螺旋CT多期连续扫描在诊断肝多发性血管瘤及合并肝癌、肝转移瘤中的作用
作者:吴沛宏 赵明 卢丽霞 阮超美 郑列 李立 莫运仙
单位:吴沛宏(中山医科大学肿瘤防治中心影像介入科,广东 广州 510060);赵明(中山医科大学肿瘤防治中心影像介入科,广东 广州 510060);卢丽霞(中山医科大学肿瘤防治中心影像介入科,广东 广州 510060);阮超美(中山医科大学肿瘤防治中心影像介入科,广东 广州 510060);郑列(中山医科大学肿瘤防治中心影像介入科,广东 广州 510060);李立(中山医科大学肿瘤防治中心影像介入科,广东 广州 510060);莫运仙(中山医科大学肿瘤防治中心影像介入科,广东 广州 510060)
关键词:血管瘤;肝癌;转移瘤;多期扫描;计算机;X-线体层摄影
癌症000219
【摘 要】目的:分析肝多发性血管瘤及合并肝癌或肝转移瘤的CT表现,探讨螺旋CT多期连续扫描在诊断上的优越性。方法:21例患者(16例多发性血管瘤,2例肝血管瘤合并原发性肝癌,3例肝血管瘤合并肝转移瘤)。按常规先对全肝进行平扫,然后于注射造影剂后30秒、60秒、2分钟、5分钟、10分钟、15分钟后进行肝脏螺旋扫描。结果:21例患者肝脏内病灶数共75个。血管瘤病灶66个,其中21/66小血管瘤病灶平扫时表现为均匀低密度区,增强扫描30秒、60秒,表现均匀强化,或边缘不规则强化,2分钟、5分钟、表现高密度或等密度灶;10分钟、15分钟,表现为等密度灶或低密度灶。44/66例大血管瘤,增强扫描表现为强化渐向中心扩展;1/66例大血管瘤,5~15分钟,表现为边缘轻度强化。2例肝血管瘤合并肝癌,肝癌病灶共2个,平扫时为低密度灶,增强扫描30秒表现为不均匀强化。3例肝血管瘤合并转移瘤,转移病灶7个,平扫表现低密度。增强扫描5/7个病灶在30秒、60秒表现为周边强化,2/7个病灶各期呈均匀低密度。结论:螺旋CT多期动态扫描,不仅同时对肝多发性血管瘤做出诊断,而且同时对血管瘤合并肝癌或肝转移瘤做出诊断和鉴别诊断。
, 百拇医药
中图分类号:R735 文献标识码:A
文章编号:1000-467X(2000)02-0162-04
The usefulness of hepatic spiral multi-phase CT scanning in diagnosis of multiple hemangioma and coincident with hepatocellularcarcinoma or metastatic tumor of the liver
WU Pei-hong ZHAO Ming LU Li-xia et al
(Imaging Department of Cancer Center,Sun Yat-sen University of Medical Sciences,Guangzhou 510060,P.R.China)
, 百拇医药
【Abstract】 Objective:The CT appearances of multiple hemangiomas and coincident with hepatocellular carcinoma or metastatic tumor of the liver with hepatic spiral multi-phase CT scanning were analyzed,to investigate it's advantage in diagnosis. Metheods:At first,the precontrast CT scanning of the liver in 21 cases (16 multiple hemangiomas,2 multiple hemangiomas coincident with hepatocellular carcinomas,3 multiple hemangiomas combined with metastatic tumors of the liver) were carried out. The liver was scanned at 30sec,60sec,2min,5min,10min,15min seperately after injection of contrast medium. The characterization of all lesions were observed. Results:There were 75 lesions in 21 cases altogether.Twenty-one of 66 little hemangiomas appeared homogeneous hypodense in precontrast images.After injection of contrast at 30 sec to 60 sec,the lesions appeared homogeneous attenuation or appeared peripheral area attenuation;all lesions appeared hyperdense or isodense at 2 min to 5 min,then appearing isodense or hypodense at 10 min to 15 min. The 44/ 66 large hemangiomas appeared gradual progressive opacification from the periphery to the center. One large hemangioma appeared peripheral slight attenuation of the lesion at 5 min~15 min.Two cases were multiple hemangiomas coincident with hepatocellular carcinomas. Two lesions of hepatocellular carcinomas appeared hypodense in precontrast.Then appeared heterogenous attenuation at 30 sec after injection of contrast medium.Three cases were multiple hemangiomas coincident with metastatic tumors of the liver,7 lesions of metastatic tumor appeared hypodense in precontrast. Five of 7 lesions appeared attenuation of the peripheral areas at 30 sec to 60 sec after injection of contrast medium. Two of 7 lesions continuously appeared hypodense. Conclusions: According to the results of hepatic spiral multiphase dynamic CT scanning, not only the hepatic multiple hemangiomas were diagnosed,but also hepatical hemangioma coincident with hepatocellular carcinoma or metastatic tumor of the liver can be diagnosed and differential diagnosed.
, http://www.100md.com
Key words:Multiple hemangioma; Hepatocellular carcinoma; Metastatic tumor;Multi-phase scanning; Computed; X-ray portography
肝血管瘤中约5%~15%为多发性[1],常规CT扫描在一次动态增强扫描时无法对肝内所有病变做出定性诊断,尤其是合并原发性肝癌及转移瘤时,更易发生误诊。我们运用螺旋CT对肝内多发性非同一层面病灶进行多期动态扫描,观察其增强特征,运用螺旋CT动态扫描诊断此类病例作了初步探讨。目前在国内外文献中尚未见有这方面的报道。现将结果报道如下。
1 材料与方法
1.1 临床资料
本组收集中山医科大学肿瘤医院1997年5月~1999年1月肝多发性血管瘤及肝血管瘤合并原发性肝癌或肝转移瘤共21例。其中男8例,女13例,年龄20~62岁,平均42.3岁。16/21例为肝内多发性血管瘤,每个患者肝血管瘤数为3~5个不等,66/75病灶最大直径中心为非同一层面。2例肝血管瘤合并肝癌,其中1例为3个血管瘤合并1个肝癌病灶,1例为4个血管瘤合并单个肝癌病灶,且病灶中心为非同一层面。3例血管瘤合并肝转移瘤,1例为2个肝血管瘤合并单个转移瘤灶。1例为2个肝血管瘤合并2个转移病灶,另1例为2个肝血管瘤合并4个转移病灶。16例多发性血管瘤病例参考B超、MRI结果并均随访半年以上作出诊断。两例肝血管瘤合并肝癌,因体检发现AFP升高,作CT检查发现并经手术证实。3例血管瘤合并转移瘤病例,2例有结肠癌病史,1例有胃癌病史,复查CT,见肝内多处转移,原有转移病灶明显增大而确诊,1例血管瘤合并胃癌肝转移经CT导向下活检证实。而在合并有肝癌,肝转移瘤病例中血管瘤病灶经随访3个月无变化而确诊。
, 百拇医药
1.2 方法
扫描设备使用ELSCINT CT-TWIN flash,扫描条件为120KV 266MAS,层厚8mm,螺旋(pitch)1∶1。检查前患者常规禁食8~12小时,扫描前1小时,于1.5%泛影葡胺500mg分四次口服;让病人平卧,平扫后再作增强扫描。造影剂为优维显(300mgi/ml德国先灵)或欧乃派克(300mgi/ml挪威奈科明),给药量按1.5ml/kg体重计算,利用高压注射器单相注射,速度为3ml/s,经肘前静脉给药。造影剂注射结束后30秒作第一期扫描,60秒作第二期扫描,再作2分钟、5分钟、10分钟、15分钟扫描,增强扫描范围包括所有病变区域,其中2例多发性血管瘤病例,根据平扫结果适当加以调整扫描范围,即对兴趣区(regionofinterest),进行螺旋动态扫描。
2 结果
2.1 平扫
, 百拇医药 21例肝多发性血管瘤以及合并肝癌、转移瘤病例中病共75个灶。其中血管瘤病灶66个,直径为1.5~8.5cm,CT下表现为密度均匀,边界清楚或不清楚的低密度区。2例肝血管瘤合并肝癌,血管瘤病灶7个;肝癌病灶2个,其中小者直径为2.5cm,密度均匀,大者直径4.5cm,密度欠均匀,两者边界均欠清楚。3例肝血管瘤合并转移瘤,共13个病灶,血管瘤6个;转移病灶7个,直径1.2~4.8cm,边缘清楚,其中4个表现为均匀低密度,3个中央可见更低密度区(见表1)。
表1 肝脏病变螺旋CT平扫表现 项目
螺旋CT表现
病灶数
均匀低密度区
不均匀低密度区
多发性血管瘤
, http://www.100md.com
53
53
0
肝血管瘤合并肝转移瘤
肝血管瘤
7
7
0
肝癌
2
1
1
肝血管瘤合并肝转移瘤
, 百拇医药
肝血管瘤
6
6
0
肝转移瘤
7
4
2.2 增强扫描
2.2.1 肝多发性血管瘤多期连续扫描表现:增强扫描中,血管瘤病灶共66个,其中21/66为小血管瘤,直径1.5~3.0cm,在增强扫描注射造影剂30秒、60秒时,15/21表现为均匀强化;有6/21表现为边缘不均匀强化,其中心可见低密度区。延迟至2分钟、5分钟扫描,病灶均表现为高密度或等密度灶。10~15分钟13/21表现为等密度,8/21表现为均匀低密度。44/66大血管瘤病灶,直径3.1~8.5cm,在30秒、60秒增强扫描,病灶边缘呈结节性强化,后期强化向中心扩展。37/44病灶在5~15分钟渐表现为等密度或稍低密度灶,8/44病灶延迟15分钟,中心仍见不规则低密度区。1/16例大血管瘤,直径4.2cm,在注射造影后,30秒、60秒表现为低密度,5~15分钟表现为边缘轻度强化(见图1~4)。
, 百拇医药
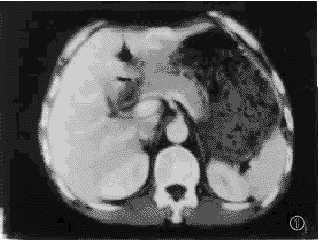
图1 多发性血管瘤.左外叶血管瘤病,30秒可见周边强化;
图2 左外叶血管瘤灶,60秒扫描病灶呈均匀高密度;
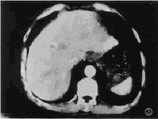
图3 右前叶血管瘤病灶,30秒可见病灶周边强化;
图4 60秒后病灶呈均匀高密度;
2.2.2 肝血管瘤合并肝癌多期连续扫描表现:在2例肝血管瘤合并肝癌病例,肝癌病灶数共2个,直径分别为2.5cm,4.5cm,在30秒增强时,两者表现为不均匀强化,60秒,2分钟,5分钟,10分钟,15分钟表现为低密度灶,密度欠均匀。血管瘤病灶共7个,1例为3个血管瘤合并1个肝癌病灶,另1例为4个血管瘤合并单个肝癌病灶,其中血管瘤病灶则表现为典型血管瘤强化特征。(见图5,6)。
, http://www.100md.com
图5 30秒扫描,左外叶肝癌病灶,呈不均匀强化,右的叶肝血管瘤病灶呈周围结节状强化;
图6 60秒动态扫描.肝癌病灶呈不均匀低密度区,右后叶血管瘤病灶强化向中心扩展
2.2.3 肝血管瘤合并肝转移瘤多期连续扫描表现:在3例肝血管瘤合并肝转移瘤病人中,转移瘤病灶共7个,大小1.2~4.8cm,平均直径3.5cm,在30秒及60秒增强扫描5/7个病灶表现为边缘轻度强化,呈“厚环征”,其中3/5个病灶中心可见小的不均匀低密度区,2/5个中间密度均匀。延迟扫描病灶周边强化未见向中心扩展;2/7个病灶各期扫描边界清楚,呈均匀低密度区。该3例病人中血管瘤病灶数共6个,每例中均为2个病灶,全肝动态扫描表现为典型强化及延迟扫描特征。
3 讨论
, 百拇医药
螺旋CT较普通CT的扫描速度大大提高,在一次屏气下可完成全肝扫描[2]。如选择相对范围较小的兴趣区进行扫描时,所需的时间更短,且扫描间隔时间短,容易掌握。这就使得对全肝进行多期动态扫描成为可能。有助于肝脏多发性占位病变的诊断与鉴别诊断。与普通CT相比,主要优点在于:⑴螺旋CT由于其扫描速度快,一次性注射造影剂可在同一期相内对全肝或较大范围兴趣区进行扫描,容易对肝内多发性病变或多灶性病变同时观察,对比性强。⑵螺旋CT可准确地在不同期相对全肝多次进行连续扫描,这样能观察到肝脏内每一个病灶的强化特征及其动态表现,有利于病变组织的诊断与鉴别诊断。⑶螺旋CT扫描速度快,受呼吸运动影响小,被检查者容易配合;选择适当的层厚及螺距,可完整清晰地对全肝进行容积扫描[3],对较小病灶亦不易漏诊,提高了诊断的准确性;⑷普通CT常规扫描由于对层面控制不准确;对小病灶易漏诊;扫描期相亦难以把握[4];用同层扫描或改良式同层动态扫描,可对单一病灶动态观察,较常规平扫或增强扫描是一大进步,但无法对肝内其它层面病灶进行一次性准确观察其强化过程及特征。给多发性或多灶性病变的诊断带来一定困难,在这些方面螺旋CT较常规CT具有无法比拟的优越性。
, http://www.100md.com
按FREENY[4]提出血管瘤诊断标准是:⑴早期病灶边缘呈高密度强化;⑵增强区域进行性向中心扩展;⑶延迟扫描病灶呈等密度;即所谓的“早出晚归”现象。对于本组16例非同一层面多发性血管瘤扫描结果看出,除有一例直径4.2cm大血管瘤病灶在动态扫描上表现不典型,未能及时确诊,其余大血管瘤病灶数44/66个,在增强扫描30秒,60秒表现为边缘结节性强化,动态扫描强化向中心扩展,在10~15分钟扫描时7/44(18.2%)病灶中心可见不规则低密度区,37/44(81.8%)表现为等密度或稍低密度区,表现典型。本组病例中,小血管瘤病灶数为21/66,在增强扫描30秒,60秒时扫描15/21(71.4%)病灶表现为均匀强化,6/21(28.6%)表现为边缘强化,延迟2分钟~15分钟扫描病灶表现为高密度或等密度,10分钟~15分钟,13/21(61.9%)表现为等密度,8/21(38.1%)表现为均匀低密度,小血管瘤二种强化特征及比例同文献报道相近。虽然这些病灶大多是以多发型形式存在于肝内非同一层面,但螺旋动态扫描可同时发现多个病变的典型强化特征。因而对全肝每个病灶能一次性扫描得出诊断。较常规CT更为方便。在2例肝癌合并肝血管瘤病例中,3例肝血管瘤合并肝转移瘤中。肝癌病灶表现为“速进速出”:即动脉期(30秒)不均匀强化,在门静脉期(60秒)及后期延迟扫描为低密度区[5]。肝转移瘤5/7个病灶在动脉期(30秒)及门脉期(60秒)表现为周边强化,后期强化未见向中心扩展现象[6]。2/7个病灶表现为均匀低密度区,与其中血管瘤表现为“早出晚归”现象,对比性强,在肝内多期动态扫描中较易发现其强化方式及特征的差异,为此类病人诊断带来很大方便,如结合其它手段或病史特点,会更进一步提高诊断率,减少假阳性。而在普通CT则难以做到。
, 百拇医药
肝脏内多发占位性病变,经常需作出鉴别诊断。目前临床上多主张用双期扫描,或平扫+双期扫描[7],其中如合并有血管瘤时,门脉期扫描延迟时间不够,在扫描操作过程中不加以注意,血管瘤病灶很易漏诊或误诊,有时需再次注射造影剂补扫,过程显得繁琐复杂,可能增加患者不必要的负担,甚至影响病情.因此对有些肝内多发性占位病变,必要时需用平扫+全肝动态扫描延迟时间可根据扫描情况调整,这会给临床提供更多的帮助。
螺旋CT的肝脏多期动态扫描方法简单,对比性强,利于诊断。本组病例中血管瘤合并转移瘤及原发性肝癌病例数较少,共5例;对于某些表现特殊的肝内占位性病变,如乏血管性肝细胞癌,血供丰富的转移瘤,肝内少见疾病仍需进一步总结特征及与其它病变相鉴别;血管瘤本身亦存在结构差异,供血异常;肝本身密度差别、内脏血供变异亦会对病灶强化存在影响[8]。在临床中应进一步积累此方面的病例。
通讯作者:吴沛宏:Tel:86-20-87765368-3306
, http://www.100md.com
E-mail:Wupeih@public.guangzhou.gd.cn
[参考文献]
[1] 周康荣主编.腹部CT[M].第一版.上海:上海医科大学出版社,1993:46.
[2] Sun ZF. Dynamic CT Scan of hepatic tumors [J]. Chung Hua Fang She Hsueh Tsa Chih,1989,25(5):280~284.
[3] Editors Elliot K.Fishman. Spiral CT Principles,Techniques,Clinical Applications [M]. Second Edition. Lippincott-Raven,1998:117.
, 百拇医药 [4] Freeny PC, Marks WM. Hepatic hemangioma:Dynamic bodus CT [J]. AJR Am J Roentgenol,1986,147:711.
[5] Choi BI,Han JK,Cho JM,et al. Characterization of focal hepatic tumors,Value of two-phase scanning with spiral computed tomography [J]. Cancer,1995,76(12):2434~2442.
[6] Richter GM,Theobale I, Roeren T, et al. Spiral CT Portography in preoperative diagnosis of liver metastatic [J]. Chirurg,1996,67(6):630~636.
, http://www.100md.com
[7] Gryspeerdt S,Van-Hoe L, Marchal G, et al. Evaluation of hepatic perfusion disorders with double-phase spiral CT [J]. Radiographics, 1997,17(2):337~348.
[8] Matsui O,Kadoya M,Kameyama T,et al. Benign and malignant nodules in Cirrhotic livers:distinction based on blood supply[J]. Radioloy, 1991, 178:493~497.
收稿日期:1999-06-14;修回日期:1999-08-18, http://www.100md.com
单位:吴沛宏(中山医科大学肿瘤防治中心影像介入科,广东 广州 510060);赵明(中山医科大学肿瘤防治中心影像介入科,广东 广州 510060);卢丽霞(中山医科大学肿瘤防治中心影像介入科,广东 广州 510060);阮超美(中山医科大学肿瘤防治中心影像介入科,广东 广州 510060);郑列(中山医科大学肿瘤防治中心影像介入科,广东 广州 510060);李立(中山医科大学肿瘤防治中心影像介入科,广东 广州 510060);莫运仙(中山医科大学肿瘤防治中心影像介入科,广东 广州 510060)
关键词:血管瘤;肝癌;转移瘤;多期扫描;计算机;X-线体层摄影
癌症000219
【摘 要】目的:分析肝多发性血管瘤及合并肝癌或肝转移瘤的CT表现,探讨螺旋CT多期连续扫描在诊断上的优越性。方法:21例患者(16例多发性血管瘤,2例肝血管瘤合并原发性肝癌,3例肝血管瘤合并肝转移瘤)。按常规先对全肝进行平扫,然后于注射造影剂后30秒、60秒、2分钟、5分钟、10分钟、15分钟后进行肝脏螺旋扫描。结果:21例患者肝脏内病灶数共75个。血管瘤病灶66个,其中21/66小血管瘤病灶平扫时表现为均匀低密度区,增强扫描30秒、60秒,表现均匀强化,或边缘不规则强化,2分钟、5分钟、表现高密度或等密度灶;10分钟、15分钟,表现为等密度灶或低密度灶。44/66例大血管瘤,增强扫描表现为强化渐向中心扩展;1/66例大血管瘤,5~15分钟,表现为边缘轻度强化。2例肝血管瘤合并肝癌,肝癌病灶共2个,平扫时为低密度灶,增强扫描30秒表现为不均匀强化。3例肝血管瘤合并转移瘤,转移病灶7个,平扫表现低密度。增强扫描5/7个病灶在30秒、60秒表现为周边强化,2/7个病灶各期呈均匀低密度。结论:螺旋CT多期动态扫描,不仅同时对肝多发性血管瘤做出诊断,而且同时对血管瘤合并肝癌或肝转移瘤做出诊断和鉴别诊断。
, 百拇医药
中图分类号:R735 文献标识码:A
文章编号:1000-467X(2000)02-0162-04
The usefulness of hepatic spiral multi-phase CT scanning in diagnosis of multiple hemangioma and coincident with hepatocellularcarcinoma or metastatic tumor of the liver
WU Pei-hong ZHAO Ming LU Li-xia et al
(Imaging Department of Cancer Center,Sun Yat-sen University of Medical Sciences,Guangzhou 510060,P.R.China)
, 百拇医药
【Abstract】 Objective:The CT appearances of multiple hemangiomas and coincident with hepatocellular carcinoma or metastatic tumor of the liver with hepatic spiral multi-phase CT scanning were analyzed,to investigate it's advantage in diagnosis. Metheods:At first,the precontrast CT scanning of the liver in 21 cases (16 multiple hemangiomas,2 multiple hemangiomas coincident with hepatocellular carcinomas,3 multiple hemangiomas combined with metastatic tumors of the liver) were carried out. The liver was scanned at 30sec,60sec,2min,5min,10min,15min seperately after injection of contrast medium. The characterization of all lesions were observed. Results:There were 75 lesions in 21 cases altogether.Twenty-one of 66 little hemangiomas appeared homogeneous hypodense in precontrast images.After injection of contrast at 30 sec to 60 sec,the lesions appeared homogeneous attenuation or appeared peripheral area attenuation;all lesions appeared hyperdense or isodense at 2 min to 5 min,then appearing isodense or hypodense at 10 min to 15 min. The 44/ 66 large hemangiomas appeared gradual progressive opacification from the periphery to the center. One large hemangioma appeared peripheral slight attenuation of the lesion at 5 min~15 min.Two cases were multiple hemangiomas coincident with hepatocellular carcinomas. Two lesions of hepatocellular carcinomas appeared hypodense in precontrast.Then appeared heterogenous attenuation at 30 sec after injection of contrast medium.Three cases were multiple hemangiomas coincident with metastatic tumors of the liver,7 lesions of metastatic tumor appeared hypodense in precontrast. Five of 7 lesions appeared attenuation of the peripheral areas at 30 sec to 60 sec after injection of contrast medium. Two of 7 lesions continuously appeared hypodense. Conclusions: According to the results of hepatic spiral multiphase dynamic CT scanning, not only the hepatic multiple hemangiomas were diagnosed,but also hepatical hemangioma coincident with hepatocellular carcinoma or metastatic tumor of the liver can be diagnosed and differential diagnosed.
, http://www.100md.com
Key words:Multiple hemangioma; Hepatocellular carcinoma; Metastatic tumor;Multi-phase scanning; Computed; X-ray portography
肝血管瘤中约5%~15%为多发性[1],常规CT扫描在一次动态增强扫描时无法对肝内所有病变做出定性诊断,尤其是合并原发性肝癌及转移瘤时,更易发生误诊。我们运用螺旋CT对肝内多发性非同一层面病灶进行多期动态扫描,观察其增强特征,运用螺旋CT动态扫描诊断此类病例作了初步探讨。目前在国内外文献中尚未见有这方面的报道。现将结果报道如下。
1 材料与方法
1.1 临床资料
本组收集中山医科大学肿瘤医院1997年5月~1999年1月肝多发性血管瘤及肝血管瘤合并原发性肝癌或肝转移瘤共21例。其中男8例,女13例,年龄20~62岁,平均42.3岁。16/21例为肝内多发性血管瘤,每个患者肝血管瘤数为3~5个不等,66/75病灶最大直径中心为非同一层面。2例肝血管瘤合并肝癌,其中1例为3个血管瘤合并1个肝癌病灶,1例为4个血管瘤合并单个肝癌病灶,且病灶中心为非同一层面。3例血管瘤合并肝转移瘤,1例为2个肝血管瘤合并单个转移瘤灶。1例为2个肝血管瘤合并2个转移病灶,另1例为2个肝血管瘤合并4个转移病灶。16例多发性血管瘤病例参考B超、MRI结果并均随访半年以上作出诊断。两例肝血管瘤合并肝癌,因体检发现AFP升高,作CT检查发现并经手术证实。3例血管瘤合并转移瘤病例,2例有结肠癌病史,1例有胃癌病史,复查CT,见肝内多处转移,原有转移病灶明显增大而确诊,1例血管瘤合并胃癌肝转移经CT导向下活检证实。而在合并有肝癌,肝转移瘤病例中血管瘤病灶经随访3个月无变化而确诊。
, 百拇医药
1.2 方法
扫描设备使用ELSCINT CT-TWIN flash,扫描条件为120KV 266MAS,层厚8mm,螺旋(pitch)1∶1。检查前患者常规禁食8~12小时,扫描前1小时,于1.5%泛影葡胺500mg分四次口服;让病人平卧,平扫后再作增强扫描。造影剂为优维显(300mgi/ml德国先灵)或欧乃派克(300mgi/ml挪威奈科明),给药量按1.5ml/kg体重计算,利用高压注射器单相注射,速度为3ml/s,经肘前静脉给药。造影剂注射结束后30秒作第一期扫描,60秒作第二期扫描,再作2分钟、5分钟、10分钟、15分钟扫描,增强扫描范围包括所有病变区域,其中2例多发性血管瘤病例,根据平扫结果适当加以调整扫描范围,即对兴趣区(regionofinterest),进行螺旋动态扫描。
2 结果
2.1 平扫
, 百拇医药 21例肝多发性血管瘤以及合并肝癌、转移瘤病例中病共75个灶。其中血管瘤病灶66个,直径为1.5~8.5cm,CT下表现为密度均匀,边界清楚或不清楚的低密度区。2例肝血管瘤合并肝癌,血管瘤病灶7个;肝癌病灶2个,其中小者直径为2.5cm,密度均匀,大者直径4.5cm,密度欠均匀,两者边界均欠清楚。3例肝血管瘤合并转移瘤,共13个病灶,血管瘤6个;转移病灶7个,直径1.2~4.8cm,边缘清楚,其中4个表现为均匀低密度,3个中央可见更低密度区(见表1)。
表1 肝脏病变螺旋CT平扫表现 项目
螺旋CT表现
病灶数
均匀低密度区
不均匀低密度区
多发性血管瘤
, http://www.100md.com
53
53
0
肝血管瘤合并肝转移瘤
肝血管瘤
7
7
0
肝癌
2
1
1
肝血管瘤合并肝转移瘤
, 百拇医药
肝血管瘤
6
6
0
肝转移瘤
7
4
2.2 增强扫描
2.2.1 肝多发性血管瘤多期连续扫描表现:增强扫描中,血管瘤病灶共66个,其中21/66为小血管瘤,直径1.5~3.0cm,在增强扫描注射造影剂30秒、60秒时,15/21表现为均匀强化;有6/21表现为边缘不均匀强化,其中心可见低密度区。延迟至2分钟、5分钟扫描,病灶均表现为高密度或等密度灶。10~15分钟13/21表现为等密度,8/21表现为均匀低密度。44/66大血管瘤病灶,直径3.1~8.5cm,在30秒、60秒增强扫描,病灶边缘呈结节性强化,后期强化向中心扩展。37/44病灶在5~15分钟渐表现为等密度或稍低密度灶,8/44病灶延迟15分钟,中心仍见不规则低密度区。1/16例大血管瘤,直径4.2cm,在注射造影后,30秒、60秒表现为低密度,5~15分钟表现为边缘轻度强化(见图1~4)。
, 百拇医药
图1 多发性血管瘤.左外叶血管瘤病,30秒可见周边强化;
图2 左外叶血管瘤灶,60秒扫描病灶呈均匀高密度;
图3 右前叶血管瘤病灶,30秒可见病灶周边强化;
图4 60秒后病灶呈均匀高密度;
2.2.2 肝血管瘤合并肝癌多期连续扫描表现:在2例肝血管瘤合并肝癌病例,肝癌病灶数共2个,直径分别为2.5cm,4.5cm,在30秒增强时,两者表现为不均匀强化,60秒,2分钟,5分钟,10分钟,15分钟表现为低密度灶,密度欠均匀。血管瘤病灶共7个,1例为3个血管瘤合并1个肝癌病灶,另1例为4个血管瘤合并单个肝癌病灶,其中血管瘤病灶则表现为典型血管瘤强化特征。(见图5,6)。
, http://www.100md.com
图5 30秒扫描,左外叶肝癌病灶,呈不均匀强化,右的叶肝血管瘤病灶呈周围结节状强化;
图6 60秒动态扫描.肝癌病灶呈不均匀低密度区,右后叶血管瘤病灶强化向中心扩展
2.2.3 肝血管瘤合并肝转移瘤多期连续扫描表现:在3例肝血管瘤合并肝转移瘤病人中,转移瘤病灶共7个,大小1.2~4.8cm,平均直径3.5cm,在30秒及60秒增强扫描5/7个病灶表现为边缘轻度强化,呈“厚环征”,其中3/5个病灶中心可见小的不均匀低密度区,2/5个中间密度均匀。延迟扫描病灶周边强化未见向中心扩展;2/7个病灶各期扫描边界清楚,呈均匀低密度区。该3例病人中血管瘤病灶数共6个,每例中均为2个病灶,全肝动态扫描表现为典型强化及延迟扫描特征。
3 讨论
, 百拇医药
螺旋CT较普通CT的扫描速度大大提高,在一次屏气下可完成全肝扫描[2]。如选择相对范围较小的兴趣区进行扫描时,所需的时间更短,且扫描间隔时间短,容易掌握。这就使得对全肝进行多期动态扫描成为可能。有助于肝脏多发性占位病变的诊断与鉴别诊断。与普通CT相比,主要优点在于:⑴螺旋CT由于其扫描速度快,一次性注射造影剂可在同一期相内对全肝或较大范围兴趣区进行扫描,容易对肝内多发性病变或多灶性病变同时观察,对比性强。⑵螺旋CT可准确地在不同期相对全肝多次进行连续扫描,这样能观察到肝脏内每一个病灶的强化特征及其动态表现,有利于病变组织的诊断与鉴别诊断。⑶螺旋CT扫描速度快,受呼吸运动影响小,被检查者容易配合;选择适当的层厚及螺距,可完整清晰地对全肝进行容积扫描[3],对较小病灶亦不易漏诊,提高了诊断的准确性;⑷普通CT常规扫描由于对层面控制不准确;对小病灶易漏诊;扫描期相亦难以把握[4];用同层扫描或改良式同层动态扫描,可对单一病灶动态观察,较常规平扫或增强扫描是一大进步,但无法对肝内其它层面病灶进行一次性准确观察其强化过程及特征。给多发性或多灶性病变的诊断带来一定困难,在这些方面螺旋CT较常规CT具有无法比拟的优越性。
, http://www.100md.com
按FREENY[4]提出血管瘤诊断标准是:⑴早期病灶边缘呈高密度强化;⑵增强区域进行性向中心扩展;⑶延迟扫描病灶呈等密度;即所谓的“早出晚归”现象。对于本组16例非同一层面多发性血管瘤扫描结果看出,除有一例直径4.2cm大血管瘤病灶在动态扫描上表现不典型,未能及时确诊,其余大血管瘤病灶数44/66个,在增强扫描30秒,60秒表现为边缘结节性强化,动态扫描强化向中心扩展,在10~15分钟扫描时7/44(18.2%)病灶中心可见不规则低密度区,37/44(81.8%)表现为等密度或稍低密度区,表现典型。本组病例中,小血管瘤病灶数为21/66,在增强扫描30秒,60秒时扫描15/21(71.4%)病灶表现为均匀强化,6/21(28.6%)表现为边缘强化,延迟2分钟~15分钟扫描病灶表现为高密度或等密度,10分钟~15分钟,13/21(61.9%)表现为等密度,8/21(38.1%)表现为均匀低密度,小血管瘤二种强化特征及比例同文献报道相近。虽然这些病灶大多是以多发型形式存在于肝内非同一层面,但螺旋动态扫描可同时发现多个病变的典型强化特征。因而对全肝每个病灶能一次性扫描得出诊断。较常规CT更为方便。在2例肝癌合并肝血管瘤病例中,3例肝血管瘤合并肝转移瘤中。肝癌病灶表现为“速进速出”:即动脉期(30秒)不均匀强化,在门静脉期(60秒)及后期延迟扫描为低密度区[5]。肝转移瘤5/7个病灶在动脉期(30秒)及门脉期(60秒)表现为周边强化,后期强化未见向中心扩展现象[6]。2/7个病灶表现为均匀低密度区,与其中血管瘤表现为“早出晚归”现象,对比性强,在肝内多期动态扫描中较易发现其强化方式及特征的差异,为此类病人诊断带来很大方便,如结合其它手段或病史特点,会更进一步提高诊断率,减少假阳性。而在普通CT则难以做到。
, 百拇医药
肝脏内多发占位性病变,经常需作出鉴别诊断。目前临床上多主张用双期扫描,或平扫+双期扫描[7],其中如合并有血管瘤时,门脉期扫描延迟时间不够,在扫描操作过程中不加以注意,血管瘤病灶很易漏诊或误诊,有时需再次注射造影剂补扫,过程显得繁琐复杂,可能增加患者不必要的负担,甚至影响病情.因此对有些肝内多发性占位病变,必要时需用平扫+全肝动态扫描延迟时间可根据扫描情况调整,这会给临床提供更多的帮助。
螺旋CT的肝脏多期动态扫描方法简单,对比性强,利于诊断。本组病例中血管瘤合并转移瘤及原发性肝癌病例数较少,共5例;对于某些表现特殊的肝内占位性病变,如乏血管性肝细胞癌,血供丰富的转移瘤,肝内少见疾病仍需进一步总结特征及与其它病变相鉴别;血管瘤本身亦存在结构差异,供血异常;肝本身密度差别、内脏血供变异亦会对病灶强化存在影响[8]。在临床中应进一步积累此方面的病例。
通讯作者:吴沛宏:Tel:86-20-87765368-3306
, http://www.100md.com
E-mail:Wupeih@public.guangzhou.gd.cn
[参考文献]
[1] 周康荣主编.腹部CT[M].第一版.上海:上海医科大学出版社,1993:46.
[2] Sun ZF. Dynamic CT Scan of hepatic tumors [J]. Chung Hua Fang She Hsueh Tsa Chih,1989,25(5):280~284.
[3] Editors Elliot K.Fishman. Spiral CT Principles,Techniques,Clinical Applications [M]. Second Edition. Lippincott-Raven,1998:117.
, 百拇医药 [4] Freeny PC, Marks WM. Hepatic hemangioma:Dynamic bodus CT [J]. AJR Am J Roentgenol,1986,147:711.
[5] Choi BI,Han JK,Cho JM,et al. Characterization of focal hepatic tumors,Value of two-phase scanning with spiral computed tomography [J]. Cancer,1995,76(12):2434~2442.
[6] Richter GM,Theobale I, Roeren T, et al. Spiral CT Portography in preoperative diagnosis of liver metastatic [J]. Chirurg,1996,67(6):630~636.
, http://www.100md.com
[7] Gryspeerdt S,Van-Hoe L, Marchal G, et al. Evaluation of hepatic perfusion disorders with double-phase spiral CT [J]. Radiographics, 1997,17(2):337~348.
[8] Matsui O,Kadoya M,Kameyama T,et al. Benign and malignant nodules in Cirrhotic livers:distinction based on blood supply[J]. Radioloy, 1991, 178:493~497.
收稿日期:1999-06-14;修回日期:1999-08-18, http://www.100md.com