关节活络方对家兔膝关节创伤性骨化性肌炎的预防作用*
作者:陈渭良 邓柏杰 何秋月 香卫红 张继平 谭光明
单位:佛山市中医院骨伤科研究所,广东 佛山 528000
关键词:关节活络方;骨化性肌炎;动物模型
中国骨伤990607 【摘要】 目的 探讨关节活络方对家兔膝关节创伤性骨化性肌炎的预防作用。方法 将家兔20只随机分为二组,固定专人以特定方法进行强力被动牵拉、暴力按摩,然后固定,以复制家兔膝关节创伤性骨化性肌炎动物模型;同时用药组灌服关节活络方(生药9.2g/kg),空白组灌服等体积的蒸馏水(9.2ml/kg),每天1次,连续9周。检测家兔皮温、肿胀度、局部骨化情况、血钙、血磷、降钙素和骨钙素及患肢肌肉组织学变化。结果 用药组4周后肿胀度和7周后骨化程度都明显比空白组低(P<0.05);用药组肌肉组织内增生的纤维组织局部有骨化倾向并形成类软骨样组织,但无明显骨化出现,而空白组肌肉间组织广泛水肿,纤维组织增生明显,并形成类骨组织和类软骨组织,局部出现较明显的骨化;而该药对局部皮温、血钙、血磷、降钙素和骨钙素无明显影响。结论 关节活络方能减缓创伤性骨化性肌炎的发生与发展,对预防骨化性肌炎有一定作用。
, 百拇医药
Preventive Effects of Guanjie Houluo Fang on Traumatic Myositis Ossificans in Rabbits' Knee Joint
Chen Weiliang, Deng Baijie, He Qiuyue, et al. Institute of Orthopaedics and Traumatology, Foshan Hospital of Traditional Chinese Medicine (Foshan 528000)
【Abstract】 Objective To observe the preventive effects of Guanjie Houluo Fang (GJHLF) on traumatic myositis ossificans in rabbits' knee joints. Methods Twenty rabbits were randomly divided into two groups.The rabbits were passively drawn and violently massaged by specialized people and, then, they were fixed to duplicate the model of traumatic myositis ossificans. The treated group was fed on GJHLF (9.2g/kg), once a day and last 9 weeks.The blank group was fed on distilled water (9.2ml/kg) at the same time. Local skin temperature, degree of swelling, local ossification, blood calcium, blood phosphorus, calcitonin, osteocalin and the pathologic changes in the muscle were examined.Results Both the degree of the swelling after four weeks and the degree of the ossification after seven weeks in the treated group were markedly decreased than the blank group (P<0.05).In the tceated group, the proliferated fibrous tissues in the muscles showed a tendency to ossify locally, cartilaginoid tissues were formed, but ossification was not obvious. In the blank group, edema of muscular tissues was extensive, proliferation of fibrous tissue was evident, osteoid tissue and cartilaginoid tissue were formed, ossification appeared obviously in local region. But the effects of GJHLF on local skin temperature, blood calcium, blood phophorus, calcitonin and osteocalin were not significant. Conclusion It is suggested that GJHLF could prevent the occurrence and development of traumatic myositis ossificans in rabbits. There might be certain protective effect against myositis ossificans with GJHLF.
, 百拇医药
【Key words】 Guanjie Huoluo Fang Traumatic myositis ossificans Animal model
骨化性肌炎多发生于肘关节创伤后局部软组织内,可影响患者正常劳动和生活,甚至致残。我院急创科应用本院骨伤科陈渭良主任医师具有活血化瘀、消肿止痛的“关节活络方”,结合手术早期清除异生骨预防和治疗骨化性肌炎,取得了满意的疗效[1],而应用家兔膝关节创伤性骨化性肌炎动物模型,观察中医中药对创伤性骨化性肌炎的预防作用,国内外均未见报道。为了探讨“关节活络方”防治骨化性肌炎的作用机理,本文参照国外文献[2],应用固定与粗暴外力损伤相结合在国内首次复制家兔膝关节创伤性骨化性肌炎动物模型,观察了关节活络方对模型骨化形成的影响。
材料与方法
1.动物 新西兰白色家兔,♂♀各半,体重2~3kg,由广东省医用实验动物场提供。
, http://www.100md.com
2.药品与试剂 关节活络方:由本院骨科陈渭良主任医师提供的经验方(由五灵脂、威灵仙、穿山甲等中药组成),由本院制剂中心用水煎法制备成汤剂,含生药1g/ml(批号:960830);钙、磷测定试剂:由广东浩江生物科技研究所提供;骨钙素、降钙素测定试剂:由北京北方生物技术研究所提供。
3.主要仪器 WS系列测温仪(上海华天电器仪表有限公司生产);X线机(岛津,500mA)。
4.动物分组与处理 新西兰白色家兔20只,用随机数字表法随机分为二组,每组10只,先在饲养室饲养1周后正式实验,实验室温度为20±2℃,相对湿度为70%±5%,用药组灌服关节活络方(生药9.2g/kg);空白组灌服等体积的蒸馏水(9.2ml/kg),每天1次,连续9周。
5.造模方法 由专人以特定的方法进行强力被动牵拉、暴力按摩,将家兔右后肢膝关节以顺时针和逆时针方向以最大的角度转动各20圈(以不使骨折为度),强力按摩膝关节周围肌肉各10圈,造成膝关节及周围软组织损伤,然后用杉树皮、绷带固定膝关节,从第1周开始每周按摩6天,第5周开始改为隔天按摩1次,连续9周,以复制家兔膝关节创伤性骨化性肌炎动物模型。
, http://www.100md.com
6.观察指标
(1)皮温和肿胀度的测定 实验前和实验后每周用测温仪分别在家兔膝关节后侧进行健患侧皮温测定,每次持续2分钟;再以膝盖为起点用软尺环绕膝关节一周,尽量收紧读取周径长度,计算健患侧皮温差和周径差。
(2)局部X线表现 分别在实验前、实验后第5、7、8、9周对家兔右后肢于伸直位,拍X线正侧位片(44kv,32ms,6.3mAs),以了解骨化形成情况,并对骨化程度进行评级(分级方法:0级:未出现骨化病灶;Ⅰ级:骨化病灶密度低,呈云雾状;Ⅱ级:骨化病灶密度较高,但边界不清;Ⅲ级:骨化病灶密度高,边界清晰)。
(3)骨代谢生化指标的测定 实验第9周时,分别从家兔的耳正中动脉抽血10ml,作血钙、血磷、降钙素和骨钙素测定。
(4)病理组织学检查 实验第9周,以空气栓塞法将动物处死,在其患肢肌肉坚硬部位取材,作病理组织学检查。
, http://www.100md.com
7.统计方法 计量资料组间用组间t检验,用药前后用配对t检验,骨化程度两组比较用Ridit分析。
结果
实验过程中,用药组1只、空白组2只动物因药液误灌入气管意外死亡。用药组1只动物在实验过程中由于外力牵拉不慎而致股骨骨折,空白组也有3只动物骨折,其主要原因是关节肿胀及僵硬较严重。以下统计处理均排除了骨折和死亡动物。
1.对皮温和肿胀度的影响 经测定两组的皮温差无显著性差异。但实验开始后,由于外力使膝关节及周围软组织损伤及固定作用,局部出现肿胀,以膝关节以上和脚背最为明显。约1周后,空白组动物的患肢关节变强直,伸屈功能明显障碍,活动受限,2周后肿胀逐渐减轻,随之关节变得更僵硬,到后来不能如常伸展或弯曲,股骨后部肌群靠股骨远端可触摸到肌肉硬块。用药组也发生类似的情况,有肿胀发生,2~3周后关节变强直,但明显比空白组柔软,活动范围较大,但弯曲和伸展仍有阻力,肌肉弹性较好,用药组4、5、6、9周的肿胀度经组间t检验,明显低于空白组(P<0.05),说明关节活络方具有减轻肿胀度、化瘀消肿的作用,见图1。
, 百拇医药
图1 关节活络方对家兔骨化性肌炎模型肿胀度的影响
注:*用药组与空白组比较,P<0.05
2.对血钙、血磷等生化指标的影响 见表1。
表1 关节活络方对血钙、血磷、骨钙素和降钙素的影响(
+s) 组别
动物(只)
血钙
血磷
骨钙素
降钙素
用药组
, 百拇医药
8
3.70±0.19
1.42±0.37
276.78±224.47
51.57±12.94
空白组
5
3.61±0.12
1.42±0.31
441.93±365.22
59.56±44.98
注: 用药组与空白组经组间t检验比较P>0.05
, http://www.100md.com
表1可知:用药组的血钙、血磷、降钙素和骨钙素与空白组比较无显著性差异(P>0.05),说明关节活络方对家兔的钙、磷、骨钙素、降钙素等生化代谢无明显影响。
3.X线评定 见表2。
表2 关节活络方对骨化程度(X线检查)的影响(单位:只) 组 别
第5周
第7周
第8周
第9周
0
Ⅰ
Ⅱ
Ⅲ
, http://www.100md.com
0
Ⅰ
Ⅱ
Ⅲ
0
Ⅰ
Ⅱ
Ⅲ
0
Ⅰ
Ⅱ
Ⅲ
空白组
5
, http://www.100md.com
2
0
0
2
3
2
0
0
2
2
2
0
0
0
, 百拇医药
5
用药组
5
2
0
0
4
4
0
0
3
2
3
0
, 百拇医药
1
2
4
1*
注:*用药组与空白组比较,Radit分析,P<0.05
由表2可知:第5周,空白组已有40%的动物发生密度较低、范围较小的骨化病灶(Ⅰ级),有10%出现Ⅱ级骨化;而用药组骨化程度比空白组明显轻,只有38%出现Ⅰ级骨化;第7、8、9周的空白组骨化程度都明显比用药组高;到第9周空白组所有的动物都达到Ⅲ级骨化,而用药组只有22%,两组的骨化程度经Ridit分析,用药组在第9周明显低于空白组(P<0.05)。说明关节活络方能明显减轻家兔骨化性肌炎模型的骨化程度。骨化性肌炎出现的部位多在膝关节周围及大腿中、下部。
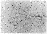
4.病理组织学检查 空白组:肌束间组织广泛水肿,伴有轻度的炎症反应,血管和成纤维细胞增生,肌纤维束间纤维组织增生明显,并形成类骨组织和类软骨组织,肌束间增生的纤维组织中局部出现异位骨化,骨化灶呈不规则分布,并可见纤维性成骨的移行区(图2)。用药组:肌组织内肌束间纤维增生,增生的纤维组织局部有骨化倾向并形成类软骨样组织,但无明显骨化出现(图3)。
, 百拇医药
图2 空白组:肌束间组织广泛水肿,肌纤维束间纤维组织增生明显,并形成类骨组织和类软骨组织,出现异位骨化。HEx40
图3 用药组:增生的纤维组织中局部仅有少许类骨组织和类软骨样组织,无明显骨化出现。HEx250
讨论
1.关节活络方活血化瘀,促进血循环,防止骨化 骨化性肌炎的发生发展与创伤和出血关系密切。骨折、关节脱位等严重创伤造成骨膜撕裂及周围软组织损伤出血,继而形成血肿引起无菌性炎症反应,新生的毛细血管和吞噬细胞及外骨膜深层的成骨细胞,在伤后短期内活跃,可侵入附近的肌肉内生成新生骨。局部受到反复外力的被动牵拉或手术刺激,发生血肿,在血肿吸收过程中,可逐渐发生骨膜下血肿骨化[2,3]。根据《医宗金鉴》“夫皮不破而内损者多有瘀”,认为损伤之后内有恶血瘀结,导致气血运行不畅,从而产生血瘀气滞。本文研究发现:关节活络方虽未能阻止骨化的发生,但骨化发生的进程明显比空白组慢,骨化程度低。病理组织学研究发现:空白组肌束间组织广泛水肿,伴有轻度的炎症反应,血管和成纤维细胞增生,肌纤维束间纤维组织增生明显,并形成类骨组织和类软骨组织,肌束间增生的纤维组织中局部出现异位骨化,骨化灶呈不规则分布,并可见纤维性成骨的移行区。而用药组肌组织内肌束间纤维增生,增生的纤维组织局部有骨化倾向并形成类软骨样组织,但无明显骨化出现。说明关节活络方对减轻家兔骨化性肌炎模型的炎症反应,改善局部血液循环,减缓局部骨化的发生发展有一定的预防作用。但对实验动物血钙、血磷和骨钙素、降钙素无明显影响,说明关节活络方对骨化性肌炎的防治作用与骨化部位和全身钙磷代谢无关。
, 百拇医药
2.关节活络方消肿止痛,减轻骨化程度 国外Michelsson等用暴力与固定结合复制家兔实验性骨化性肌炎模型,并对伤肢各部分组织的局部血流量分别进行测定,发现股骨骨髁、髌骨、股中间肌及小腿部的局部血流量在实验2周后显著降低,且皮温升高[4~6]。本文研究发现:实验开始后,由于暴力使膝关节和周围软组织损伤,局部出现肿胀,以膝关节以上和脚背最为明显,肿胀度持续上升,2周后达到最高,明显高于造模前,以后逐步降低,但维持在一较高水平;说明暴力所造成的关节及周围软组织损伤,明显影响了外周血液循环,使局部循环发生障碍而致局部肿胀度增高是造成骨化性肌炎的主要原因。因此,如果在治疗中能够改善局部血液循环,即能防止骨化的发生发展。关节活络方主要由丹参、田七、地龙、赤芍、元胡、五灵脂等组成,具有活血化瘀、消肿止痛的作用,本方理气血、顺筋络、消除瘀血,使气血重新获得调和,经脉得以畅通,有助于瘀散痛止,创伤得以迅速康复,关节活络方能使实验动物的肿胀度明显降低,膝关节柔软,肌肉弹性好。因此,关节活络方活血化瘀、减轻肿胀是其作用机理之一。 (本文的图2~3见插图页)
, 百拇医药
参考文献
〔1〕邓伯杰,陈渭良.中西医结合治疗肘关节损伤性骨化性肌炎.中国骨伤,1995,8(增刊):59
〔2〕Michelsson JE,et al. Myositis ossificans following forcible manipulation of the leg (a rabbit model for the study of heterotopic bone formation) . J Bone Joint Surg, 1980, 62-A(5):811
〔3〕何灿熙.肘关节“外伤性骨化性肌炎”若干问题探讨.中华放射学杂志,1986,20(增刊):48
〔4〕Michelsson JE. Contractures of the knee in provoking osteoarthritis in rabbits by immobilization. IRCS Med Sci, 1977,(5):61
, http://www.100md.com
〔5〕Videman T.The development of radiographic changes in experimental osteoarthritis provoked by immobilization of the knee in rabbits.IRCS Med Sci, 1977,(5):62
〔6〕Michelsson JE.Skin temperature changes in the rabbit leg during development of osteoarthritis of the knee by immobilization.IRCS Med Sci, 1978,(6):151
〔收稿:1998-08-21修回:1999-05-04〕, 百拇医药
单位:佛山市中医院骨伤科研究所,广东 佛山 528000
关键词:关节活络方;骨化性肌炎;动物模型
中国骨伤990607 【摘要】 目的 探讨关节活络方对家兔膝关节创伤性骨化性肌炎的预防作用。方法 将家兔20只随机分为二组,固定专人以特定方法进行强力被动牵拉、暴力按摩,然后固定,以复制家兔膝关节创伤性骨化性肌炎动物模型;同时用药组灌服关节活络方(生药9.2g/kg),空白组灌服等体积的蒸馏水(9.2ml/kg),每天1次,连续9周。检测家兔皮温、肿胀度、局部骨化情况、血钙、血磷、降钙素和骨钙素及患肢肌肉组织学变化。结果 用药组4周后肿胀度和7周后骨化程度都明显比空白组低(P<0.05);用药组肌肉组织内增生的纤维组织局部有骨化倾向并形成类软骨样组织,但无明显骨化出现,而空白组肌肉间组织广泛水肿,纤维组织增生明显,并形成类骨组织和类软骨组织,局部出现较明显的骨化;而该药对局部皮温、血钙、血磷、降钙素和骨钙素无明显影响。结论 关节活络方能减缓创伤性骨化性肌炎的发生与发展,对预防骨化性肌炎有一定作用。
, 百拇医药
Preventive Effects of Guanjie Houluo Fang on Traumatic Myositis Ossificans in Rabbits' Knee Joint
Chen Weiliang, Deng Baijie, He Qiuyue, et al. Institute of Orthopaedics and Traumatology, Foshan Hospital of Traditional Chinese Medicine (Foshan 528000)
【Abstract】 Objective To observe the preventive effects of Guanjie Houluo Fang (GJHLF) on traumatic myositis ossificans in rabbits' knee joints. Methods Twenty rabbits were randomly divided into two groups.The rabbits were passively drawn and violently massaged by specialized people and, then, they were fixed to duplicate the model of traumatic myositis ossificans. The treated group was fed on GJHLF (9.2g/kg), once a day and last 9 weeks.The blank group was fed on distilled water (9.2ml/kg) at the same time. Local skin temperature, degree of swelling, local ossification, blood calcium, blood phosphorus, calcitonin, osteocalin and the pathologic changes in the muscle were examined.Results Both the degree of the swelling after four weeks and the degree of the ossification after seven weeks in the treated group were markedly decreased than the blank group (P<0.05).In the tceated group, the proliferated fibrous tissues in the muscles showed a tendency to ossify locally, cartilaginoid tissues were formed, but ossification was not obvious. In the blank group, edema of muscular tissues was extensive, proliferation of fibrous tissue was evident, osteoid tissue and cartilaginoid tissue were formed, ossification appeared obviously in local region. But the effects of GJHLF on local skin temperature, blood calcium, blood phophorus, calcitonin and osteocalin were not significant. Conclusion It is suggested that GJHLF could prevent the occurrence and development of traumatic myositis ossificans in rabbits. There might be certain protective effect against myositis ossificans with GJHLF.
, 百拇医药
【Key words】 Guanjie Huoluo Fang Traumatic myositis ossificans Animal model
骨化性肌炎多发生于肘关节创伤后局部软组织内,可影响患者正常劳动和生活,甚至致残。我院急创科应用本院骨伤科陈渭良主任医师具有活血化瘀、消肿止痛的“关节活络方”,结合手术早期清除异生骨预防和治疗骨化性肌炎,取得了满意的疗效[1],而应用家兔膝关节创伤性骨化性肌炎动物模型,观察中医中药对创伤性骨化性肌炎的预防作用,国内外均未见报道。为了探讨“关节活络方”防治骨化性肌炎的作用机理,本文参照国外文献[2],应用固定与粗暴外力损伤相结合在国内首次复制家兔膝关节创伤性骨化性肌炎动物模型,观察了关节活络方对模型骨化形成的影响。
材料与方法
1.动物 新西兰白色家兔,♂♀各半,体重2~3kg,由广东省医用实验动物场提供。
, http://www.100md.com
2.药品与试剂 关节活络方:由本院骨科陈渭良主任医师提供的经验方(由五灵脂、威灵仙、穿山甲等中药组成),由本院制剂中心用水煎法制备成汤剂,含生药1g/ml(批号:960830);钙、磷测定试剂:由广东浩江生物科技研究所提供;骨钙素、降钙素测定试剂:由北京北方生物技术研究所提供。
3.主要仪器 WS系列测温仪(上海华天电器仪表有限公司生产);X线机(岛津,500mA)。
4.动物分组与处理 新西兰白色家兔20只,用随机数字表法随机分为二组,每组10只,先在饲养室饲养1周后正式实验,实验室温度为20±2℃,相对湿度为70%±5%,用药组灌服关节活络方(生药9.2g/kg);空白组灌服等体积的蒸馏水(9.2ml/kg),每天1次,连续9周。
5.造模方法 由专人以特定的方法进行强力被动牵拉、暴力按摩,将家兔右后肢膝关节以顺时针和逆时针方向以最大的角度转动各20圈(以不使骨折为度),强力按摩膝关节周围肌肉各10圈,造成膝关节及周围软组织损伤,然后用杉树皮、绷带固定膝关节,从第1周开始每周按摩6天,第5周开始改为隔天按摩1次,连续9周,以复制家兔膝关节创伤性骨化性肌炎动物模型。
, http://www.100md.com
6.观察指标
(1)皮温和肿胀度的测定 实验前和实验后每周用测温仪分别在家兔膝关节后侧进行健患侧皮温测定,每次持续2分钟;再以膝盖为起点用软尺环绕膝关节一周,尽量收紧读取周径长度,计算健患侧皮温差和周径差。
(2)局部X线表现 分别在实验前、实验后第5、7、8、9周对家兔右后肢于伸直位,拍X线正侧位片(44kv,32ms,6.3mAs),以了解骨化形成情况,并对骨化程度进行评级(分级方法:0级:未出现骨化病灶;Ⅰ级:骨化病灶密度低,呈云雾状;Ⅱ级:骨化病灶密度较高,但边界不清;Ⅲ级:骨化病灶密度高,边界清晰)。
(3)骨代谢生化指标的测定 实验第9周时,分别从家兔的耳正中动脉抽血10ml,作血钙、血磷、降钙素和骨钙素测定。
(4)病理组织学检查 实验第9周,以空气栓塞法将动物处死,在其患肢肌肉坚硬部位取材,作病理组织学检查。
, http://www.100md.com
7.统计方法 计量资料组间用组间t检验,用药前后用配对t检验,骨化程度两组比较用Ridit分析。
结果
实验过程中,用药组1只、空白组2只动物因药液误灌入气管意外死亡。用药组1只动物在实验过程中由于外力牵拉不慎而致股骨骨折,空白组也有3只动物骨折,其主要原因是关节肿胀及僵硬较严重。以下统计处理均排除了骨折和死亡动物。
1.对皮温和肿胀度的影响 经测定两组的皮温差无显著性差异。但实验开始后,由于外力使膝关节及周围软组织损伤及固定作用,局部出现肿胀,以膝关节以上和脚背最为明显。约1周后,空白组动物的患肢关节变强直,伸屈功能明显障碍,活动受限,2周后肿胀逐渐减轻,随之关节变得更僵硬,到后来不能如常伸展或弯曲,股骨后部肌群靠股骨远端可触摸到肌肉硬块。用药组也发生类似的情况,有肿胀发生,2~3周后关节变强直,但明显比空白组柔软,活动范围较大,但弯曲和伸展仍有阻力,肌肉弹性较好,用药组4、5、6、9周的肿胀度经组间t检验,明显低于空白组(P<0.05),说明关节活络方具有减轻肿胀度、化瘀消肿的作用,见图1。
, 百拇医药
图1 关节活络方对家兔骨化性肌炎模型肿胀度的影响
注:*用药组与空白组比较,P<0.05
2.对血钙、血磷等生化指标的影响 见表1。
表1 关节活络方对血钙、血磷、骨钙素和降钙素的影响(
动物(只)
血钙
血磷
骨钙素
降钙素
用药组
, 百拇医药
8
3.70±0.19
1.42±0.37
276.78±224.47
51.57±12.94
空白组
5
3.61±0.12
1.42±0.31
441.93±365.22
59.56±44.98
注: 用药组与空白组经组间t检验比较P>0.05
, http://www.100md.com
表1可知:用药组的血钙、血磷、降钙素和骨钙素与空白组比较无显著性差异(P>0.05),说明关节活络方对家兔的钙、磷、骨钙素、降钙素等生化代谢无明显影响。
3.X线评定 见表2。
表2 关节活络方对骨化程度(X线检查)的影响(单位:只) 组 别
第5周
第7周
第8周
第9周
0
Ⅰ
Ⅱ
Ⅲ
, http://www.100md.com
0
Ⅰ
Ⅱ
Ⅲ
0
Ⅰ
Ⅱ
Ⅲ
0
Ⅰ
Ⅱ
Ⅲ
空白组
5
, http://www.100md.com
2
0
0
2
3
2
0
0
2
2
2
0
0
0
, 百拇医药
5
用药组
5
2
0
0
4
4
0
0
3
2
3
0
, 百拇医药
1
2
4
1*
注:*用药组与空白组比较,Radit分析,P<0.05
由表2可知:第5周,空白组已有40%的动物发生密度较低、范围较小的骨化病灶(Ⅰ级),有10%出现Ⅱ级骨化;而用药组骨化程度比空白组明显轻,只有38%出现Ⅰ级骨化;第7、8、9周的空白组骨化程度都明显比用药组高;到第9周空白组所有的动物都达到Ⅲ级骨化,而用药组只有22%,两组的骨化程度经Ridit分析,用药组在第9周明显低于空白组(P<0.05)。说明关节活络方能明显减轻家兔骨化性肌炎模型的骨化程度。骨化性肌炎出现的部位多在膝关节周围及大腿中、下部。
4.病理组织学检查 空白组:肌束间组织广泛水肿,伴有轻度的炎症反应,血管和成纤维细胞增生,肌纤维束间纤维组织增生明显,并形成类骨组织和类软骨组织,肌束间增生的纤维组织中局部出现异位骨化,骨化灶呈不规则分布,并可见纤维性成骨的移行区(图2)。用药组:肌组织内肌束间纤维增生,增生的纤维组织局部有骨化倾向并形成类软骨样组织,但无明显骨化出现(图3)。
, 百拇医药
图2 空白组:肌束间组织广泛水肿,肌纤维束间纤维组织增生明显,并形成类骨组织和类软骨组织,出现异位骨化。HEx40
图3 用药组:增生的纤维组织中局部仅有少许类骨组织和类软骨样组织,无明显骨化出现。HEx250
讨论
1.关节活络方活血化瘀,促进血循环,防止骨化 骨化性肌炎的发生发展与创伤和出血关系密切。骨折、关节脱位等严重创伤造成骨膜撕裂及周围软组织损伤出血,继而形成血肿引起无菌性炎症反应,新生的毛细血管和吞噬细胞及外骨膜深层的成骨细胞,在伤后短期内活跃,可侵入附近的肌肉内生成新生骨。局部受到反复外力的被动牵拉或手术刺激,发生血肿,在血肿吸收过程中,可逐渐发生骨膜下血肿骨化[2,3]。根据《医宗金鉴》“夫皮不破而内损者多有瘀”,认为损伤之后内有恶血瘀结,导致气血运行不畅,从而产生血瘀气滞。本文研究发现:关节活络方虽未能阻止骨化的发生,但骨化发生的进程明显比空白组慢,骨化程度低。病理组织学研究发现:空白组肌束间组织广泛水肿,伴有轻度的炎症反应,血管和成纤维细胞增生,肌纤维束间纤维组织增生明显,并形成类骨组织和类软骨组织,肌束间增生的纤维组织中局部出现异位骨化,骨化灶呈不规则分布,并可见纤维性成骨的移行区。而用药组肌组织内肌束间纤维增生,增生的纤维组织局部有骨化倾向并形成类软骨样组织,但无明显骨化出现。说明关节活络方对减轻家兔骨化性肌炎模型的炎症反应,改善局部血液循环,减缓局部骨化的发生发展有一定的预防作用。但对实验动物血钙、血磷和骨钙素、降钙素无明显影响,说明关节活络方对骨化性肌炎的防治作用与骨化部位和全身钙磷代谢无关。
, 百拇医药
2.关节活络方消肿止痛,减轻骨化程度 国外Michelsson等用暴力与固定结合复制家兔实验性骨化性肌炎模型,并对伤肢各部分组织的局部血流量分别进行测定,发现股骨骨髁、髌骨、股中间肌及小腿部的局部血流量在实验2周后显著降低,且皮温升高[4~6]。本文研究发现:实验开始后,由于暴力使膝关节和周围软组织损伤,局部出现肿胀,以膝关节以上和脚背最为明显,肿胀度持续上升,2周后达到最高,明显高于造模前,以后逐步降低,但维持在一较高水平;说明暴力所造成的关节及周围软组织损伤,明显影响了外周血液循环,使局部循环发生障碍而致局部肿胀度增高是造成骨化性肌炎的主要原因。因此,如果在治疗中能够改善局部血液循环,即能防止骨化的发生发展。关节活络方主要由丹参、田七、地龙、赤芍、元胡、五灵脂等组成,具有活血化瘀、消肿止痛的作用,本方理气血、顺筋络、消除瘀血,使气血重新获得调和,经脉得以畅通,有助于瘀散痛止,创伤得以迅速康复,关节活络方能使实验动物的肿胀度明显降低,膝关节柔软,肌肉弹性好。因此,关节活络方活血化瘀、减轻肿胀是其作用机理之一。 (本文的图2~3见插图页)
, 百拇医药
参考文献
〔1〕邓伯杰,陈渭良.中西医结合治疗肘关节损伤性骨化性肌炎.中国骨伤,1995,8(增刊):59
〔2〕Michelsson JE,et al. Myositis ossificans following forcible manipulation of the leg (a rabbit model for the study of heterotopic bone formation) . J Bone Joint Surg, 1980, 62-A(5):811
〔3〕何灿熙.肘关节“外伤性骨化性肌炎”若干问题探讨.中华放射学杂志,1986,20(增刊):48
〔4〕Michelsson JE. Contractures of the knee in provoking osteoarthritis in rabbits by immobilization. IRCS Med Sci, 1977,(5):61
, http://www.100md.com
〔5〕Videman T.The development of radiographic changes in experimental osteoarthritis provoked by immobilization of the knee in rabbits.IRCS Med Sci, 1977,(5):62
〔6〕Michelsson JE.Skin temperature changes in the rabbit leg during development of osteoarthritis of the knee by immobilization.IRCS Med Sci, 1978,(6):151
〔收稿:1998-08-21修回:1999-05-04〕, 百拇医药