中药乌梢蛇的光镜及扫描电镜鉴别研究
作者:杨小平* 屈菊兰 林劲松
单位:杨小平* 广东省湛江市药检所 524037;屈菊兰 林劲松 广东省湛江师范学院电镜室
关键词:乌梢蛇;纹饰结构;显微鉴别
中药乌梢蛇的光镜及扫描电镜鉴别研究 摘 要 中药乌梢蛇的鉴别主要是依据蛇的外观特征,由于同科的某些蛇外观与乌梢蛇相似,以其干燥全体或加工成寸段的假乌梢蛇,真伪难辨。笔者着重对乌梢蛇及其伪品灰鼠蛇、玉斑锦蛇、水赤链游蛇的鳞片进行了光学显微及扫描电镜鉴别研究,结果表明乌梢蛇鳞片的特征与伪品有相似处,但形状、颜色、纹理在扫描电镜下的细微结构有显著差异,可作为鉴别真伪乌梢蛇的依据。
Optical and Electron Microscopic Studies to Differentiate Garter Snake
, http://www.100md.com
(Zaocys dhumunades) from Its Fake Adulterants
Yang Xiaoping, Qu Julan and Lin Jinsong
(Zhanjiang Institute for Drug Control, Zhanjiang 524037)
Abstract Identification of Zaocys dhumnades (Colubridae) was mainly based on its outward appearance. But some snakes of the same family looked very similar in appearance, especially when processed into dried segments, and was difficult to distinguish when present as adulterants. The scale of Zaocys dhumnades (Cantor) and that of Ptyas korros (Schlegel), Natrix annularis (Hallowell) and Elaphe mandarina (Cantor) were examined and compared by optical and scanning-electron microscope (SEM). The results showed that their scaly character was quite similar, but different in shape, colour and vein, especially the microstructure under SEM was markedly different which may be used as a basis for the identification of the genuine Zaocys.
, 百拇医药
Key words Zaocys dhumnades (Cantor) SEM microstructure of scales of Zaocys dhumnades (Cantor)
乌梢蛇为常用动物药材,来源于游蛇科动物乌梢蛇Zaocys dhumndes(Cantor)的干燥体。由于其主要来自野生,药源难以满足需求,市场上时有伪品,多为同科动物的干燥全体或加工成寸段等。目前乌梢蛇的鉴别除了外观经验法[1,2],还有骨骼鉴别[3]、凝胶电泳法[4]、薄层层析法[5]等,但这几种方法有一定局限性,当样品为碎段或无正品对照时,用上述方法难以准确鉴别。光镜和电镜已用于蛇类药材鉴别。本文着重对乌梢蛇及其常见伪品的鳞片进行光学显微和扫描电镜鉴别研究,为鉴别真伪乌梢蛇提供依据。
1 材料与方法
1.1 材料:样品购自药材经营单位。乌梢蛇为游蛇科动物乌梢蛇Zaocys dhumndes (Cantor)的干燥体;灰鼠蛇为游蛇科动物灰鼠蛇Ptyas korros (Schlegel)的干燥体;玉斑锦蛇为游蛇科动物玉斑锦蛇Elaphe mandarina (Cantor)的干燥体;水赤链游蛇为游蛇科动物水赤链游蛇Natrix annularis(Hallowell)干燥体。以上品种经作者鉴定,标本保存在广东省湛江市药品检验所标本室。
, http://www.100md.com
1.2 方法:从蛇的背部取下鳞片a)分别用水清洗,以水或稀甘油装片置光学生物显微镜观察;b)分别用双蒸水清洗灰尘,自然干燥后将鳞片外表面向上粘样镀膜,在PHILIPS XL 30扫描电镜下观察。
2 结果
2.1 光学显微镜观察结果见表1。
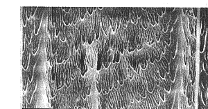
2.2 扫描电镜观察结果:见图1。
乌梢蛇:鳞片表面有棱脊并增厚,密布横向波状排列的刺状纹饰(图1-A1),刺尖端状如水滴,纹饰中为弯曲不直的条纹,同向紧密排列(图1-A2)。









, 百拇医药
A1,A2-乌梢蛇鳞片 B1,B2-灰鼠蛇鳞片 C1,C2-玉斑锦蛇鳞片 D1,D2-水赤链游蛇鳞片
图1 乌梢蛇及其伪品鳞片的扫描电镜图
表1 乌梢蛇及其伪品鳞片的光镜观察比较
形状
表面颜色、纹理
乌梢蛇
卵形、菱形、游离端较尖
黄褐色、密布颗粒状色斑,有一对椭圆形端窝,纵直纹紧密排列,间距6.8~16.8 μm;脊鳞有一条棱脊
, http://www.100md.com
灰鼠蛇
卵形、菱形、游离端钝圆
浅黄棕色、有点状色斑,无端窝,纵直纹紧密排列,间距6.8~19.2 μm;脊鳞无棱脊
玉斑锦蛇
卵形、菱形、游离端钝圆
浅黄棕色、有点状色斑,有一对椭圆形端窝,纵向排列短线纹隐约可见;脊鳞无棱脊
水赤链
游蛇
卵形、菱形、近六角形,游离端钝圆
浅黄棕色,无端窝,有排列较疏的弯曲纵纹,间距16.8~28.8 μm;脊鳞有一条棱脊
, http://www.100md.com
灰鼠蛇:鳞片表面有棱脊并增厚,密布横向波状排列的刺状纹饰(图1-B1),其中密布类圆形、卵圆形或长条形凹陷(图1-B2)。
玉斑锦蛇:鳞片表面无棱脊,密布波状横向排列刺状纹饰(图1-C1),其中有圆点状凹陷(图1-C2)。
水赤链游蛇:鳞片表面有棱脊,不增厚,密布波状横向排列刺状纹饰 (图1-D1),刺尖不明显,有蝌蚪状或类卵形凹陷(图1-D2)。
3 讨论
由于蛇类药材鳞片不易完整取下,可用棉花沾水润湿片刻,以镊子小心撕取。鳞片表面杂质影响观察,故必须反复冲洗干净。乌梢蛇鳞片背面的电镜特征与伪品相同,无鉴别意义。商品流通中冒充乌梢蛇的蛇类较多[9],本实验选取3种常见伪品观察比较,其中灰鼠蛇、水赤链游蛇外观上与乌梢蛇易混淆。
, 百拇医药
结果表明,乌梢蛇鳞片与3种伪品有相似处,但在形状、颜色、纹理等方面有所不同。扫描电镜观察到这几种游蛇科蛇的鳞片表面纹理的细微结构——刺状纹饰[6],呈横向波状排列,但纹饰结构各不相同,有显著差异。这些特征具有稳定、直观、可靠、易于识别的特点,可作为鉴别真伪乌梢蛇药材的依据。
参考文献
1 中华人民共和国卫生部药典委员会编.中华人民共和国药典.一部.广州:广东科技出版社,1995:61
2 李满联,等.中国医药学报,1993,8(2):47
3 黄泽崧,等.中国中药杂志,1992,17(8):457
4 刘训红,等.中药材,1991,14(7):27
5 刘训红,等.中国中药杂志,1991,16(7):395
6 何报作,等.中药材,1992,15(12):20
7 徐雅娟,等.中国药学杂志,1992,27(2):78
8 王春根,等.中药通报,1987,12(9):8
9 中国药品生物制品检定所,等.中国中药材真伪鉴别图典.广州:广东科技出版社,1995:92
收稿日期:1998-09-02, 百拇医药(杨小平* 屈菊兰 林劲松)
单位:杨小平* 广东省湛江市药检所 524037;屈菊兰 林劲松 广东省湛江师范学院电镜室
关键词:乌梢蛇;纹饰结构;显微鉴别
中药乌梢蛇的光镜及扫描电镜鉴别研究 摘 要 中药乌梢蛇的鉴别主要是依据蛇的外观特征,由于同科的某些蛇外观与乌梢蛇相似,以其干燥全体或加工成寸段的假乌梢蛇,真伪难辨。笔者着重对乌梢蛇及其伪品灰鼠蛇、玉斑锦蛇、水赤链游蛇的鳞片进行了光学显微及扫描电镜鉴别研究,结果表明乌梢蛇鳞片的特征与伪品有相似处,但形状、颜色、纹理在扫描电镜下的细微结构有显著差异,可作为鉴别真伪乌梢蛇的依据。
Optical and Electron Microscopic Studies to Differentiate Garter Snake
, http://www.100md.com
(Zaocys dhumunades) from Its Fake Adulterants
Yang Xiaoping, Qu Julan and Lin Jinsong
(Zhanjiang Institute for Drug Control, Zhanjiang 524037)
Abstract Identification of Zaocys dhumnades (Colubridae) was mainly based on its outward appearance. But some snakes of the same family looked very similar in appearance, especially when processed into dried segments, and was difficult to distinguish when present as adulterants. The scale of Zaocys dhumnades (Cantor) and that of Ptyas korros (Schlegel), Natrix annularis (Hallowell) and Elaphe mandarina (Cantor) were examined and compared by optical and scanning-electron microscope (SEM). The results showed that their scaly character was quite similar, but different in shape, colour and vein, especially the microstructure under SEM was markedly different which may be used as a basis for the identification of the genuine Zaocys.
, 百拇医药
Key words Zaocys dhumnades (Cantor) SEM microstructure of scales of Zaocys dhumnades (Cantor)
乌梢蛇为常用动物药材,来源于游蛇科动物乌梢蛇Zaocys dhumndes(Cantor)的干燥体。由于其主要来自野生,药源难以满足需求,市场上时有伪品,多为同科动物的干燥全体或加工成寸段等。目前乌梢蛇的鉴别除了外观经验法[1,2],还有骨骼鉴别[3]、凝胶电泳法[4]、薄层层析法[5]等,但这几种方法有一定局限性,当样品为碎段或无正品对照时,用上述方法难以准确鉴别。光镜和电镜已用于蛇类药材鉴别。本文着重对乌梢蛇及其常见伪品的鳞片进行光学显微和扫描电镜鉴别研究,为鉴别真伪乌梢蛇提供依据。
1 材料与方法
1.1 材料:样品购自药材经营单位。乌梢蛇为游蛇科动物乌梢蛇Zaocys dhumndes (Cantor)的干燥体;灰鼠蛇为游蛇科动物灰鼠蛇Ptyas korros (Schlegel)的干燥体;玉斑锦蛇为游蛇科动物玉斑锦蛇Elaphe mandarina (Cantor)的干燥体;水赤链游蛇为游蛇科动物水赤链游蛇Natrix annularis(Hallowell)干燥体。以上品种经作者鉴定,标本保存在广东省湛江市药品检验所标本室。
, http://www.100md.com
1.2 方法:从蛇的背部取下鳞片a)分别用水清洗,以水或稀甘油装片置光学生物显微镜观察;b)分别用双蒸水清洗灰尘,自然干燥后将鳞片外表面向上粘样镀膜,在PHILIPS XL 30扫描电镜下观察。
2 结果
2.1 光学显微镜观察结果见表1。
2.2 扫描电镜观察结果:见图1。
乌梢蛇:鳞片表面有棱脊并增厚,密布横向波状排列的刺状纹饰(图1-A1),刺尖端状如水滴,纹饰中为弯曲不直的条纹,同向紧密排列(图1-A2)。
, 百拇医药
A1,A2-乌梢蛇鳞片 B1,B2-灰鼠蛇鳞片 C1,C2-玉斑锦蛇鳞片 D1,D2-水赤链游蛇鳞片
图1 乌梢蛇及其伪品鳞片的扫描电镜图
表1 乌梢蛇及其伪品鳞片的光镜观察比较
形状
表面颜色、纹理
乌梢蛇
卵形、菱形、游离端较尖
黄褐色、密布颗粒状色斑,有一对椭圆形端窝,纵直纹紧密排列,间距6.8~16.8 μm;脊鳞有一条棱脊
, http://www.100md.com
灰鼠蛇
卵形、菱形、游离端钝圆
浅黄棕色、有点状色斑,无端窝,纵直纹紧密排列,间距6.8~19.2 μm;脊鳞无棱脊
玉斑锦蛇
卵形、菱形、游离端钝圆
浅黄棕色、有点状色斑,有一对椭圆形端窝,纵向排列短线纹隐约可见;脊鳞无棱脊
水赤链
游蛇
卵形、菱形、近六角形,游离端钝圆
浅黄棕色,无端窝,有排列较疏的弯曲纵纹,间距16.8~28.8 μm;脊鳞有一条棱脊
, http://www.100md.com
灰鼠蛇:鳞片表面有棱脊并增厚,密布横向波状排列的刺状纹饰(图1-B1),其中密布类圆形、卵圆形或长条形凹陷(图1-B2)。
玉斑锦蛇:鳞片表面无棱脊,密布波状横向排列刺状纹饰(图1-C1),其中有圆点状凹陷(图1-C2)。
水赤链游蛇:鳞片表面有棱脊,不增厚,密布波状横向排列刺状纹饰 (图1-D1),刺尖不明显,有蝌蚪状或类卵形凹陷(图1-D2)。
3 讨论
由于蛇类药材鳞片不易完整取下,可用棉花沾水润湿片刻,以镊子小心撕取。鳞片表面杂质影响观察,故必须反复冲洗干净。乌梢蛇鳞片背面的电镜特征与伪品相同,无鉴别意义。商品流通中冒充乌梢蛇的蛇类较多[9],本实验选取3种常见伪品观察比较,其中灰鼠蛇、水赤链游蛇外观上与乌梢蛇易混淆。
, 百拇医药
结果表明,乌梢蛇鳞片与3种伪品有相似处,但在形状、颜色、纹理等方面有所不同。扫描电镜观察到这几种游蛇科蛇的鳞片表面纹理的细微结构——刺状纹饰[6],呈横向波状排列,但纹饰结构各不相同,有显著差异。这些特征具有稳定、直观、可靠、易于识别的特点,可作为鉴别真伪乌梢蛇药材的依据。
参考文献
1 中华人民共和国卫生部药典委员会编.中华人民共和国药典.一部.广州:广东科技出版社,1995:61
2 李满联,等.中国医药学报,1993,8(2):47
3 黄泽崧,等.中国中药杂志,1992,17(8):457
4 刘训红,等.中药材,1991,14(7):27
5 刘训红,等.中国中药杂志,1991,16(7):395
6 何报作,等.中药材,1992,15(12):20
7 徐雅娟,等.中国药学杂志,1992,27(2):78
8 王春根,等.中药通报,1987,12(9):8
9 中国药品生物制品检定所,等.中国中药材真伪鉴别图典.广州:广东科技出版社,1995:92
收稿日期:1998-09-02, 百拇医药(杨小平* 屈菊兰 林劲松)