胎盘提取液影响脂蛋白-胆固醇代谢的实验研究
作者:崔文姬 杨景文 吕忠智
单位:崔文姬(天津市第一中心医院,天津 300192);杨景文(白求恩医科大学第一临床学院心内科);吕忠智(白求恩医科大学基础药理研究室)
关键词:人胎盘提取液;脂蛋白-胆固醇代谢;过氧化脂质;超氧化物歧化酶;前列环素;血小板聚集率
中国临床药理学与治疗学000209
目的 探讨人胎盘提取液对高脂血症大鼠的脂蛋白-胆固醇代谢、过氧化作用及血小板聚集功能的影响及其作用机制。方法 建立Wistar大鼠高血脂模型,用胎盘提取液0.4 ml.(100 g.d)-1连续灌胃12 d,测定其血清TG 、TC、LDL-C 、HDL-C及其亚组分HDL 2-C的含量;测定全血及肝组织LPO、SOD的活性,并通过脂肪染色观察提取液对肝脏脂肪沉积的影响;通过放免法测定血浆中6-酮-PGF1α、TXB 2含量及血小板最大聚集率。结果 胎盘提取液使高脂鼠HDL-C、HDL2-C含量明显升高(P<0.01);TG、TC、LDL-C含量明显降低(P<0.01);明显降低高脂鼠血清及肝组织LPO含量(P<0.01),提高SOD活性(P<0.01);抑制肝脏脂肪沉积,使脂肪空泡明显减少;使血浆中PGI2含量明显升高(P<0.01),TXB2含量无明显变化,并明显降低血小板聚集率(P<0.01)。结论 胎盘提取液明显改善高脂大鼠脂蛋白-胆固醇代谢,增强机体抗氧化能力,抑制血小板聚集,并抑制脂肪肝形成,有利于拮抗动脉粥样硬化的发生和发展。
, http://www.100md.com
中图分类号 R965
Effect of human placental extract
on the lipoprotein-cholesterol metabolism
CUI Wen-Ji
(Tianjin First Central Hospital, Tianjin 300192)
YANG Jing-Wen
(Tianjin First Central Hospital, Tianjin 300192)
LV Zhong-Zhi
, 百拇医药 (Tianjin First Central Hospital, Tianjin 300192)
Aim The effect and mechanism of human placental extract(HPE) on the lipoprotein-cholesterol metabolism, peroxidation and the function of platelet aggregation in hyperlipaemia rats were abserved.Methods Wistar rat with hyperlipaemia models were given each HPE 0.4 ml (100 g)-1.d-1 through lavage for 12 days.The serum levels of TG,TC,LDL-C,HDL-C and HDL2-C in its subgroup were measured.The activies of LPO and SOD in both blood and liver tissue were determined .The effect of HPE on lipidosis of liver were abserved by fat dyeing.The levels of 6-keto-PGF1α,TXB2 in plasma and maximum platelet aggregation rate were measured by ELASA. Result The levels of HDL-C and HDL2-C were increased (P<0.01) while the levels of TG, TC and LDL-C were decreased (P<0.01).The levels of LPO in serum and liver tissue decreased obviously and SOD activity increased (P<0.01).The lipidosis in liver was inhibited and adipose hollow space reduced obviously.The levels of PGI2 in plasma increased (P<0.01),the level of TXB2 was not changed and platelet aggregation rate was decreased obviously. Conclusion HPE may improve the lipoprotein-cholesterol metabolism, enhance the antioxidation and inhibite platelet aggregation and the formation of lipidosis of liver in hyperlipemia rats.HPE is good for inhibition of the formation and development of atheoscleorsis.
, 百拇医药
Key words human placental extract; lipoprotein-cholesterol metabolism; liperoxide; superoxide dismutas ;6-keto-PGF1α; platelet aggregates
动脉粥样硬化(AS)的形成和发展与脂蛋白代谢异常和脂质过氧化作用及血小板聚集功能增强有关。雌激素通过改善脂质代谢降低冠心病发生率,故绝经后妇女进行激素替代疗法(HRT)已应用于临床[1]。本实验研究胎盘提取液对高脂鼠脂蛋白-胆固醇代谢、过氧化作用及血小板聚集功能的影响,并推测此作用与其富含性激素有关。
表1 HPE对高脂鼠血清脂蛋白-胆固醇的影响(
±s,n=10,mmo.L-1) 组别
, 百拇医药
TG
TC
HDL-C
HDL2-C
LDL-C
正常对照组
0.35±0.05
2.20±0.40
0.96±0.17
0.49±0.14
0.63±0.05
高脂对照组
, 百拇医药
0.66±0.14*
3.06±0.20*
0.53±0.15*
0.15±0.07*
1.73±0.06*
HPE/0.4.ml(100g.d)-1
0.43±0.04#
1.22±0.16#
, 百拇医药
0.91±0.15#
0.48±0.14#
0.43±0.08#
与正常对照组比较*P<0.01;与高脂对照组比较#P<0.01
表2 HPE对高脂鼠肝组织和血清LPO、SOD含量的影响(
±s,n=10) 组别
血清LPO/nmol.ml-1
肝LPO/nmol.ml-1
, 百拇医药
血清LPO/nmol.ml-1
肝LPO/nmol.ml-1
正常对照组
3.7±1.0
260±6
732±104
148±46
高脂对照组
7.3±0.9*
449±14*
, 百拇医药
435±55*
48±19*
HPE/0.4.ml(100g.d)-1
5.17±0.75#
261±11#
630±35#
128±30#
与正常对照组比较*P<0.01;与高脂对照组比较#P<0.01表3 HPE对脂鼠6-酮-PGF1α、TXB2含量及血小板聚集的影响(
±s,n=10) 组别
, http://www.100md.com
6-酮-PGF1a/pg.ml-1
TXB2/pg.ml-1
MA/%
正常对照组
154±31
506±52
44±7
高脂对照组
61±9*
517±63
, 百拇医药
67±8*
HPE/0.4ml.(100g.d)-1
157±39*
511±59
53±3*
与正常对照组比较*P<0.01;与高脂对照组比较#P<0.01
1 材料与方法
1.1 药品和试剂 胆固醇酶联试剂由上海第十八制药厂和医药工业研究院联合提供;高密度脂蛋白亚组分分离剂,广东洪阳化学试剂厂;胆固醇(TC)、甘油三脂(TG)、高密度脂蛋白胆固醇(HDL-C)、低密度脂蛋白胆固醇(LDL-C)、过氧化脂质(LPO)、超氧化物歧化酶(SOD)试剂盒均由白求恩医科大学长白免疫试剂厂提供,批号分别为930608、930405、930708、93078、930504、930504;722型光栅分光光度计为上海第三分析仪器厂产品;F-3000型荧光分光光度计为日本岛津产品;乙酸乙脂由北京化工厂提供; 前列环素 (6-酮-PGF1α)、血栓素B2 (TXB2)放免药盒由中国医学科学院基础医学研究所提供;KONTRON GAMMAmaticII 瑞士;DAM-1血小板聚集仪(江苏丹阳)。
, 百拇医药
1.2 人胎盘提取液(human placenta extract, HPE)制备 胎盘由白求恩医科大学第一临床学院妇产科提供。取健康产妇的胎盘组织按1∶1(W/V)的比例加生理盐水制成匀浆,电动搅拌将细胞打碎,3000 rpm.min-1离心30 min,取上清液为提取液,置低温冰柜(-40℃)保存。
1.3 动物 Wistar雄性大鼠,体重(208±13) g,由白求恩医科大学动物部提供。随机分成3组,每组10只:正常对照组、高脂对照组、高脂给药组。正常对照组喂普通饲料,其余2组每晚定量给予高脂饲料(配方为:0.2 %甲基硫氧嘧啶,2%胆固醇,0.3%胆酸钠,7.5%猪油),次日白天补充普通饲料。正常和高脂对照组每天上午灌胃给予等容量的生理盐水,高脂给药组给予HPE 0.4 ml.(100 g.d)-1连续12 d,末次给药后禁食,次日上午戊巴比妥钠麻醉,自腹主动脉取血,并取肝脏置低温冰柜(-40℃)保存或置于10 %福尔马林中固定。
, http://www.100md.com
1.4 方法 TG、 TC、LDL-C、HDL-C含量及HDL亚组分的分离按试剂盒说明进行[2];LPO按改良硫代巴比妥酸法[3],血清和肝组织的SOD活性测定均按试剂盒说明进行。取全血2 ml抗凝,分离1 ml血浆调pH至3.5, 加乙酸乙脂5 ml分别提取两次,氮气吹干,加1 ml无水乙醇吹干,置于-40℃保存,待RIA检测6-酮-PGF1α、TXB2。取枸橼酸钠0.3 ml与鼠血3 ml混匀,计数血小板,离心分别提取PRP、 PPP血浆,用DAM-1做聚集,上海产记录仪做记录,用PPP调0,PRP调100,加入0.2 mg.min-1 ADP 5 μl,记录5 min,加入0.1 mg.min-1的盐酸肾上腺素5 μl,记录5 min,测定血小板聚集率。行肝脏脂肪染色,观察脂肪沉积情况。
, http://www.100md.com
1.5 统计方法 采用
±s表示,组间t检验,P<0.01为非常显著性差异。
2 结果
2.1 对高脂大鼠血清脂蛋白-胆固醇含量的影响 如表1所示,高脂对照组与正常对照组比较,TG、TC、LDL-C含量显著升高;HDL-C和HDL2-C含量明显降低(P<0.01); HPE给药组与高脂对照组比较,可使其HDL-C 、HDL2-C含量明显升高(P<0.01), TG、TC、LDL-C含量明显降低(P<0.01)。
2.2 对高脂大鼠肝组织和血清 LPO、SOD含量的影响 如表2所示,高脂对照组肝组织和血清LPO含量明显高于正常对照组,而SOD活性明显低于正常对照组(P<0.01),HPE给药组可明显降低高脂鼠血清和肝组织LPO含量(P<0.01)并使血清和肝组织SOD活性明显升高(P<0.01)。
, 百拇医药
2.3 对高脂大鼠血浆6-酮-PGF1α、TXB2及对血小板聚集功能的影响 如表3所示, 高脂对照组与正常对照组比较, 6-酮-PGF1α含量明显降低(P<0.01),TXB2含量无明显变化。HPE给药组与高组对照比较,6-酮-PGF1α含量明显升高(P<0.01),TXB2含量无明显变化。
高脂对照组与正常对照组比较,血小板最大聚集率明显增加(P<0.01); HPE给药组与高脂对照组比较,使血小板最大聚集率明显降低(P<0.01);血小板计数结果,各组间无明显差异。
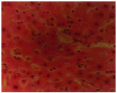
2.4 对高脂大鼠肝脏脂肪沉积影响的形态学观察 肝脏脂肪染色可见高脂对照组脂肪空泡明显增多, 而HPE给药组脂肪空泡较高脂对照组明显减少。提示HPE明显抑制肝脏脂肪沉积,从而防止脂肪肝的形成(图1~3)。
, 百拇医药
图1 正常对照组肝脏脂肪染色未见脂肪空泡。(×200)
图2 高脂对照组肝脏脂肪染色可见大量的脂肪空泡,片中红色颗粒为脂肪空泡。(×200)
图3. 高脂HPE给药组肝脏脂肪染色中脂肪空泡明显减少。(×200)
3 讨论
脂质代谢紊乱是动脉粥样硬化(atherosclero- sis,AS)发生和发展的重要危险因素之一。LDL为致AS的有害因子,HDL尤其是HDL2为有效的抗AS因子,可将外周组织的游离胆固醇转移至肝脏代谢,有利于减少胆固醇在外周组织细胞中的聚集和对血管内皮细胞的广泛性损害[4]。同时,AS的发生和发展与自由基引发的脂质过氧化损伤作用有关。自由基可以攻击细胞膜,导致生物膜中脂质的过氧化,干扰双层磷脂排列中镶嵌的多种酶的空间结构,导致膜的空隙增大,通透性增加,发生退行变,从而改变了内质网膜、线粒体膜、溶酶体膜的网状及流体状态,产生广泛的损伤及病变[5]。当血清胆固醇升高时,与胆固醇结合成脂的脂肪酸容易受到自由基的引发,使脂质过氧化作用增强,产生过多的LPO,从而促进AS的发生和发展。正常机体有完整的自由基清除系统,SOD为有效的抗脂质过氧化物酶,能够迅速分解脂质过氧化物,具有重要的防御自由基损伤的作用[6]。血栓素A2和前列环素是调控血小板功能的作用相反的内源性物质,两者的动态平衡破坏可促进冠心病的发展。体内外实验已证实PGI2可对抗ADP和胶原诱导血小板聚集,具有保护血管壁的作用。同时, 前列环素在不改变血栓素A2生物合成情况下,抑制5-羟色胺的分泌和致痉作用,其机理与增强腺苷酸环化酶活性,使c-AMP水平增高,从而降低血小板胞浆游离钙浓度有关。血栓素A2导致血小板聚集及血管收缩,与c-AMP水平降低、胞浆游离钙浓度增高及促进5-羟色胺的释放。
, 百拇医药
本实验中胎盘提取液明显降低TG、TC、LDL-C含量,提高HDL-C,尤其是HDL2-C含量,同时抑制高脂鼠肝组织及血清LPO的产生,提高SOD活性,说明胎盘提取液调节高脂大鼠的脂蛋白-胆固醇代谢的同时提高机体抗氧化作用,而其抗脂肪肝作用又为之提供了直接证据。同时,使血浆中PGI2含量明显升高,TXA2含量无明显变化,血小板计数结果,两组数目无明显差别,表明提取液对血小板的作用并非使其数目减少,而主要影响血小板的粘附和聚集,结合血小板聚集功能的测定结果,推测胎盘提取液通过提高高脂鼠PGI2的含量抑制血小板聚集。
性激素在预防缺血性心脏病中起重要作用,有孕激素对抗的雌激素治疗比单纯雌激素对冠心病的保护作用更大。雌激素可以改善脂代谢,恢复内皮细胞功能,具有钙拮抗剂的作用,并且抑制平滑肌的增殖,从而降低冠心病的发病率[7]。此外,雌激素和雄激素还可降低脂蛋白A,对纤维蛋白溶解有重要的作用[8]。目前在绝经后的妇女行雌激素替代疗法已应用于临床,如利维爱(7-甲异炔诺酮)已被广泛应用。本实验前期工作已通过放免法测定出提取液中各种性激素及心钠素的含量, 由此推测,胎盘提取液的降脂、抑制血小板聚集作用与其富含性激素及心钠素有关,各种性激素含量与其效应之间的相关性及其毒理作用有待于进一步研究。
, 百拇医药
崔文姬,女,33岁,硕士研究生,主治医师,从事心血管药理研究。
参考文献
1,Lloyd GWL,Patel NR,Jackon G.Acute effects of hormone replacement with tibolone on myocardial ischemia in women with angina.Int J Clin Pract,1998;58:155
2,黄德才,倪士杰.微量血清脂蛋白的分离极其胆固醇含量的酶法测定.中华医学检验杂志,1985;8:142
3,周翔,辛中国,孙国光,等.血清过氧化脂质的测定和意义.白求恩医科大学学报,1985;11:358
4,Robeim PS.Atherosclerosis and metablism of lipoprotein.Am J Cardiol,1986;57(5):3
, 百拇医药
5,Prasad KL,Kalra J.Experimental atherosclerosis and oxygen free radicals.Angiology,1989;9:835
6,刘耕陶.氧自由基与抗氧化剂.中国药理学通报,1988;4:324
7,Stampfer MJ.Colditz CA.Estrogen replacement therapy and coronary heart disease.Aqualitative assessment of the epidemiologic evidence.Prevent Med,1991;20:47
8,Haenggi W,Lippuner K,Riesen W,et al. Long-term influence of different postmenopausal hormone replacement regimens on scrum lipids and lipoprotein(a):a randomised study.Br J Obstet Gynaecol,1997;104:708
2000-03-31 收稿,2000-05-17 修回, 百拇医药
单位:崔文姬(天津市第一中心医院,天津 300192);杨景文(白求恩医科大学第一临床学院心内科);吕忠智(白求恩医科大学基础药理研究室)
关键词:人胎盘提取液;脂蛋白-胆固醇代谢;过氧化脂质;超氧化物歧化酶;前列环素;血小板聚集率
中国临床药理学与治疗学000209
目的 探讨人胎盘提取液对高脂血症大鼠的脂蛋白-胆固醇代谢、过氧化作用及血小板聚集功能的影响及其作用机制。方法 建立Wistar大鼠高血脂模型,用胎盘提取液0.4 ml.(100 g.d)-1连续灌胃12 d,测定其血清TG 、TC、LDL-C 、HDL-C及其亚组分HDL 2-C的含量;测定全血及肝组织LPO、SOD的活性,并通过脂肪染色观察提取液对肝脏脂肪沉积的影响;通过放免法测定血浆中6-酮-PGF1α、TXB 2含量及血小板最大聚集率。结果 胎盘提取液使高脂鼠HDL-C、HDL2-C含量明显升高(P<0.01);TG、TC、LDL-C含量明显降低(P<0.01);明显降低高脂鼠血清及肝组织LPO含量(P<0.01),提高SOD活性(P<0.01);抑制肝脏脂肪沉积,使脂肪空泡明显减少;使血浆中PGI2含量明显升高(P<0.01),TXB2含量无明显变化,并明显降低血小板聚集率(P<0.01)。结论 胎盘提取液明显改善高脂大鼠脂蛋白-胆固醇代谢,增强机体抗氧化能力,抑制血小板聚集,并抑制脂肪肝形成,有利于拮抗动脉粥样硬化的发生和发展。
, http://www.100md.com
中图分类号 R965
Effect of human placental extract
on the lipoprotein-cholesterol metabolism
CUI Wen-Ji
(Tianjin First Central Hospital, Tianjin 300192)
YANG Jing-Wen
(Tianjin First Central Hospital, Tianjin 300192)
LV Zhong-Zhi
, 百拇医药 (Tianjin First Central Hospital, Tianjin 300192)
Aim The effect and mechanism of human placental extract(HPE) on the lipoprotein-cholesterol metabolism, peroxidation and the function of platelet aggregation in hyperlipaemia rats were abserved.Methods Wistar rat with hyperlipaemia models were given each HPE 0.4 ml (100 g)-1.d-1 through lavage for 12 days.The serum levels of TG,TC,LDL-C,HDL-C and HDL2-C in its subgroup were measured.The activies of LPO and SOD in both blood and liver tissue were determined .The effect of HPE on lipidosis of liver were abserved by fat dyeing.The levels of 6-keto-PGF1α,TXB2 in plasma and maximum platelet aggregation rate were measured by ELASA. Result The levels of HDL-C and HDL2-C were increased (P<0.01) while the levels of TG, TC and LDL-C were decreased (P<0.01).The levels of LPO in serum and liver tissue decreased obviously and SOD activity increased (P<0.01).The lipidosis in liver was inhibited and adipose hollow space reduced obviously.The levels of PGI2 in plasma increased (P<0.01),the level of TXB2 was not changed and platelet aggregation rate was decreased obviously. Conclusion HPE may improve the lipoprotein-cholesterol metabolism, enhance the antioxidation and inhibite platelet aggregation and the formation of lipidosis of liver in hyperlipemia rats.HPE is good for inhibition of the formation and development of atheoscleorsis.
, 百拇医药
Key words human placental extract; lipoprotein-cholesterol metabolism; liperoxide; superoxide dismutas ;6-keto-PGF1α; platelet aggregates
动脉粥样硬化(AS)的形成和发展与脂蛋白代谢异常和脂质过氧化作用及血小板聚集功能增强有关。雌激素通过改善脂质代谢降低冠心病发生率,故绝经后妇女进行激素替代疗法(HRT)已应用于临床[1]。本实验研究胎盘提取液对高脂鼠脂蛋白-胆固醇代谢、过氧化作用及血小板聚集功能的影响,并推测此作用与其富含性激素有关。
表1 HPE对高脂鼠血清脂蛋白-胆固醇的影响(
, 百拇医药
TG
TC
HDL-C
HDL2-C
LDL-C
正常对照组
0.35±0.05
2.20±0.40
0.96±0.17
0.49±0.14
0.63±0.05
高脂对照组
, 百拇医药
0.66±0.14*
3.06±0.20*
0.53±0.15*
0.15±0.07*
1.73±0.06*
HPE/0.4.ml(100g.d)-1
0.43±0.04#
1.22±0.16#
, 百拇医药
0.91±0.15#
0.48±0.14#
0.43±0.08#
与正常对照组比较*P<0.01;与高脂对照组比较#P<0.01
表2 HPE对高脂鼠肝组织和血清LPO、SOD含量的影响(
血清LPO/nmol.ml-1
肝LPO/nmol.ml-1
, 百拇医药
血清LPO/nmol.ml-1
肝LPO/nmol.ml-1
正常对照组
3.7±1.0
260±6
732±104
148±46
高脂对照组
7.3±0.9*
449±14*
, 百拇医药
435±55*
48±19*
HPE/0.4.ml(100g.d)-1
5.17±0.75#
261±11#
630±35#
128±30#
与正常对照组比较*P<0.01;与高脂对照组比较#P<0.01表3 HPE对脂鼠6-酮-PGF1α、TXB2含量及血小板聚集的影响(
, http://www.100md.com
6-酮-PGF1a/pg.ml-1
TXB2/pg.ml-1
MA/%
正常对照组
154±31
506±52
44±7
高脂对照组
61±9*
517±63
, 百拇医药
67±8*
HPE/0.4ml.(100g.d)-1
157±39*
511±59
53±3*
与正常对照组比较*P<0.01;与高脂对照组比较#P<0.01
1 材料与方法
1.1 药品和试剂 胆固醇酶联试剂由上海第十八制药厂和医药工业研究院联合提供;高密度脂蛋白亚组分分离剂,广东洪阳化学试剂厂;胆固醇(TC)、甘油三脂(TG)、高密度脂蛋白胆固醇(HDL-C)、低密度脂蛋白胆固醇(LDL-C)、过氧化脂质(LPO)、超氧化物歧化酶(SOD)试剂盒均由白求恩医科大学长白免疫试剂厂提供,批号分别为930608、930405、930708、93078、930504、930504;722型光栅分光光度计为上海第三分析仪器厂产品;F-3000型荧光分光光度计为日本岛津产品;乙酸乙脂由北京化工厂提供; 前列环素 (6-酮-PGF1α)、血栓素B2 (TXB2)放免药盒由中国医学科学院基础医学研究所提供;KONTRON GAMMAmaticII 瑞士;DAM-1血小板聚集仪(江苏丹阳)。
, 百拇医药
1.2 人胎盘提取液(human placenta extract, HPE)制备 胎盘由白求恩医科大学第一临床学院妇产科提供。取健康产妇的胎盘组织按1∶1(W/V)的比例加生理盐水制成匀浆,电动搅拌将细胞打碎,3000 rpm.min-1离心30 min,取上清液为提取液,置低温冰柜(-40℃)保存。
1.3 动物 Wistar雄性大鼠,体重(208±13) g,由白求恩医科大学动物部提供。随机分成3组,每组10只:正常对照组、高脂对照组、高脂给药组。正常对照组喂普通饲料,其余2组每晚定量给予高脂饲料(配方为:0.2 %甲基硫氧嘧啶,2%胆固醇,0.3%胆酸钠,7.5%猪油),次日白天补充普通饲料。正常和高脂对照组每天上午灌胃给予等容量的生理盐水,高脂给药组给予HPE 0.4 ml.(100 g.d)-1连续12 d,末次给药后禁食,次日上午戊巴比妥钠麻醉,自腹主动脉取血,并取肝脏置低温冰柜(-40℃)保存或置于10 %福尔马林中固定。
, http://www.100md.com
1.4 方法 TG、 TC、LDL-C、HDL-C含量及HDL亚组分的分离按试剂盒说明进行[2];LPO按改良硫代巴比妥酸法[3],血清和肝组织的SOD活性测定均按试剂盒说明进行。取全血2 ml抗凝,分离1 ml血浆调pH至3.5, 加乙酸乙脂5 ml分别提取两次,氮气吹干,加1 ml无水乙醇吹干,置于-40℃保存,待RIA检测6-酮-PGF1α、TXB2。取枸橼酸钠0.3 ml与鼠血3 ml混匀,计数血小板,离心分别提取PRP、 PPP血浆,用DAM-1做聚集,上海产记录仪做记录,用PPP调0,PRP调100,加入0.2 mg.min-1 ADP 5 μl,记录5 min,加入0.1 mg.min-1的盐酸肾上腺素5 μl,记录5 min,测定血小板聚集率。行肝脏脂肪染色,观察脂肪沉积情况。
, http://www.100md.com
1.5 统计方法 采用
2 结果
2.1 对高脂大鼠血清脂蛋白-胆固醇含量的影响 如表1所示,高脂对照组与正常对照组比较,TG、TC、LDL-C含量显著升高;HDL-C和HDL2-C含量明显降低(P<0.01); HPE给药组与高脂对照组比较,可使其HDL-C 、HDL2-C含量明显升高(P<0.01), TG、TC、LDL-C含量明显降低(P<0.01)。
2.2 对高脂大鼠肝组织和血清 LPO、SOD含量的影响 如表2所示,高脂对照组肝组织和血清LPO含量明显高于正常对照组,而SOD活性明显低于正常对照组(P<0.01),HPE给药组可明显降低高脂鼠血清和肝组织LPO含量(P<0.01)并使血清和肝组织SOD活性明显升高(P<0.01)。
, 百拇医药
2.3 对高脂大鼠血浆6-酮-PGF1α、TXB2及对血小板聚集功能的影响 如表3所示, 高脂对照组与正常对照组比较, 6-酮-PGF1α含量明显降低(P<0.01),TXB2含量无明显变化。HPE给药组与高组对照比较,6-酮-PGF1α含量明显升高(P<0.01),TXB2含量无明显变化。
高脂对照组与正常对照组比较,血小板最大聚集率明显增加(P<0.01); HPE给药组与高脂对照组比较,使血小板最大聚集率明显降低(P<0.01);血小板计数结果,各组间无明显差异。
2.4 对高脂大鼠肝脏脂肪沉积影响的形态学观察 肝脏脂肪染色可见高脂对照组脂肪空泡明显增多, 而HPE给药组脂肪空泡较高脂对照组明显减少。提示HPE明显抑制肝脏脂肪沉积,从而防止脂肪肝的形成(图1~3)。
, 百拇医药
图1 正常对照组肝脏脂肪染色未见脂肪空泡。(×200)
图2 高脂对照组肝脏脂肪染色可见大量的脂肪空泡,片中红色颗粒为脂肪空泡。(×200)
图3. 高脂HPE给药组肝脏脂肪染色中脂肪空泡明显减少。(×200)
3 讨论
脂质代谢紊乱是动脉粥样硬化(atherosclero- sis,AS)发生和发展的重要危险因素之一。LDL为致AS的有害因子,HDL尤其是HDL2为有效的抗AS因子,可将外周组织的游离胆固醇转移至肝脏代谢,有利于减少胆固醇在外周组织细胞中的聚集和对血管内皮细胞的广泛性损害[4]。同时,AS的发生和发展与自由基引发的脂质过氧化损伤作用有关。自由基可以攻击细胞膜,导致生物膜中脂质的过氧化,干扰双层磷脂排列中镶嵌的多种酶的空间结构,导致膜的空隙增大,通透性增加,发生退行变,从而改变了内质网膜、线粒体膜、溶酶体膜的网状及流体状态,产生广泛的损伤及病变[5]。当血清胆固醇升高时,与胆固醇结合成脂的脂肪酸容易受到自由基的引发,使脂质过氧化作用增强,产生过多的LPO,从而促进AS的发生和发展。正常机体有完整的自由基清除系统,SOD为有效的抗脂质过氧化物酶,能够迅速分解脂质过氧化物,具有重要的防御自由基损伤的作用[6]。血栓素A2和前列环素是调控血小板功能的作用相反的内源性物质,两者的动态平衡破坏可促进冠心病的发展。体内外实验已证实PGI2可对抗ADP和胶原诱导血小板聚集,具有保护血管壁的作用。同时, 前列环素在不改变血栓素A2生物合成情况下,抑制5-羟色胺的分泌和致痉作用,其机理与增强腺苷酸环化酶活性,使c-AMP水平增高,从而降低血小板胞浆游离钙浓度有关。血栓素A2导致血小板聚集及血管收缩,与c-AMP水平降低、胞浆游离钙浓度增高及促进5-羟色胺的释放。
, 百拇医药
本实验中胎盘提取液明显降低TG、TC、LDL-C含量,提高HDL-C,尤其是HDL2-C含量,同时抑制高脂鼠肝组织及血清LPO的产生,提高SOD活性,说明胎盘提取液调节高脂大鼠的脂蛋白-胆固醇代谢的同时提高机体抗氧化作用,而其抗脂肪肝作用又为之提供了直接证据。同时,使血浆中PGI2含量明显升高,TXA2含量无明显变化,血小板计数结果,两组数目无明显差别,表明提取液对血小板的作用并非使其数目减少,而主要影响血小板的粘附和聚集,结合血小板聚集功能的测定结果,推测胎盘提取液通过提高高脂鼠PGI2的含量抑制血小板聚集。
性激素在预防缺血性心脏病中起重要作用,有孕激素对抗的雌激素治疗比单纯雌激素对冠心病的保护作用更大。雌激素可以改善脂代谢,恢复内皮细胞功能,具有钙拮抗剂的作用,并且抑制平滑肌的增殖,从而降低冠心病的发病率[7]。此外,雌激素和雄激素还可降低脂蛋白A,对纤维蛋白溶解有重要的作用[8]。目前在绝经后的妇女行雌激素替代疗法已应用于临床,如利维爱(7-甲异炔诺酮)已被广泛应用。本实验前期工作已通过放免法测定出提取液中各种性激素及心钠素的含量, 由此推测,胎盘提取液的降脂、抑制血小板聚集作用与其富含性激素及心钠素有关,各种性激素含量与其效应之间的相关性及其毒理作用有待于进一步研究。
, 百拇医药
崔文姬,女,33岁,硕士研究生,主治医师,从事心血管药理研究。
参考文献
1,Lloyd GWL,Patel NR,Jackon G.Acute effects of hormone replacement with tibolone on myocardial ischemia in women with angina.Int J Clin Pract,1998;58:155
2,黄德才,倪士杰.微量血清脂蛋白的分离极其胆固醇含量的酶法测定.中华医学检验杂志,1985;8:142
3,周翔,辛中国,孙国光,等.血清过氧化脂质的测定和意义.白求恩医科大学学报,1985;11:358
4,Robeim PS.Atherosclerosis and metablism of lipoprotein.Am J Cardiol,1986;57(5):3
, 百拇医药
5,Prasad KL,Kalra J.Experimental atherosclerosis and oxygen free radicals.Angiology,1989;9:835
6,刘耕陶.氧自由基与抗氧化剂.中国药理学通报,1988;4:324
7,Stampfer MJ.Colditz CA.Estrogen replacement therapy and coronary heart disease.Aqualitative assessment of the epidemiologic evidence.Prevent Med,1991;20:47
8,Haenggi W,Lippuner K,Riesen W,et al. Long-term influence of different postmenopausal hormone replacement regimens on scrum lipids and lipoprotein(a):a randomised study.Br J Obstet Gynaecol,1997;104:708
2000-03-31 收稿,2000-05-17 修回, 百拇医药