先天性肘髌骨折一例报告
作者:赵刘军 刘文虎 冯建翔 张经纬 李先玉
单位:赵刘军 刘文虎 冯建翔 张经纬(315040 浙江宁波百丈骨伤医院骨科);李先玉(315040 浙江宁波百丈骨伤医院放射科)
关键词:
中华骨科杂志000218
患者 女,59岁。因摔伤致左肘部肿痛活动受限1天入院。左肘部着地摔伤即出现肿胀、疼
痛,伸屈活动受限。查体:神志清,智力正常,双侧蓝巩,视力正常。左肘部肿胀青紫,尺骨鹰
嘴短小,无压痛,其近端约1.0cm处(伸直位)可触及一约2.0cm×1.5cm×1.0cm的椭圆形骨块,有
骨摩擦感,可触及骨折裂隙,压痛明显。左肘伸直受限,屈曲时疼痛加剧。摄X线片示“左肘肘髌
, 百拇医药
形成伴粉碎性骨折”(图1)。为证实诊断的正确性,我们对患者的右肘进行了检查:右肘尺骨鹰
嘴亦短小,其近端伸直位1.0cm,屈曲位2.0cm处可触及一约2.0cm×1.5cm×1.0cm的椭圆形骨块,伸
直位时此骨块有一定的活动度,右肘活动范围0°~120°,骨块可随肘关节的活动而上下移动,右肘
无压痛点。摄X线片示“右肘肘髌形成”(图3),患者的母亲与其本人体形相似,有双侧肘关节
畸形,已去世。患者育有一男三女,其中两个女儿与其体形相似,亦有肘关节异常,双侧蓝巩,无视力障碍。对其中一个女儿摄X线片,证实右侧肘髌形成(图4)
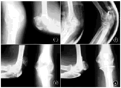
图1 左侧肘髌形成伴粉碎性骨折 图2 左侧肘髌骨折内固定术后当天摄X线片
, http://www.100md.com
图3 右侧肘髌形成,尺骨鹰嘴骨不连续 图4 患者女儿右肘X线片所示:肘髌形成。
治疗
手术取肘后正中切口,先游离出尺神经再行探查,见肱三头肌腱于肘髌处变得肥厚,并于肘
髌两侧形成扩张部。肘髌粉碎性骨折,但可见大部光滑的关节面,其掌面与肱骨滑车关节面连
结,远端与尺骨鹰嘴连结,尺骨鹰嘴近端形成凹形关节面,肘髌包容于肘关节囊中。X线片中所示
“骨折的肘髌”远侧骨块为一光滑籽骨,与肘髌没有直接联系。伸屈活动时肘髌可沿肱骨髁间凹
上下运动。由于肘髌系粉碎性骨折,我们采用了荷包环扎内固定石膏托外固定(图2)。
讨论
, http://www.100md.com
肘髌骨为肘部先天性畸形中少见病例。其作为一较大的种籽骨,存在于肘部背侧,因与膝部
髌骨相似,故而得名。肘髌骨位于鹰嘴之上方,边缘光滑。此骨块可以活动,但它向远侧移动的范
围不能超过肘关节[1]。
患者有明确的家族史,双侧发病,术中探查未见陈旧性骨折迹象,而是包容于肘关节囊中,并与肱骨髁及尺骨形成光滑关节面,肱三头肌腱类似于股四头肌腱在肘髌两侧形成扩张部,我们
认为此例患者肘髌骨确系肘部先天性畸形。
李德民等[2]认为肘髌系尺骨骨骺分离未能愈合,在肱三头肌的牵拉下分离加大成为游离骨块
而形成的。此例患者左肘“骨折的肘髌”前下方有一光滑小骨块,术中证实其为一小籽骨。
, 百拇医药
尺骨鹰嘴在发育过程中有两个骨骺,先出现的骨化中心偏后,后出现的骨化中心在尺骨鹰嘴
的前半部。骨发育成熟后,两个骨化中心融合在一起。骺线闭合时,前部的骺线先闭合,后部闭
合迟。通常后方骨化中心在前方骨化中心未出现时有一发育长大过程[3]。我们认为患者左侧肘关
节就是前方骨骺与干骺端不融合。
此外,在骨骺发育过程中,摔伤后导致骨骺分离亦可能造成与上述症状相似的肘髌骨。但这
种肘髌骨往往无遗传性,单侧发病。肘髌骨折时可采取类似髌骨骨折的治疗。
参考文献
1.李景学,孙鼎元,主编.骨关节X线诊断学.第1版.北京:人民卫生出版社,1998.78.
2.李德民,刘士懂,谢新敏.肘髌并骨折一例报告.中华骨科杂志.1998,18:710.
3.王云钊,李果珍,主编.骨关节创伤X线诊断学.第1版.北京:北京医科大学中国协和医科大学
联合出版社,1994.170-200.
收稿日期:1999-05-24, http://www.100md.com
单位:赵刘军 刘文虎 冯建翔 张经纬(315040 浙江宁波百丈骨伤医院骨科);李先玉(315040 浙江宁波百丈骨伤医院放射科)
关键词:
中华骨科杂志000218
患者 女,59岁。因摔伤致左肘部肿痛活动受限1天入院。左肘部着地摔伤即出现肿胀、疼
痛,伸屈活动受限。查体:神志清,智力正常,双侧蓝巩,视力正常。左肘部肿胀青紫,尺骨鹰
嘴短小,无压痛,其近端约1.0cm处(伸直位)可触及一约2.0cm×1.5cm×1.0cm的椭圆形骨块,有
骨摩擦感,可触及骨折裂隙,压痛明显。左肘伸直受限,屈曲时疼痛加剧。摄X线片示“左肘肘髌
, 百拇医药
形成伴粉碎性骨折”(图1)。为证实诊断的正确性,我们对患者的右肘进行了检查:右肘尺骨鹰
嘴亦短小,其近端伸直位1.0cm,屈曲位2.0cm处可触及一约2.0cm×1.5cm×1.0cm的椭圆形骨块,伸
直位时此骨块有一定的活动度,右肘活动范围0°~120°,骨块可随肘关节的活动而上下移动,右肘
无压痛点。摄X线片示“右肘肘髌形成”(图3),患者的母亲与其本人体形相似,有双侧肘关节
畸形,已去世。患者育有一男三女,其中两个女儿与其体形相似,亦有肘关节异常,双侧蓝巩,无视力障碍。对其中一个女儿摄X线片,证实右侧肘髌形成(图4)
图1 左侧肘髌形成伴粉碎性骨折 图2 左侧肘髌骨折内固定术后当天摄X线片
, http://www.100md.com
图3 右侧肘髌形成,尺骨鹰嘴骨不连续 图4 患者女儿右肘X线片所示:肘髌形成。
治疗
手术取肘后正中切口,先游离出尺神经再行探查,见肱三头肌腱于肘髌处变得肥厚,并于肘
髌两侧形成扩张部。肘髌粉碎性骨折,但可见大部光滑的关节面,其掌面与肱骨滑车关节面连
结,远端与尺骨鹰嘴连结,尺骨鹰嘴近端形成凹形关节面,肘髌包容于肘关节囊中。X线片中所示
“骨折的肘髌”远侧骨块为一光滑籽骨,与肘髌没有直接联系。伸屈活动时肘髌可沿肱骨髁间凹
上下运动。由于肘髌系粉碎性骨折,我们采用了荷包环扎内固定石膏托外固定(图2)。
讨论
, http://www.100md.com
肘髌骨为肘部先天性畸形中少见病例。其作为一较大的种籽骨,存在于肘部背侧,因与膝部
髌骨相似,故而得名。肘髌骨位于鹰嘴之上方,边缘光滑。此骨块可以活动,但它向远侧移动的范
围不能超过肘关节[1]。
患者有明确的家族史,双侧发病,术中探查未见陈旧性骨折迹象,而是包容于肘关节囊中,并与肱骨髁及尺骨形成光滑关节面,肱三头肌腱类似于股四头肌腱在肘髌两侧形成扩张部,我们
认为此例患者肘髌骨确系肘部先天性畸形。
李德民等[2]认为肘髌系尺骨骨骺分离未能愈合,在肱三头肌的牵拉下分离加大成为游离骨块
而形成的。此例患者左肘“骨折的肘髌”前下方有一光滑小骨块,术中证实其为一小籽骨。
, 百拇医药
尺骨鹰嘴在发育过程中有两个骨骺,先出现的骨化中心偏后,后出现的骨化中心在尺骨鹰嘴
的前半部。骨发育成熟后,两个骨化中心融合在一起。骺线闭合时,前部的骺线先闭合,后部闭
合迟。通常后方骨化中心在前方骨化中心未出现时有一发育长大过程[3]。我们认为患者左侧肘关
节就是前方骨骺与干骺端不融合。
此外,在骨骺发育过程中,摔伤后导致骨骺分离亦可能造成与上述症状相似的肘髌骨。但这
种肘髌骨往往无遗传性,单侧发病。肘髌骨折时可采取类似髌骨骨折的治疗。
参考文献
1.李景学,孙鼎元,主编.骨关节X线诊断学.第1版.北京:人民卫生出版社,1998.78.
2.李德民,刘士懂,谢新敏.肘髌并骨折一例报告.中华骨科杂志.1998,18:710.
3.王云钊,李果珍,主编.骨关节创伤X线诊断学.第1版.北京:北京医科大学中国协和医科大学
联合出版社,1994.170-200.
收稿日期:1999-05-24, http://www.100md.com