自体静脉Cuff减轻动脉内膜增生的实验研究*
作者:景在平 曲乐丰 曹贵松 仲剑平
单位:第二军医大学长海医院血管外科,上海,2000433
关键词:内膜增生;旁路转流术;自体移植静脉;聚四氟乙烯
第二军医大学学报991106 述评 下肢动脉粥样硬化性严重狭窄或闭塞是外科常见病,目前主要手术方法是搭桥转流术。但其远期通畅率较低;尤其在作中、小动脉搭桥转流时,其通畅率更差。80年代初期和中期,Miller和Beard等提出,在远端吻合口与PTFE之间嵌入自体静脉Cuff可减轻新生内膜增生,提高中、小动脉搭桥转流术的远期通畅率。本文通过动物实验,证实应用自体静脉Cuff组与对照组相比,内膜增厚程度和增生内膜面积等均较对照组有显著的减轻;移植段通畅率更为66.7%比16.7%。在国内首次从组织学变化角度,为本手术方法提供了可信的理论依据,具有较高的学术水平和临床应用前景。
, http://www.100md.com 摘要 目的:探讨聚四氟乙烯(PTFE)血管加自体静脉Cuff吻合对动脉内膜增生的缓解作用及对流出道的改善作用。方法:健康杂种犬12只(24条腿),随机分成对照组及实验组。对照组动脉阻断后以PTFE血管直接行旁路转流术;实验组以自体颈外静脉Cuff间置于PTFE与远端股动脉之间。术后第8周行动脉造影,制备标本行组织学观察及计算机图像分析,测定增生内膜、中膜的厚度、增生内膜的截面积、血管腔截面积及两者的比值、静脉“动脉化”后中膜的厚度,同时对间置静脉行扫描电镜分析。结果:血管动脉造影示两组通畅率分别为16.7%,66.7%(P<0.05);内膜厚度分别是(483.5±67.3)和(147.1±38.6)μm(P<0.01);中膜厚度组间改变不明显;增生内膜面积分别是(5 217±1 123)和(3 117±890) pixel,分别占血管腔截面的(80.9±17.2)%和(47.7±13.7)%(P<0.01);间置静脉呈动脉化表现。结论:间置自体静脉Cuff能明显减轻PTFE旁路手术后的动脉内膜增生,改善流出道,有效提高血管手术后通畅率。
, 百拇医药
中图分类号 R 654.312 文献标识码:A
Experimental study on autogenous vein cuff alleviating arterial intimal hyperplasia
Jing Zaiping, Qu Lefeng, Cao Guisong,Zhong Jianping (Department of Vascular Surgery,Changhai Hospital, Second Military Medical University, Shanghai,200433)
ABSTRACT Objective:To explore the alleviation of arterial intimal hyperplasia and improvement of outflow by inserting an autogenous vein cuff between PTFE graft and arterial anastomosis.Methods:Twenty-four hind limbs of 12 mongrel dogs were randomly divided into control group and subject group. Sole PTFE bypasses were performed in control group,an autologous vein cuff was inserted in the distal anastomosis in the subject group.Eight weeks after operation,angiography was made and specimens were harvested,histomorphological studies under microscope and picture analysis with computer were carried out,scanning electromicroscopy on the vein cuff was made.Results:Angiography demonstrated the patency of control and subject group was 16.7% and 66.7%,respectively;Computer gave the intimal thickness: (483.5±67.3) and (147.1±38.6) μm,respectively;No obvious change in medial thickness;Area of intimal hyperplasia was (5 217±1 123)and (3 117±890) pixel, respectively,accounting (80.9±17.2)% and (47.7±13.7)% of the sectional area of vessel lumen.The interpositional vein was arterialization.Conclusion:The interpositional autologous vein cuff can obviously mitigate the arterial intimal hyperplasia after PTFE bypasses,improving postoperative patency of vascular surgery.
, 百拇医药
KEY WORDS intimal hyperplasia; bypass; autogenous vein graft; polytetrafluoroethylene
[Acad J Sec Mil Med Univ, 1999, 20(11): 841~844]
随着冠状动脉搭桥术及血管旁路术的广泛开展,自体大隐静脉及臂静脉已远远不能满足需要,人造血管移植物如聚四氟乙烯(polytetrafluoroethylene,PTFE)等则成为首选的替代物,但由于移植物与宿主血管组织顺应性不相匹配而产生的吻合口狭窄、中远期通畅率差是手术失败的重要原因,而流出道吻合口处的内膜增生是导致狭窄及通畅率差的主要原因之一[1]。在流出道吻合口PTFE血管与动脉间间置自体静脉Cuff是否可减轻内膜增生,改善流出道的通畅率呢?本实验以健康杂种犬为对象,以PTFE血管远端间置或不间置自体静脉Cuff行股动脉旁路转流术,对照观察、分析其通畅率及内膜增生情况,以期为临床应用奠定实验基础。
, 百拇医药
1 材料和方法
1.1 实验动物与分组 健康杂种犬12只,雌雄不拘,体质量8~14 kg(第二军医大学实验动物中心提供),24条犬腿随机分成对照组及实验组,常规饲养。
1.2 动脉旁路转流术的模型制作 犬禁食,以3%戊巴比妥钠溶液(30 mg.ml-1.kg-1)腹腔注射麻醉成功后固定,建立静脉通道:5%GNS 500 ml+头孢拉定 1.0 g+甲硝唑0.5 g静滴;气管插管建立呼吸通道,同时全身肝素化(5 mg/kg)。术野备皮、消毒、铺无菌巾单,分别以股骨中点为标准显露股动脉,完成模型制作。(1)对照组:股骨中点处股动脉阻断,距阻断点各1.0 cm处1号丝线分别双重结扎股动脉,以内径5.0 mm,长5.0 cm的PTFE血管行旁路转流术。(2)实验组:颈正中切口,取4.0 cm长的颈外静脉备用,依对照组完成近端吻合,将切取的颈外静脉与PTFE血管端端吻合后修整,使Cuff长约1.0 cm,继将Cuff与远端股动脉吻合。所有上述程序严格按小血管吻合要求操作,吻合口银夹标志。检查吻合口无漏血、震颤,流出道动脉搏动良好后逐层缝合切口。动物苏醒后常规饲养。
, http://www.100md.com
1.3 股动脉造影及标本制备 术后8周同法麻醉,下腹正中切口,Bulldog钳阻断肾下腹主动脉,分别于髂总动脉处穿刺、插管,推注60%泛影葡胺后即时摄片。造影结束后即刻沿大腿原切口仔细解剖出股动脉吻合口及其间置的PTFE血管和自体静脉Cuff,同时肉眼观察大体标本。将修整好的标本置15%甲醛液固定、脱水、包埋,病理切片分别行苏木精-伊红(HE)染色和弹力、胶原纤维双重组合(V/G)染色。
1.4 指标测定 (1)病理切片在显微摄影系统下摄片,底片冲印成彩色照片后经HP激光扫描仪输入计算机,经MVP图像处理后,Vdage Pro软件运算以象素点pixel为单位,计算增生内膜、中膜的厚度,增生内膜的截面积、血管内腔截面积及两者的比值,静脉“动脉化”后中膜的厚度,以正常颈外静脉和股动脉作为正常对照。(2)电镜分析分别取正常颈外静脉及间置静脉作扫描电镜观察其形态改变。
1.5 统计学处理 数据以
±s表示,用t检验及方差分析。
, http://www.100md.com
2 结 果
2.1 管壁及管腔面肉眼大体观察 动脉管壁变厚、变硬,弹性差,吻合口处缝线模糊,吻合口残腔趋小,尤以对照组流出道吻合口明显。实验组间置的Cuff通畅良好,静脉壁明显增厚,但无钙化灶或呈动脉瘤样扩张,腔内未见明显的组织增生、机化的附壁血栓及隆起的黄白色粥样斑块。
2.2 股动脉造影结果 所有动物在获取标本前均作血管造影,对照组通畅率为16.7%,实验组为66.7%(P<0.05,图1A,B)。

图1 血管造影
Fig 1 Angiography
, 百拇医药 A: Control group; B: Experimental group
2.3 血管组织切片显微镜下观察 (1)对照组:内膜极度增厚,几乎堵塞管腔,可见附壁血栓。新生内膜主要由血管平滑肌细胞、炎性细胞、纤维母细胞和大量细胞间质构成(图2A,B;图见插页)。(2)实验组:内膜增生较对照组明显减轻,新生内膜主要成分为血管平滑肌细胞及胞外基质,远端流出道吻合口内膜增生又较近端流入道明显减轻。移植的静脉片段中膜明显增厚,且有发达的内弹力膜,呈动脉样结构改变,少量的平滑肌细胞呈泡沫样改变,未见脂纹和胆固醇结晶(图2C,D,图3A,B;图见插页)。



, http://www.100md.com
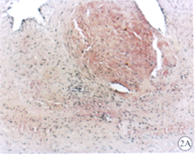
图2 吻合口动脉内膜增生情况
Fig 2 Anastomotic intimal hyperplasia
A: Control group (HE×10); B: Control group (V/G×10); C: Experimental group(HE×10); D: Experimental group (V/G×10)

图3 实验组间置静脉内膜增生情况
Fig 3 Intimal hyperplasia of interpositional vein in experimental group
, http://www.100md.com
A:HE×10; B: V/G×10
2.4 血管中、内膜厚度及其内膜与血管内腔截面积变化 结果见表1,2。实验组近、远端吻合口内膜厚度均较对照组明显减轻(P<0.01)。实验组远端吻合口内膜厚度较其近端吻合口明显减轻(P<0.01)。实验组远端吻合口中膜厚度较对照组减轻(P<0.05)。实验组较对照组内膜增生明显减轻(P<0.05)。间置于动脉环境中的自体静脉中膜较正常静脉明显增厚[(1 884.3±470.1) vs (804.5±275.4) μm,P<0.01],呈动脉化改变。
表1 血管内膜增生模型内膜、中膜厚度
Tab 1 Intimal and medial thickness in
intimal hyperplasia model (n=12,
±s,d/μm) Group
, 百拇医药
Intimal thickness
Medial thickness
Control
483.5±67.3
367.5±61.5
Proximal anastomosis
of subject
245.3±51.6**
348.5±58.6
Distal anastomosis
, 百拇医药 of subject
147.1±38.6**△△
319.6±48.4*
*P<0.05,**P<0.01 vs control group; △△P<0.01 vs proximal anastomosis of subject表2 血管内膜增生模型增生内膜、血管内腔截面积变化
Tab 2 Changes of intimal areas and luminal
areas in intimal hyperplasia model (n=12,
±s) Group
, 百拇医药
Intimal area
(pixel)
Luminal area
(pixel)
Ratio
(%)
Control
5 217±1 123
6 513±1 215
80.9±17.2
Subject
3 117±890*
, http://www.100md.com
6 518±1 317*
47.7±13.7*
*P<0.05 vs control group
2.5 自体静脉间置后超微结构改变 自体静脉呈动脉样改变,可见少数残存的内皮细胞,胶原纤维,弹力纤维丰富(图4A,B)。

图4 静脉电镜扫描(×1 500)
Fig 4 Scanning electromicroscopy of veins(×1 500)
, 百拇医药
A: Normal; B: Interpositional
3 讨 论
Kunlin[2]1949年首先介绍自体大隐静脉用于下肢动脉旁路术。此法逐渐推广,自体大隐静脉则成为下肢动脉旁路术的首选,在其不足时采用臂静脉可达到同样效果[3]。但自体资源毕竟有限,尤其是二次,三次手术者,患者已不可能再提供自体静脉,这种情况下不得不采用人造血管移植物,如PTFE等。但由于人造血管缺乏正常血管的结构(如内皮细胞等),与自体组织不能完全匹配,反应较大,造成中小血管的通畅率差,手术失败率高,患者的缺血症状得不到改善或最终无法避免截肢[4]。其原因除了早期血栓形成及吻合口远端新病变外,远端吻合口的新内膜增生是主要原因[1]。在远端吻合口及PTFE移植物间嵌入自体静脉Cuff可减轻新内膜增生,防止再狭窄,改善中小血管的中远期通畅率。Raptis等[5]报道PTFE移植物加自体静脉Cuff用于下肢远端动脉首次旁路术中1年通畅率达81%,2年通畅率达60%,远远高于未加Cuff者。而Wijesinghe等[6]报道在首次、二次甚至三次手术时应用PTFE加Cuff行股动脉远端旁路术1年及2年的通畅率达64%及51%,可明显提高下肢的保肢率。
, 百拇医药
本实验不但从血管造影的角度证明应用自体静脉Cuff可较对照组明显提高通畅率,更从组织显微结构变化方面证明应用Cuff组较对照组的新生内膜厚度及中膜厚度明显减轻,以流出道的改善更为明显。说明在PTFE旁路转流术远端流出道间置Cuff能明显减轻内膜增生,提高中小血管的术后通畅率。由于中等口径静脉(如颈外、大隐静脉) 壁较厚,弹性成分较多,平滑肌层丰富,其生物力学性能与动脉较相一致,故间置Cuff后,避免了PTFE对流出道吻合口内皮细胞的直接机械损伤,由于组织顺应性较相匹配,血流动力学较符合生理状态,加之自体静脉免疫反应轻微,较对照组内皮细胞损伤明显减少,早期血小板粘附、聚集、微血栓形成机会明显减少[7],血管中膜的平滑肌细胞移行、增殖而导致的内膜增生明显减轻。值得注意的是,实验组近端动脉吻合口较对照组内膜增生也明显减轻,其原因可能归功于流出道通畅,血流较快,血小板和炎性细胞粘附、聚集机会减少,细胞因子不易在吻合口局部达较高水平,故而平滑肌细胞游移、增生、分泌减少,内膜增生不明显[8]。
, 百拇医药
Cuff间置于动脉环境后,静脉自身组织适应动脉环境发生代偿性增厚,内弹力层、中膜发达,胶原基质含量增多,可能系其内皮细胞在动脉环境下合成、分泌的抑制细胞生长的PGI2减少,而促进细胞生长的TXA2增多,及周围细胞因子作用的结果[9]。
总之,PTFE旁路转流术可使吻合口内膜增生导致吻合口狭窄,远端吻合口间置自体静脉Cuff不但可明显减轻远端吻合口内膜增生,改善流出道情况,而且可通过流出道的改善缓解近端吻合口的内膜增生,达到防止吻合口狭窄,提高中远期通畅率及手术成功率的目的。
上海第二医科大学第九人民医院
血管外科研究室原主任 张培华
*国家自然科学基金资助项目,批准号39670707
, 百拇医药 作者简介:景在平,1955年11月生,博士,教授,主任医师,博士生导师
参考文献
1 Bassiouny HS, White S, Glagov S, et al. Anastomotic intimal hyperplasia: mechanical injury or flow induced[J]. J Vasc Surg, 1992, 15(4): 708
2 Kunlin J. Le traitement de l
rt
rit
obliterante par la greffe veineuse[J]. Arch Mal Coeur, 1949, 42(2): 371
, http://www.100md.com
3 Harward TR, Coe D, Flynn TC, et al. The use of arm vein conduits during infrageniculate arterial bypass[J].J Vasc Surg, 1992, 16(3): 420
4 Parsons RE, Suggs WD, Veith FJ, et al. Polytetrafluoroethylene bypasses to infrapopliteal arteries without cuffs or patches: a better option than amputation in patients without autologous vein[J]. J Vasc Surg, 1996, 23(2):347
5 Raptis S, Miller JH. Influence of a vein cuff on polytetrafluoroethylene grafts for primary femoropopliteal bypass[J]. Br J Surg, 1995, 82(4): 487
, http://www.100md.com
6 Wijesinghe LD, Beardsmore DM, Scott DJ. Polytetrafluoroethylene (PTFE) femorodistal grafts with a distal vein cuff for critical ischemia[J]. Eur J Vasc Endovasc Surg, 1998, 15(5): 449
7 Varty K, Allen KE, Bell PR,et al. Infrainguinal vein graft stenosis[J]. Br J Surg, 1993, 80(7): 825
8 Davies AH, Magee TR, Sheffield E,et al. The aetiology of vein graft stenoses[J]. Eur J Vasc Surg, 1994, 8(4): 389
9 Mesh CL, Majors A, Mistele D, et al. Graft smooth muscle cells specifically synthesize increased collagen[J]. J Vasc Surg, 1995, 22(2): 142
(1999-06-02收稿,1999-09-10修回), 百拇医药
单位:第二军医大学长海医院血管外科,上海,2000433
关键词:内膜增生;旁路转流术;自体移植静脉;聚四氟乙烯
第二军医大学学报991106 述评 下肢动脉粥样硬化性严重狭窄或闭塞是外科常见病,目前主要手术方法是搭桥转流术。但其远期通畅率较低;尤其在作中、小动脉搭桥转流时,其通畅率更差。80年代初期和中期,Miller和Beard等提出,在远端吻合口与PTFE之间嵌入自体静脉Cuff可减轻新生内膜增生,提高中、小动脉搭桥转流术的远期通畅率。本文通过动物实验,证实应用自体静脉Cuff组与对照组相比,内膜增厚程度和增生内膜面积等均较对照组有显著的减轻;移植段通畅率更为66.7%比16.7%。在国内首次从组织学变化角度,为本手术方法提供了可信的理论依据,具有较高的学术水平和临床应用前景。
, http://www.100md.com 摘要 目的:探讨聚四氟乙烯(PTFE)血管加自体静脉Cuff吻合对动脉内膜增生的缓解作用及对流出道的改善作用。方法:健康杂种犬12只(24条腿),随机分成对照组及实验组。对照组动脉阻断后以PTFE血管直接行旁路转流术;实验组以自体颈外静脉Cuff间置于PTFE与远端股动脉之间。术后第8周行动脉造影,制备标本行组织学观察及计算机图像分析,测定增生内膜、中膜的厚度、增生内膜的截面积、血管腔截面积及两者的比值、静脉“动脉化”后中膜的厚度,同时对间置静脉行扫描电镜分析。结果:血管动脉造影示两组通畅率分别为16.7%,66.7%(P<0.05);内膜厚度分别是(483.5±67.3)和(147.1±38.6)μm(P<0.01);中膜厚度组间改变不明显;增生内膜面积分别是(5 217±1 123)和(3 117±890) pixel,分别占血管腔截面的(80.9±17.2)%和(47.7±13.7)%(P<0.01);间置静脉呈动脉化表现。结论:间置自体静脉Cuff能明显减轻PTFE旁路手术后的动脉内膜增生,改善流出道,有效提高血管手术后通畅率。
, 百拇医药
中图分类号 R 654.312 文献标识码:A
Experimental study on autogenous vein cuff alleviating arterial intimal hyperplasia
Jing Zaiping, Qu Lefeng, Cao Guisong,Zhong Jianping (Department of Vascular Surgery,Changhai Hospital, Second Military Medical University, Shanghai,200433)
ABSTRACT Objective:To explore the alleviation of arterial intimal hyperplasia and improvement of outflow by inserting an autogenous vein cuff between PTFE graft and arterial anastomosis.Methods:Twenty-four hind limbs of 12 mongrel dogs were randomly divided into control group and subject group. Sole PTFE bypasses were performed in control group,an autologous vein cuff was inserted in the distal anastomosis in the subject group.Eight weeks after operation,angiography was made and specimens were harvested,histomorphological studies under microscope and picture analysis with computer were carried out,scanning electromicroscopy on the vein cuff was made.Results:Angiography demonstrated the patency of control and subject group was 16.7% and 66.7%,respectively;Computer gave the intimal thickness: (483.5±67.3) and (147.1±38.6) μm,respectively;No obvious change in medial thickness;Area of intimal hyperplasia was (5 217±1 123)and (3 117±890) pixel, respectively,accounting (80.9±17.2)% and (47.7±13.7)% of the sectional area of vessel lumen.The interpositional vein was arterialization.Conclusion:The interpositional autologous vein cuff can obviously mitigate the arterial intimal hyperplasia after PTFE bypasses,improving postoperative patency of vascular surgery.
, 百拇医药
KEY WORDS intimal hyperplasia; bypass; autogenous vein graft; polytetrafluoroethylene
[Acad J Sec Mil Med Univ, 1999, 20(11): 841~844]
随着冠状动脉搭桥术及血管旁路术的广泛开展,自体大隐静脉及臂静脉已远远不能满足需要,人造血管移植物如聚四氟乙烯(polytetrafluoroethylene,PTFE)等则成为首选的替代物,但由于移植物与宿主血管组织顺应性不相匹配而产生的吻合口狭窄、中远期通畅率差是手术失败的重要原因,而流出道吻合口处的内膜增生是导致狭窄及通畅率差的主要原因之一[1]。在流出道吻合口PTFE血管与动脉间间置自体静脉Cuff是否可减轻内膜增生,改善流出道的通畅率呢?本实验以健康杂种犬为对象,以PTFE血管远端间置或不间置自体静脉Cuff行股动脉旁路转流术,对照观察、分析其通畅率及内膜增生情况,以期为临床应用奠定实验基础。
, 百拇医药
1 材料和方法
1.1 实验动物与分组 健康杂种犬12只,雌雄不拘,体质量8~14 kg(第二军医大学实验动物中心提供),24条犬腿随机分成对照组及实验组,常规饲养。
1.2 动脉旁路转流术的模型制作 犬禁食,以3%戊巴比妥钠溶液(30 mg.ml-1.kg-1)腹腔注射麻醉成功后固定,建立静脉通道:5%GNS 500 ml+头孢拉定 1.0 g+甲硝唑0.5 g静滴;气管插管建立呼吸通道,同时全身肝素化(5 mg/kg)。术野备皮、消毒、铺无菌巾单,分别以股骨中点为标准显露股动脉,完成模型制作。(1)对照组:股骨中点处股动脉阻断,距阻断点各1.0 cm处1号丝线分别双重结扎股动脉,以内径5.0 mm,长5.0 cm的PTFE血管行旁路转流术。(2)实验组:颈正中切口,取4.0 cm长的颈外静脉备用,依对照组完成近端吻合,将切取的颈外静脉与PTFE血管端端吻合后修整,使Cuff长约1.0 cm,继将Cuff与远端股动脉吻合。所有上述程序严格按小血管吻合要求操作,吻合口银夹标志。检查吻合口无漏血、震颤,流出道动脉搏动良好后逐层缝合切口。动物苏醒后常规饲养。
, http://www.100md.com
1.3 股动脉造影及标本制备 术后8周同法麻醉,下腹正中切口,Bulldog钳阻断肾下腹主动脉,分别于髂总动脉处穿刺、插管,推注60%泛影葡胺后即时摄片。造影结束后即刻沿大腿原切口仔细解剖出股动脉吻合口及其间置的PTFE血管和自体静脉Cuff,同时肉眼观察大体标本。将修整好的标本置15%甲醛液固定、脱水、包埋,病理切片分别行苏木精-伊红(HE)染色和弹力、胶原纤维双重组合(V/G)染色。
1.4 指标测定 (1)病理切片在显微摄影系统下摄片,底片冲印成彩色照片后经HP激光扫描仪输入计算机,经MVP图像处理后,Vdage Pro软件运算以象素点pixel为单位,计算增生内膜、中膜的厚度,增生内膜的截面积、血管内腔截面积及两者的比值,静脉“动脉化”后中膜的厚度,以正常颈外静脉和股动脉作为正常对照。(2)电镜分析分别取正常颈外静脉及间置静脉作扫描电镜观察其形态改变。
1.5 统计学处理 数据以
, http://www.100md.com
2 结 果
2.1 管壁及管腔面肉眼大体观察 动脉管壁变厚、变硬,弹性差,吻合口处缝线模糊,吻合口残腔趋小,尤以对照组流出道吻合口明显。实验组间置的Cuff通畅良好,静脉壁明显增厚,但无钙化灶或呈动脉瘤样扩张,腔内未见明显的组织增生、机化的附壁血栓及隆起的黄白色粥样斑块。
2.2 股动脉造影结果 所有动物在获取标本前均作血管造影,对照组通畅率为16.7%,实验组为66.7%(P<0.05,图1A,B)。
图1 血管造影
Fig 1 Angiography
, 百拇医药 A: Control group; B: Experimental group
2.3 血管组织切片显微镜下观察 (1)对照组:内膜极度增厚,几乎堵塞管腔,可见附壁血栓。新生内膜主要由血管平滑肌细胞、炎性细胞、纤维母细胞和大量细胞间质构成(图2A,B;图见插页)。(2)实验组:内膜增生较对照组明显减轻,新生内膜主要成分为血管平滑肌细胞及胞外基质,远端流出道吻合口内膜增生又较近端流入道明显减轻。移植的静脉片段中膜明显增厚,且有发达的内弹力膜,呈动脉样结构改变,少量的平滑肌细胞呈泡沫样改变,未见脂纹和胆固醇结晶(图2C,D,图3A,B;图见插页)。
, http://www.100md.com
图2 吻合口动脉内膜增生情况
Fig 2 Anastomotic intimal hyperplasia
A: Control group (HE×10); B: Control group (V/G×10); C: Experimental group(HE×10); D: Experimental group (V/G×10)
图3 实验组间置静脉内膜增生情况
Fig 3 Intimal hyperplasia of interpositional vein in experimental group
, http://www.100md.com
A:HE×10; B: V/G×10
2.4 血管中、内膜厚度及其内膜与血管内腔截面积变化 结果见表1,2。实验组近、远端吻合口内膜厚度均较对照组明显减轻(P<0.01)。实验组远端吻合口内膜厚度较其近端吻合口明显减轻(P<0.01)。实验组远端吻合口中膜厚度较对照组减轻(P<0.05)。实验组较对照组内膜增生明显减轻(P<0.05)。间置于动脉环境中的自体静脉中膜较正常静脉明显增厚[(1 884.3±470.1) vs (804.5±275.4) μm,P<0.01],呈动脉化改变。
表1 血管内膜增生模型内膜、中膜厚度
Tab 1 Intimal and medial thickness in
intimal hyperplasia model (n=12,
, 百拇医药
Intimal thickness
Medial thickness
Control
483.5±67.3
367.5±61.5
Proximal anastomosis
of subject
245.3±51.6**
348.5±58.6
Distal anastomosis
, 百拇医药 of subject
147.1±38.6**△△
319.6±48.4*
*P<0.05,**P<0.01 vs control group; △△P<0.01 vs proximal anastomosis of subject表2 血管内膜增生模型增生内膜、血管内腔截面积变化
Tab 2 Changes of intimal areas and luminal
areas in intimal hyperplasia model (n=12,
, 百拇医药
Intimal area
(pixel)
Luminal area
(pixel)
Ratio
(%)
Control
5 217±1 123
6 513±1 215
80.9±17.2
Subject
3 117±890*
, http://www.100md.com
6 518±1 317*
47.7±13.7*
*P<0.05 vs control group
2.5 自体静脉间置后超微结构改变 自体静脉呈动脉样改变,可见少数残存的内皮细胞,胶原纤维,弹力纤维丰富(图4A,B)。
图4 静脉电镜扫描(×1 500)
Fig 4 Scanning electromicroscopy of veins(×1 500)
, 百拇医药
A: Normal; B: Interpositional
3 讨 论
Kunlin[2]1949年首先介绍自体大隐静脉用于下肢动脉旁路术。此法逐渐推广,自体大隐静脉则成为下肢动脉旁路术的首选,在其不足时采用臂静脉可达到同样效果[3]。但自体资源毕竟有限,尤其是二次,三次手术者,患者已不可能再提供自体静脉,这种情况下不得不采用人造血管移植物,如PTFE等。但由于人造血管缺乏正常血管的结构(如内皮细胞等),与自体组织不能完全匹配,反应较大,造成中小血管的通畅率差,手术失败率高,患者的缺血症状得不到改善或最终无法避免截肢[4]。其原因除了早期血栓形成及吻合口远端新病变外,远端吻合口的新内膜增生是主要原因[1]。在远端吻合口及PTFE移植物间嵌入自体静脉Cuff可减轻新内膜增生,防止再狭窄,改善中小血管的中远期通畅率。Raptis等[5]报道PTFE移植物加自体静脉Cuff用于下肢远端动脉首次旁路术中1年通畅率达81%,2年通畅率达60%,远远高于未加Cuff者。而Wijesinghe等[6]报道在首次、二次甚至三次手术时应用PTFE加Cuff行股动脉远端旁路术1年及2年的通畅率达64%及51%,可明显提高下肢的保肢率。
, 百拇医药
本实验不但从血管造影的角度证明应用自体静脉Cuff可较对照组明显提高通畅率,更从组织显微结构变化方面证明应用Cuff组较对照组的新生内膜厚度及中膜厚度明显减轻,以流出道的改善更为明显。说明在PTFE旁路转流术远端流出道间置Cuff能明显减轻内膜增生,提高中小血管的术后通畅率。由于中等口径静脉(如颈外、大隐静脉) 壁较厚,弹性成分较多,平滑肌层丰富,其生物力学性能与动脉较相一致,故间置Cuff后,避免了PTFE对流出道吻合口内皮细胞的直接机械损伤,由于组织顺应性较相匹配,血流动力学较符合生理状态,加之自体静脉免疫反应轻微,较对照组内皮细胞损伤明显减少,早期血小板粘附、聚集、微血栓形成机会明显减少[7],血管中膜的平滑肌细胞移行、增殖而导致的内膜增生明显减轻。值得注意的是,实验组近端动脉吻合口较对照组内膜增生也明显减轻,其原因可能归功于流出道通畅,血流较快,血小板和炎性细胞粘附、聚集机会减少,细胞因子不易在吻合口局部达较高水平,故而平滑肌细胞游移、增生、分泌减少,内膜增生不明显[8]。
, 百拇医药
Cuff间置于动脉环境后,静脉自身组织适应动脉环境发生代偿性增厚,内弹力层、中膜发达,胶原基质含量增多,可能系其内皮细胞在动脉环境下合成、分泌的抑制细胞生长的PGI2减少,而促进细胞生长的TXA2增多,及周围细胞因子作用的结果[9]。
总之,PTFE旁路转流术可使吻合口内膜增生导致吻合口狭窄,远端吻合口间置自体静脉Cuff不但可明显减轻远端吻合口内膜增生,改善流出道情况,而且可通过流出道的改善缓解近端吻合口的内膜增生,达到防止吻合口狭窄,提高中远期通畅率及手术成功率的目的。
上海第二医科大学第九人民医院
血管外科研究室原主任 张培华
*国家自然科学基金资助项目,批准号39670707
, 百拇医药 作者简介:景在平,1955年11月生,博士,教授,主任医师,博士生导师
参考文献
1 Bassiouny HS, White S, Glagov S, et al. Anastomotic intimal hyperplasia: mechanical injury or flow induced[J]. J Vasc Surg, 1992, 15(4): 708
2 Kunlin J. Le traitement de l
, http://www.100md.com
3 Harward TR, Coe D, Flynn TC, et al. The use of arm vein conduits during infrageniculate arterial bypass[J].J Vasc Surg, 1992, 16(3): 420
4 Parsons RE, Suggs WD, Veith FJ, et al. Polytetrafluoroethylene bypasses to infrapopliteal arteries without cuffs or patches: a better option than amputation in patients without autologous vein[J]. J Vasc Surg, 1996, 23(2):347
5 Raptis S, Miller JH. Influence of a vein cuff on polytetrafluoroethylene grafts for primary femoropopliteal bypass[J]. Br J Surg, 1995, 82(4): 487
, http://www.100md.com
6 Wijesinghe LD, Beardsmore DM, Scott DJ. Polytetrafluoroethylene (PTFE) femorodistal grafts with a distal vein cuff for critical ischemia[J]. Eur J Vasc Endovasc Surg, 1998, 15(5): 449
7 Varty K, Allen KE, Bell PR,et al. Infrainguinal vein graft stenosis[J]. Br J Surg, 1993, 80(7): 825
8 Davies AH, Magee TR, Sheffield E,et al. The aetiology of vein graft stenoses[J]. Eur J Vasc Surg, 1994, 8(4): 389
9 Mesh CL, Majors A, Mistele D, et al. Graft smooth muscle cells specifically synthesize increased collagen[J]. J Vasc Surg, 1995, 22(2): 142
(1999-06-02收稿,1999-09-10修回), 百拇医药