分泌型脑膜瘤
作者:金梅 周萍 吕炳建
单位:(浙江大学邵逸夫医院病理科,杭州 310016)
关键词:脑膜瘤;包涵体;免疫组织化学
临床与实验病理学杂志000225 中图分类号 R739.45 文献标识码 A
文章编号 1001-7399(2000)02-0162-02
1 临床资料
患者1,女性, 42岁,反复头痛5年,四肢抽搐发作1次;患者2,女性,58岁,近1月来左侧肢体抽搐数次。CT及MR分别示左颞2 cm×2 cm×2 cm和右顶3 cm×2 cm×2 cm占位,可明显增强,境界清楚伴周围脑组织大片水肿,考虑为“转移癌或脑膜瘤”。手术均完整切除,术后查血清CEA正常。
, 百拇医药
2 病理检查
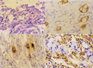
肿瘤细胞形态及排列方式与典型的脑膜皮型脑膜瘤相似,一明显的特征是肿瘤组织中有许多大小不等的细胞浆内圆形包涵体,单个或成簇分布,亮红色均质性有折光,周围有明显空晕(图1)。特殊染色:包涵体PAS、PAS-D和AB均强阳性。免疫组化:含包涵体的细胞CK(包括CK821、高分子量CK、低分子量CK)、CEA和EMA强阳性(图2,3),同时大部分包涵体CEA也阳性,其他细胞EMA片状弱阳性;Vim、NSE和α-ACT弥漫阳性,但含包涵体的细胞Vim阴性(图4);S-100蛋白、Syn、CgA、Lys和ER均阴性,PR阳性指数约为80%,Ki-67偶见阳性细胞核。病理诊断:分泌型脑膜瘤(secretory meningioma)。
图1 细胞浆内包涵体。HE×400
图2 含包涵体的细胞高分子量CK强阳性。EnVision×400
, 百拇医药
图3 包涵体及周围细胞CEA强阳性。EnVision×400
图4 含包涵体的细胞Vim阴性,其余细胞强阳性。EnVision×4003 讨论
早在30年代,就有病理学者注意到少数脑膜瘤光镜下可见到“细胞内嗜酸性包涵体 ”,后来Kepes〔1〕将其称为“假砂粒体”,以便与真性砂粒体区分,1986年,Alguacil-Garcia等〔2〕结合免疫组化结果提出了“分泌型脑膜瘤”的命名,并逐渐被接受,1993年WHO中枢神经系统新分类将其正式列为良性脑膜瘤11个亚型之一〔3〕。据为数不多的病例统计〔4〕,分泌型脑膜瘤的发生率约为脑膜瘤的3%,平均发病年龄59.2岁(30~83岁),女性好发(女∶男=9∶1),明显高于普通型脑膜瘤(女∶男=3∶2~2∶1),这是否也与肿瘤组织PR阳性率高有关?影像学上,大多数分泌型脑膜瘤有一特征,即较为明显的病灶周围脑水肿〔2〕,以至常需考虑转移癌或高度恶性脑肿瘤。多数学者认为,这种水肿无法用肿瘤大小、部位、生长速度、血管有无累及、组织学类型和细胞增殖活性等来解释〔5〕,是否与肿瘤内PR的存在,或肿瘤细胞产生的某些物质使周围脑组织内血管通透性增加有关,尚有待进一步研究。
, 百拇医药
如本组所见,分泌型脑膜瘤有其特征性的组织学表现,即脑膜皮型脑膜瘤的组织形态加上单个或成簇分布的细胞浆内包涵体或称“假砂粒体”,境界清楚,呈很强的嗜伊红色,玻璃样均质状而无钙化,PAS和PAS-D均呈强阳性。电镜下包涵体由小空泡和膜碎片构成,位于细胞浆内形成的空腔中,腔缘有许多微绒毛〔6〕。需与之鉴别的脑膜瘤中常见的砂粒体则为嗜碱性、常有钙化的细胞外同心圆结构,位于肿瘤细胞排列的漩涡中心。
本组2例分泌型脑膜瘤及文献报道均发现含包涵体的细胞表达一系列上皮标记,较具特征性,另外一些较泛的标记如NSE和α-ACT呈弥漫阳性,这些结果与普通脑膜瘤有很大不同。CK系列是表示上皮分化的最敏感最特异的标记,本组含包涵体的细胞CK强阳性,提示这部分细胞具有上皮分化。我们还发现CK阳性的细胞不表达Vim,推测可能由于这部分细胞具备了上皮的特征,而失去了合成Vim 的能力。Probst-Cousin等人提出CEA表达是分泌型脑膜瘤的一个明显特征,至少已有2例患者术前血清CEA水平增高而术后恢复正常的报道〔7,8〕,是否可用血清CEA检查作为观测这类肿瘤预后的一个指标?遗憾的是本组2例术前均未检测CEA。
, http://www.100md.com
根据以往的报道,分泌型脑膜瘤是一类良性肿瘤,尚未见到术后复发的报道,绝大多数PR阳性也提示这类脑膜瘤有较好的预后〔9〕。由于影像学上病灶周围明显水肿以及可能存在的血清CEA水平增高,术前可能考虑转移癌,但根据组织学表现和免疫组化结果,明确诊断并不困难。
作者简介:金 梅,女,36岁,副主任医师参考文献
1,Kepes J. Observations on the formation of psammoma bodies and pseudopsammoma bodies in meningiomas. J Neuropathol Exp Neurol,1961;20:255~262
2,Alguacil-Garcia A, Pettigrew NM,Sima AA.Secretory meningioma:a distinct subtype of meningioma. Am J Surg Pathol,1986;10:102~111
, 百拇医药
3,Kleihues P,Burger PC,Scheithauer BW. Histological typing of tumors of the central nervous system.2nd ed, Berlin:Springer,1993:35
4,Probst-Cousin S,Villagran-Lillo R,Lahl R et al.Secretory meningioma:clinical,histologic and immunohistochemical findings in 31 cases. Cancer,1997;79:2003~2015
5,Tsuzuki N,Nakau H,Sugaya M et al.Secretory meningioma with severe perifocal edema-case report. Neurologia Medico-Chirurgica,1997;37:620~623
, 百拇医药
6,Burger PC,Scheithauer BW.Tumors of the central nervous system.3rd series,Washington DC:AFIP,1994:259~277
7,Tsunoda S,Takeshima T, Sakaki T et al.Secretory meningioma with elevated serum carcinoembryonic antigen level. Surg Neurol,1992;37:415~418
8,Louis DN,Hamilton AJ,Sobel RA et al.Pseudopsammomatous meningioma with elevated serum carcinoembryonic antigen:a true secretory meningioma. J Neurosurg,1991;74:129~132
9,Brandis A,Mirzai S,Tatagiba M et al.Immunohistochemical detection of female sex hormone receptors in meningiomas:correlation with clinical and histological features.Neurosurgery,1993;33:212~218
收稿日期:1999-04-21, 百拇医药
单位:(浙江大学邵逸夫医院病理科,杭州 310016)
关键词:脑膜瘤;包涵体;免疫组织化学
临床与实验病理学杂志000225 中图分类号 R739.45 文献标识码 A
文章编号 1001-7399(2000)02-0162-02
1 临床资料
患者1,女性, 42岁,反复头痛5年,四肢抽搐发作1次;患者2,女性,58岁,近1月来左侧肢体抽搐数次。CT及MR分别示左颞2 cm×2 cm×2 cm和右顶3 cm×2 cm×2 cm占位,可明显增强,境界清楚伴周围脑组织大片水肿,考虑为“转移癌或脑膜瘤”。手术均完整切除,术后查血清CEA正常。
, 百拇医药
2 病理检查
肿瘤细胞形态及排列方式与典型的脑膜皮型脑膜瘤相似,一明显的特征是肿瘤组织中有许多大小不等的细胞浆内圆形包涵体,单个或成簇分布,亮红色均质性有折光,周围有明显空晕(图1)。特殊染色:包涵体PAS、PAS-D和AB均强阳性。免疫组化:含包涵体的细胞CK(包括CK821、高分子量CK、低分子量CK)、CEA和EMA强阳性(图2,3),同时大部分包涵体CEA也阳性,其他细胞EMA片状弱阳性;Vim、NSE和α-ACT弥漫阳性,但含包涵体的细胞Vim阴性(图4);S-100蛋白、Syn、CgA、Lys和ER均阴性,PR阳性指数约为80%,Ki-67偶见阳性细胞核。病理诊断:分泌型脑膜瘤(secretory meningioma)。
图1 细胞浆内包涵体。HE×400
图2 含包涵体的细胞高分子量CK强阳性。EnVision×400
, 百拇医药
图3 包涵体及周围细胞CEA强阳性。EnVision×400
图4 含包涵体的细胞Vim阴性,其余细胞强阳性。EnVision×4003 讨论
早在30年代,就有病理学者注意到少数脑膜瘤光镜下可见到“细胞内嗜酸性包涵体 ”,后来Kepes〔1〕将其称为“假砂粒体”,以便与真性砂粒体区分,1986年,Alguacil-Garcia等〔2〕结合免疫组化结果提出了“分泌型脑膜瘤”的命名,并逐渐被接受,1993年WHO中枢神经系统新分类将其正式列为良性脑膜瘤11个亚型之一〔3〕。据为数不多的病例统计〔4〕,分泌型脑膜瘤的发生率约为脑膜瘤的3%,平均发病年龄59.2岁(30~83岁),女性好发(女∶男=9∶1),明显高于普通型脑膜瘤(女∶男=3∶2~2∶1),这是否也与肿瘤组织PR阳性率高有关?影像学上,大多数分泌型脑膜瘤有一特征,即较为明显的病灶周围脑水肿〔2〕,以至常需考虑转移癌或高度恶性脑肿瘤。多数学者认为,这种水肿无法用肿瘤大小、部位、生长速度、血管有无累及、组织学类型和细胞增殖活性等来解释〔5〕,是否与肿瘤内PR的存在,或肿瘤细胞产生的某些物质使周围脑组织内血管通透性增加有关,尚有待进一步研究。
, 百拇医药
如本组所见,分泌型脑膜瘤有其特征性的组织学表现,即脑膜皮型脑膜瘤的组织形态加上单个或成簇分布的细胞浆内包涵体或称“假砂粒体”,境界清楚,呈很强的嗜伊红色,玻璃样均质状而无钙化,PAS和PAS-D均呈强阳性。电镜下包涵体由小空泡和膜碎片构成,位于细胞浆内形成的空腔中,腔缘有许多微绒毛〔6〕。需与之鉴别的脑膜瘤中常见的砂粒体则为嗜碱性、常有钙化的细胞外同心圆结构,位于肿瘤细胞排列的漩涡中心。
本组2例分泌型脑膜瘤及文献报道均发现含包涵体的细胞表达一系列上皮标记,较具特征性,另外一些较泛的标记如NSE和α-ACT呈弥漫阳性,这些结果与普通脑膜瘤有很大不同。CK系列是表示上皮分化的最敏感最特异的标记,本组含包涵体的细胞CK强阳性,提示这部分细胞具有上皮分化。我们还发现CK阳性的细胞不表达Vim,推测可能由于这部分细胞具备了上皮的特征,而失去了合成Vim 的能力。Probst-Cousin等人提出CEA表达是分泌型脑膜瘤的一个明显特征,至少已有2例患者术前血清CEA水平增高而术后恢复正常的报道〔7,8〕,是否可用血清CEA检查作为观测这类肿瘤预后的一个指标?遗憾的是本组2例术前均未检测CEA。
, http://www.100md.com
根据以往的报道,分泌型脑膜瘤是一类良性肿瘤,尚未见到术后复发的报道,绝大多数PR阳性也提示这类脑膜瘤有较好的预后〔9〕。由于影像学上病灶周围明显水肿以及可能存在的血清CEA水平增高,术前可能考虑转移癌,但根据组织学表现和免疫组化结果,明确诊断并不困难。
作者简介:金 梅,女,36岁,副主任医师参考文献
1,Kepes J. Observations on the formation of psammoma bodies and pseudopsammoma bodies in meningiomas. J Neuropathol Exp Neurol,1961;20:255~262
2,Alguacil-Garcia A, Pettigrew NM,Sima AA.Secretory meningioma:a distinct subtype of meningioma. Am J Surg Pathol,1986;10:102~111
, 百拇医药
3,Kleihues P,Burger PC,Scheithauer BW. Histological typing of tumors of the central nervous system.2nd ed, Berlin:Springer,1993:35
4,Probst-Cousin S,Villagran-Lillo R,Lahl R et al.Secretory meningioma:clinical,histologic and immunohistochemical findings in 31 cases. Cancer,1997;79:2003~2015
5,Tsuzuki N,Nakau H,Sugaya M et al.Secretory meningioma with severe perifocal edema-case report. Neurologia Medico-Chirurgica,1997;37:620~623
, 百拇医药
6,Burger PC,Scheithauer BW.Tumors of the central nervous system.3rd series,Washington DC:AFIP,1994:259~277
7,Tsunoda S,Takeshima T, Sakaki T et al.Secretory meningioma with elevated serum carcinoembryonic antigen level. Surg Neurol,1992;37:415~418
8,Louis DN,Hamilton AJ,Sobel RA et al.Pseudopsammomatous meningioma with elevated serum carcinoembryonic antigen:a true secretory meningioma. J Neurosurg,1991;74:129~132
9,Brandis A,Mirzai S,Tatagiba M et al.Immunohistochemical detection of female sex hormone receptors in meningiomas:correlation with clinical and histological features.Neurosurgery,1993;33:212~218
收稿日期:1999-04-21, 百拇医药