞,仅由野生型p53启动细胞周期的凋亡的途径是不够的,还需要其它下游途径起作用。
, 百拇医药
3.3转入p53后Hep3B细胞凋亡的诱导
已有报道p53功能的缺失增加各种药物的细胞内的耐受〔7〕。我们进一步实验发现,用0.2μg/ml的阿霉素诱导wt-p53、TDNp53和pNeo细胞24小时,DNA电泳发现wt-p53细胞出现典型的DNA梯形条带,而TDNp53及pNeo细胞无梯形条带出现。流式细胞仪检测显示:wt-p53细胞出现亚二倍体核型峰,其G1和G0期细胞百分比(87.8%)高于TDNp53(73.5%)及pNeo细胞(59.8%)。这表明转染wt-p53的Hep3B细胞不仅生长缓慢,而且对化疗反应敏感并导致凋亡,而TDNp53不具有正常p53的功能。因此,野生型p53有助于化疗药诱导肿瘤细胞死亡,而这种凋亡的产生途径值得进一步的研究。
在肿瘤细胞中诱导凋亡的基因策略被看成治疗多种肿瘤的有效工具,鉴定肝癌细胞的p53的状态及其对野生型p53凋亡的反应有着潜在的治疗目的,对那些p53突变或缺失的肝癌,使用野生型p53的基因治疗并和传统化疗,特别与经肝动脉的肝灌注化疗的结合有着潜在的临床意义。
, http://www.100md.com
〔参考文献〕
〔1〕Bressac B, Kew M,Wands J,et al.Selective G to T mutations of p53 gene in hepatocellular carcinoma from southern Africa〔J〕.Nature,1991,350:429~431.
〔2〕Yonish-Rouach E,Resnitzky D,Lotem J,et al.Wild-type p53 induces apoptosis of myeloid leukaemic cells that is inhibited by interleukin-6 〔J〕.Nature,1991, 352: 345~247.
〔3〕Puisieux A,Galvin K,Troalen F,et al.Retinoblastoma and p53 tumor suppressor genes in human hepatoma cell lines〔J〕.FASEB J,1993,7:1407~1413.
, 百拇医药
〔4〕Appleman LJ,Frey AB.Dominant-negative p53 can restore tumorigenicity of L-929 cells in immunocompetent mice〔J〕.Int J Cancer, 1995,63:576~583.
〔5〕Glover DM,Hames BD. DNA Cloning 2〔M〕.New York:Oxford University Press INC,1995:39~40.
〔6〕Weinberg RA.E2F and cell proliferation:a world turned upside down〔J〕.Cell,1996,85:457~459.
〔7〕Nevins JR.E2F:a link between the Rb tumor suppressor protein and viral oncoproteins〔J〕.Science,1992,258:424~429.
〔8〕Brown R, Clugston C, Burns P,et al.Increased accumulation of p53 protein in cisplatin-resistant ovarian cell lines〔J〕.Int J Cancer,1993,55:678~684.
收稿日期:1999-05-26;修回日期:1999-7-5, 百拇医药