免疫组化法检测非小细胞肺癌患者α-连环素表达
作者:张庆玲 王志新 王亚丽
单位:张庆玲 王志新 (第三军医大学附属新桥医院全军肿瘤中心) 重庆,400037;王亚丽(第三军医大学附属新桥医院全军肿瘤中心 病理科) 重庆,400037
关键词:α-连环素;肺肿瘤;免疫组化
提 要 目的
提 要 目的:探讨α-连环素(α-catenin, α-cat)在非小细胞肺癌(NSCLC) 中的表达情况及其临床意义。方法:采用链霉抗生物素蛋白-过氧化物酶(S-P)免疫组化法检测71例NSCLC手术标本α-cat 表达。结果:肺癌标本α-cat 表达异常形式包括异位表达和阴性。56.3%(40/71)肺癌标本α-cat 表达异常,包括16.9%(12/71)异位表达和39.4%(28/71)阴性。伴有淋巴结转移的NSCLC标本中,α-cat表达异常占70%(28/40),包括25%(10/40)异位表达、45%(18/40)阴性。无淋巴结转移组仅有38.7%(12/31) α-cat表达异常,其中异位表达6.4%(2/31)、阴性32.3%(10/31),α-cat 表达异常与淋巴结转移相差非常显著(P<0.01)。不同分化程度NSCLC中,α-cat表达异常的频率在低、中和高分化组分别为66.7%、65.2%、20%(P<0.01)。结论:肺癌组织中普遍存在α-cat 表达异常。α-cat表达异常与NSCLC的淋巴结转移及组织分化程度相差显著。α-cat 表达异常可能通过抑制细胞分化和促进淋巴结转移而影响NSCLC的临床进展。
, http://www.100md.com
中图法分类号 R734.2 文献标识码:A
Determination of α-catenin expression in cases of non-small cell lung cancer with immunohistochemical technique
Zhang Qingling, Wang Zhixin, Wang Yali (Department of Oncology, Xinqiao Hospital, Third Military Medical University,Chongqing,400037)
Abstract Objective: To study the expression of α-catenin and its relationship with clinical pathology in cases of non-small cell lung cancer (NSCLC). Method: The expression of α-catenin was determined in 71 samples of lung tissues or lymph node from cases of NSCLC with S-P technique. Result: The abnormal expression of α-catenin of the specimens of NSCLC existed in 2 forms, cytoplasmic expression and negative expression. In the samples of lung tissues, 56.3%(40/71) showed abnormal expression including 16.9%(12/71) of cytoplasmic expression and 39.4%(28/71) of negative expression. In 40 samples of lymph nodes, abnormal expression occurred in 70% (28/40) including 25%(10/40) of cytoplasmic expression and 45%(48/40) of negative expression. Abnormal α-catenin expression occurred in 20% of the cases of well-differentiated cancer, 65.2% of cases with moderately-differentiated cancer and 66.7% of cases with poorly-differentiated one.Conclusion: Abnormal expression of α-catenin in cases of NSCLC is significantly correlated to lymph node metastasis and degree of cell differentiation of NSCLC. Negative expression of α-catenin may result from undifferentiation and accelerated metastasis to the lymph nodes of NSCLS.
, 百拇医药
Key words α-catenin; nonsmall cell lung cancer; immunohistochemisty
α-连环素(α-catenin, α-cat)可与钙离子依赖性上皮细胞粘附分子(E-cadherin, E-CD)形成上皮细胞粘附分子复合物(E-CD/cat)。正常功能的E-CD有促进上皮细胞分化,抑制细胞脱落转移的作用。α-cat通过维持E-CD正常功能,促进上皮组织形成和维持组织结构完整。α-cat异常可导致E-CD/cat复合物功能改变,细胞间粘附性降低,细胞易于脱落、转移。体外研究显示α-cat还有独立抑制侵袭转移能力[1]。目前α-cat在肿瘤组织中的表达及作用尚不清楚。肺癌是最容易发生转移的肿瘤之一, 但迄今关于肺癌转移机制及其生物学基础众说不一。为探讨α-cat在肺癌进展中的作用,我们用免疫组化技术检测了非小细胞肺癌(Non-small cell lung cancer,NSCLC)中α-cat表达情况,以了解其临床意义。
, 百拇医药
1 材料与方法
1.1 标本来源
71例非小细胞肺癌手术标本分别取自我校附属一、二、三院胸外科,其中男性患者56例,女性患者15例,年龄在35~69岁,平均53.3岁。鳞癌30例,腺癌32例,腺鳞混合癌9例。其中40例伴有淋巴结转移。患者术前皆未做放疗或化疗。
1.2 主要试剂
鼠抗人α-cat 单抗由日本Nagafuchi教授惠赠。免疫组化试剂盒购于福州迈新生物试剂公。
1.3 方法
采用免疫组化链霉抗生物素蛋白-过氧化物酶(S-P)法。常规固定包埋,切片(切片厚度4μm),脱蜡,梯度酒精水化,过氧化氢阻断及正常动物血清室温孵育,抗α-cat单抗(1∶10)4°C过夜, 二抗、三抗37℃孵育各45 min。除血清孵育外,其间各步均以PBS漂洗。DAB显色10~15 min,苏木素复染,脱水、透明、封片。 分别设阳性对照和阴性对照,每例切片均作常规HE染色。
, 百拇医药
1.4 结果评判
免疫染色阳性信号为棕黄色,正常组织染色定位上皮细胞膜,间质细胞无表达。以同一患者正常肺组织染色强度为阳性对照标准,不加抗体显色结果为阴性对照标准。-:与阴性对照相同;+:<15%癌细胞阳性;+ +:15%~50%癌细胞阳性;+++:>50%癌细胞阳性。+ +~+++:细胞膜表达为膜表达阳性,胞浆表达和膜浆共同表达为不均匀异位表达;-~+:表达阴性,不均匀异位表达和阴性统归为表达异常。
1.5 统计学处理
采用χ2检验。
2 结果
2.1 正常肺组织和肺癌组织中α-cat表达情况
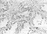
正常肺组织α-cat主要定位于支气管粘膜上皮及支气管旁腺上皮细胞膜,肺泡上皮细胞也有弱的膜表达。肺癌组织中,有56.3%(40/71)α-cat表达异常,包括16.9%(12/71)异位胞浆表达和39.4%(28/71)阴性,见图1。保存α-cat膜表达仅占43.7%(31/71),见图2。
, http://www.100md.com
图1 肺腺癌组织α-cat免疫组化染色示胞浆表达阳性 (S-P×400)
Fig 1 Cytoplasmic positivity of α-catenin protein in lung adenocarcinoma
with immunohistochemisty straining (S-P×400)
图2 肺鳞癌组织α-cat免疫组化染色示膜浆表达阳性 (S-P×400)
Fig 2 Cytoplasmic and membranous positivity of α-catenin protein in lung squamous cell carcanoma with immunohistochemisty straining (S-P×400)
, http://www.100md.com
2.2 α-cat表达与NSCLC临床病理学关系
70%(28/40) 伴有淋巴结转移的肺癌组织α-cat表达异常,包括25%(10/40)异位表达、45%(18/40)阴性。不伴有淋巴结转移组有38.7%(12/31) α-cat 表达异常,其中异位表达6.4%(2/31)、阴性32.3%(10/31),α-cat 表达异常与淋巴结转移相差非常显著(P<0.01)。不同分化程度的肺癌比较显示,中、低分化肺癌α-cat异常分别为65.2%(15/23)和66.7%(22/33),高分化肺癌则仅有20%(3/15) α-cat表达异常,低、中、高分化组中α-cat 不表达分别占51.5%(17/33)、43.5%(10/23)、6.7%(1/15),异位表达分别占15.2%(5/33)、21.7%(5/23)和13.3%(2/15)。两两比较显示α-cat 表达异常在高分化组与低、中分化组之间相差非常显著(P<0.01)。腺癌、鳞癌和腺鳞混合癌α-cat 表达异常水平依次递增,分别为46.9%、60%、77.8%,但3组之间相差不显著(P>0.05),见表1。
, 百拇医药
表1 α- cat表达与NSCLC的临床病理关系
Tab 1 The relationship of expression of α-catenin with
clinical pathology in non-small cell lung cancer
n
Positive
Disorder expression
Heterogenous
Negative
Differentiation
, http://www.100md.com
Poor
33
11
5
17
Moderate
23
8
5
10
Well
15
12
, http://www.100md.com 2
1
Metastasis
Positive
40
12
10
18
Negative
31
19
2
10
, 百拇医药
Type
Adenocarcinoma
32
17
5
10
Squamouse
30
12
3
15
Adenosquamocarcinoma
9
, 百拇医药
2
4
3
3 讨论
连环素是一类粘附分子相关蛋白,它包括 α-、β-、γ-cat 3种亚型,其分子量分别为102×103、88×103和80×103 u。上皮细胞粘附分子属钙离子依赖性细胞-细胞粘附分子的1种,它的胞浆内区可以与α-β或α-γ异二聚体形成上皮细胞粘附分子—连环素复合物(E-CD/cat);同时α-cat羧基末端与细胞骨架的肌动蛋白丝(Actin)结合,使E-CD稳定于细胞-细胞连接处,维持细胞骨架稳定及其在细胞-细胞连接处的特异性定位,介导细胞-细胞间粘附。
, 百拇医药 α-cat基因定位于染色体5q21-22。Oda[2] 等发现肺癌PC9细胞株α-cat基因及相应mRNA缺失,α-cat蛋白不表达,E-CD 散乱分布于细胞内,细胞E-CD/cat粘附系统功能紊乱,失去上皮细胞原型,并获得较强的侵袭力。国外还有报道,前列腺癌PC3细胞株、胃癌、结肠癌、卵巢癌中普遍存在α-cat蛋白表达异常[3~6],包括表达降低、不表达及不均匀异位表达,并与食管癌分化、侵袭、转移相差非常显著[7]。认为α-cat蛋白异常可能与肿瘤细胞从原发部位脱落,形成远处转移和细胞分化有关。体外α-cat基因转染技术显示[8],淋巴细胞不表达内源性钙粘蛋白,虽然α-cat mRNA正常,但是其α-cat蛋白表达很少;转染外源性钙粘蛋白后,α-cat蛋白呈高表达,而α-cat mRNA水平无改变,提示E-CD可能通过降低游离α-cat浓度、增加α-cat翻译水平、并与α-cat特异性结合维持α-cat蛋白稳定性,调节α-cat正常功能,说明α-cat可能与E-CD相互影响,共同维持上皮细胞原型、抑制肿瘤转移。
, http://www.100md.com
我们检测了非小细胞肺癌(NSCLC)患者α-cat表达情况。发现NSCLC中有56.3%的患者α-cat表达异常,明显高于正常肺上皮细胞,癌周正常肺组织也存在α-cat 不表达现象,提示α-cat表达异常可能与细胞早期恶性转化有关。NSCLC中α-cat表达异常包括不均匀异位表达和不表达,并以不表达为主,占70%,说明NSCLC中存在高频率α-cat蛋白表达缺失。而α-cat异位胞浆表达的生物学意义目前尚不清楚;α-cat属胞浆蛋白,正常组织中其与E-CD结合而定位于细胞膜;肿瘤中α-cat蛋白的不均匀异位表达形式,提示α-cat还存在着组织定位的改变,异位胞浆表达的α-cat可能是失去与E-CD结合的游离蛋白。推测异位表达的α-cat有某种特殊功能,可能在E-CD/cat复合物联合表达异常或细胞恶性转化中起作用。
伴有淋巴结转移的NSCLC标本α-cat表达异常的频率明显高于不伴有淋巴结转移组,提示α-cat表达异常可能是导致肺癌细胞从原发部位脱落形成淋巴结转移的原因之一。不同分化程度患者之间,α-cat表达异常与NSCLC的分化相关非常显著, 其中低、中分化肺癌分别仅有33.3%和34.8%保存α-cat表达;高分化组则有80%保存α-cat表达,与低、中分化组之间相差非常显著。说明失去α-cat表达可能导致NSCLC组织细胞失去正常上皮细胞表型。
, 百拇医药
肿瘤细胞转移能力和失去正常分化程度是肿瘤细胞恶性程度的标志之一,其机制相当复杂。我们的研究提示,NSCLC患者α-cat除表达降低外,可能还存在结构和功能改变;α-cat表达异常与NSCLC分化有关,还可能是预测NSCLC淋巴结转移的独立因子。导致肺癌组织细胞低分化的过程是内外环境多因素共同作用的结果,异常表达的α-cat可能是其原因之一。
作者简介:张庆玲,女,28岁,住院医师,硕士研究生
参考文献
1 Kurt H, Masayuki O, Christoph E, et al. The Uvomorulin-anchorage protein α-catenin is a vinculin homology. Proc Natl Acad Sci USA,1991,88(20):9156
, 百拇医药
2 Oda T, Kanai Y, Shimoyama Y, et al. Cloning of the human α-catenin cDNA and its aberrant mRNA in a human cancer cell line. Biochem Biophy Res commum,1993,193(3):897
3 Ewing C M, Ning R, Ronald A, et al. Chromosome 5 suppresses tumorigenicity of PC3 prostate cancer cells correlation with re-expression of alpha-catenin and restoration of E-cadherin function. Cancer Res,1995,55(21):4813
4 Hokita S, Nuruki K, Toyoyama H, et al. The expression of cadherin-catenin complex in association with the clinicopathologic features of early gastric cancer. Surg Today,1998,28(6):587
, 百拇医药
5 Davaris P, Karatzas G, Karayannacos P, et al. Level of alpha-catenin expression in colorectal cancer correlates with invasiveness, metastatic potential, and survival. J Surg Oncol,1998;,68(2):92
6 Davies B R, Worsley S D,Ponder B A. Expression of E-cadherin, alpha-catenin and beta-catenin in normal ovarian surface epithelium and epithelial ovarian cancers. Histopathology,1998,32(1):69
7 Takatoshi K, Hitoshi S, Masatoshi I, et al. E-cadherin and α-catenin expression in human esophageal cancer. Cancer Res,1994,54(1):291
8 Stefan J V, Erik A B, Marc E, et al. Transition from the noninvasive to the invasive phenotype and loss of α-catenin in human colon cancer cells. Cancer Res,1995,55(20):4722
(收稿:1999-03-20;修回:1999-07-16), 百拇医药
单位:张庆玲 王志新 (第三军医大学附属新桥医院全军肿瘤中心) 重庆,400037;王亚丽(第三军医大学附属新桥医院全军肿瘤中心 病理科) 重庆,400037
关键词:α-连环素;肺肿瘤;免疫组化
提 要 目的
提 要 目的:探讨α-连环素(α-catenin, α-cat)在非小细胞肺癌(NSCLC) 中的表达情况及其临床意义。方法:采用链霉抗生物素蛋白-过氧化物酶(S-P)免疫组化法检测71例NSCLC手术标本α-cat 表达。结果:肺癌标本α-cat 表达异常形式包括异位表达和阴性。56.3%(40/71)肺癌标本α-cat 表达异常,包括16.9%(12/71)异位表达和39.4%(28/71)阴性。伴有淋巴结转移的NSCLC标本中,α-cat表达异常占70%(28/40),包括25%(10/40)异位表达、45%(18/40)阴性。无淋巴结转移组仅有38.7%(12/31) α-cat表达异常,其中异位表达6.4%(2/31)、阴性32.3%(10/31),α-cat 表达异常与淋巴结转移相差非常显著(P<0.01)。不同分化程度NSCLC中,α-cat表达异常的频率在低、中和高分化组分别为66.7%、65.2%、20%(P<0.01)。结论:肺癌组织中普遍存在α-cat 表达异常。α-cat表达异常与NSCLC的淋巴结转移及组织分化程度相差显著。α-cat 表达异常可能通过抑制细胞分化和促进淋巴结转移而影响NSCLC的临床进展。
, http://www.100md.com
中图法分类号 R734.2 文献标识码:A
Determination of α-catenin expression in cases of non-small cell lung cancer with immunohistochemical technique
Zhang Qingling, Wang Zhixin, Wang Yali (Department of Oncology, Xinqiao Hospital, Third Military Medical University,Chongqing,400037)
Abstract Objective: To study the expression of α-catenin and its relationship with clinical pathology in cases of non-small cell lung cancer (NSCLC). Method: The expression of α-catenin was determined in 71 samples of lung tissues or lymph node from cases of NSCLC with S-P technique. Result: The abnormal expression of α-catenin of the specimens of NSCLC existed in 2 forms, cytoplasmic expression and negative expression. In the samples of lung tissues, 56.3%(40/71) showed abnormal expression including 16.9%(12/71) of cytoplasmic expression and 39.4%(28/71) of negative expression. In 40 samples of lymph nodes, abnormal expression occurred in 70% (28/40) including 25%(10/40) of cytoplasmic expression and 45%(48/40) of negative expression. Abnormal α-catenin expression occurred in 20% of the cases of well-differentiated cancer, 65.2% of cases with moderately-differentiated cancer and 66.7% of cases with poorly-differentiated one.Conclusion: Abnormal expression of α-catenin in cases of NSCLC is significantly correlated to lymph node metastasis and degree of cell differentiation of NSCLC. Negative expression of α-catenin may result from undifferentiation and accelerated metastasis to the lymph nodes of NSCLS.
, 百拇医药
Key words α-catenin; nonsmall cell lung cancer; immunohistochemisty
α-连环素(α-catenin, α-cat)可与钙离子依赖性上皮细胞粘附分子(E-cadherin, E-CD)形成上皮细胞粘附分子复合物(E-CD/cat)。正常功能的E-CD有促进上皮细胞分化,抑制细胞脱落转移的作用。α-cat通过维持E-CD正常功能,促进上皮组织形成和维持组织结构完整。α-cat异常可导致E-CD/cat复合物功能改变,细胞间粘附性降低,细胞易于脱落、转移。体外研究显示α-cat还有独立抑制侵袭转移能力[1]。目前α-cat在肿瘤组织中的表达及作用尚不清楚。肺癌是最容易发生转移的肿瘤之一, 但迄今关于肺癌转移机制及其生物学基础众说不一。为探讨α-cat在肺癌进展中的作用,我们用免疫组化技术检测了非小细胞肺癌(Non-small cell lung cancer,NSCLC)中α-cat表达情况,以了解其临床意义。
, 百拇医药
1 材料与方法
1.1 标本来源
71例非小细胞肺癌手术标本分别取自我校附属一、二、三院胸外科,其中男性患者56例,女性患者15例,年龄在35~69岁,平均53.3岁。鳞癌30例,腺癌32例,腺鳞混合癌9例。其中40例伴有淋巴结转移。患者术前皆未做放疗或化疗。
1.2 主要试剂
鼠抗人α-cat 单抗由日本Nagafuchi教授惠赠。免疫组化试剂盒购于福州迈新生物试剂公。
1.3 方法
采用免疫组化链霉抗生物素蛋白-过氧化物酶(S-P)法。常规固定包埋,切片(切片厚度4μm),脱蜡,梯度酒精水化,过氧化氢阻断及正常动物血清室温孵育,抗α-cat单抗(1∶10)4°C过夜, 二抗、三抗37℃孵育各45 min。除血清孵育外,其间各步均以PBS漂洗。DAB显色10~15 min,苏木素复染,脱水、透明、封片。 分别设阳性对照和阴性对照,每例切片均作常规HE染色。
, 百拇医药
1.4 结果评判
免疫染色阳性信号为棕黄色,正常组织染色定位上皮细胞膜,间质细胞无表达。以同一患者正常肺组织染色强度为阳性对照标准,不加抗体显色结果为阴性对照标准。-:与阴性对照相同;+:<15%癌细胞阳性;+ +:15%~50%癌细胞阳性;+++:>50%癌细胞阳性。+ +~+++:细胞膜表达为膜表达阳性,胞浆表达和膜浆共同表达为不均匀异位表达;-~+:表达阴性,不均匀异位表达和阴性统归为表达异常。
1.5 统计学处理
采用χ2检验。
2 结果
2.1 正常肺组织和肺癌组织中α-cat表达情况
正常肺组织α-cat主要定位于支气管粘膜上皮及支气管旁腺上皮细胞膜,肺泡上皮细胞也有弱的膜表达。肺癌组织中,有56.3%(40/71)α-cat表达异常,包括16.9%(12/71)异位胞浆表达和39.4%(28/71)阴性,见图1。保存α-cat膜表达仅占43.7%(31/71),见图2。
, http://www.100md.com
图1 肺腺癌组织α-cat免疫组化染色示胞浆表达阳性 (S-P×400)
Fig 1 Cytoplasmic positivity of α-catenin protein in lung adenocarcinoma
with immunohistochemisty straining (S-P×400)
图2 肺鳞癌组织α-cat免疫组化染色示膜浆表达阳性 (S-P×400)
Fig 2 Cytoplasmic and membranous positivity of α-catenin protein in lung squamous cell carcanoma with immunohistochemisty straining (S-P×400)
, http://www.100md.com
2.2 α-cat表达与NSCLC临床病理学关系
70%(28/40) 伴有淋巴结转移的肺癌组织α-cat表达异常,包括25%(10/40)异位表达、45%(18/40)阴性。不伴有淋巴结转移组有38.7%(12/31) α-cat 表达异常,其中异位表达6.4%(2/31)、阴性32.3%(10/31),α-cat 表达异常与淋巴结转移相差非常显著(P<0.01)。不同分化程度的肺癌比较显示,中、低分化肺癌α-cat异常分别为65.2%(15/23)和66.7%(22/33),高分化肺癌则仅有20%(3/15) α-cat表达异常,低、中、高分化组中α-cat 不表达分别占51.5%(17/33)、43.5%(10/23)、6.7%(1/15),异位表达分别占15.2%(5/33)、21.7%(5/23)和13.3%(2/15)。两两比较显示α-cat 表达异常在高分化组与低、中分化组之间相差非常显著(P<0.01)。腺癌、鳞癌和腺鳞混合癌α-cat 表达异常水平依次递增,分别为46.9%、60%、77.8%,但3组之间相差不显著(P>0.05),见表1。
, 百拇医药
表1 α- cat表达与NSCLC的临床病理关系
Tab 1 The relationship of expression of α-catenin with
clinical pathology in non-small cell lung cancer
n
Positive
Disorder expression
Heterogenous
Negative
Differentiation
, http://www.100md.com
Poor
33
11
5
17
Moderate
23
8
5
10
Well
15
12
, http://www.100md.com 2
1
Metastasis
Positive
40
12
10
18
Negative
31
19
2
10
, 百拇医药
Type
Adenocarcinoma
32
17
5
10
Squamouse
30
12
3
15
Adenosquamocarcinoma
9
, 百拇医药
2
4
3
3 讨论
连环素是一类粘附分子相关蛋白,它包括 α-、β-、γ-cat 3种亚型,其分子量分别为102×103、88×103和80×103 u。上皮细胞粘附分子属钙离子依赖性细胞-细胞粘附分子的1种,它的胞浆内区可以与α-β或α-γ异二聚体形成上皮细胞粘附分子—连环素复合物(E-CD/cat);同时α-cat羧基末端与细胞骨架的肌动蛋白丝(Actin)结合,使E-CD稳定于细胞-细胞连接处,维持细胞骨架稳定及其在细胞-细胞连接处的特异性定位,介导细胞-细胞间粘附。
, 百拇医药 α-cat基因定位于染色体5q21-22。Oda[2] 等发现肺癌PC9细胞株α-cat基因及相应mRNA缺失,α-cat蛋白不表达,E-CD 散乱分布于细胞内,细胞E-CD/cat粘附系统功能紊乱,失去上皮细胞原型,并获得较强的侵袭力。国外还有报道,前列腺癌PC3细胞株、胃癌、结肠癌、卵巢癌中普遍存在α-cat蛋白表达异常[3~6],包括表达降低、不表达及不均匀异位表达,并与食管癌分化、侵袭、转移相差非常显著[7]。认为α-cat蛋白异常可能与肿瘤细胞从原发部位脱落,形成远处转移和细胞分化有关。体外α-cat基因转染技术显示[8],淋巴细胞不表达内源性钙粘蛋白,虽然α-cat mRNA正常,但是其α-cat蛋白表达很少;转染外源性钙粘蛋白后,α-cat蛋白呈高表达,而α-cat mRNA水平无改变,提示E-CD可能通过降低游离α-cat浓度、增加α-cat翻译水平、并与α-cat特异性结合维持α-cat蛋白稳定性,调节α-cat正常功能,说明α-cat可能与E-CD相互影响,共同维持上皮细胞原型、抑制肿瘤转移。
, http://www.100md.com
我们检测了非小细胞肺癌(NSCLC)患者α-cat表达情况。发现NSCLC中有56.3%的患者α-cat表达异常,明显高于正常肺上皮细胞,癌周正常肺组织也存在α-cat 不表达现象,提示α-cat表达异常可能与细胞早期恶性转化有关。NSCLC中α-cat表达异常包括不均匀异位表达和不表达,并以不表达为主,占70%,说明NSCLC中存在高频率α-cat蛋白表达缺失。而α-cat异位胞浆表达的生物学意义目前尚不清楚;α-cat属胞浆蛋白,正常组织中其与E-CD结合而定位于细胞膜;肿瘤中α-cat蛋白的不均匀异位表达形式,提示α-cat还存在着组织定位的改变,异位胞浆表达的α-cat可能是失去与E-CD结合的游离蛋白。推测异位表达的α-cat有某种特殊功能,可能在E-CD/cat复合物联合表达异常或细胞恶性转化中起作用。
伴有淋巴结转移的NSCLC标本α-cat表达异常的频率明显高于不伴有淋巴结转移组,提示α-cat表达异常可能是导致肺癌细胞从原发部位脱落形成淋巴结转移的原因之一。不同分化程度患者之间,α-cat表达异常与NSCLC的分化相关非常显著, 其中低、中分化肺癌分别仅有33.3%和34.8%保存α-cat表达;高分化组则有80%保存α-cat表达,与低、中分化组之间相差非常显著。说明失去α-cat表达可能导致NSCLC组织细胞失去正常上皮细胞表型。
, 百拇医药
肿瘤细胞转移能力和失去正常分化程度是肿瘤细胞恶性程度的标志之一,其机制相当复杂。我们的研究提示,NSCLC患者α-cat除表达降低外,可能还存在结构和功能改变;α-cat表达异常与NSCLC分化有关,还可能是预测NSCLC淋巴结转移的独立因子。导致肺癌组织细胞低分化的过程是内外环境多因素共同作用的结果,异常表达的α-cat可能是其原因之一。
作者简介:张庆玲,女,28岁,住院医师,硕士研究生
参考文献
1 Kurt H, Masayuki O, Christoph E, et al. The Uvomorulin-anchorage protein α-catenin is a vinculin homology. Proc Natl Acad Sci USA,1991,88(20):9156
, 百拇医药
2 Oda T, Kanai Y, Shimoyama Y, et al. Cloning of the human α-catenin cDNA and its aberrant mRNA in a human cancer cell line. Biochem Biophy Res commum,1993,193(3):897
3 Ewing C M, Ning R, Ronald A, et al. Chromosome 5 suppresses tumorigenicity of PC3 prostate cancer cells correlation with re-expression of alpha-catenin and restoration of E-cadherin function. Cancer Res,1995,55(21):4813
4 Hokita S, Nuruki K, Toyoyama H, et al. The expression of cadherin-catenin complex in association with the clinicopathologic features of early gastric cancer. Surg Today,1998,28(6):587
, 百拇医药
5 Davaris P, Karatzas G, Karayannacos P, et al. Level of alpha-catenin expression in colorectal cancer correlates with invasiveness, metastatic potential, and survival. J Surg Oncol,1998;,68(2):92
6 Davies B R, Worsley S D,Ponder B A. Expression of E-cadherin, alpha-catenin and beta-catenin in normal ovarian surface epithelium and epithelial ovarian cancers. Histopathology,1998,32(1):69
7 Takatoshi K, Hitoshi S, Masatoshi I, et al. E-cadherin and α-catenin expression in human esophageal cancer. Cancer Res,1994,54(1):291
8 Stefan J V, Erik A B, Marc E, et al. Transition from the noninvasive to the invasive phenotype and loss of α-catenin in human colon cancer cells. Cancer Res,1995,55(20):4722
(收稿:1999-03-20;修回:1999-07-16), 百拇医药