脊髓缺血再灌流对其血流量变化及其病理改变关系的研究*
作者:伍亚民 王正国 朱佩芳 廖维宏 陈恒胜
单位:伍亚民王正国 朱佩芳 廖维宏 陈恒胜 第三军医大学附属大坪医院野战外科研究所第三研究室 重庆,400042
关键词:脊髓损伤;缺血再灌流;脊髓血流量;病理学;家兔
第三军医大学学报990704 提 要 目的:研究缺血再灌流损伤脊髓血流量的变化及其与脊髓病理改变间的关系。方法:20只成年日本大耳白家兔随机分为对照组、缺血30 min组、缺血60 min组和缺血90 min组,用氢清除法测定脊髓血流量(SCBF),尼氏染色观察受损脊髓病理变化。结果:完全缺血时SCBF为0 ml.100 g-1.min-1,再灌流过程中各组SCBF较缺血时有不同程度的恢复,但较伤前仍有不同程度的下降,并以缺血60 min、90 min组下降明显;脊髓病理改变以灰质受损最明显,病变严重程度为缺血90 min组>缺血60 min组>缺血30 min组>对照组。结论:缺血时间越长,再灌流后SCBF下降越明显,病理损害也越重。
, 百拇医药
中图法分类号 R322.81;R619.9
The changes of spinal cord blood flow after ischemio-reperfusion and their relationship with pathological changes in rabbits *
Wu Yamin, Wang Zhengguo, Zhu Peifang, Liao Weihong, Chen Hengsheng
(Research Institute of Field Surgery, Third Military Medical University, Chongqing,400042)
Abstract Objective: To study the changes of spinal cord blood flow (SCBF) after ischemio-reperfusion injury of the spinal cord. Then the relationship between SCBF changes and the pathological changes of the spinal cord was investigated. Methods: 20 adult rabbits were randomized into the control, 30 min ischemia, 60 min ischemia and 90 min ischemia groups. SCBF was determined with hydrogen clearance method and the pathological changes of the spinal cord were observed after Nissl′s staining. Results: During ischemic period, SCBF was 0 ml.100 g-1.min-1. In the course of reperfusion, SCBF recovered in different degrees in 3 ischemic groups but remained lower than the preischemic level. Ischemia was more marked in the 60 min ischemia and 90 min ischemia group. The gray matter of the cord was severely damaged and the damage was the most severe in the 90 min ischemia group, second severe in the 60 min ischemia group, third severe in the 30 min ischemia group and least severe in the control. Conclusion: The longer the ischemia, the more marked the decrease of SCBF after reperfusion and the more severe the pathological changes.
, 百拇医药
Key words spinal cord injury; ischemio-reperfusion; spinal cord blood flow; pathology; rabbit
继发性脊髓损伤(Spinal cord injury,SCI)的重要机制是血管机制[1] 。脊髓血管损害、血循环障碍、组织缺血缺氧,导致一系列的生理、生化和形态结构的改变,进而导致代谢障碍、兴奋性氨基酸的神经毒性作用、离子平衡失调(如钙超载),引起急性细胞水肿和延迟性神经元死亡[2,3]。脊髓血流量(Spinal cord blood flow,SCBF)能较好地反映脊髓组织血循环、缺血缺氧状况。作者在一种新的成年家兔脊髓缺血再灌流损伤模型上,观察到缺血再灌流损伤脊髓的典型功能障碍情况,造成这种功能障碍的首要致伤因素无疑是SCBF的改变,但到底缺血再灌流损伤脊髓的血流变化如何?它对脊髓病理改变有何影响?尚不清楚。本研究对此进行了初步探讨。
, http://www.100md.com
1 材料与方法
1.1 动物模型与分组
20只日本大耳白家兔,体重(2.25±0.25)kg,雌雄不拘,随机分为对照组、缺血30 min组、缺血60 min组和缺血90 min组,每组5只。以选择性腰动脉阻断法制备脊髓缺血再灌流损伤模型。家兔用3%戊巴比妥钠麻醉(1 ml/kg)后,在无菌条件下,于左腹膜后间隙钝性分离出腹主动脉和腰动脉(紧邻左肾动脉的上位腰动脉命名为上1支,其下的五支腰动脉从头端至尾端依次命名为下1、下2、下3、下4、下5支),将上1和下1、下3、4、5腰动脉用1号丝线结扎,在此基础上,将未阻断下2腰动脉的家兔作为对照组,用血管夹分别夹闭下2腰动脉30、60、90 min的家兔分别作为缺血30 min组、缺血60 min组、缺血90 min组,放开血管夹即可造成腰髓缺血再灌流损伤。
, http://www.100md.com
1.2 SCBF测定
家兔在完成上述损伤模型的制备手术后,行气管插管术;并于L3~L4椎体行椎板切除术,暴露L4节段脊髓,用氢清除法测定其(深度2000 μm)SCBF[4,5]。具体步骤为:先测缺血前的SCBF,随后测定上1、下1、3、4、5腰动脉结扎后,用血管夹夹闭下2腰动脉期间的SCBF,待夹闭血管到预定时间(30、60、90 min)后,取走血管夹,而后测定下2腰动脉再灌流即刻、0.5、1、2、4、8、24 h时的SCBF。对照组家兔不夹闭下2腰动脉,而是在测完正常时SCBF后,随即测定下1、下1、3、4、5腰动脉结扎后即刻、0.5、1、2、4、8、24 h时的SCBF。
1.3 尼氏染色
, http://www.100md.com
上述各组家兔于再灌流24 h,经左心室主动脉,先后用PB缓冲液和4%多聚甲醛进行灌注固定。参照鞠躬教授[6]介绍的焦油紫染色方法与Kiernan[7]介绍的天青-伊红染色法,二者结合形成天青-伊红-焦油紫染色法,对腰髓进行尼氏染色。染色结果为尼氏体和核仁呈紫蓝色,背景呈粉红色。
1.4 统计学处理
所得数据以x±s表示,均值间差异采用t检验。
2 结果
2.1 各组家兔SCBF变化
对照组家兔在上1、下1、下3、4、5腰动脉结扎后即刻L4节段SCBF明显下降(P<0.05),0.5 h后即恢复至正常水平。损伤各组下2腰动脉夹闭期间SCBF均为0 ml.100 g-1.min-1,放开血管夹后,缺血30 min组再灌流24 h内的SCBF与伤前相比没有显著差别(P>0.05),缺血60 min和缺血90 min组,再灌期间有不同程度的恢复,但较伤前仍明显下降(P<0.05);损伤各组各个时相点SCBF与对照组相比亦有不同程度的降低,均以缺血90 min组为最明显。结果见表1。
, 百拇医药
2.2 各组家兔腰髓尼氏染色结果
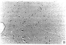
对照组家兔L4脊髓尼氏染色结果基本正常,见图1A;缺血30 min组、缺血60 min组、缺血90 min组脊髓病理改变逐渐加重,且以脊髓灰质受损更明显。具体结果见图1 B~D。
表1 各组家兔伤后L4节段脊髓血流量变化(qv/ml.100 g-1.min-1,x±s,n=5)
Tab 1 The changes of blood flow of spinal cord L4 in different
groups of rabbit (qv/ml.100 g-1.min-1,x±s,n=5) Group
, 百拇医药
Preischemia
Ischemia
Time after reperfusion (h)
0
0.5
1
2
4
8
24
Control
29.11±3.02
, http://www.100md.com 0
19.19±3.39▲
32.67±3.99
26.97±5.08
27.22±3.22
24.41±4.46
26.44±5.85
20.57±2.51
30 min
23.54±2.94
0
27.28±4.51
, 百拇医药
20.54±1.83*
17.62±1.45*
18.80±4.55
17.02±4.05
22.38±3.93
17.70±1.72
60 min
28.78±4.24
0
30.29±2.99*
19.84±2.60*▲
, 百拇医药
17.40±0.75*▲
20.81±3.26
19。84±4.02▲
20.18±3.00▲
15.08±4.64▲▲
90 min
32.92±6.13
0
22.22±4.70▲
21.75±5.82*▲
, 百拇医药
15.59±3.67*▲
15.97±3.94*▲▲
16.20±3.15▲▲
17.43±2.58*▲▲
11.84±2.49*▲▲
*:P<0.05, **:P<0.01 vs control;▲:P<0.05,▲▲:P<0.01 vs preischemia



, http://www.100md.com
图1 L4节段兔脊髓 (尼氏染色×100)
A:对照组(再灌流24 h时)神经元形态结构基本正常; B:缺血30 min组神经元周围可见不规则的透亮区; C:缺血60 min组多数神经元尼氏体溶解、变性坏死; D:缺血90 min组神经元明显坏死,灰质呈现海绵状改变
Fig 1 Spinal cord L4 of rabbit (Nissl′stain×100)
A:Control (24 h after reperfusion) the morphological structures of these neurons were normal generally; B:30 min ischemic group there were irregular transparent area around; C:60 min ischemic group there were dissolution of Nissl′s substance, degeneration and necrosis in most neurons; D:90 min ischemic group marked necrosis of neurons and spongy changes of gray matter
, http://www.100md.com
3 讨论
血流量变化是反映脊髓缺血损伤程度的直接依据,对照组家兔在上1、下1、下3、4、5腰动脉结扎后即刻,SCBF出现明显的下降,此后0.5 h时SCBF即明显恢复,并在其后24 h内未见明显的降低,说明对照组家兔L4脊髓组织没有明显缺血。用血管夹夹闭下2腰动脉后,氢清除曲线为一直线,证明L4脊髓供血被完全中断。夹闭30 min后,再灌流24 h内SCBF与伤前比较没有明显差别,说明缺血30 min组脊髓血流经过代偿能够基本恢复正常。缺血60 min组再灌流0.5 h开始家兔L4的SCBF即明显地低于伤前水平(P<0.05),缺血90 min组SCBF降低更明显(再灌流1~24 h,P<0.01),可见经过比较长时间的缺血损伤后,即使下2腰动脉血流再灌和/或机体的其它应激代偿,也不能使L4脊髓血流恢复正常。究其原因可能有:①脊髓经过较长时间的缺血损伤后,脊髓组织可能存在类似脑缺血中的“无复流现象”[8];②脊髓微循环调节紊乱,微血管内皮受损,TXA2/PGI2平衡失调,TXA2增加使微血管痉挛、血小板聚集,导致脊髓组织微循环障碍[5];③组织水肿、细胞外空间变形、组织内压增加致脊髓血流不畅等[9]。结果提示阻断下2腰动脉血流30、60、90 min可致腰髓轻、中、重不同程度的缺血。
, http://www.100md.com
尼氏染色结果能较好地反映脊髓灰质的病理改变情况。缺血60 min、90 min组脊髓组织存在明显的核固缩、尼氏体溶解、灰质海绵状改变、白质纤维空泡形成;缺血30 min组仅见轻度变性肿胀、尼氏体溶解。由此可见,脊髓灰质的病理改变严重程度依缺血再灌流损伤程度的不同而异,总体趋势为缺血90 min组>缺血60 min组>缺血30 min组>对照组。损伤各组家兔腰段脊髓白质的病理改变比脊髓灰质的病理改变均要轻得多,提示脊髓灰质比白质对缺血再灌流更敏感更易受损。这种病理改变规律与相应各组家兔SCBF的变化趋势一致,由此可见缺血时间越长,再灌流时SCBF下降越明显,病理损害也越重。说明减轻脊髓缺血再灌流损伤的关键是缩短脊髓缺血的时间,尽快实现脊髓再灌流,否则随脊髓缺血时间的延长,即使随后供应脊髓血流的血管实现再灌流,脊髓组织的病理损伤也未见能减轻。
*全军“九五”攻关项目,No.96L035
**伍亚民,男,33岁,助理研究员,博士研究生
, http://www.100md.com
参考文献
1 Tator C H, Felings M G. Review of the secondary injury theory of acute spinal cord trauma with emphasis on vascular mechanisms. J Neurosurg,1991,75(1):15
2 Marsala M, Sorkin L S, Yaksh T L. Transient spinal ischemia in rat: Characterization of spinal cord blood flow, extracellular amino acid release, and concurrent histopathological damage. J Cereb Blood Flow Metab,1994,14(4):604
3 Marsala M, Yaksh T L. Transient spinal cord ischemia in the rat: Charaterization of behavioral and histopathological consequences as a function of the duration of aortic occlusion. J Cereb Blood Flow Metab,1994,14(3):526
, http://www.100md.com
4 Young W. H2 clearance measurement of blood flow: A review of technique and polarographic principles. Stroke,1980,11(5):552
5 伍亚民,廖维宏.缺血再灌流对大鼠脊髓神经元放电的影响.第三军医大学学报,1996,18(4):320
6 鞠 躬,万选才,董新文 编著.神经解剖学方法.北京:人民卫生出版社,1985.25~30
7 Kiernan J A. Histological and histochemical methods:theory and practice. In:Kiernan J A ed. 2nd ed. Pergaman Press,1990.101~302
8 邢 新,郭恩覃.无复流现象.中华显微外科杂志,1994,17(4):303
9 Sykova E, Svoboda J, Polak J, et al. Extracellular volume fraction and diffusion characteristics during progressive ischemia and terminal anoxia in the spinal cord of rat. J Cereb Blood Flow Metab,1994,14(2):301
收稿:1998-10-30;修回:1999-01-22, http://www.100md.com
单位:伍亚民王正国 朱佩芳 廖维宏 陈恒胜 第三军医大学附属大坪医院野战外科研究所第三研究室 重庆,400042
关键词:脊髓损伤;缺血再灌流;脊髓血流量;病理学;家兔
第三军医大学学报990704 提 要 目的:研究缺血再灌流损伤脊髓血流量的变化及其与脊髓病理改变间的关系。方法:20只成年日本大耳白家兔随机分为对照组、缺血30 min组、缺血60 min组和缺血90 min组,用氢清除法测定脊髓血流量(SCBF),尼氏染色观察受损脊髓病理变化。结果:完全缺血时SCBF为0 ml.100 g-1.min-1,再灌流过程中各组SCBF较缺血时有不同程度的恢复,但较伤前仍有不同程度的下降,并以缺血60 min、90 min组下降明显;脊髓病理改变以灰质受损最明显,病变严重程度为缺血90 min组>缺血60 min组>缺血30 min组>对照组。结论:缺血时间越长,再灌流后SCBF下降越明显,病理损害也越重。
, 百拇医药
中图法分类号 R322.81;R619.9
The changes of spinal cord blood flow after ischemio-reperfusion and their relationship with pathological changes in rabbits *
Wu Yamin, Wang Zhengguo, Zhu Peifang, Liao Weihong, Chen Hengsheng
(Research Institute of Field Surgery, Third Military Medical University, Chongqing,400042)
Abstract Objective: To study the changes of spinal cord blood flow (SCBF) after ischemio-reperfusion injury of the spinal cord. Then the relationship between SCBF changes and the pathological changes of the spinal cord was investigated. Methods: 20 adult rabbits were randomized into the control, 30 min ischemia, 60 min ischemia and 90 min ischemia groups. SCBF was determined with hydrogen clearance method and the pathological changes of the spinal cord were observed after Nissl′s staining. Results: During ischemic period, SCBF was 0 ml.100 g-1.min-1. In the course of reperfusion, SCBF recovered in different degrees in 3 ischemic groups but remained lower than the preischemic level. Ischemia was more marked in the 60 min ischemia and 90 min ischemia group. The gray matter of the cord was severely damaged and the damage was the most severe in the 90 min ischemia group, second severe in the 60 min ischemia group, third severe in the 30 min ischemia group and least severe in the control. Conclusion: The longer the ischemia, the more marked the decrease of SCBF after reperfusion and the more severe the pathological changes.
, 百拇医药
Key words spinal cord injury; ischemio-reperfusion; spinal cord blood flow; pathology; rabbit
继发性脊髓损伤(Spinal cord injury,SCI)的重要机制是血管机制[1] 。脊髓血管损害、血循环障碍、组织缺血缺氧,导致一系列的生理、生化和形态结构的改变,进而导致代谢障碍、兴奋性氨基酸的神经毒性作用、离子平衡失调(如钙超载),引起急性细胞水肿和延迟性神经元死亡[2,3]。脊髓血流量(Spinal cord blood flow,SCBF)能较好地反映脊髓组织血循环、缺血缺氧状况。作者在一种新的成年家兔脊髓缺血再灌流损伤模型上,观察到缺血再灌流损伤脊髓的典型功能障碍情况,造成这种功能障碍的首要致伤因素无疑是SCBF的改变,但到底缺血再灌流损伤脊髓的血流变化如何?它对脊髓病理改变有何影响?尚不清楚。本研究对此进行了初步探讨。
, http://www.100md.com
1 材料与方法
1.1 动物模型与分组
20只日本大耳白家兔,体重(2.25±0.25)kg,雌雄不拘,随机分为对照组、缺血30 min组、缺血60 min组和缺血90 min组,每组5只。以选择性腰动脉阻断法制备脊髓缺血再灌流损伤模型。家兔用3%戊巴比妥钠麻醉(1 ml/kg)后,在无菌条件下,于左腹膜后间隙钝性分离出腹主动脉和腰动脉(紧邻左肾动脉的上位腰动脉命名为上1支,其下的五支腰动脉从头端至尾端依次命名为下1、下2、下3、下4、下5支),将上1和下1、下3、4、5腰动脉用1号丝线结扎,在此基础上,将未阻断下2腰动脉的家兔作为对照组,用血管夹分别夹闭下2腰动脉30、60、90 min的家兔分别作为缺血30 min组、缺血60 min组、缺血90 min组,放开血管夹即可造成腰髓缺血再灌流损伤。
, http://www.100md.com
1.2 SCBF测定
家兔在完成上述损伤模型的制备手术后,行气管插管术;并于L3~L4椎体行椎板切除术,暴露L4节段脊髓,用氢清除法测定其(深度2000 μm)SCBF[4,5]。具体步骤为:先测缺血前的SCBF,随后测定上1、下1、3、4、5腰动脉结扎后,用血管夹夹闭下2腰动脉期间的SCBF,待夹闭血管到预定时间(30、60、90 min)后,取走血管夹,而后测定下2腰动脉再灌流即刻、0.5、1、2、4、8、24 h时的SCBF。对照组家兔不夹闭下2腰动脉,而是在测完正常时SCBF后,随即测定下1、下1、3、4、5腰动脉结扎后即刻、0.5、1、2、4、8、24 h时的SCBF。
1.3 尼氏染色
, http://www.100md.com
上述各组家兔于再灌流24 h,经左心室主动脉,先后用PB缓冲液和4%多聚甲醛进行灌注固定。参照鞠躬教授[6]介绍的焦油紫染色方法与Kiernan[7]介绍的天青-伊红染色法,二者结合形成天青-伊红-焦油紫染色法,对腰髓进行尼氏染色。染色结果为尼氏体和核仁呈紫蓝色,背景呈粉红色。
1.4 统计学处理
所得数据以x±s表示,均值间差异采用t检验。
2 结果
2.1 各组家兔SCBF变化
对照组家兔在上1、下1、下3、4、5腰动脉结扎后即刻L4节段SCBF明显下降(P<0.05),0.5 h后即恢复至正常水平。损伤各组下2腰动脉夹闭期间SCBF均为0 ml.100 g-1.min-1,放开血管夹后,缺血30 min组再灌流24 h内的SCBF与伤前相比没有显著差别(P>0.05),缺血60 min和缺血90 min组,再灌期间有不同程度的恢复,但较伤前仍明显下降(P<0.05);损伤各组各个时相点SCBF与对照组相比亦有不同程度的降低,均以缺血90 min组为最明显。结果见表1。
, 百拇医药
2.2 各组家兔腰髓尼氏染色结果
对照组家兔L4脊髓尼氏染色结果基本正常,见图1A;缺血30 min组、缺血60 min组、缺血90 min组脊髓病理改变逐渐加重,且以脊髓灰质受损更明显。具体结果见图1 B~D。
表1 各组家兔伤后L4节段脊髓血流量变化(qv/ml.100 g-1.min-1,x±s,n=5)
Tab 1 The changes of blood flow of spinal cord L4 in different
groups of rabbit (qv/ml.100 g-1.min-1,x±s,n=5) Group
, 百拇医药
Preischemia
Ischemia
Time after reperfusion (h)
0
0.5
1
2
4
8
24
Control
29.11±3.02
, http://www.100md.com 0
19.19±3.39▲
32.67±3.99
26.97±5.08
27.22±3.22
24.41±4.46
26.44±5.85
20.57±2.51
30 min
23.54±2.94
0
27.28±4.51
, 百拇医药
20.54±1.83*
17.62±1.45*
18.80±4.55
17.02±4.05
22.38±3.93
17.70±1.72
60 min
28.78±4.24
0
30.29±2.99*
19.84±2.60*▲
, 百拇医药
17.40±0.75*▲
20.81±3.26
19。84±4.02▲
20.18±3.00▲
15.08±4.64▲▲
90 min
32.92±6.13
0
22.22±4.70▲
21.75±5.82*▲
, 百拇医药
15.59±3.67*▲
15.97±3.94*▲▲
16.20±3.15▲▲
17.43±2.58*▲▲
11.84±2.49*▲▲
*:P<0.05, **:P<0.01 vs control;▲:P<0.05,▲▲:P<0.01 vs preischemia
, http://www.100md.com
图1 L4节段兔脊髓 (尼氏染色×100)
A:对照组(再灌流24 h时)神经元形态结构基本正常; B:缺血30 min组神经元周围可见不规则的透亮区; C:缺血60 min组多数神经元尼氏体溶解、变性坏死; D:缺血90 min组神经元明显坏死,灰质呈现海绵状改变
Fig 1 Spinal cord L4 of rabbit (Nissl′stain×100)
A:Control (24 h after reperfusion) the morphological structures of these neurons were normal generally; B:30 min ischemic group there were irregular transparent area around; C:60 min ischemic group there were dissolution of Nissl′s substance, degeneration and necrosis in most neurons; D:90 min ischemic group marked necrosis of neurons and spongy changes of gray matter
, http://www.100md.com
3 讨论
血流量变化是反映脊髓缺血损伤程度的直接依据,对照组家兔在上1、下1、下3、4、5腰动脉结扎后即刻,SCBF出现明显的下降,此后0.5 h时SCBF即明显恢复,并在其后24 h内未见明显的降低,说明对照组家兔L4脊髓组织没有明显缺血。用血管夹夹闭下2腰动脉后,氢清除曲线为一直线,证明L4脊髓供血被完全中断。夹闭30 min后,再灌流24 h内SCBF与伤前比较没有明显差别,说明缺血30 min组脊髓血流经过代偿能够基本恢复正常。缺血60 min组再灌流0.5 h开始家兔L4的SCBF即明显地低于伤前水平(P<0.05),缺血90 min组SCBF降低更明显(再灌流1~24 h,P<0.01),可见经过比较长时间的缺血损伤后,即使下2腰动脉血流再灌和/或机体的其它应激代偿,也不能使L4脊髓血流恢复正常。究其原因可能有:①脊髓经过较长时间的缺血损伤后,脊髓组织可能存在类似脑缺血中的“无复流现象”[8];②脊髓微循环调节紊乱,微血管内皮受损,TXA2/PGI2平衡失调,TXA2增加使微血管痉挛、血小板聚集,导致脊髓组织微循环障碍[5];③组织水肿、细胞外空间变形、组织内压增加致脊髓血流不畅等[9]。结果提示阻断下2腰动脉血流30、60、90 min可致腰髓轻、中、重不同程度的缺血。
, http://www.100md.com
尼氏染色结果能较好地反映脊髓灰质的病理改变情况。缺血60 min、90 min组脊髓组织存在明显的核固缩、尼氏体溶解、灰质海绵状改变、白质纤维空泡形成;缺血30 min组仅见轻度变性肿胀、尼氏体溶解。由此可见,脊髓灰质的病理改变严重程度依缺血再灌流损伤程度的不同而异,总体趋势为缺血90 min组>缺血60 min组>缺血30 min组>对照组。损伤各组家兔腰段脊髓白质的病理改变比脊髓灰质的病理改变均要轻得多,提示脊髓灰质比白质对缺血再灌流更敏感更易受损。这种病理改变规律与相应各组家兔SCBF的变化趋势一致,由此可见缺血时间越长,再灌流时SCBF下降越明显,病理损害也越重。说明减轻脊髓缺血再灌流损伤的关键是缩短脊髓缺血的时间,尽快实现脊髓再灌流,否则随脊髓缺血时间的延长,即使随后供应脊髓血流的血管实现再灌流,脊髓组织的病理损伤也未见能减轻。
*全军“九五”攻关项目,No.96L035
**伍亚民,男,33岁,助理研究员,博士研究生
, http://www.100md.com
参考文献
1 Tator C H, Felings M G. Review of the secondary injury theory of acute spinal cord trauma with emphasis on vascular mechanisms. J Neurosurg,1991,75(1):15
2 Marsala M, Sorkin L S, Yaksh T L. Transient spinal ischemia in rat: Characterization of spinal cord blood flow, extracellular amino acid release, and concurrent histopathological damage. J Cereb Blood Flow Metab,1994,14(4):604
3 Marsala M, Yaksh T L. Transient spinal cord ischemia in the rat: Charaterization of behavioral and histopathological consequences as a function of the duration of aortic occlusion. J Cereb Blood Flow Metab,1994,14(3):526
, http://www.100md.com
4 Young W. H2 clearance measurement of blood flow: A review of technique and polarographic principles. Stroke,1980,11(5):552
5 伍亚民,廖维宏.缺血再灌流对大鼠脊髓神经元放电的影响.第三军医大学学报,1996,18(4):320
6 鞠 躬,万选才,董新文 编著.神经解剖学方法.北京:人民卫生出版社,1985.25~30
7 Kiernan J A. Histological and histochemical methods:theory and practice. In:Kiernan J A ed. 2nd ed. Pergaman Press,1990.101~302
8 邢 新,郭恩覃.无复流现象.中华显微外科杂志,1994,17(4):303
9 Sykova E, Svoboda J, Polak J, et al. Extracellular volume fraction and diffusion characteristics during progressive ischemia and terminal anoxia in the spinal cord of rat. J Cereb Blood Flow Metab,1994,14(2):301
收稿:1998-10-30;修回:1999-01-22, http://www.100md.com