软骨肉瘤中p16蛋白表达的临床意义
作者:龙汉安 张贤良 杨光华 成娘 李明星
单位:龙汉安 李明星(泸州医学院病理学教研室,四川泸州646000);张贤良 杨光华 成娘(华西医科大学病理学教研室,四川成都610000)
关键词:软骨肉瘤;p16;免疫组织化学;细胞周期
癌症000116
摘 要:目的:探讨p16蛋白表达在软骨肉瘤诊断、分级和预后中的临床意义。方法:分析p16蛋白表达与良、恶性软骨肿瘤和软骨肉瘤病理分级间以及与软骨肉瘤不同临床病理因素间的关系。结果:(1)p16表达与软骨肉瘤组织学分级显著相关(P<0.05),且在软骨肉瘤不同组织学分级间p16蛋白表达差异有显著性(P<0.05)。(2)p16表达在软骨肉瘤体积、复发方面差异有显著性(P<0.05)。结论:(1)p16在软骨肉瘤形成和发展中起不同程度的作用。(2)p16蛋白表达对软骨肉瘤组织学分级、恶性进展和预后判断有指导意义。
, 百拇医药
分类号:R738.3 文献标识码:A
文章编号:1000-467X(2000)01-0054-03
Clinical significance of p16 protein expression in chondrosarcoma
LONG Han an,(Department of Pathology, Luzhou Medical College, Luzhou 646000,P.R.China)
ZHANG Xian liang, YANG Guang hua, et al.
(Department of Pathology,West China University of Medical Sciences,Chengdu 610000,P.R.China)
, 百拇医药
Abstract:Objective:To investigate the clinical significance of p16 protein expressions in the diagnosis,histological grade and prognosis of chondrosarcoma.Methods:The relationships between p16 protein expression and benign and malignant cartilaginous tumors, as well as histological grades of chondrosarcoma, and the relationships between p16 protein expression and clinicopathologic factors of chondrosarcoma were determined, respectively.Results:(1) p16 protein expression showed significant correlation with histologic grades of chondrosacoma ( P<0.05 ). There was significant difference (P< 0.05 ) between gradeⅠ ,Ⅱ and Ⅲ in p16 protein expression in chondrosarcoma.(2) There was statistical significance (P< 0.05) in comparing the differences of p16 protein expression on tumor size and tumor recurrence. Conclusions: (1) p16 gene play an important role in the tumorigenesis of chondroma.(2) p16 protein expression has some guiding values in histologic grade, malignant development and prognostic assessment of chondrosarcoma.
, http://www.100md.com
Key Words:Chondrosarcoma; P16; Immunohistochemistry; Cell cycle ▲
骨肉瘤是常见的骨恶性肿瘤,p16在软骨肉瘤中的研究,目前仅见于Jagasia等[1]一篇报道,他们认为p16在软骨肉瘤中有部分缺失,且在软骨肉瘤发生发展过程中可能有重要作用,我们用免疫组化S-P法检测p16在软骨肉瘤中的表达,从而探索它们在软骨肉瘤中表达是否有临床意义。
1材料和方法
1.1材料
36例普通型软骨肉瘤(Conventional chondrosar-coma,CCS),未脱钙石蜡块选自华西医科大学病理教研室(1972年至1995年),根据Evans等[2]组织学分级标准将软骨肉瘤分为3级(见表1),软骨肉瘤其余临床病理资料(见表2)作为对照组,设立软骨瘤,骨软骨瘤,正常软骨组织各6例。
, 百拇医药
表1 p16表达在良、恶性软骨肿瘤及正常软骨结果(例数) 分组
n
p16表达
阳性率(%)
-
+
++
+++
++++
软骨肉瘤
Ⅰ级
20
2
, 百拇医药
1
2
4
11
90.00*
Ⅱ级
8
4
0
0
4
0
50.00**
, 百拇医药
Ⅲ级
8
8
0
0
0
0
0.00***
软骨瘤
6
0
1
0
, http://www.100md.com 1
4
100.00△
骨软骨瘤
6
0
0
0
2
4
100.00
正常软骨
6
, 百拇医药 0
0
0
0
6
100.00
注*~△P>0.05,*~**P<0.05,*~***P<0.01表2 软骨肉瘤p16表达与其主要临床病理资料关系 临床资料
n
p16表达
阳性率(%)
-
+
, 百拇医药
++
+++
++++
性别
男
21
10
0
1
3
7
52.38
女
15
, http://www.100md.com
5
2
2
3
3
66.67
年龄
<5030
13
1
3
5
8
56.67
, http://www.100md.com
≥50
6
4
0
0
0
2
33.33
复发
未复发
29
16
0
0
, http://www.100md.com
6
7
44.83△
复发
7
1
1
0
2
3
85.71△△
大小
<10cm 30
, 百拇医药
10
0
3
9
8
66.67*
≥10cm
6
4
2
0
0
0
33.33**
, 百拇医药
部位
躯干
20
7
1
1
3
8
65.00
四肢
16
8
0
2
, 百拇医药
4
2
50.00
注:△~△△P<0.05,*~**P>0.05
1.2免疫组织化学
一抗兔抗人p16多克隆抗体(1∶100,SantaCruz公司),二抗生物素化牛抗兔IgG(1∶200,ZYMED公司),链菌素亲生物素蛋白—过氧化物酶(1∶200,ZYMED公司)。p16免疫组化染色按常规操作。用已知p16表达阳性的正常结肠粘膜为阳性对照,用PBS液取代第一抗体作为阴性对照。
1.3染色结果判断及统计学处理
观察染色切片中十个具有代表性的高倍视野中明确胞核和或胞浆棕黄色颗粒定为阳性细胞,肿瘤细胞阳性数在75%以上为(++++),50%~75%间为(+++),50%~25%间为(++),低于25%为(+),无阳性细胞为(-)。p16表达阳性半定量间以及它们与软骨肉瘤组织分级间的关系行Speaman秩相关检验。p16表达在正常软骨组织,良、恶性软骨肿瘤间和软骨肉瘤组织学分级间以及与其临床病理因素的关系行卡方检验。
, 百拇医药
2结果
2.1p16表达与良、恶性软骨肿瘤及其组织学分级的关系
p16蛋白阳性表达部位和强弱见图1~3。p16表达在良、恶性软骨肿瘤及正常软骨结果见表1。统计学分析,p16表达与软骨肉瘤组织分级显著相关(P<0.05),p16表达在正常软骨和良性软骨肿瘤及Ⅰ级软骨肉瘤间差异无显著性(P>0.05),Ⅰ级与Ⅱ级间差异有显著性(P<0.05),Ⅰ级与Ⅲ级间、Ⅲ级与Ⅰ级+Ⅱ级间差异有显著性(P<0.01)。
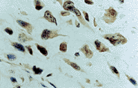
图1 p16蛋白表达在Ⅰ级软骨肉瘤,并示p16蛋白阳性表达主要见于肿瘤细胞胞浆,少数见于细胞核S-P法×200
图2 p16蛋白表达在Ⅱ级软骨肉瘤,并示p16蛋白阳性表达主要见于肿瘤细胞胞浆,少数见于细胞核S-P法×200
, 百拇医药
图3 p16蛋白表达在Ⅲ级软骨肉瘤,S-P法×200
2.2p16蛋白表达与软骨肉瘤主要临床病理资料关系
软骨肉瘤p16表达与其主要临床病理资料关系见表2。p16表达在软骨肉瘤复发组较未复发组高,且差异有显著性(P<0.05);p16表达在软骨肉瘤直径小于10cm者较直径大于或等于10cm者高,但未显示统计学差异性(P>0.05);p16表达在软骨肉瘤性别、年龄、部位方面都未显示统计学差异性(P>0.05)。
3讨论
p16是细胞周期中非常重要的阴性调节因子,在多种肿瘤细胞周期增殖和细胞分化调控中起着十分重要的作用[3]。本研究结果p16蛋白表达阳性率在软骨肉瘤Ⅰ级、Ⅱ级、Ⅲ级分别为90.00%(18/20)、50.00%(4/8)、0.00%,说明p16蛋白表达随软骨肉瘤组织学分级越高,表达愈弱,Ⅲ级软骨肉瘤不见表达;而良性软骨肿瘤和正常软骨组织全部阳性高表达(皆为100%),提示p16基因可能在软骨肉瘤形成和发展中起不同程度的作用。
, http://www.100md.com
p16被认为与肿瘤细胞分化有关[4,5]。本研究p16表达与软骨肉瘤组织学分级正相关(P<0.05)。且p16表达在软骨肉瘤Ⅰ级与Ⅱ级间无显著性差异(P>0.05),Ⅰ级与Ⅲ级间,Ⅲ级与Ⅰ级+Ⅱ级间有显著性差异(P<0.001),表明p16蛋白表达对软骨肉瘤组织学分级有指导作用。
目前一般认为软骨肉瘤组织分级高者预后不良。最近,有p16作为某些肿瘤的预后指标的报道[5],本研究结果显示p16表达与软骨肉瘤组织分级显著正相关(P<0.05),表明p16蛋白表达也可能成为判断软骨肉瘤预后的一项指标,当然这尚待大量软骨肉瘤病人随访证实。
一些研究表明,p16基因的突变和缺失,与很多肿瘤发生发展密切相关[3~5],那么,p16表达水平可能影响其生物学行为。本研究软骨肉瘤p16阳性表达复发组(85.71%)较未复发组(44.83%)高,且差异有显著性(P<0.05),根据本组资料36例软骨肉瘤中7例复发情况:肿瘤发生部位,肋骨、股骨各2例,髋骨、坐骨、胫骨各1例;软骨肉瘤组织学分级Ⅰ、Ⅱ、Ⅲ级分别为3、2、2例;治疗都是手术切除肿瘤,手术切除肿瘤复发时间平均6月(2月至2年),可排除由于肿瘤发生部位、组织学分级、手术方式、复发时间等因素的影响,表明p16蛋白表达水平可能成为衡量软骨肉瘤是否复发的指标之一。
, http://www.100md.com
*通讯作者:Tel:86-830-2394412-8626
参考文献:
[1]Jagasia AA,Block JA,Qureshi A,et al. Chromosome 9 related aberrations and deletions of the CDKN2 and MTS putative suppressor genes in human chondrosarcoma [J]. Cancer Lett, 1996, 105(1): 91~ 103.
[2]Evans HL,Ayala AG, Romsdahl MM. Prognostic factors in chondrosarcoma of bone: a clinicopathologic analysis with emphasis on histologic grading [J]. Cancer,1977,40: 818~ 831.
, 百拇医药
[3]Kamb A,Gruis NA,Weaver F J, et al. A cell cycle regulator potentially involved in genesis of manyjtumor types [J]. Science,1994, 264: 436.
[4]obori T, Miura K,Wu DJ,et al. Deletion of the Cyclin-dependent kinase-4 Inhibitor gene in multiple human cancers [J]. Nature,1994, 368: 753~ 756.
[5]郭山春,廖松林,丁华野,等.p16蛋白在乳腺癌中的表达及其预后的关系[J].中华病理学杂志,1997,26(3):175.
收稿日期:1998-12-11
修回日期:1999-07-28, 百拇医药
单位:龙汉安 李明星(泸州医学院病理学教研室,四川泸州646000);张贤良 杨光华 成娘(华西医科大学病理学教研室,四川成都610000)
关键词:软骨肉瘤;p16;免疫组织化学;细胞周期
癌症000116
摘 要:目的:探讨p16蛋白表达在软骨肉瘤诊断、分级和预后中的临床意义。方法:分析p16蛋白表达与良、恶性软骨肿瘤和软骨肉瘤病理分级间以及与软骨肉瘤不同临床病理因素间的关系。结果:(1)p16表达与软骨肉瘤组织学分级显著相关(P<0.05),且在软骨肉瘤不同组织学分级间p16蛋白表达差异有显著性(P<0.05)。(2)p16表达在软骨肉瘤体积、复发方面差异有显著性(P<0.05)。结论:(1)p16在软骨肉瘤形成和发展中起不同程度的作用。(2)p16蛋白表达对软骨肉瘤组织学分级、恶性进展和预后判断有指导意义。
, 百拇医药
分类号:R738.3 文献标识码:A
文章编号:1000-467X(2000)01-0054-03
Clinical significance of p16 protein expression in chondrosarcoma
LONG Han an,(Department of Pathology, Luzhou Medical College, Luzhou 646000,P.R.China)
ZHANG Xian liang, YANG Guang hua, et al.
(Department of Pathology,West China University of Medical Sciences,Chengdu 610000,P.R.China)
, 百拇医药
Abstract:Objective:To investigate the clinical significance of p16 protein expressions in the diagnosis,histological grade and prognosis of chondrosarcoma.Methods:The relationships between p16 protein expression and benign and malignant cartilaginous tumors, as well as histological grades of chondrosarcoma, and the relationships between p16 protein expression and clinicopathologic factors of chondrosarcoma were determined, respectively.Results:(1) p16 protein expression showed significant correlation with histologic grades of chondrosacoma ( P<0.05 ). There was significant difference (P< 0.05 ) between gradeⅠ ,Ⅱ and Ⅲ in p16 protein expression in chondrosarcoma.(2) There was statistical significance (P< 0.05) in comparing the differences of p16 protein expression on tumor size and tumor recurrence. Conclusions: (1) p16 gene play an important role in the tumorigenesis of chondroma.(2) p16 protein expression has some guiding values in histologic grade, malignant development and prognostic assessment of chondrosarcoma.
, http://www.100md.com
Key Words:Chondrosarcoma; P16; Immunohistochemistry; Cell cycle ▲
骨肉瘤是常见的骨恶性肿瘤,p16在软骨肉瘤中的研究,目前仅见于Jagasia等[1]一篇报道,他们认为p16在软骨肉瘤中有部分缺失,且在软骨肉瘤发生发展过程中可能有重要作用,我们用免疫组化S-P法检测p16在软骨肉瘤中的表达,从而探索它们在软骨肉瘤中表达是否有临床意义。
1材料和方法
1.1材料
36例普通型软骨肉瘤(Conventional chondrosar-coma,CCS),未脱钙石蜡块选自华西医科大学病理教研室(1972年至1995年),根据Evans等[2]组织学分级标准将软骨肉瘤分为3级(见表1),软骨肉瘤其余临床病理资料(见表2)作为对照组,设立软骨瘤,骨软骨瘤,正常软骨组织各6例。
, 百拇医药
表1 p16表达在良、恶性软骨肿瘤及正常软骨结果(例数) 分组
n
p16表达
阳性率(%)
-
+
++
+++
++++
软骨肉瘤
Ⅰ级
20
2
, 百拇医药
1
2
4
11
90.00*
Ⅱ级
8
4
0
0
4
0
50.00**
, 百拇医药
Ⅲ级
8
8
0
0
0
0
0.00***
软骨瘤
6
0
1
0
, http://www.100md.com 1
4
100.00△
骨软骨瘤
6
0
0
0
2
4
100.00
正常软骨
6
, 百拇医药 0
0
0
0
6
100.00
注*~△P>0.05,*~**P<0.05,*~***P<0.01表2 软骨肉瘤p16表达与其主要临床病理资料关系 临床资料
n
p16表达
阳性率(%)
-
+
, 百拇医药
++
+++
++++
性别
男
21
10
0
1
3
7
52.38
女
15
, http://www.100md.com
5
2
2
3
3
66.67
年龄
<50
13
1
3
5
8
56.67
, http://www.100md.com
≥50
6
4
0
0
0
2
33.33
复发
未复发
29
16
0
0
, http://www.100md.com
6
7
44.83△
复发
7
1
1
0
2
3
85.71△△
大小
<10cm
, 百拇医药
10
0
3
9
8
66.67*
≥10cm
6
4
2
0
0
0
33.33**
, 百拇医药
部位
躯干
20
7
1
1
3
8
65.00
四肢
16
8
0
2
, 百拇医药
4
2
50.00
注:△~△△P<0.05,*~**P>0.05
1.2免疫组织化学
一抗兔抗人p16多克隆抗体(1∶100,SantaCruz公司),二抗生物素化牛抗兔IgG(1∶200,ZYMED公司),链菌素亲生物素蛋白—过氧化物酶(1∶200,ZYMED公司)。p16免疫组化染色按常规操作。用已知p16表达阳性的正常结肠粘膜为阳性对照,用PBS液取代第一抗体作为阴性对照。
1.3染色结果判断及统计学处理
观察染色切片中十个具有代表性的高倍视野中明确胞核和或胞浆棕黄色颗粒定为阳性细胞,肿瘤细胞阳性数在75%以上为(++++),50%~75%间为(+++),50%~25%间为(++),低于25%为(+),无阳性细胞为(-)。p16表达阳性半定量间以及它们与软骨肉瘤组织分级间的关系行Speaman秩相关检验。p16表达在正常软骨组织,良、恶性软骨肿瘤间和软骨肉瘤组织学分级间以及与其临床病理因素的关系行卡方检验。
, 百拇医药
2结果
2.1p16表达与良、恶性软骨肿瘤及其组织学分级的关系
p16蛋白阳性表达部位和强弱见图1~3。p16表达在良、恶性软骨肿瘤及正常软骨结果见表1。统计学分析,p16表达与软骨肉瘤组织分级显著相关(P<0.05),p16表达在正常软骨和良性软骨肿瘤及Ⅰ级软骨肉瘤间差异无显著性(P>0.05),Ⅰ级与Ⅱ级间差异有显著性(P<0.05),Ⅰ级与Ⅲ级间、Ⅲ级与Ⅰ级+Ⅱ级间差异有显著性(P<0.01)。
图1 p16蛋白表达在Ⅰ级软骨肉瘤,并示p16蛋白阳性表达主要见于肿瘤细胞胞浆,少数见于细胞核S-P法×200
图2 p16蛋白表达在Ⅱ级软骨肉瘤,并示p16蛋白阳性表达主要见于肿瘤细胞胞浆,少数见于细胞核S-P法×200
, 百拇医药
图3 p16蛋白表达在Ⅲ级软骨肉瘤,S-P法×200
2.2p16蛋白表达与软骨肉瘤主要临床病理资料关系
软骨肉瘤p16表达与其主要临床病理资料关系见表2。p16表达在软骨肉瘤复发组较未复发组高,且差异有显著性(P<0.05);p16表达在软骨肉瘤直径小于10cm者较直径大于或等于10cm者高,但未显示统计学差异性(P>0.05);p16表达在软骨肉瘤性别、年龄、部位方面都未显示统计学差异性(P>0.05)。
3讨论
p16是细胞周期中非常重要的阴性调节因子,在多种肿瘤细胞周期增殖和细胞分化调控中起着十分重要的作用[3]。本研究结果p16蛋白表达阳性率在软骨肉瘤Ⅰ级、Ⅱ级、Ⅲ级分别为90.00%(18/20)、50.00%(4/8)、0.00%,说明p16蛋白表达随软骨肉瘤组织学分级越高,表达愈弱,Ⅲ级软骨肉瘤不见表达;而良性软骨肿瘤和正常软骨组织全部阳性高表达(皆为100%),提示p16基因可能在软骨肉瘤形成和发展中起不同程度的作用。
, http://www.100md.com
p16被认为与肿瘤细胞分化有关[4,5]。本研究p16表达与软骨肉瘤组织学分级正相关(P<0.05)。且p16表达在软骨肉瘤Ⅰ级与Ⅱ级间无显著性差异(P>0.05),Ⅰ级与Ⅲ级间,Ⅲ级与Ⅰ级+Ⅱ级间有显著性差异(P<0.001),表明p16蛋白表达对软骨肉瘤组织学分级有指导作用。
目前一般认为软骨肉瘤组织分级高者预后不良。最近,有p16作为某些肿瘤的预后指标的报道[5],本研究结果显示p16表达与软骨肉瘤组织分级显著正相关(P<0.05),表明p16蛋白表达也可能成为判断软骨肉瘤预后的一项指标,当然这尚待大量软骨肉瘤病人随访证实。
一些研究表明,p16基因的突变和缺失,与很多肿瘤发生发展密切相关[3~5],那么,p16表达水平可能影响其生物学行为。本研究软骨肉瘤p16阳性表达复发组(85.71%)较未复发组(44.83%)高,且差异有显著性(P<0.05),根据本组资料36例软骨肉瘤中7例复发情况:肿瘤发生部位,肋骨、股骨各2例,髋骨、坐骨、胫骨各1例;软骨肉瘤组织学分级Ⅰ、Ⅱ、Ⅲ级分别为3、2、2例;治疗都是手术切除肿瘤,手术切除肿瘤复发时间平均6月(2月至2年),可排除由于肿瘤发生部位、组织学分级、手术方式、复发时间等因素的影响,表明p16蛋白表达水平可能成为衡量软骨肉瘤是否复发的指标之一。
, http://www.100md.com
*通讯作者:Tel:86-830-2394412-8626
参考文献:
[1]Jagasia AA,Block JA,Qureshi A,et al. Chromosome 9 related aberrations and deletions of the CDKN2 and MTS putative suppressor genes in human chondrosarcoma [J]. Cancer Lett, 1996, 105(1): 91~ 103.
[2]Evans HL,Ayala AG, Romsdahl MM. Prognostic factors in chondrosarcoma of bone: a clinicopathologic analysis with emphasis on histologic grading [J]. Cancer,1977,40: 818~ 831.
, 百拇医药
[3]Kamb A,Gruis NA,Weaver F J, et al. A cell cycle regulator potentially involved in genesis of manyjtumor types [J]. Science,1994, 264: 436.
[4]obori T, Miura K,Wu DJ,et al. Deletion of the Cyclin-dependent kinase-4 Inhibitor gene in multiple human cancers [J]. Nature,1994, 368: 753~ 756.
[5]郭山春,廖松林,丁华野,等.p16蛋白在乳腺癌中的表达及其预后的关系[J].中华病理学杂志,1997,26(3):175.
收稿日期:1998-12-11
修回日期:1999-07-28, 百拇医药