骨肉瘤细胞凋亡与p53和bcl-2表达的关系
作者:王东 陈俐 李增鹏 牟江洪 高奉浔
单位:王东(第三军医大学大坪医院野战外科研究所病理科,重庆 400042);陈俐(第三军医大学大坪医院野战外科研究所病理科,重庆 400042);李增鹏(第三军医大学大坪医院野战外科研究所病理科,重庆 400042);牟江洪(第三军医大学大坪医院野战外科研究所病理科,重庆 400042);高奉浔(第三军医大学大坪医院野战外科研究所病理科,重庆 400042);
关键词:骨肉瘤;细胞凋亡;p53;bcl-2
癌症000203
【摘 要】目的:探讨骨肉瘤细胞凋亡和p53,bcl-2表达及细胞增殖的相关性,及其对患者预后的影响。方法:在80例骨肉瘤标本中,用DNA末端标记方法检测细胞凋亡,免疫组化方法检测p53、bcl-2和增殖细胞核抗原(proliferating cell nuclear antigen,PCNA)的表达。结果:80例骨肉瘤中凋亡指数(apoptosis index,AI)范围为0.63%~18.8%,p53和bcl-2蛋白检出率分别为37.5%和60%,PCNA指数范围为12%~96%。统计学分析表明,细胞凋亡与p53、PCNA表达呈正相关,与bcl-2表达呈负相关;p53和bcl-2表达无相关性。结论:p53和bcl-2在调节骨肉瘤细胞凋亡中可能发挥重要作用;细胞凋亡、p53、bcl-2和PCNA均为影响患者预后的重要因素。
, http://www.100md.com
中图分类号:R738.1;R730.23 文献标识码:A
文章编号:1000-467X(2000)02-0108-04
Apoptosis in osteosarcoma: relationship with p53 and bcl-2 expression
WANG Dong CHEN Li LI Zeng-peng et al.
(Department of pathology, Daping Hospital and The Research Institute of Surgery,Third Military Medical University, Chongqing 400042,P.R.China)
【Abstract】 Objective: To investigate whether apoptosis is related to the expression of p53 and bcl-2,the degree of proliferation, and their prognostic significance in osteosarcomas. Methods: Apoptotic cells was detected by using DNA nick end labeling method and the expression of p53, bcl-2 and proliferating cell nuclear antigen (PCNA) by immunohistochemical staining in 80 osteosarcoma cases. Results: The apoptosis index (AI) ranged from 0.63% to 18.8% in 80 cases. The detecting rates of p53 and bcl-2 oncoprotein were 37.5% and 60% ,respectively. The PCNA index ranged from 12% to 96% . Regression analysis demonstrated a positive correlation between apoptosis and p53 expression or PCNA index (P<0.05), and a negative correlation between apoptosis and bcl-2 expression (P< 0.05), whereas no relationship was found between p53 and bcl-2 expression. Conclusions: These data suggest that p53 and bcl-2 may play an important role in regulating apoptosis. All of apoptosis, p53, bcl-2 and PCNA may be important factors affecting the prognosis of patients with osteosarcoma.
, 百拇医药
Key words: Osteosarcoma; Apoptosis; p53; bcl-2.
骨肉瘤和其它恶性肿瘤一样,其生长率是由肿瘤细胞的增生和丢失之间的平衡决定的;而生长率又是影响肿瘤侵袭行为的重要因素。细胞凋亡是一种主动的细胞死亡过程,是决定肿瘤净生长的主要因素。p53蛋白具调节细胞生长和抑制细胞转化的作用,和细胞凋亡也有密切关系[1]。bcl-2的主要功能是抑制细胞凋亡和延长细胞的存活[2]。增殖细胞核抗原(proliferating cell nuclear antigen,PCNA)是细胞周期G1/S期的内在组织学标志物,直接影响着骨肉瘤病人预后[3]。本文目的在于探讨骨肉瘤细胞凋亡和p53基因、bcl-2基因表达和细胞增殖的关系,并进一步探讨它们对患者预后的影响。
1 材料和方法
1.1 临床资料
, http://www.100md.com
80例长骨髓内型骨肉瘤系我院1968~1993年间病例,其中男性52例,女性28例,男女之比为1.8∶1。年龄11~68岁,平均23岁。依照1993年WHO骨肉瘤组织学分类[4]结果,普通中心性59例,血管扩张性4例,骨内高分化性14例,圆形细胞性3例。80例骨肉瘤中手术切除标本75例,活检标本5例。截肢加化疗35例(43.8%),单纯截肢24例(30%),瘤段切除灭活再植或断端融合17例,活检未治4例。全部病例术前均未接受化疗,随访3~20年,总体2年存活率为33.8%,5年存活率为18.3%。
1.2 免疫组化染色
肿瘤标本10%福尔马林固定,石蜡包埋,5μm连续切片。所用p53单克隆抗体DO1(1∶20),bcl2单克隆抗体(1∶20)均系SantaCruz产品(购自北京中山生物技术公司)。PCNA单克隆抗体PCIO由英国Dundee大学Dr.Lane馈赠(1∶100)。SP试剂盒购自Dako公司(Denmark)。染色方法参照试剂盒说明进行。以PBS代替一抗作为阴性对照。
, 百拇医药
1.3 TUNEL方法检测细胞凋亡
TUNEL(terminal deaxynucleotidyl transferase-mediated deoxyuridine triphosphate-biotin nick end-labeling)检测试剂盒购自德国宝灵曼公司,具体方法参照试剂盒说明并略加修正。主要步骤如下:(1)石蜡切片脱蜡至水;(2)0.3%H2O2甲醇,37℃,10分钟;(3)蛋白酶K(5μg/ml),37℃,15分钟;(4)PBS洗涤,脱水,空气干燥5分钟;(5)加标记溶液(含DNA聚合酶IKlenow片段),37℃,60分钟;(6)PBS洗涤,加1%牛血清白蛋白孵育,微波炉100W,5分钟;(7)过氧化物(POD)标记抗荧光素抗体,微波炉100W,5分钟;(8)DAB显色。
1.4 结果判定及统计学分析
选择切片具有代表性的视野,除去出血坏死区域,至少观察2000个肿瘤细胞,分别计数凋亡细胞和PCNA阳性细胞,最后求得凋亡指数(apoptosis index,AI)和增殖指数(proliferating index,PI)。AI和PI应用简单线性相关检验。应用COX比例风险模型检验多种因素与预后的关系。统计学处理应用SAS软件包进行(重庆医科大学卫生统计学教研室)。
, http://www.100md.com
2 结果
2.1 凋亡细胞的检测
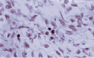
应用TUNEL方法在石蜡切片中可清楚地显示凋亡细胞,后者表现为胞核深褐色全着色,胞浆一般不着色,或淡着色(图1)。结合凋亡细胞的形态特征很容易将其与坏死细胞区别。坏死细胞呈片状分布,并伴有炎症反应,而且TUNEL显示其胞核和胞浆全部着色。80例骨肉瘤AI值范围为0.63%~18.8%,平均值为7.65%,中位数值为7.21%。
图1 TUNEL检测骨肉瘤细胞凋亡,示凋亡细胞核深褐色全着色 TUNEL×200
2.2 p53蛋白的检测
在80例骨肉瘤中,30例p53蛋白阳性表达(37.5%),阳性反应产物呈棕褐色颗粒状,主要定位于细胞核,部分可见于胞浆。p53蛋白阳性细胞多呈弥漫分布(图2),部分可见散在或灶性分布。
, 百拇医药
图2 骨肉瘤p53蛋白染色阳性,示阳性细胞呈弥漫分布 SP×200
2.3 bcl-2蛋白的检测
80例骨肉瘤中,48例bcl-2蛋白阳性(60%)。阳性产物主要定位于细胞浆。bcl-2阳性反应强度、阳性细胞数量及阳性细胞分布状态,本组病例中bcl-2阳性细胞的分布表达为三种形式:弥漫型,很多阳性细胞分布于切片内(图3);局灶型,bcl-2阳性细胞成簇分布于切片的某一处;散在型,bcl-2阳性细胞个别散在分布于切片中。
图3 骨肉瘤bcl-2染色,示阳性产物定位于肿瘤细胞浆 SP×200
2.4 PCNA标记指数
PCNA的表达呈颗粒状阳性,定位于细胞核(图4)。骨肉瘤中骨母细胞、纤维母细胞、软骨母细胞、小圆型细胞和多核瘤巨细胞对PCNA均呈阳性反应。随着骨肉瘤分化程度的不同,PCNA阳性表达亦呈显著异质性。80例骨肉瘤AI值范围为12%~96%,平均值为63%,中位数值为58%。
, 百拇医药
图4 骨肉瘤PCNA染色,示阳性产物定位于肿瘤细胞核 SP×200
2.5 细胞凋亡和相关蛋白表达与骨肉瘤预后
以AI中位数7.21将80例骨肉瘤分为两组,AI>7.21的骨肉瘤比AI≤7.21的骨肉瘤存活期较短(P<0.05)。p53蛋白阳性组比p53蛋白阴性组存活期较短(P<0.01),bcl2阳性组比阴性组存活期较短(P<0.05)。应用COX比例风险模型分析表明AI、p53、bcl-2和PCNA指数均为影响病人预后的重要因素,依相对危险度进行比较,上述四种因素对预后的反映程度依次为PCNA>p53>AI>bcl-2(见表1)。
表1 COX比例风险模型多因素分析结果 变量
自由度
参数值
, 百拇医药
标准误
WALD卡方
P值
相对危险度
PCNA
1
0.74
0.31
9.62
<0.001
1.93
p53
1
, 百拇医药
0.54
0.28
7.41
<0.05
1.66
AI
1
0.37
0.42
3.49
<0.05
1.48
bcl-2
, 百拇医药
1
0.51
0.38
3.574
<0.05
1.02
3 讨论
肿瘤抑制基因p53和肿瘤基因bcl-2产物与细胞凋亡之间的关系已有报道[5],但在骨肉瘤中的研究却未见报道。正常p53基因为细胞周期G1期DNA损伤的检查点,具有阻断细胞增生和引起细胞凋亡的作用。80例骨肉瘤中,30例p53蛋白阳性(37.5%)。p53蛋白阳性组AI为11.3%,显著高于p53蛋白阴性组AI5.4%(P<0.05)。这与甲状腺间变性癌和岛状癌的结果是一致的[6],提示p53蛋白在骨肉瘤细胞凋亡中具有重要作用。
, http://www.100md.com
在正常及病理情况下,bcl-2具有抑制细胞凋亡和延长细胞存活的功能[2]。bcl-2蛋白是一种膜结合蛋白,存在于细胞的线粒体、核膜和内质网膜上。在本研究中,bcl-2检出率为60%,阳性产物见于胞浆,大多数病例阳性细胞呈弥漫分布。bcl-2蛋白阳性组AI值为6.4%,阴性组AI值为9.7%,统计学检验两者具有显著性差异(P<0.05),提示bcl-2和细胞凋亡负相关。
有学者认为野生型p53蛋白具有介导细胞凋亡的能力,而bcl-2能抑制p53介导细胞凋亡[7]。近来又发现突变型p53抑制细胞凋亡,是由于其在mRNA及蛋白水平下调bcl-2表达,从而成为bcl-2的调控因子[8]。关于两者之间的关系报道并不一致。在膀胱肿瘤中p53和bcl-2可同时高水平表达[9],在结直肠癌中bcl-2和p53表达没有相关性[10]。本组中30例p53阳性骨肉瘤中,11例bcl-2阳性(40%);50例p53阴性骨肉瘤中,37例bcl-2阳性(74%),统计学检验两者无显著性差异(P>0.05)。
, 百拇医药
PCNA是DNA聚合酶δ的一种辅助蛋白,是反映肿瘤细胞群体增殖的内在组织学标记[11]。许多研究均表明细胞增殖和细胞凋亡是相互伴随的,高增殖同时伴有凋亡指数增高。本组骨肉瘤PCNA标记指数在12%~96%范围(中位数值为58%)。应用简单直线相关分析,标记指数和AI呈显著相关(r=0.80,P<0.01)。
肿瘤的净增殖率是影响肿瘤侵袭行为和病人预后的关键因素。肿瘤细胞凋亡和增殖是一对矛盾的统一体,包括p53和bcl-2的多种基因对两者均起作用;继续深入的研究,对于认知肿瘤的发生有重要意义。COX比例风险模型分析结果表明细胞凋亡、p53、bcl-2和PCNA表达均是影响骨肉瘤的重要因素,依相对危险度大小,上述四种因素对预后的反映程度依次为:PCNA>p53>AI>bcl-2。
通讯作者:王东:Tel:86-23-68757384
Fax:86-23-68757384
, 百拇医药
E-mail:Dongwang@Holmail.com
[参考文献]
[1] Marin MC, Hsu B, Meyn RE, et al. Evidence that p53 and bcl-2 are regulators of a common cell death pathway important for in vivo lymphomagenesis [J]. Oncogene, 1994,9:3107~3112.
[2] Korsmeyer SJ. bcl-2 initiates a new category of oncogenes: regulators of cell death [J].Blood, 1992,80:879~886.
[3] 王东, 高奉浔, 陈俐,等. 骨肉瘤增殖细胞核抗原免疫组化与预后[J].中华病理学杂志,1995,1:55.
, 百拇医药
[4] Sahajowicz F , Sissons HA , Sobin H . The World Health Organization's histologic classification of bone tumor.A commentary on the second edition [J].Cancer, 1995,75(5):1208~1213.
[5] Shaw P, Bovey R, Tardy S, et al. Induction of apoptosis by wild-type p53 in a human colon tumor-derived cell line [J]. Proc Natl Acad Sci USA, 1992;89:4495~4499.
[6] Moore D,Ohene-Fianko D, Garcia B, et al. Apoptosis in thyroid neoplasms :relationship with p53 and bcl-2 expresion [J]. Histopathology, 1998,32(1):35~42.
, 百拇医药
[7] Wang Y, Szekely L, Okan I, et al. Wild-type p53-triggered apoptosis is inhibited by bcl-2 in a v-myc-induced T-cell lymphoma line [J]. Oncogene, 1993,8:3427~3431.
[8] Haldar S,Negrini M,Monne M,et al. Down-regulation of bcl-2 by p53 in breast cancer cells [J].Cancer Res,1994,54:2095~2097.
[9] Lu QL, Abel P, Foster CS, et al. bcl-2: role in epithelial differentiation and oncogenesis [J]. Hum pathol, 1996,27(2):102~110.
, 百拇医药
[10]Mosnier JF,Perret AG,Vindimian M,et al.An immunohistochemical study of the simultaneous expression of bcl-2 and p53 oncoproteins in epithelial tumors of the colon and rectum [J].Arch Pathol Lab Med, 1996,120:654~659.
[11] Wang D, Shi JQ, Liu FX. Immunohistochemical detection of proliferating cell nuclear antigen in hepatocellular carcinoma [J]. China Natl J New Gastroenterol, 1997,3(2):101~103.
收稿日期:1999-07-16, 百拇医药
单位:王东(第三军医大学大坪医院野战外科研究所病理科,重庆 400042);陈俐(第三军医大学大坪医院野战外科研究所病理科,重庆 400042);李增鹏(第三军医大学大坪医院野战外科研究所病理科,重庆 400042);牟江洪(第三军医大学大坪医院野战外科研究所病理科,重庆 400042);高奉浔(第三军医大学大坪医院野战外科研究所病理科,重庆 400042);
关键词:骨肉瘤;细胞凋亡;p53;bcl-2
癌症000203
【摘 要】目的:探讨骨肉瘤细胞凋亡和p53,bcl-2表达及细胞增殖的相关性,及其对患者预后的影响。方法:在80例骨肉瘤标本中,用DNA末端标记方法检测细胞凋亡,免疫组化方法检测p53、bcl-2和增殖细胞核抗原(proliferating cell nuclear antigen,PCNA)的表达。结果:80例骨肉瘤中凋亡指数(apoptosis index,AI)范围为0.63%~18.8%,p53和bcl-2蛋白检出率分别为37.5%和60%,PCNA指数范围为12%~96%。统计学分析表明,细胞凋亡与p53、PCNA表达呈正相关,与bcl-2表达呈负相关;p53和bcl-2表达无相关性。结论:p53和bcl-2在调节骨肉瘤细胞凋亡中可能发挥重要作用;细胞凋亡、p53、bcl-2和PCNA均为影响患者预后的重要因素。
, http://www.100md.com
中图分类号:R738.1;R730.23 文献标识码:A
文章编号:1000-467X(2000)02-0108-04
Apoptosis in osteosarcoma: relationship with p53 and bcl-2 expression
WANG Dong CHEN Li LI Zeng-peng et al.
(Department of pathology, Daping Hospital and The Research Institute of Surgery,Third Military Medical University, Chongqing 400042,P.R.China)
【Abstract】 Objective: To investigate whether apoptosis is related to the expression of p53 and bcl-2,the degree of proliferation, and their prognostic significance in osteosarcomas. Methods: Apoptotic cells was detected by using DNA nick end labeling method and the expression of p53, bcl-2 and proliferating cell nuclear antigen (PCNA) by immunohistochemical staining in 80 osteosarcoma cases. Results: The apoptosis index (AI) ranged from 0.63% to 18.8% in 80 cases. The detecting rates of p53 and bcl-2 oncoprotein were 37.5% and 60% ,respectively. The PCNA index ranged from 12% to 96% . Regression analysis demonstrated a positive correlation between apoptosis and p53 expression or PCNA index (P<0.05), and a negative correlation between apoptosis and bcl-2 expression (P< 0.05), whereas no relationship was found between p53 and bcl-2 expression. Conclusions: These data suggest that p53 and bcl-2 may play an important role in regulating apoptosis. All of apoptosis, p53, bcl-2 and PCNA may be important factors affecting the prognosis of patients with osteosarcoma.
, 百拇医药
Key words: Osteosarcoma; Apoptosis; p53; bcl-2.
骨肉瘤和其它恶性肿瘤一样,其生长率是由肿瘤细胞的增生和丢失之间的平衡决定的;而生长率又是影响肿瘤侵袭行为的重要因素。细胞凋亡是一种主动的细胞死亡过程,是决定肿瘤净生长的主要因素。p53蛋白具调节细胞生长和抑制细胞转化的作用,和细胞凋亡也有密切关系[1]。bcl-2的主要功能是抑制细胞凋亡和延长细胞的存活[2]。增殖细胞核抗原(proliferating cell nuclear antigen,PCNA)是细胞周期G1/S期的内在组织学标志物,直接影响着骨肉瘤病人预后[3]。本文目的在于探讨骨肉瘤细胞凋亡和p53基因、bcl-2基因表达和细胞增殖的关系,并进一步探讨它们对患者预后的影响。
1 材料和方法
1.1 临床资料
, http://www.100md.com
80例长骨髓内型骨肉瘤系我院1968~1993年间病例,其中男性52例,女性28例,男女之比为1.8∶1。年龄11~68岁,平均23岁。依照1993年WHO骨肉瘤组织学分类[4]结果,普通中心性59例,血管扩张性4例,骨内高分化性14例,圆形细胞性3例。80例骨肉瘤中手术切除标本75例,活检标本5例。截肢加化疗35例(43.8%),单纯截肢24例(30%),瘤段切除灭活再植或断端融合17例,活检未治4例。全部病例术前均未接受化疗,随访3~20年,总体2年存活率为33.8%,5年存活率为18.3%。
1.2 免疫组化染色
肿瘤标本10%福尔马林固定,石蜡包埋,5μm连续切片。所用p53单克隆抗体DO1(1∶20),bcl2单克隆抗体(1∶20)均系SantaCruz产品(购自北京中山生物技术公司)。PCNA单克隆抗体PCIO由英国Dundee大学Dr.Lane馈赠(1∶100)。SP试剂盒购自Dako公司(Denmark)。染色方法参照试剂盒说明进行。以PBS代替一抗作为阴性对照。
, 百拇医药
1.3 TUNEL方法检测细胞凋亡
TUNEL(terminal deaxynucleotidyl transferase-mediated deoxyuridine triphosphate-biotin nick end-labeling)检测试剂盒购自德国宝灵曼公司,具体方法参照试剂盒说明并略加修正。主要步骤如下:(1)石蜡切片脱蜡至水;(2)0.3%H2O2甲醇,37℃,10分钟;(3)蛋白酶K(5μg/ml),37℃,15分钟;(4)PBS洗涤,脱水,空气干燥5分钟;(5)加标记溶液(含DNA聚合酶IKlenow片段),37℃,60分钟;(6)PBS洗涤,加1%牛血清白蛋白孵育,微波炉100W,5分钟;(7)过氧化物(POD)标记抗荧光素抗体,微波炉100W,5分钟;(8)DAB显色。
1.4 结果判定及统计学分析
选择切片具有代表性的视野,除去出血坏死区域,至少观察2000个肿瘤细胞,分别计数凋亡细胞和PCNA阳性细胞,最后求得凋亡指数(apoptosis index,AI)和增殖指数(proliferating index,PI)。AI和PI应用简单线性相关检验。应用COX比例风险模型检验多种因素与预后的关系。统计学处理应用SAS软件包进行(重庆医科大学卫生统计学教研室)。
, http://www.100md.com
2 结果
2.1 凋亡细胞的检测
应用TUNEL方法在石蜡切片中可清楚地显示凋亡细胞,后者表现为胞核深褐色全着色,胞浆一般不着色,或淡着色(图1)。结合凋亡细胞的形态特征很容易将其与坏死细胞区别。坏死细胞呈片状分布,并伴有炎症反应,而且TUNEL显示其胞核和胞浆全部着色。80例骨肉瘤AI值范围为0.63%~18.8%,平均值为7.65%,中位数值为7.21%。
图1 TUNEL检测骨肉瘤细胞凋亡,示凋亡细胞核深褐色全着色 TUNEL×200
2.2 p53蛋白的检测
在80例骨肉瘤中,30例p53蛋白阳性表达(37.5%),阳性反应产物呈棕褐色颗粒状,主要定位于细胞核,部分可见于胞浆。p53蛋白阳性细胞多呈弥漫分布(图2),部分可见散在或灶性分布。
, 百拇医药
图2 骨肉瘤p53蛋白染色阳性,示阳性细胞呈弥漫分布 SP×200
2.3 bcl-2蛋白的检测
80例骨肉瘤中,48例bcl-2蛋白阳性(60%)。阳性产物主要定位于细胞浆。bcl-2阳性反应强度、阳性细胞数量及阳性细胞分布状态,本组病例中bcl-2阳性细胞的分布表达为三种形式:弥漫型,很多阳性细胞分布于切片内(图3);局灶型,bcl-2阳性细胞成簇分布于切片的某一处;散在型,bcl-2阳性细胞个别散在分布于切片中。
图3 骨肉瘤bcl-2染色,示阳性产物定位于肿瘤细胞浆 SP×200
2.4 PCNA标记指数
PCNA的表达呈颗粒状阳性,定位于细胞核(图4)。骨肉瘤中骨母细胞、纤维母细胞、软骨母细胞、小圆型细胞和多核瘤巨细胞对PCNA均呈阳性反应。随着骨肉瘤分化程度的不同,PCNA阳性表达亦呈显著异质性。80例骨肉瘤AI值范围为12%~96%,平均值为63%,中位数值为58%。
, 百拇医药
图4 骨肉瘤PCNA染色,示阳性产物定位于肿瘤细胞核 SP×200
2.5 细胞凋亡和相关蛋白表达与骨肉瘤预后
以AI中位数7.21将80例骨肉瘤分为两组,AI>7.21的骨肉瘤比AI≤7.21的骨肉瘤存活期较短(P<0.05)。p53蛋白阳性组比p53蛋白阴性组存活期较短(P<0.01),bcl2阳性组比阴性组存活期较短(P<0.05)。应用COX比例风险模型分析表明AI、p53、bcl-2和PCNA指数均为影响病人预后的重要因素,依相对危险度进行比较,上述四种因素对预后的反映程度依次为PCNA>p53>AI>bcl-2(见表1)。
表1 COX比例风险模型多因素分析结果 变量
自由度
参数值
, 百拇医药
标准误
WALD卡方
P值
相对危险度
PCNA
1
0.74
0.31
9.62
<0.001
1.93
p53
1
, 百拇医药
0.54
0.28
7.41
<0.05
1.66
AI
1
0.37
0.42
3.49
<0.05
1.48
bcl-2
, 百拇医药
1
0.51
0.38
3.574
<0.05
1.02
3 讨论
肿瘤抑制基因p53和肿瘤基因bcl-2产物与细胞凋亡之间的关系已有报道[5],但在骨肉瘤中的研究却未见报道。正常p53基因为细胞周期G1期DNA损伤的检查点,具有阻断细胞增生和引起细胞凋亡的作用。80例骨肉瘤中,30例p53蛋白阳性(37.5%)。p53蛋白阳性组AI为11.3%,显著高于p53蛋白阴性组AI5.4%(P<0.05)。这与甲状腺间变性癌和岛状癌的结果是一致的[6],提示p53蛋白在骨肉瘤细胞凋亡中具有重要作用。
, http://www.100md.com
在正常及病理情况下,bcl-2具有抑制细胞凋亡和延长细胞存活的功能[2]。bcl-2蛋白是一种膜结合蛋白,存在于细胞的线粒体、核膜和内质网膜上。在本研究中,bcl-2检出率为60%,阳性产物见于胞浆,大多数病例阳性细胞呈弥漫分布。bcl-2蛋白阳性组AI值为6.4%,阴性组AI值为9.7%,统计学检验两者具有显著性差异(P<0.05),提示bcl-2和细胞凋亡负相关。
有学者认为野生型p53蛋白具有介导细胞凋亡的能力,而bcl-2能抑制p53介导细胞凋亡[7]。近来又发现突变型p53抑制细胞凋亡,是由于其在mRNA及蛋白水平下调bcl-2表达,从而成为bcl-2的调控因子[8]。关于两者之间的关系报道并不一致。在膀胱肿瘤中p53和bcl-2可同时高水平表达[9],在结直肠癌中bcl-2和p53表达没有相关性[10]。本组中30例p53阳性骨肉瘤中,11例bcl-2阳性(40%);50例p53阴性骨肉瘤中,37例bcl-2阳性(74%),统计学检验两者无显著性差异(P>0.05)。
, 百拇医药
PCNA是DNA聚合酶δ的一种辅助蛋白,是反映肿瘤细胞群体增殖的内在组织学标记[11]。许多研究均表明细胞增殖和细胞凋亡是相互伴随的,高增殖同时伴有凋亡指数增高。本组骨肉瘤PCNA标记指数在12%~96%范围(中位数值为58%)。应用简单直线相关分析,标记指数和AI呈显著相关(r=0.80,P<0.01)。
肿瘤的净增殖率是影响肿瘤侵袭行为和病人预后的关键因素。肿瘤细胞凋亡和增殖是一对矛盾的统一体,包括p53和bcl-2的多种基因对两者均起作用;继续深入的研究,对于认知肿瘤的发生有重要意义。COX比例风险模型分析结果表明细胞凋亡、p53、bcl-2和PCNA表达均是影响骨肉瘤的重要因素,依相对危险度大小,上述四种因素对预后的反映程度依次为:PCNA>p53>AI>bcl-2。
通讯作者:王东:Tel:86-23-68757384
Fax:86-23-68757384
, 百拇医药
E-mail:Dongwang@Holmail.com
[参考文献]
[1] Marin MC, Hsu B, Meyn RE, et al. Evidence that p53 and bcl-2 are regulators of a common cell death pathway important for in vivo lymphomagenesis [J]. Oncogene, 1994,9:3107~3112.
[2] Korsmeyer SJ. bcl-2 initiates a new category of oncogenes: regulators of cell death [J].Blood, 1992,80:879~886.
[3] 王东, 高奉浔, 陈俐,等. 骨肉瘤增殖细胞核抗原免疫组化与预后[J].中华病理学杂志,1995,1:55.
, 百拇医药
[4] Sahajowicz F , Sissons HA , Sobin H . The World Health Organization's histologic classification of bone tumor.A commentary on the second edition [J].Cancer, 1995,75(5):1208~1213.
[5] Shaw P, Bovey R, Tardy S, et al. Induction of apoptosis by wild-type p53 in a human colon tumor-derived cell line [J]. Proc Natl Acad Sci USA, 1992;89:4495~4499.
[6] Moore D,Ohene-Fianko D, Garcia B, et al. Apoptosis in thyroid neoplasms :relationship with p53 and bcl-2 expresion [J]. Histopathology, 1998,32(1):35~42.
, 百拇医药
[7] Wang Y, Szekely L, Okan I, et al. Wild-type p53-triggered apoptosis is inhibited by bcl-2 in a v-myc-induced T-cell lymphoma line [J]. Oncogene, 1993,8:3427~3431.
[8] Haldar S,Negrini M,Monne M,et al. Down-regulation of bcl-2 by p53 in breast cancer cells [J].Cancer Res,1994,54:2095~2097.
[9] Lu QL, Abel P, Foster CS, et al. bcl-2: role in epithelial differentiation and oncogenesis [J]. Hum pathol, 1996,27(2):102~110.
, 百拇医药
[10]Mosnier JF,Perret AG,Vindimian M,et al.An immunohistochemical study of the simultaneous expression of bcl-2 and p53 oncoproteins in epithelial tumors of the colon and rectum [J].Arch Pathol Lab Med, 1996,120:654~659.
[11] Wang D, Shi JQ, Liu FX. Immunohistochemical detection of proliferating cell nuclear antigen in hepatocellular carcinoma [J]. China Natl J New Gastroenterol, 1997,3(2):101~103.
收稿日期:1999-07-16, 百拇医药