腺病毒介导的反义c-myc选择性诱导肿瘤细胞G1期阻滞和凋亡的研究
作者:隗玥 林晨 张雪艳 程金科 邢嵘 吴旻
单位:隗玥 林晨 张雪艳 程金科 吴旻 (100021 北京,中国医学科学院中国协和医科大学肿瘤研究所分子肿瘤学国家重点实验室);邢嵘 (大连医科大学病理生理教研室)
关键词:腺病毒,人;反义RNA;细胞周期;脱噬作用
中华医学杂志990820 【摘要】 目的 构建介导反义c-myc的重组腺病毒,研究其对人肺腺癌细胞的细胞周期、增殖和凋亡的影响。方法 将c-myc基因反向克隆于穿梭质粒载体pAdCMV中,通过脂质体与pJM17共转染293细胞,经同源重组产生编码反义c-myc的重组腺病毒。体外观察和检测重组腺病毒感染人肺腺癌细胞系GLC-82和SPC-A-1以及人胚肺二倍体细胞2BS后,细胞周期的改变、凋亡的发生和相关基因表达的变化;体内观察对肿瘤细胞致瘤能力和裸鼠皮下移植瘤生长的影响。结果 构建并扩增、纯化得到编码反义c-myc的重组腺病毒Ad-ASmyc,滴度达3.3×1010噬斑形成单位(pfu)/ml。肿瘤细胞感染Ad-ASmyc 3~5天后,逆转录聚合酶链反应(RT-PCR)和Western Blot分析显示c-myc基因表达下调;同时出现了明显的G1期阻滞和凋亡,G1期正调控基因cyclin D1表达下调,凋亡相关基因bcl-2和bax基因的表达分别出现下调和上调;人胚肺二倍体细胞感染Ad-ASmyc后无上述变化。肿瘤细胞体外克隆形成能力和裸鼠皮下移植瘤生长被Ad-ASmyc抑制。结论 反义c-myc的重组腺病毒感染肿瘤细胞可使c-myc基因表达下调,继而诱导肿瘤细胞特异性的G1期阻滞和凋亡,使肿瘤细胞致瘤能力和肿瘤生长被抑制,但不影响正常细胞。
, 百拇医药
Adenovirus-transferred antisense c-myc selectively induces tumor cell cycle arrest and apoptosis
WEI Yue LIN Chen ZHANG Xueyan et al.
(National Lab of Molecular Oncology,Department of Cell Biology,Cancer Institute,Chinese Academy of Medical Sciences,Peking Union Medical College,Beijing 100021)
【Abstract】 Objectives To construct the recombinant adenovirus encoding antisense c-myc fragment and to investigate its effect on tumor cell proliferation and apoptosis.Methods The shuttle plasmid encoding antisense c-myc was constructed by cloning c-myc cDNA fragment in the reverse direction into the pAdCMV.Then the plasmid pJM17 and the shuttle plasmid were co-transferred into 293 cells with liposome for homologous recombination to acquire recombinant adenovirus.The cell cycle,apoptosis,and the expression of related genes of the in vitro transferred human adenocarcinoma cell lines GLC-82 and SPC-A-1,as well as the human embryonic diploid lung cell line 2BS were studied.The effects on colony formation and treating effect on transplanted tumor in nude mice were also studied.Results The recombinant adenovirus encoding antisense c-myc fragment was obtained with the titer of 3.3×1010 pfu/ml.RT-PCR and Western blot showed that the expression of c-myc was reduced 3~5 days after infection.Simultaneously,obvious G1 arrest and apoptosis as well as the alteration of cyclin D1,bcl-2 and bax gene expression were observed in the infected tumor cells.The infected 2BS cells showed no such changes.The colony formation ability in vitro and the growth of the hetero- transplanted tumor in nude mice were also reduced.Conclusions The reduced expression of c-myc gene could induce human adenocarcinoma cells tumor-cell-specific G1 arrest and apoptosis,while it has no effect on normal cell.
, 百拇医药
【Key words】 Adenovirus,human Antisense RNA Cell cycle Apoptosis
最新一些研究表明细胞周期阻滞往往伴随着细胞对凋亡刺激的敏感性的提高或凋亡的发生[1]。我室以往的研究表明:在c-myc过量表达的肿瘤细胞中人为急剧降低c-myc的表达水平可导致细胞发生凋亡[2],但这一工作未阐述凋亡的发生与细胞周期阻滞的关系。为了探讨改变肿瘤细胞c-myc的表达,对细胞周期和凋亡的影响,本研究构建了表达反义c-myc基因第二外显子及其两侧部分序列的重组腺病毒,观察该病毒感染的人肺腺癌细胞的生长、周期进展和凋亡的改变。
材料与方法
1.主要试剂:复制缺陷型5型腺病毒载体,此系统由Graham FL等[3]研制而成。包括:pJM17(购自加拿大Microbix Biosystems 公司)和穿梭质粒pAdCMV(由美国德州大学安德森肿瘤中心张维维博士惠赠);含全长c-myc基因组DNA 的质粒phc-myc,限制性核酸内切酶、碱性磷酸酶、T4 DNA聚合酶、T4DNA连接酶、TaqDNA聚合酶(美国Promega或德国Boehringer Mannheim公司),M-MLV逆转录酶、lipofectamin (美国Gibco Brl公司),RNA提取试剂盒(美国生命技术公司), ECL 蛋白分析试剂盒 (英国Amersham公司),BCA蛋白分析试剂盒(美国Sigma公司),c-myc、β-Actin单克隆抗体(北京中山生物技术公司),DNA缺口末端标记细胞凋亡检测盒(德国Boehringer Mannheim公司)。
, 百拇医药
2.细胞系:人胚胎肾细胞系293 (购自加拿大Microbix Biosystems 公司),人肺腺癌细胞系GLC-82(本室冻存)和SPC-A-1(上海肿瘤所田培坤教授惠赠),人胚胎肺二倍体细胞2BS(本室冻存)。动物: BABL/C/裸鼠,5~6周龄(本所动物室提供)。
3.表达反义c-myc重组体腺病毒构建、鉴定、扩增、纯化与滴度测定:方法按文献[4]。 c-myc片段从质粒phc-myc以PstI切下1.53 kb后用T4 DNA聚合酶抹平,克隆于质粒pAdCMV的HPaⅠ位点。
4.病毒感染率测定:用带有LacZ报告基因的重组体腺病毒Ad-LacZ按不同的感染复数(multiplicity of infection,MOI)感染细胞,24~48小时后X-gal染色,显微镜下观察计数蓝染细胞,确定感染百分率。
5.靶基因c-myc表达的分析:Western Blot分析:提取细胞总蛋白质用BCA蛋白分析试剂盒(美国Sigma公司)定量;50 μg蛋白进行十二烷基硫酸钠-聚丙稀酰胺凝胶电泳(SDS-PAGE,体积分数为12%的凝胶),按半干电转系统(美国Bio-Rad公司)的方法将电泳产物转至硝酸纤维膜;按ECL蛋白分析试剂盒方法杂交。逆转录聚合酶链反应(RT-PCR)分析:提取细胞总RNA,定量后逆转录,逆转录产物进行聚合酶链反应(PCR),微管蛋白tubulin为内对照。c-myc引物(扩增产物250 bp)上游:5′-CTCTCAAC-GACAGCAGCCCG-3′,下游:5′-CCAGTCTCAGACCTAG-TGGA-3′;cyclin D1(扩增产物267 bp)上游:5′-CCCA-ACAAACCATCCAGT-3′,下游:5′-TATGAAGAAGAAC-ACAAACC-3;bax(扩增产物311 bp)上游:5′-GCGT-CCACCAAGAAGCTGAG-3′,下游:5′-CCTAGGTTCTG-GTCCCACCA-3′;bcl-2 (扩增产物260 bp)上游:5′-TGTGGCCTTCTTTGAGTTCG-3′,下游:5′-TCACTTG-TGGCTCAGATAGG-3′;微管蛋白tubulin(扩增产物295 bp)上游:5′-CCCGTCTTCAGGGTCTCTTG-3′,下游:5′-TTAAGGTAAGTGTAGGTTGGG-3′; 微管蛋白tubulin(扩增产物410 bp)上游:5′-CTCATCACAGG-CAAGGAAGAT-3′,下游:5′-TTAAGGTAAGTGTAGGT-TGGG-3′。退火温度52~55℃,33个循环;PCR产物经体积分数1.7%琼脂糖凝胶电泳,紫外灯下观察。
, 百拇医药
6.流式细胞仪对细胞周期及凋亡的分析:收集所有悬浮和贴壁细胞(≥106),体积分数70%乙醇4℃固定3小时以上,RNA酶(终质量浓度50 mg/L)37℃反应1小时,碘化丙啶(终质量浓度100 mg/L)反应20~30分钟后,在美国Coulter Epics ESP流式细胞仪上进行检测,Multicycle软件进行数据处理。
7.细胞生长曲线:接种一定量细胞于30 mm平皿中,培养过夜,病毒按一定MOI感染细胞,定期消化收集感染和未感染细胞(对照组),用体积分数为2%台盼蓝染色,显微镜下分别计数细胞。每种处理于每个时间点设3个平行组,求
±s并作t检验。
8.细胞DNA缺口末端标记(TUNEL)分析:收集细胞涂于体积分数1%多聚赖氨酸处理的载玻片,按DNA缺口末端标记细胞凋亡检测盒方法检测。
, http://www.100md.com
9.细胞DNA片段化电泳分析:收集细胞加裂解液[体积分数1%辛基苯氧聚乙氧基乙醇,40、20 mmol/L乙二胺四乙酸(EDTA),50 mmol/L三羟甲基氨基甲烷,HCl (pH7.5)]反应10秒钟。12000 r/min离心5分钟后收集上清,加十二烷基硫酸钠(SDS),使浓度为体积分数1%。RNA酶(终质量浓度50 mg/L) 37℃作用1~2小时;蛋白酶K(终质量浓度2.5 g/L) 56℃处理2小时。乙醇沉淀DNA,用三羟甲基氨基甲烷-乙二胺四乙酸缓冲液溶解DNA,在体积分数1%琼脂糖凝胶中电泳,紫外灯下观察。
10.克隆形成实验:在细胞悬液中按一定的MOI加入病毒,37℃,80 r/min,振荡2.5小时后按500个细胞/平皿接种于60 mm平皿,培养10天。甲醇固定,体积分数1%的结晶紫染色,计数各平皿克隆数,计算克隆形成率。
11.裸鼠皮下移植瘤模型的治疗实验:按0.1 ml/鼠(1×107细胞/ml)将细胞悬液注射到裸鼠右前肢背侧皮下。待肿瘤长至直径5 mm左右时将裸鼠分成3组,每组3只。治疗组瘤体内注射0.14ml病毒液Ad-ASmyc 3×1010噬斑形成单位(pfu)/ml,对照组分别注射同剂量的Ad-LacZ或生理盐水,每3天注射1次,共注射3次。每隔一定时间用卡尺测量肿瘤大小,按V=ab2/2(a,b为肿瘤直径)计算瘤体积。3周后处死裸鼠剥离瘤块称重,计算抑瘤率。
, http://www.100md.com
结果
一、重组腺病毒的构建
酶切鉴定挑选表达反义c-myc的重组质粒pAdCMVASmyc和pJM17共转染293细胞,经同源重组细胞出现噬斑,PCR鉴定为阳性即获复制缺陷型重组腺病毒Ad-ASmyc。Ad-ASmyc经293细胞繁殖,加体积分数为10%的甘油,过滤除菌,制备成病毒贮存液,贮存于-70℃冰箱中备用。经测定重组体腺病毒纯化后的滴度达3×1010 pfu/ml。
二、 重组体腺病毒的转导效率
Ad-LacZ按不同MOI分别感染细胞。X-gal染色结果表明MOI大于100时,90%以上的GLC-82和2BS可被感染;而对SPC-A-1细胞,只有MOI为200时,90%以上的细胞可被感染。在此后实验中对GLC-82、SPC-A-1和2BS细胞的感染强度分别采用MOI 100、200和100。
, http://www.100md.com
三、 Ad-ASmyc抑制细胞c-myc基因的表达
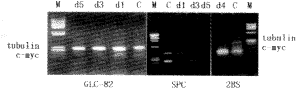
Western Blot分析结果,c-myc蛋白从感染后第3天开始下降,到感染后第7天已检测不到(图1);同时进行RT-PCR分析,发现c-myc mRNA从感染后第3天开始下降,第5天更加明显。Ad-ASmyc感染4天的2BS细胞c-myc mRNA也有所下降(图1)。


上、中图:Western blot 分析;下图:RT-PCR分析;M:Φx174/HaeIII;C:对照组; d1、d3、d5及d7:Ad-ASmyc感染细胞1、3、5及7天(图2,4同)
, 百拇医药
图1 Ad-ASmyc抑制感染细胞c-myc基因的转录和表达滞和凋亡
四、Ad-ASmyc抑制肿瘤细胞生长、诱导G1期阻
1.对肿瘤细胞选择性的生长抑制作用:感染Ad-ASmyc3天后细胞数明显少于对照组;至感染后第5天,GLC-82活细胞数为对照组的27.0%(前者为25.1×104,后者为93.0×104,两者比较P<0.001),SPC-A-1细胞数为对照组的51.0%(前者为16.0×104,后者为31.4×104,两者比较P<0.001)。以同样的方法处理2BS细胞后其细胞数为19.8×104,对照组细胞数为18.8×104,两者比较P>0.05。
2.诱导肿瘤细胞特异性G1期阻滞及相关基因表达的改变:流式细胞术检测结果显示Ad-ASmyc造成GLC-82和SPC-A-1细胞不同程度的G1期阻滞,GLC-82细胞比SPC-A-1细胞更明显,由对照组的51.1%升高至73.2%。RT-PCR显示G1期正调控基因cyclin D1表达下调(图2)。
, 百拇医药
图2 Ad-ASmyc对cyclin D1表达的RT-PCR分析
3.诱导肿瘤细胞特异性的凋亡:Ad-ASmyc感染的GLC-82和SPC-A-1细胞形态发生明显改变:GLC-82和SPC-A-1细胞都是贴壁生长的单层上皮细胞,感染Ad-ASmyc第1天细胞开始变圆,贴壁不牢,皱缩;第3天左右细胞脱落,细胞有凋亡小体发生;至感染后第4~5天后细胞大部分漂浮于培养液,且有大量凋亡小体脱离细胞。2BS细胞为贴壁生长的人胚肺细胞,呈长梭形,感染Ad-ASmyc前后始终没有发生形态改变。
流式细胞术检测显示Ad-ASmyc感染的GLC-82和SPC-A-1细胞均在感染后第5天出现明显的“亚G1峰”,即凋亡峰。而2BS细胞在感染后第5天未见明显的细胞周期改变和凋亡峰。TUNEL检测发现Ad-ASmyc感染3天的GLC-82细胞呈明显棕褐色,而Ad-LacZ感染细胞则无或仅显浅黄褐色(图3)。DNA片段化分析Ad-ASmyc感染5天的GLC-82和SPC-A-1细胞DNA电泳呈明显的“DNA 梯”。
, http://www.100md.com
图3 Ad-ASmyc感染GLC-82细胞DNA断裂的TUNEL检测(感染后3天)
RT-PCR结果显示,Ad-ASmyc感染的细胞bcl-2 RNA水平从感染后第1天就下降,至第3,5天下降更加明显;bax的RNA水平则表现为上调(图4)。

图4 Ad-ASmyc对凋亡相关基因表达的影响(RT-PCR分析)
五、Ad-ASmyc对肿瘤细胞的克隆形成的影响
Ad-ASmyc使GLC-82和SPC-A-1细胞体外克隆形成率分别为各自对照组的22.3%(16.4/73.6)和27.3%(19.8/72.4),且感染Ad-ASmyc的细胞所形成的克隆明显小于对照组形成的克隆。
, http://www.100md.com
六、 裸鼠皮下移植瘤模型的治疗结果
多次多点瘤内注射Ad-ASmyc使GLC-82裸鼠皮下移植瘤的生长受到抑制,Ad-LacZ对肿瘤生长没有影响。Ad-ASmyc治疗组裸鼠的肿瘤体积为356 mm3,而对照组则为1347 mm3(P<0.001);Ad-ASmyc治疗组裸鼠的肿瘤重量为0.51 g,而对照组则为1.08 g,抑瘤率为52.8%,两者比较P<0.01。
讨论
c-myc基因作为生长因子的“立即早反应基因”,其产物是参与细胞周期调控的最重要的转录因子,它的明确的转录调控对象如cdc25A、ODC等产物都是细胞由G1期进入S期所需的[5];同时c-myc还是G1期激酶复合物cyclin E-CDK2和cyclin D-CDK4/6的激活因子[6],或直接参与调节这些基因的转录和表达。因此,c-myc表达下降可能会通过影响这些蛋白或复合物的表达或活性影响细胞周期。
, 百拇医药
细胞周期尤其是G1期调控是细胞整合细胞内外各种信号最精细复杂的时相,不仅与细胞的增殖而且与细胞凋亡调控有关,G1期阻滞可能影响许多调控路径的改变造成凋亡相关基因bcl-2、bax等表达的改变致细胞凋亡。c-myc基因的产物是在G1期调控中参与细胞增殖和凋亡调控的“双功能因子”,c-myc过量表达在特定条件下会诱发凋亡;同时c-myc过量又有可能为某些细胞提供了逃避凋亡的优势,因而在c-myc过量表达的细胞中人为地急剧降低细胞中c-myc蛋白的浓度会导致细胞凋亡[2]。
我们以c-myc基因编码区含ATG起始密码子的第二外显子及其两侧部分内含子序列的片段的反义序列为目的基因构建重组腺病毒,该反义序列可能通过抑制c-myc RNA的剪切,翻译,转运等抑制c-myc的表达[3]。较之其它载体系统,重组腺病毒具有高效转染、高效瞬时表达的优势,以保证目的基因进入绝大部分靶细胞。重组腺病毒Ad-ASmyc诱导了肿瘤细胞的细胞周期阻滞,抑制了细胞周期G1期正调控基因cyclin D1的转录;伴随细胞周期阻滞,肿瘤细胞发生了凋亡,凋亡抑制基因bcl-2表达下调,凋亡促进基因bax表达上调。同时Ad-ASmyc未影响人胚肺二倍体细胞,提示c-myc表达下调诱发的细胞周期阻滞和凋亡是对某些肿瘤细胞具选择性的。肿瘤细胞的克隆形成能力下降以及GLC-82移植瘤生长的抑制提示,这种肿瘤细胞特异性的细胞周期阻滞和凋亡在以癌基因或(和)抑癌基因为目的基因肿瘤基因治疗的研究中具有较好的前景。
, 百拇医药
本课题为国家863高科学技术发展基金资助项目(Z20-01-02)
参考文献
1 Sandig V,Brand K,Herwigs S,et al.Adenovirally transferred p16INK/CDKN2 and p53 genes cooperate to induce apoptotic tumor cell death.Nature Med,1997,3:313-319.
2 Zhao X,Wang X,Zhou C,et al.Abrupt reduction of c-myc expression by antisense RNA inducing terminal differentiation and apoptosis of a human esophageal cancer cell line.Science in China(Series B),1995,38:580-589.
, 百拇医药
3 Graham FL,Prevec L.Gene transfer and expression protocols.In: Murray ZJ,ed.Methods in molecular biology,Vol 7.Clifton: Humane Press Inc,1991.109-128.
4 程金科,林晨,张雪艳,等.应用于基因治疗的重组体腺病毒的构建方法.遗传,1997,19:36-38.
5 Hunter T.Oncoprotein Networks.Cell,1997,88:333-346.
6 Gu W,Bhatia K,Magrath IT,et al.Binding and suppression of Myc transcriptional activation domain by p107.Science,1994,264:251-254.
(收稿:1998-06-23 修回:1999-04-15), 百拇医药
单位:隗玥 林晨 张雪艳 程金科 吴旻 (100021 北京,中国医学科学院中国协和医科大学肿瘤研究所分子肿瘤学国家重点实验室);邢嵘 (大连医科大学病理生理教研室)
关键词:腺病毒,人;反义RNA;细胞周期;脱噬作用
中华医学杂志990820 【摘要】 目的 构建介导反义c-myc的重组腺病毒,研究其对人肺腺癌细胞的细胞周期、增殖和凋亡的影响。方法 将c-myc基因反向克隆于穿梭质粒载体pAdCMV中,通过脂质体与pJM17共转染293细胞,经同源重组产生编码反义c-myc的重组腺病毒。体外观察和检测重组腺病毒感染人肺腺癌细胞系GLC-82和SPC-A-1以及人胚肺二倍体细胞2BS后,细胞周期的改变、凋亡的发生和相关基因表达的变化;体内观察对肿瘤细胞致瘤能力和裸鼠皮下移植瘤生长的影响。结果 构建并扩增、纯化得到编码反义c-myc的重组腺病毒Ad-ASmyc,滴度达3.3×1010噬斑形成单位(pfu)/ml。肿瘤细胞感染Ad-ASmyc 3~5天后,逆转录聚合酶链反应(RT-PCR)和Western Blot分析显示c-myc基因表达下调;同时出现了明显的G1期阻滞和凋亡,G1期正调控基因cyclin D1表达下调,凋亡相关基因bcl-2和bax基因的表达分别出现下调和上调;人胚肺二倍体细胞感染Ad-ASmyc后无上述变化。肿瘤细胞体外克隆形成能力和裸鼠皮下移植瘤生长被Ad-ASmyc抑制。结论 反义c-myc的重组腺病毒感染肿瘤细胞可使c-myc基因表达下调,继而诱导肿瘤细胞特异性的G1期阻滞和凋亡,使肿瘤细胞致瘤能力和肿瘤生长被抑制,但不影响正常细胞。
, 百拇医药
Adenovirus-transferred antisense c-myc selectively induces tumor cell cycle arrest and apoptosis
WEI Yue LIN Chen ZHANG Xueyan et al.
(National Lab of Molecular Oncology,Department of Cell Biology,Cancer Institute,Chinese Academy of Medical Sciences,Peking Union Medical College,Beijing 100021)
【Abstract】 Objectives To construct the recombinant adenovirus encoding antisense c-myc fragment and to investigate its effect on tumor cell proliferation and apoptosis.Methods The shuttle plasmid encoding antisense c-myc was constructed by cloning c-myc cDNA fragment in the reverse direction into the pAdCMV.Then the plasmid pJM17 and the shuttle plasmid were co-transferred into 293 cells with liposome for homologous recombination to acquire recombinant adenovirus.The cell cycle,apoptosis,and the expression of related genes of the in vitro transferred human adenocarcinoma cell lines GLC-82 and SPC-A-1,as well as the human embryonic diploid lung cell line 2BS were studied.The effects on colony formation and treating effect on transplanted tumor in nude mice were also studied.Results The recombinant adenovirus encoding antisense c-myc fragment was obtained with the titer of 3.3×1010 pfu/ml.RT-PCR and Western blot showed that the expression of c-myc was reduced 3~5 days after infection.Simultaneously,obvious G1 arrest and apoptosis as well as the alteration of cyclin D1,bcl-2 and bax gene expression were observed in the infected tumor cells.The infected 2BS cells showed no such changes.The colony formation ability in vitro and the growth of the hetero- transplanted tumor in nude mice were also reduced.Conclusions The reduced expression of c-myc gene could induce human adenocarcinoma cells tumor-cell-specific G1 arrest and apoptosis,while it has no effect on normal cell.
, 百拇医药
【Key words】 Adenovirus,human Antisense RNA Cell cycle Apoptosis
最新一些研究表明细胞周期阻滞往往伴随着细胞对凋亡刺激的敏感性的提高或凋亡的发生[1]。我室以往的研究表明:在c-myc过量表达的肿瘤细胞中人为急剧降低c-myc的表达水平可导致细胞发生凋亡[2],但这一工作未阐述凋亡的发生与细胞周期阻滞的关系。为了探讨改变肿瘤细胞c-myc的表达,对细胞周期和凋亡的影响,本研究构建了表达反义c-myc基因第二外显子及其两侧部分序列的重组腺病毒,观察该病毒感染的人肺腺癌细胞的生长、周期进展和凋亡的改变。
材料与方法
1.主要试剂:复制缺陷型5型腺病毒载体,此系统由Graham FL等[3]研制而成。包括:pJM17(购自加拿大Microbix Biosystems 公司)和穿梭质粒pAdCMV(由美国德州大学安德森肿瘤中心张维维博士惠赠);含全长c-myc基因组DNA 的质粒phc-myc,限制性核酸内切酶、碱性磷酸酶、T4 DNA聚合酶、T4DNA连接酶、TaqDNA聚合酶(美国Promega或德国Boehringer Mannheim公司),M-MLV逆转录酶、lipofectamin (美国Gibco Brl公司),RNA提取试剂盒(美国生命技术公司), ECL 蛋白分析试剂盒 (英国Amersham公司),BCA蛋白分析试剂盒(美国Sigma公司),c-myc、β-Actin单克隆抗体(北京中山生物技术公司),DNA缺口末端标记细胞凋亡检测盒(德国Boehringer Mannheim公司)。
, 百拇医药
2.细胞系:人胚胎肾细胞系293 (购自加拿大Microbix Biosystems 公司),人肺腺癌细胞系GLC-82(本室冻存)和SPC-A-1(上海肿瘤所田培坤教授惠赠),人胚胎肺二倍体细胞2BS(本室冻存)。动物: BABL/C/裸鼠,5~6周龄(本所动物室提供)。
3.表达反义c-myc重组体腺病毒构建、鉴定、扩增、纯化与滴度测定:方法按文献[4]。 c-myc片段从质粒phc-myc以PstI切下1.53 kb后用T4 DNA聚合酶抹平,克隆于质粒pAdCMV的HPaⅠ位点。
4.病毒感染率测定:用带有LacZ报告基因的重组体腺病毒Ad-LacZ按不同的感染复数(multiplicity of infection,MOI)感染细胞,24~48小时后X-gal染色,显微镜下观察计数蓝染细胞,确定感染百分率。
5.靶基因c-myc表达的分析:Western Blot分析:提取细胞总蛋白质用BCA蛋白分析试剂盒(美国Sigma公司)定量;50 μg蛋白进行十二烷基硫酸钠-聚丙稀酰胺凝胶电泳(SDS-PAGE,体积分数为12%的凝胶),按半干电转系统(美国Bio-Rad公司)的方法将电泳产物转至硝酸纤维膜;按ECL蛋白分析试剂盒方法杂交。逆转录聚合酶链反应(RT-PCR)分析:提取细胞总RNA,定量后逆转录,逆转录产物进行聚合酶链反应(PCR),微管蛋白tubulin为内对照。c-myc引物(扩增产物250 bp)上游:5′-CTCTCAAC-GACAGCAGCCCG-3′,下游:5′-CCAGTCTCAGACCTAG-TGGA-3′;cyclin D1(扩增产物267 bp)上游:5′-CCCA-ACAAACCATCCAGT-3′,下游:5′-TATGAAGAAGAAC-ACAAACC-3;bax(扩增产物311 bp)上游:5′-GCGT-CCACCAAGAAGCTGAG-3′,下游:5′-CCTAGGTTCTG-GTCCCACCA-3′;bcl-2 (扩增产物260 bp)上游:5′-TGTGGCCTTCTTTGAGTTCG-3′,下游:5′-TCACTTG-TGGCTCAGATAGG-3′;微管蛋白tubulin(扩增产物295 bp)上游:5′-CCCGTCTTCAGGGTCTCTTG-3′,下游:5′-TTAAGGTAAGTGTAGGTTGGG-3′; 微管蛋白tubulin(扩增产物410 bp)上游:5′-CTCATCACAGG-CAAGGAAGAT-3′,下游:5′-TTAAGGTAAGTGTAGGT-TGGG-3′。退火温度52~55℃,33个循环;PCR产物经体积分数1.7%琼脂糖凝胶电泳,紫外灯下观察。
, 百拇医药
6.流式细胞仪对细胞周期及凋亡的分析:收集所有悬浮和贴壁细胞(≥106),体积分数70%乙醇4℃固定3小时以上,RNA酶(终质量浓度50 mg/L)37℃反应1小时,碘化丙啶(终质量浓度100 mg/L)反应20~30分钟后,在美国Coulter Epics ESP流式细胞仪上进行检测,Multicycle软件进行数据处理。
7.细胞生长曲线:接种一定量细胞于30 mm平皿中,培养过夜,病毒按一定MOI感染细胞,定期消化收集感染和未感染细胞(对照组),用体积分数为2%台盼蓝染色,显微镜下分别计数细胞。每种处理于每个时间点设3个平行组,求
8.细胞DNA缺口末端标记(TUNEL)分析:收集细胞涂于体积分数1%多聚赖氨酸处理的载玻片,按DNA缺口末端标记细胞凋亡检测盒方法检测。
, http://www.100md.com
9.细胞DNA片段化电泳分析:收集细胞加裂解液[体积分数1%辛基苯氧聚乙氧基乙醇,40、20 mmol/L乙二胺四乙酸(EDTA),50 mmol/L三羟甲基氨基甲烷,HCl (pH7.5)]反应10秒钟。12000 r/min离心5分钟后收集上清,加十二烷基硫酸钠(SDS),使浓度为体积分数1%。RNA酶(终质量浓度50 mg/L) 37℃作用1~2小时;蛋白酶K(终质量浓度2.5 g/L) 56℃处理2小时。乙醇沉淀DNA,用三羟甲基氨基甲烷-乙二胺四乙酸缓冲液溶解DNA,在体积分数1%琼脂糖凝胶中电泳,紫外灯下观察。
10.克隆形成实验:在细胞悬液中按一定的MOI加入病毒,37℃,80 r/min,振荡2.5小时后按500个细胞/平皿接种于60 mm平皿,培养10天。甲醇固定,体积分数1%的结晶紫染色,计数各平皿克隆数,计算克隆形成率。
11.裸鼠皮下移植瘤模型的治疗实验:按0.1 ml/鼠(1×107细胞/ml)将细胞悬液注射到裸鼠右前肢背侧皮下。待肿瘤长至直径5 mm左右时将裸鼠分成3组,每组3只。治疗组瘤体内注射0.14ml病毒液Ad-ASmyc 3×1010噬斑形成单位(pfu)/ml,对照组分别注射同剂量的Ad-LacZ或生理盐水,每3天注射1次,共注射3次。每隔一定时间用卡尺测量肿瘤大小,按V=ab2/2(a,b为肿瘤直径)计算瘤体积。3周后处死裸鼠剥离瘤块称重,计算抑瘤率。
, http://www.100md.com
结果
一、重组腺病毒的构建
酶切鉴定挑选表达反义c-myc的重组质粒pAdCMVASmyc和pJM17共转染293细胞,经同源重组细胞出现噬斑,PCR鉴定为阳性即获复制缺陷型重组腺病毒Ad-ASmyc。Ad-ASmyc经293细胞繁殖,加体积分数为10%的甘油,过滤除菌,制备成病毒贮存液,贮存于-70℃冰箱中备用。经测定重组体腺病毒纯化后的滴度达3×1010 pfu/ml。
二、 重组体腺病毒的转导效率
Ad-LacZ按不同MOI分别感染细胞。X-gal染色结果表明MOI大于100时,90%以上的GLC-82和2BS可被感染;而对SPC-A-1细胞,只有MOI为200时,90%以上的细胞可被感染。在此后实验中对GLC-82、SPC-A-1和2BS细胞的感染强度分别采用MOI 100、200和100。
, http://www.100md.com
三、 Ad-ASmyc抑制细胞c-myc基因的表达
Western Blot分析结果,c-myc蛋白从感染后第3天开始下降,到感染后第7天已检测不到(图1);同时进行RT-PCR分析,发现c-myc mRNA从感染后第3天开始下降,第5天更加明显。Ad-ASmyc感染4天的2BS细胞c-myc mRNA也有所下降(图1)。
上、中图:Western blot 分析;下图:RT-PCR分析;M:Φx174/HaeIII;C:对照组; d1、d3、d5及d7:Ad-ASmyc感染细胞1、3、5及7天(图2,4同)
, 百拇医药
图1 Ad-ASmyc抑制感染细胞c-myc基因的转录和表达滞和凋亡
四、Ad-ASmyc抑制肿瘤细胞生长、诱导G1期阻
1.对肿瘤细胞选择性的生长抑制作用:感染Ad-ASmyc3天后细胞数明显少于对照组;至感染后第5天,GLC-82活细胞数为对照组的27.0%(前者为25.1×104,后者为93.0×104,两者比较P<0.001),SPC-A-1细胞数为对照组的51.0%(前者为16.0×104,后者为31.4×104,两者比较P<0.001)。以同样的方法处理2BS细胞后其细胞数为19.8×104,对照组细胞数为18.8×104,两者比较P>0.05。
2.诱导肿瘤细胞特异性G1期阻滞及相关基因表达的改变:流式细胞术检测结果显示Ad-ASmyc造成GLC-82和SPC-A-1细胞不同程度的G1期阻滞,GLC-82细胞比SPC-A-1细胞更明显,由对照组的51.1%升高至73.2%。RT-PCR显示G1期正调控基因cyclin D1表达下调(图2)。
, 百拇医药
图2 Ad-ASmyc对cyclin D1表达的RT-PCR分析
3.诱导肿瘤细胞特异性的凋亡:Ad-ASmyc感染的GLC-82和SPC-A-1细胞形态发生明显改变:GLC-82和SPC-A-1细胞都是贴壁生长的单层上皮细胞,感染Ad-ASmyc第1天细胞开始变圆,贴壁不牢,皱缩;第3天左右细胞脱落,细胞有凋亡小体发生;至感染后第4~5天后细胞大部分漂浮于培养液,且有大量凋亡小体脱离细胞。2BS细胞为贴壁生长的人胚肺细胞,呈长梭形,感染Ad-ASmyc前后始终没有发生形态改变。
流式细胞术检测显示Ad-ASmyc感染的GLC-82和SPC-A-1细胞均在感染后第5天出现明显的“亚G1峰”,即凋亡峰。而2BS细胞在感染后第5天未见明显的细胞周期改变和凋亡峰。TUNEL检测发现Ad-ASmyc感染3天的GLC-82细胞呈明显棕褐色,而Ad-LacZ感染细胞则无或仅显浅黄褐色(图3)。DNA片段化分析Ad-ASmyc感染5天的GLC-82和SPC-A-1细胞DNA电泳呈明显的“DNA 梯”。
, http://www.100md.com
图3 Ad-ASmyc感染GLC-82细胞DNA断裂的TUNEL检测(感染后3天)
RT-PCR结果显示,Ad-ASmyc感染的细胞bcl-2 RNA水平从感染后第1天就下降,至第3,5天下降更加明显;bax的RNA水平则表现为上调(图4)。
图4 Ad-ASmyc对凋亡相关基因表达的影响(RT-PCR分析)
五、Ad-ASmyc对肿瘤细胞的克隆形成的影响
Ad-ASmyc使GLC-82和SPC-A-1细胞体外克隆形成率分别为各自对照组的22.3%(16.4/73.6)和27.3%(19.8/72.4),且感染Ad-ASmyc的细胞所形成的克隆明显小于对照组形成的克隆。
, http://www.100md.com
六、 裸鼠皮下移植瘤模型的治疗结果
多次多点瘤内注射Ad-ASmyc使GLC-82裸鼠皮下移植瘤的生长受到抑制,Ad-LacZ对肿瘤生长没有影响。Ad-ASmyc治疗组裸鼠的肿瘤体积为356 mm3,而对照组则为1347 mm3(P<0.001);Ad-ASmyc治疗组裸鼠的肿瘤重量为0.51 g,而对照组则为1.08 g,抑瘤率为52.8%,两者比较P<0.01。
讨论
c-myc基因作为生长因子的“立即早反应基因”,其产物是参与细胞周期调控的最重要的转录因子,它的明确的转录调控对象如cdc25A、ODC等产物都是细胞由G1期进入S期所需的[5];同时c-myc还是G1期激酶复合物cyclin E-CDK2和cyclin D-CDK4/6的激活因子[6],或直接参与调节这些基因的转录和表达。因此,c-myc表达下降可能会通过影响这些蛋白或复合物的表达或活性影响细胞周期。
, 百拇医药
细胞周期尤其是G1期调控是细胞整合细胞内外各种信号最精细复杂的时相,不仅与细胞的增殖而且与细胞凋亡调控有关,G1期阻滞可能影响许多调控路径的改变造成凋亡相关基因bcl-2、bax等表达的改变致细胞凋亡。c-myc基因的产物是在G1期调控中参与细胞增殖和凋亡调控的“双功能因子”,c-myc过量表达在特定条件下会诱发凋亡;同时c-myc过量又有可能为某些细胞提供了逃避凋亡的优势,因而在c-myc过量表达的细胞中人为地急剧降低细胞中c-myc蛋白的浓度会导致细胞凋亡[2]。
我们以c-myc基因编码区含ATG起始密码子的第二外显子及其两侧部分内含子序列的片段的反义序列为目的基因构建重组腺病毒,该反义序列可能通过抑制c-myc RNA的剪切,翻译,转运等抑制c-myc的表达[3]。较之其它载体系统,重组腺病毒具有高效转染、高效瞬时表达的优势,以保证目的基因进入绝大部分靶细胞。重组腺病毒Ad-ASmyc诱导了肿瘤细胞的细胞周期阻滞,抑制了细胞周期G1期正调控基因cyclin D1的转录;伴随细胞周期阻滞,肿瘤细胞发生了凋亡,凋亡抑制基因bcl-2表达下调,凋亡促进基因bax表达上调。同时Ad-ASmyc未影响人胚肺二倍体细胞,提示c-myc表达下调诱发的细胞周期阻滞和凋亡是对某些肿瘤细胞具选择性的。肿瘤细胞的克隆形成能力下降以及GLC-82移植瘤生长的抑制提示,这种肿瘤细胞特异性的细胞周期阻滞和凋亡在以癌基因或(和)抑癌基因为目的基因肿瘤基因治疗的研究中具有较好的前景。
, 百拇医药
本课题为国家863高科学技术发展基金资助项目(Z20-01-02)
参考文献
1 Sandig V,Brand K,Herwigs S,et al.Adenovirally transferred p16INK/CDKN2 and p53 genes cooperate to induce apoptotic tumor cell death.Nature Med,1997,3:313-319.
2 Zhao X,Wang X,Zhou C,et al.Abrupt reduction of c-myc expression by antisense RNA inducing terminal differentiation and apoptosis of a human esophageal cancer cell line.Science in China(Series B),1995,38:580-589.
, 百拇医药
3 Graham FL,Prevec L.Gene transfer and expression protocols.In: Murray ZJ,ed.Methods in molecular biology,Vol 7.Clifton: Humane Press Inc,1991.109-128.
4 程金科,林晨,张雪艳,等.应用于基因治疗的重组体腺病毒的构建方法.遗传,1997,19:36-38.
5 Hunter T.Oncoprotein Networks.Cell,1997,88:333-346.
6 Gu W,Bhatia K,Magrath IT,et al.Binding and suppression of Myc transcriptional activation domain by p107.Science,1994,264:251-254.
(收稿:1998-06-23 修回:1999-04-15), 百拇医药