血管内皮生长因子在原发性肝癌生长和转移中的作用
作者:刘吉奎 韩本立 王玉芝 梁智勇
单位:刘吉奎 韩本立:第三军医大学附属西南医院肝胆外科中心,重庆 400038;王玉芝:北京放射医学研究所,北京 100850;梁智勇:第三军医大学附属西南医院病理科,重庆 400038
关键词:血管内皮生长因子;肝细胞肝癌;微血管密度
第三军医大学学报991212
提要 目的:探讨血管内皮生长因子(VEGF)在原发性肝癌生长和转移中的作用。方法:免疫组化法检测29例肝癌组织中VEGF蛋白的表达及微血管密度(MVD)。结果:肝癌组织中VEGF阳性表达率为82.8%,转移组VEGF阳性表达例数以及MVD显著多于无转移组(P<0.01);肿瘤包膜不完整和无包膜组VEGF阳性表达例数显著多于包膜完整组(P<0.01);而且VEGF表达强度与MVD间关系密切;但肿瘤直径≥5 cm与<5 cm两组间未见显著差异(P>0.05)。结论:VEGF在肝癌浸润和转移过程中发挥重要作用,肝癌组织中VEGF表达及微血管密度的检测是评估肝癌患者预后的重要指标。
, 百拇医药
中图法分类号 R349.21;R735.702 文献标识码 A
文章编号:1000-5404(1999)12-0904-04
Effects of vascular endothelial growth factor on the growth and metastasis of hepatocellular carcinoma
LIU Ji-kui,HAN Ben-li,WANG Yu-zhi,LIANG Zhi-yong
(Center of Heptobiliary Surgery,Southwest Hospital,Third Military Medical University,Chongqing 400038)
Abstract Objective:To study the effects of vascular endothelial growth factor (VEGF) on the growth and metastasis of hepatocellular carcinoma (HCC).Methods:The expression of VEGF and the microvascular density (MVD) were determined in 29 cases of HCC with immunohistochemistry.Results:The expression rate of VEGF was 82.8% in 29 cases of HCC.The VEGF expression rate and MVD were higher in metastatic and non-encapsulated cases of HCC than in HCC cases without metastasis and with integral capsule (P<0.01).VEGF was closely correlated to MVD but they were not correlated to the size of HCC (P>0.5).Conclusion:Our findings indicate that VEGF may play an important role in the invasion and metastasis of HCC and VEGF expression rate and MVD are important indicators to judge the prognosis of patients with HCC.
, 百拇医药
Key words vascular endothelial growth factor;microvascular density;hepatocellular carcinoma
实体肿瘤的进行性生长依赖于其诱导产生的血管网的建立,肿瘤血管生成期的开始标志着肿瘤细胞的快速增殖、局部侵袭乃至转移。血管内皮生长因子(Vascular endothelial growth factor,VEGF)是强烈促进内皮细胞的分裂和血管生成的重要因子,同时也发现VEGF与肿瘤的生长、浸润及转移也密切相关。为此,我们重点研究了肝癌组织中VEGF表达及微血管密度(Microvascular density,MVD)的关系以及二者在肝癌生长和转移中的作用。
1 材料与方法
1.1 病例
1996年12月至1997年11月间手术切除并经病理学确诊的肝细胞肝癌(Hepatocellular carcinoma,HCC)石蜡标本29例,其中男性28例,女性1例;年龄23~79岁(平均年龄45.7岁)。HBsAg阳性者占72.4%(21/29),AFP≥31 ng/ml者占62.1%(18/29),肿瘤直径≥5cm者占62.1%(18/29),<5 cm者占37.9(11/29);包膜完整者占41.4%(12/29),包膜不完整(包括无包膜)者占58.6%(17/29);有转移(门静脉有癌栓、肝内有转移及术后腹壁转移者,其中3例为术后复发)占55.2%(16/29);合并肝硬变者占89.7%(26/29)。
, http://www.100md.com
1.2 免疫组化染色
全部标本均经10%福尔马林液固定,石蜡包埋切片。所用VEGF兔抗人IgG多抗为Santacruz产品,CD34兔抗人多抗及SABC试剂盒为福州迈新公司产品,具体操作按说明书进行,其中VEGF检测在染色前用微波炉预先进行抗原修复。CD34蛋白检测用于MVD计数,另取20例肝炎后肝硬变标本作为对照。
1.3 结果判断
VEGF阳性物质呈棕黄色颗粒状,定位于瘤细胞浆中,整个切片观察10个高倍视野,阳性细胞>10%即为阳性病例。CD34染色阳性的单个内皮细胞或一簇内皮细胞作为一个微血管,应用007型真彩色图像分析系统(空军总医院和北京航空航天大学联合研制)测定,低倍镜(×40)下首先排除肿瘤出血区及边缘反应区,每例切片中选择3个血管密度最高区域(热点区域),然后在中倍镜(×200)下统计每个区域的MVD,其平均值即作为该例肿瘤的MVD值[1]。
, 百拇医药
1.4 统计学处理
χ2检验及单因素方差分析。
2 结果
2.1 肝癌组织中VEGF蛋白的表达
29例肝细胞肝癌标本中24例VEGF染色阳性,阳性率为82.8%。阳性反应物质位于胞浆,呈棕褐色颗粒状与胞核分界明显;肝癌细胞团染色深,而周围间质则未见着色,二者间对比强烈,见图1。在低分化肝癌组织中,可见片状组织坏死,而在坏死组织周围的肝癌细胞内VEGF呈高表,见图2。结果还显示,包膜不完整组的肝癌组织VEGF阳性表达率明显高于包膜完整组;有转移组肝癌组织中VEGF阳性表达率也显著高于无转移组;而肿瘤直径≥5cm组和<5 cm组间VEGF的表达则无显著差异,见表1。
, 百拇医药
图1 肝癌细胞VEGF阳性表达,间质细胞则无表达,癌巢散在分布,与间质界线清楚 (SABC×100)
Fig 1 Positive expression of VEGF was found in cancer cells but not in interstitial cells.The cancer nets were diversely distributed and the boundary between it and the interstitia clear (SABC×100)
图2 低分化肝癌内可见片状组织坏死, 坏死区周围的肝癌细胞VEGF呈高表达 (SABC×100)
Fig 2 Patches of necrotic tissue were seen in poorly differentiated HCC.High expression of VEGF was found in HCC cells around the necrotic regions (SABC×100)
, http://www.100md.com
表1 VEGF表达与肝癌多因素之间的关系
Tab 1 Relationship between the expression of VEGF
and condition of HCC Groups
VEGF expression
P
+
-
Capsule integrated
7
5
Non-encapsulated
, http://www.100md.com
17
0
P<0.01
Metastasis
16
0
Non-metastasis
8
5
P<0.01
Tumour diameter
≥5cm
16
, http://www.100md.com
2
<5cm
8
3
P>0.05
2.2 肝癌组织中MVD计数 肝癌组织中微血管呈密集网状分布,相互间联系紧密,见图3。相邻的肝癌结节以间质组织相连,而且间质组织中的血管呈扩张状态,见图4。微血管计数发现肝癌组织硬变肝组织中的MVD分别为32.69±5.89和16.74±3.21/中倍视野,两者相差非常显著(P<0.01);有转移组及包膜不完整组(含无包膜)肝癌组织中的MVD均显著高于相应的无转移组和包膜完整组(P<0.01),而肿瘤直径≥5cm和<5cm间却无明显差别,见表2。表2 微血管密度与肿瘤的关系
Tab 2 Relationship between the MVD and the tumour Groups
, 百拇医药
Cases
MVD
P
Metastasis
16
40.53±7.41
Non-matastasis
13
23.05±5.39
P<0.01
Capsule integrated
12
, 百拇医药
23.28±4.4
Non-encapsulated
17
39.34±7.21
P<0.01
Tumour diameter
≥5cm
18
34.74±6.89
<5cm
11
29.40±4.73
, 百拇医药
P>0.05
图3 CD34染色显示肝癌组织内血管呈网状分布,相互间联系极为紧密 (SABC×100)
Fig 3 The blood vessels stained with CD34 polyclonal antibody in a manner of network,and with close connection among them (SABC×100)
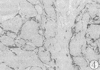
图4 肝癌结节间以间质组织相连,而且间质组织中的血管呈扩张状态 (SABC×100)
Fig 4 The HCC nodes were connected by stroma,and the blood vessle in the stroma
, 百拇医药
were dilated (SABC×100)
2.3 肝癌组织中VEGF表达与MVD的关系
将VEGF的阳性表达再进一步分成强阳性组(++:阳性物质以深棕黄粗颗粒为主)和弱阳性组+:阳性物质以浅棕黄细颗粒为主),统计VEGF表达强度不同组别的MVD结果表明,强阳性、弱阳性和阴性3组间有非常显著差异(P<0.01),见表3。表3 VEGF表达强度与MVD间的关系
Tab 3 Relationship between the intensity of VEGF
expression and MVD
VEGF expression
++(n=16)
, 百拇医药
+(n=8)
-(n=5)
MVD
43.56±6.47◆*
29.41±4.35*
11.66±3.74
◆: P<0.01 vs (+);*:P<0.01 vs (-)
3 讨论
VEGF是血管内皮细胞强有力的促有丝分裂原,肿瘤细胞合成的VEGF分泌并集中分布于肿瘤血管周围[2],与肿瘤血管内皮细胞上相应受体结合后,通过旁分泌机制来诱导血管生成[3]。免疫组化也证实,恶性肿瘤的恶性程度及血管化程度与VEGF表达水平明显相关。手术后的调查也证实,VEGF含量丰富的肿瘤,其术后无肿瘤复发,生存率显著低于VEGF含量低或无表达的肿瘤,提示VEGF表达水平与肿瘤的早期复发有关,可以作为临床评估肿瘤患者预后的重要指标[4]。本组资料显示,有转移组VEGF蛋白的表达阳性率明显高于无转移组;而且包膜完整组与不完整(含无包膜)组亦有显著性差异,揭示了在具有转移趋向的肿瘤组织中VEGF蛋白表达明显增高;肝癌组织中的MVD也与肿瘤的转移、包膜的不完整等密切相关,而且随着VEGF的表达强度的增强而增加,两者关系密切。该结果说明,肝癌组织中VEGF的表达增强,诱导产生大量结构和功能异常的血管,如管壁不完整、缺乏基膜等,此时肿瘤细胞极易脱离母瘤而进入血管,形成转移;在包膜不完整和无包膜的HCC呈现快速侵袭性生长倾向时,肿瘤血管形成相对迟缓,局部缺氧,导致肿瘤细胞增加VEGF的表达,加速血管形成,以改善局部血供,这种结构不完善的血供,增加了HCC转移的可能。VEGF除促进血管增殖外,另一重要作用是增加血管的通透性,而且其作用强度是组织胺的50×103倍[5]。血浆蛋白自肿瘤高通透性的血管外渗,形成临时的血管外基质以促进内皮细胞和成纤维细胞的迁移,这样迁移的内皮细胞构成新生血管,成纤维细胞合成并分泌基质蛋白、蛋白多糖等构成成熟的肿瘤间质。肿瘤细胞和/或内皮细胞分泌的纤溶酶原激活因子激活纤溶酶原成纤溶酶,后者激活基质金属蛋白酶(MMP),MMP又降解肿瘤周围的其它基质成分,从而促进了肿瘤的生长和浸润[6]。促通透性作用能够增加血液中大分子物质的外渗,在一定程度上暂时满足血管形成前期微小转移灶营养的需要,以及侵袭生长较快瘤组织的需要。肿瘤直径≥5 cm组和<5 cm组在VEGF蛋白的表达上未见显著差异,表明虽然VEGF在HCC生长过程中在发挥一定的作用,但只有当HCC具有转移倾向时,VEGF的表达才上升到一个更高的水平。
, http://www.100md.com
总之,VEGF在肝癌的生长、转移和浸润中具有极为重要的作用,肝癌组织中VEGF表达水平以及微血管密度的检测可以作为评估肿瘤恶性程度及患者预后的重要指标。
作者简介:刘吉奎,男,1966.01.06生,河北省徐水县人,博士,主治医师,讲师,主要从事门脉高压症、肝癌转移方面的研究,发表论文12篇。电话:(023)68752643
参考文献
[1] Weider N,Semple J P,Welch W R,et al.Tumor angiogenesis and metastasis-correlation in invasive breast carcinoma[J].N Engl J Med,1991,324(1):1-8.
[2] Park J,Keller G A,Ferrara N,et al.The VEGF isoforms: Differential deposition into the subepithelial extracellular matrix and bioactivity of extracellular matrix-bound VEGF[J].Mol Biol Cell,1993,4(6):1317-1322.
, 百拇医药
[3] Plate K H,Breier G,Weich H A,et al.Vascular endothelial growth factor is a potential tumour angiogenesis factor in human gliomas in vivo[J].Nature,1992,359(10):845-848.
[4] Maeda K,Chung Y S,Ogawa Y,et al.Prognostic value of vascular endothelial growth factor expression in gastric carcinoma[J].Cancer,1996,77(5):858-863.
[5] Collins P D,Connolly D T,Willams T J,et al.Characterization of the increase in vascular permeability induced by vascular permeability factor in vivo[J].Br J Pharamacol,1993,109(1):195-199.
[6] Brown L F,Lanir N,McDonagh J.et al.Fibroblast migration in fibrin gel matrices[J].Am J Pathol,1993,142(1):273-283.
收稿日期:1999-04-12;修回日期:1999-09-15, 百拇医药
单位:刘吉奎 韩本立:第三军医大学附属西南医院肝胆外科中心,重庆 400038;王玉芝:北京放射医学研究所,北京 100850;梁智勇:第三军医大学附属西南医院病理科,重庆 400038
关键词:血管内皮生长因子;肝细胞肝癌;微血管密度
第三军医大学学报991212
提要 目的:探讨血管内皮生长因子(VEGF)在原发性肝癌生长和转移中的作用。方法:免疫组化法检测29例肝癌组织中VEGF蛋白的表达及微血管密度(MVD)。结果:肝癌组织中VEGF阳性表达率为82.8%,转移组VEGF阳性表达例数以及MVD显著多于无转移组(P<0.01);肿瘤包膜不完整和无包膜组VEGF阳性表达例数显著多于包膜完整组(P<0.01);而且VEGF表达强度与MVD间关系密切;但肿瘤直径≥5 cm与<5 cm两组间未见显著差异(P>0.05)。结论:VEGF在肝癌浸润和转移过程中发挥重要作用,肝癌组织中VEGF表达及微血管密度的检测是评估肝癌患者预后的重要指标。
, 百拇医药
中图法分类号 R349.21;R735.702 文献标识码 A
文章编号:1000-5404(1999)12-0904-04
Effects of vascular endothelial growth factor on the growth and metastasis of hepatocellular carcinoma
LIU Ji-kui,HAN Ben-li,WANG Yu-zhi,LIANG Zhi-yong
(Center of Heptobiliary Surgery,Southwest Hospital,Third Military Medical University,Chongqing 400038)
Abstract Objective:To study the effects of vascular endothelial growth factor (VEGF) on the growth and metastasis of hepatocellular carcinoma (HCC).Methods:The expression of VEGF and the microvascular density (MVD) were determined in 29 cases of HCC with immunohistochemistry.Results:The expression rate of VEGF was 82.8% in 29 cases of HCC.The VEGF expression rate and MVD were higher in metastatic and non-encapsulated cases of HCC than in HCC cases without metastasis and with integral capsule (P<0.01).VEGF was closely correlated to MVD but they were not correlated to the size of HCC (P>0.5).Conclusion:Our findings indicate that VEGF may play an important role in the invasion and metastasis of HCC and VEGF expression rate and MVD are important indicators to judge the prognosis of patients with HCC.
, 百拇医药
Key words vascular endothelial growth factor;microvascular density;hepatocellular carcinoma
实体肿瘤的进行性生长依赖于其诱导产生的血管网的建立,肿瘤血管生成期的开始标志着肿瘤细胞的快速增殖、局部侵袭乃至转移。血管内皮生长因子(Vascular endothelial growth factor,VEGF)是强烈促进内皮细胞的分裂和血管生成的重要因子,同时也发现VEGF与肿瘤的生长、浸润及转移也密切相关。为此,我们重点研究了肝癌组织中VEGF表达及微血管密度(Microvascular density,MVD)的关系以及二者在肝癌生长和转移中的作用。
1 材料与方法
1.1 病例
1996年12月至1997年11月间手术切除并经病理学确诊的肝细胞肝癌(Hepatocellular carcinoma,HCC)石蜡标本29例,其中男性28例,女性1例;年龄23~79岁(平均年龄45.7岁)。HBsAg阳性者占72.4%(21/29),AFP≥31 ng/ml者占62.1%(18/29),肿瘤直径≥5cm者占62.1%(18/29),<5 cm者占37.9(11/29);包膜完整者占41.4%(12/29),包膜不完整(包括无包膜)者占58.6%(17/29);有转移(门静脉有癌栓、肝内有转移及术后腹壁转移者,其中3例为术后复发)占55.2%(16/29);合并肝硬变者占89.7%(26/29)。
, http://www.100md.com
1.2 免疫组化染色
全部标本均经10%福尔马林液固定,石蜡包埋切片。所用VEGF兔抗人IgG多抗为Santacruz产品,CD34兔抗人多抗及SABC试剂盒为福州迈新公司产品,具体操作按说明书进行,其中VEGF检测在染色前用微波炉预先进行抗原修复。CD34蛋白检测用于MVD计数,另取20例肝炎后肝硬变标本作为对照。
1.3 结果判断
VEGF阳性物质呈棕黄色颗粒状,定位于瘤细胞浆中,整个切片观察10个高倍视野,阳性细胞>10%即为阳性病例。CD34染色阳性的单个内皮细胞或一簇内皮细胞作为一个微血管,应用007型真彩色图像分析系统(空军总医院和北京航空航天大学联合研制)测定,低倍镜(×40)下首先排除肿瘤出血区及边缘反应区,每例切片中选择3个血管密度最高区域(热点区域),然后在中倍镜(×200)下统计每个区域的MVD,其平均值即作为该例肿瘤的MVD值[1]。
, 百拇医药
1.4 统计学处理
χ2检验及单因素方差分析。
2 结果
2.1 肝癌组织中VEGF蛋白的表达
29例肝细胞肝癌标本中24例VEGF染色阳性,阳性率为82.8%。阳性反应物质位于胞浆,呈棕褐色颗粒状与胞核分界明显;肝癌细胞团染色深,而周围间质则未见着色,二者间对比强烈,见图1。在低分化肝癌组织中,可见片状组织坏死,而在坏死组织周围的肝癌细胞内VEGF呈高表,见图2。结果还显示,包膜不完整组的肝癌组织VEGF阳性表达率明显高于包膜完整组;有转移组肝癌组织中VEGF阳性表达率也显著高于无转移组;而肿瘤直径≥5cm组和<5 cm组间VEGF的表达则无显著差异,见表1。
, 百拇医药
图1 肝癌细胞VEGF阳性表达,间质细胞则无表达,癌巢散在分布,与间质界线清楚 (SABC×100)
Fig 1 Positive expression of VEGF was found in cancer cells but not in interstitial cells.The cancer nets were diversely distributed and the boundary between it and the interstitia clear (SABC×100)
图2 低分化肝癌内可见片状组织坏死, 坏死区周围的肝癌细胞VEGF呈高表达 (SABC×100)
Fig 2 Patches of necrotic tissue were seen in poorly differentiated HCC.High expression of VEGF was found in HCC cells around the necrotic regions (SABC×100)
, http://www.100md.com
表1 VEGF表达与肝癌多因素之间的关系
Tab 1 Relationship between the expression of VEGF
and condition of HCC Groups
VEGF expression
P
+
-
Capsule integrated
7
5
Non-encapsulated
, http://www.100md.com
17
0
P<0.01
Metastasis
16
0
Non-metastasis
8
5
P<0.01
Tumour diameter
≥5cm
16
, http://www.100md.com
2
<5cm
8
3
P>0.05
2.2 肝癌组织中MVD计数 肝癌组织中微血管呈密集网状分布,相互间联系紧密,见图3。相邻的肝癌结节以间质组织相连,而且间质组织中的血管呈扩张状态,见图4。微血管计数发现肝癌组织硬变肝组织中的MVD分别为32.69±5.89和16.74±3.21/中倍视野,两者相差非常显著(P<0.01);有转移组及包膜不完整组(含无包膜)肝癌组织中的MVD均显著高于相应的无转移组和包膜完整组(P<0.01),而肿瘤直径≥5cm和<5cm间却无明显差别,见表2。表2 微血管密度与肿瘤的关系
Tab 2 Relationship between the MVD and the tumour Groups
, 百拇医药
Cases
MVD
P
Metastasis
16
40.53±7.41
Non-matastasis
13
23.05±5.39
P<0.01
Capsule integrated
12
, 百拇医药
23.28±4.4
Non-encapsulated
17
39.34±7.21
P<0.01
Tumour diameter
≥5cm
18
34.74±6.89
<5cm
11
29.40±4.73
, 百拇医药
P>0.05
图3 CD34染色显示肝癌组织内血管呈网状分布,相互间联系极为紧密 (SABC×100)
Fig 3 The blood vessels stained with CD34 polyclonal antibody in a manner of network,and with close connection among them (SABC×100)
图4 肝癌结节间以间质组织相连,而且间质组织中的血管呈扩张状态 (SABC×100)
Fig 4 The HCC nodes were connected by stroma,and the blood vessle in the stroma
, 百拇医药
were dilated (SABC×100)
2.3 肝癌组织中VEGF表达与MVD的关系
将VEGF的阳性表达再进一步分成强阳性组(++:阳性物质以深棕黄粗颗粒为主)和弱阳性组+:阳性物质以浅棕黄细颗粒为主),统计VEGF表达强度不同组别的MVD结果表明,强阳性、弱阳性和阴性3组间有非常显著差异(P<0.01),见表3。表3 VEGF表达强度与MVD间的关系
Tab 3 Relationship between the intensity of VEGF
expression and MVD
VEGF expression
++(n=16)
, 百拇医药
+(n=8)
-(n=5)
MVD
43.56±6.47◆*
29.41±4.35*
11.66±3.74
◆: P<0.01 vs (+);*:P<0.01 vs (-)
3 讨论
VEGF是血管内皮细胞强有力的促有丝分裂原,肿瘤细胞合成的VEGF分泌并集中分布于肿瘤血管周围[2],与肿瘤血管内皮细胞上相应受体结合后,通过旁分泌机制来诱导血管生成[3]。免疫组化也证实,恶性肿瘤的恶性程度及血管化程度与VEGF表达水平明显相关。手术后的调查也证实,VEGF含量丰富的肿瘤,其术后无肿瘤复发,生存率显著低于VEGF含量低或无表达的肿瘤,提示VEGF表达水平与肿瘤的早期复发有关,可以作为临床评估肿瘤患者预后的重要指标[4]。本组资料显示,有转移组VEGF蛋白的表达阳性率明显高于无转移组;而且包膜完整组与不完整(含无包膜)组亦有显著性差异,揭示了在具有转移趋向的肿瘤组织中VEGF蛋白表达明显增高;肝癌组织中的MVD也与肿瘤的转移、包膜的不完整等密切相关,而且随着VEGF的表达强度的增强而增加,两者关系密切。该结果说明,肝癌组织中VEGF的表达增强,诱导产生大量结构和功能异常的血管,如管壁不完整、缺乏基膜等,此时肿瘤细胞极易脱离母瘤而进入血管,形成转移;在包膜不完整和无包膜的HCC呈现快速侵袭性生长倾向时,肿瘤血管形成相对迟缓,局部缺氧,导致肿瘤细胞增加VEGF的表达,加速血管形成,以改善局部血供,这种结构不完善的血供,增加了HCC转移的可能。VEGF除促进血管增殖外,另一重要作用是增加血管的通透性,而且其作用强度是组织胺的50×103倍[5]。血浆蛋白自肿瘤高通透性的血管外渗,形成临时的血管外基质以促进内皮细胞和成纤维细胞的迁移,这样迁移的内皮细胞构成新生血管,成纤维细胞合成并分泌基质蛋白、蛋白多糖等构成成熟的肿瘤间质。肿瘤细胞和/或内皮细胞分泌的纤溶酶原激活因子激活纤溶酶原成纤溶酶,后者激活基质金属蛋白酶(MMP),MMP又降解肿瘤周围的其它基质成分,从而促进了肿瘤的生长和浸润[6]。促通透性作用能够增加血液中大分子物质的外渗,在一定程度上暂时满足血管形成前期微小转移灶营养的需要,以及侵袭生长较快瘤组织的需要。肿瘤直径≥5 cm组和<5 cm组在VEGF蛋白的表达上未见显著差异,表明虽然VEGF在HCC生长过程中在发挥一定的作用,但只有当HCC具有转移倾向时,VEGF的表达才上升到一个更高的水平。
, http://www.100md.com
总之,VEGF在肝癌的生长、转移和浸润中具有极为重要的作用,肝癌组织中VEGF表达水平以及微血管密度的检测可以作为评估肿瘤恶性程度及患者预后的重要指标。
作者简介:刘吉奎,男,1966.01.06生,河北省徐水县人,博士,主治医师,讲师,主要从事门脉高压症、肝癌转移方面的研究,发表论文12篇。电话:(023)68752643
参考文献
[1] Weider N,Semple J P,Welch W R,et al.Tumor angiogenesis and metastasis-correlation in invasive breast carcinoma[J].N Engl J Med,1991,324(1):1-8.
[2] Park J,Keller G A,Ferrara N,et al.The VEGF isoforms: Differential deposition into the subepithelial extracellular matrix and bioactivity of extracellular matrix-bound VEGF[J].Mol Biol Cell,1993,4(6):1317-1322.
, 百拇医药
[3] Plate K H,Breier G,Weich H A,et al.Vascular endothelial growth factor is a potential tumour angiogenesis factor in human gliomas in vivo[J].Nature,1992,359(10):845-848.
[4] Maeda K,Chung Y S,Ogawa Y,et al.Prognostic value of vascular endothelial growth factor expression in gastric carcinoma[J].Cancer,1996,77(5):858-863.
[5] Collins P D,Connolly D T,Willams T J,et al.Characterization of the increase in vascular permeability induced by vascular permeability factor in vivo[J].Br J Pharamacol,1993,109(1):195-199.
[6] Brown L F,Lanir N,McDonagh J.et al.Fibroblast migration in fibrin gel matrices[J].Am J Pathol,1993,142(1):273-283.
收稿日期:1999-04-12;修回日期:1999-09-15, 百拇医药