婴儿色素性神经外胚瘤2例
作者:赵海滨 石群立 金行藻 孙桂勤 陆珍风 严小娟 杨震
单位:赵海滨(赵海滨现在解放军第101医院病理科);石群立 金行藻 孙桂勤 陆珍风 严小娟 杨震(南京军区南京总医院病理科 210002)
关键词:神经外胚瘤,黑色素;免疫组织化学;超微结构
临床与实验病理学杂志000241 中图分类号 R730.264 文献标识码 A
文章编号 1001-7399(2000)02-0174-02
婴儿色素性神经外胚瘤(melanotic neuroectodermal tumor of infancy,MNTI)少见〔1〕,本文报道2例并结合文献复习讨论如下。
1 病例资料
, http://www.100md.com
例1,女,9个月,左额颞部包块进行性增大3个月。查体:左额颞部隆起性卵圆形包块,质硬,活动度差。X线示左额颞部不规则骨质破坏伴5.0 cm×5.0 cm软组织肿块影重叠,其内可见放射状骨针形成,随访半年后死亡。
例2,男,5个月,右下颌部肿块进行性增大1个月。查体:右下颌面隆起性肿块4.0 cm×2.0 cm×1.0 cm,颊粘膜隆起3.0 cm×1.0 cm×0.5 cm,表面淡蓝色,界清,光滑,压之有乒乓球样感觉。X线示下颌骨面颊侧骨壁破坏呈牛皮纸样,舌侧骨壁呈溶骨性破坏。手术予以肿块及部分下颌骨切除,术后随访半年患儿生长发育良好未见复发和转移。
2例肿瘤组织经10%福尔马林固定,常规HE制片。免疫组化采用S-P法,所用抗体CK、EMA、Vim、HMB45、S-100蛋白、NSE、CgA和Syn均购自福州迈新公司。另取新鲜肿瘤组织约1 mm3,经2.5%戊二醛固定,1%锇酸后固定,常规脱水,Epon812树脂包埋,常规电镜制片,JEM-1200EX透射电镜观察。
, 百拇医药
2 病理检查
2.1 眼观 例1黑褐色穿刺物少许,将吸取物全部包埋切片。例2为蓝黑色不规则肿块,大小3.0 cm×2.0 cm×1.0 cm,肿块表面无包膜,未见破溃,切面似呈分叶状,质地尚软,一侧附有部分下颌骨,肿块与骨组织不易分离。
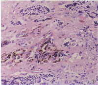
2.2 镜检 2例MNTI肿瘤形态相似均由两种细胞构成,一是较大的含色素的上皮样瘤细胞和另一类是较小的神经母细胞样瘤细胞,周围有致密的纤维分隔,瘤细胞呈小管状、腺泡状、条索状或巢状排列(图1),局部见少许骨小梁。上皮样瘤细胞体积较大,呈椭圆形、立方形或多边形,胞浆丰富,内含黑色素颗粒(图1),核圆形,可见核仁及核分裂象。较小的瘤细胞胞浆少,核圆形或似麦粒样、深染,有轻度异形。瘤组织间坏死少见,大小两类瘤细胞均浸润骨组织。
图1 MNTI大小两种肿瘤细胞混杂,较大的肿瘤
, http://www.100md.com
细胞浆内有色素沉着。HE×100
2.3 免疫组化结果 较大的瘤细胞CK和HMB45阳性(图2),S-100蛋白及EMA部分阳性;小的瘤细胞NSE阳性,Syn弱阳性,大小两类瘤细胞Vim均阳性。
图2 MNTI的较大的肿瘤细胞HMB45阳性。S-P×100
2.4 电镜特征 MNTI大的瘤细胞核卵圆,胞浆丰富,富含粗面内质网、肿胀的线粒体及前黑色素小体和黑色素小体,可见桥粒和张力原纤维。小的瘤细胞核相对较大,居中,有核仁,胞浆内含少量粗面内质网,并有少量电子密度高的膜性分泌颗粒、微管及微丝。
3 讨论
MNTI是发生于婴幼儿很少见的肿瘤,95%发生于10个月以下婴幼儿。本瘤最常见的发生部位是上颌骨,其次为下颌骨、颅骨。临床上多以局部迅速增长的肿块而就诊。其肿块表面灰白色或蓝黑色,常无溃疡。影像学常提示溶骨性破坏。其组织学特征:肿瘤由两类细胞组成,一是较大的、含色素的、上皮样瘤细胞,呈小管或腺泡状排列,其间见成片或散在分布的较小的神经母细胞样瘤细胞,周围有丰富纤维间隔。免疫组化显示大的瘤细胞HMB45阳性,小的瘤细胞NSE和Syn阳性。提示两种细胞均属神经嵴起源。超微结构特点:大的瘤细胞含有各阶段黑色素前体及黑色素小体,小的瘤细胞浆内有高电子密度的膜性分泌颗粒,细胞间可见桥粒连接,也提示其有原始神经上皮细胞分化的能力。临床上部分患儿尿中香草扁桃酸升高,进一步证实该肿瘤来源于神经嵴细胞〔2〕。以往认为MNTI为良性肿瘤,但近年来报道其复发率可高达45%~60%〔3〕,Kapadia等〔3〕报道12例MNTI,随访4个月内有5例复发,1例死亡。本组1例术后半年死亡。加之其肿瘤生长迅速,瘤细胞异型明显,核分裂象易见,且肿瘤呈浸润性生长,侵犯和破坏骨组织。因此笔者认为MNTI至少应属低度恶性肿瘤。
, 百拇医药
参考文献
1,Pettinato G, Maniver JC,Damore ESG et al. Melanotic neuroectodermal tumor of infancy:A reexamination of a histogentic problem based on immunohistochemical,flow cytometric,and ultrastructural study of 10 cases. Am J Surg Pathol,1991;15(3):233~245
2,Borello ED, Gorlin RJ. Melanotic neuroectodermal tumor of infancy:a neoplasm of neural crest origin. Report of a case associated with high urinary excretion of vanilmanodlic acid. Cancer,1996;19:196~206
3,Kapadia SB, Frisman DM, Hitchcock CL et al. Melanotic Neuroectodermal Tumor of Infancy:Clinicopathological,immunohistochemical, and flow cytometric study. Am J Surg Pathol,1993;17(6):566~573
收稿日期:1999-09-20, 百拇医药
单位:赵海滨(赵海滨现在解放军第101医院病理科);石群立 金行藻 孙桂勤 陆珍风 严小娟 杨震(南京军区南京总医院病理科 210002)
关键词:神经外胚瘤,黑色素;免疫组织化学;超微结构
临床与实验病理学杂志000241 中图分类号 R730.264 文献标识码 A
文章编号 1001-7399(2000)02-0174-02
婴儿色素性神经外胚瘤(melanotic neuroectodermal tumor of infancy,MNTI)少见〔1〕,本文报道2例并结合文献复习讨论如下。
1 病例资料
, http://www.100md.com
例1,女,9个月,左额颞部包块进行性增大3个月。查体:左额颞部隆起性卵圆形包块,质硬,活动度差。X线示左额颞部不规则骨质破坏伴5.0 cm×5.0 cm软组织肿块影重叠,其内可见放射状骨针形成,随访半年后死亡。
例2,男,5个月,右下颌部肿块进行性增大1个月。查体:右下颌面隆起性肿块4.0 cm×2.0 cm×1.0 cm,颊粘膜隆起3.0 cm×1.0 cm×0.5 cm,表面淡蓝色,界清,光滑,压之有乒乓球样感觉。X线示下颌骨面颊侧骨壁破坏呈牛皮纸样,舌侧骨壁呈溶骨性破坏。手术予以肿块及部分下颌骨切除,术后随访半年患儿生长发育良好未见复发和转移。
2例肿瘤组织经10%福尔马林固定,常规HE制片。免疫组化采用S-P法,所用抗体CK、EMA、Vim、HMB45、S-100蛋白、NSE、CgA和Syn均购自福州迈新公司。另取新鲜肿瘤组织约1 mm3,经2.5%戊二醛固定,1%锇酸后固定,常规脱水,Epon812树脂包埋,常规电镜制片,JEM-1200EX透射电镜观察。
, 百拇医药
2 病理检查
2.1 眼观 例1黑褐色穿刺物少许,将吸取物全部包埋切片。例2为蓝黑色不规则肿块,大小3.0 cm×2.0 cm×1.0 cm,肿块表面无包膜,未见破溃,切面似呈分叶状,质地尚软,一侧附有部分下颌骨,肿块与骨组织不易分离。
2.2 镜检 2例MNTI肿瘤形态相似均由两种细胞构成,一是较大的含色素的上皮样瘤细胞和另一类是较小的神经母细胞样瘤细胞,周围有致密的纤维分隔,瘤细胞呈小管状、腺泡状、条索状或巢状排列(图1),局部见少许骨小梁。上皮样瘤细胞体积较大,呈椭圆形、立方形或多边形,胞浆丰富,内含黑色素颗粒(图1),核圆形,可见核仁及核分裂象。较小的瘤细胞胞浆少,核圆形或似麦粒样、深染,有轻度异形。瘤组织间坏死少见,大小两类瘤细胞均浸润骨组织。
图1 MNTI大小两种肿瘤细胞混杂,较大的肿瘤
, http://www.100md.com
细胞浆内有色素沉着。HE×100
2.3 免疫组化结果 较大的瘤细胞CK和HMB45阳性(图2),S-100蛋白及EMA部分阳性;小的瘤细胞NSE阳性,Syn弱阳性,大小两类瘤细胞Vim均阳性。
图2 MNTI的较大的肿瘤细胞HMB45阳性。S-P×100
2.4 电镜特征 MNTI大的瘤细胞核卵圆,胞浆丰富,富含粗面内质网、肿胀的线粒体及前黑色素小体和黑色素小体,可见桥粒和张力原纤维。小的瘤细胞核相对较大,居中,有核仁,胞浆内含少量粗面内质网,并有少量电子密度高的膜性分泌颗粒、微管及微丝。
3 讨论
MNTI是发生于婴幼儿很少见的肿瘤,95%发生于10个月以下婴幼儿。本瘤最常见的发生部位是上颌骨,其次为下颌骨、颅骨。临床上多以局部迅速增长的肿块而就诊。其肿块表面灰白色或蓝黑色,常无溃疡。影像学常提示溶骨性破坏。其组织学特征:肿瘤由两类细胞组成,一是较大的、含色素的、上皮样瘤细胞,呈小管或腺泡状排列,其间见成片或散在分布的较小的神经母细胞样瘤细胞,周围有丰富纤维间隔。免疫组化显示大的瘤细胞HMB45阳性,小的瘤细胞NSE和Syn阳性。提示两种细胞均属神经嵴起源。超微结构特点:大的瘤细胞含有各阶段黑色素前体及黑色素小体,小的瘤细胞浆内有高电子密度的膜性分泌颗粒,细胞间可见桥粒连接,也提示其有原始神经上皮细胞分化的能力。临床上部分患儿尿中香草扁桃酸升高,进一步证实该肿瘤来源于神经嵴细胞〔2〕。以往认为MNTI为良性肿瘤,但近年来报道其复发率可高达45%~60%〔3〕,Kapadia等〔3〕报道12例MNTI,随访4个月内有5例复发,1例死亡。本组1例术后半年死亡。加之其肿瘤生长迅速,瘤细胞异型明显,核分裂象易见,且肿瘤呈浸润性生长,侵犯和破坏骨组织。因此笔者认为MNTI至少应属低度恶性肿瘤。
, 百拇医药
参考文献
1,Pettinato G, Maniver JC,Damore ESG et al. Melanotic neuroectodermal tumor of infancy:A reexamination of a histogentic problem based on immunohistochemical,flow cytometric,and ultrastructural study of 10 cases. Am J Surg Pathol,1991;15(3):233~245
2,Borello ED, Gorlin RJ. Melanotic neuroectodermal tumor of infancy:a neoplasm of neural crest origin. Report of a case associated with high urinary excretion of vanilmanodlic acid. Cancer,1996;19:196~206
3,Kapadia SB, Frisman DM, Hitchcock CL et al. Melanotic Neuroectodermal Tumor of Infancy:Clinicopathological,immunohistochemical, and flow cytometric study. Am J Surg Pathol,1993;17(6):566~573
收稿日期:1999-09-20, 百拇医药