食管癌p53、PCNA表达与局部体液免疫的关系
作者:苏蔚 赵卫星 付华民 和瑞芝 卢朝晖 马力强
单位:苏蔚(河南新乡医学院病理教研室,河南 新乡 453003);赵卫星(河南新乡医学院病理教研室,河南 新乡 453003);付华民(河南新乡医学院病理教研室,河南 新乡 453003);和瑞芝(河南新乡医学院病理教研室,河南 新乡 453003);卢朝晖(河南新乡医学院病理教研室,河南 新乡 453003);马力强(河南新乡医学院病理教研室,河南 新乡 453003)
关键词:食管癌;IgG产生细胞;p53;PCNA
癌症000208
【摘 要】目的:对80例食管浸润癌组织中的局部体液免疫即IgG、IgM、IgA产生细胞及p53蛋白、PCNA进行检测,以探索局部体液免疫对抑癌基因突变及细胞增殖活性的影响。方法:采用直接免疫荧光染色法和SP免疫组化染色法。结果:IgG产生细胞与p53蛋白、PCNA的表达呈负相关;IgG阳性而p53、PCNA阴性的病例,淋巴结转移及浸润的程度显著降低。IgA、IgM与p53突变及PCNA的表达无关。结论:IgG似通过抑制p53突变及细胞增殖活性来抑制肿瘤浸润与转移。
, http://www.100md.com
中图分类号:R735.1 文献标识码:A
文章编号:1000-467X(2000)02-0128-03
Relationship between the local humoral immunity and the expression of p53, PCNA in esophageal carcinoma
SU Wei ZHAO Wei-xing FU Hua-min et al
(Department of Pathology,XinXiang Medical College,Henan Province,Xinxiang 453003, P.R. China)
【Abstract】 Objective: To probe the relationship between the local humoral immunity and the expression of p53,PCNA in esophageal carcinoma.Methods:Directimmunofluorescence and S-P immunohistochemical assaies were applied to detect IgG-, IgM-,IgA-,producing cells p53 protein and PCNA in 80 cases of esophageal invasive carcinoma.Results:There was a negative correlation between IgG producing cells and p53 or PCNA experiession,respectively.The tumor with IgG producing cells but loss of p53 and PCNA expression appeared less lymph node metastasis and tumor invasion.Conclusion:It seems that IgG could retain tumor matastasis and invasion through suppressing the p53 gene mutation and cell proliferation.
, 百拇医药
Key words:Esophageal carcinoma; IgG-producing-cell; p53;PCNA
食管癌是我国最常见的恶性肿瘤之一,其发生和发展受诸多因素的影响,其中抑癌基因p53的突变在食管癌的发生发展过程中起重要作用,并可影响其生物学行为。PCNA对于检测食管上皮细胞的增殖活性及癌细胞的增殖活性有重要价值。而体液免疫,尤其是IgG抗体产生细胞与机体特异性免疫反应有关,且对癌细胞有毒性作用[1],三者在食管癌发生发展中的联合作用,尚未见文献报道。本研究分别以免疫荧光染色法和S-P免疫组化法联合检测食管癌组织中的抗体产生细胞、p53、PCNA的表达,并分析其与肿瘤浸润深度及转移之间的关系,初步探讨三者在评估食管癌预后上的作用。
1 材料与方法
1.1 材料来源及分类
, http://www.100md.com 收集1985~1998年新乡医学院一附院病理科食管癌存档蜡块共80例,临床资料:男53例,女27例,其中浸润癌Ⅰ级29例、Ⅱ级23例、Ⅲ级28例;根据食管癌浸润深度不同,分为浸润至粘膜下层以内和肌层以外两组;根据局部淋巴结转移情况分为淋巴结转移阳性和阴性两组。
1.2 主要试剂
第一抗体:鼠抗人p53蛋白单克隆抗体,鼠抗人PCNA单克隆抗体;第二抗体:生物素标记羊抗人IgG;酶标抗体:辣根过氧化酶标记的链酶卵白素(以上试剂均由美国ZYMED公司提供);异硫氰酸荧光上荧光素(FITC)标记的羊抗人IgG、IgM、IgA(北京生物制品研究所提供)。
1.3 方法
将蜡块连续切片4张,脱蜡后一张做HE染色,确认病变性质,另外3张分别做免疫荧光染色和S-P染色。
, 百拇医药 1.3.1 免疫荧光染色法二甲苯脱蜡,无水乙醇及95%乙醇脱水,PBS冲洗加入FITC标记的羊抗人IgG马抗人IgM、IgA湿盒37℃孵育一小时,PBS冲洗,磷酸甘油封片,荧光显微镜下观察结果,细胞轮廓清晰,呈亮绿色荧光的细胞为抗体产生阳性细胞。
1.3.2 S-P免疫组化染色法主要步骤:0.3%甲醇过氧化氢阻断内源性过氧化物酶,滴加p53、PCNA单克隆抗体,4℃湿盒内过夜,滴加生物素化二抗孵育,滴加稀释的辣根过氧化物酶标记的链霉卵白素。上述各步均以PBS冲洗3次。DAB显色复染。
2 结果
2.1 抗体产生细胞与食管癌分级、浸润深度、淋巴结转移的关系
在80例食管浸润癌中IgG的表达与食管癌的分级无关,与浸润深度及淋巴结转移呈副相关(P<0.005);IgM、IgA的阳性表达与食管癌的分级、浸润深度及淋巴结转移均无关(P>0.05)(表1)。
, http://www.100md.com
病理指标n
表1 抗体产生细胞与食管癌分级、浸润深度、淋巴结转移的关系
IgG
IgA
IgM
-
+

-
+

, http://www.100md.com
-
+

分级
Ⅰ
29
14
3
4
8
19
2
, 百拇医药
6
2
19
5
4
1
Ⅱ
23
10
2
5
6
15
2
, 百拇医药
5
1
11
4
7
1
Ⅲ
28
11
2
6
9*
22
1
, 百拇医药
4
1*
11
5
9
3*
浸润深度
粘膜下层
33
3
3
11
16
, 百拇医药
20
3
8
2
13
5
12
3
肌层
47
32
7
4
4**
, 百拇医药
36
2
7
2*
28
9
8
2*
淋巴结转移
-
37
7
6
, 百拇医药
6
18
23
3
9
2
26
7
10
4
+
43
28
6
, http://www.100md.com
7
2**
33
2
6
2*
25
7
10
1*
*分级比较P>0.05 **浸润深度之间及淋巴结转移之间比较P<0.005
2.2 癌间质IgG表达与p53、PCNA表达的关系
, 百拇医药
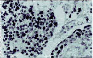
38例p53表达阳性的病例中,只有15例IgG表达(39.47%),而p53阴性的42例中,IgG阳性表达的高达30例(71.43%),两者之间有显著性差异(P<0.05)。同样,PCNA阳性的病例中,IgG阳性表达的只占39.02%,而PCNA阴性的病例中,IgG阳性表达的细胞高达74.30%(图1,2,3)(表2)。
图1 癌间质中IgG产生细胞的表达
图2 食管浸润癌组织中p53蛋白的表达
图3 食管浸润癌间质中PCNA的表达
, http://www.100md.com 表2 癌间质IgG表达与p53、PCNA表达的关系 IgGn
n
p53
P值
PCNA
P值
+
-
+
-
+
45
15
, 百拇医药
30
<0.05
16
29
<0.01
-
35
23
12
25
10
2.3 p53、PCNA、IgG产生细胞的表达与浸润深度及淋巴结转移的关系
p53阳性而IgG阴性的23例中,浸及肌层以外者占82.61%(19/23),发生淋巴结转移的高达86.95%(20/23),而p53阴性IgG阳性的30例中,浸及肌层以外者仅占10%(3/30),发生淋巴结转移的只有13.33%(4/30);PCNA的表达与IgG表达的相关性及与浸润深度和淋巴结转移的关系同p53的表达(表3)。表3 p53、PCNA表达及IgG表达与浸润深度及
, http://www.100md.com
淋巴结转移的关系 指标
n

P值

P值
浸润深度
粘膜下层
33
4
, 百拇医药
27
<0.01
5
25
<0.01
肌层
47
19
3
20
4
淋巴结转移
阴性
, 百拇医药 37
3
26
2
26
<0.01
阳性
43
20
4
23
3
3 讨论
在机体抗肿瘤免疫方面,以往的研究多偏重于细胞免疫反应,但是,在癌组织中有相当数量的B淋巴细胞,它们大多数已转变为产生IgG的浆细胞[2],因此,癌组织局部体液免疫反应的增强,在食管癌免疫中起着同样重要的作用.
, 百拇医药
转化为产生IgG的B淋巴细胞体积较大,胞浆丰富,含有大量粗面内质网,分泌功能旺盛,多为幼浆细胞、过度型浆细胞和典型浆细胞,它们一般不与癌细胞直接接触,主要依靠其产生的抗肿瘤抗体参与体液免疫,达到抑制肿瘤生长的目的[3]。
本研究发现,随着食管上皮的癌变,IgG产生细胞有明显聚集现象,胞浆荧光特别明亮。并且IgG产生细胞与肿瘤浸润深度及淋巴结转移呈负相关,这些现象均提示:IgG产生细胞可使机体对肿瘤特异性抗原产生免疫反应,参与抗体依赖性细胞介导的细胞毒作用(antibody-dependent cell-mediated cytotoxicity,ADCC)[4],阻止肿瘤的浸润及淋巴结转移。有报道[4],IgG产生细胞的增加与特异性免疫反应有关。动物实验也证实食管癌细胞膜上有肿瘤特异性抗原[5],Moav[5]和Wesenberg[6]分别从小白鼠和人的癌组织中提取大量IgG,并证实对癌细胞有毒性作用,本实验结果均支持这些论点。
, http://www.100md.com
本研究中未发现IgA、IgM与食管癌分级、浸润深度、淋巴结转移之间的关系,其存在的意义有待探讨。
突变型p53、PCNA的存在是食管癌组织中公认的分子水平的改变,其改变的结果导致了转移率的升高及浸润深度的增加[7],从本组实验不难看出,p53、PCNA的表达与IgG产生细胞的表达呈负相关,即IgG在组织中的表达越高,p53、PCNA的表达率越低,反之亦然,并且IgG阳性而p53、PCNA阴性的病例,淋巴结转移及浸润的程度越低。因此,p53、PCNA的高表达与IgG产生细胞的低表达可提示肿瘤的恶性度高,淋巴结转移的可能性大,同时,IgG的产生似可抑制p53基因的突变和降低细胞增殖活性,从而达到抑制肿瘤细胞生长的特性。此种关系尚未见报道,其确切机制有待于进一步研究。
通讯作者:苏蔚:Tel:86-373-3029123
[参考文献]
, http://www.100md.com
[1] 许祖德,张月娥,张秀荣,等.肺癌切除标本中局部浸润的单核性细胞亚型分析[J].上海第一医学院学报,1985,2:6.
[2] Husby G,Hoagland PM, strickland RG,et al. Tissue T and B infiltration of primary and matastatic cancer [J]. J clin Invest, 1976,57:1471~1482.
[3] Loachim HL, et al.The immune response at The tumor site in lung carcinoma [J].Cancer, 1991,38(6):2296.
[4] Helemn C, et al.A student of The aetiology of gastritis following gastric surgery immunofluorescent study of The gastric mucosa [J].Clin Exp Immunol.1979,33:441.
, 百拇医药
[5] Moav N, Hilders Houbiers JGA, Ravenswaary HH, et al. Association between HLA-expression and infiltration of immune ceiis in cervical carcinoma[J].Lab Invest,1993,69:651.
[6] Wesenberg F, et al. Fragments and subclasses of IgG in eluation of human malignant tissues [J]. Acta Pathol Microbiol Scand. 1993,88:67.
[7] Sakurai K,Hata S,Amano S,et al. immunohistochemical study of p53,p27 and PCNA expression in esophageal cancer[J].Gan To Kagaku Ryoho,1998,25(9):1269~1272.
收稿日期:1999-04-12;修回日期:1999-06-08, 百拇医药
单位:苏蔚(河南新乡医学院病理教研室,河南 新乡 453003);赵卫星(河南新乡医学院病理教研室,河南 新乡 453003);付华民(河南新乡医学院病理教研室,河南 新乡 453003);和瑞芝(河南新乡医学院病理教研室,河南 新乡 453003);卢朝晖(河南新乡医学院病理教研室,河南 新乡 453003);马力强(河南新乡医学院病理教研室,河南 新乡 453003)
关键词:食管癌;IgG产生细胞;p53;PCNA
癌症000208
【摘 要】目的:对80例食管浸润癌组织中的局部体液免疫即IgG、IgM、IgA产生细胞及p53蛋白、PCNA进行检测,以探索局部体液免疫对抑癌基因突变及细胞增殖活性的影响。方法:采用直接免疫荧光染色法和SP免疫组化染色法。结果:IgG产生细胞与p53蛋白、PCNA的表达呈负相关;IgG阳性而p53、PCNA阴性的病例,淋巴结转移及浸润的程度显著降低。IgA、IgM与p53突变及PCNA的表达无关。结论:IgG似通过抑制p53突变及细胞增殖活性来抑制肿瘤浸润与转移。
, http://www.100md.com
中图分类号:R735.1 文献标识码:A
文章编号:1000-467X(2000)02-0128-03
Relationship between the local humoral immunity and the expression of p53, PCNA in esophageal carcinoma
SU Wei ZHAO Wei-xing FU Hua-min et al
(Department of Pathology,XinXiang Medical College,Henan Province,Xinxiang 453003, P.R. China)
【Abstract】 Objective: To probe the relationship between the local humoral immunity and the expression of p53,PCNA in esophageal carcinoma.Methods:Directimmunofluorescence and S-P immunohistochemical assaies were applied to detect IgG-, IgM-,IgA-,producing cells p53 protein and PCNA in 80 cases of esophageal invasive carcinoma.Results:There was a negative correlation between IgG producing cells and p53 or PCNA experiession,respectively.The tumor with IgG producing cells but loss of p53 and PCNA expression appeared less lymph node metastasis and tumor invasion.Conclusion:It seems that IgG could retain tumor matastasis and invasion through suppressing the p53 gene mutation and cell proliferation.
, 百拇医药
Key words:Esophageal carcinoma; IgG-producing-cell; p53;PCNA
食管癌是我国最常见的恶性肿瘤之一,其发生和发展受诸多因素的影响,其中抑癌基因p53的突变在食管癌的发生发展过程中起重要作用,并可影响其生物学行为。PCNA对于检测食管上皮细胞的增殖活性及癌细胞的增殖活性有重要价值。而体液免疫,尤其是IgG抗体产生细胞与机体特异性免疫反应有关,且对癌细胞有毒性作用[1],三者在食管癌发生发展中的联合作用,尚未见文献报道。本研究分别以免疫荧光染色法和S-P免疫组化法联合检测食管癌组织中的抗体产生细胞、p53、PCNA的表达,并分析其与肿瘤浸润深度及转移之间的关系,初步探讨三者在评估食管癌预后上的作用。
1 材料与方法
1.1 材料来源及分类
, http://www.100md.com 收集1985~1998年新乡医学院一附院病理科食管癌存档蜡块共80例,临床资料:男53例,女27例,其中浸润癌Ⅰ级29例、Ⅱ级23例、Ⅲ级28例;根据食管癌浸润深度不同,分为浸润至粘膜下层以内和肌层以外两组;根据局部淋巴结转移情况分为淋巴结转移阳性和阴性两组。
1.2 主要试剂
第一抗体:鼠抗人p53蛋白单克隆抗体,鼠抗人PCNA单克隆抗体;第二抗体:生物素标记羊抗人IgG;酶标抗体:辣根过氧化酶标记的链酶卵白素(以上试剂均由美国ZYMED公司提供);异硫氰酸荧光上荧光素(FITC)标记的羊抗人IgG、IgM、IgA(北京生物制品研究所提供)。
1.3 方法
将蜡块连续切片4张,脱蜡后一张做HE染色,确认病变性质,另外3张分别做免疫荧光染色和S-P染色。
, 百拇医药 1.3.1 免疫荧光染色法二甲苯脱蜡,无水乙醇及95%乙醇脱水,PBS冲洗加入FITC标记的羊抗人IgG马抗人IgM、IgA湿盒37℃孵育一小时,PBS冲洗,磷酸甘油封片,荧光显微镜下观察结果,细胞轮廓清晰,呈亮绿色荧光的细胞为抗体产生阳性细胞。
1.3.2 S-P免疫组化染色法主要步骤:0.3%甲醇过氧化氢阻断内源性过氧化物酶,滴加p53、PCNA单克隆抗体,4℃湿盒内过夜,滴加生物素化二抗孵育,滴加稀释的辣根过氧化物酶标记的链霉卵白素。上述各步均以PBS冲洗3次。DAB显色复染。
2 结果
2.1 抗体产生细胞与食管癌分级、浸润深度、淋巴结转移的关系
在80例食管浸润癌中IgG的表达与食管癌的分级无关,与浸润深度及淋巴结转移呈副相关(P<0.005);IgM、IgA的阳性表达与食管癌的分级、浸润深度及淋巴结转移均无关(P>0.05)(表1)。
, http://www.100md.com
病理指标n
表1 抗体产生细胞与食管癌分级、浸润深度、淋巴结转移的关系
IgG
IgA
IgM
-
+
-
+
, http://www.100md.com
-
+
分级
Ⅰ
29
14
3
4
8
19
2
, 百拇医药
6
2
19
5
4
1
Ⅱ
23
10
2
5
6
15
2
, 百拇医药
5
1
11
4
7
1
Ⅲ
28
11
2
6
9*
22
1
, 百拇医药
4
1*
11
5
9
3*
浸润深度
粘膜下层
33
3
3
11
16
, 百拇医药
20
3
8
2
13
5
12
3
肌层
47
32
7
4
4**
, 百拇医药
36
2
7
2*
28
9
8
2*
淋巴结转移
-
37
7
6
, 百拇医药
6
18
23
3
9
2
26
7
10
4
+
43
28
6
, http://www.100md.com
7
2**
33
2
6
2*
25
7
10
1*
*分级比较P>0.05 **浸润深度之间及淋巴结转移之间比较P<0.005
2.2 癌间质IgG表达与p53、PCNA表达的关系
, 百拇医药
38例p53表达阳性的病例中,只有15例IgG表达(39.47%),而p53阴性的42例中,IgG阳性表达的高达30例(71.43%),两者之间有显著性差异(P<0.05)。同样,PCNA阳性的病例中,IgG阳性表达的只占39.02%,而PCNA阴性的病例中,IgG阳性表达的细胞高达74.30%(图1,2,3)(表2)。
图1 癌间质中IgG产生细胞的表达
图2 食管浸润癌组织中p53蛋白的表达
图3 食管浸润癌间质中PCNA的表达
, http://www.100md.com 表2 癌间质IgG表达与p53、PCNA表达的关系 IgGn
n
p53
P值
PCNA
P值
+
-
+
-
+
45
15
, 百拇医药
30
<0.05
16
29
<0.01
-
35
23
12
25
10
2.3 p53、PCNA、IgG产生细胞的表达与浸润深度及淋巴结转移的关系
p53阳性而IgG阴性的23例中,浸及肌层以外者占82.61%(19/23),发生淋巴结转移的高达86.95%(20/23),而p53阴性IgG阳性的30例中,浸及肌层以外者仅占10%(3/30),发生淋巴结转移的只有13.33%(4/30);PCNA的表达与IgG表达的相关性及与浸润深度和淋巴结转移的关系同p53的表达(表3)。表3 p53、PCNA表达及IgG表达与浸润深度及
, http://www.100md.com
淋巴结转移的关系 指标
n
P值
P值
浸润深度
粘膜下层
33
4
, 百拇医药
27
<0.01
5
25
<0.01
肌层
47
19
3
20
4
淋巴结转移
阴性
, 百拇医药 37
3
26
2
26
<0.01
阳性
43
20
4
23
3
3 讨论
在机体抗肿瘤免疫方面,以往的研究多偏重于细胞免疫反应,但是,在癌组织中有相当数量的B淋巴细胞,它们大多数已转变为产生IgG的浆细胞[2],因此,癌组织局部体液免疫反应的增强,在食管癌免疫中起着同样重要的作用.
, 百拇医药
转化为产生IgG的B淋巴细胞体积较大,胞浆丰富,含有大量粗面内质网,分泌功能旺盛,多为幼浆细胞、过度型浆细胞和典型浆细胞,它们一般不与癌细胞直接接触,主要依靠其产生的抗肿瘤抗体参与体液免疫,达到抑制肿瘤生长的目的[3]。
本研究发现,随着食管上皮的癌变,IgG产生细胞有明显聚集现象,胞浆荧光特别明亮。并且IgG产生细胞与肿瘤浸润深度及淋巴结转移呈负相关,这些现象均提示:IgG产生细胞可使机体对肿瘤特异性抗原产生免疫反应,参与抗体依赖性细胞介导的细胞毒作用(antibody-dependent cell-mediated cytotoxicity,ADCC)[4],阻止肿瘤的浸润及淋巴结转移。有报道[4],IgG产生细胞的增加与特异性免疫反应有关。动物实验也证实食管癌细胞膜上有肿瘤特异性抗原[5],Moav[5]和Wesenberg[6]分别从小白鼠和人的癌组织中提取大量IgG,并证实对癌细胞有毒性作用,本实验结果均支持这些论点。
, http://www.100md.com
本研究中未发现IgA、IgM与食管癌分级、浸润深度、淋巴结转移之间的关系,其存在的意义有待探讨。
突变型p53、PCNA的存在是食管癌组织中公认的分子水平的改变,其改变的结果导致了转移率的升高及浸润深度的增加[7],从本组实验不难看出,p53、PCNA的表达与IgG产生细胞的表达呈负相关,即IgG在组织中的表达越高,p53、PCNA的表达率越低,反之亦然,并且IgG阳性而p53、PCNA阴性的病例,淋巴结转移及浸润的程度越低。因此,p53、PCNA的高表达与IgG产生细胞的低表达可提示肿瘤的恶性度高,淋巴结转移的可能性大,同时,IgG的产生似可抑制p53基因的突变和降低细胞增殖活性,从而达到抑制肿瘤细胞生长的特性。此种关系尚未见报道,其确切机制有待于进一步研究。
通讯作者:苏蔚:Tel:86-373-3029123
[参考文献]
, http://www.100md.com
[1] 许祖德,张月娥,张秀荣,等.肺癌切除标本中局部浸润的单核性细胞亚型分析[J].上海第一医学院学报,1985,2:6.
[2] Husby G,Hoagland PM, strickland RG,et al. Tissue T and B infiltration of primary and matastatic cancer [J]. J clin Invest, 1976,57:1471~1482.
[3] Loachim HL, et al.The immune response at The tumor site in lung carcinoma [J].Cancer, 1991,38(6):2296.
[4] Helemn C, et al.A student of The aetiology of gastritis following gastric surgery immunofluorescent study of The gastric mucosa [J].Clin Exp Immunol.1979,33:441.
, 百拇医药
[5] Moav N, Hilders Houbiers JGA, Ravenswaary HH, et al. Association between HLA-expression and infiltration of immune ceiis in cervical carcinoma[J].Lab Invest,1993,69:651.
[6] Wesenberg F, et al. Fragments and subclasses of IgG in eluation of human malignant tissues [J]. Acta Pathol Microbiol Scand. 1993,88:67.
[7] Sakurai K,Hata S,Amano S,et al. immunohistochemical study of p53,p27 and PCNA expression in esophageal cancer[J].Gan To Kagaku Ryoho,1998,25(9):1269~1272.
收稿日期:1999-04-12;修回日期:1999-06-08, 百拇医药