酒精对丙烯腈致神经细胞畸形及凋亡的影响
作者:阮素云 项翠琴 秦逸秋 沈红 张云英 陈婉容
单位:陈婉容(华东师范大学);阮素云 项翠琴 秦逸秋 沈红 张云英(上海市预防医学研究院,200336)
关键词:
卫生毒理学杂志000212 饮酒是许多人的一种生活嗜好。有报道认为酒精有辅助致癌作用,可使一些致死原因(包括毒物)的危险性增加[1]。丙烯腈是重要的化工原料,也是高毒性化学物,是致突变剂和潜在的人类致癌剂。本实验用电镜观察了亚急性口服酒精和丙烯腈大鼠的脑组织,研究酒精对丙烯腈致脑微循环及神经细胞凋亡和畸形的影响,旨在探讨酒精对毒物效应尤其是对致突变剂和可疑致癌物毒效应的影响。
1 材料与方法
1.1 动物模型 Spraque-Dawley大鼠12只,体重(285±71.8) g(上海市实验动物中心提供),雌雄各半,随机分丙烯腈组和丙烯腈加酒精组,每组6只大鼠。丙烯腈组大鼠每天口服10 mg/kg丙烯腈;丙烯腈加酒精组,每天口服10 mg/kg丙烯腈加体积分数为50%的酒精50 mg/kg,40天后处死取大脑皮层作电镜观察。
, 百拇医药
1.2 电镜样品制备 前固定液为体积分数为3%的戊二醛,在固定液中把组织块切成3 mm3小块,固定2 h后,用磷酸缓冲液漂洗3次,每次10 min。再用质量浓度为1%的锇酸后固定2 h,用磷酸缓冲液漂洗3次后,梯度酒精和丙酮脱水,环氧618包埋,每只大鼠做5个包埋块,随机取2个作超薄切片。醋酸铀和柠檬酸铅双重染色,用H-800电镜观察。
2 结果
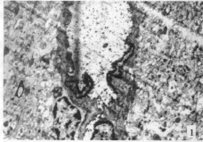
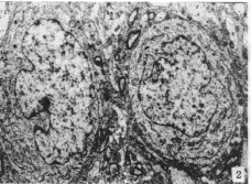
1.1 丙烯腈组 毛细血管:内皮细胞畸形,核、质比例大,胞体瘦小扁平,胞浆菲薄。有的内皮细胞末端向管腔面突出外翘,与管腔壁成90°,但内皮细胞与基膜及其周围神经毡之间结构紧密(图1)。神经细胞:胞体变圆,核畸形多见,有的为深裂,有的核膜内陷,胞质随同陷入核内,核膜包绕胞质形成岛状区域。核周质内可见大量游离核糖体但尼氏体少,部分线粒体脊断裂、消失呈空泡化(图2)。
2.2 丙烯腈加酒精组 毛细血管:内皮细胞萎缩,变小。细胞核固缩,染色质有的高度浓缩呈致密微粒,有的高度浓缩并聚集在核膜周围(图3),呈细胞凋亡状态,基膜略肿胀,基膜与周围神经毡之间结构松散,形成很大的空隙(图4)。神经细胞:可见大量呈凋亡状态的细胞。染色质浓缩并紧贴核膜边缘(图4)。细胞变圆,变小,染色质局部高度浓集并挤向一边核膜(图5),凋亡小体多见并被附近的神经细胞吞噬(图6)。
, http://www.100md.com
3 讨论
酒精是亲神经性毒物,对中枢神经系统的影响远较其他器官显著[3],一般认为它对毒物的毒性均起增加作用。丙烯腈是致突变剂,对大鼠具有致癌作用[2]。在本实验的丙烯腈组可见很多核畸形细胞,呈恶性化,这与以往一般的肿瘤实验病理学研究结果相符[4],提示丙烯腈可引起脑瘤。但本实验的丙烯腈加酒精组中,在发现畸形细胞的同时,可见很高比率的呈凋亡状的内皮细胞和神经细胞。这与一般认为酒精可使一些致死原因危险性增加不符,其原因可能是与血脑之间存在屏障,并且脑耗氧率较高对缺血、缺氧特别敏感有关。我们知道目前有关细胞凋亡的本质及其在肿瘤学中的作用,推测性的理论很多[5]。然而在本实验看到的凋亡细胞很多是神经细胞,成熟神经细胞的特点是不分裂也极少再生,因此没有必要通过凋亡给新生细胞腾出空间,也没有必要对遗传变异细胞进行清除。考虑到有关细胞死亡存在不同类型的知识,首先是来源于肝脏缺血后变化的研究。凋亡是为维持内环境的一种自主性细胞死亡[6]。故本实验丙烯腈加酒精组中细胞广泛凋亡的原因,可推测是因为丙烯腈属高毒类化合物,在大鼠体内呈快速分布,因此很容易通过血脑屏障进入脑实质,迅速与神经细胞中的核酸等大分子物质共价结合引起基因突变,突变细胞核代谢旺盛需扩大核质间的接触面,故可看到核膜内陷、深裂、胞质随同陷入核内等畸形细胞。而与此同时酒精属微毒类,可引起线粒体的脂质过氧化[7]。由于脑微循环的内皮细胞是血脑间的分界细胞,首先受到酒精的影响,当畸形的内皮细胞正需要营养和能量时,酒精引起的线粒体脂质过氧化导致ATP合成受阻,启动了细胞的凋亡程序[8],引起内皮细胞广泛性的凋亡。同样,广泛性的内皮细胞凋亡增加了血脑屏障的通透性,引起血浆物质进入内皮细胞下间隙,使基膜与神经胶质膜之间的间隙扩大,阻碍了血脑间的物质交换,尤其是血液中红细胞所携带的氧不能及时充足地供应脑细胞,使脑细胞,特别是代谢旺盛的神经细胞及突变细胞的氧化磷酸化过程受阻,ATP合成减少触发了凋亡程序,引起细胞凋亡以维持脑组织供给与消耗间的平衡。这也可能是在肿瘤组织中总是可以看到有凋亡细胞的原因。
, http://www.100md.com
本实验结果表明:尽管酒精是亲神经性毒物,丙烯腈是致突变剂可引起大鼠脑瘤,但在一定剂量条件下,它们联合的毒作用可引起细胞凋亡。其作用机制可能是因为丙烯腈引起的突变细胞代谢旺盛,而酒精引起的脂质过氧化影响了这些细胞的营养及能量供给之故。



图1 丙烯腈组毛细血管:内皮细胞畸形,末端向管腔面突出,但与基膜及神经毡之间结构紧密 ×4 000 图2 丙烯腈组神经细胞:胞体变圆,核畸形多见 × 4 000 图3 丙烯腈加酒精组毛细血管:内皮细胞萎缩,染色质高度浓缩呈凋亡状态 ×4 000 图4 丙烯腈加酒精组毛细血管:内皮细胞基膜与周围神经毡之间形成很大的空隙 ×4 000 图5 丙烯腈加酒精组神经细胞:染色质浓缩并挤向一边核膜 ×5 000 图6 丙烯腈加酒精组神经细胞:凋亡小体被附近的神经细胞吞噬 ×5 000
, 百拇医药
本课题受国家自然科学基金资助(39670637)
参考文献
[1] Freund,G.Apoptosis and gene expression perspections on alcohol-induced brain damage.Alcohol Clin Exp Res,1993,17:1014-1017.
[2] 夏元洵.化学物质毒性全书.上海:上海科学技术文献出版社,1991.604.
[3] 何存道,周炯亮,汤震东,主编.汽车驾驶员的心理卫生与安全.北京:北京科学出版社,1996.270-272.
[4] Cook B.Assessment of risk exposure to acrylonitrile.The general approach used by a consultant.Sci Total Environ,1990,99:307-309.
, 百拇医药
[5] Welsh J, Simboli-Campbell M,Narvatz C,et al.Role of vitamin D in MCF-T cells.Adv Exp Med Biol,1995,375:45-52.
[6] 聂青和,李梦东.肝细胞凋亡的诊断及其意义.实用肝脏病杂志,1997,2:52-55.
[7] 吴旭增,刘世杰,江泉观,等.酒精诱导的脂质过氧化对大鼠肝线粒体酶的影响.中华劳动卫生职业病杂志,1985,3:317-321.
[8] Richer C,Sehwei M,Cossarizza A.Control of apoptosis by the ATP level.FEBS Let,1996,378:107-110.
(收稿日期:1999-07-28), http://www.100md.com
单位:陈婉容(华东师范大学);阮素云 项翠琴 秦逸秋 沈红 张云英(上海市预防医学研究院,200336)
关键词:
卫生毒理学杂志000212 饮酒是许多人的一种生活嗜好。有报道认为酒精有辅助致癌作用,可使一些致死原因(包括毒物)的危险性增加[1]。丙烯腈是重要的化工原料,也是高毒性化学物,是致突变剂和潜在的人类致癌剂。本实验用电镜观察了亚急性口服酒精和丙烯腈大鼠的脑组织,研究酒精对丙烯腈致脑微循环及神经细胞凋亡和畸形的影响,旨在探讨酒精对毒物效应尤其是对致突变剂和可疑致癌物毒效应的影响。
1 材料与方法
1.1 动物模型 Spraque-Dawley大鼠12只,体重(285±71.8) g(上海市实验动物中心提供),雌雄各半,随机分丙烯腈组和丙烯腈加酒精组,每组6只大鼠。丙烯腈组大鼠每天口服10 mg/kg丙烯腈;丙烯腈加酒精组,每天口服10 mg/kg丙烯腈加体积分数为50%的酒精50 mg/kg,40天后处死取大脑皮层作电镜观察。
, 百拇医药
1.2 电镜样品制备 前固定液为体积分数为3%的戊二醛,在固定液中把组织块切成3 mm3小块,固定2 h后,用磷酸缓冲液漂洗3次,每次10 min。再用质量浓度为1%的锇酸后固定2 h,用磷酸缓冲液漂洗3次后,梯度酒精和丙酮脱水,环氧618包埋,每只大鼠做5个包埋块,随机取2个作超薄切片。醋酸铀和柠檬酸铅双重染色,用H-800电镜观察。
2 结果
1.1 丙烯腈组 毛细血管:内皮细胞畸形,核、质比例大,胞体瘦小扁平,胞浆菲薄。有的内皮细胞末端向管腔面突出外翘,与管腔壁成90°,但内皮细胞与基膜及其周围神经毡之间结构紧密(图1)。神经细胞:胞体变圆,核畸形多见,有的为深裂,有的核膜内陷,胞质随同陷入核内,核膜包绕胞质形成岛状区域。核周质内可见大量游离核糖体但尼氏体少,部分线粒体脊断裂、消失呈空泡化(图2)。
2.2 丙烯腈加酒精组 毛细血管:内皮细胞萎缩,变小。细胞核固缩,染色质有的高度浓缩呈致密微粒,有的高度浓缩并聚集在核膜周围(图3),呈细胞凋亡状态,基膜略肿胀,基膜与周围神经毡之间结构松散,形成很大的空隙(图4)。神经细胞:可见大量呈凋亡状态的细胞。染色质浓缩并紧贴核膜边缘(图4)。细胞变圆,变小,染色质局部高度浓集并挤向一边核膜(图5),凋亡小体多见并被附近的神经细胞吞噬(图6)。
, http://www.100md.com
3 讨论
酒精是亲神经性毒物,对中枢神经系统的影响远较其他器官显著[3],一般认为它对毒物的毒性均起增加作用。丙烯腈是致突变剂,对大鼠具有致癌作用[2]。在本实验的丙烯腈组可见很多核畸形细胞,呈恶性化,这与以往一般的肿瘤实验病理学研究结果相符[4],提示丙烯腈可引起脑瘤。但本实验的丙烯腈加酒精组中,在发现畸形细胞的同时,可见很高比率的呈凋亡状的内皮细胞和神经细胞。这与一般认为酒精可使一些致死原因危险性增加不符,其原因可能是与血脑之间存在屏障,并且脑耗氧率较高对缺血、缺氧特别敏感有关。我们知道目前有关细胞凋亡的本质及其在肿瘤学中的作用,推测性的理论很多[5]。然而在本实验看到的凋亡细胞很多是神经细胞,成熟神经细胞的特点是不分裂也极少再生,因此没有必要通过凋亡给新生细胞腾出空间,也没有必要对遗传变异细胞进行清除。考虑到有关细胞死亡存在不同类型的知识,首先是来源于肝脏缺血后变化的研究。凋亡是为维持内环境的一种自主性细胞死亡[6]。故本实验丙烯腈加酒精组中细胞广泛凋亡的原因,可推测是因为丙烯腈属高毒类化合物,在大鼠体内呈快速分布,因此很容易通过血脑屏障进入脑实质,迅速与神经细胞中的核酸等大分子物质共价结合引起基因突变,突变细胞核代谢旺盛需扩大核质间的接触面,故可看到核膜内陷、深裂、胞质随同陷入核内等畸形细胞。而与此同时酒精属微毒类,可引起线粒体的脂质过氧化[7]。由于脑微循环的内皮细胞是血脑间的分界细胞,首先受到酒精的影响,当畸形的内皮细胞正需要营养和能量时,酒精引起的线粒体脂质过氧化导致ATP合成受阻,启动了细胞的凋亡程序[8],引起内皮细胞广泛性的凋亡。同样,广泛性的内皮细胞凋亡增加了血脑屏障的通透性,引起血浆物质进入内皮细胞下间隙,使基膜与神经胶质膜之间的间隙扩大,阻碍了血脑间的物质交换,尤其是血液中红细胞所携带的氧不能及时充足地供应脑细胞,使脑细胞,特别是代谢旺盛的神经细胞及突变细胞的氧化磷酸化过程受阻,ATP合成减少触发了凋亡程序,引起细胞凋亡以维持脑组织供给与消耗间的平衡。这也可能是在肿瘤组织中总是可以看到有凋亡细胞的原因。
, http://www.100md.com
本实验结果表明:尽管酒精是亲神经性毒物,丙烯腈是致突变剂可引起大鼠脑瘤,但在一定剂量条件下,它们联合的毒作用可引起细胞凋亡。其作用机制可能是因为丙烯腈引起的突变细胞代谢旺盛,而酒精引起的脂质过氧化影响了这些细胞的营养及能量供给之故。
图1 丙烯腈组毛细血管:内皮细胞畸形,末端向管腔面突出,但与基膜及神经毡之间结构紧密 ×4 000 图2 丙烯腈组神经细胞:胞体变圆,核畸形多见 × 4 000 图3 丙烯腈加酒精组毛细血管:内皮细胞萎缩,染色质高度浓缩呈凋亡状态 ×4 000 图4 丙烯腈加酒精组毛细血管:内皮细胞基膜与周围神经毡之间形成很大的空隙 ×4 000 图5 丙烯腈加酒精组神经细胞:染色质浓缩并挤向一边核膜 ×5 000 图6 丙烯腈加酒精组神经细胞:凋亡小体被附近的神经细胞吞噬 ×5 000
, 百拇医药
本课题受国家自然科学基金资助(39670637)
参考文献
[1] Freund,G.Apoptosis and gene expression perspections on alcohol-induced brain damage.Alcohol Clin Exp Res,1993,17:1014-1017.
[2] 夏元洵.化学物质毒性全书.上海:上海科学技术文献出版社,1991.604.
[3] 何存道,周炯亮,汤震东,主编.汽车驾驶员的心理卫生与安全.北京:北京科学出版社,1996.270-272.
[4] Cook B.Assessment of risk exposure to acrylonitrile.The general approach used by a consultant.Sci Total Environ,1990,99:307-309.
, 百拇医药
[5] Welsh J, Simboli-Campbell M,Narvatz C,et al.Role of vitamin D in MCF-T cells.Adv Exp Med Biol,1995,375:45-52.
[6] 聂青和,李梦东.肝细胞凋亡的诊断及其意义.实用肝脏病杂志,1997,2:52-55.
[7] 吴旭增,刘世杰,江泉观,等.酒精诱导的脂质过氧化对大鼠肝线粒体酶的影响.中华劳动卫生职业病杂志,1985,3:317-321.
[8] Richer C,Sehwei M,Cossarizza A.Control of apoptosis by the ATP level.FEBS Let,1996,378:107-110.
(收稿日期:1999-07-28), http://www.100md.com