兔视神经间接损伤病理学观察
作者:刘杰 马志中 梁延杰
单位:100037 北京,解放军第三○四医院眼科(刘杰),病理科(梁延杰);解放军总医院眼科(马志中)
关键词:视神经;;眼损伤;;病理学
兔视神经间接损伤病理学观察 【摘要】 目的 观察视神经间接损伤后病理学过程。方法 选用72只兔(144只眼)制作视神经间接损伤动物模型,随机分为单纯致伤组和激素治疗组。动态行光镜和电镜观察,采用计算机行轴突计数。结果 视神经间接损伤后主要表现为水肿、髓鞘脱失、髓鞘再生和轴突的改变。激素治疗组的水肿较轻(P<0.01),有髓纤维计数较多。结论 视神经发生间接损伤后主要改变是神经的水肿、脱髓鞘和轴突的变化。激素有一定的治疗作用。
A pathological study on indirect optic nerve injury in rabbit eyes
, 百拇医药
LIU Jie*, MA Zhizhong, LIANG Yanjie. * Department of Ophthalmology, 304 Hospital, PLA, Beijing 100037
【Abstract】 Objective To study the pathological changes after indirect optic nerve injury. MethodsAnimal models (72 rabbits, 144 eyes) for intracanalicular optic nerve injury was developed by keeping the optic canal intact. The pathological changes of optic nerve were observed under light microscope and transmission electron microscope and the number of myelinated axons was enumerated by computer-aided image analyzer. The data were analyzed by using variance of SAS software. Results The model contributed much valuable information regarding nerve edema, loss of myelin, myelin regeneration and changes of axons. The edematous area in the optic nerve injury was reduced (P<0.01) by treating with prednisone. The counted number of myelinated fibers showed more in the group treated by prednisone than that in the group without treatment. Conclusions Significant changes of optic nerve after indirect injury are edema, demyelination and the change of axon amount. The effects of prednisone on reducing these pathological changes are demonstrated in this study.
, 百拇医药
【Key words】 Optic nerve Ocular injury Pathology
至今视神经间接损伤的自然病理过程尚未明了,以至影响对视神经损害发病机制的深入认识。我们通过创立动物视神经间接损伤模型,系统观察其病理学过程,为临床治疗提供理论根据。
材料与方法
一、材料
1.实验动物:成年新西兰白兔72只(144只眼),均为军事医学科学院提供的标准动物,每只重2.0~2.5 kg。将其随机分为两组:单纯致伤组(G1),泼尼松治疗组(G2)(每日口服泼尼松5 mg/kg体重,共10天)。
2.动物模型制作:选每只动物的右眼为致伤眼,左眼为对照眼。手术在麻醉、无菌条件下进行。剪开眶上缘额骨顶部皮肤,切开骨膜,暴露眶内上壁,用咬骨钳向视神经方向咬除眶内上壁骨板,保持硬脑膜和眶骨膜完整。在离视神经孔2~3 mm处终止截骨以保持视神经管的完整性。将骨凿刃磨成新月形缺损并将骨凿体截短,顶端焊接圆盘状不锈钢板。将骨凿新月形缺损卡在眶板咬除残缘。用自制弹簧手枪子弹击打不锈钢板,造成视神经间接损伤。子弹射程16 cm,每例均等。白兔的左右视神经骨管极短,亦称“骨环”,两者前、上壁呈小锐角。故选择右侧眶板内上方离视神经孔2~3 mm处,以蓄积较大能量的子弹点击,力量不会传递至左侧视神经。对照眼,以同样方法手术暴露,但不致伤。此后,彻底止血分层缝合骨膜、皮肤。待动物清醒后观察瞳孔对光反应。凡右眼瞳孔直接对光反应消失(或迟缓),瞳孔直径大于正常2 mm以上者用于本实验。上述致伤过程在无菌条件下由一人完成手术。
, 百拇医药
二、方法
两组实验动物分别于致伤后2、7、14、30、60及180天各处死6只,取视神经固定于10%甲醛液,做1~2 μm石蜡切片行Luxol 坚固蓝-HE染色(该染色结果神经髓鞘和轴突均呈蓝色,纤维间质细胞核呈紫蓝色、胞浆呈粉红色)。观察并行视神经轴突计数(每组计数6张切片,每张切片计数6个视野,计算其平均数)。部分标本(6只)经3%戊二醛固定,OsO4后固定,梯度乙醇及丙酮脱水,Epon 812包埋,LKB-V型超薄切片机切片,醋酸铀和枸橼酸铅双重染色,经JEM-1200EX电镜观察。
三、统计学处理
全部数据输入计算机,以SAS统计软件包处理,主要采用两组均数比较的t检验和多组均数比较的方差分析。
结果
, 百拇医药
一、眼底镜检查
从伤后7~30天有程度不同的视神经萎缩表现。
二、光镜
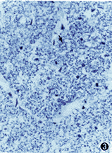
1.视神经纤维:G1组损伤后2天,管内段视神经部分区域呈现脱髓鞘改变,少数轴突裸露,束膜血管周围间质水肿(图1)。G2组病变与G1组相似,但程度较轻。经图像分析(每组计数6张切片,每张切片计数6个视野,光镜×200下观察,计算其平均百分比),结果见G1组水肿区所占视野百分比为1.90%,而G2组为0.60%(t=2.75,P<0.01)。损伤后7天,G1组管内段视神经脱髓鞘较2天时明显,脱髓鞘区更加疏松,呈现网状。部分轴突裸露,视神经软膜有少量单核及淋巴细胞浸润。G2组病变与G1组相似,程度亦较轻。水肿区经图像分析所占视野百分比G1组为0.92%,而G2组为0.46%(t=2.40,P<0.01)。视神经不同段脱髓鞘改变不同,眶内段较颅内段更严重。损伤后30天,G1组在所有损伤视神经段髓鞘严重脱失,轴突裸露明显,未见水肿,部分髓鞘脱失区神经束膜纤维组织相对集中、增多。G2组病变与G1组相似。经图像分析计数轴突,G1组的非损伤眼为28 466个/mm2,相对应的损伤侧仅为14 733/mm2(F=72.46,P<0.01)。损伤后60天,G1组更多的神经纤维呈现脱髓鞘改变,轴突广泛裸露。神经束膜纤维组织更加集中、增多(图2)。G2组脱髓鞘改变较 G1组减轻,但无统计学意义。损伤后180天,G1组视神经纤维髓鞘脱失现象不明显,且见部分髓鞘再生,轴突周围被薄厚不均的髓鞘所包裹(图3)。G2组改变与G1组基本一致。新西兰兔视神经损伤后,各组伤眼视神经有髓纤维数值发生相应变化(表1),其中G1组、G2组与正常组比较差异均有显著性,但G1组与G2组组间差异无显著性。损伤60天时脱髓鞘现象最为严重,与其它时间比较差异均有显著或非常显著性。
, 百拇医药
图1 损伤 2 天,少部分区域脱髓鞘,血管周围间质水肿(黑箭头) Luxol坚固蓝-HE×200
图2 损伤60天,更多的神经纤维呈现脱髓鞘改变(黑箭头),神经束膜纤维组织更加集中、增多(白箭头) Luxol坚固蓝-HE×400
图3 损伤180天,神经纤维髓鞘再生,轴突周围被薄厚不均的髓鞘所包裹(黑箭头) Luxol坚固蓝-HE×400
表1 伤眼及对照眼视神经有髓
, 百拇医药
神经纤维计数(
±s,个/mm2)
损伤后
天数(d)
对照眼
G1组*
G2组*
2
28 966.7±
6 048.7
, 百拇医药
25 016.7±
7 585.4**
26 133.3±
7 001.3**
14
28 116.7±
6 221.4
17 550.0±
1 466.6**
19 383.3±
1 863.8**
, 百拇医药
30
28 466.7±
6 057.6
14 733.3±
2 856.3**
16 183.3±
3 428.9**
60
28 783.3±
6 089.5
3 216.7±
1 625.3***
, 百拇医药
5 100.0±
3 179.9***
180
28 850.0±
5 781.3
14 237.0±
1 233.9**
16 865.7±
2 516.9**
*与对照组比较,F=72.46,P<0.01 **组间比较,F=49.59,P<0.05 ***与其它时间比较,F=75.64,P<0.01
, http://www.100md.com
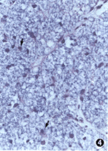
2.视神经少突胶质细胞:正常的视神经少突胶质细胞均匀分布于轴突周围。视神经间接损伤后14天时,有少突胶质细胞的增生,伤后30天时,少突胶质细胞增多达到较高水平(图4)。
图4 损伤30天,少突胶质细胞增生达较高水平(黑箭头) Luxol坚固蓝-HE×400
三、电镜
正常视神经轴突内微丝、微管丰富,有线粒体。轴突外包裹着细板层致密的髓鞘。轴突与髓鞘间无空隙。 少突胶质细胞结构正常。
损伤后7天,G1组轴突变稀疏,呈空泡状或网状。轴突与髓鞘间有空泡形成,髓鞘有部分向内、向外突起,髓鞘板层分裂(图5)。G2组轴突未见明显异常,髓鞘有轻度板层分裂(图6)。
, 百拇医药
图5 损伤7天,G1组轴突稀疏呈空泡状或网状与髓鞘间有空泡形成(黑箭头),髓鞘内突或外突并可见板层分裂(白箭头)×10 000
图6 损伤7天,G2组轴突大致正常,髓鞘有板层分裂(黑箭头) ×25 000
损伤后30天,G1组部分轴突呈空泡状变性,退变形似蜂窝状。髓鞘与轴突间形成空泡,髓鞘向轴突内突起,部分髓鞘板层结构不清。除见少突胶质细胞退变(细胞器不清楚,核异染色质集聚成块,常染色质区稀疏呈空泡化)外,尚见许多增生的少突胶质细胞(图7)。
, 百拇医药
图7 损伤30天,增生的少突胶质细胞(黑箭头) ×8 000
讨论
由本模型的组织病理学观察可见,视神经间接损伤后主要表现为水肿、髓鞘脱失和轴突的改变。
在视神经损伤后2天,G1组与正常对照眼比较,神经水肿和部分区域髓鞘脱失明显。然而,计算机图像分析结果G1组水肿区其所占视野百分比不到2%,G2组为0.60%。视神经损伤后7天,G1 组水肿区经图像分析百分比为0.92%,而G2组为0.46%。损伤后30天已无水肿改变。水肿现象普遍存在而所占比率不高的原因,可能与视神经实质内组织致密和连接紧密有关。
另外的特点是,被损伤视神经随着时间的推移髓鞘、轴突的变化过程。当视神经发生间接损伤后2天,部分区域呈现脱髓鞘改变, 个别轴突裸露;伤后7天脱髓鞘区更加疏松,呈网状,部分轴突裸露;伤后30天在所有损伤视神经段髓鞘严重脱失,轴突裸露明显,部分髓鞘脱失区神经纤维组织相对集中、增多;伤后60天更多的神经纤维呈现脱髓鞘改变,轴突广泛裸露,神经束膜纤维组织更加集中、增多;伤后180天部分髓鞘再生, 轴突周围被薄厚不均的髓鞘所包裹。G2组各时间髓鞘脱失较轻,髓鞘再生明显。神经纤维计数G1、G2组差异无显著性。在这一过程中,许多裸露的轴突并未丧失神经纤维结构,而许多薄鞘轴突的存在提示此损伤过程中“髓鞘再生”现象发生。
, 百拇医药
髓鞘再生是有髓神经纤维修复的象征,Clifford-Jones等[1]认为, 视神经损伤早期功能恢复决定于神经传递的重组而后期功能恢复则主要与髓鞘再生相关,其根据是电镜下观察到有超薄髓磷脂位于轴突周围。类似的研究如猫的脊髓挤压模型[2]在结间区有新的髓磷脂鞘出现,从而证实了髓鞘再生。
与髓鞘再生过程紧密伴随的是胶质反应,因为胶质细胞被普遍认为与髓鞘再生密切相关。本实验也证实,视神经损伤后,少突胶质细胞增生活跃,30天时达到高峰。本实验的正常组胶质细胞包绕着轴突, 两者多附着在一起形成紧密的束,电镜下见轴突内的视神经微丝、微管。胶质细胞则有电子密度较深的胞浆,可能反映细胞呈代谢旺盛状态。与少突胶质细胞承担“髓鞘再生”报道相应的, Eitan等[3]认为成熟的少突胶质细胞为轴突的再生创造一个宿主环境。
对视神经间接损伤的治疗问题争论颇大[4,5]。本研究采用泼尼松治疗发现,伤后2天、7天G2组的水肿区小于G1组(P<0.01)。G2组各时间有髓纤维数均多于G1组,但无统计学意义。Anderson等[6]的研究表明,激素治疗视神经损伤的原理是可减少微血管痉挛、水肿及神经细胞的死亡。从我们的临床资料分析结果亦证实治疗组视神经间接损伤的患者,其视力改善率明显高于未治疗组。在外伤后早期使用激素是必要的,但后期神经功能的恢复必须加用神经营养药物。
, 百拇医药
参考文献
1 Clifford-Jones RE, McDonald WI,Landon DN.Chronic optic nerve compression: an experimental study.Brain, 1985,108:241-262.
2 Harrison BM,McDonald WI.Remyelination after transient experimental compression of the spinal cord. Ann Neurol,1977,1:542-551.
3 Eitan S,Zisling R, Cohen A,et al.Identification of an interleukin 2-like substance as a factor cytotoxic to oligodendrocytes and associated with central nervous system regeneration.Proc Natl Acad Sci USA,1992,89:5442-5446.
, http://www.100md.com
4 Joseph MP, Lessell S,Rizzo J,et al.Extracranial optic nerve decompression for traumatic optic neuropathy.Arch Ophthalmol,1990,108:1091-1093.
5 Miller NR.The management of traumatic optic neuropathy.Arch Ophthalmol,1990,108:1086-1087.
6 Anderson RL,Panje WR, Gross CE.Optic nerve blindness following blunt forehead trauma.Ophthalmology, 1982,89:445-455.
(收稿:1999-03-04 修回:1999-07-27), 百拇医药
单位:100037 北京,解放军第三○四医院眼科(刘杰),病理科(梁延杰);解放军总医院眼科(马志中)
关键词:视神经;;眼损伤;;病理学
兔视神经间接损伤病理学观察 【摘要】 目的 观察视神经间接损伤后病理学过程。方法 选用72只兔(144只眼)制作视神经间接损伤动物模型,随机分为单纯致伤组和激素治疗组。动态行光镜和电镜观察,采用计算机行轴突计数。结果 视神经间接损伤后主要表现为水肿、髓鞘脱失、髓鞘再生和轴突的改变。激素治疗组的水肿较轻(P<0.01),有髓纤维计数较多。结论 视神经发生间接损伤后主要改变是神经的水肿、脱髓鞘和轴突的变化。激素有一定的治疗作用。
A pathological study on indirect optic nerve injury in rabbit eyes
, 百拇医药
LIU Jie*, MA Zhizhong, LIANG Yanjie. * Department of Ophthalmology, 304 Hospital, PLA, Beijing 100037
【Abstract】 Objective To study the pathological changes after indirect optic nerve injury. MethodsAnimal models (72 rabbits, 144 eyes) for intracanalicular optic nerve injury was developed by keeping the optic canal intact. The pathological changes of optic nerve were observed under light microscope and transmission electron microscope and the number of myelinated axons was enumerated by computer-aided image analyzer. The data were analyzed by using variance of SAS software. Results The model contributed much valuable information regarding nerve edema, loss of myelin, myelin regeneration and changes of axons. The edematous area in the optic nerve injury was reduced (P<0.01) by treating with prednisone. The counted number of myelinated fibers showed more in the group treated by prednisone than that in the group without treatment. Conclusions Significant changes of optic nerve after indirect injury are edema, demyelination and the change of axon amount. The effects of prednisone on reducing these pathological changes are demonstrated in this study.
, 百拇医药
【Key words】 Optic nerve Ocular injury Pathology
至今视神经间接损伤的自然病理过程尚未明了,以至影响对视神经损害发病机制的深入认识。我们通过创立动物视神经间接损伤模型,系统观察其病理学过程,为临床治疗提供理论根据。
材料与方法
一、材料
1.实验动物:成年新西兰白兔72只(144只眼),均为军事医学科学院提供的标准动物,每只重2.0~2.5 kg。将其随机分为两组:单纯致伤组(G1),泼尼松治疗组(G2)(每日口服泼尼松5 mg/kg体重,共10天)。
2.动物模型制作:选每只动物的右眼为致伤眼,左眼为对照眼。手术在麻醉、无菌条件下进行。剪开眶上缘额骨顶部皮肤,切开骨膜,暴露眶内上壁,用咬骨钳向视神经方向咬除眶内上壁骨板,保持硬脑膜和眶骨膜完整。在离视神经孔2~3 mm处终止截骨以保持视神经管的完整性。将骨凿刃磨成新月形缺损并将骨凿体截短,顶端焊接圆盘状不锈钢板。将骨凿新月形缺损卡在眶板咬除残缘。用自制弹簧手枪子弹击打不锈钢板,造成视神经间接损伤。子弹射程16 cm,每例均等。白兔的左右视神经骨管极短,亦称“骨环”,两者前、上壁呈小锐角。故选择右侧眶板内上方离视神经孔2~3 mm处,以蓄积较大能量的子弹点击,力量不会传递至左侧视神经。对照眼,以同样方法手术暴露,但不致伤。此后,彻底止血分层缝合骨膜、皮肤。待动物清醒后观察瞳孔对光反应。凡右眼瞳孔直接对光反应消失(或迟缓),瞳孔直径大于正常2 mm以上者用于本实验。上述致伤过程在无菌条件下由一人完成手术。
, 百拇医药
二、方法
两组实验动物分别于致伤后2、7、14、30、60及180天各处死6只,取视神经固定于10%甲醛液,做1~2 μm石蜡切片行Luxol 坚固蓝-HE染色(该染色结果神经髓鞘和轴突均呈蓝色,纤维间质细胞核呈紫蓝色、胞浆呈粉红色)。观察并行视神经轴突计数(每组计数6张切片,每张切片计数6个视野,计算其平均数)。部分标本(6只)经3%戊二醛固定,OsO4后固定,梯度乙醇及丙酮脱水,Epon 812包埋,LKB-V型超薄切片机切片,醋酸铀和枸橼酸铅双重染色,经JEM-1200EX电镜观察。
三、统计学处理
全部数据输入计算机,以SAS统计软件包处理,主要采用两组均数比较的t检验和多组均数比较的方差分析。
结果
, 百拇医药
一、眼底镜检查
从伤后7~30天有程度不同的视神经萎缩表现。
二、光镜
1.视神经纤维:G1组损伤后2天,管内段视神经部分区域呈现脱髓鞘改变,少数轴突裸露,束膜血管周围间质水肿(图1)。G2组病变与G1组相似,但程度较轻。经图像分析(每组计数6张切片,每张切片计数6个视野,光镜×200下观察,计算其平均百分比),结果见G1组水肿区所占视野百分比为1.90%,而G2组为0.60%(t=2.75,P<0.01)。损伤后7天,G1组管内段视神经脱髓鞘较2天时明显,脱髓鞘区更加疏松,呈现网状。部分轴突裸露,视神经软膜有少量单核及淋巴细胞浸润。G2组病变与G1组相似,程度亦较轻。水肿区经图像分析所占视野百分比G1组为0.92%,而G2组为0.46%(t=2.40,P<0.01)。视神经不同段脱髓鞘改变不同,眶内段较颅内段更严重。损伤后30天,G1组在所有损伤视神经段髓鞘严重脱失,轴突裸露明显,未见水肿,部分髓鞘脱失区神经束膜纤维组织相对集中、增多。G2组病变与G1组相似。经图像分析计数轴突,G1组的非损伤眼为28 466个/mm2,相对应的损伤侧仅为14 733/mm2(F=72.46,P<0.01)。损伤后60天,G1组更多的神经纤维呈现脱髓鞘改变,轴突广泛裸露。神经束膜纤维组织更加集中、增多(图2)。G2组脱髓鞘改变较 G1组减轻,但无统计学意义。损伤后180天,G1组视神经纤维髓鞘脱失现象不明显,且见部分髓鞘再生,轴突周围被薄厚不均的髓鞘所包裹(图3)。G2组改变与G1组基本一致。新西兰兔视神经损伤后,各组伤眼视神经有髓纤维数值发生相应变化(表1),其中G1组、G2组与正常组比较差异均有显著性,但G1组与G2组组间差异无显著性。损伤60天时脱髓鞘现象最为严重,与其它时间比较差异均有显著或非常显著性。
, 百拇医药
图1 损伤 2 天,少部分区域脱髓鞘,血管周围间质水肿(黑箭头) Luxol坚固蓝-HE×200
图2 损伤60天,更多的神经纤维呈现脱髓鞘改变(黑箭头),神经束膜纤维组织更加集中、增多(白箭头) Luxol坚固蓝-HE×400
图3 损伤180天,神经纤维髓鞘再生,轴突周围被薄厚不均的髓鞘所包裹(黑箭头) Luxol坚固蓝-HE×400
表1 伤眼及对照眼视神经有髓
, 百拇医药
神经纤维计数(
损伤后
天数(d)
对照眼
G1组*
G2组*
2
28 966.7±
6 048.7
, 百拇医药
25 016.7±
7 585.4**
26 133.3±
7 001.3**
14
28 116.7±
6 221.4
17 550.0±
1 466.6**
19 383.3±
1 863.8**
, 百拇医药
30
28 466.7±
6 057.6
14 733.3±
2 856.3**
16 183.3±
3 428.9**
60
28 783.3±
6 089.5
3 216.7±
1 625.3***
, 百拇医药
5 100.0±
3 179.9***
180
28 850.0±
5 781.3
14 237.0±
1 233.9**
16 865.7±
2 516.9**
*与对照组比较,F=72.46,P<0.01 **组间比较,F=49.59,P<0.05 ***与其它时间比较,F=75.64,P<0.01
, http://www.100md.com
2.视神经少突胶质细胞:正常的视神经少突胶质细胞均匀分布于轴突周围。视神经间接损伤后14天时,有少突胶质细胞的增生,伤后30天时,少突胶质细胞增多达到较高水平(图4)。
图4 损伤30天,少突胶质细胞增生达较高水平(黑箭头) Luxol坚固蓝-HE×400
三、电镜
正常视神经轴突内微丝、微管丰富,有线粒体。轴突外包裹着细板层致密的髓鞘。轴突与髓鞘间无空隙。 少突胶质细胞结构正常。
损伤后7天,G1组轴突变稀疏,呈空泡状或网状。轴突与髓鞘间有空泡形成,髓鞘有部分向内、向外突起,髓鞘板层分裂(图5)。G2组轴突未见明显异常,髓鞘有轻度板层分裂(图6)。
, 百拇医药
图5 损伤7天,G1组轴突稀疏呈空泡状或网状与髓鞘间有空泡形成(黑箭头),髓鞘内突或外突并可见板层分裂(白箭头)×10 000
图6 损伤7天,G2组轴突大致正常,髓鞘有板层分裂(黑箭头) ×25 000
损伤后30天,G1组部分轴突呈空泡状变性,退变形似蜂窝状。髓鞘与轴突间形成空泡,髓鞘向轴突内突起,部分髓鞘板层结构不清。除见少突胶质细胞退变(细胞器不清楚,核异染色质集聚成块,常染色质区稀疏呈空泡化)外,尚见许多增生的少突胶质细胞(图7)。
, 百拇医药
图7 损伤30天,增生的少突胶质细胞(黑箭头) ×8 000
讨论
由本模型的组织病理学观察可见,视神经间接损伤后主要表现为水肿、髓鞘脱失和轴突的改变。
在视神经损伤后2天,G1组与正常对照眼比较,神经水肿和部分区域髓鞘脱失明显。然而,计算机图像分析结果G1组水肿区其所占视野百分比不到2%,G2组为0.60%。视神经损伤后7天,G1 组水肿区经图像分析百分比为0.92%,而G2组为0.46%。损伤后30天已无水肿改变。水肿现象普遍存在而所占比率不高的原因,可能与视神经实质内组织致密和连接紧密有关。
另外的特点是,被损伤视神经随着时间的推移髓鞘、轴突的变化过程。当视神经发生间接损伤后2天,部分区域呈现脱髓鞘改变, 个别轴突裸露;伤后7天脱髓鞘区更加疏松,呈网状,部分轴突裸露;伤后30天在所有损伤视神经段髓鞘严重脱失,轴突裸露明显,部分髓鞘脱失区神经纤维组织相对集中、增多;伤后60天更多的神经纤维呈现脱髓鞘改变,轴突广泛裸露,神经束膜纤维组织更加集中、增多;伤后180天部分髓鞘再生, 轴突周围被薄厚不均的髓鞘所包裹。G2组各时间髓鞘脱失较轻,髓鞘再生明显。神经纤维计数G1、G2组差异无显著性。在这一过程中,许多裸露的轴突并未丧失神经纤维结构,而许多薄鞘轴突的存在提示此损伤过程中“髓鞘再生”现象发生。
, 百拇医药
髓鞘再生是有髓神经纤维修复的象征,Clifford-Jones等[1]认为, 视神经损伤早期功能恢复决定于神经传递的重组而后期功能恢复则主要与髓鞘再生相关,其根据是电镜下观察到有超薄髓磷脂位于轴突周围。类似的研究如猫的脊髓挤压模型[2]在结间区有新的髓磷脂鞘出现,从而证实了髓鞘再生。
与髓鞘再生过程紧密伴随的是胶质反应,因为胶质细胞被普遍认为与髓鞘再生密切相关。本实验也证实,视神经损伤后,少突胶质细胞增生活跃,30天时达到高峰。本实验的正常组胶质细胞包绕着轴突, 两者多附着在一起形成紧密的束,电镜下见轴突内的视神经微丝、微管。胶质细胞则有电子密度较深的胞浆,可能反映细胞呈代谢旺盛状态。与少突胶质细胞承担“髓鞘再生”报道相应的, Eitan等[3]认为成熟的少突胶质细胞为轴突的再生创造一个宿主环境。
对视神经间接损伤的治疗问题争论颇大[4,5]。本研究采用泼尼松治疗发现,伤后2天、7天G2组的水肿区小于G1组(P<0.01)。G2组各时间有髓纤维数均多于G1组,但无统计学意义。Anderson等[6]的研究表明,激素治疗视神经损伤的原理是可减少微血管痉挛、水肿及神经细胞的死亡。从我们的临床资料分析结果亦证实治疗组视神经间接损伤的患者,其视力改善率明显高于未治疗组。在外伤后早期使用激素是必要的,但后期神经功能的恢复必须加用神经营养药物。
, 百拇医药
参考文献
1 Clifford-Jones RE, McDonald WI,Landon DN.Chronic optic nerve compression: an experimental study.Brain, 1985,108:241-262.
2 Harrison BM,McDonald WI.Remyelination after transient experimental compression of the spinal cord. Ann Neurol,1977,1:542-551.
3 Eitan S,Zisling R, Cohen A,et al.Identification of an interleukin 2-like substance as a factor cytotoxic to oligodendrocytes and associated with central nervous system regeneration.Proc Natl Acad Sci USA,1992,89:5442-5446.
, http://www.100md.com
4 Joseph MP, Lessell S,Rizzo J,et al.Extracranial optic nerve decompression for traumatic optic neuropathy.Arch Ophthalmol,1990,108:1091-1093.
5 Miller NR.The management of traumatic optic neuropathy.Arch Ophthalmol,1990,108:1086-1087.
6 Anderson RL,Panje WR, Gross CE.Optic nerve blindness following blunt forehead trauma.Ophthalmology, 1982,89:445-455.
(收稿:1999-03-04 修回:1999-07-27), 百拇医药