肝癌和癌旁肝组织中IGF-Ⅰ,IGF-Ⅰ受体mRNA的表达
作者:范子荣 杨冬华 覃汉荣 黄纯炽 徐 重 邱庆林
单位:中国人民解放军第一军医大学珠江医院消化科 广东省广州市 510282
关键词:肝肿瘤;肝;胰岛素样生长因子Ⅰ;受体,胰岛素样生长因子Ⅰ;RNA,信使
世界华人消化杂志991006 中国图书馆分类号 R735.7
摘 要
目的 探讨胰岛素样生长因子Ⅰ(IGF-Ⅰ)及其受体(IGF-ⅠR)在肝细胞癌变过程中的作用及意义.
方法 采用DNA-RNA原位杂交方法观察肝癌(n=30)和癌旁肝组织中IGF-Ⅰ,IGF-Ⅰ受体mRNA的表达.
结果 在肝癌和癌旁肝组织中IGF-Ⅰ的表达率分别为40.0%和50.0%,IGF-Ⅰ受体的表达率分别为46.7%和53.3%;IGF-Ⅰ,IGF-Ⅰ受体在分化较差的癌细胞和不典型增生肝细胞中表达最为明显.
, 百拇医药
结论 IGF-Ⅰ和IGF-Ⅰ受体可能在肝细胞癌变过程中发挥重要作用.
Expression of IGF-Ⅰ,IGF-Ⅰ receptor mRNA in hepatocellular carcinomas and adjacent nontumor tissues
FAN Zi-Rong, YANG Dong-Hua, QIN Han-Rong, HUANG Chun-Chi, XU Chong and QIU Qing-Lin
Department of Gastroenterology, Zhujiang Hospital, The First Military Medical University, Guangzhou 510282, Guangdong Province, China
Subject headings liver neoplasms; liver; insulin like growth factor Ⅰ; receptor, insulin like growth factor Ⅰ; mRNA
, 百拇医药
Abstract
AIM To understand the expression of mRNA for insulin-like growth factor Ⅰ(IGF-Ⅰ) and IGF-Ⅰ receptor in the carcinogenesis of patients with hepatocellular carcinomas (HCC).
METHODS In situ hybridization was used to detect the mRNA for IGF-Ⅰ, IGF-Ⅰ receptor in HCC (n=30) and adjacent nontumor tissues.
RESULTS The expression of IGF-Ⅰ mRNA was detected in 40.0% of HCC and 50.0% of adjacent nontumor tissues. A positive hybridization signal of IGF-ⅠR mRNA was found in 46.7% of HCC and 53.3% of adjacent nontumor tissues. Their expression levels related to the HBV infection. The liver cell dysplasia and poorly differentiated HCC cells were stained strongly positive.
, http://www.100md.com
CONCLUSION IGF-Ⅰ and its receptor might play an important role in the development of HCC.
0 引言
胰岛素样生长因子Ⅰ(insulin-like growth factor Ⅰ, IGF-Ⅰ)具有多种生物学功能,有促进细胞有丝分裂的能力,是肿瘤细胞生长的重要有丝分裂原,与许多肿瘤的发生和生长密切相关[1]. IGF-Ⅰ受体则参与许多肿瘤细胞的恶性表型的建立和维持,在细胞转化机制方面可能发挥中心作用[2]. IGF-Ⅰ通过与IGF-Ⅰ受体特异性结合,促进肿瘤细胞的有丝分裂和转化,增强自主性快速生长能力[3]. 研究表明,许多肿瘤细胞均有IGF-Ⅰ,IGF-Ⅰ受体的异常表达,但它们在肝癌(HCC)中的表达和作用尚不清楚. 本实验旨在观察IGF-Ⅰ,IGF-Ⅰ受体mRNA在癌前肝细胞和HCC细胞中的表达和定位情况,以探讨它们在肝细胞癌变演化过程中的作用及意义.
, 百拇医药
1 材料和方法
1.1 材料 HCC 30例,男22例,女8例,年龄19岁~79岁,平均45.3岁. 正常肝组织2例(肝组织结构正常,无HBV感染). 手术切除的新鲜标本即刻置入40mg/L多聚甲醛固定,按原位杂交(DNA-RNA)要求进行石蜡包埋、切片(5μm厚). 标本包括HCC和癌旁肝组织,均经病理学证实,来源于中山医科大学肿瘤医院腹科、第一军医大学南方医院肝胆外科. HCC分级参考Edmondson病理分级,肝细胞不典型增生(liver cell dysplasia, LCD)诊断参考Cohen et al[4]标准. IGF-Ⅰ,IGF-ⅠR寡核苷酸探针由我们自行设计,上海生物化学研究所合成. IGF-Ⅰ寡核苷酸探针序列:5’-GAG CTG TGA TCT AAG GAG GCT GGA GAT GTA TTG CGC ACC C-3’;IGF-ⅠR寡核苷酸探针序列:5’-ATC TTA CTA CAT GGG CTG AAG CCC TGG ACT CAG TAC GCC C-3’. 采用地高辛加尾标记法标记寡核苷酸探针,地高辛寡核苷酸加尾标记和检测试剂盒购自Boehring Mannheim公司.
, 百拇医药
1.2 方法 原位杂交参照苏慧慈et al[5]方法,主要步骤包括:石蜡切片脱蜡水化,蛋白酶K消化(30mg/L~40mg/L,37℃,30min),预杂交(39℃,2h),地高辛标记的IGF-Ⅰ,IGF-ⅠR探针杂交(探针浓度2.5mg/L,39℃,12h~16h),硝基四氮唑/5-溴-4-氯-3-吲哚磷酸(NBT/BCIP)显色,核固红复染胞核,脱水、透明、封片. 以上各步骤间均需充分洗涤. 用正常人肝组织作阴性对照,杂交液中不加探针作空白对照.
统计学处理 应用SPSS软件进行统计学处理,样本间阳性率的比较采用χ2检验,例数较少的样本采用四格表确切概率法.
2 结果
2.1 IGF-Ⅰ,IGF-ⅠR mRNA在HCC和癌旁肝组织中的表达 30例HCC组织中IGF-Ⅰ,IGF-ⅠR mRNA表达的阳性率分别为40.0%(12/30例)和46.7%(14/30例),30例癌旁肝组织中IGF-Ⅰ,IGF-ⅠR mRNA表达的阳性率分别为50.0%(15/30例)和53.3%(16/30例). IGF-Ⅰ,IGF-ⅠR mRNA在癌旁肝组织的表达率略高于其在HCC组织的表达率,但经统计学处理两组间比较差异无显著意义(P>0.05).
, http://www.100md.com
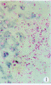
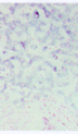
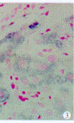
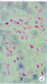
2.2 IGF-Ⅰ,IGF-ⅠR mRNA在HCC和癌旁肝组织中的分布 在HCC和癌旁肝组织中IGF-Ⅰ,IGF-ⅠR mRNA阳性细胞分布不均匀,多呈散在片状或灶状分布,部分区域仅见少数几个阳性细胞,阳性杂交信号呈紫蓝色,均位于胞质,为全胞质型分布. 在HCC组织中,阳性杂交信号多见于分化较差的癌细胞(图1,2);在癌旁肝组织中,阳性杂交信号主要见于肝细胞再生结节和肝细胞不典型增生灶(图3,4).


图1 癌旁肝组织中IGF-Ⅰ mRNA的表达. ISH×200


, http://www.100md.com
图2 癌旁肝组织中IGF-ⅠR mRNA的表达. ISH×200


图3 HCC中IGF-ⅠmRNA的表达. ISH×400


图4 HCC中IGF-ⅠR mRNA的表达. ISH×400
2.3 IGF-Ⅰ,IGF-ⅠR mRNA的表达与HBV感染的关系 HCC组织中IGF-Ⅰ,IGF-ⅠR mRNA的表达与HBV感染的关系见表1,血清HBsAg阳性的HCC组织的IGF-Ⅰ,IGF-ⅠR mRNA的表达率分别为52.4%(11/21例)和61.9%(13/21例),高于血清HBsAg阴性的HCC组织的IGF-Ⅰ,IGF-ⅠR mRNA的表达率(均为11.1%,1/9例),经统计学处理二者间比较有显著差异. 癌旁肝组织IGF-Ⅰ,IGF-ⅠR mRNA的表达与HBV感染的关系见表2,血清HBsAg阳性的癌旁肝组织的IGF-Ⅰ,IGF-ⅠR mRNA的表达率分别为72.7%(16/22例),77.2%(17/22例),高于血清HBsAg阴性的癌旁肝组织的IGF-Ⅰ,IGF-ⅠR mRNA的表达率(均为12.5%,1/8例),经统计学处理二者之间的比较有显著差异.
, http://www.100md.com
2.4 IGF-Ⅰ,IGF-ⅠR mRNA的表达与癌旁肝细胞不典型增生的关系 30例HCC中有明显的肝细胞不典型增生12例(40.0%),伴有肝细胞不典型增生的癌旁肝组织,其IGF-Ⅰ,IGF-ⅠR mRNA的表达率分别为83.3%和91.7%,明显高于不伴有肝细胞不典型增生的癌旁肝组织的表达率(11.1%,16.7%,表3).
表1 HCC组织IGF-Ⅰ,IGF-ⅠR mRNA的表达与HBV感染的关系 HBsAg
n
IGF-Ⅰ
IGF-ⅠR
+(%)
-
+(%)
, http://www.100md.com
-
+
21
11(52.4)a
10a
13(61.9)c
8c
-
9
1(11.1)
8
1(11.1)
, 百拇医药
8
合计
30
12(40.0)
18
14(46.7)
16
aP<0.05,vs HBsAg(-);cP<0.05,vs HBsAg(-).表2 癌旁肝组织IGF-Ⅰ,IGF-ⅠR mRNA的表达与HBV感染的关系 HBsAg
n
IGF-Ⅰ
IGF-ⅠR
, http://www.100md.com
+(%)
-
+(%)
-
+
22
16(72.7)a
6a
17(77.3)c
5c
-
8
, 百拇医药
1(12.5)
7
1(12.5)
7
合计
30
17(56.7)
13
18(60.0)
12
aP<0.05,vs HBsAg(-);cP<0.05,vs HBsAg(-).表3 IGF-Ⅰ,IGF-ⅠR mRNA的表达与肝细胞不典型增生的关系 LCD
, 百拇医药
n
IGF-Ⅰ
IGF-ⅠR
+(%)
-
+(%)
-
+
12
10(83.3)b
2b
11(91.7)d
, 百拇医药
1d
-
18
2(11.1)
16
3(16.7)
15
合计
30
12(40.0)
18
14(46.7)
16
, http://www.100md.com
LCD: liver cell dysplasia
bP<0.01,vs LCD(-);dP<0.01,vs LCD(-).
3 讨论
3.1 HCC和癌旁肝组织中IGF-Ⅰ,IGF-ⅠR mRNA的表达及其意义 IGF-Ⅰ主要靠与IGF-ⅠR结合而起作用,其主要生物学功能是促进有丝分裂和细胞生长,参与建立和维持细胞转化表型. 近年来研究证明IGF-Ⅰ,IGF-ⅠR是正常和恶性细胞增殖的重要自分泌或旁分泌因子,与许多肿瘤细胞的恶性增殖密切相关[6,7]. 我们的研究结果表明,IGF-Ⅰ,IGF-ⅠR mRNA在癌旁肝组织和HCC组织中均有过量表达. 在癌旁肝组织中,阳性表达信号主要见于肝细胞再生结节和肝细胞不典型增生灶,IGF-Ⅰ,IGF-ⅠR在肝细胞癌前期即开始大量过表达,提示IGF-Ⅰ可能通过与IGF-ⅠR结合,促进癌前期肝细胞的异常增殖、生长与分化,并在一定条件下加速其恶性转化而发生肝细胞癌变[8]. 在HCC组织中,分化较差的HCC细胞其IGF-Ⅰ,IGF-ⅠR mRNA表达信号较强,提示IGF-Ⅰ,IGF-ⅠR的表达与HCC的分化程度有关. 在HCC细胞中IGF-Ⅰ可能通过自分泌或旁分泌生长刺激机制,加速HCC细胞的自主性生长,维持其恶性表型[9].
, 百拇医药
癌旁伴有肝细胞不典型增生的组织内IGF-Ⅰ,IGF-ⅠR mRNA的表达,明显高于癌旁无肝细胞不典型增生组织的表达. 肝细胞不典型增生是HCC的癌前病变之一,细胞增殖较为活跃,IGF-Ⅰ,IGF-ⅠR在存在肝细胞不典型增生的癌旁肝组织内的过量表达,提示IGF-Ⅰ,IGF-ⅠR的过表达是HCC发生的早期事件,与肝细胞癌变演化过程关系密切.
3.2 HBV感染与IGF-Ⅰ,IGF-ⅠR基因表达的关系 流行病学调查表明,人类HCC的发生与HBV感染有着密切的关系,但HBV致癌的分子机制尚未完全明确. 近年来的研究表明HBVxAg是一种重要的转录激活因子,具有反式激活作用(transactivation),它可以激活多种细胞基因和病毒基因,在肝癌的形成过程中具有重要作用. Kim et al[10]发现在HCC细胞系中IGF-ⅠR mRNA的表达与HBV X基因的表达密切相关,提出HBVxAg通过反式激活作用激活IGF-ⅠR基因. 在我们的研究中,发现HCC和癌旁肝组织中IGF-Ⅰ,IGF-ⅠR基因的表达与HBV感染有关,提示HBV可能通过HBVxAg反式激活作用激活IGF-Ⅰ,IGF-ⅠR基因. IGF-Ⅰ,IGF-ⅠR基因的表达与HBV在肝细胞癌变过程中的确切关系,仍有待进一步研究.
, 百拇医药
作者简介:范子荣,男,1965-01-10生,广西壮族自治区平南县人,汉族. 第一军医大学硕士,消化学主治医师,讲师,主要从事肝癌的基因诊断与治疗研究工作.
国家自然科学基金资助项目,No.39470774
通讯作者:范子荣,510282,广东省广州市,中国人民解放军第一军医大学珠江医院消化科.
Correspondence to:FAN Zi-Rong, Department of Gastroenterology, Zhujiang Hospital, The First Military Medical University, Guangzhou 510282, Guangdong Province, China
Tel. +86.20.85143361
, 百拇医药
Email.fanzr@fimmu.edu.cn
参考文献
1 Macaulay VM. Insulin-like growth factors and cancer. Br J Cancer, 1992;65:311-320
2 Baserga R. The insulin-like growth factor Ⅰ receptor: a key to tumor growth Cancer Res, 1995;55:249-252
3 Resnicoff M, Coppola D, Sell C, Rubin R, Ferrone S, Baserga R. Growth inhibition of human melanoma cells in nude mice by antisense strategies to the type 1 insulin-like growth factor receptor. Cancer Res, 1994;54:4848-4850
, 百拇医药
4 Cohen C, Berson SD. Liver cell dysplasia in normal, cirrhotic and hepatocellular carcinoma patients. Cancer, 1986;57:1535-1538
5 Su HC. Insitu hybridization. Beijing: Science and Technology Press of China, 1994:63-84
6 Steller MA, Delgado CH, Bartels CJ, Woodworth CD, Zou Z. Overexpression of the insulin-like growth factor-1 receptor and autocrine stimulation in human cervical cancer cells. Cancer Res, 1996;56:1761-1765
, 百拇医药
7 Long L, Nip J, Brodt P. Paracrine growth stimulation by hepatocyte-derived insulin-like growth factor-1: a regulatory mechanism for carcinoma cells metastatic to the liver. Cancer Res, 1994;54:3732-3737
8 Baserga R, Hongo A, Rubini M, Prisco M, Valentinis B. The IGF-Ⅰ receptor in cell growth, transformation and apoptosis. Biochim Biophys Acta, 1997;1332:F105-126
9 Trojan J, Blossey BK, Johnson TR, Rudin SD, Tykocinski M, Ilan J. Loss of tumorigenicity of rat glioblastoma directed by episome-based antisense cDNA transcription of insulin-like growth factor Ⅰ. Proc Natl Acad Sci USA, 1992;89:4874-4878
10 Kim SO, Park JG, Lee YI. Increased expression of the insulin-like growth factor Ⅰ (IGF-Ⅰ) receptor gene in hepatocellular carcinoma cell lines: implications of IGF-Ⅰ receptor gene activation by hepatitis B virus X gene product. Cancer Res, 1996;56:3831-3836
收稿日期 1999-05-09, 百拇医药
单位:中国人民解放军第一军医大学珠江医院消化科 广东省广州市 510282
关键词:肝肿瘤;肝;胰岛素样生长因子Ⅰ;受体,胰岛素样生长因子Ⅰ;RNA,信使
世界华人消化杂志991006 中国图书馆分类号 R735.7
摘 要
目的 探讨胰岛素样生长因子Ⅰ(IGF-Ⅰ)及其受体(IGF-ⅠR)在肝细胞癌变过程中的作用及意义.
方法 采用DNA-RNA原位杂交方法观察肝癌(n=30)和癌旁肝组织中IGF-Ⅰ,IGF-Ⅰ受体mRNA的表达.
结果 在肝癌和癌旁肝组织中IGF-Ⅰ的表达率分别为40.0%和50.0%,IGF-Ⅰ受体的表达率分别为46.7%和53.3%;IGF-Ⅰ,IGF-Ⅰ受体在分化较差的癌细胞和不典型增生肝细胞中表达最为明显.
, 百拇医药
结论 IGF-Ⅰ和IGF-Ⅰ受体可能在肝细胞癌变过程中发挥重要作用.
Expression of IGF-Ⅰ,IGF-Ⅰ receptor mRNA in hepatocellular carcinomas and adjacent nontumor tissues
FAN Zi-Rong, YANG Dong-Hua, QIN Han-Rong, HUANG Chun-Chi, XU Chong and QIU Qing-Lin
Department of Gastroenterology, Zhujiang Hospital, The First Military Medical University, Guangzhou 510282, Guangdong Province, China
Subject headings liver neoplasms; liver; insulin like growth factor Ⅰ; receptor, insulin like growth factor Ⅰ; mRNA
, 百拇医药
Abstract
AIM To understand the expression of mRNA for insulin-like growth factor Ⅰ(IGF-Ⅰ) and IGF-Ⅰ receptor in the carcinogenesis of patients with hepatocellular carcinomas (HCC).
METHODS In situ hybridization was used to detect the mRNA for IGF-Ⅰ, IGF-Ⅰ receptor in HCC (n=30) and adjacent nontumor tissues.
RESULTS The expression of IGF-Ⅰ mRNA was detected in 40.0% of HCC and 50.0% of adjacent nontumor tissues. A positive hybridization signal of IGF-ⅠR mRNA was found in 46.7% of HCC and 53.3% of adjacent nontumor tissues. Their expression levels related to the HBV infection. The liver cell dysplasia and poorly differentiated HCC cells were stained strongly positive.
, http://www.100md.com
CONCLUSION IGF-Ⅰ and its receptor might play an important role in the development of HCC.
0 引言
胰岛素样生长因子Ⅰ(insulin-like growth factor Ⅰ, IGF-Ⅰ)具有多种生物学功能,有促进细胞有丝分裂的能力,是肿瘤细胞生长的重要有丝分裂原,与许多肿瘤的发生和生长密切相关[1]. IGF-Ⅰ受体则参与许多肿瘤细胞的恶性表型的建立和维持,在细胞转化机制方面可能发挥中心作用[2]. IGF-Ⅰ通过与IGF-Ⅰ受体特异性结合,促进肿瘤细胞的有丝分裂和转化,增强自主性快速生长能力[3]. 研究表明,许多肿瘤细胞均有IGF-Ⅰ,IGF-Ⅰ受体的异常表达,但它们在肝癌(HCC)中的表达和作用尚不清楚. 本实验旨在观察IGF-Ⅰ,IGF-Ⅰ受体mRNA在癌前肝细胞和HCC细胞中的表达和定位情况,以探讨它们在肝细胞癌变演化过程中的作用及意义.
, 百拇医药
1 材料和方法
1.1 材料 HCC 30例,男22例,女8例,年龄19岁~79岁,平均45.3岁. 正常肝组织2例(肝组织结构正常,无HBV感染). 手术切除的新鲜标本即刻置入40mg/L多聚甲醛固定,按原位杂交(DNA-RNA)要求进行石蜡包埋、切片(5μm厚). 标本包括HCC和癌旁肝组织,均经病理学证实,来源于中山医科大学肿瘤医院腹科、第一军医大学南方医院肝胆外科. HCC分级参考Edmondson病理分级,肝细胞不典型增生(liver cell dysplasia, LCD)诊断参考Cohen et al[4]标准. IGF-Ⅰ,IGF-ⅠR寡核苷酸探针由我们自行设计,上海生物化学研究所合成. IGF-Ⅰ寡核苷酸探针序列:5’-GAG CTG TGA TCT AAG GAG GCT GGA GAT GTA TTG CGC ACC C-3’;IGF-ⅠR寡核苷酸探针序列:5’-ATC TTA CTA CAT GGG CTG AAG CCC TGG ACT CAG TAC GCC C-3’. 采用地高辛加尾标记法标记寡核苷酸探针,地高辛寡核苷酸加尾标记和检测试剂盒购自Boehring Mannheim公司.
, 百拇医药
1.2 方法 原位杂交参照苏慧慈et al[5]方法,主要步骤包括:石蜡切片脱蜡水化,蛋白酶K消化(30mg/L~40mg/L,37℃,30min),预杂交(39℃,2h),地高辛标记的IGF-Ⅰ,IGF-ⅠR探针杂交(探针浓度2.5mg/L,39℃,12h~16h),硝基四氮唑/5-溴-4-氯-3-吲哚磷酸(NBT/BCIP)显色,核固红复染胞核,脱水、透明、封片. 以上各步骤间均需充分洗涤. 用正常人肝组织作阴性对照,杂交液中不加探针作空白对照.
统计学处理 应用SPSS软件进行统计学处理,样本间阳性率的比较采用χ2检验,例数较少的样本采用四格表确切概率法.
2 结果
2.1 IGF-Ⅰ,IGF-ⅠR mRNA在HCC和癌旁肝组织中的表达 30例HCC组织中IGF-Ⅰ,IGF-ⅠR mRNA表达的阳性率分别为40.0%(12/30例)和46.7%(14/30例),30例癌旁肝组织中IGF-Ⅰ,IGF-ⅠR mRNA表达的阳性率分别为50.0%(15/30例)和53.3%(16/30例). IGF-Ⅰ,IGF-ⅠR mRNA在癌旁肝组织的表达率略高于其在HCC组织的表达率,但经统计学处理两组间比较差异无显著意义(P>0.05).
, http://www.100md.com
2.2 IGF-Ⅰ,IGF-ⅠR mRNA在HCC和癌旁肝组织中的分布 在HCC和癌旁肝组织中IGF-Ⅰ,IGF-ⅠR mRNA阳性细胞分布不均匀,多呈散在片状或灶状分布,部分区域仅见少数几个阳性细胞,阳性杂交信号呈紫蓝色,均位于胞质,为全胞质型分布. 在HCC组织中,阳性杂交信号多见于分化较差的癌细胞(图1,2);在癌旁肝组织中,阳性杂交信号主要见于肝细胞再生结节和肝细胞不典型增生灶(图3,4).
图1 癌旁肝组织中IGF-Ⅰ mRNA的表达. ISH×200
, http://www.100md.com
图2 癌旁肝组织中IGF-ⅠR mRNA的表达. ISH×200
图3 HCC中IGF-ⅠmRNA的表达. ISH×400
图4 HCC中IGF-ⅠR mRNA的表达. ISH×400
2.3 IGF-Ⅰ,IGF-ⅠR mRNA的表达与HBV感染的关系 HCC组织中IGF-Ⅰ,IGF-ⅠR mRNA的表达与HBV感染的关系见表1,血清HBsAg阳性的HCC组织的IGF-Ⅰ,IGF-ⅠR mRNA的表达率分别为52.4%(11/21例)和61.9%(13/21例),高于血清HBsAg阴性的HCC组织的IGF-Ⅰ,IGF-ⅠR mRNA的表达率(均为11.1%,1/9例),经统计学处理二者间比较有显著差异. 癌旁肝组织IGF-Ⅰ,IGF-ⅠR mRNA的表达与HBV感染的关系见表2,血清HBsAg阳性的癌旁肝组织的IGF-Ⅰ,IGF-ⅠR mRNA的表达率分别为72.7%(16/22例),77.2%(17/22例),高于血清HBsAg阴性的癌旁肝组织的IGF-Ⅰ,IGF-ⅠR mRNA的表达率(均为12.5%,1/8例),经统计学处理二者之间的比较有显著差异.
, http://www.100md.com
2.4 IGF-Ⅰ,IGF-ⅠR mRNA的表达与癌旁肝细胞不典型增生的关系 30例HCC中有明显的肝细胞不典型增生12例(40.0%),伴有肝细胞不典型增生的癌旁肝组织,其IGF-Ⅰ,IGF-ⅠR mRNA的表达率分别为83.3%和91.7%,明显高于不伴有肝细胞不典型增生的癌旁肝组织的表达率(11.1%,16.7%,表3).
表1 HCC组织IGF-Ⅰ,IGF-ⅠR mRNA的表达与HBV感染的关系 HBsAg
n
IGF-Ⅰ
IGF-ⅠR
+(%)
-
+(%)
, http://www.100md.com
-
+
21
11(52.4)a
10a
13(61.9)c
8c
-
9
1(11.1)
8
1(11.1)
, 百拇医药
8
合计
30
12(40.0)
18
14(46.7)
16
aP<0.05,vs HBsAg(-);cP<0.05,vs HBsAg(-).表2 癌旁肝组织IGF-Ⅰ,IGF-ⅠR mRNA的表达与HBV感染的关系 HBsAg
n
IGF-Ⅰ
IGF-ⅠR
, http://www.100md.com
+(%)
-
+(%)
-
+
22
16(72.7)a
6a
17(77.3)c
5c
-
8
, 百拇医药
1(12.5)
7
1(12.5)
7
合计
30
17(56.7)
13
18(60.0)
12
aP<0.05,vs HBsAg(-);cP<0.05,vs HBsAg(-).表3 IGF-Ⅰ,IGF-ⅠR mRNA的表达与肝细胞不典型增生的关系 LCD
, 百拇医药
n
IGF-Ⅰ
IGF-ⅠR
+(%)
-
+(%)
-
+
12
10(83.3)b
2b
11(91.7)d
, 百拇医药
1d
-
18
2(11.1)
16
3(16.7)
15
合计
30
12(40.0)
18
14(46.7)
16
, http://www.100md.com
LCD: liver cell dysplasia
bP<0.01,vs LCD(-);dP<0.01,vs LCD(-).
3 讨论
3.1 HCC和癌旁肝组织中IGF-Ⅰ,IGF-ⅠR mRNA的表达及其意义 IGF-Ⅰ主要靠与IGF-ⅠR结合而起作用,其主要生物学功能是促进有丝分裂和细胞生长,参与建立和维持细胞转化表型. 近年来研究证明IGF-Ⅰ,IGF-ⅠR是正常和恶性细胞增殖的重要自分泌或旁分泌因子,与许多肿瘤细胞的恶性增殖密切相关[6,7]. 我们的研究结果表明,IGF-Ⅰ,IGF-ⅠR mRNA在癌旁肝组织和HCC组织中均有过量表达. 在癌旁肝组织中,阳性表达信号主要见于肝细胞再生结节和肝细胞不典型增生灶,IGF-Ⅰ,IGF-ⅠR在肝细胞癌前期即开始大量过表达,提示IGF-Ⅰ可能通过与IGF-ⅠR结合,促进癌前期肝细胞的异常增殖、生长与分化,并在一定条件下加速其恶性转化而发生肝细胞癌变[8]. 在HCC组织中,分化较差的HCC细胞其IGF-Ⅰ,IGF-ⅠR mRNA表达信号较强,提示IGF-Ⅰ,IGF-ⅠR的表达与HCC的分化程度有关. 在HCC细胞中IGF-Ⅰ可能通过自分泌或旁分泌生长刺激机制,加速HCC细胞的自主性生长,维持其恶性表型[9].
, 百拇医药
癌旁伴有肝细胞不典型增生的组织内IGF-Ⅰ,IGF-ⅠR mRNA的表达,明显高于癌旁无肝细胞不典型增生组织的表达. 肝细胞不典型增生是HCC的癌前病变之一,细胞增殖较为活跃,IGF-Ⅰ,IGF-ⅠR在存在肝细胞不典型增生的癌旁肝组织内的过量表达,提示IGF-Ⅰ,IGF-ⅠR的过表达是HCC发生的早期事件,与肝细胞癌变演化过程关系密切.
3.2 HBV感染与IGF-Ⅰ,IGF-ⅠR基因表达的关系 流行病学调查表明,人类HCC的发生与HBV感染有着密切的关系,但HBV致癌的分子机制尚未完全明确. 近年来的研究表明HBVxAg是一种重要的转录激活因子,具有反式激活作用(transactivation),它可以激活多种细胞基因和病毒基因,在肝癌的形成过程中具有重要作用. Kim et al[10]发现在HCC细胞系中IGF-ⅠR mRNA的表达与HBV X基因的表达密切相关,提出HBVxAg通过反式激活作用激活IGF-ⅠR基因. 在我们的研究中,发现HCC和癌旁肝组织中IGF-Ⅰ,IGF-ⅠR基因的表达与HBV感染有关,提示HBV可能通过HBVxAg反式激活作用激活IGF-Ⅰ,IGF-ⅠR基因. IGF-Ⅰ,IGF-ⅠR基因的表达与HBV在肝细胞癌变过程中的确切关系,仍有待进一步研究.
, 百拇医药
作者简介:范子荣,男,1965-01-10生,广西壮族自治区平南县人,汉族. 第一军医大学硕士,消化学主治医师,讲师,主要从事肝癌的基因诊断与治疗研究工作.
国家自然科学基金资助项目,No.39470774
通讯作者:范子荣,510282,广东省广州市,中国人民解放军第一军医大学珠江医院消化科.
Correspondence to:FAN Zi-Rong, Department of Gastroenterology, Zhujiang Hospital, The First Military Medical University, Guangzhou 510282, Guangdong Province, China
Tel. +86.20.85143361
, 百拇医药
Email.fanzr@fimmu.edu.cn
参考文献
1 Macaulay VM. Insulin-like growth factors and cancer. Br J Cancer, 1992;65:311-320
2 Baserga R. The insulin-like growth factor Ⅰ receptor: a key to tumor growth Cancer Res, 1995;55:249-252
3 Resnicoff M, Coppola D, Sell C, Rubin R, Ferrone S, Baserga R. Growth inhibition of human melanoma cells in nude mice by antisense strategies to the type 1 insulin-like growth factor receptor. Cancer Res, 1994;54:4848-4850
, 百拇医药
4 Cohen C, Berson SD. Liver cell dysplasia in normal, cirrhotic and hepatocellular carcinoma patients. Cancer, 1986;57:1535-1538
5 Su HC. Insitu hybridization. Beijing: Science and Technology Press of China, 1994:63-84
6 Steller MA, Delgado CH, Bartels CJ, Woodworth CD, Zou Z. Overexpression of the insulin-like growth factor-1 receptor and autocrine stimulation in human cervical cancer cells. Cancer Res, 1996;56:1761-1765
, 百拇医药
7 Long L, Nip J, Brodt P. Paracrine growth stimulation by hepatocyte-derived insulin-like growth factor-1: a regulatory mechanism for carcinoma cells metastatic to the liver. Cancer Res, 1994;54:3732-3737
8 Baserga R, Hongo A, Rubini M, Prisco M, Valentinis B. The IGF-Ⅰ receptor in cell growth, transformation and apoptosis. Biochim Biophys Acta, 1997;1332:F105-126
9 Trojan J, Blossey BK, Johnson TR, Rudin SD, Tykocinski M, Ilan J. Loss of tumorigenicity of rat glioblastoma directed by episome-based antisense cDNA transcription of insulin-like growth factor Ⅰ. Proc Natl Acad Sci USA, 1992;89:4874-4878
10 Kim SO, Park JG, Lee YI. Increased expression of the insulin-like growth factor Ⅰ (IGF-Ⅰ) receptor gene in hepatocellular carcinoma cell lines: implications of IGF-Ⅰ receptor gene activation by hepatitis B virus X gene product. Cancer Res, 1996;56:3831-3836
收稿日期 1999-05-09, 百拇医药