阴囊Paget病的临床病理研究
作者:孔祥田 李竞贤 薛兆英 曾荔 沈立军 夏同礼 顾方六 郭应禄
单位:100034 北京医科大学第一医院泌尿外科研究所(孔祥田、薛兆英、曾荔、夏同礼、顾方六、郭应禄),病理科(李竞贤、沈立军)
关键词:佩吉特病,乳腺外;阴囊;病理学,临床;免疫组织化学
中华外科杂志990713 【摘要】 目的 探讨阴囊Paget病的临床病理特点与影响预后的因素。 方法 对11例Paget特病患者的临床病理资料进行回顾性研究。 结果 阴囊Paget病易累及毛囊和汗腺(8/11)但不易发生转移。扩大的病灶切除术是原发及局部再发Paget病治疗的首选方法。10例患者平均随访38.6个月,无死亡病例。 结论 Paget病累及皮肤附属器并不是预后差的指标,但侵及真皮则有转移的可能。
Clinicopathologic study of 11 patients with Paget′s disease of scrotum
, http://www.100md.com
KONG Xiangtian, LI Jingxian, XUE Zhaoying, et al.
Departments of Urology and Pathology, First Hospital of Beijing Medical University, Beijing 100034.
【Abstract】 Objective To probe the relationship of clinicopathologic presentations and prognosis of Paget′s disease primarily involving the scrotum. Methods 11 cases of scrotal Paget′s disease were studied retrospectively from 1984 to 1997. PAS was stained and EMA, S-100, HMB45, CEA and CA15-3 were immunostained in all cases for the differential diagnosis from Bowen′s disease and malignant melanoma. Results Six of 11 cases involved hair follicle and/or sweat glands, and 3 cases involved dermis (one had metastasis of left superficial and deep inguinal lymph nodes, and left internal iliac lymph nodes). Paget′s cells were positive for PAS(11/11), EMA(11/11), CEA(6/11), CA15-3(11/11), and negative for S-100, HMB45. Wide local excision of the lesions was perfomed in 10 of 11 patients both for primary disease and recurrent disease. 3 of the 10 patients underwent lymph nodes resection and metastasis was found in 1 case pathologically. One patient accepted chemotherapy and died, from respiratory insuficiency after one month. The other 10 patients were followed up for 6 to 127 months and no patient died of Paget′s disease. Conclusions Involvement of hair follicles and sweat glands by Paget′s cell does not influence the prognosis.However, invasion of dermis by Paget′s cells may suggest possible metastasis.
, 百拇医药
【Key words】 Paget′s disease,extramammary Scrotum Pathology,clinical Immunohistochemistry
Paget病主要发生于乳腺。乳腺外Paget病比较少见。我院1984~1997年底共收治阴囊Paget病11例。结合文献复习,我们对此病的临床表现、诊断、鉴别诊断、治疗和预后状况进行了总结,旨在提高对这种少见疾病的认识和诊断水平,改善治疗效果。
资料与方法
总结1984~1997年我院收治的11例阴囊Paget病的临床与病理资料。复查全部病理切片并做了PAS组织化学染色和用SP法做了上皮膜抗原(EMA)、癌胚抗原(CEA)、CA15-3、S-100、HMB45免疫组织化学染色以确定诊断并除外Bowen病和皮肤恶性黑色素瘤的可能。对11例患者进行了不同时间的随访以了解治疗效果。
, 百拇医药
结果
1.本组阴囊Paget病的临床表现:见表1。
表1 11例阴囊Paget病患者的临床表现 病 例
年龄*(岁)
病史(年)
症状与体征
曾诊断
1
47
2
左阴囊瘙痒、刺痛、红肿、脱屑、糜烂、渗液
湿疹
, 百拇医药
2
64
6
左阴囊红斑、糜烂、溃疡、脓性分泌物
湿疹
3
66
10
左阴囊痒、红斑、糜烂、渗液
湿疹
4
55
10
, 百拇医药
右阴囊、阴茎痒、脱屑、糜烂溃疡、脓性分泌物
湿疹
5
69
4
右阴囊红丘疹脱屑、红肿、破溃
-
6
62
4
双阴囊红丘疹、脱屑、偶疼、色素脱失
皮炎
7
, 百拇医药
57
10
左阴囊红肿、痒、渗液
湿疹
8
55
6
右阴囊痒、渗液
湿疹
9
60
7
右阴囊、阴茎痒红肿、破溃、疼痛、渗液
, 百拇医药
皮炎
10
67
1
左阴囊、阴茎痒、红肿、破溃、渗液、色素消退
皮炎
11
69
2
右阴囊痒、渗液
湿疹
* 指初次诊断Paget病的年龄 2.阴囊Paget病的病理特征:与乳腺Paget病的表现相同,表皮内可见大的、单个或成簇甚至成片的Paget细胞浸润,分布可达表皮全层,但以中层和基底层多见。这些细胞胞浆呈细颗粒状或透明,核较大,空泡状且不规则,位于细胞中心。核仁明显。偶见核分裂像。Paget细胞的这些特点与周围角化上皮细胞有明显的反差。真皮层可见数量不等的淋巴细胞浸润。
, 百拇医药
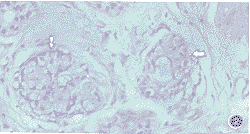
11位患者中,Paget细胞只限于表皮内的2例,只累及毛囊的3例(图1),累及毛囊并浸润真皮的1例,累及汗腺(图2)且浸润真皮(图3)的1例,同时累及毛囊与汗腺的3例,侵及真皮并伴有腹股沟淋巴结、卵圆窝淋巴结、闭孔淋巴结、髂外淋巴结转移的1例(图4)。
图1阴囊皮肤Paget氏病累及毛囊(箭头所示)。Paget氏细胞EMA(+++)SP免疫组化染色×100
图2阴囊Paget氏病累及汗腺(箭头所示)HE×100
图3阴囊Paget氏病浸润真皮,Paget氏细胞CA15-3(+++)SP免疫组化染色×100
, http://www.100md.com
图4阴囊Paget氏病腹股沟淋巴结转移,Paget氏细胞CA15-3(+++)SP免疫组化染色×100
组织化学染色显示,所有病例的Paget病细胞PAS阳性。免疫组织化学染色Paget细胞S-100阴性、黑色素HMB45阴性、EMA阳性(11/11,图1)、CEA阳性(6/11)、CA15-3阳性(11/11,图3,4)。
3.Paget病变的范围与治疗方式的选择:11位患者除1例(例4)只做过2次活检后化疗外,其余10例均接受了1~3次手术治疗。根据病灶的大小与范围不同,手术包括病灶切除术与植皮术、阴茎全切尿道会阴部造口术、淋巴结清扫术(表2)。
表2 阴囊Paget病的病灶范围与手术范围 病例
病变范围
第一次手术范围
, http://www.100md.com
术后病理
1
左阴囊,右腋窝,面积不详
病灶切除
侵及真皮,边缘未切净
2
左阴囊5 cm×4.5 cm
病灶切除
累及毛囊与汗腺,边缘净
3
左阴囊,不详
病灶切除
, 百拇医药 累及汗腺及真皮,边缘净
4
右阴囊,阴茎广泛糜烂
活检,未手术
表皮Paget病
5
右阴囊6 cm×4 cm
病灶加腹股沟淋巴结切除
累及毛囊汗腺,淋巴结无转移(0/2)
6
双阴囊均为3 cm×2 cm
病灶切除
, 百拇医药
累及毛囊及真皮,边缘净
7
左阴囊4 cm×4 cm
病灶切除
累及毛囊,边缘净
8
右阴囊3 cm×2 cm
病灶切除
累及毛囊,边缘净
9
右阴囊阴茎11 cm×7 cm
阴囊病灶切除、阴茎全切、尿道口会阴造瘘术、右睾丸切除术、右腹股沟淋巴结清扫术
, 百拇医药
累及汗腺导管和毛囊,腹股沟淋巴结无转移(0/2)
10
左阴囊阴茎5.5 cm×4 cm
病灶切除加右睾丸切除术
累及毛囊,边缘净
11
右阴囊,不详
病灶切除
边缘不净
4.再发与转移的治疗:10例接受手术治疗的患者在随访中有3例(例1,例3,例10)术后再发。例1第一次手术边缘切除不净,21个月后接受了第二次手术。在距第一次手术14个月时发现左腋窝有新生病变,提示是一个多发的乳腺外Paget病。第二次手术切除了左腋窝病灶、左阴囊病灶及两个肿大的左腹股沟淋巴结,病理示有转移(2/2, 图4)。14天后又接受了第三次手术——左腹股沟和左髂窝淋巴结清扫术。此次共切除10个淋巴结,病理证实全部有转移(卵圆窝1/1,左髂外3/3,股血管鞘1/1,闭孔2/2,腹股沟浅1/1,腹股沟深2/2)。术后至今16个月,腹部CT和B超均未发现残留与转移病灶,患者恢复正常工作能力。例3第一次手术后7年于阴囊及左腹股沟区又出现10 cm×4 cm皮损,同时阴茎包皮见2 cm×2 cm皮损,活检证实为Paget病。于第一次手术后10年接受了第二次手术——病灶扩大切除及植皮术。术后至今6个月无再发与转移。例10第一次术后2.5年于阴茎部再发而行阴茎病灶切除术。随访至今11.25年无瘤生存。
, http://www.100md.com
5.其它治疗: 例4曾做过一次激光治疗,治疗后水肿消失、病灶结痂。而后接受了25天的化疗(平阳霉素10 mg,地塞米松5 mg),未见好转。死于呼吸衰竭。例11第二次阴囊病灶接受过放疗。随访9.3年无再发与转移。
6.预后: 11例中1例死于与Paget病无关的呼吸功能衰竭。其余10例随访6个月至127个月不等(平均38.6个月),无死亡病例。
讨论
1.Paget病组织发生的几个学说: 有关Paget病的组织来源至今还没有定论,因此出现了几个学说以解释此病的发生。(1)顶浆分泌腺演化学说[1]:这是本世纪70年代提出的并被最近的研究所证实。研究发现表皮内成簇排列的Paget细胞显示腺腔样分化且可与皮肤附属器结构相伴行,如汗腺和毛囊皮脂腺,如本组中的例2组织化学、免疫组织化学和超微结构研究显示Paget细胞和顶浆分泌腺的表现非常相似,提示Paget细胞要么来源于顶浆分泌腺,要么向顶浆分泌腺分化。此学说可以解释为什么Paget病易发生于顶浆分泌腺分布多的区域以及这些部位多处同时发病的现象,如例1。(2)迁移学说:乳腺Paget病被认为是乳腺导管癌细胞迁移到表皮形成的[2]。因乳腺Paget细胞与导管癌细胞有许多共同的表达产物,如CA15-3[1],C-erbB2,等。这个学说得到了许多学者的认可。乳腺外Paget病的发生同样有人持这种观点,认为是病变的表皮下覆盖的恶性肿瘤转移至表皮所致[3]。这似乎可以解释直肠癌伴发的肛周Paget病以及少数前列腺癌伴发的阴囊Paget病。但无法解释乳腺外Paget病不伴有内脏器官恶性肿瘤的大多数病例。因此,人们对这个学说持有异议。(3)表皮内前体细胞癌变学说[2]:即表皮内存在Paget细胞的前体成分,在一定条件下恶变。这可以解释这样两种情况:一是皮肤Paget病不伴有内脏器官恶性肿瘤,如例3。二是皮肤多发Paget病,如例1,肿瘤发生的复杂性及表现的多样性是用一种学说无法阐明的,因此出现了有一定临床及实验证据为基础的多种学说。应该说每个学说都有其合理性,但都不能解释疾病的全部。
, 百拇医药
2.阴囊Paget病的临床特征及诊断:结合文献报告[3,4]和本组病例,发现阴囊Paget病有如下特点:(1)主要见于老年人,发病平均年龄66岁(47~78岁)。(2)此病以阴囊皮肤瘙痒、红斑、脱屑或结痂逐渐发展到糜烂、溃疡伴有浆液性渗出物为主要临床表现。病灶边界清楚,很象特异性湿疹或接触性皮炎,但按这两种病治疗6~8周后仍无效者应想到Paget病的可能性并及早进行活检。(3)症状持续时间很长,1~10年不等。(4)诊断必须通过病灶活检病理检查证实。(5)乳腺Paget病常常伴有其下面的乳腺癌,而阴囊Paget病只10%的病例伴有内脏器官的恶性病变,如前列腺癌,膀胱癌,肾癌等。组织学诊断Paget病应除外Bowen氏病和表皮内扩散的恶性黑色素瘤。可用组织化学染色和免疫组织化学染色加以鉴别[2,3]。
3.阴囊Paget病的治疗与预后:扩大的病灶切除术仍是阴囊Paget病的主要治疗方法。有资料表明距离肉眼可见病变1~2 cm切除病灶可取得很好的治疗效果[3]。当然,如有条件最好术中对切口边缘行冰冻检查以明确是否切除干净。此外,是否进一步要做腹股沟淋巴结清扫术尚无定论。一种意见是只要病理提示有表皮或皮肤附属器浸润,即使没有淋巴结受侵的证据,也要做浅层和深层腹股沟淋巴结、髂血管淋巴结及盆腔淋巴结清扫术[3]。另一种意见是没有淋巴结受侵可暂缓行淋巴结清扫术,密切随访。若有淋巴结受侵则行淋巴结清扫术。应注意的是不论是否切除干净,Paget病的局部再发远比转移多见。故密切随访注意新出现的皮损并尽早活检及手术乃是改善疗效的最有效办法。
, 百拇医药
对于拒绝手术的患者,可用1%的5-氟脲嘧啶软膏涂于患处以缓解症状,但不能去除Paget细胞[3]。此外,局部放疗[5]、化疗[6]以及激光治疗[7]近几年均有报告,效果也较好。
阴囊Paget病的预后取决于病变浸润及转移的程度和是否伴有内脏器官的恶性肿瘤。病变局限于皮肤的预后最好。有1例术后16年尽管多处再发但仍存活。有淋巴结转移的在行淋巴结清扫术后随访1~2年仍健在。伴有前列腺癌的2例分别在术后7、8个月死于肿瘤,而伴有肾癌的1例术后3年却无瘤生存[3]。总的趋势是局限于表皮或皮肤的Paget病比伴有内脏器官恶性肿瘤的预后好。
参考文献
1 Tsuji T. Mammary and extramammary Paget′s disease: expression of CA15-3, Ka-93, Ca19-9 and CD44 in paget cells and adjacent normal skin. Br J Dermatol, 1995, 132:7-13.
, 百拇医药
2 Suster S. Clear cell tumors of the skin. Semin Diag Pathol, 1996, 13:40-59.
3 Perez MA, LaRossa DD and Tomaszewski JE. Paget′s disease primarily involving the scrotum. Cancer, 1989, 63:970-975.
4 Peters KM, Ordona R, Gonzalez JA. Extramammary Paget′s disease requiring scrotectomy and scrotal reconstruction. Br J Urol, 1996, 77:758-760.
5 Besa P, Rich TA, Delclos L, et al. Extramammary Paget′s disease of the perineal skin: role of radiotherapy. Int J Radiat Oncol Biol Phys, 1992, 24:73-8.
, 百拇医药
6 Voigt H, Basermann R, Nathrath W. Cytoreductive combination chemotherapy for regionally advanced unresectable extramammary Paget carcinoma. Cancer, 1992, 70:704-708.
7 Weese D, Murphy J, Zimmern PE. YAG laser treatment of extramammary Paget′s disease of penis and scrotum. J Urol (Paris), 1993, 99:269-271.
(收稿:1998-08-18 修回:1999-01-26), http://www.100md.com
单位:100034 北京医科大学第一医院泌尿外科研究所(孔祥田、薛兆英、曾荔、夏同礼、顾方六、郭应禄),病理科(李竞贤、沈立军)
关键词:佩吉特病,乳腺外;阴囊;病理学,临床;免疫组织化学
中华外科杂志990713 【摘要】 目的 探讨阴囊Paget病的临床病理特点与影响预后的因素。 方法 对11例Paget特病患者的临床病理资料进行回顾性研究。 结果 阴囊Paget病易累及毛囊和汗腺(8/11)但不易发生转移。扩大的病灶切除术是原发及局部再发Paget病治疗的首选方法。10例患者平均随访38.6个月,无死亡病例。 结论 Paget病累及皮肤附属器并不是预后差的指标,但侵及真皮则有转移的可能。
Clinicopathologic study of 11 patients with Paget′s disease of scrotum
, http://www.100md.com
KONG Xiangtian, LI Jingxian, XUE Zhaoying, et al.
Departments of Urology and Pathology, First Hospital of Beijing Medical University, Beijing 100034.
【Abstract】 Objective To probe the relationship of clinicopathologic presentations and prognosis of Paget′s disease primarily involving the scrotum. Methods 11 cases of scrotal Paget′s disease were studied retrospectively from 1984 to 1997. PAS was stained and EMA, S-100, HMB45, CEA and CA15-3 were immunostained in all cases for the differential diagnosis from Bowen′s disease and malignant melanoma. Results Six of 11 cases involved hair follicle and/or sweat glands, and 3 cases involved dermis (one had metastasis of left superficial and deep inguinal lymph nodes, and left internal iliac lymph nodes). Paget′s cells were positive for PAS(11/11), EMA(11/11), CEA(6/11), CA15-3(11/11), and negative for S-100, HMB45. Wide local excision of the lesions was perfomed in 10 of 11 patients both for primary disease and recurrent disease. 3 of the 10 patients underwent lymph nodes resection and metastasis was found in 1 case pathologically. One patient accepted chemotherapy and died, from respiratory insuficiency after one month. The other 10 patients were followed up for 6 to 127 months and no patient died of Paget′s disease. Conclusions Involvement of hair follicles and sweat glands by Paget′s cell does not influence the prognosis.However, invasion of dermis by Paget′s cells may suggest possible metastasis.
, 百拇医药
【Key words】 Paget′s disease,extramammary Scrotum Pathology,clinical Immunohistochemistry
Paget病主要发生于乳腺。乳腺外Paget病比较少见。我院1984~1997年底共收治阴囊Paget病11例。结合文献复习,我们对此病的临床表现、诊断、鉴别诊断、治疗和预后状况进行了总结,旨在提高对这种少见疾病的认识和诊断水平,改善治疗效果。
资料与方法
总结1984~1997年我院收治的11例阴囊Paget病的临床与病理资料。复查全部病理切片并做了PAS组织化学染色和用SP法做了上皮膜抗原(EMA)、癌胚抗原(CEA)、CA15-3、S-100、HMB45免疫组织化学染色以确定诊断并除外Bowen病和皮肤恶性黑色素瘤的可能。对11例患者进行了不同时间的随访以了解治疗效果。
, 百拇医药
结果
1.本组阴囊Paget病的临床表现:见表1。
表1 11例阴囊Paget病患者的临床表现 病 例
年龄*(岁)
病史(年)
症状与体征
曾诊断
1
47
2
左阴囊瘙痒、刺痛、红肿、脱屑、糜烂、渗液
湿疹
, 百拇医药
2
64
6
左阴囊红斑、糜烂、溃疡、脓性分泌物
湿疹
3
66
10
左阴囊痒、红斑、糜烂、渗液
湿疹
4
55
10
, 百拇医药
右阴囊、阴茎痒、脱屑、糜烂溃疡、脓性分泌物
湿疹
5
69
4
右阴囊红丘疹脱屑、红肿、破溃
-
6
62
4
双阴囊红丘疹、脱屑、偶疼、色素脱失
皮炎
7
, 百拇医药
57
10
左阴囊红肿、痒、渗液
湿疹
8
55
6
右阴囊痒、渗液
湿疹
9
60
7
右阴囊、阴茎痒红肿、破溃、疼痛、渗液
, 百拇医药
皮炎
10
67
1
左阴囊、阴茎痒、红肿、破溃、渗液、色素消退
皮炎
11
69
2
右阴囊痒、渗液
湿疹
* 指初次诊断Paget病的年龄 2.阴囊Paget病的病理特征:与乳腺Paget病的表现相同,表皮内可见大的、单个或成簇甚至成片的Paget细胞浸润,分布可达表皮全层,但以中层和基底层多见。这些细胞胞浆呈细颗粒状或透明,核较大,空泡状且不规则,位于细胞中心。核仁明显。偶见核分裂像。Paget细胞的这些特点与周围角化上皮细胞有明显的反差。真皮层可见数量不等的淋巴细胞浸润。
, 百拇医药
11位患者中,Paget细胞只限于表皮内的2例,只累及毛囊的3例(图1),累及毛囊并浸润真皮的1例,累及汗腺(图2)且浸润真皮(图3)的1例,同时累及毛囊与汗腺的3例,侵及真皮并伴有腹股沟淋巴结、卵圆窝淋巴结、闭孔淋巴结、髂外淋巴结转移的1例(图4)。
图1阴囊皮肤Paget氏病累及毛囊(箭头所示)。Paget氏细胞EMA(+++)SP免疫组化染色×100
图2阴囊Paget氏病累及汗腺(箭头所示)HE×100
图3阴囊Paget氏病浸润真皮,Paget氏细胞CA15-3(+++)SP免疫组化染色×100
, http://www.100md.com
图4阴囊Paget氏病腹股沟淋巴结转移,Paget氏细胞CA15-3(+++)SP免疫组化染色×100
组织化学染色显示,所有病例的Paget病细胞PAS阳性。免疫组织化学染色Paget细胞S-100阴性、黑色素HMB45阴性、EMA阳性(11/11,图1)、CEA阳性(6/11)、CA15-3阳性(11/11,图3,4)。
3.Paget病变的范围与治疗方式的选择:11位患者除1例(例4)只做过2次活检后化疗外,其余10例均接受了1~3次手术治疗。根据病灶的大小与范围不同,手术包括病灶切除术与植皮术、阴茎全切尿道会阴部造口术、淋巴结清扫术(表2)。
表2 阴囊Paget病的病灶范围与手术范围 病例
病变范围
第一次手术范围
, http://www.100md.com
术后病理
1
左阴囊,右腋窝,面积不详
病灶切除
侵及真皮,边缘未切净
2
左阴囊5 cm×4.5 cm
病灶切除
累及毛囊与汗腺,边缘净
3
左阴囊,不详
病灶切除
, 百拇医药 累及汗腺及真皮,边缘净
4
右阴囊,阴茎广泛糜烂
活检,未手术
表皮Paget病
5
右阴囊6 cm×4 cm
病灶加腹股沟淋巴结切除
累及毛囊汗腺,淋巴结无转移(0/2)
6
双阴囊均为3 cm×2 cm
病灶切除
, 百拇医药
累及毛囊及真皮,边缘净
7
左阴囊4 cm×4 cm
病灶切除
累及毛囊,边缘净
8
右阴囊3 cm×2 cm
病灶切除
累及毛囊,边缘净
9
右阴囊阴茎11 cm×7 cm
阴囊病灶切除、阴茎全切、尿道口会阴造瘘术、右睾丸切除术、右腹股沟淋巴结清扫术
, 百拇医药
累及汗腺导管和毛囊,腹股沟淋巴结无转移(0/2)
10
左阴囊阴茎5.5 cm×4 cm
病灶切除加右睾丸切除术
累及毛囊,边缘净
11
右阴囊,不详
病灶切除
边缘不净
4.再发与转移的治疗:10例接受手术治疗的患者在随访中有3例(例1,例3,例10)术后再发。例1第一次手术边缘切除不净,21个月后接受了第二次手术。在距第一次手术14个月时发现左腋窝有新生病变,提示是一个多发的乳腺外Paget病。第二次手术切除了左腋窝病灶、左阴囊病灶及两个肿大的左腹股沟淋巴结,病理示有转移(2/2, 图4)。14天后又接受了第三次手术——左腹股沟和左髂窝淋巴结清扫术。此次共切除10个淋巴结,病理证实全部有转移(卵圆窝1/1,左髂外3/3,股血管鞘1/1,闭孔2/2,腹股沟浅1/1,腹股沟深2/2)。术后至今16个月,腹部CT和B超均未发现残留与转移病灶,患者恢复正常工作能力。例3第一次手术后7年于阴囊及左腹股沟区又出现10 cm×4 cm皮损,同时阴茎包皮见2 cm×2 cm皮损,活检证实为Paget病。于第一次手术后10年接受了第二次手术——病灶扩大切除及植皮术。术后至今6个月无再发与转移。例10第一次术后2.5年于阴茎部再发而行阴茎病灶切除术。随访至今11.25年无瘤生存。
, http://www.100md.com
5.其它治疗: 例4曾做过一次激光治疗,治疗后水肿消失、病灶结痂。而后接受了25天的化疗(平阳霉素10 mg,地塞米松5 mg),未见好转。死于呼吸衰竭。例11第二次阴囊病灶接受过放疗。随访9.3年无再发与转移。
6.预后: 11例中1例死于与Paget病无关的呼吸功能衰竭。其余10例随访6个月至127个月不等(平均38.6个月),无死亡病例。
讨论
1.Paget病组织发生的几个学说: 有关Paget病的组织来源至今还没有定论,因此出现了几个学说以解释此病的发生。(1)顶浆分泌腺演化学说[1]:这是本世纪70年代提出的并被最近的研究所证实。研究发现表皮内成簇排列的Paget细胞显示腺腔样分化且可与皮肤附属器结构相伴行,如汗腺和毛囊皮脂腺,如本组中的例2组织化学、免疫组织化学和超微结构研究显示Paget细胞和顶浆分泌腺的表现非常相似,提示Paget细胞要么来源于顶浆分泌腺,要么向顶浆分泌腺分化。此学说可以解释为什么Paget病易发生于顶浆分泌腺分布多的区域以及这些部位多处同时发病的现象,如例1。(2)迁移学说:乳腺Paget病被认为是乳腺导管癌细胞迁移到表皮形成的[2]。因乳腺Paget细胞与导管癌细胞有许多共同的表达产物,如CA15-3[1],C-erbB2,等。这个学说得到了许多学者的认可。乳腺外Paget病的发生同样有人持这种观点,认为是病变的表皮下覆盖的恶性肿瘤转移至表皮所致[3]。这似乎可以解释直肠癌伴发的肛周Paget病以及少数前列腺癌伴发的阴囊Paget病。但无法解释乳腺外Paget病不伴有内脏器官恶性肿瘤的大多数病例。因此,人们对这个学说持有异议。(3)表皮内前体细胞癌变学说[2]:即表皮内存在Paget细胞的前体成分,在一定条件下恶变。这可以解释这样两种情况:一是皮肤Paget病不伴有内脏器官恶性肿瘤,如例3。二是皮肤多发Paget病,如例1,肿瘤发生的复杂性及表现的多样性是用一种学说无法阐明的,因此出现了有一定临床及实验证据为基础的多种学说。应该说每个学说都有其合理性,但都不能解释疾病的全部。
, 百拇医药
2.阴囊Paget病的临床特征及诊断:结合文献报告[3,4]和本组病例,发现阴囊Paget病有如下特点:(1)主要见于老年人,发病平均年龄66岁(47~78岁)。(2)此病以阴囊皮肤瘙痒、红斑、脱屑或结痂逐渐发展到糜烂、溃疡伴有浆液性渗出物为主要临床表现。病灶边界清楚,很象特异性湿疹或接触性皮炎,但按这两种病治疗6~8周后仍无效者应想到Paget病的可能性并及早进行活检。(3)症状持续时间很长,1~10年不等。(4)诊断必须通过病灶活检病理检查证实。(5)乳腺Paget病常常伴有其下面的乳腺癌,而阴囊Paget病只10%的病例伴有内脏器官的恶性病变,如前列腺癌,膀胱癌,肾癌等。组织学诊断Paget病应除外Bowen氏病和表皮内扩散的恶性黑色素瘤。可用组织化学染色和免疫组织化学染色加以鉴别[2,3]。
3.阴囊Paget病的治疗与预后:扩大的病灶切除术仍是阴囊Paget病的主要治疗方法。有资料表明距离肉眼可见病变1~2 cm切除病灶可取得很好的治疗效果[3]。当然,如有条件最好术中对切口边缘行冰冻检查以明确是否切除干净。此外,是否进一步要做腹股沟淋巴结清扫术尚无定论。一种意见是只要病理提示有表皮或皮肤附属器浸润,即使没有淋巴结受侵的证据,也要做浅层和深层腹股沟淋巴结、髂血管淋巴结及盆腔淋巴结清扫术[3]。另一种意见是没有淋巴结受侵可暂缓行淋巴结清扫术,密切随访。若有淋巴结受侵则行淋巴结清扫术。应注意的是不论是否切除干净,Paget病的局部再发远比转移多见。故密切随访注意新出现的皮损并尽早活检及手术乃是改善疗效的最有效办法。
, 百拇医药
对于拒绝手术的患者,可用1%的5-氟脲嘧啶软膏涂于患处以缓解症状,但不能去除Paget细胞[3]。此外,局部放疗[5]、化疗[6]以及激光治疗[7]近几年均有报告,效果也较好。
阴囊Paget病的预后取决于病变浸润及转移的程度和是否伴有内脏器官的恶性肿瘤。病变局限于皮肤的预后最好。有1例术后16年尽管多处再发但仍存活。有淋巴结转移的在行淋巴结清扫术后随访1~2年仍健在。伴有前列腺癌的2例分别在术后7、8个月死于肿瘤,而伴有肾癌的1例术后3年却无瘤生存[3]。总的趋势是局限于表皮或皮肤的Paget病比伴有内脏器官恶性肿瘤的预后好。
参考文献
1 Tsuji T. Mammary and extramammary Paget′s disease: expression of CA15-3, Ka-93, Ca19-9 and CD44 in paget cells and adjacent normal skin. Br J Dermatol, 1995, 132:7-13.
, 百拇医药
2 Suster S. Clear cell tumors of the skin. Semin Diag Pathol, 1996, 13:40-59.
3 Perez MA, LaRossa DD and Tomaszewski JE. Paget′s disease primarily involving the scrotum. Cancer, 1989, 63:970-975.
4 Peters KM, Ordona R, Gonzalez JA. Extramammary Paget′s disease requiring scrotectomy and scrotal reconstruction. Br J Urol, 1996, 77:758-760.
5 Besa P, Rich TA, Delclos L, et al. Extramammary Paget′s disease of the perineal skin: role of radiotherapy. Int J Radiat Oncol Biol Phys, 1992, 24:73-8.
, 百拇医药
6 Voigt H, Basermann R, Nathrath W. Cytoreductive combination chemotherapy for regionally advanced unresectable extramammary Paget carcinoma. Cancer, 1992, 70:704-708.
7 Weese D, Murphy J, Zimmern PE. YAG laser treatment of extramammary Paget′s disease of penis and scrotum. J Urol (Paris), 1993, 99:269-271.
(收稿:1998-08-18 修回:1999-01-26), http://www.100md.com