个体采金工人急进型尘肺22例报告
作者:陈芙君 宋晋蓉 王爱茹 王文志
单位:华西医科大学附属第四医院,四川 成都 610041
关键词:尘肺;采金工人
中国工业医学杂志990613 Aggressive pneumoconiosis in gold miners of private mines with 22 cases report
CHEN Fu-jun,SONG Jin-rong,WANG Ai-ru,WANG Wen-zhi
摘要:报道22例个体采金工人尘肺,对该组尘肺的特点、发病影响因素、并发症以及预后等问题进行了讨论,并针对该地区尘肺流行的趋势提出了一些预防性意见。
中图分类号:R135.2 文献标识码:B
, http://www.100md.com
文章编号:1002-221X(1999)06-0352-03
近年来,随着从事与粉尘有关作业人数的迅速增加,尘肺的发病率有逐年上升的趋势。矽肺和煤尘肺是最常见的职业病,但国内对金矿矽肺过去鲜有报道,经查阅1967年以后国外有关金矿矽肺的报道中,也缺乏个体采金工人矽肺的资料。本文对我院1996年至1998年收治的,资料较完整的22例个体采金工人矽肺的特点进行了探讨,现报告如下。
1 临床资料
1.1 一般资料
22例均为男性,平均年龄27.6岁(最小19岁,最大45岁)。18例来自康定,4例来自小金,均从事采金作业,工龄最短1个月,最长8年,平均3.2年。22例均采用风钻干式作业,工作场地狭窄,仅容纳1人操作,粉尘浓度极大,无防护或仅戴纱布口罩。22例中Ⅱ期尘肺12例,Ⅱ+期8例,Ⅲ期2例。从接尘到诊断平均4.9年(最长10年,最短1年)。有吸烟者12例(占54.5%),吸烟量最少>4包.年,最多>20包.年者10例,烟龄最长20年,最短4年。
, http://www.100md.com
1.2 临床表现
本组首发症状中,气促15例,咳嗽12例,胸痛4例,咯血1例。体征有肺泡呼吸音降低者10例。18例中16例血铜蓝蛋白增高,平均321.94U;血羟脯氨酸12例增高,平均2.3mmol/L,有反复呼吸系统感染者17例(占77.3%),自发性气胸4例(18.2%),肺结核4例(18.2%)。
1.3 X线征象
(1)圆形小阴影以q影为主,伴不规则t影。(2)小阴影均匀分布于上中下肺野,以中上肺区较为密集,肺尖和肋膈角较少分布。(3)小阴影对肺纹理的干扰出现早,表现为即使小阴影密集度未达3级,肺纹理也明显消失。(4)除1例右肺门有1枚淋巴结非蛋壳样钙化外,其余均无肺门淋巴结或小阴影钙化影。(5)右下肺动脉直径>16mm18例,平均17.67mm(14~20mm)。
2 典型病例
, http://www.100md.com
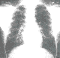
[例1]男,19岁,康定县时济乡农民。1994年6月至7月从事金矿放炮及放炮后安放排气管工作仅1个月。粉尘(含炸药烟尘)浓度大,洞内粉尘及烟雾弥漫,对面不见人,多以口罩防护。1997年10月因感冒后干咳,到甘孜州人民医院检查,X线胸片疑为Ⅱ期尘肺。1998年11月10日因患感冒、干咳加重住本院诊治。胸片发现双肺广泛圆形小阴影,以p影为主,右上中下及左中达2级密集度(图1)。体格检查血常规,肝、肾功能及血沉均正常,24小时痰浓缩查抗酸杆菌(-),PPD皮试(-),细胞免疫功能正常,抗核抗体、类风湿因子、C反应蛋白、补体等指标均正常,仅免疫球蛋白IgA增高,临床及实验室检查排除肺结核及结缔组织变态反应疾病,诊断为Ⅱ期尘肺。
图1 双肺广泛圆形小阴影,以p影为主,右上中下及左中达2级密集度
[例2]男,24岁,康定县姑咱乡农民。1992年至1996年间断从事个体金矿开采累计约2年。使用风钻干式作业,工作场地仅容1人操作,粉尘浓度极大,风钻周围不能视物,采取口罩防护。因咳嗽、咳痰2月,活动时气短伴左侧胸痛1个月于1996年9月17日收住本院。入院前曾在当地医院摄胸片诊断为肺炎,给于抗生素治疗,无效。入院后胸片发现双肺圆形小阴影,以q影为主,分布6个肺区,3级密集度,右上肺小阴影有融合趋势,左侧气胸,肺压缩40%~50%(图2)。诊断为Ⅱ+期尘肺合并左侧气胸。
, http://www.100md.com
图2 双肺圆形小阴影,以q影为主,右上肺小阴影有融合趋势,右侧气胸,肺压缩40%~50%
[例3]男,27岁,康定县姑咱乡农民。1989年至1992年从事个体金矿开采3年,风钻干式作业,工作场地仅容纳1人操作,粉尘浓度极大,操作时不能视物,以口罩防护,吸烟8年,吸烟量8~12包.年。1997年因同期采矿者发现矽肺而来我院检查,胸片示双肺弥漫小阴影,以q影为主,2级密集度,分布6个肺区,诊断为Ⅱ期尘肺。1998年6月9日因咳嗽、咳痰、胸闷3个月第1次入院,入院时胸片发现双肺野弥漫分布圆形小阴影,以q影为主,双上肺出现融合趋势(图3)。连续3次24小时痰查抗酸杆菌均为阴性,诊断为Ⅱ+期尘肺伴感染。仅4个多月后,因咳嗽、咳痰加重伴胸痛气短2个月、咯血痰20天,于1998年10月23日第2次住院。24小时痰浓缩查见大量抗酸杆菌,胸片示双肺散在圆形小阴影,双肺尖、内带及双下透光度增大,右肺上中融合块影约6cm×11cm,边界模糊,内含小透光区,左肺上中有融合趋势(图4)。诊断为Ⅲ期尘肺合并Ⅲ型肺结核。
, 百拇医药
图3 双肺野弥漫分布圆形小阴影,以q影为主,双上肺出现融合趋势
图4 右肺上中融合块影,边界模糊,内含小透光区
3 讨论
3.1 尘肺发生及发展的快慢,一方面与粉尘的性质、浓度、防护条件、劳动时间和强度有关,另一方面还与个体差异及防御机能健全与否有关(如例1)。国内外资料公认,根据发病时间的长短及病程进展的快慢,可有急性及慢性的区分。急性尘肺又称急进型或快型尘肺,其特点为发病时间短,病程进展快,且在发病后3~5年内死亡。本组22例个体采金工人尘肺病例患病年龄低(平均27.6岁),接尘时间短(平均3.2年),发病时间短(平均4.3年),病程进展快(从接尘到诊断Ⅱ或Ⅲ期尘肺平均4.7年),已知死亡的5例,从发病到死亡不足2年,符合急进型尘肺的特点。有人认为急进型尘肺根据其发病时间的早晚可区分为“早发”及“晚发”两种类型。接尘后2~3年内发病,进展快,从发病到死亡不超过5年,称为“早发急进型”;接尘后6~10年或更长时间发病,一旦发病后进展快,在2~3年内即由Ⅰ期进展为Ⅲ期,且很快死亡,称为“晚发急进型”。本组有5例在接尘后6~10年发病(例3),其余17例均在5年内发病(例1、2),已有死亡病例从发病至死亡不足2年。可见“早发”、“晚发”之分类是符合临床实际的,对治疗及估计预后均有重要意义。
, http://www.100md.com
3.2 本组个体采金尘肺发病早、进展快、预后差的原因分析。
3.2.1 粉尘性质、二氧化硅(SiO2)含量、浓度及预防 二氧化硅作为尘肺发病的病因,其在粉尘中含量的高低及在作业环境中的浓度直接影响发病。本组个体采金尘肺患者来自康定姑咱至小金锅底金矿区,金矿均分布在古老岩石的石英脉中,并与硫铁矿、铅锌矿等矿物共生,属含金硫化物石英脉型金矿,矿石标本经地矿专家鉴定为含金硫铁矿化石英岩,SiO2含量达98%以上,所致尘肺属矽肺。本组患者采金均使用干风钻作业,矿区虽位于大渡河及其支流沿岸,水源充足,但地形条件恶劣,未能较好地利用水源,也无人采用湿法作业;由于采矿为个人行为,资金投入不足,加之对石英(SiO2)粉尘的危害性普遍缺乏认识,工作场地狭窄,又无防护设备及措施,故作业环境粉尘浓度极高,类似石英粉碎工种。本组患者在采金作业中,粉尘中SiO2含量高(类似纯石英粉尘)、浓度大,防尘措施极差是本组尘肺发病早、进展快的主要原因。
, http://www.100md.com
3.2.2 吸烟 吸烟对尘肺的影响多年来国内外都作了大量的调查研究。目前对于吸烟对呼吸系统的影响、吸烟与粉尘对尘肺的影响已经有了比较明确的认识。研究证明,吸烟不仅能损伤支气管上皮纤毛,使纤毛上皮运动发生障碍,降低局部抵抗力,还使呼吸道的巨噬细胞数量减少,活力(吞噬能力)减弱,寿命缩短,同时还使呼吸道溶菌酶的水平降低。焦油除已被证明能引起冠状动脉痉挛诱发心绞痛外,发现它还能使肺小动脉痉挛,长期痉挛导致小动脉壁增厚,管径变窄、闭塞,进而导致肺纤维化。吸烟还能引起支气管平滑肌痉挛,增加气道阻力,导致肺气肿。粉尘可引起粉尘性支气管炎及肺气肿已在大量尘肺患者的尸检中得到证实。南非共和国对2 209名金矿工人中慢性阻塞性肺部疾病的调查资料显示,吸入粉尘与慢性支气管炎和气道阻塞之间有一个显著的量化关系,而吸烟的上述作用比粉尘更强。可见吸烟和矽尘对呼吸系统有相加损害作用,并能促进尘肺病程的进展。本组吸烟者12例,死亡5例均有明确大量吸烟史。5例中除1例死于感染痰梗阻外,其余4例均死于自发性气胸。
3.2.3 并发症 肺部感染、肺结核和自发性气胸是尘肺常见的并发症。罹患尘肺时,细支气管受周围广泛纤维化的作用及矽结节的挤压,管腔变得狭窄、扭曲,引流不畅,加之呼吸系统防御能力降低,因而易于发生各种感染。其中以反复的病毒或细菌感染最为常见。无论是病毒或细菌感染,还是合并肺结核,均会加重肺纤维化及肺气肿,使病情加重及复杂化,同时又促进尘肺病程的迅速发展,促使小阴影聚集,融合成块(如例3)。不仅如此,上述并发症还直接影响尘肺的预后。本组22例中有反复感染者占73.7%(14/22),1例死于痰阻塞;合并肺结核者27.2%(4/22);合并气胸27.2%(4/22),4例均死亡,其中2例为纵隔气胸,1例合并肺结核。在慢性尘肺患者中,肺结核合并率约在20%~50%之间,死于合并结核者占46.3%~50.8%。而本组气胸合并率相对较高,在死亡原因中高居第1位,多与在少数民族地区结核发病率较低,以及病程短、进展快、吸烟等因素有关。
, 百拇医药
4 结语
综上所述,本组采金工人所患之尘肺属急进型尘肺,无论早发、晚发,其后果均极为严重,应该引起当地防疫部门及劳动保护部门的高度重视。就本组患者而言,加强宣传教育应为当务之急。1998年底之前,该地区尚无人采用湿式作业,经历患病的痛苦,甚至亲友死亡的惨痛教训,目前已有人开始采用湿式作业(离水源近的安置水泵)或不完全湿式作业(离水源远的人工背水上山)。因此,首先,在加强国家矿管法的宣传执法的同时,还应采取多种形式加强对有害粉尘——石英(SiO2)危害性的宣传教育;其次,坚决取缔干式采矿作业;三是在宣传吸烟对尘肺发病影响的基础上,严禁在作业场地及作业时吸烟;四是对尘肺患者及采矿工人进行规范化体检。希望通过一些有效措施,保护人民的身体健康,防止该地区尘肺流行的趋势。
作者简介:陈芙君(1940—),女,江苏武进人,副主任医师,从事血液流变学与老年疾病和尘肺相关问题的临床研究。
, 百拇医药
参考文献:
[1]傅建华,张日光,孙利国.某金矿粉尘作业工人矽肺发病情况调查与分析[J].中国工业医学杂志,1993,6(1):50.
[2]Hnizdo E,et al.Emphysema and airway obstruction in non-smoking South African gold miners with long exposure to silica dust[J].Occup Environ Med,1994,51(8):557~563.
[3]Irwig L M,Rocks P.Lung function and respiratory symptoms in silicotic and nonsilicotic gold miners[J].Am Rev Respir Dis,1978,117(3):429~535.
, 百拇医药
[4]Wiles F J,Faure M H.Chronic obstructive lung disease in gold miners[J].Inhaled Part 1975 Sep;4Pt2:727~735.
[5]Baskind E,Sluis-Cremer G K.Combined effect of silica dust exposure and tobacco smoking on the prevalence of respiratory impairments among gold miners[J].Scand J Work Environ Health,1990,16(6):411~422.
[6]Cowie RL.The epidemiology of tuberculosis in gold miners with silicosis[J].Am J Respir Crit Care Med,1994,150(5Pt1):1460~1462.
[7]齐国兴.尘肺病学[M].西安:陕西科学技术出版社,1989.
[8]铁二局职防院,等.矽肺X线诊断[M].成都:四川科技出版社,1991.
收稿日期:1999-05-22;修回日期:1999-06-30, http://www.100md.com
单位:华西医科大学附属第四医院,四川 成都 610041
关键词:尘肺;采金工人
中国工业医学杂志990613 Aggressive pneumoconiosis in gold miners of private mines with 22 cases report
CHEN Fu-jun,SONG Jin-rong,WANG Ai-ru,WANG Wen-zhi
摘要:报道22例个体采金工人尘肺,对该组尘肺的特点、发病影响因素、并发症以及预后等问题进行了讨论,并针对该地区尘肺流行的趋势提出了一些预防性意见。
中图分类号:R135.2 文献标识码:B
, http://www.100md.com
文章编号:1002-221X(1999)06-0352-03
近年来,随着从事与粉尘有关作业人数的迅速增加,尘肺的发病率有逐年上升的趋势。矽肺和煤尘肺是最常见的职业病,但国内对金矿矽肺过去鲜有报道,经查阅1967年以后国外有关金矿矽肺的报道中,也缺乏个体采金工人矽肺的资料。本文对我院1996年至1998年收治的,资料较完整的22例个体采金工人矽肺的特点进行了探讨,现报告如下。
1 临床资料
1.1 一般资料
22例均为男性,平均年龄27.6岁(最小19岁,最大45岁)。18例来自康定,4例来自小金,均从事采金作业,工龄最短1个月,最长8年,平均3.2年。22例均采用风钻干式作业,工作场地狭窄,仅容纳1人操作,粉尘浓度极大,无防护或仅戴纱布口罩。22例中Ⅱ期尘肺12例,Ⅱ+期8例,Ⅲ期2例。从接尘到诊断平均4.9年(最长10年,最短1年)。有吸烟者12例(占54.5%),吸烟量最少>4包.年,最多>20包.年者10例,烟龄最长20年,最短4年。
, http://www.100md.com
1.2 临床表现
本组首发症状中,气促15例,咳嗽12例,胸痛4例,咯血1例。体征有肺泡呼吸音降低者10例。18例中16例血铜蓝蛋白增高,平均321.94U;血羟脯氨酸12例增高,平均2.3mmol/L,有反复呼吸系统感染者17例(占77.3%),自发性气胸4例(18.2%),肺结核4例(18.2%)。
1.3 X线征象
(1)圆形小阴影以q影为主,伴不规则t影。(2)小阴影均匀分布于上中下肺野,以中上肺区较为密集,肺尖和肋膈角较少分布。(3)小阴影对肺纹理的干扰出现早,表现为即使小阴影密集度未达3级,肺纹理也明显消失。(4)除1例右肺门有1枚淋巴结非蛋壳样钙化外,其余均无肺门淋巴结或小阴影钙化影。(5)右下肺动脉直径>16mm18例,平均17.67mm(14~20mm)。
2 典型病例
, http://www.100md.com
[例1]男,19岁,康定县时济乡农民。1994年6月至7月从事金矿放炮及放炮后安放排气管工作仅1个月。粉尘(含炸药烟尘)浓度大,洞内粉尘及烟雾弥漫,对面不见人,多以口罩防护。1997年10月因感冒后干咳,到甘孜州人民医院检查,X线胸片疑为Ⅱ期尘肺。1998年11月10日因患感冒、干咳加重住本院诊治。胸片发现双肺广泛圆形小阴影,以p影为主,右上中下及左中达2级密集度(图1)。体格检查血常规,肝、肾功能及血沉均正常,24小时痰浓缩查抗酸杆菌(-),PPD皮试(-),细胞免疫功能正常,抗核抗体、类风湿因子、C反应蛋白、补体等指标均正常,仅免疫球蛋白IgA增高,临床及实验室检查排除肺结核及结缔组织变态反应疾病,诊断为Ⅱ期尘肺。
图1 双肺广泛圆形小阴影,以p影为主,右上中下及左中达2级密集度
[例2]男,24岁,康定县姑咱乡农民。1992年至1996年间断从事个体金矿开采累计约2年。使用风钻干式作业,工作场地仅容1人操作,粉尘浓度极大,风钻周围不能视物,采取口罩防护。因咳嗽、咳痰2月,活动时气短伴左侧胸痛1个月于1996年9月17日收住本院。入院前曾在当地医院摄胸片诊断为肺炎,给于抗生素治疗,无效。入院后胸片发现双肺圆形小阴影,以q影为主,分布6个肺区,3级密集度,右上肺小阴影有融合趋势,左侧气胸,肺压缩40%~50%(图2)。诊断为Ⅱ+期尘肺合并左侧气胸。
, http://www.100md.com
图2 双肺圆形小阴影,以q影为主,右上肺小阴影有融合趋势,右侧气胸,肺压缩40%~50%
[例3]男,27岁,康定县姑咱乡农民。1989年至1992年从事个体金矿开采3年,风钻干式作业,工作场地仅容纳1人操作,粉尘浓度极大,操作时不能视物,以口罩防护,吸烟8年,吸烟量8~12包.年。1997年因同期采矿者发现矽肺而来我院检查,胸片示双肺弥漫小阴影,以q影为主,2级密集度,分布6个肺区,诊断为Ⅱ期尘肺。1998年6月9日因咳嗽、咳痰、胸闷3个月第1次入院,入院时胸片发现双肺野弥漫分布圆形小阴影,以q影为主,双上肺出现融合趋势(图3)。连续3次24小时痰查抗酸杆菌均为阴性,诊断为Ⅱ+期尘肺伴感染。仅4个多月后,因咳嗽、咳痰加重伴胸痛气短2个月、咯血痰20天,于1998年10月23日第2次住院。24小时痰浓缩查见大量抗酸杆菌,胸片示双肺散在圆形小阴影,双肺尖、内带及双下透光度增大,右肺上中融合块影约6cm×11cm,边界模糊,内含小透光区,左肺上中有融合趋势(图4)。诊断为Ⅲ期尘肺合并Ⅲ型肺结核。
, 百拇医药
图3 双肺野弥漫分布圆形小阴影,以q影为主,双上肺出现融合趋势
图4 右肺上中融合块影,边界模糊,内含小透光区
3 讨论
3.1 尘肺发生及发展的快慢,一方面与粉尘的性质、浓度、防护条件、劳动时间和强度有关,另一方面还与个体差异及防御机能健全与否有关(如例1)。国内外资料公认,根据发病时间的长短及病程进展的快慢,可有急性及慢性的区分。急性尘肺又称急进型或快型尘肺,其特点为发病时间短,病程进展快,且在发病后3~5年内死亡。本组22例个体采金工人尘肺病例患病年龄低(平均27.6岁),接尘时间短(平均3.2年),发病时间短(平均4.3年),病程进展快(从接尘到诊断Ⅱ或Ⅲ期尘肺平均4.7年),已知死亡的5例,从发病到死亡不足2年,符合急进型尘肺的特点。有人认为急进型尘肺根据其发病时间的早晚可区分为“早发”及“晚发”两种类型。接尘后2~3年内发病,进展快,从发病到死亡不超过5年,称为“早发急进型”;接尘后6~10年或更长时间发病,一旦发病后进展快,在2~3年内即由Ⅰ期进展为Ⅲ期,且很快死亡,称为“晚发急进型”。本组有5例在接尘后6~10年发病(例3),其余17例均在5年内发病(例1、2),已有死亡病例从发病至死亡不足2年。可见“早发”、“晚发”之分类是符合临床实际的,对治疗及估计预后均有重要意义。
, http://www.100md.com
3.2 本组个体采金尘肺发病早、进展快、预后差的原因分析。
3.2.1 粉尘性质、二氧化硅(SiO2)含量、浓度及预防 二氧化硅作为尘肺发病的病因,其在粉尘中含量的高低及在作业环境中的浓度直接影响发病。本组个体采金尘肺患者来自康定姑咱至小金锅底金矿区,金矿均分布在古老岩石的石英脉中,并与硫铁矿、铅锌矿等矿物共生,属含金硫化物石英脉型金矿,矿石标本经地矿专家鉴定为含金硫铁矿化石英岩,SiO2含量达98%以上,所致尘肺属矽肺。本组患者采金均使用干风钻作业,矿区虽位于大渡河及其支流沿岸,水源充足,但地形条件恶劣,未能较好地利用水源,也无人采用湿法作业;由于采矿为个人行为,资金投入不足,加之对石英(SiO2)粉尘的危害性普遍缺乏认识,工作场地狭窄,又无防护设备及措施,故作业环境粉尘浓度极高,类似石英粉碎工种。本组患者在采金作业中,粉尘中SiO2含量高(类似纯石英粉尘)、浓度大,防尘措施极差是本组尘肺发病早、进展快的主要原因。
, http://www.100md.com
3.2.2 吸烟 吸烟对尘肺的影响多年来国内外都作了大量的调查研究。目前对于吸烟对呼吸系统的影响、吸烟与粉尘对尘肺的影响已经有了比较明确的认识。研究证明,吸烟不仅能损伤支气管上皮纤毛,使纤毛上皮运动发生障碍,降低局部抵抗力,还使呼吸道的巨噬细胞数量减少,活力(吞噬能力)减弱,寿命缩短,同时还使呼吸道溶菌酶的水平降低。焦油除已被证明能引起冠状动脉痉挛诱发心绞痛外,发现它还能使肺小动脉痉挛,长期痉挛导致小动脉壁增厚,管径变窄、闭塞,进而导致肺纤维化。吸烟还能引起支气管平滑肌痉挛,增加气道阻力,导致肺气肿。粉尘可引起粉尘性支气管炎及肺气肿已在大量尘肺患者的尸检中得到证实。南非共和国对2 209名金矿工人中慢性阻塞性肺部疾病的调查资料显示,吸入粉尘与慢性支气管炎和气道阻塞之间有一个显著的量化关系,而吸烟的上述作用比粉尘更强。可见吸烟和矽尘对呼吸系统有相加损害作用,并能促进尘肺病程的进展。本组吸烟者12例,死亡5例均有明确大量吸烟史。5例中除1例死于感染痰梗阻外,其余4例均死于自发性气胸。
3.2.3 并发症 肺部感染、肺结核和自发性气胸是尘肺常见的并发症。罹患尘肺时,细支气管受周围广泛纤维化的作用及矽结节的挤压,管腔变得狭窄、扭曲,引流不畅,加之呼吸系统防御能力降低,因而易于发生各种感染。其中以反复的病毒或细菌感染最为常见。无论是病毒或细菌感染,还是合并肺结核,均会加重肺纤维化及肺气肿,使病情加重及复杂化,同时又促进尘肺病程的迅速发展,促使小阴影聚集,融合成块(如例3)。不仅如此,上述并发症还直接影响尘肺的预后。本组22例中有反复感染者占73.7%(14/22),1例死于痰阻塞;合并肺结核者27.2%(4/22);合并气胸27.2%(4/22),4例均死亡,其中2例为纵隔气胸,1例合并肺结核。在慢性尘肺患者中,肺结核合并率约在20%~50%之间,死于合并结核者占46.3%~50.8%。而本组气胸合并率相对较高,在死亡原因中高居第1位,多与在少数民族地区结核发病率较低,以及病程短、进展快、吸烟等因素有关。
, 百拇医药
4 结语
综上所述,本组采金工人所患之尘肺属急进型尘肺,无论早发、晚发,其后果均极为严重,应该引起当地防疫部门及劳动保护部门的高度重视。就本组患者而言,加强宣传教育应为当务之急。1998年底之前,该地区尚无人采用湿式作业,经历患病的痛苦,甚至亲友死亡的惨痛教训,目前已有人开始采用湿式作业(离水源近的安置水泵)或不完全湿式作业(离水源远的人工背水上山)。因此,首先,在加强国家矿管法的宣传执法的同时,还应采取多种形式加强对有害粉尘——石英(SiO2)危害性的宣传教育;其次,坚决取缔干式采矿作业;三是在宣传吸烟对尘肺发病影响的基础上,严禁在作业场地及作业时吸烟;四是对尘肺患者及采矿工人进行规范化体检。希望通过一些有效措施,保护人民的身体健康,防止该地区尘肺流行的趋势。
作者简介:陈芙君(1940—),女,江苏武进人,副主任医师,从事血液流变学与老年疾病和尘肺相关问题的临床研究。
, 百拇医药
参考文献:
[1]傅建华,张日光,孙利国.某金矿粉尘作业工人矽肺发病情况调查与分析[J].中国工业医学杂志,1993,6(1):50.
[2]Hnizdo E,et al.Emphysema and airway obstruction in non-smoking South African gold miners with long exposure to silica dust[J].Occup Environ Med,1994,51(8):557~563.
[3]Irwig L M,Rocks P.Lung function and respiratory symptoms in silicotic and nonsilicotic gold miners[J].Am Rev Respir Dis,1978,117(3):429~535.
, 百拇医药
[4]Wiles F J,Faure M H.Chronic obstructive lung disease in gold miners[J].Inhaled Part 1975 Sep;4Pt2:727~735.
[5]Baskind E,Sluis-Cremer G K.Combined effect of silica dust exposure and tobacco smoking on the prevalence of respiratory impairments among gold miners[J].Scand J Work Environ Health,1990,16(6):411~422.
[6]Cowie RL.The epidemiology of tuberculosis in gold miners with silicosis[J].Am J Respir Crit Care Med,1994,150(5Pt1):1460~1462.
[7]齐国兴.尘肺病学[M].西安:陕西科学技术出版社,1989.
[8]铁二局职防院,等.矽肺X线诊断[M].成都:四川科技出版社,1991.
收稿日期:1999-05-22;修回日期:1999-06-30, http://www.100md.com