L929细胞条件培养液减轻氧化应激引起的U937细胞DNA断裂损伤
作者:庞战军 周玫 陈瑗
单位:庞战军(第一军医大学生物化学与分子生物学研究所自由基医学研究室,广东 广州510515);周玫(第一军医大学生物化学与分子生物学研究所自由基医学研究室,广东 广州510515);陈瑗(第一军医大学生物化学与分子生物学研究所自由基医学研究室,广东 广州510515)
关键词:巨噬细胞集落刺激因子;氧化应激;动脉粥样硬化;U937细胞系;凋亡
第一军医大学学报000201 摘要:目的 揭示巨噬细胞集落刺激因子(M-CSF)的抗动脉粥样硬化作用是否与其保护单核细胞免受过氧化损伤有关。材料与方法 用富含M-CSF的L929细胞条件培养液(L929-CM)作为M-CSF来源,以凝胶电泳、DNA断裂定量等方法观察了M-CSF对叔丁基氢过氧化物(tbOOH)诱导的U937细胞DNA断裂损伤的影响。结果 tbOOH可以引起U937细胞的DNA断裂损伤,且损伤随tbOOH作用时间的延长而趋明显;而L929-CM可以减轻tbOOH诱发的U937细胞DNA断裂损伤。结论 M-CSF对单核细胞具有一定的保护作用,可减轻其氧化损伤。
, 百拇医药
中图分类号:R329.24; R543.503; R977.3 文献标识码:A
文章编号:1000-2588 (2000) 02-0106-03
L929 cell-conditioned medium alleviates tert-butyl hydroperoxide-induced DNA fragmenta-tion in U937 cellsPANG Zhan-Jun,ZHOU Mei,CHEN Yuan
(Research Laboratory of Free Radical Medicine, First Military Medical University, Guangzhou 510515, China)
Abstract: Objective To investigate the possible relation of the anti-atherosclerosis efficacy of macrophage colony-stimulating factor (M-CSF) with its protection of monocytes from oxidative injury. Materials and Methods The effect of L929 cell-conditioned medium (L929-CM) containing M-CSF on U937 cells incubated with tert-butyl hydroperoxide (tbOOH) was investigated by electrophoresis and DNA fragmentation determination methods. Results It was shown that tbOOH could induce DNA fragmentation in U937 cells, and the proportion of cells with DNA fragmentation increased as the incubation period prolonged. L929-CM could alleviate DNA fragmentation injury to U937 cells caused by tbOOH. Conclusion M-CSF could protect monocytes from oxidative injury.
, 百拇医药
Key words: macrophage colony-stimulating factor; oxidative stress; atherosclerosis; U937 cell lines; apoptosis
巨噬细胞集落刺激因子(Macrophage colony-stimulating factor, M-CSF)是一种巨噬细胞特异性的生长因子,在小鼠L929细胞系中表达较高,因而L929细胞条件培养液(L929 cell-conditioned medium, L929-CM)可用来进行有关M-CSF的研究[1]。M-CSF对于巨噬细胞单核细胞前体的增殖、分化及其成熟细胞的存活与活化都起着重要的作用。近年来的研究表明,M-CSF在动脉粥样硬化疾病的发生发展过程中起着重要作用。Inoue等[2]发现体内注射外源性M-CSF可抑制Watanabe遗传性高脂血症家兔泡沫细胞的形成、阻止动脉粥样硬化的发展并能缩小动脉粥样硬化斑块的面积。鉴于氧化修饰低密度脂蛋白(Oxidized low density lipoprotein, Ox-LDL)引起的氧化损伤在动脉硬化疾病发生过程中所起的重要作用,我们推测M-CSF对动脉硬化的预防作用可能与其抗细胞氧化损伤作用有关。本室的研究及国外的一些报道表明,叔丁基氢过氧化物 (Tert-butyl hydroperoxide,tbOOH)可用来建立细胞过氧化损伤的模型。本文以tbOOH损伤的U937细胞为模型,探讨了L929-CM对tbOOH引起的U937细胞DNA断裂损伤的影响。
, 百拇医药
1 材料和方法
1.1试剂
RPMI-1640,tbOOH,Hochest 33258 (2'-[4-hydroxy-phenyl]-5-[4-methyl-1-piperazinyl]-2,5'-bi-1H-Benzimidazole) 购自美国Sigma公司;小牛血清购自杭州四季青公司;其它试剂均为国产分析纯。
1.2 方法
1.2.1 L929-CM的收集与活性鉴定 L929细胞在含10%小牛血清的RPMI-1640培养基中(5% CO2、95%湿润空气、37℃,以下细胞培养条件同)培养,待细胞生长至融合成单层后,换不含血清的RPMI-1640培养基继续培养5~7 d,将培养液离心后吸取上清,并过滤除菌,上清即含L929-CM。活性鉴定采用集落计数法[3]:取小鼠股骨骨髓细胞在含30%小牛血清、0.45 mmol/L还原型谷胱甘肽、0.3%琼脂、20% L929-CM、髓细胞浓度为105/ml的培养体系中培养7 d(以RPMI-1640培养基替换L929-CM作为对照),超过50个细胞的细胞团为一个集落计数,收集到的L929-CM的平均活性约为500 CFU-GM/ml。
, 百拇医药
1.2.2 DNA提取与琼脂糖电泳 按Ojeda等[4]报道的方法, 1 000 g离心10 min收集细胞, 细胞沉淀用适量消化液 (含100 mmol/L NaCl、10 mmol/L Tris.Cl、25 mmol/L EDTA、0.5% SDS、0.1 mg/ml 蛋白酶K, pH8)于50℃孵育12~18 h。加入等体积的酚-氯仿-异戊醇(25:24:1)抽提,12 000 g离心10 min,上层转移至一新离心管中,加入0.5倍体积的7.5 mol/L乙酸铵和2倍体积的无水乙醇,μ 70℃放置1 h。12 000 g离心15 min,DNA沉淀溶于含50 μ g/ml Rnase的TE缓冲液。DNA经紫外分光光度计定量后,于1.8%琼脂糖凝胶电泳,紫外灯下观察。
1.2.3 DNA断裂比率测定 按照Ramakrishnan等[5]报道的方法,1 000 g离心10 min收集细胞,细胞沉淀用1 ml冰预冷的裂解液(含10 mmol/L Tris.Cl、1 mmol/L EDTA、0.2% Triton X-100、pH 7.5)裂解2 min,13 000 g离心20 min分离断裂DNA及完整染色体DNA。将含有断裂DNA的上清液转移至新离心管,4℃下超声破碎细胞沉淀,分别向含断裂及完整DNA的溶液中加入终浓度为1μ g/ml的Hoechst 33258染液,并于37℃下染色20 min。设定Ex 360 nm、Em 450 nm,用岛津RF-540型荧光分光光度计测定各样品的荧光强度,并计算断裂DNA占总DNA的百分数。
, 百拇医药
1.2.4 数据处理 均采用两样本均数比较的t检验。
2 结果
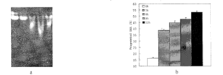
2.1 tbOOH诱发的U937细胞DNA断裂损伤
取指数生长期的U937细胞,置于含1%小牛血清的培养基,加tbOOH至终浓度为5×10-4 mol/L,分别温育0、3、6、9、12 h,提取DNA并进行琼脂糖凝胶电泳。结果发现,随着温育时间的延长,DNA断裂逐渐明显(Fig.1a);DNA断裂比率的测定结果显示,随tbOOH作用时间的延长,DNA断裂比率呈不断增加的趋势(Fig.1b)。
2.2 L929-CM对tbOOH诱发的U937细胞DNA断裂的影响
图1 叔丁基氢过氧化物诱导U937细胞DNA断裂损伤
, 百拇医药
Fig.1 tbOOH-induced DNA fragmentation in U937 cells U937 cells were incubated with 5×10-4mol/L tbOOH for 0, 3, 6, 9, 12 h respectively before DNA was extracted and electrophoresis was carried out in 1.8% agarose gel (1a). Lane 1: 0 h; Lane 2: 3 h; Lane 3: 6 h; Lane 4: 9 h; Lane 5: 12 h. The ratios of fragmented DNA were also analyzed (1b). Data were expressed as Mean±SD, n=3.
向L929-CM处理组的U937细胞培养基中加入30%(V/V)的L929-CM,空白组培养基为不含血清的RPMI-1640,预温育24 h。然后分别加入5×10-4 mol/L tbOOH处理6、9 h。提取DNA并进行琼脂糖凝胶电泳,结果发现与空白组相比,L929-CM处理组的细胞DNA断裂不明显(Fig.2a);同时测定DNA断裂比率的结果显示,L929-CM处理组细胞DNA断裂的百分比较之空白组明显降低(Fig.2b)。
, 百拇医药
图2 L929细胞条件培养液对叔丁基氢过氧化物诱导U937细胞DNA断裂损伤的保护作用
Fig 2 Effect of L929-CM on tbOOH-induced DNA fragmentation in U937 cells U937 cells were pretreated with 30% (V/V) L929-CM for 24 h before they were incubated with 5×10-4mol/L tbOOH for 6, 9 h respectively. DNA was extracted and electrophoresis was carried out in 1.8% agarose gel (2a). Lane 1: Control; 2: non-treated+tbOOH(6h); 3: L929-CM-treated+tbOOH(6h); 4: non-treated+tbOOH(9h); 5: L929-CM-treated+tbOOH(9 h). The ratios of cells with fragmented DNA were also analyzed (2b). Data were expressed as Mean±SD, n=3. *P<0.05 as compared with the non-treated group.
, 百拇医药
3 讨论
动脉粥样硬化被认为是一种内皮细胞、平滑肌细胞、淋巴细胞等多种细胞参与的炎症反应,Ox-LDL在其发生发展过程中起了重要作用。单核细胞来源的巨噬细胞受Ox-LDL作用形成的泡沫细胞是动脉粥样硬化病变的主要组成部分。Ox-LDL与正常人血清低密度脂蛋白(n-LDL)的主要区别在于其中的氧化成分,如氧化的胆固醇组分等,巨噬细胞的泡沫样变、泡沫细胞的形成、甚至最终死亡崩解,其最主要的原因是Ox-LDL中的氧化成分对巨噬细胞的氧化损伤。因此,寻找提高单核/巨噬细胞抗氧化损伤能力的措施必然对于动脉粥样硬化疾病的防治有着重要的意义。
巨噬细胞集落刺激因子(M-CSF)是由单核细胞、巨噬细胞、内皮细胞、平滑肌细胞、纤维母细胞等分泌的一种巨噬细胞特异性的生长因子。L929细胞中的M-CSF基因已被克隆出来,它是一种糖蛋白,以自分泌或旁分泌的形式释放,被邻近或自身的M-CSF受体识别、结合后,激活受体激酶而发挥作用。M-CSF能激活成熟巨噬细胞的一系列功能,其中包括促使巨噬细胞排出细胞内胆固醇,激活细胞内胆固醇水解酶、胆固醇脂酰转移酶等以降低细胞内胆固醇含量,并能在基因调控、蛋白合成、蛋白稳定性等方面增加巨噬细胞清道夫受体的表达,因而在动脉粥样硬化疾病发生发展过程中起重要作用。
, 百拇医药
由于M-CSF对单核细胞的化学趋化特性,很多研究认为M-CSF在动脉粥样硬化发生的起始阶段起着促进作用,可以促使循环状态的单核细胞穿越血管内皮进入血管壁,进一步分化成熟为巨噬细胞,并增加巨噬细胞表面清道夫受体的表达,以促进巨噬细胞吞噬Ox-LDL变为泡沫细胞,最终成为动脉粥样硬化斑块的病变核心。但也有研究认为,不能单纯地被认为M-CSF只能促进动脉粥样硬化的形成。尽管单核细胞的聚集常常被理解为促使动脉粥样硬化斑块的形成,但这也可以是一种机体限制脂质积累的防御反应。单核细胞来源的巨噬细胞通过负反馈机制限制其对胆固醇的吞噬,这种作用会随其泡沫样变而降低,因此增强泡沫细胞的功能必定可以促进病变的恢复。M-CSF对单核/巨噬细胞的功能起着重要的调节作用,然而在动脉粥样硬化病变的泡沫细胞中M-CSF则表达极少,这可能与泡沫细胞的活力受损直接相关。给予外源性的M-CSF可以提高泡沫细胞中M-CSF的表达,并同时对实验性动脉粥样硬化具有预防及治疗作用[6]。我们的研究发现了一些M-CSF能够防止单核/巨噬细胞被氧化损伤的证据,如L929-CM和重组人M-CSF(rhM-CSF)均能防止氧化剂对小鼠腹腔巨噬细胞及单核巨噬细胞系的损伤,而L929-CM的作用可以部分被抗M-CSF的单抗所阻断,说明L929-CM中保护单核/巨噬细胞免受氧化损伤的有效成分主要是M-CSF[7、8]。本实验又表明,L929-CM可以减轻tbOOH对U937细胞的DNA断裂损伤,进一步证实了我们有关M-CSF能够保护单核/巨噬细胞免受过氧化损伤的推测。
, http://www.100md.com
断裂DNA呈“梯子状”图谱是细胞凋亡的一个典型特征。在我们的实验中,tbOOH可以诱发U937细胞DNA断裂损伤,该损伤具有细胞凋亡的特点,且DNA发生断裂的细胞比例随着tbOOH作用时间的延长而增加;而L929-CM(M-CSF)则可以减少同样条件下DNA发生断裂的细胞数量。这说明,在动脉粥样硬化病变中,M-CSF可能通过防止单核/巨噬细胞甚至泡沫细胞发生凋亡,从而防止泡沫细胞死亡及动脉粥样硬化斑块形成。
基金项目:国家自然科学基金资助项目(№39570867,39670197)
作者简介:庞战军(1973-),男,河南偃师人,第一军医大学博士研究生,电话:85148213
参考文献
1,朱 宇, 蔡海江, 范乐明等. mm-LDL与M-CSF对动脉壁细胞胆固醇酯蓄积的协同作用 [J]. 中国动脉硬化杂志, 1993; 1(1): 40~5.
, 百拇医药
2,Inoue I, Inaba T, Motoyoshi K et al. Macrophage colony stimulating factor prevents the progression of atherosclerosis in Watanabe heritable hyperlipidemic rabbits[J]. Atherosclerosis, 1992, 93: 245~54.
3,王洪斌, 郑钦岳. 四种检测集落刺激因子方法的比较 [J]. 中华血液学杂志, 1991, 12(6): 323~4.
4,Ojeda F, Guarda MI, Maldonado C et al. A flow-cytometric method to study DNA fragmentation in lymphocytes [J]. J Immunol Method 1992, 152:171~6.
, 百拇医药
5,Ramakrishnan N, Catravas G. N-(2-Mercaptoethyl)-1, 3-propanediamine (WR-1065) protects thymocytes from programmed cell death[J]. J Immunol, 1992, 148:1817~21.
6,Donnelly LH, Bree MP, Hunter SE et al. Immunoreactive macrophage colony-stimulating factor is increased in atherosclerotic lesions of Watanabe heritable hyperlipidemic rabbits after recombinant human macrophage colony-stimulating factor therapy [J]. Mol Reprod Dev, 1997, 46(1): 92~5.
, 百拇医药
7,Pang ZJ, Zhou M, Chen Y. Macrophage colony-stimulating factor protects mouse peritoneal macrophages from oxidative injury caused by tert-butyl hydroperoxide in vitro[J]. Med Sci Res, 1997, 25(12): 849~51.
8,Pang ZJ, Zhou M, Chen Y et al. L929 cell contitional medium reduces the impairment in plasma membrane fluidity of U937 and J774 cell lines treated with tert-butyl bydroperoxide [J]. Med Sci Res, 1998, 26:241~3.
收稿日期:1999-05-12, 百拇医药
单位:庞战军(第一军医大学生物化学与分子生物学研究所自由基医学研究室,广东 广州510515);周玫(第一军医大学生物化学与分子生物学研究所自由基医学研究室,广东 广州510515);陈瑗(第一军医大学生物化学与分子生物学研究所自由基医学研究室,广东 广州510515)
关键词:巨噬细胞集落刺激因子;氧化应激;动脉粥样硬化;U937细胞系;凋亡
第一军医大学学报000201 摘要:目的 揭示巨噬细胞集落刺激因子(M-CSF)的抗动脉粥样硬化作用是否与其保护单核细胞免受过氧化损伤有关。材料与方法 用富含M-CSF的L929细胞条件培养液(L929-CM)作为M-CSF来源,以凝胶电泳、DNA断裂定量等方法观察了M-CSF对叔丁基氢过氧化物(tbOOH)诱导的U937细胞DNA断裂损伤的影响。结果 tbOOH可以引起U937细胞的DNA断裂损伤,且损伤随tbOOH作用时间的延长而趋明显;而L929-CM可以减轻tbOOH诱发的U937细胞DNA断裂损伤。结论 M-CSF对单核细胞具有一定的保护作用,可减轻其氧化损伤。
, 百拇医药
中图分类号:R329.24; R543.503; R977.3 文献标识码:A
文章编号:1000-2588 (2000) 02-0106-03
L929 cell-conditioned medium alleviates tert-butyl hydroperoxide-induced DNA fragmenta-tion in U937 cellsPANG Zhan-Jun,ZHOU Mei,CHEN Yuan
(Research Laboratory of Free Radical Medicine, First Military Medical University, Guangzhou 510515, China)
Abstract: Objective To investigate the possible relation of the anti-atherosclerosis efficacy of macrophage colony-stimulating factor (M-CSF) with its protection of monocytes from oxidative injury. Materials and Methods The effect of L929 cell-conditioned medium (L929-CM) containing M-CSF on U937 cells incubated with tert-butyl hydroperoxide (tbOOH) was investigated by electrophoresis and DNA fragmentation determination methods. Results It was shown that tbOOH could induce DNA fragmentation in U937 cells, and the proportion of cells with DNA fragmentation increased as the incubation period prolonged. L929-CM could alleviate DNA fragmentation injury to U937 cells caused by tbOOH. Conclusion M-CSF could protect monocytes from oxidative injury.
, 百拇医药
Key words: macrophage colony-stimulating factor; oxidative stress; atherosclerosis; U937 cell lines; apoptosis
巨噬细胞集落刺激因子(Macrophage colony-stimulating factor, M-CSF)是一种巨噬细胞特异性的生长因子,在小鼠L929细胞系中表达较高,因而L929细胞条件培养液(L929 cell-conditioned medium, L929-CM)可用来进行有关M-CSF的研究[1]。M-CSF对于巨噬细胞单核细胞前体的增殖、分化及其成熟细胞的存活与活化都起着重要的作用。近年来的研究表明,M-CSF在动脉粥样硬化疾病的发生发展过程中起着重要作用。Inoue等[2]发现体内注射外源性M-CSF可抑制Watanabe遗传性高脂血症家兔泡沫细胞的形成、阻止动脉粥样硬化的发展并能缩小动脉粥样硬化斑块的面积。鉴于氧化修饰低密度脂蛋白(Oxidized low density lipoprotein, Ox-LDL)引起的氧化损伤在动脉硬化疾病发生过程中所起的重要作用,我们推测M-CSF对动脉硬化的预防作用可能与其抗细胞氧化损伤作用有关。本室的研究及国外的一些报道表明,叔丁基氢过氧化物 (Tert-butyl hydroperoxide,tbOOH)可用来建立细胞过氧化损伤的模型。本文以tbOOH损伤的U937细胞为模型,探讨了L929-CM对tbOOH引起的U937细胞DNA断裂损伤的影响。
, 百拇医药
1 材料和方法
1.1试剂
RPMI-1640,tbOOH,Hochest 33258 (2'-[4-hydroxy-phenyl]-5-[4-methyl-1-piperazinyl]-2,5'-bi-1H-Benzimidazole) 购自美国Sigma公司;小牛血清购自杭州四季青公司;其它试剂均为国产分析纯。
1.2 方法
1.2.1 L929-CM的收集与活性鉴定 L929细胞在含10%小牛血清的RPMI-1640培养基中(5% CO2、95%湿润空气、37℃,以下细胞培养条件同)培养,待细胞生长至融合成单层后,换不含血清的RPMI-1640培养基继续培养5~7 d,将培养液离心后吸取上清,并过滤除菌,上清即含L929-CM。活性鉴定采用集落计数法[3]:取小鼠股骨骨髓细胞在含30%小牛血清、0.45 mmol/L还原型谷胱甘肽、0.3%琼脂、20% L929-CM、髓细胞浓度为105/ml的培养体系中培养7 d(以RPMI-1640培养基替换L929-CM作为对照),超过50个细胞的细胞团为一个集落计数,收集到的L929-CM的平均活性约为500 CFU-GM/ml。
, 百拇医药
1.2.2 DNA提取与琼脂糖电泳 按Ojeda等[4]报道的方法, 1 000 g离心10 min收集细胞, 细胞沉淀用适量消化液 (含100 mmol/L NaCl、10 mmol/L Tris.Cl、25 mmol/L EDTA、0.5% SDS、0.1 mg/ml 蛋白酶K, pH8)于50℃孵育12~18 h。加入等体积的酚-氯仿-异戊醇(25:24:1)抽提,12 000 g离心10 min,上层转移至一新离心管中,加入0.5倍体积的7.5 mol/L乙酸铵和2倍体积的无水乙醇,μ 70℃放置1 h。12 000 g离心15 min,DNA沉淀溶于含50 μ g/ml Rnase的TE缓冲液。DNA经紫外分光光度计定量后,于1.8%琼脂糖凝胶电泳,紫外灯下观察。
1.2.3 DNA断裂比率测定 按照Ramakrishnan等[5]报道的方法,1 000 g离心10 min收集细胞,细胞沉淀用1 ml冰预冷的裂解液(含10 mmol/L Tris.Cl、1 mmol/L EDTA、0.2% Triton X-100、pH 7.5)裂解2 min,13 000 g离心20 min分离断裂DNA及完整染色体DNA。将含有断裂DNA的上清液转移至新离心管,4℃下超声破碎细胞沉淀,分别向含断裂及完整DNA的溶液中加入终浓度为1μ g/ml的Hoechst 33258染液,并于37℃下染色20 min。设定Ex 360 nm、Em 450 nm,用岛津RF-540型荧光分光光度计测定各样品的荧光强度,并计算断裂DNA占总DNA的百分数。
, 百拇医药
1.2.4 数据处理 均采用两样本均数比较的t检验。
2 结果
2.1 tbOOH诱发的U937细胞DNA断裂损伤
取指数生长期的U937细胞,置于含1%小牛血清的培养基,加tbOOH至终浓度为5×10-4 mol/L,分别温育0、3、6、9、12 h,提取DNA并进行琼脂糖凝胶电泳。结果发现,随着温育时间的延长,DNA断裂逐渐明显(Fig.1a);DNA断裂比率的测定结果显示,随tbOOH作用时间的延长,DNA断裂比率呈不断增加的趋势(Fig.1b)。
2.2 L929-CM对tbOOH诱发的U937细胞DNA断裂的影响
图1 叔丁基氢过氧化物诱导U937细胞DNA断裂损伤
, 百拇医药
Fig.1 tbOOH-induced DNA fragmentation in U937 cells U937 cells were incubated with 5×10-4mol/L tbOOH for 0, 3, 6, 9, 12 h respectively before DNA was extracted and electrophoresis was carried out in 1.8% agarose gel (1a). Lane 1: 0 h; Lane 2: 3 h; Lane 3: 6 h; Lane 4: 9 h; Lane 5: 12 h. The ratios of fragmented DNA were also analyzed (1b). Data were expressed as Mean±SD, n=3.
向L929-CM处理组的U937细胞培养基中加入30%(V/V)的L929-CM,空白组培养基为不含血清的RPMI-1640,预温育24 h。然后分别加入5×10-4 mol/L tbOOH处理6、9 h。提取DNA并进行琼脂糖凝胶电泳,结果发现与空白组相比,L929-CM处理组的细胞DNA断裂不明显(Fig.2a);同时测定DNA断裂比率的结果显示,L929-CM处理组细胞DNA断裂的百分比较之空白组明显降低(Fig.2b)。
, 百拇医药
图2 L929细胞条件培养液对叔丁基氢过氧化物诱导U937细胞DNA断裂损伤的保护作用
Fig 2 Effect of L929-CM on tbOOH-induced DNA fragmentation in U937 cells U937 cells were pretreated with 30% (V/V) L929-CM for 24 h before they were incubated with 5×10-4mol/L tbOOH for 6, 9 h respectively. DNA was extracted and electrophoresis was carried out in 1.8% agarose gel (2a). Lane 1: Control; 2: non-treated+tbOOH(6h); 3: L929-CM-treated+tbOOH(6h); 4: non-treated+tbOOH(9h); 5: L929-CM-treated+tbOOH(9 h). The ratios of cells with fragmented DNA were also analyzed (2b). Data were expressed as Mean±SD, n=3. *P<0.05 as compared with the non-treated group.
, 百拇医药
3 讨论
动脉粥样硬化被认为是一种内皮细胞、平滑肌细胞、淋巴细胞等多种细胞参与的炎症反应,Ox-LDL在其发生发展过程中起了重要作用。单核细胞来源的巨噬细胞受Ox-LDL作用形成的泡沫细胞是动脉粥样硬化病变的主要组成部分。Ox-LDL与正常人血清低密度脂蛋白(n-LDL)的主要区别在于其中的氧化成分,如氧化的胆固醇组分等,巨噬细胞的泡沫样变、泡沫细胞的形成、甚至最终死亡崩解,其最主要的原因是Ox-LDL中的氧化成分对巨噬细胞的氧化损伤。因此,寻找提高单核/巨噬细胞抗氧化损伤能力的措施必然对于动脉粥样硬化疾病的防治有着重要的意义。
巨噬细胞集落刺激因子(M-CSF)是由单核细胞、巨噬细胞、内皮细胞、平滑肌细胞、纤维母细胞等分泌的一种巨噬细胞特异性的生长因子。L929细胞中的M-CSF基因已被克隆出来,它是一种糖蛋白,以自分泌或旁分泌的形式释放,被邻近或自身的M-CSF受体识别、结合后,激活受体激酶而发挥作用。M-CSF能激活成熟巨噬细胞的一系列功能,其中包括促使巨噬细胞排出细胞内胆固醇,激活细胞内胆固醇水解酶、胆固醇脂酰转移酶等以降低细胞内胆固醇含量,并能在基因调控、蛋白合成、蛋白稳定性等方面增加巨噬细胞清道夫受体的表达,因而在动脉粥样硬化疾病发生发展过程中起重要作用。
, 百拇医药
由于M-CSF对单核细胞的化学趋化特性,很多研究认为M-CSF在动脉粥样硬化发生的起始阶段起着促进作用,可以促使循环状态的单核细胞穿越血管内皮进入血管壁,进一步分化成熟为巨噬细胞,并增加巨噬细胞表面清道夫受体的表达,以促进巨噬细胞吞噬Ox-LDL变为泡沫细胞,最终成为动脉粥样硬化斑块的病变核心。但也有研究认为,不能单纯地被认为M-CSF只能促进动脉粥样硬化的形成。尽管单核细胞的聚集常常被理解为促使动脉粥样硬化斑块的形成,但这也可以是一种机体限制脂质积累的防御反应。单核细胞来源的巨噬细胞通过负反馈机制限制其对胆固醇的吞噬,这种作用会随其泡沫样变而降低,因此增强泡沫细胞的功能必定可以促进病变的恢复。M-CSF对单核/巨噬细胞的功能起着重要的调节作用,然而在动脉粥样硬化病变的泡沫细胞中M-CSF则表达极少,这可能与泡沫细胞的活力受损直接相关。给予外源性的M-CSF可以提高泡沫细胞中M-CSF的表达,并同时对实验性动脉粥样硬化具有预防及治疗作用[6]。我们的研究发现了一些M-CSF能够防止单核/巨噬细胞被氧化损伤的证据,如L929-CM和重组人M-CSF(rhM-CSF)均能防止氧化剂对小鼠腹腔巨噬细胞及单核巨噬细胞系的损伤,而L929-CM的作用可以部分被抗M-CSF的单抗所阻断,说明L929-CM中保护单核/巨噬细胞免受氧化损伤的有效成分主要是M-CSF[7、8]。本实验又表明,L929-CM可以减轻tbOOH对U937细胞的DNA断裂损伤,进一步证实了我们有关M-CSF能够保护单核/巨噬细胞免受过氧化损伤的推测。
, http://www.100md.com
断裂DNA呈“梯子状”图谱是细胞凋亡的一个典型特征。在我们的实验中,tbOOH可以诱发U937细胞DNA断裂损伤,该损伤具有细胞凋亡的特点,且DNA发生断裂的细胞比例随着tbOOH作用时间的延长而增加;而L929-CM(M-CSF)则可以减少同样条件下DNA发生断裂的细胞数量。这说明,在动脉粥样硬化病变中,M-CSF可能通过防止单核/巨噬细胞甚至泡沫细胞发生凋亡,从而防止泡沫细胞死亡及动脉粥样硬化斑块形成。
基金项目:国家自然科学基金资助项目(№39570867,39670197)
作者简介:庞战军(1973-),男,河南偃师人,第一军医大学博士研究生,电话:85148213
参考文献
1,朱 宇, 蔡海江, 范乐明等. mm-LDL与M-CSF对动脉壁细胞胆固醇酯蓄积的协同作用 [J]. 中国动脉硬化杂志, 1993; 1(1): 40~5.
, 百拇医药
2,Inoue I, Inaba T, Motoyoshi K et al. Macrophage colony stimulating factor prevents the progression of atherosclerosis in Watanabe heritable hyperlipidemic rabbits[J]. Atherosclerosis, 1992, 93: 245~54.
3,王洪斌, 郑钦岳. 四种检测集落刺激因子方法的比较 [J]. 中华血液学杂志, 1991, 12(6): 323~4.
4,Ojeda F, Guarda MI, Maldonado C et al. A flow-cytometric method to study DNA fragmentation in lymphocytes [J]. J Immunol Method 1992, 152:171~6.
, 百拇医药
5,Ramakrishnan N, Catravas G. N-(2-Mercaptoethyl)-1, 3-propanediamine (WR-1065) protects thymocytes from programmed cell death[J]. J Immunol, 1992, 148:1817~21.
6,Donnelly LH, Bree MP, Hunter SE et al. Immunoreactive macrophage colony-stimulating factor is increased in atherosclerotic lesions of Watanabe heritable hyperlipidemic rabbits after recombinant human macrophage colony-stimulating factor therapy [J]. Mol Reprod Dev, 1997, 46(1): 92~5.
, 百拇医药
7,Pang ZJ, Zhou M, Chen Y. Macrophage colony-stimulating factor protects mouse peritoneal macrophages from oxidative injury caused by tert-butyl hydroperoxide in vitro[J]. Med Sci Res, 1997, 25(12): 849~51.
8,Pang ZJ, Zhou M, Chen Y et al. L929 cell contitional medium reduces the impairment in plasma membrane fluidity of U937 and J774 cell lines treated with tert-butyl bydroperoxide [J]. Med Sci Res, 1998, 26:241~3.
收稿日期:1999-05-12, 百拇医药