胸部CT在矽肺诊断中的意义
作者:关晓旭 史志澄
单位:北京医科大学第三医院职业病研究中心,北京100083
关键词:胸部CT;矽肺
中国工业医学杂志 CHINESE JOURNAL OF INDUSTRIAL MEDICINE 1999年 第12卷 第6期 Vol
摘要:目的 评价胸部CT检查在矽肺临床诊治过程中的应用价值。方法 对58名长期接触矽尘的工人进行临床、X射线平片、胸部CT等检查,该组病人平均年龄(59±2)岁,平均接尘工龄29年。结果 两种方法在大多数情况下其结果是类似的,但对早期矽肺的诊断CT片并不优于普通X射线平片,在8例经CT检查诊断为0+的病例中有2名X射线平片检查诊断为矽肺Ⅰ期;而对融合团块的发现,CT检查要较X射线平片检查敏感,在经CT检查发现的27例有融合团块的复杂矽肺病例中,X射线平片检查只发现22例。另外对于矽肺合并症的诊断CT检查对临床也很有帮助,在合并肺癌的7例病人中,均属经CT检查证实,在合并肺结核的13例病人中也有9例经CT检查证实。结论 胸部CT与X射线平片比较虽然不能发现更多的早期病例,但能较早地发现团块融合改变,此外对肺结核及肺癌等合并症的发现也很有价值。
, http://www.100md.com
中图分类号:R135.2;R814.42 文献标识码:A 文章编号:1002-221X(1999)06-0321-03
Significance of chest computerized tomograph scan in diagnosis for silicosis
GUAN Xiao-xu,SHI Zhi-cheng
(Research Center for Occupational Medicine,The Third Affiliated Hospital to Beijing Medical University,Beijing 100083,China)
Abstract:Objective To evaluate its application value of chest computerized tomograph(CT)scan in clinical diagnosis for silicosis.Methods Fifty-eight workers with an average age of 59 years exposed to silica dust for a mean length of 30 years were examined by clinical physical check-up,chest X-ray plane film and CT scan.Results In most circumstance,the two methods showed similar results,but CT scan was no better than regular chest X-ray plane film for early diagnosing silicosis.Two cases of silicosis stage I were established by chest X-ray plane film in the eight established cases of silicosis stage 0+by CT scan.CT scan was more sensitive to finding conglomerate masses than chest plane X-ray film,and only 22 of the 27 cases of complicated silicosis with conglomerate masses by CT were found with it.In addition,CT was more helpful to diagnosing complicated silicosis,and all seven cases complicated with lung cancer were confirmed by CT scan.Nine of the 13 cases of silicosis complicated with pulmonary tuberculosis were also confirmed by CT scan.Conclusion Chest CT scan could not find earlier cases of silicosis than regular plane X-ray film,but the former could find conglomerate masses earlier than the latter and more helpful to finding silicotic complications,such as pulmonary tuberculosis an lung cancer.
, 百拇医药
Key words:Chest computerized tomograph scan;Silicosis
在肺部胸膜疾病的诊断中,胸部CT检查常常可以发现其他检查不能发现的病变,该检查除了对纵隔、胸壁及胸膜疾病的发现很有价值外,对肺实质病变如结节影及转移瘤的诊断也很有价值,在尘肺的诊断中已有报道认为胸部CT检查有助于早期发现石棉肺[1]。本文将探讨CT在矽肺诊断中的临床应用价值。
1 对象和方法
本研究选择58名曾在我科住院的接尘工人为调查对象,其平均年龄为(59±2)岁(35~71岁)。所有工人均接触二氧化硅粉尘,主要工种有煤矿掘进工、隧道工程兵及石厂碎石工,平均接尘工龄29年(14~38年)。80%的病例吸烟或者曾经吸烟。所有病例均按常规采集病史及职业史,行全面体格检查。有关矽肺的诊断均依据1986年修订的《尘肺X线诊断标准》进行。
, 百拇医药
胸部X射线平片检查均采用高电压技术,条件为125kV,1 250mA,焦点—片距离1.8米,暴光时间在毫秒水平,胶片为自动化恒温冲洗。
胸部CT片由胸骨柄向下到气管分叉每2cm一层,层厚1cm;从气管分叉向下每1cm一层。扫描时间为6.8秒。
2 结果
根据胸部X射线平片,58名病人中有6人没有诊断矽肺,为0+。其余52名矽肺患者中,30名为没有融合团块仅有小结节影的单纯矽肺,另22名为有融合团块的复杂矽肺(见表1)。比较X射线平片与CT两种检查方法,结果显示在X线平片检查中有6人诊断为矽肺0+,占总病例数的10%,而CT检查中则有8人诊断为0+,占总病例数的14%。即有2名X射线平片诊断为矽肺Ⅰ期的病人而CT检查未发现有病变(见图1)。
, 百拇医药
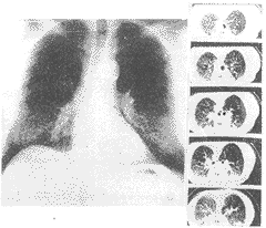
图1 单纯矽肺病人的胸片及CT片。平片上可见结节影而CT片则未见结节影
表1 58例矽肺患者X线平片与CT分期对比
病 变
X线平片
CT
0+
6(10%)
8(14%)
矽肺Ⅰ期
9(16%)
7(12%)
, 百拇医药 矽肺Ⅰ+期
5(9%)
5(9%)
矽肺Ⅱ期
7(12%)
5(9%)
矽肺Ⅱ+期
9(16%)
6(10%)
矽肺Ⅲ期
22(38%)
27(47%)
, 百拇医药
总病例数
58
58
在评价融合团块方面发现CT较X线平片可检出更多的病例。CT检查发现有27例存在融合团块,占病例总数的47%,而X射线平片检查只发现22例,占病例总数的38%。即在30名经X射线平片检查没有融合团块的单纯矽肺病例中,有5名经CT检查存在融合团块。
图2和图3显示经X线平片和CT两种方法检查对于小结节和融合团块的检出在多数情况下是一致的。图4显示个别经CT检查发现的融合团块经X线平片检查并未见有融合团块。
在矽肺合并有肺结核的13名病例中,经CT检查有9名考虑肺结核,占最后确诊病例数的69%;而经X线平片检查有7名考虑肺结核,占54%。在合并肺癌的7名病例中,经CT检查均考虑肺癌,占最后确诊病例数的100%;而经X线平片检查只有2名考虑肺癌,仅占29%(见表2)。
, 百拇医药
图2 单纯矽肺病人的胸片及CT片。两种检查方法所见基本类似。肺部结节影的分布较图1均匀
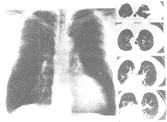
图3 复杂矽肺病人的胸片及CT片。可见大的融合团块周围有气肿带形成。虽然两种检查均可见融合团块,但CT可发现更多范围的融合区域
表2 58例矽肺合并肺结核或者肺癌X线平片与CT诊断对比
病 变
X线平片
CT
最后临床诊断
, 百拇医药 肺结核
7(54%)
9(69%)
13
肺癌
2(29%)
7(100%)
7
图4 有结节影病人的胸片及CT片。胸片及CT均可见异常,但肺上叶的团块影只有CT检查才能发现
3 讨论
, http://www.100md.com
本研究通过对58名长期接触石英粉尘工人的临床检查发现,胸部CT检查对于早期矽肺的诊断并不优于X线平片检查。经CT检查诊断为矽肺Ⅰ期的病例占病例总数的12%;而经X线平片检查诊断为矽肺Ⅰ期的病例占病例总数的14%,即经X线平片检查有2例诊断为矽肺Ⅰ期的病人经CT检查诊断为0+(见图1)。这可能是由于平片摄像为肺部所有病变的影像叠加而成,而CT片为薄层扫描而成,从而减少了叠加的效应。当矽肺结节病变的密度增加到一定程度时,CT和X射线平片检查结果则会趋向一致(见图2和3)。
胸部CT和X线平片均可检出矽肺的融合团块(图3),但是CT检查较X线平片检查可发现更多的有融合团块的复杂矽肺病例,在本研究中经CT检查发现有47%病例为复杂矽肺,而经X线平片检查只发现有38%的病例为复杂矽肺。在X线平片检查未见融合团块的病例中,有5名经CT检查发现有融合团块存在(图4)。这点对于临床非常重要,因为这些团块有可能是矽肺早期的融合团块,也可能是结核或者是其他的肺部病变,如肺癌,而肺癌也是该年龄组较常见的一种疾病。在CT检出的5例融合团块病例中,有1例为肺癌,4例为矽肺融合团块。对融合团块的早期检出也很重要,因为这些融合团块以无功能的纤维团块代替了正常的肺组织,与呼吸系统症状的出现及肺功能恶化都密切相关[2]。此外这些复杂矽肺的预后也较单纯矽肺差[3]。
, 百拇医药
根据本次临床调查,CT对矽肺合并症的诊断,尤其是对肺癌的诊断很有价值。在7例诊断为肺癌的病例中,CT检查均强烈提示肺癌诊断,后分别经病理、外科手术及痰瘤细胞的检查证实,占最后确诊数的100%,而X线平片检查仅诊断2例,占最后确诊数的29%。CT检查对纵隔及胸膜病变的观察亦远远优于X线平片检查,如在这7例诊断为肺癌的病例中CT检查均发现有纵隔淋巴结或胸膜的转移,这是X线平片检查所无法观察到的。但对合并肺结核的诊断敏感性相对较低,在最后临床确诊的13例合并肺结核的病例中只有9例经CT检查提示肺结核,占最后确诊数的69%。
总之,对于矽肺病人,即使是患单纯矽肺的病人,如果条件允许在X射线平片检查的基础上进行胸部CT检查也是十分有益的。CT检查可发现平片检查不能发现的已有融合团块的某些病例,而发现早期的矽肺融合团块、肺癌及肺结核等对早期及时治疗这些病症及判断病人的预后都有重要意义。当然还应强调CT检查与X射线平片检查一样,都属影像学检查,对疾病的最后确诊还应与临床、病原检查及病理检查结合起来综合判断。
, 百拇医药
作者简介:关晓旭(1962—),男,满族,辽宁沈阳人,硕士,副主任医师,主要研究职业肺病。
参考文献:
[1]刘庚年,孙伯章.22例石棉肺患者胸部X线平片与CT对比研究[J].中华放射学杂志,1990,4:200~204.
[2]ATS Statement.Adverse effect of crystalline silica exposure[J].Am J Respir Crit Care Med,1997,155:761~765.
[3]Claire Infante-Rivard,Jack CIA,Reuben M,et al.Descriptive study of prognostic factors influencing survivial of compensated silicotic patients[J].Am Rew Respir Dis,1991,144:1070~1076.
收稿日期:1999-05-27;修回日期:1999-07-04, http://www.100md.com
单位:北京医科大学第三医院职业病研究中心,北京100083
关键词:胸部CT;矽肺
中国工业医学杂志 CHINESE JOURNAL OF INDUSTRIAL MEDICINE 1999年 第12卷 第6期 Vol
摘要:目的 评价胸部CT检查在矽肺临床诊治过程中的应用价值。方法 对58名长期接触矽尘的工人进行临床、X射线平片、胸部CT等检查,该组病人平均年龄(59±2)岁,平均接尘工龄29年。结果 两种方法在大多数情况下其结果是类似的,但对早期矽肺的诊断CT片并不优于普通X射线平片,在8例经CT检查诊断为0+的病例中有2名X射线平片检查诊断为矽肺Ⅰ期;而对融合团块的发现,CT检查要较X射线平片检查敏感,在经CT检查发现的27例有融合团块的复杂矽肺病例中,X射线平片检查只发现22例。另外对于矽肺合并症的诊断CT检查对临床也很有帮助,在合并肺癌的7例病人中,均属经CT检查证实,在合并肺结核的13例病人中也有9例经CT检查证实。结论 胸部CT与X射线平片比较虽然不能发现更多的早期病例,但能较早地发现团块融合改变,此外对肺结核及肺癌等合并症的发现也很有价值。
, http://www.100md.com
中图分类号:R135.2;R814.42 文献标识码:A 文章编号:1002-221X(1999)06-0321-03
Significance of chest computerized tomograph scan in diagnosis for silicosis
GUAN Xiao-xu,SHI Zhi-cheng
(Research Center for Occupational Medicine,The Third Affiliated Hospital to Beijing Medical University,Beijing 100083,China)
Abstract:Objective To evaluate its application value of chest computerized tomograph(CT)scan in clinical diagnosis for silicosis.Methods Fifty-eight workers with an average age of 59 years exposed to silica dust for a mean length of 30 years were examined by clinical physical check-up,chest X-ray plane film and CT scan.Results In most circumstance,the two methods showed similar results,but CT scan was no better than regular chest X-ray plane film for early diagnosing silicosis.Two cases of silicosis stage I were established by chest X-ray plane film in the eight established cases of silicosis stage 0+by CT scan.CT scan was more sensitive to finding conglomerate masses than chest plane X-ray film,and only 22 of the 27 cases of complicated silicosis with conglomerate masses by CT were found with it.In addition,CT was more helpful to diagnosing complicated silicosis,and all seven cases complicated with lung cancer were confirmed by CT scan.Nine of the 13 cases of silicosis complicated with pulmonary tuberculosis were also confirmed by CT scan.Conclusion Chest CT scan could not find earlier cases of silicosis than regular plane X-ray film,but the former could find conglomerate masses earlier than the latter and more helpful to finding silicotic complications,such as pulmonary tuberculosis an lung cancer.
, 百拇医药
Key words:Chest computerized tomograph scan;Silicosis
在肺部胸膜疾病的诊断中,胸部CT检查常常可以发现其他检查不能发现的病变,该检查除了对纵隔、胸壁及胸膜疾病的发现很有价值外,对肺实质病变如结节影及转移瘤的诊断也很有价值,在尘肺的诊断中已有报道认为胸部CT检查有助于早期发现石棉肺[1]。本文将探讨CT在矽肺诊断中的临床应用价值。
1 对象和方法
本研究选择58名曾在我科住院的接尘工人为调查对象,其平均年龄为(59±2)岁(35~71岁)。所有工人均接触二氧化硅粉尘,主要工种有煤矿掘进工、隧道工程兵及石厂碎石工,平均接尘工龄29年(14~38年)。80%的病例吸烟或者曾经吸烟。所有病例均按常规采集病史及职业史,行全面体格检查。有关矽肺的诊断均依据1986年修订的《尘肺X线诊断标准》进行。
, 百拇医药
胸部X射线平片检查均采用高电压技术,条件为125kV,1 250mA,焦点—片距离1.8米,暴光时间在毫秒水平,胶片为自动化恒温冲洗。
胸部CT片由胸骨柄向下到气管分叉每2cm一层,层厚1cm;从气管分叉向下每1cm一层。扫描时间为6.8秒。
2 结果
根据胸部X射线平片,58名病人中有6人没有诊断矽肺,为0+。其余52名矽肺患者中,30名为没有融合团块仅有小结节影的单纯矽肺,另22名为有融合团块的复杂矽肺(见表1)。比较X射线平片与CT两种检查方法,结果显示在X线平片检查中有6人诊断为矽肺0+,占总病例数的10%,而CT检查中则有8人诊断为0+,占总病例数的14%。即有2名X射线平片诊断为矽肺Ⅰ期的病人而CT检查未发现有病变(见图1)。
, 百拇医药
图1 单纯矽肺病人的胸片及CT片。平片上可见结节影而CT片则未见结节影
表1 58例矽肺患者X线平片与CT分期对比
病 变
X线平片
CT
0+
6(10%)
8(14%)
矽肺Ⅰ期
9(16%)
7(12%)
, 百拇医药 矽肺Ⅰ+期
5(9%)
5(9%)
矽肺Ⅱ期
7(12%)
5(9%)
矽肺Ⅱ+期
9(16%)
6(10%)
矽肺Ⅲ期
22(38%)
27(47%)
, 百拇医药
总病例数
58
58
在评价融合团块方面发现CT较X线平片可检出更多的病例。CT检查发现有27例存在融合团块,占病例总数的47%,而X射线平片检查只发现22例,占病例总数的38%。即在30名经X射线平片检查没有融合团块的单纯矽肺病例中,有5名经CT检查存在融合团块。
图2和图3显示经X线平片和CT两种方法检查对于小结节和融合团块的检出在多数情况下是一致的。图4显示个别经CT检查发现的融合团块经X线平片检查并未见有融合团块。
在矽肺合并有肺结核的13名病例中,经CT检查有9名考虑肺结核,占最后确诊病例数的69%;而经X线平片检查有7名考虑肺结核,占54%。在合并肺癌的7名病例中,经CT检查均考虑肺癌,占最后确诊病例数的100%;而经X线平片检查只有2名考虑肺癌,仅占29%(见表2)。
, 百拇医药
图2 单纯矽肺病人的胸片及CT片。两种检查方法所见基本类似。肺部结节影的分布较图1均匀
图3 复杂矽肺病人的胸片及CT片。可见大的融合团块周围有气肿带形成。虽然两种检查均可见融合团块,但CT可发现更多范围的融合区域
表2 58例矽肺合并肺结核或者肺癌X线平片与CT诊断对比
病 变
X线平片
CT
最后临床诊断
, 百拇医药 肺结核
7(54%)
9(69%)
13
肺癌
2(29%)
7(100%)
7
图4 有结节影病人的胸片及CT片。胸片及CT均可见异常,但肺上叶的团块影只有CT检查才能发现
3 讨论
, http://www.100md.com
本研究通过对58名长期接触石英粉尘工人的临床检查发现,胸部CT检查对于早期矽肺的诊断并不优于X线平片检查。经CT检查诊断为矽肺Ⅰ期的病例占病例总数的12%;而经X线平片检查诊断为矽肺Ⅰ期的病例占病例总数的14%,即经X线平片检查有2例诊断为矽肺Ⅰ期的病人经CT检查诊断为0+(见图1)。这可能是由于平片摄像为肺部所有病变的影像叠加而成,而CT片为薄层扫描而成,从而减少了叠加的效应。当矽肺结节病变的密度增加到一定程度时,CT和X射线平片检查结果则会趋向一致(见图2和3)。
胸部CT和X线平片均可检出矽肺的融合团块(图3),但是CT检查较X线平片检查可发现更多的有融合团块的复杂矽肺病例,在本研究中经CT检查发现有47%病例为复杂矽肺,而经X线平片检查只发现有38%的病例为复杂矽肺。在X线平片检查未见融合团块的病例中,有5名经CT检查发现有融合团块存在(图4)。这点对于临床非常重要,因为这些团块有可能是矽肺早期的融合团块,也可能是结核或者是其他的肺部病变,如肺癌,而肺癌也是该年龄组较常见的一种疾病。在CT检出的5例融合团块病例中,有1例为肺癌,4例为矽肺融合团块。对融合团块的早期检出也很重要,因为这些融合团块以无功能的纤维团块代替了正常的肺组织,与呼吸系统症状的出现及肺功能恶化都密切相关[2]。此外这些复杂矽肺的预后也较单纯矽肺差[3]。
, 百拇医药
根据本次临床调查,CT对矽肺合并症的诊断,尤其是对肺癌的诊断很有价值。在7例诊断为肺癌的病例中,CT检查均强烈提示肺癌诊断,后分别经病理、外科手术及痰瘤细胞的检查证实,占最后确诊数的100%,而X线平片检查仅诊断2例,占最后确诊数的29%。CT检查对纵隔及胸膜病变的观察亦远远优于X线平片检查,如在这7例诊断为肺癌的病例中CT检查均发现有纵隔淋巴结或胸膜的转移,这是X线平片检查所无法观察到的。但对合并肺结核的诊断敏感性相对较低,在最后临床确诊的13例合并肺结核的病例中只有9例经CT检查提示肺结核,占最后确诊数的69%。
总之,对于矽肺病人,即使是患单纯矽肺的病人,如果条件允许在X射线平片检查的基础上进行胸部CT检查也是十分有益的。CT检查可发现平片检查不能发现的已有融合团块的某些病例,而发现早期的矽肺融合团块、肺癌及肺结核等对早期及时治疗这些病症及判断病人的预后都有重要意义。当然还应强调CT检查与X射线平片检查一样,都属影像学检查,对疾病的最后确诊还应与临床、病原检查及病理检查结合起来综合判断。
, 百拇医药
作者简介:关晓旭(1962—),男,满族,辽宁沈阳人,硕士,副主任医师,主要研究职业肺病。
参考文献:
[1]刘庚年,孙伯章.22例石棉肺患者胸部X线平片与CT对比研究[J].中华放射学杂志,1990,4:200~204.
[2]ATS Statement.Adverse effect of crystalline silica exposure[J].Am J Respir Crit Care Med,1997,155:761~765.
[3]Claire Infante-Rivard,Jack CIA,Reuben M,et al.Descriptive study of prognostic factors influencing survivial of compensated silicotic patients[J].Am Rew Respir Dis,1991,144:1070~1076.
收稿日期:1999-05-27;修回日期:1999-07-04, http://www.100md.com
参见:首页 > 医疗版 > 疾病专题 > 呼吸内科 > 弥漫性间质性肺病 > 矽肺(硅沉着病)